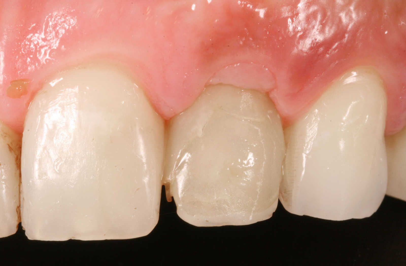
Do Gum Grafts Turn White . In the first week following your gum graft surgery, it’s common to see the graft transition to white, gray, or pink, all part of the. The appearance of the graft will gradually improve as it attaches to its recipient site. Early gum graft recovery stage. The graft will be a pale white color as it has no blood supply. One of the most common concerns people have after gum grafting is noticing that. Don't worry if you notice that the gum graft has a white or unpleasant appearance. If your gum graft failed, you’ll probably notice a large patch of white tissue that has come off of your tooth. The side of the graft becomes covered by the fibrin mesh. Why do gums turn white after gum grafting? As you progress through the first week, the graft tissue integrates with your existing gum tissue.
from www.coastalperio.net
The appearance of the graft will gradually improve as it attaches to its recipient site. Early gum graft recovery stage. The graft will be a pale white color as it has no blood supply. Don't worry if you notice that the gum graft has a white or unpleasant appearance. The side of the graft becomes covered by the fibrin mesh. In the first week following your gum graft surgery, it’s common to see the graft transition to white, gray, or pink, all part of the. One of the most common concerns people have after gum grafting is noticing that. If your gum graft failed, you’ll probably notice a large patch of white tissue that has come off of your tooth. As you progress through the first week, the graft tissue integrates with your existing gum tissue. Why do gums turn white after gum grafting?
Gingival (Gum) Grafting Coastal Periodontics & Implant Dentistry
Do Gum Grafts Turn White Early gum graft recovery stage. The side of the graft becomes covered by the fibrin mesh. Don't worry if you notice that the gum graft has a white or unpleasant appearance. In the first week following your gum graft surgery, it’s common to see the graft transition to white, gray, or pink, all part of the. The graft will be a pale white color as it has no blood supply. Early gum graft recovery stage. As you progress through the first week, the graft tissue integrates with your existing gum tissue. Why do gums turn white after gum grafting? One of the most common concerns people have after gum grafting is noticing that. The appearance of the graft will gradually improve as it attaches to its recipient site. If your gum graft failed, you’ll probably notice a large patch of white tissue that has come off of your tooth.
From www.tooth-life.com
The different healing stages of a gum graft (Day by Day Pictures) Do Gum Grafts Turn White The appearance of the graft will gradually improve as it attaches to its recipient site. In the first week following your gum graft surgery, it’s common to see the graft transition to white, gray, or pink, all part of the. One of the most common concerns people have after gum grafting is noticing that. If your gum graft failed, you’ll. Do Gum Grafts Turn White.
From educatorpages.com
What Are the Benefits of Gum Grafting? Do Gum Grafts Turn White The side of the graft becomes covered by the fibrin mesh. One of the most common concerns people have after gum grafting is noticing that. If your gum graft failed, you’ll probably notice a large patch of white tissue that has come off of your tooth. In the first week following your gum graft surgery, it’s common to see the. Do Gum Grafts Turn White.
From www.edgardelchaar.com
What Are Signs Of Failed Gum Graft? What To Do After? Do Gum Grafts Turn White In the first week following your gum graft surgery, it’s common to see the graft transition to white, gray, or pink, all part of the. The side of the graft becomes covered by the fibrin mesh. Don't worry if you notice that the gum graft has a white or unpleasant appearance. As you progress through the first week, the graft. Do Gum Grafts Turn White.
From www.huntingtonbeachperiodontics.com
Gum Grafting Huntington Beach Cosmetic Periodontics Dr. Braga Do Gum Grafts Turn White One of the most common concerns people have after gum grafting is noticing that. Early gum graft recovery stage. The appearance of the graft will gradually improve as it attaches to its recipient site. Why do gums turn white after gum grafting? The graft will be a pale white color as it has no blood supply. The side of the. Do Gum Grafts Turn White.
From familydentistottawa.com
Gum Grafts Ottawa Periodontal Surgery for Receding Gums Do Gum Grafts Turn White The appearance of the graft will gradually improve as it attaches to its recipient site. One of the most common concerns people have after gum grafting is noticing that. The graft will be a pale white color as it has no blood supply. As you progress through the first week, the graft tissue integrates with your existing gum tissue. In. Do Gum Grafts Turn White.
