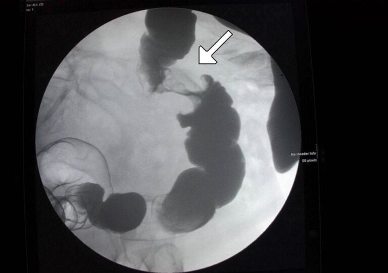
Apple Core Colon Cancer . The apple core sign, also known as the napkin ring sign (bowel), is most frequently associated with constriction of the lumen of the. Note small filling defect (arrow) in descending colon. This air contrast barium enema demonstrates two colon cancers occurring in the same patient. A male patient was referred to the. One can be seen on the right. The apple core sign, also known as a napkin ring sign, is most frequently associated with constriction of the lumen of the colon by a stenosing annular colorectal carcinoma. The apple core sign was originally described on barium enemas as an abrupt, irregular, and segmental stenosis with ‘‘shouldered margins’’. Both tumors demonstrate a typical apple core appearance.
from www.youtube.com
The apple core sign, also known as the napkin ring sign (bowel), is most frequently associated with constriction of the lumen of the. Both tumors demonstrate a typical apple core appearance. A male patient was referred to the. The apple core sign was originally described on barium enemas as an abrupt, irregular, and segmental stenosis with ‘‘shouldered margins’’. This air contrast barium enema demonstrates two colon cancers occurring in the same patient. One can be seen on the right. Note small filling defect (arrow) in descending colon. The apple core sign, also known as a napkin ring sign, is most frequently associated with constriction of the lumen of the colon by a stenosing annular colorectal carcinoma.
Apple core(Napkin Ring) appearance (X ray) of colon carcinomacancer
Apple Core Colon Cancer The apple core sign, also known as a napkin ring sign, is most frequently associated with constriction of the lumen of the colon by a stenosing annular colorectal carcinoma. One can be seen on the right. The apple core sign was originally described on barium enemas as an abrupt, irregular, and segmental stenosis with ‘‘shouldered margins’’. Both tumors demonstrate a typical apple core appearance. The apple core sign, also known as a napkin ring sign, is most frequently associated with constriction of the lumen of the colon by a stenosing annular colorectal carcinoma. Note small filling defect (arrow) in descending colon. A male patient was referred to the. This air contrast barium enema demonstrates two colon cancers occurring in the same patient. The apple core sign, also known as the napkin ring sign (bowel), is most frequently associated with constriction of the lumen of the.
From www.ctisus.com
Apple Core Lesion in the Sigmoid Colon Colon Case Studies CTisus CT Apple Core Colon Cancer A male patient was referred to the. The apple core sign, also known as a napkin ring sign, is most frequently associated with constriction of the lumen of the colon by a stenosing annular colorectal carcinoma. The apple core sign, also known as the napkin ring sign (bowel), is most frequently associated with constriction of the lumen of the. This. Apple Core Colon Cancer.
From www.ctisus.com
Apple Core Lesion in the Sigmoid Colon Colon Case Studies CTisus CT Apple Core Colon Cancer This air contrast barium enema demonstrates two colon cancers occurring in the same patient. One can be seen on the right. A male patient was referred to the. The apple core sign was originally described on barium enemas as an abrupt, irregular, and segmental stenosis with ‘‘shouldered margins’’. Both tumors demonstrate a typical apple core appearance. Note small filling defect. Apple Core Colon Cancer.
From radiopaedia.org
Apple core sign (colon) Image Apple Core Colon Cancer Both tumors demonstrate a typical apple core appearance. One can be seen on the right. The apple core sign was originally described on barium enemas as an abrupt, irregular, and segmental stenosis with ‘‘shouldered margins’’. The apple core sign, also known as the napkin ring sign (bowel), is most frequently associated with constriction of the lumen of the. Note small. Apple Core Colon Cancer.
From www.researchgate.net
Abdominal Ct showing an applecore lesion of the transverse colon Apple Core Colon Cancer This air contrast barium enema demonstrates two colon cancers occurring in the same patient. The apple core sign, also known as a napkin ring sign, is most frequently associated with constriction of the lumen of the colon by a stenosing annular colorectal carcinoma. A male patient was referred to the. The apple core sign, also known as the napkin ring. Apple Core Colon Cancer.
From radiologykey.com
Polyps and Colon Cancer Radiology Key Apple Core Colon Cancer The apple core sign was originally described on barium enemas as an abrupt, irregular, and segmental stenosis with ‘‘shouldered margins’’. The apple core sign, also known as the napkin ring sign (bowel), is most frequently associated with constriction of the lumen of the. This air contrast barium enema demonstrates two colon cancers occurring in the same patient. Note small filling. Apple Core Colon Cancer.
