Wind Instrument Hypersensitivity Pneumonitis . for example, wind instruments can potentially harbor thousands of pathogenic organisms. wind instrument musicians are at an increased risk of a potential hazard dubbed 'bagpipe lung' that could lead to chronic. hypersensitivity pneumonitis (hp) is a complex and heterogeneous interstitial lung disease (ild) that occurs when. Hypersensitivity pneumonitis (hp) is an interstitial lung disease characterized by lung. playing a wind instrument is an increasingly reported cause of hypersensitivity pneumonitis. playing a wind instrument is an increasingly reported cause of hypersensitivity pneumonitis. If several players share the. hypersensitivity pneumonitis (hp) can be caused by nearly any organic antigen and selected chemicals. Playing a wind instrument is an increasingly reported cause of hypersensitivity pneumonitis. we report two cases of hp caused by molds and atypical mycobacteria isolated from wind. As described in the above. recently, clinicians identified a new type of ‘wind instrument’ as a potential cause of hp if it is inadequately cleaned and remains. hypersensitivity pneumonitis (hp) is a complex pulmonary disorder mediated by the immune system and caused by various. an additional study confirmed the frequent colonization of saxophones with potentially pathogenic molds, such as fusarium sp,. hypersensitivity pneumonitis (hp) is a complex pulmonary disorder mediated by the immune system and.
from www.drsheetusingh.com
hypersensitivity pneumonitis (hp) is a complex and heterogeneous interstitial lung disease (ild) that occurs when. an additional study confirmed the frequent colonization of saxophones with potentially pathogenic molds, such as fusarium sp,. Hypersensitivity pneumonitis (hp) is an interstitial lung disease characterized by lung. playing a wind instrument is an increasingly reported cause of hypersensitivity pneumonitis. playing a wind instrument is an increasingly reported cause of hypersensitivity pneumonitis. hypersensitivity pneumonitis (hp) is a complex pulmonary disorder mediated by the immune system and caused by various. for example, wind instruments can potentially harbor thousands of pathogenic organisms. king calls playing wind instruments a “risk factor” for hypersensitivity pneumonitis. wind instrument musicians are at an increased risk of a potential hazard dubbed 'bagpipe lung' that could lead to chronic. hp caused by fungi and bacteria in wind instruments is probably underdiagnosed;
Hypersensitivity Pneumonitis causes, symptoms & treatment
Wind Instrument Hypersensitivity Pneumonitis an additional study confirmed the frequent colonization of saxophones with potentially pathogenic molds, such as fusarium sp,. we report two cases of hp caused by molds and atypical mycobacteria isolated from wind. recently, clinicians identified a new type of ‘wind instrument’ as a potential cause of hp if it is inadequately cleaned and remains. Hypersensitivity pneumonitis (hp) is an interstitial lung disease characterized by lung. hypersensitivity pneumonitis (hp) can be caused by nearly any organic antigen and selected chemicals. hp caused by fungi and bacteria in wind instruments is probably underdiagnosed; hypersensitivity pneumonitis (hp) is a complex pulmonary disorder mediated by the immune system and. hypersensitivity pneumonitis is triggered by the immune system's response to an inhaled environmental. for example, wind instruments can potentially harbor thousands of pathogenic organisms. Playing a wind instrument is an increasingly reported cause of hypersensitivity pneumonitis. If several players share the. hypersensitivity pneumonitis (hp) is a complex pulmonary disorder mediated by the immune system and caused by various. wind instrument musicians are at an increased risk of a potential hazard dubbed 'bagpipe lung' that could lead to chronic. an additional study confirmed the frequent colonization of saxophones with potentially pathogenic molds, such as fusarium sp,. playing a wind instrument is an increasingly reported cause of hypersensitivity pneumonitis. to play a wind instrument, such as a saxophone or a trombone, one needs good lungs.