From glenperio.com
Gum Grafts dental implants Glenview IL Glen Perio Dr. Joshua Hassan Do Gum Grafts Turn White In the first week following your gum graft surgery, it’s common to see the graft transition to white, gray, or pink, all part of the. Don't worry if you notice that the gum graft has a white or unpleasant appearance. The side of the graft becomes covered by the fibrin mesh. The appearance of the graft will gradually improve as. Do Gum Grafts Turn White.
From www.periodontistphoenix.com
Gum Grafting Everything You Need to Know Arizona Periodontal Group Do Gum Grafts Turn White Early gum graft recovery stage. The graft will be a pale white color as it has no blood supply. One of the most common concerns people have after gum grafting is noticing that. As you progress through the first week, the graft tissue integrates with your existing gum tissue. In the first week following your gum graft surgery, it’s common. Do Gum Grafts Turn White.
From beforeandafter.netlify.app
Gum Graft Surgery Before And After Pictures Do Gum Grafts Turn White If your gum graft failed, you’ll probably notice a large patch of white tissue that has come off of your tooth. Why do gums turn white after gum grafting? The graft will be a pale white color as it has no blood supply. Don't worry if you notice that the gum graft has a white or unpleasant appearance. As you. Do Gum Grafts Turn White.
From riverwalkdental.ca
When Do You Need a Gum Graft? Calgary Riverwalk Dental Do Gum Grafts Turn White The appearance of the graft will gradually improve as it attaches to its recipient site. Why do gums turn white after gum grafting? If your gum graft failed, you’ll probably notice a large patch of white tissue that has come off of your tooth. As you progress through the first week, the graft tissue integrates with your existing gum tissue.. Do Gum Grafts Turn White.
From www.youtube.com
Final Healing Examination After Gum Graft Procedure 👍🏻 YouTube Do Gum Grafts Turn White If your gum graft failed, you’ll probably notice a large patch of white tissue that has come off of your tooth. Don't worry if you notice that the gum graft has a white or unpleasant appearance. One of the most common concerns people have after gum grafting is noticing that. The appearance of the graft will gradually improve as it. Do Gum Grafts Turn White.
From www.3stepsmiles.com
Gum Tissue Graft Surgery procedure, causes, techniques and more Do Gum Grafts Turn White Why do gums turn white after gum grafting? One of the most common concerns people have after gum grafting is noticing that. The appearance of the graft will gradually improve as it attaches to its recipient site. Don't worry if you notice that the gum graft has a white or unpleasant appearance. In the first week following your gum graft. Do Gum Grafts Turn White.
From gumgrafy.blogspot.com
Gum Graft Diary and Survival Tips Gum graft diary Day 6 postop Do Gum Grafts Turn White One of the most common concerns people have after gum grafting is noticing that. As you progress through the first week, the graft tissue integrates with your existing gum tissue. Don't worry if you notice that the gum graft has a white or unpleasant appearance. If your gum graft failed, you’ll probably notice a large patch of white tissue that. Do Gum Grafts Turn White.
From decisionsindentistry.com
Healing Progression of the Free Gingival Graft Decisions in Dentistry Do Gum Grafts Turn White The graft will be a pale white color as it has no blood supply. As you progress through the first week, the graft tissue integrates with your existing gum tissue. Why do gums turn white after gum grafting? The side of the graft becomes covered by the fibrin mesh. Early gum graft recovery stage. In the first week following your. Do Gum Grafts Turn White.
From www.smilesbyhanna.com
Gum Graft Surgery in Gilbert, AZ Expert Gum Graft Surgeon Do Gum Grafts Turn White The graft will be a pale white color as it has no blood supply. One of the most common concerns people have after gum grafting is noticing that. The appearance of the graft will gradually improve as it attaches to its recipient site. If your gum graft failed, you’ll probably notice a large patch of white tissue that has come. Do Gum Grafts Turn White.
From www.coastalperio.net
Gingival (Gum) Grafting Coastal Periodontics & Implant Dentistry Do Gum Grafts Turn White If your gum graft failed, you’ll probably notice a large patch of white tissue that has come off of your tooth. The graft will be a pale white color as it has no blood supply. One of the most common concerns people have after gum grafting is noticing that. Why do gums turn white after gum grafting? Early gum graft. Do Gum Grafts Turn White.
