Radiology Pleural Thickening . Pleural thickening can be benign or malignant and requires imaging techniques such as chest radiography and ct to confirm the diagnosis. Pleural thickening may manifest as unilateral or bilateral and as focal, multifocal, or diffuse. Learn about the causes, types and classification of pleural thickening, a descriptive term for any form of thickening involving the. Pleural thickening occurs due to various inflammatory and infectious causes and is also a feature of pleural malignancy. Radiological investigation of pleural effusion, thickening, masses, and pneumothorax is key in diagnosing and determining management. Learn about the differential diagnosis, ct features, and biopsy options for pleural thickening. A chest radiograph may demonstrate pleural thickening. Learn about the causes and radiologic features of pleural thickening and calcification, which are often related to infections, asbestos. Learn about the causes, pathophysiology, and radiologic features of benign pleural thickening, a common pleural abnormality. Learn how to detect, characterize, and differentiate benign and malignant causes of pleural thickening on chest radiography and ct.
from www.bmj.com
Learn about the causes, types and classification of pleural thickening, a descriptive term for any form of thickening involving the. A chest radiograph may demonstrate pleural thickening. Radiological investigation of pleural effusion, thickening, masses, and pneumothorax is key in diagnosing and determining management. Learn how to detect, characterize, and differentiate benign and malignant causes of pleural thickening on chest radiography and ct. Learn about the causes and radiologic features of pleural thickening and calcification, which are often related to infections, asbestos. Learn about the causes, pathophysiology, and radiologic features of benign pleural thickening, a common pleural abnormality. Pleural thickening occurs due to various inflammatory and infectious causes and is also a feature of pleural malignancy. Pleural thickening can be benign or malignant and requires imaging techniques such as chest radiography and ct to confirm the diagnosis. Learn about the differential diagnosis, ct features, and biopsy options for pleural thickening. Pleural thickening may manifest as unilateral or bilateral and as focal, multifocal, or diffuse.
Investigating pleural thickening The BMJ
Radiology Pleural Thickening Learn how to detect, characterize, and differentiate benign and malignant causes of pleural thickening on chest radiography and ct. Pleural thickening occurs due to various inflammatory and infectious causes and is also a feature of pleural malignancy. Pleural thickening can be benign or malignant and requires imaging techniques such as chest radiography and ct to confirm the diagnosis. A chest radiograph may demonstrate pleural thickening. Learn about the causes and radiologic features of pleural thickening and calcification, which are often related to infections, asbestos. Radiological investigation of pleural effusion, thickening, masses, and pneumothorax is key in diagnosing and determining management. Learn about the differential diagnosis, ct features, and biopsy options for pleural thickening. Learn about the causes, types and classification of pleural thickening, a descriptive term for any form of thickening involving the. Pleural thickening may manifest as unilateral or bilateral and as focal, multifocal, or diffuse. Learn about the causes, pathophysiology, and radiologic features of benign pleural thickening, a common pleural abnormality. Learn how to detect, characterize, and differentiate benign and malignant causes of pleural thickening on chest radiography and ct.
From radiologykey.com
Benign Pleural Thickening Radiology Key Radiology Pleural Thickening A chest radiograph may demonstrate pleural thickening. Radiological investigation of pleural effusion, thickening, masses, and pneumothorax is key in diagnosing and determining management. Learn how to detect, characterize, and differentiate benign and malignant causes of pleural thickening on chest radiography and ct. Learn about the differential diagnosis, ct features, and biopsy options for pleural thickening. Pleural thickening can be benign. Radiology Pleural Thickening.
From www.bmj.com
Nodular pleural thickening in a young woman The BMJ Radiology Pleural Thickening Pleural thickening may manifest as unilateral or bilateral and as focal, multifocal, or diffuse. Learn about the causes, types and classification of pleural thickening, a descriptive term for any form of thickening involving the. Learn about the causes, pathophysiology, and radiologic features of benign pleural thickening, a common pleural abnormality. Pleural thickening can be benign or malignant and requires imaging. Radiology Pleural Thickening.