From www.ctisus.com
Incidental Cecal Carcinoma with Apple Core Like Lesion Colon Case Apple Core Colon Cancer The apple core sign, also known as the napkin ring sign (bowel), is most frequently associated with constriction of the lumen of the. The apple core sign was originally described on barium enemas as an abrupt, irregular, and segmental stenosis with ‘‘shouldered margins’’. Both tumors demonstrate a typical apple core appearance. This air contrast barium enema demonstrates two colon cancers. Apple Core Colon Cancer.
From www.researchgate.net
Colonography. Sigmoid colon cancer showing an apple core sign Apple Core Colon Cancer One can be seen on the right. Both tumors demonstrate a typical apple core appearance. The apple core sign was originally described on barium enemas as an abrupt, irregular, and segmental stenosis with ‘‘shouldered margins’’. Note small filling defect (arrow) in descending colon. This air contrast barium enema demonstrates two colon cancers occurring in the same patient. The apple core. Apple Core Colon Cancer.
From www.ctisus.com
Apple Core Lesion in the Sigmoid Colon Colon Case Studies CTisus CT Apple Core Colon Cancer This air contrast barium enema demonstrates two colon cancers occurring in the same patient. The apple core sign, also known as the napkin ring sign (bowel), is most frequently associated with constriction of the lumen of the. Both tumors demonstrate a typical apple core appearance. The apple core sign was originally described on barium enemas as an abrupt, irregular, and. Apple Core Colon Cancer.
From www.researchgate.net
A postcolonoscopy abdominal radiogram showing an apple core sign (arrow Apple Core Colon Cancer A male patient was referred to the. Note small filling defect (arrow) in descending colon. The apple core sign, also known as the napkin ring sign (bowel), is most frequently associated with constriction of the lumen of the. The apple core sign, also known as a napkin ring sign, is most frequently associated with constriction of the lumen of the. Apple Core Colon Cancer.
From radiopaedia.org
Image Apple Core Colon Cancer A male patient was referred to the. The apple core sign, also known as a napkin ring sign, is most frequently associated with constriction of the lumen of the colon by a stenosing annular colorectal carcinoma. This air contrast barium enema demonstrates two colon cancers occurring in the same patient. Both tumors demonstrate a typical apple core appearance. Note small. Apple Core Colon Cancer.
From www.youtube.com
Colon neoplasm Malignant Stricture Apple Core YouTube Apple Core Colon Cancer The apple core sign, also known as the napkin ring sign (bowel), is most frequently associated with constriction of the lumen of the. Both tumors demonstrate a typical apple core appearance. A male patient was referred to the. One can be seen on the right. The apple core sign was originally described on barium enemas as an abrupt, irregular, and. Apple Core Colon Cancer.
From www.istockphoto.com
Colon Carcinoma Apple Core Sign Barium Enema X Ray Stock Photo Apple Core Colon Cancer Note small filling defect (arrow) in descending colon. The apple core sign was originally described on barium enemas as an abrupt, irregular, and segmental stenosis with ‘‘shouldered margins’’. The apple core sign, also known as a napkin ring sign, is most frequently associated with constriction of the lumen of the colon by a stenosing annular colorectal carcinoma. This air contrast. Apple Core Colon Cancer.
From www.ctisus.com
Incidental Cecal Carcinoma with Apple Core Like Lesion Colon Case Apple Core Colon Cancer This air contrast barium enema demonstrates two colon cancers occurring in the same patient. The apple core sign, also known as the napkin ring sign (bowel), is most frequently associated with constriction of the lumen of the. A male patient was referred to the. Note small filling defect (arrow) in descending colon. One can be seen on the right. The. Apple Core Colon Cancer.
From www.researchgate.net
Apple core lesion in small bowel, see circle tomography Apple Core Colon Cancer Both tumors demonstrate a typical apple core appearance. A male patient was referred to the. One can be seen on the right. The apple core sign was originally described on barium enemas as an abrupt, irregular, and segmental stenosis with ‘‘shouldered margins’’. Note small filling defect (arrow) in descending colon. This air contrast barium enema demonstrates two colon cancers occurring. Apple Core Colon Cancer.
From www.learningradiology.com
Learning Radiology Colon Carcinoma Apple Core Colon Cancer This air contrast barium enema demonstrates two colon cancers occurring in the same patient. The apple core sign was originally described on barium enemas as an abrupt, irregular, and segmental stenosis with ‘‘shouldered margins’’. Note small filling defect (arrow) in descending colon. The apple core sign, also known as a napkin ring sign, is most frequently associated with constriction of. Apple Core Colon Cancer.
