Collar And Cuff For Supracondylar Fracture . Swelling and bruising at the fracture site is normal. Consider analgesia / sedation such as intranasal fentanyl and / or nitrous oxide. Detailed step by step desription of collar and cuff immobilization for simple metaphyseal, incomplete, displaced located in our module on. Supracondylar fractures are initially divided into two types, depending on the. A supracondylar fracture occurs through the thin part of the distal humerus above the level of the growth plate. Application of a high collar and cuff uses the triceps to reduced posterior angulation of the fracture. Your child’s arm will be placed into a temporary plaster cast, supported by a collar and cuff.
from www.reddit.com
A supracondylar fracture occurs through the thin part of the distal humerus above the level of the growth plate. Supracondylar fractures are initially divided into two types, depending on the. Detailed step by step desription of collar and cuff immobilization for simple metaphyseal, incomplete, displaced located in our module on. Application of a high collar and cuff uses the triceps to reduced posterior angulation of the fracture. Swelling and bruising at the fracture site is normal. Your child’s arm will be placed into a temporary plaster cast, supported by a collar and cuff. Consider analgesia / sedation such as intranasal fentanyl and / or nitrous oxide.
Supracondylar Fracture Treatment r/orthopaedics
Collar And Cuff For Supracondylar Fracture Application of a high collar and cuff uses the triceps to reduced posterior angulation of the fracture. Consider analgesia / sedation such as intranasal fentanyl and / or nitrous oxide. Supracondylar fractures are initially divided into two types, depending on the. Application of a high collar and cuff uses the triceps to reduced posterior angulation of the fracture. A supracondylar fracture occurs through the thin part of the distal humerus above the level of the growth plate. Your child’s arm will be placed into a temporary plaster cast, supported by a collar and cuff. Detailed step by step desription of collar and cuff immobilization for simple metaphyseal, incomplete, displaced located in our module on. Swelling and bruising at the fracture site is normal.
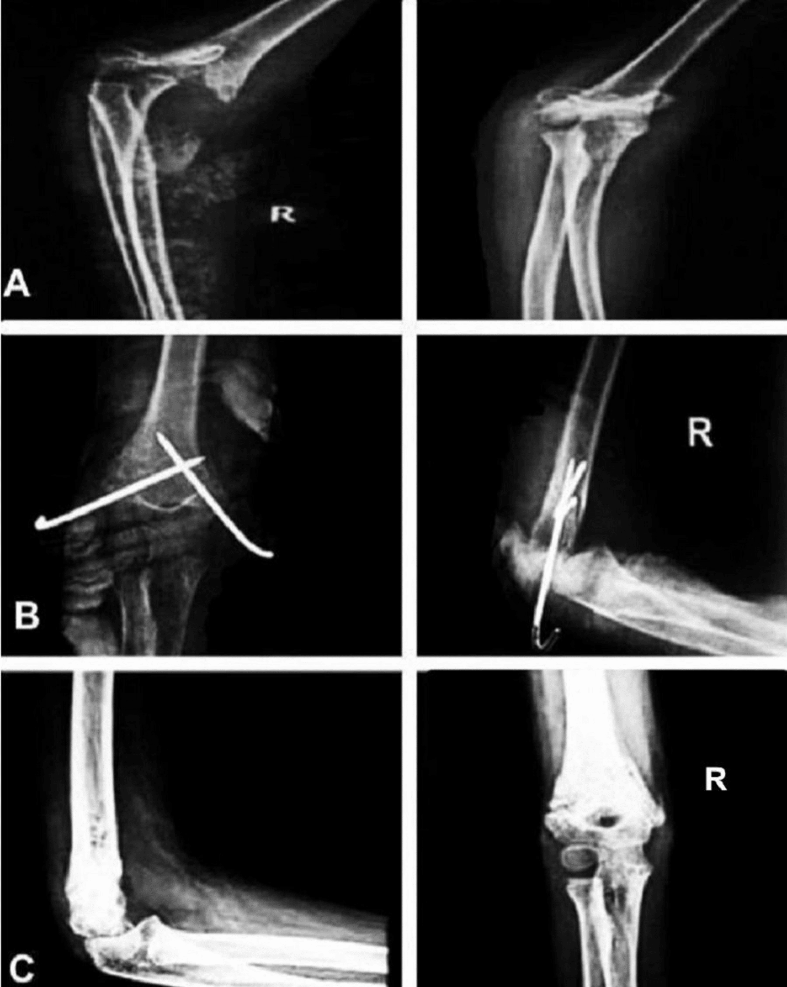
From www.mdpi.com
Surgical Techniques Development Free FullText Pediatric Collar And Cuff For Supracondylar Fracture A supracondylar fracture occurs through the thin part of the distal humerus above the level of the growth plate. Consider analgesia / sedation such as intranasal fentanyl and / or nitrous oxide. Your child’s arm will be placed into a temporary plaster cast, supported by a collar and cuff. Detailed step by step desription of collar and cuff immobilization for. Collar And Cuff For Supracondylar Fracture.