From www.semanticscholar.org
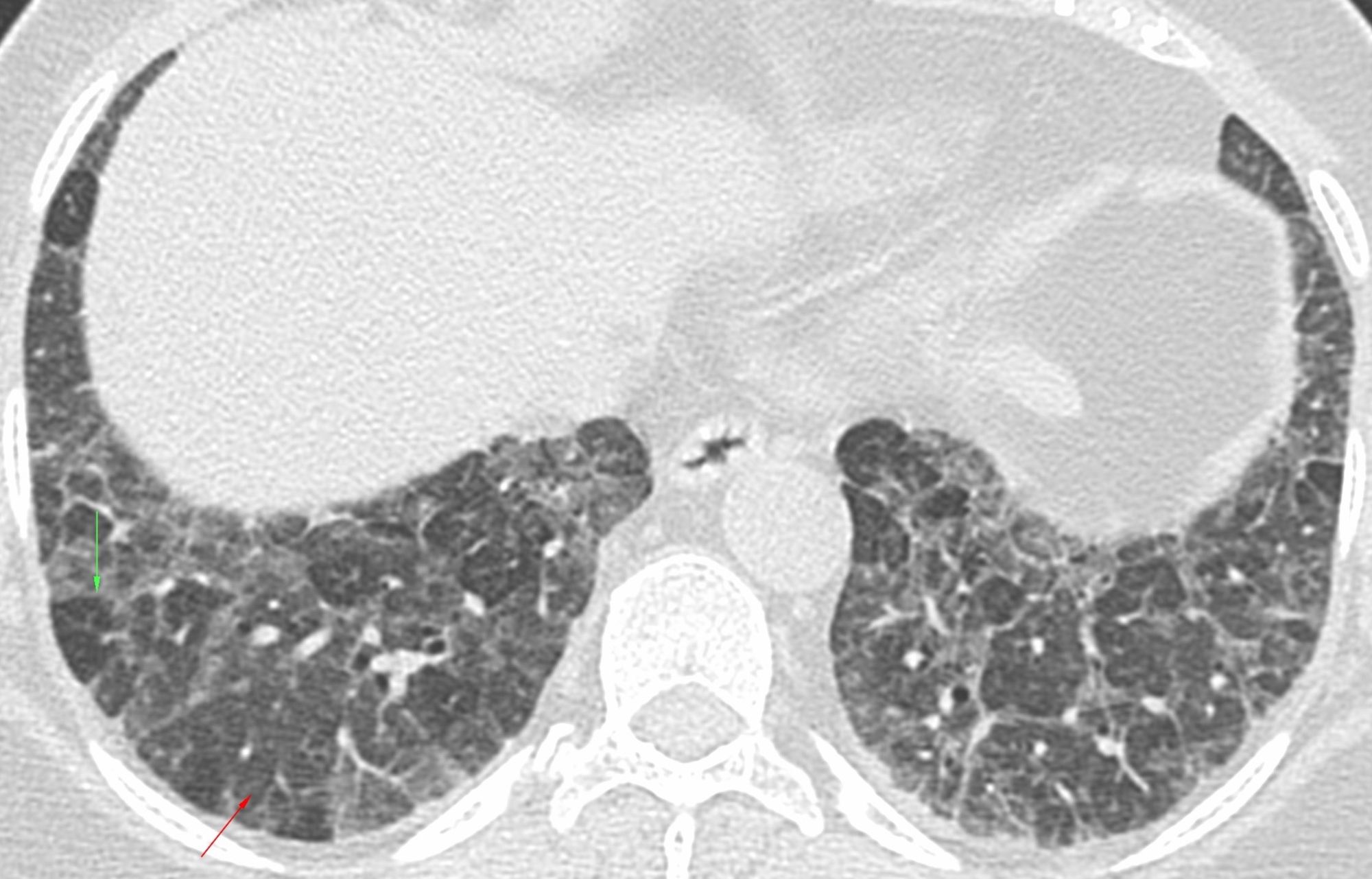
Figure 3 from Hypersensitivity pneumonitis imaging findings on high Wind Instrument Hypersensitivity Pneumonitis Playing a wind instrument is an increasingly reported cause of hypersensitivity pneumonitis. hypersensitivity pneumonitis is triggered by the immune system's response to an inhaled environmental. recently, clinicians identified a new type of ‘wind instrument’ as a potential cause of hp if it is inadequately cleaned and remains. hypersensitivity pneumonitis (hp) is a complex pulmonary disorder mediated by. Wind Instrument Hypersensitivity Pneumonitis.
From www.ajronline.org
Hypersensitivity Pneumonitis Spectrum of HighResolution CT and Wind Instrument Hypersensitivity Pneumonitis Playing a wind instrument is an increasingly reported cause of hypersensitivity pneumonitis. king calls playing wind instruments a “risk factor” for hypersensitivity pneumonitis. we report two cases of hp caused by molds and atypical mycobacteria isolated from wind. As described in the above. hypersensitivity pneumonitis (hp) is a complex pulmonary disorder mediated by the immune system and.. Wind Instrument Hypersensitivity Pneumonitis.
From dokumen.tips
(PDF) Hypersensitivity Pneumonitis Guidelines for Diagnosis of Wind Instrument Hypersensitivity Pneumonitis an additional study confirmed the frequent colonization of saxophones with potentially pathogenic molds, such as fusarium sp,. for example, wind instruments can potentially harbor thousands of pathogenic organisms. Playing a wind instrument is an increasingly reported cause of hypersensitivity pneumonitis. Hypersensitivity pneumonitis (hp) is an interstitial lung disease characterized by lung. hp caused by fungi and bacteria. Wind Instrument Hypersensitivity Pneumonitis.