From www.ctscanandmri.com
bronchiectasis radiology apical pleural thickening ct scattered Radiology Pleural Thickening Pleural thickening can be benign or malignant and requires imaging techniques such as chest radiography and ct to confirm the diagnosis. Learn about the causes, pathophysiology, and radiologic features of benign pleural thickening, a common pleural abnormality. Pleural thickening occurs due to various inflammatory and infectious causes and is also a feature of pleural malignancy. Pleural thickening may manifest as. Radiology Pleural Thickening.
From www.researchgate.net
A chest CT showing residual circumferential hypodense pleural Radiology Pleural Thickening Learn how to detect, characterize, and differentiate benign and malignant causes of pleural thickening on chest radiography and ct. A chest radiograph may demonstrate pleural thickening. Pleural thickening may manifest as unilateral or bilateral and as focal, multifocal, or diffuse. Radiological investigation of pleural effusion, thickening, masses, and pneumothorax is key in diagnosing and determining management. Pleural thickening occurs due. Radiology Pleural Thickening.
From www.mdpi.com
Diagnostics Free FullText Diagnostics in Pleural Disease Radiology Pleural Thickening Learn about the differential diagnosis, ct features, and biopsy options for pleural thickening. Learn about the causes, types and classification of pleural thickening, a descriptive term for any form of thickening involving the. Learn about the causes, pathophysiology, and radiologic features of benign pleural thickening, a common pleural abnormality. Learn how to detect, characterize, and differentiate benign and malignant causes. Radiology Pleural Thickening.
From onlinelibrary.wiley.com
Tuberculous pleural effusion Shaw 2019 Respirology Wiley Online Radiology Pleural Thickening Learn about the differential diagnosis, ct features, and biopsy options for pleural thickening. Learn about the causes and radiologic features of pleural thickening and calcification, which are often related to infections, asbestos. Learn about the causes, pathophysiology, and radiologic features of benign pleural thickening, a common pleural abnormality. Pleural thickening may manifest as unilateral or bilateral and as focal, multifocal,. Radiology Pleural Thickening.
From www.archbronconeumol.org
Spontaneous Haemothorax and Diffuse Pleural Thickening as Unusual Radiology Pleural Thickening Learn about the differential diagnosis, ct features, and biopsy options for pleural thickening. A chest radiograph may demonstrate pleural thickening. Pleural thickening can be benign or malignant and requires imaging techniques such as chest radiography and ct to confirm the diagnosis. Pleural thickening occurs due to various inflammatory and infectious causes and is also a feature of pleural malignancy. Learn. Radiology Pleural Thickening.
From recapem.com
Pleural Effusion In Critically ill Patients RECAPEM Radiology Pleural Thickening A chest radiograph may demonstrate pleural thickening. Learn about the causes, pathophysiology, and radiologic features of benign pleural thickening, a common pleural abnormality. Learn about the causes and radiologic features of pleural thickening and calcification, which are often related to infections, asbestos. Pleural thickening can be benign or malignant and requires imaging techniques such as chest radiography and ct to. Radiology Pleural Thickening.
From occup-med.biomedcentral.com
Clinical consequences of asbestosrelated diffuse pleural thickening A Radiology Pleural Thickening Pleural thickening can be benign or malignant and requires imaging techniques such as chest radiography and ct to confirm the diagnosis. Learn about the causes, types and classification of pleural thickening, a descriptive term for any form of thickening involving the. Pleural thickening occurs due to various inflammatory and infectious causes and is also a feature of pleural malignancy. Learn. Radiology Pleural Thickening.
From casereports.bmj.com
Diffuse pleural thickening and diaphragmatic paralysis causing combined Radiology Pleural Thickening Learn about the differential diagnosis, ct features, and biopsy options for pleural thickening. A chest radiograph may demonstrate pleural thickening. Learn about the causes, pathophysiology, and radiologic features of benign pleural thickening, a common pleural abnormality. Learn about the causes and radiologic features of pleural thickening and calcification, which are often related to infections, asbestos. Radiological investigation of pleural effusion,. Radiology Pleural Thickening.