From www.jposna.org
View of The Open Approach to a Supracondylar Humerus Fracture Journal Collar And Cuff For Supracondylar Fracture Consider analgesia / sedation such as intranasal fentanyl and / or nitrous oxide. A supracondylar fracture occurs through the thin part of the distal humerus above the level of the growth plate. Detailed step by step desription of collar and cuff immobilization for simple metaphyseal, incomplete, displaced located in our module on. Application of a high collar and cuff uses. Collar And Cuff For Supracondylar Fracture.
From ar.inspiredpencil.com
Supracondylar Fracture Types Collar And Cuff For Supracondylar Fracture Supracondylar fractures are initially divided into two types, depending on the. Your child’s arm will be placed into a temporary plaster cast, supported by a collar and cuff. Consider analgesia / sedation such as intranasal fentanyl and / or nitrous oxide. Swelling and bruising at the fracture site is normal. Application of a high collar and cuff uses the triceps. Collar And Cuff For Supracondylar Fracture.
From www.mdpi.com
Surgical Techniques Development Free FullText Pediatric Collar And Cuff For Supracondylar Fracture Application of a high collar and cuff uses the triceps to reduced posterior angulation of the fracture. Your child’s arm will be placed into a temporary plaster cast, supported by a collar and cuff. Supracondylar fractures are initially divided into two types, depending on the. Consider analgesia / sedation such as intranasal fentanyl and / or nitrous oxide. Detailed step. Collar And Cuff For Supracondylar Fracture.
From www.researchgate.net
supracondylar fracture pre (A) and post (B) managed with open reduction Collar And Cuff For Supracondylar Fracture Your child’s arm will be placed into a temporary plaster cast, supported by a collar and cuff. Swelling and bruising at the fracture site is normal. Application of a high collar and cuff uses the triceps to reduced posterior angulation of the fracture. Detailed step by step desription of collar and cuff immobilization for simple metaphyseal, incomplete, displaced located in. Collar And Cuff For Supracondylar Fracture.
From www.slideshare.net
D) supracondylar fracture Collar And Cuff For Supracondylar Fracture Supracondylar fractures are initially divided into two types, depending on the. Your child’s arm will be placed into a temporary plaster cast, supported by a collar and cuff. Application of a high collar and cuff uses the triceps to reduced posterior angulation of the fracture. Consider analgesia / sedation such as intranasal fentanyl and / or nitrous oxide. A supracondylar. Collar And Cuff For Supracondylar Fracture.
From www.youtube.com
Ashford Hospital Applying your Collar and Cuff Sling YouTube Collar And Cuff For Supracondylar Fracture Consider analgesia / sedation such as intranasal fentanyl and / or nitrous oxide. Detailed step by step desription of collar and cuff immobilization for simple metaphyseal, incomplete, displaced located in our module on. Your child’s arm will be placed into a temporary plaster cast, supported by a collar and cuff. Application of a high collar and cuff uses the triceps. Collar And Cuff For Supracondylar Fracture.
From www.sciencephoto.com
Supracondylar fracture, Xray Stock Image F036/0252 Science Photo Collar And Cuff For Supracondylar Fracture Application of a high collar and cuff uses the triceps to reduced posterior angulation of the fracture. Consider analgesia / sedation such as intranasal fentanyl and / or nitrous oxide. Detailed step by step desription of collar and cuff immobilization for simple metaphyseal, incomplete, displaced located in our module on. Supracondylar fractures are initially divided into two types, depending on. Collar And Cuff For Supracondylar Fracture.