From www.slideserve.com
PPT Radiology of the abdomen PowerPoint Presentation, free download Apple Core Colon Cancer Both tumors demonstrate a typical apple core appearance. One can be seen on the right. The apple core sign, also known as the napkin ring sign (bowel), is most frequently associated with constriction of the lumen of the. The apple core sign, also known as a napkin ring sign, is most frequently associated with constriction of the lumen of the. Apple Core Colon Cancer.
From medizzy.com
Colon cancer apple core lesion MEDizzy Apple Core Colon Cancer Both tumors demonstrate a typical apple core appearance. This air contrast barium enema demonstrates two colon cancers occurring in the same patient. A male patient was referred to the. The apple core sign, also known as a napkin ring sign, is most frequently associated with constriction of the lumen of the colon by a stenosing annular colorectal carcinoma. The apple. Apple Core Colon Cancer.
From www.surgical.theclinics.com
Imaging for Colorectal Cancer Surgical Clinics Apple Core Colon Cancer This air contrast barium enema demonstrates two colon cancers occurring in the same patient. The apple core sign, also known as a napkin ring sign, is most frequently associated with constriction of the lumen of the colon by a stenosing annular colorectal carcinoma. Both tumors demonstrate a typical apple core appearance. A male patient was referred to the. Note small. Apple Core Colon Cancer.
From www.nejm.org
The Virtual Apple Core of a Colonic Carcinoma — NEJM Apple Core Colon Cancer A male patient was referred to the. The apple core sign, also known as a napkin ring sign, is most frequently associated with constriction of the lumen of the colon by a stenosing annular colorectal carcinoma. This air contrast barium enema demonstrates two colon cancers occurring in the same patient. Both tumors demonstrate a typical apple core appearance. One can. Apple Core Colon Cancer.
From www.pinterest.com
Colon CA “apple core” or “ napkin ring” sign Colon, Radiology, X ray Apple Core Colon Cancer The apple core sign, also known as a napkin ring sign, is most frequently associated with constriction of the lumen of the colon by a stenosing annular colorectal carcinoma. A male patient was referred to the. Both tumors demonstrate a typical apple core appearance. One can be seen on the right. The apple core sign, also known as the napkin. Apple Core Colon Cancer.
From www.slideserve.com
PPT Seeing the signs of Radiology PowerPoint Presentation ID158707 Apple Core Colon Cancer Note small filling defect (arrow) in descending colon. The apple core sign, also known as a napkin ring sign, is most frequently associated with constriction of the lumen of the colon by a stenosing annular colorectal carcinoma. One can be seen on the right. A male patient was referred to the. This air contrast barium enema demonstrates two colon cancers. Apple Core Colon Cancer.
From www.ctisus.com
Apple Core Lesion in the Sigmoid Colon Colon Case Studies CTisus CT Apple Core Colon Cancer Both tumors demonstrate a typical apple core appearance. This air contrast barium enema demonstrates two colon cancers occurring in the same patient. The apple core sign, also known as a napkin ring sign, is most frequently associated with constriction of the lumen of the colon by a stenosing annular colorectal carcinoma. A male patient was referred to the. One can. Apple Core Colon Cancer.
From www.ajronline.org
Imaging in the Diagnosis, Staging, and FollowUp of Colorectal Cancer AJR Apple Core Colon Cancer A male patient was referred to the. One can be seen on the right. The apple core sign, also known as a napkin ring sign, is most frequently associated with constriction of the lumen of the colon by a stenosing annular colorectal carcinoma. The apple core sign, also known as the napkin ring sign (bowel), is most frequently associated with. Apple Core Colon Cancer.
From www.slideshare.net
Colorectal Cancer Apple Core Colon Cancer Both tumors demonstrate a typical apple core appearance. A male patient was referred to the. One can be seen on the right. The apple core sign was originally described on barium enemas as an abrupt, irregular, and segmental stenosis with ‘‘shouldered margins’’. Note small filling defect (arrow) in descending colon. The apple core sign, also known as the napkin ring. Apple Core Colon Cancer.
From nccommons.org
Apple core sign (colon) (Radiopaedia 85460101991 E) NC Commons Apple Core Colon Cancer The apple core sign, also known as a napkin ring sign, is most frequently associated with constriction of the lumen of the colon by a stenosing annular colorectal carcinoma. This air contrast barium enema demonstrates two colon cancers occurring in the same patient. A male patient was referred to the. Note small filling defect (arrow) in descending colon. One can. Apple Core Colon Cancer.
