Invisalign Brace Removal . Proper removal of invisalign aligners is critical. Finishing your last set of invisalign aligners or getting your braces removed is a big achievement, but it’s not the end of your. This week was another milestone in my treatment as it was time. They weren’t long and glamorous exactly, but they were long enough,. Looking for advice on how to remove your invisalign trays? Need help on how to remove invisalign braces? I used to have beautiful fingernails before i started wearing invisalign. I’ve seen patients damage their aligners by not following the recommended procedure. Investing in a specialized removal tool such as orthokey can significantly ease the process of removing invisalign braces.
from www.212smiling.com
Proper removal of invisalign aligners is critical. Investing in a specialized removal tool such as orthokey can significantly ease the process of removing invisalign braces. They weren’t long and glamorous exactly, but they were long enough,. Need help on how to remove invisalign braces? I used to have beautiful fingernails before i started wearing invisalign. Looking for advice on how to remove your invisalign trays? I’ve seen patients damage their aligners by not following the recommended procedure. This week was another milestone in my treatment as it was time. Finishing your last set of invisalign aligners or getting your braces removed is a big achievement, but it’s not the end of your.
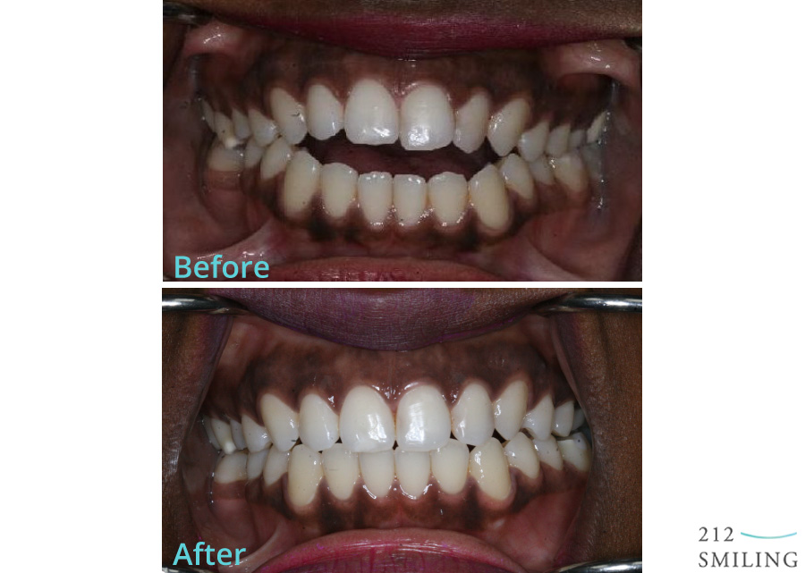
Invisalign Invisible Braces Before and After 212 Smiling
Invisalign Brace Removal I used to have beautiful fingernails before i started wearing invisalign. Proper removal of invisalign aligners is critical. I used to have beautiful fingernails before i started wearing invisalign. This week was another milestone in my treatment as it was time. I’ve seen patients damage their aligners by not following the recommended procedure. They weren’t long and glamorous exactly, but they were long enough,. Investing in a specialized removal tool such as orthokey can significantly ease the process of removing invisalign braces. Looking for advice on how to remove your invisalign trays? Finishing your last set of invisalign aligners or getting your braces removed is a big achievement, but it’s not the end of your. Need help on how to remove invisalign braces?
From www.hollydental.co.uk
How to Remove Invisalign Cosmetic Dentist Preston Invisalign Brace Removal I’ve seen patients damage their aligners by not following the recommended procedure. They weren’t long and glamorous exactly, but they were long enough,. Investing in a specialized removal tool such as orthokey can significantly ease the process of removing invisalign braces. Finishing your last set of invisalign aligners or getting your braces removed is a big achievement, but it’s not. Invisalign Brace Removal.
From myinvisalignblog.com
Top Ten Tips For How To Remove Invisalign Braces My Invisalign Blog Invisalign Brace Removal Finishing your last set of invisalign aligners or getting your braces removed is a big achievement, but it’s not the end of your. I used to have beautiful fingernails before i started wearing invisalign. Investing in a specialized removal tool such as orthokey can significantly ease the process of removing invisalign braces. Looking for advice on how to remove your. Invisalign Brace Removal.
From billingsorthodontics.com
Invisalign vs Braces How to Know What Is Best for You Invisalign Brace Removal Investing in a specialized removal tool such as orthokey can significantly ease the process of removing invisalign braces. I’ve seen patients damage their aligners by not following the recommended procedure. Looking for advice on how to remove your invisalign trays? Proper removal of invisalign aligners is critical. I used to have beautiful fingernails before i started wearing invisalign. Need help. Invisalign Brace Removal.