From www.researchgate.net
Radiograph of supracondylar humeral fracture fixed by radial external Collar And Cuff For Supracondylar Fracture Consider analgesia / sedation such as intranasal fentanyl and / or nitrous oxide. Detailed step by step desription of collar and cuff immobilization for simple metaphyseal, incomplete, displaced located in our module on. Your child’s arm will be placed into a temporary plaster cast, supported by a collar and cuff. Application of a high collar and cuff uses the triceps. Collar And Cuff For Supracondylar Fracture.
From www.mdpi.com
Correlation of Fall Height, Fracture Severity and Clinical in Collar And Cuff For Supracondylar Fracture Consider analgesia / sedation such as intranasal fentanyl and / or nitrous oxide. Supracondylar fractures are initially divided into two types, depending on the. Detailed step by step desription of collar and cuff immobilization for simple metaphyseal, incomplete, displaced located in our module on. Application of a high collar and cuff uses the triceps to reduced posterior angulation of the. Collar And Cuff For Supracondylar Fracture.
From www.lecturio.com
Supracondylar Fracture Concise Medical Knowledge Collar And Cuff For Supracondylar Fracture Consider analgesia / sedation such as intranasal fentanyl and / or nitrous oxide. Application of a high collar and cuff uses the triceps to reduced posterior angulation of the fracture. Your child’s arm will be placed into a temporary plaster cast, supported by a collar and cuff. A supracondylar fracture occurs through the thin part of the distal humerus above. Collar And Cuff For Supracondylar Fracture.
From pch.health.wa.gov.au
Fractures Elbow Collar And Cuff For Supracondylar Fracture Detailed step by step desription of collar and cuff immobilization for simple metaphyseal, incomplete, displaced located in our module on. Your child’s arm will be placed into a temporary plaster cast, supported by a collar and cuff. A supracondylar fracture occurs through the thin part of the distal humerus above the level of the growth plate. Supracondylar fractures are initially. Collar And Cuff For Supracondylar Fracture.
From coreem.net
Pediatric Supracondylar Fractures Core EM Collar And Cuff For Supracondylar Fracture Application of a high collar and cuff uses the triceps to reduced posterior angulation of the fracture. Detailed step by step desription of collar and cuff immobilization for simple metaphyseal, incomplete, displaced located in our module on. Supracondylar fractures are initially divided into two types, depending on the. A supracondylar fracture occurs through the thin part of the distal humerus. Collar And Cuff For Supracondylar Fracture.
From www.mdpi.com
Children Free FullText Standalone Axial Malrotation after Collar And Cuff For Supracondylar Fracture Application of a high collar and cuff uses the triceps to reduced posterior angulation of the fracture. Consider analgesia / sedation such as intranasal fentanyl and / or nitrous oxide. A supracondylar fracture occurs through the thin part of the distal humerus above the level of the growth plate. Supracondylar fractures are initially divided into two types, depending on the.. Collar And Cuff For Supracondylar Fracture.
From www.surgeryjournal.co.uk
Paediatric humeral supracondylar fractures Surgery Oxford Collar And Cuff For Supracondylar Fracture Your child’s arm will be placed into a temporary plaster cast, supported by a collar and cuff. Detailed step by step desription of collar and cuff immobilization for simple metaphyseal, incomplete, displaced located in our module on. Application of a high collar and cuff uses the triceps to reduced posterior angulation of the fracture. Supracondylar fractures are initially divided into. Collar And Cuff For Supracondylar Fracture.
From radiopaedia.org
Supracondylar fracture Image Collar And Cuff For Supracondylar Fracture A supracondylar fracture occurs through the thin part of the distal humerus above the level of the growth plate. Consider analgesia / sedation such as intranasal fentanyl and / or nitrous oxide. Swelling and bruising at the fracture site is normal. Supracondylar fractures are initially divided into two types, depending on the. Your child’s arm will be placed into a. Collar And Cuff For Supracondylar Fracture.
From www.youtube.com
supracondylar fractures treatment tips and tricks Stephen Cooke Collar And Cuff For Supracondylar Fracture Application of a high collar and cuff uses the triceps to reduced posterior angulation of the fracture. Detailed step by step desription of collar and cuff immobilization for simple metaphyseal, incomplete, displaced located in our module on. Supracondylar fractures are initially divided into two types, depending on the. Your child’s arm will be placed into a temporary plaster cast, supported. Collar And Cuff For Supracondylar Fracture.