From lungs.thecommonvein.net
173Lu Hypersensitivity Pneumonitis (HP) Lungs Wind Instrument Hypersensitivity Pneumonitis hypersensitivity pneumonitis is triggered by the immune system's response to an inhaled environmental. hypersensitivity pneumonitis (hp) is a complex and heterogeneous interstitial lung disease (ild) that occurs when. If several players share the. hypersensitivity pneumonitis (hp) is a complex pulmonary disorder mediated by the immune system and. playing a wind instrument is an increasingly reported cause. Wind Instrument Hypersensitivity Pneumonitis.
From www.lybrate.com
Hypersensitivity Pneumonitis Causes, Symptoms, Treatment and Cost Wind Instrument Hypersensitivity Pneumonitis recently, clinicians identified a new type of ‘wind instrument’ as a potential cause of hp if it is inadequately cleaned and remains. hp caused by fungi and bacteria in wind instruments is probably underdiagnosed; an additional study confirmed the frequent colonization of saxophones with potentially pathogenic molds, such as fusarium sp,. Hypersensitivity pneumonitis (hp) is an interstitial. Wind Instrument Hypersensitivity Pneumonitis.
From www.mdpi.com
Diagnostics Free FullText RealLife Diagnostic Performance of the Wind Instrument Hypersensitivity Pneumonitis wind instrument musicians are at an increased risk of a potential hazard dubbed 'bagpipe lung' that could lead to chronic. playing a wind instrument is an increasingly reported cause of hypersensitivity pneumonitis. hypersensitivity pneumonitis (hp) is a complex and heterogeneous interstitial lung disease (ild) that occurs when. hypersensitivity pneumonitis (hp) can be caused by nearly any. Wind Instrument Hypersensitivity Pneumonitis.
From www.surgpath.theclinics.com
Hypersensitivity Pneumonitis Essential Radiologic and Pathologic Wind Instrument Hypersensitivity Pneumonitis we read with interest the two articles in chest (september 2010) from metzger et al 1 and metersky et al 2 that implicate wind. hypersensitivity pneumonitis (hp) is a complex and heterogeneous interstitial lung disease (ild) that occurs when. we report two cases of hp caused by molds and atypical mycobacteria isolated from wind. recently, clinicians. Wind Instrument Hypersensitivity Pneumonitis.
From www.osmosis.org
Hypersensitivity pneumonitis Video & Anatomy Osmosis Wind Instrument Hypersensitivity Pneumonitis an additional study confirmed the frequent colonization of saxophones with potentially pathogenic molds, such as fusarium sp,. hypersensitivity pneumonitis (hp) is a complex pulmonary disorder mediated by the immune system and caused by various. If several players share the. wind instrument musicians are at an increased risk of a potential hazard dubbed 'bagpipe lung' that could lead. Wind Instrument Hypersensitivity Pneumonitis.
From pubs.rsna.org
Hypersensitivity Pneumonitis A Historical, Clinical, and Radiologic Wind Instrument Hypersensitivity Pneumonitis we report two cases of hp caused by molds and atypical mycobacteria isolated from wind. playing a wind instrument is an increasingly reported cause of hypersensitivity pneumonitis. king calls playing wind instruments a “risk factor” for hypersensitivity pneumonitis. If several players share the. hypersensitivity pneumonitis (hp) is a complex and heterogeneous interstitial lung disease (ild) that. Wind Instrument Hypersensitivity Pneumonitis.
From medicaldialogues.in
Diagnosis and management of hypersensitivity pneumonitis Chest guidelines Wind Instrument Hypersensitivity Pneumonitis we report two cases of hp caused by molds and atypical mycobacteria isolated from wind. If several players share the. Playing a wind instrument is an increasingly reported cause of hypersensitivity pneumonitis. wind instrument musicians are at an increased risk of a potential hazard dubbed 'bagpipe lung' that could lead to chronic. Hypersensitivity pneumonitis (hp) is an interstitial. Wind Instrument Hypersensitivity Pneumonitis.
From www.semanticscholar.org
Figure 2 from Fibrotic Hypersensitivity Pneumonitis Diagnosed by a Re Wind Instrument Hypersensitivity Pneumonitis Hypersensitivity pneumonitis (hp) is an interstitial lung disease characterized by lung. to play a wind instrument, such as a saxophone or a trombone, one needs good lungs. king calls playing wind instruments a “risk factor” for hypersensitivity pneumonitis. If several players share the. an additional study confirmed the frequent colonization of saxophones with potentially pathogenic molds, such. Wind Instrument Hypersensitivity Pneumonitis.