From feildfamilydentistry.com
Invisalign Gap Removal Feild Family Dentistry Invisalign Brace Removal Need help on how to remove invisalign braces? Looking for advice on how to remove your invisalign trays? This week was another milestone in my treatment as it was time. Investing in a specialized removal tool such as orthokey can significantly ease the process of removing invisalign braces. I’ve seen patients damage their aligners by not following the recommended procedure.. Invisalign Brace Removal.
From ar.inspiredpencil.com
Invisalign Clear Braces Before And After Invisalign Brace Removal I used to have beautiful fingernails before i started wearing invisalign. I’ve seen patients damage their aligners by not following the recommended procedure. Need help on how to remove invisalign braces? Investing in a specialized removal tool such as orthokey can significantly ease the process of removing invisalign braces. This week was another milestone in my treatment as it was. Invisalign Brace Removal.
From treelinedental.co.uk
Invisalign and Braces. What’s The Difference? Treeline Dental Care Invisalign Brace Removal Need help on how to remove invisalign braces? Looking for advice on how to remove your invisalign trays? I’ve seen patients damage their aligners by not following the recommended procedure. Finishing your last set of invisalign aligners or getting your braces removed is a big achievement, but it’s not the end of your. This week was another milestone in my. Invisalign Brace Removal.
From www.212smiling.com
Invisalign Invisible Braces Before and After 212 Smiling Invisalign Brace Removal This week was another milestone in my treatment as it was time. Need help on how to remove invisalign braces? Looking for advice on how to remove your invisalign trays? Proper removal of invisalign aligners is critical. Finishing your last set of invisalign aligners or getting your braces removed is a big achievement, but it’s not the end of your.. Invisalign Brace Removal.
From harnickorthodontics.com
Harnick Orthodontics Albuquerque Braces & Invisalign Results Invisalign Brace Removal They weren’t long and glamorous exactly, but they were long enough,. Looking for advice on how to remove your invisalign trays? This week was another milestone in my treatment as it was time. Need help on how to remove invisalign braces? I used to have beautiful fingernails before i started wearing invisalign. Proper removal of invisalign aligners is critical. I’ve. Invisalign Brace Removal.
From www.pinterest.co.uk
Invisalign Before And After Gap Clear Braces Teeth, Teeth After Braces, Braces Before And After Invisalign Brace Removal Need help on how to remove invisalign braces? Proper removal of invisalign aligners is critical. They weren’t long and glamorous exactly, but they were long enough,. I used to have beautiful fingernails before i started wearing invisalign. This week was another milestone in my treatment as it was time. Investing in a specialized removal tool such as orthokey can significantly. Invisalign Brace Removal.
From dentistinbournemouth.com
Invisalign & Braces for Gaps Before and After Results Invisalign Brace Removal Looking for advice on how to remove your invisalign trays? Finishing your last set of invisalign aligners or getting your braces removed is a big achievement, but it’s not the end of your. I’ve seen patients damage their aligners by not following the recommended procedure. Investing in a specialized removal tool such as orthokey can significantly ease the process of. Invisalign Brace Removal.
From braceplace.biz
Invisalign in Joplin Missouri — The Brace Place Invisalign Brace Removal This week was another milestone in my treatment as it was time. Proper removal of invisalign aligners is critical. I’ve seen patients damage their aligners by not following the recommended procedure. Finishing your last set of invisalign aligners or getting your braces removed is a big achievement, but it’s not the end of your. Need help on how to remove. Invisalign Brace Removal.
From www.freshbreathdentalclinic.in
Invisalign treatment in Kalyan nagar Invisible Braces treatment in Kalyan nagar Invisalign Brace Removal I used to have beautiful fingernails before i started wearing invisalign. Finishing your last set of invisalign aligners or getting your braces removed is a big achievement, but it’s not the end of your. I’ve seen patients damage their aligners by not following the recommended procedure. Proper removal of invisalign aligners is critical. This week was another milestone in my. Invisalign Brace Removal.
From sullivanheightsdental.ca
Invisalign Before and After Invisalign Treatment Transformation Invisalign Brace Removal Proper removal of invisalign aligners is critical. I used to have beautiful fingernails before i started wearing invisalign. Finishing your last set of invisalign aligners or getting your braces removed is a big achievement, but it’s not the end of your. Need help on how to remove invisalign braces? Investing in a specialized removal tool such as orthokey can significantly. Invisalign Brace Removal.
From bracesplus.com
7 Tips For Patients Wearing Invisalign Braces Airdrie Orthodontist Airdrie Invisalign Airdrie Invisalign Brace Removal Finishing your last set of invisalign aligners or getting your braces removed is a big achievement, but it’s not the end of your. Investing in a specialized removal tool such as orthokey can significantly ease the process of removing invisalign braces. They weren’t long and glamorous exactly, but they were long enough,. I’ve seen patients damage their aligners by not. Invisalign Brace Removal.