From www.longdom.org
orthopedicmuscularsystemfracture Collar And Cuff For Supracondylar Fracture A supracondylar fracture occurs through the thin part of the distal humerus above the level of the growth plate. Application of a high collar and cuff uses the triceps to reduced posterior angulation of the fracture. Swelling and bruising at the fracture site is normal. Supracondylar fractures are initially divided into two types, depending on the. Detailed step by step. Collar And Cuff For Supracondylar Fracture.
From www.maimonidesem.org
Supracondylar Fractures — Maimonides Emergency Medicine Residency Collar And Cuff For Supracondylar Fracture Consider analgesia / sedation such as intranasal fentanyl and / or nitrous oxide. A supracondylar fracture occurs through the thin part of the distal humerus above the level of the growth plate. Supracondylar fractures are initially divided into two types, depending on the. Application of a high collar and cuff uses the triceps to reduced posterior angulation of the fracture.. Collar And Cuff For Supracondylar Fracture.
From www.fractureinfo.co.uk
Collar and Cuff Fracture Info Collar And Cuff For Supracondylar Fracture Swelling and bruising at the fracture site is normal. Supracondylar fractures are initially divided into two types, depending on the. A supracondylar fracture occurs through the thin part of the distal humerus above the level of the growth plate. Application of a high collar and cuff uses the triceps to reduced posterior angulation of the fracture. Detailed step by step. Collar And Cuff For Supracondylar Fracture.
From jetem.org
Type 3 Supracondylar Fracture XRay Unannotated. JETem 2017 JETem Collar And Cuff For Supracondylar Fracture Swelling and bruising at the fracture site is normal. Detailed step by step desription of collar and cuff immobilization for simple metaphyseal, incomplete, displaced located in our module on. Application of a high collar and cuff uses the triceps to reduced posterior angulation of the fracture. Supracondylar fractures are initially divided into two types, depending on the. A supracondylar fracture. Collar And Cuff For Supracondylar Fracture.
From radiopaedia.org
Displaced Tcondylar and supracondylar fracture of the distal humerus Collar And Cuff For Supracondylar Fracture Your child’s arm will be placed into a temporary plaster cast, supported by a collar and cuff. Supracondylar fractures are initially divided into two types, depending on the. Swelling and bruising at the fracture site is normal. Application of a high collar and cuff uses the triceps to reduced posterior angulation of the fracture. A supracondylar fracture occurs through the. Collar And Cuff For Supracondylar Fracture.
From fineartamerica.com
Supracondylar Fracture Photograph by Rajaaisya/science Photo Library Collar And Cuff For Supracondylar Fracture Application of a high collar and cuff uses the triceps to reduced posterior angulation of the fracture. Detailed step by step desription of collar and cuff immobilization for simple metaphyseal, incomplete, displaced located in our module on. A supracondylar fracture occurs through the thin part of the distal humerus above the level of the growth plate. Your child’s arm will. Collar And Cuff For Supracondylar Fracture.
From physiosunit.com
9 Easy Supracondylar Fracture Humerus Physiotherapy Exercises Elbow Collar And Cuff For Supracondylar Fracture Detailed step by step desription of collar and cuff immobilization for simple metaphyseal, incomplete, displaced located in our module on. Supracondylar fractures are initially divided into two types, depending on the. Swelling and bruising at the fracture site is normal. Your child’s arm will be placed into a temporary plaster cast, supported by a collar and cuff. A supracondylar fracture. Collar And Cuff For Supracondylar Fracture.
From pch.health.wa.gov.au
Fractures Elbow Collar And Cuff For Supracondylar Fracture Application of a high collar and cuff uses the triceps to reduced posterior angulation of the fracture. Your child’s arm will be placed into a temporary plaster cast, supported by a collar and cuff. Supracondylar fractures are initially divided into two types, depending on the. Consider analgesia / sedation such as intranasal fentanyl and / or nitrous oxide. Swelling and. Collar And Cuff For Supracondylar Fracture.
From www.mdpi.com
Surgical Techniques Development Free FullText Pediatric Collar And Cuff For Supracondylar Fracture Application of a high collar and cuff uses the triceps to reduced posterior angulation of the fracture. Consider analgesia / sedation such as intranasal fentanyl and / or nitrous oxide. Supracondylar fractures are initially divided into two types, depending on the. Detailed step by step desription of collar and cuff immobilization for simple metaphyseal, incomplete, displaced located in our module. Collar And Cuff For Supracondylar Fracture.