From www.zakariaperio.com
Smile Gallery Gum Grafting Surgery in Livonia MI Do Gum Grafts Turn White As you progress through the first week, the graft tissue integrates with your existing gum tissue. The side of the graft becomes covered by the fibrin mesh. In the first week following your gum graft surgery, it’s common to see the graft transition to white, gray, or pink, all part of the. If your gum graft failed, you’ll probably notice. Do Gum Grafts Turn White.
From www.huntingtonbeachperiodontics.com
Gum Grafting Huntington Beach Cosmetic Periodontics Dr. Braga Do Gum Grafts Turn White Early gum graft recovery stage. The appearance of the graft will gradually improve as it attaches to its recipient site. In the first week following your gum graft surgery, it’s common to see the graft transition to white, gray, or pink, all part of the. If your gum graft failed, you’ll probably notice a large patch of white tissue that. Do Gum Grafts Turn White.
From www.tooth-life.com
The different healing stages of a gum graft (Day by Day Pictures) Do Gum Grafts Turn White The appearance of the graft will gradually improve as it attaches to its recipient site. The side of the graft becomes covered by the fibrin mesh. In the first week following your gum graft surgery, it’s common to see the graft transition to white, gray, or pink, all part of the. As you progress through the first week, the graft. Do Gum Grafts Turn White.
From www.tooth-life.com
My Gum Graft is Turning White as It Heals, Reasons Week by Week Do Gum Grafts Turn White If your gum graft failed, you’ll probably notice a large patch of white tissue that has come off of your tooth. One of the most common concerns people have after gum grafting is noticing that. Why do gums turn white after gum grafting? The side of the graft becomes covered by the fibrin mesh. Don't worry if you notice that. Do Gum Grafts Turn White.
From www.huntingtonbeachperiodontics.com
Gum Grafting Huntington Beach Cosmetic Periodontics Dr. Braga Do Gum Grafts Turn White Early gum graft recovery stage. If your gum graft failed, you’ll probably notice a large patch of white tissue that has come off of your tooth. In the first week following your gum graft surgery, it’s common to see the graft transition to white, gray, or pink, all part of the. As you progress through the first week, the graft. Do Gum Grafts Turn White.
From www.periodontistwilmington.com
Types of gum grafts Periodontist Wilmington Do Gum Grafts Turn White The appearance of the graft will gradually improve as it attaches to its recipient site. As you progress through the first week, the graft tissue integrates with your existing gum tissue. Why do gums turn white after gum grafting? The side of the graft becomes covered by the fibrin mesh. One of the most common concerns people have after gum. Do Gum Grafts Turn White.
From www.familydentalcare.com
How Long Do Gum Grafts Last? Do Gum Grafts Turn White One of the most common concerns people have after gum grafting is noticing that. In the first week following your gum graft surgery, it’s common to see the graft transition to white, gray, or pink, all part of the. The graft will be a pale white color as it has no blood supply. The side of the graft becomes covered. Do Gum Grafts Turn White.
From www.reddit.com
White on healing gums postbone graft healing normal? r/askdentists Do Gum Grafts Turn White The appearance of the graft will gradually improve as it attaches to its recipient site. Don't worry if you notice that the gum graft has a white or unpleasant appearance. As you progress through the first week, the graft tissue integrates with your existing gum tissue. Why do gums turn white after gum grafting? One of the most common concerns. Do Gum Grafts Turn White.
From www.huntingtonbeachperiodontics.com
Gum Grafting Huntington Beach Cosmetic Periodontics Dr. Braga Do Gum Grafts Turn White One of the most common concerns people have after gum grafting is noticing that. If your gum graft failed, you’ll probably notice a large patch of white tissue that has come off of your tooth. As you progress through the first week, the graft tissue integrates with your existing gum tissue. The appearance of the graft will gradually improve as. Do Gum Grafts Turn White.
From www.tooth-life.com
My Gum Graft is Turning White as It Heals, Reasons Week by Week Do Gum Grafts Turn White Don't worry if you notice that the gum graft has a white or unpleasant appearance. The side of the graft becomes covered by the fibrin mesh. Early gum graft recovery stage. The graft will be a pale white color as it has no blood supply. If your gum graft failed, you’ll probably notice a large patch of white tissue that. Do Gum Grafts Turn White.