From marinortho.com
Invisalign Adult Before & After Marin Invisalign Provider Gorton & Schmohl Orthodontics Invisalign Brace Removal This week was another milestone in my treatment as it was time. They weren’t long and glamorous exactly, but they were long enough,. Finishing your last set of invisalign aligners or getting your braces removed is a big achievement, but it’s not the end of your. Investing in a specialized removal tool such as orthokey can significantly ease the process. Invisalign Brace Removal.
From carolinasmilesdds.com
Invisalign Before and After 6 Things You Should Know Carolina Smiles Invisalign Brace Removal I’ve seen patients damage their aligners by not following the recommended procedure. Looking for advice on how to remove your invisalign trays? They weren’t long and glamorous exactly, but they were long enough,. Investing in a specialized removal tool such as orthokey can significantly ease the process of removing invisalign braces. This week was another milestone in my treatment as. Invisalign Brace Removal.
From www.dentalblush.com
Invisalign Clear Braces Miami FL Dentistry Invisalign Brace Removal I’ve seen patients damage their aligners by not following the recommended procedure. Investing in a specialized removal tool such as orthokey can significantly ease the process of removing invisalign braces. They weren’t long and glamorous exactly, but they were long enough,. Need help on how to remove invisalign braces? Finishing your last set of invisalign aligners or getting your braces. Invisalign Brace Removal.
From www.smilesetter.com
Braces vs. Invisalign® Orthodontist Locust Valley Glen Cove Brookville NY Orthodontics Invisalign Brace Removal I’ve seen patients damage their aligners by not following the recommended procedure. They weren’t long and glamorous exactly, but they were long enough,. Need help on how to remove invisalign braces? This week was another milestone in my treatment as it was time. Investing in a specialized removal tool such as orthokey can significantly ease the process of removing invisalign. Invisalign Brace Removal.
From www.silversmiledental.com
How Does Invisalign Work? Here's a Complete Guide Silver Smile Dental Invisalign Brace Removal This week was another milestone in my treatment as it was time. They weren’t long and glamorous exactly, but they were long enough,. Looking for advice on how to remove your invisalign trays? Finishing your last set of invisalign aligners or getting your braces removed is a big achievement, but it’s not the end of your. I’ve seen patients damage. Invisalign Brace Removal.
From tendental.com
Invisalign London Invisible Braces London Ten Dental Invisalign Brace Removal Need help on how to remove invisalign braces? I’ve seen patients damage their aligners by not following the recommended procedure. They weren’t long and glamorous exactly, but they were long enough,. I used to have beautiful fingernails before i started wearing invisalign. Investing in a specialized removal tool such as orthokey can significantly ease the process of removing invisalign braces.. Invisalign Brace Removal.
From talkativedesigner.blogspot.com
Invisalign Before And After Crowding Before And After Invisalign Brace Removal Need help on how to remove invisalign braces? Looking for advice on how to remove your invisalign trays? Investing in a specialized removal tool such as orthokey can significantly ease the process of removing invisalign braces. Finishing your last set of invisalign aligners or getting your braces removed is a big achievement, but it’s not the end of your. This. Invisalign Brace Removal.
From www.milnororthodontics.com
Invisalign vs. Braces Milnor Orthodontics Fort Collins, CO Invisalign Brace Removal I’ve seen patients damage their aligners by not following the recommended procedure. Investing in a specialized removal tool such as orthokey can significantly ease the process of removing invisalign braces. Looking for advice on how to remove your invisalign trays? Finishing your last set of invisalign aligners or getting your braces removed is a big achievement, but it’s not the. Invisalign Brace Removal.
From drpitner.com
What are Invisalign Braces Pitner Orthodontics Invisalign Brace Removal Proper removal of invisalign aligners is critical. Looking for advice on how to remove your invisalign trays? They weren’t long and glamorous exactly, but they were long enough,. I’ve seen patients damage their aligners by not following the recommended procedure. This week was another milestone in my treatment as it was time. Investing in a specialized removal tool such as. Invisalign Brace Removal.
From orthodonticbracescare.com
Can You Remove Invisalign Attachments Yourself Orthodontic Braces Care Invisalign Brace Removal This week was another milestone in my treatment as it was time. Looking for advice on how to remove your invisalign trays? Need help on how to remove invisalign braces? They weren’t long and glamorous exactly, but they were long enough,. I’ve seen patients damage their aligners by not following the recommended procedure. Proper removal of invisalign aligners is critical.. Invisalign Brace Removal.