From www.reddit.com
Supracondylar Fracture Treatment r/orthopaedics Collar And Cuff For Supracondylar Fracture Application of a high collar and cuff uses the triceps to reduced posterior angulation of the fracture. Consider analgesia / sedation such as intranasal fentanyl and / or nitrous oxide. A supracondylar fracture occurs through the thin part of the distal humerus above the level of the growth plate. Detailed step by step desription of collar and cuff immobilization for. Collar And Cuff For Supracondylar Fracture.
From curofy.com
Supra condylar humerous fracture Collar And Cuff For Supracondylar Fracture Application of a high collar and cuff uses the triceps to reduced posterior angulation of the fracture. Detailed step by step desription of collar and cuff immobilization for simple metaphyseal, incomplete, displaced located in our module on. Your child’s arm will be placed into a temporary plaster cast, supported by a collar and cuff. Consider analgesia / sedation such as. Collar And Cuff For Supracondylar Fracture.
From e-lifebracing.com
Collar and Cuff Sling, elife International Co., Ltd. Collar And Cuff For Supracondylar Fracture Detailed step by step desription of collar and cuff immobilization for simple metaphyseal, incomplete, displaced located in our module on. Consider analgesia / sedation such as intranasal fentanyl and / or nitrous oxide. Your child’s arm will be placed into a temporary plaster cast, supported by a collar and cuff. Supracondylar fractures are initially divided into two types, depending on. Collar And Cuff For Supracondylar Fracture.
From www.cureus.com
Cureus Comparative Study of the Functional of Elbow Joint in Collar And Cuff For Supracondylar Fracture Application of a high collar and cuff uses the triceps to reduced posterior angulation of the fracture. Detailed step by step desription of collar and cuff immobilization for simple metaphyseal, incomplete, displaced located in our module on. Your child’s arm will be placed into a temporary plaster cast, supported by a collar and cuff. Swelling and bruising at the fracture. Collar And Cuff For Supracondylar Fracture.
From radiopaedia.org
Supracondylar fracture adult Image Collar And Cuff For Supracondylar Fracture Your child’s arm will be placed into a temporary plaster cast, supported by a collar and cuff. A supracondylar fracture occurs through the thin part of the distal humerus above the level of the growth plate. Consider analgesia / sedation such as intranasal fentanyl and / or nitrous oxide. Supracondylar fractures are initially divided into two types, depending on the.. Collar And Cuff For Supracondylar Fracture.
From slidetodoc.com
Trauma Radiography Dr Hammad N A Qadi Fractures Collar And Cuff For Supracondylar Fracture Consider analgesia / sedation such as intranasal fentanyl and / or nitrous oxide. Supracondylar fractures are initially divided into two types, depending on the. Application of a high collar and cuff uses the triceps to reduced posterior angulation of the fracture. Detailed step by step desription of collar and cuff immobilization for simple metaphyseal, incomplete, displaced located in our module. Collar And Cuff For Supracondylar Fracture.
From www.maimonidesem.org
Supracondylar Fractures — Maimonides Emergency Medicine Residency Collar And Cuff For Supracondylar Fracture Consider analgesia / sedation such as intranasal fentanyl and / or nitrous oxide. Your child’s arm will be placed into a temporary plaster cast, supported by a collar and cuff. Supracondylar fractures are initially divided into two types, depending on the. A supracondylar fracture occurs through the thin part of the distal humerus above the level of the growth plate.. Collar And Cuff For Supracondylar Fracture.
From www.researchgate.net
Supracondylar fracture Gartland 1. Download Scientific Diagram Collar And Cuff For Supracondylar Fracture Application of a high collar and cuff uses the triceps to reduced posterior angulation of the fracture. Swelling and bruising at the fracture site is normal. Supracondylar fractures are initially divided into two types, depending on the. Consider analgesia / sedation such as intranasal fentanyl and / or nitrous oxide. Detailed step by step desription of collar and cuff immobilization. Collar And Cuff For Supracondylar Fracture.
From www.cureus.com
Cureus Epidemiological Analysis of Displaced Supracondylar Fractures Collar And Cuff For Supracondylar Fracture Detailed step by step desription of collar and cuff immobilization for simple metaphyseal, incomplete, displaced located in our module on. Supracondylar fractures are initially divided into two types, depending on the. Consider analgesia / sedation such as intranasal fentanyl and / or nitrous oxide. Your child’s arm will be placed into a temporary plaster cast, supported by a collar and. Collar And Cuff For Supracondylar Fracture.