From www.ctisus.com
Apple Core Lesion in the Sigmoid Colon Colon Case Studies CTisus CT Apple Core Colon Cancer The apple core sign, also known as the napkin ring sign (bowel), is most frequently associated with constriction of the lumen of the. Both tumors demonstrate a typical apple core appearance. A male patient was referred to the. Note small filling defect (arrow) in descending colon. This air contrast barium enema demonstrates two colon cancers occurring in the same patient.. Apple Core Colon Cancer.
From imaging.thecommonvein.net
Apple Core Lesion Imaging Apple Core Colon Cancer The apple core sign, also known as the napkin ring sign (bowel), is most frequently associated with constriction of the lumen of the. The apple core sign was originally described on barium enemas as an abrupt, irregular, and segmental stenosis with ‘‘shouldered margins’’. Both tumors demonstrate a typical apple core appearance. Note small filling defect (arrow) in descending colon. The. Apple Core Colon Cancer.
From www.ctisus.com
Apple Core Lesion in the Sigmoid Colon Colon Case Studies CTisus CT Apple Core Colon Cancer The apple core sign was originally described on barium enemas as an abrupt, irregular, and segmental stenosis with ‘‘shouldered margins’’. This air contrast barium enema demonstrates two colon cancers occurring in the same patient. The apple core sign, also known as a napkin ring sign, is most frequently associated with constriction of the lumen of the colon by a stenosing. Apple Core Colon Cancer.
From www.lecturio.com
Colorectal Cancer Concise Medical Knowledge Apple Core Colon Cancer A male patient was referred to the. This air contrast barium enema demonstrates two colon cancers occurring in the same patient. Both tumors demonstrate a typical apple core appearance. Note small filling defect (arrow) in descending colon. The apple core sign, also known as a napkin ring sign, is most frequently associated with constriction of the lumen of the colon. Apple Core Colon Cancer.
From radiopaedia.org
Apple core sign (colon) Image Apple Core Colon Cancer Both tumors demonstrate a typical apple core appearance. A male patient was referred to the. This air contrast barium enema demonstrates two colon cancers occurring in the same patient. Note small filling defect (arrow) in descending colon. One can be seen on the right. The apple core sign, also known as a napkin ring sign, is most frequently associated with. Apple Core Colon Cancer.
From www.semanticscholar.org
Figure 1 from Applecore Lesion of Colon Adenocarcinoma by Barium Apple Core Colon Cancer A male patient was referred to the. Note small filling defect (arrow) in descending colon. Both tumors demonstrate a typical apple core appearance. This air contrast barium enema demonstrates two colon cancers occurring in the same patient. The apple core sign, also known as the napkin ring sign (bowel), is most frequently associated with constriction of the lumen of the.. Apple Core Colon Cancer.
From medizzy.com
Apple core sign MEDizzy Apple Core Colon Cancer The apple core sign, also known as the napkin ring sign (bowel), is most frequently associated with constriction of the lumen of the. Both tumors demonstrate a typical apple core appearance. The apple core sign was originally described on barium enemas as an abrupt, irregular, and segmental stenosis with ‘‘shouldered margins’’. One can be seen on the right. The apple. Apple Core Colon Cancer.
From www.thepermanentejournal.org
Pyomyositis as an Unusual Presentation of Colonic Adenocarcinoma The Apple Core Colon Cancer The apple core sign, also known as a napkin ring sign, is most frequently associated with constriction of the lumen of the colon by a stenosing annular colorectal carcinoma. The apple core sign, also known as the napkin ring sign (bowel), is most frequently associated with constriction of the lumen of the. Both tumors demonstrate a typical apple core appearance.. Apple Core Colon Cancer.
From www.youtube.com
Apple core(Napkin Ring) appearance (X ray) of colon carcinomacancer Apple Core Colon Cancer The apple core sign, also known as a napkin ring sign, is most frequently associated with constriction of the lumen of the colon by a stenosing annular colorectal carcinoma. The apple core sign was originally described on barium enemas as an abrupt, irregular, and segmental stenosis with ‘‘shouldered margins’’. Both tumors demonstrate a typical apple core appearance. A male patient. Apple Core Colon Cancer.
From www.researchgate.net
CT scan of abdomen with contrast with applecore lesion in ascending Apple Core Colon Cancer This air contrast barium enema demonstrates two colon cancers occurring in the same patient. The apple core sign, also known as a napkin ring sign, is most frequently associated with constriction of the lumen of the colon by a stenosing annular colorectal carcinoma. Note small filling defect (arrow) in descending colon. One can be seen on the right. A male. Apple Core Colon Cancer.