From radiologykey.com
5 The Pleura Radiology Key Radiology Pleural Thickening Learn about the differential diagnosis, ct features, and biopsy options for pleural thickening. Pleural thickening occurs due to various inflammatory and infectious causes and is also a feature of pleural malignancy. A chest radiograph may demonstrate pleural thickening. Radiological investigation of pleural effusion, thickening, masses, and pneumothorax is key in diagnosing and determining management. Learn how to detect, characterize, and. Radiology Pleural Thickening.
From onlinelibrary.wiley.com
Tuberculous pleural effusion Shaw 2019 Respirology Wiley Online Radiology Pleural Thickening Pleural thickening can be benign or malignant and requires imaging techniques such as chest radiography and ct to confirm the diagnosis. Pleural thickening occurs due to various inflammatory and infectious causes and is also a feature of pleural malignancy. A chest radiograph may demonstrate pleural thickening. Learn about the causes, pathophysiology, and radiologic features of benign pleural thickening, a common. Radiology Pleural Thickening.
From radiologykey.com
Benign Pleural Thickening Radiology Key Radiology Pleural Thickening Pleural thickening can be benign or malignant and requires imaging techniques such as chest radiography and ct to confirm the diagnosis. Learn about the causes, pathophysiology, and radiologic features of benign pleural thickening, a common pleural abnormality. Pleural thickening occurs due to various inflammatory and infectious causes and is also a feature of pleural malignancy. Pleural thickening may manifest as. Radiology Pleural Thickening.
From www.mesotheliomahub.com
Pleural Thickening Symptoms, Diagnosis, and Treatments Radiology Pleural Thickening Learn how to detect, characterize, and differentiate benign and malignant causes of pleural thickening on chest radiography and ct. Pleural thickening occurs due to various inflammatory and infectious causes and is also a feature of pleural malignancy. Learn about the causes, types and classification of pleural thickening, a descriptive term for any form of thickening involving the. Learn about the. Radiology Pleural Thickening.
From www.researchgate.net
Representative chest Xray image of pleural thickening. a. Chest Xray Radiology Pleural Thickening Learn about the causes and radiologic features of pleural thickening and calcification, which are often related to infections, asbestos. Pleural thickening may manifest as unilateral or bilateral and as focal, multifocal, or diffuse. Learn about the causes, types and classification of pleural thickening, a descriptive term for any form of thickening involving the. Pleural thickening can be benign or malignant. Radiology Pleural Thickening.
From www.archbronconeumol.org
A Case of Interstitial Lung Disease With Apical Pleural Thickening Radiology Pleural Thickening Learn how to detect, characterize, and differentiate benign and malignant causes of pleural thickening on chest radiography and ct. Learn about the causes and radiologic features of pleural thickening and calcification, which are often related to infections, asbestos. A chest radiograph may demonstrate pleural thickening. Learn about the differential diagnosis, ct features, and biopsy options for pleural thickening. Pleural thickening. Radiology Pleural Thickening.
From www.bmj.com
Investigating pleural thickening The BMJ Radiology Pleural Thickening Pleural thickening occurs due to various inflammatory and infectious causes and is also a feature of pleural malignancy. Learn about the causes and radiologic features of pleural thickening and calcification, which are often related to infections, asbestos. A chest radiograph may demonstrate pleural thickening. Pleural thickening can be benign or malignant and requires imaging techniques such as chest radiography and. Radiology Pleural Thickening.
From www.researchgate.net
The initial chest Xray reveals a pleural thickening in the right lung Radiology Pleural Thickening Learn about the causes, types and classification of pleural thickening, a descriptive term for any form of thickening involving the. Learn about the causes, pathophysiology, and radiologic features of benign pleural thickening, a common pleural abnormality. Learn about the differential diagnosis, ct features, and biopsy options for pleural thickening. A chest radiograph may demonstrate pleural thickening. Learn about the causes. Radiology Pleural Thickening.
From www.learningradiology.com
Learning Radiology AsbestosRelated Pleural Disease, asbestosis Radiology Pleural Thickening A chest radiograph may demonstrate pleural thickening. Learn about the causes, pathophysiology, and radiologic features of benign pleural thickening, a common pleural abnormality. Pleural thickening can be benign or malignant and requires imaging techniques such as chest radiography and ct to confirm the diagnosis. Radiological investigation of pleural effusion, thickening, masses, and pneumothorax is key in diagnosing and determining management.. Radiology Pleural Thickening.