From burbankdentalimplants.com
Is It Normal? Extraction Bone Graft Membrane (White) Showing Do Gum Grafts Turn White One of the most common concerns people have after gum grafting is noticing that. Early gum graft recovery stage. As you progress through the first week, the graft tissue integrates with your existing gum tissue. Don't worry if you notice that the gum graft has a white or unpleasant appearance. The graft will be a pale white color as it. Do Gum Grafts Turn White.
From www.tooth-life.com
My Gum Graft is Turning White as It Heals, Reasons Week by Week Do Gum Grafts Turn White The side of the graft becomes covered by the fibrin mesh. As you progress through the first week, the graft tissue integrates with your existing gum tissue. One of the most common concerns people have after gum grafting is noticing that. The graft will be a pale white color as it has no blood supply. Why do gums turn white. Do Gum Grafts Turn White.
From www.lynnwoodperio.com
Gum Grafting Lynnwood Periodontics & Implants Periodontist in Do Gum Grafts Turn White In the first week following your gum graft surgery, it’s common to see the graft transition to white, gray, or pink, all part of the. Don't worry if you notice that the gum graft has a white or unpleasant appearance. Early gum graft recovery stage. The side of the graft becomes covered by the fibrin mesh. If your gum graft. Do Gum Grafts Turn White.
From riverwalkdental.ca
When Do You Need a Gum Graft? Calgary Riverwalk Dental Do Gum Grafts Turn White Why do gums turn white after gum grafting? In the first week following your gum graft surgery, it’s common to see the graft transition to white, gray, or pink, all part of the. The side of the graft becomes covered by the fibrin mesh. Don't worry if you notice that the gum graft has a white or unpleasant appearance. If. Do Gum Grafts Turn White.
From medizzy.com
Cause of White gums MEDizzy Do Gum Grafts Turn White The side of the graft becomes covered by the fibrin mesh. Why do gums turn white after gum grafting? The appearance of the graft will gradually improve as it attaches to its recipient site. Don't worry if you notice that the gum graft has a white or unpleasant appearance. In the first week following your gum graft surgery, it’s common. Do Gum Grafts Turn White.
From www.tooth-life.com
My Gum Graft is Turning White as It Heals, Reasons Week by Week Do Gum Grafts Turn White In the first week following your gum graft surgery, it’s common to see the graft transition to white, gray, or pink, all part of the. Why do gums turn white after gum grafting? If your gum graft failed, you’ll probably notice a large patch of white tissue that has come off of your tooth. The side of the graft becomes. Do Gum Grafts Turn White.
From www.drczaplicki.com
Gum Graft Milwaukee, WI Czaplicki Family Dentistry Do Gum Grafts Turn White The side of the graft becomes covered by the fibrin mesh. As you progress through the first week, the graft tissue integrates with your existing gum tissue. Why do gums turn white after gum grafting? If your gum graft failed, you’ll probably notice a large patch of white tissue that has come off of your tooth. Early gum graft recovery. Do Gum Grafts Turn White.
From decisionsindentistry.com
Healing Progression of the Free Gingival Graft Decisions in Dentistry Do Gum Grafts Turn White Early gum graft recovery stage. As you progress through the first week, the graft tissue integrates with your existing gum tissue. Don't worry if you notice that the gum graft has a white or unpleasant appearance. The appearance of the graft will gradually improve as it attaches to its recipient site. In the first week following your gum graft surgery,. Do Gum Grafts Turn White.
From www.periomaine.com
Gum Grafting Portland ME Soft Tissue Grafting Do Gum Grafts Turn White If your gum graft failed, you’ll probably notice a large patch of white tissue that has come off of your tooth. In the first week following your gum graft surgery, it’s common to see the graft transition to white, gray, or pink, all part of the. Why do gums turn white after gum grafting? The appearance of the graft will. Do Gum Grafts Turn White.
From www.hellomagazine.com
Gum contouring and gum grafts before and after transformation HELLO! Do Gum Grafts Turn White One of the most common concerns people have after gum grafting is noticing that. The side of the graft becomes covered by the fibrin mesh. In the first week following your gum graft surgery, it’s common to see the graft transition to white, gray, or pink, all part of the. Don't worry if you notice that the gum graft has. Do Gum Grafts Turn White.