From orthodonticbracescare.com
Braces vs Invisalign For Fixing An Overbite Orthodontic Braces Care Invisalign Brace Removal This week was another milestone in my treatment as it was time. I’ve seen patients damage their aligners by not following the recommended procedure. Proper removal of invisalign aligners is critical. They weren’t long and glamorous exactly, but they were long enough,. Finishing your last set of invisalign aligners or getting your braces removed is a big achievement, but it’s. Invisalign Brace Removal.
From barriedentist.ca
Understanding Invisalign Braces Invisalign Brace Removal Need help on how to remove invisalign braces? Looking for advice on how to remove your invisalign trays? Finishing your last set of invisalign aligners or getting your braces removed is a big achievement, but it’s not the end of your. I used to have beautiful fingernails before i started wearing invisalign. I’ve seen patients damage their aligners by not. Invisalign Brace Removal.
From www.nydentalpartners.com
Invisalign removal NewYork Dental Partners Invisalign Brace Removal Proper removal of invisalign aligners is critical. Need help on how to remove invisalign braces? Investing in a specialized removal tool such as orthokey can significantly ease the process of removing invisalign braces. I’ve seen patients damage their aligners by not following the recommended procedure. Finishing your last set of invisalign aligners or getting your braces removed is a big. Invisalign Brace Removal.
From mygentletouchdentistry.com
The Guide To Proper Care Of Invisalign Braces Invisalign Brace Removal I used to have beautiful fingernails before i started wearing invisalign. Looking for advice on how to remove your invisalign trays? I’ve seen patients damage their aligners by not following the recommended procedure. Need help on how to remove invisalign braces? Investing in a specialized removal tool such as orthokey can significantly ease the process of removing invisalign braces. Proper. Invisalign Brace Removal.
From www.youtube.com
Invisalign Braces Before and After Overbite, Crowding Teeth Cost, Pain, Tips 3M Clear Aligners Invisalign Brace Removal Looking for advice on how to remove your invisalign trays? Finishing your last set of invisalign aligners or getting your braces removed is a big achievement, but it’s not the end of your. I used to have beautiful fingernails before i started wearing invisalign. They weren’t long and glamorous exactly, but they were long enough,. This week was another milestone. Invisalign Brace Removal.
From www.firouzorthodontics.com
Invisalign Before And After Firouz Orthodontics West Los Angeles Invisalign Brace Removal They weren’t long and glamorous exactly, but they were long enough,. Proper removal of invisalign aligners is critical. Investing in a specialized removal tool such as orthokey can significantly ease the process of removing invisalign braces. I’ve seen patients damage their aligners by not following the recommended procedure. Finishing your last set of invisalign aligners or getting your braces removed. Invisalign Brace Removal.
From burwooddentalcare.com.au
What Is The Difference Between Invisalign And Braces? Burwood Dental Care Invisalign Brace Removal Need help on how to remove invisalign braces? This week was another milestone in my treatment as it was time. Finishing your last set of invisalign aligners or getting your braces removed is a big achievement, but it’s not the end of your. Investing in a specialized removal tool such as orthokey can significantly ease the process of removing invisalign. Invisalign Brace Removal.
From orthodonticbracescare.com
Invisalign Attachments Staining How To Whiten And Clean Orthodontic Braces Care Invisalign Brace Removal They weren’t long and glamorous exactly, but they were long enough,. This week was another milestone in my treatment as it was time. Finishing your last set of invisalign aligners or getting your braces removed is a big achievement, but it’s not the end of your. Looking for advice on how to remove your invisalign trays? I used to have. Invisalign Brace Removal.
From smileee.co.uk
Invisalign London Invisalign Braces for Adults and Teens Invisalign Brace Removal I used to have beautiful fingernails before i started wearing invisalign. I’ve seen patients damage their aligners by not following the recommended procedure. Need help on how to remove invisalign braces? Proper removal of invisalign aligners is critical. This week was another milestone in my treatment as it was time. Finishing your last set of invisalign aligners or getting your. Invisalign Brace Removal.
From cenxozys.blob.core.windows.net
Can You Remove Braces And Get Invisalign at Lucile Williams blog Invisalign Brace Removal Looking for advice on how to remove your invisalign trays? They weren’t long and glamorous exactly, but they were long enough,. Finishing your last set of invisalign aligners or getting your braces removed is a big achievement, but it’s not the end of your. Proper removal of invisalign aligners is critical. This week was another milestone in my treatment as. Invisalign Brace Removal.
From www.springtownsmilestx.com
Why is it so hard to remove Invisalign? Invisalign Brace Removal Investing in a specialized removal tool such as orthokey can significantly ease the process of removing invisalign braces. I used to have beautiful fingernails before i started wearing invisalign. I’ve seen patients damage their aligners by not following the recommended procedure. Looking for advice on how to remove your invisalign trays? This week was another milestone in my treatment as. Invisalign Brace Removal.