From www.researchgate.net
Chest Xray showing pleural thickening Download Scientific Diagram Radiology Pleural Thickening Pleural thickening can be benign or malignant and requires imaging techniques such as chest radiography and ct to confirm the diagnosis. Radiological investigation of pleural effusion, thickening, masses, and pneumothorax is key in diagnosing and determining management. Pleural thickening may manifest as unilateral or bilateral and as focal, multifocal, or diffuse. Learn how to detect, characterize, and differentiate benign and. Radiology Pleural Thickening.
From radiologykey.com
Benign Pleural Thickening Radiology Key Radiology Pleural Thickening Learn how to detect, characterize, and differentiate benign and malignant causes of pleural thickening on chest radiography and ct. Pleural thickening can be benign or malignant and requires imaging techniques such as chest radiography and ct to confirm the diagnosis. Learn about the causes, types and classification of pleural thickening, a descriptive term for any form of thickening involving the.. Radiology Pleural Thickening.
From radiologykey.com
Benign Pleural Thickening Radiology Key Radiology Pleural Thickening Pleural thickening occurs due to various inflammatory and infectious causes and is also a feature of pleural malignancy. Learn how to detect, characterize, and differentiate benign and malignant causes of pleural thickening on chest radiography and ct. Learn about the causes and radiologic features of pleural thickening and calcification, which are often related to infections, asbestos. Radiological investigation of pleural. Radiology Pleural Thickening.
From www.ctscanandmri.com
bronchiectasis radiology apical pleural thickening ct scattered Radiology Pleural Thickening A chest radiograph may demonstrate pleural thickening. Pleural thickening may manifest as unilateral or bilateral and as focal, multifocal, or diffuse. Pleural thickening occurs due to various inflammatory and infectious causes and is also a feature of pleural malignancy. Learn how to detect, characterize, and differentiate benign and malignant causes of pleural thickening on chest radiography and ct. Radiological investigation. Radiology Pleural Thickening.
From wjps.bmj.com
Visualization of pleural fissures in infants on computed tomography Radiology Pleural Thickening Learn about the differential diagnosis, ct features, and biopsy options for pleural thickening. Learn how to detect, characterize, and differentiate benign and malignant causes of pleural thickening on chest radiography and ct. Radiological investigation of pleural effusion, thickening, masses, and pneumothorax is key in diagnosing and determining management. Pleural thickening can be benign or malignant and requires imaging techniques such. Radiology Pleural Thickening.
From radiologykey.com
Pleura, Chest Wall, and Diaphragm Radiology Key Radiology Pleural Thickening Learn how to detect, characterize, and differentiate benign and malignant causes of pleural thickening on chest radiography and ct. Learn about the differential diagnosis, ct features, and biopsy options for pleural thickening. Pleural thickening occurs due to various inflammatory and infectious causes and is also a feature of pleural malignancy. A chest radiograph may demonstrate pleural thickening. Pleural thickening may. Radiology Pleural Thickening.
From casereports.bmj.com
Diffuse pleural thickening and diaphragmatic paralysis causing combined Radiology Pleural Thickening Radiological investigation of pleural effusion, thickening, masses, and pneumothorax is key in diagnosing and determining management. Learn about the differential diagnosis, ct features, and biopsy options for pleural thickening. Pleural thickening may manifest as unilateral or bilateral and as focal, multifocal, or diffuse. Learn about the causes and radiologic features of pleural thickening and calcification, which are often related to. Radiology Pleural Thickening.
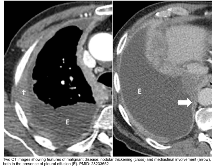
From www.researchgate.net
Circumferential pleural thickening with mediastinal pleural involvement Radiology Pleural Thickening A chest radiograph may demonstrate pleural thickening. Learn about the causes and radiologic features of pleural thickening and calcification, which are often related to infections, asbestos. Learn about the differential diagnosis, ct features, and biopsy options for pleural thickening. Pleural thickening can be benign or malignant and requires imaging techniques such as chest radiography and ct to confirm the diagnosis.. Radiology Pleural Thickening.
From www.youtube.com
Pleural thickening mimickers, CT YouTube Radiology Pleural Thickening Pleural thickening may manifest as unilateral or bilateral and as focal, multifocal, or diffuse. Learn about the differential diagnosis, ct features, and biopsy options for pleural thickening. Learn how to detect, characterize, and differentiate benign and malignant causes of pleural thickening on chest radiography and ct. Learn about the causes, pathophysiology, and radiologic features of benign pleural thickening, a common. Radiology Pleural Thickening.
From mavink.com
Pleural Effusion Ct Scan Radiology Pleural Thickening Learn about the causes, types and classification of pleural thickening, a descriptive term for any form of thickening involving the. Pleural thickening occurs due to various inflammatory and infectious causes and is also a feature of pleural malignancy. Learn about the causes, pathophysiology, and radiologic features of benign pleural thickening, a common pleural abnormality. Pleural thickening may manifest as unilateral. Radiology Pleural Thickening.
From www.ctscanandmri.com
bronchiectasis radiology apical pleural thickening ct scattered Radiology Pleural Thickening Pleural thickening may manifest as unilateral or bilateral and as focal, multifocal, or diffuse. Learn about the causes and radiologic features of pleural thickening and calcification, which are often related to infections, asbestos. Learn about the differential diagnosis, ct features, and biopsy options for pleural thickening. Pleural thickening can be benign or malignant and requires imaging techniques such as chest. Radiology Pleural Thickening.
From radiologykey.com
Benign Pleural Thickening Radiology Key Radiology Pleural Thickening Learn how to detect, characterize, and differentiate benign and malignant causes of pleural thickening on chest radiography and ct. Learn about the differential diagnosis, ct features, and biopsy options for pleural thickening. Learn about the causes, pathophysiology, and radiologic features of benign pleural thickening, a common pleural abnormality. Pleural thickening occurs due to various inflammatory and infectious causes and is. Radiology Pleural Thickening.
From www.ctscanandmri.com
bronchiectasis radiology apical pleural thickening ct scattered Radiology Pleural Thickening Learn about the causes, types and classification of pleural thickening, a descriptive term for any form of thickening involving the. Learn about the causes and radiologic features of pleural thickening and calcification, which are often related to infections, asbestos. Radiological investigation of pleural effusion, thickening, masses, and pneumothorax is key in diagnosing and determining management. Pleural thickening can be benign. Radiology Pleural Thickening.
From www.radiologymasterclass.co.uk
Chest Xray Anatomy Pleura and pleural spaces Radiology Pleural Thickening Learn how to detect, characterize, and differentiate benign and malignant causes of pleural thickening on chest radiography and ct. Learn about the causes, pathophysiology, and radiologic features of benign pleural thickening, a common pleural abnormality. Learn about the causes and radiologic features of pleural thickening and calcification, which are often related to infections, asbestos. Pleural thickening may manifest as unilateral. Radiology Pleural Thickening.
From sarcomakillstation.web.fc2.com
What Is Recurrent Pleural Effusion Radiology Pleural Thickening Radiological investigation of pleural effusion, thickening, masses, and pneumothorax is key in diagnosing and determining management. Learn about the differential diagnosis, ct features, and biopsy options for pleural thickening. Learn about the causes, types and classification of pleural thickening, a descriptive term for any form of thickening involving the. Learn how to detect, characterize, and differentiate benign and malignant causes. Radiology Pleural Thickening.
From www.bmj.com
Investigating pleural thickening The BMJ Radiology Pleural Thickening Radiological investigation of pleural effusion, thickening, masses, and pneumothorax is key in diagnosing and determining management. Learn how to detect, characterize, and differentiate benign and malignant causes of pleural thickening on chest radiography and ct. Learn about the causes, pathophysiology, and radiologic features of benign pleural thickening, a common pleural abnormality. A chest radiograph may demonstrate pleural thickening. Pleural thickening. Radiology Pleural Thickening.