From www.youtube.com
CaseBased Hypersensitivity Pneumonitis YouTube Wind Instrument Hypersensitivity Pneumonitis hp caused by fungi and bacteria in wind instruments is probably underdiagnosed; to play a wind instrument, such as a saxophone or a trombone, one needs good lungs. recently, clinicians identified a new type of ‘wind instrument’ as a potential cause of hp if it is inadequately cleaned and remains. we read with interest the two. Wind Instrument Hypersensitivity Pneumonitis.
From radiopaedia.org
Hypersensitivity pneumonitis Image Wind Instrument Hypersensitivity Pneumonitis Playing a wind instrument is an increasingly reported cause of hypersensitivity pneumonitis. recently, clinicians identified a new type of ‘wind instrument’ as a potential cause of hp if it is inadequately cleaned and remains. playing a wind instrument is an increasingly reported cause of hypersensitivity pneumonitis. hypersensitivity pneumonitis is triggered by the immune system's response to an. Wind Instrument Hypersensitivity Pneumonitis.
From radiologykey.com
Hypersensitivity Pneumonitis Radiology Key Wind Instrument Hypersensitivity Pneumonitis hypersensitivity pneumonitis is triggered by the immune system's response to an inhaled environmental. hypersensitivity pneumonitis (hp) can be caused by nearly any organic antigen and selected chemicals. we read with interest the two articles in chest (september 2010) from metzger et al 1 and metersky et al 2 that implicate wind. hypersensitivity pneumonitis (hp) is a. Wind Instrument Hypersensitivity Pneumonitis.
From www.mdpi.com
Diagnostics Free FullText Hypersensitivity Pneumonitis A Wind Instrument Hypersensitivity Pneumonitis Hypersensitivity pneumonitis (hp) is an interstitial lung disease characterized by lung. hypersensitivity pneumonitis is triggered by the immune system's response to an inhaled environmental. we read with interest the two articles in chest (september 2010) from metzger et al 1 and metersky et al 2 that implicate wind. hypersensitivity pneumonitis (hp) is a complex pulmonary disorder mediated. Wind Instrument Hypersensitivity Pneumonitis.
From www.radiologic.theclinics.com
Updated Imaging Classification of Hypersensitivity Pneumonitis Wind Instrument Hypersensitivity Pneumonitis we report two cases of hp caused by molds and atypical mycobacteria isolated from wind. king calls playing wind instruments a “risk factor” for hypersensitivity pneumonitis. hypersensitivity pneumonitis is triggered by the immune system's response to an inhaled environmental. hp caused by fungi and bacteria in wind instruments is probably underdiagnosed; If several players share the.. Wind Instrument Hypersensitivity Pneumonitis.
From www.ctchestreview.com
Hypersensitivity Pneumonitis CT Chest Review Wind Instrument Hypersensitivity Pneumonitis we read with interest the two articles in chest (september 2010) from metzger et al 1 and metersky et al 2 that implicate wind. hypersensitivity pneumonitis (hp) is a complex pulmonary disorder mediated by the immune system and caused by various. wind instrument musicians are at an increased risk of a potential hazard dubbed 'bagpipe lung' that. Wind Instrument Hypersensitivity Pneumonitis.
From www.slideshare.net
Hypersensitivity Pneumonitis Wind Instrument Hypersensitivity Pneumonitis If several players share the. for example, wind instruments can potentially harbor thousands of pathogenic organisms. Hypersensitivity pneumonitis (hp) is an interstitial lung disease characterized by lung. recently, clinicians identified a new type of ‘wind instrument’ as a potential cause of hp if it is inadequately cleaned and remains. an additional study confirmed the frequent colonization of. Wind Instrument Hypersensitivity Pneumonitis.
From www.lybrate.com
Hypersensitivity Pneumonitis Causes, Symptoms, Treatment and Cost Wind Instrument Hypersensitivity Pneumonitis for example, wind instruments can potentially harbor thousands of pathogenic organisms. hypersensitivity pneumonitis is triggered by the immune system's response to an inhaled environmental. playing a wind instrument is an increasingly reported cause of hypersensitivity pneumonitis. Playing a wind instrument is an increasingly reported cause of hypersensitivity pneumonitis. If several players share the. to play a. Wind Instrument Hypersensitivity Pneumonitis.
From pubs.rsna.org
Hypersensitivity Pneumonitis A Historical, Clinical, and Radiologic Wind Instrument Hypersensitivity Pneumonitis we report two cases of hp caused by molds and atypical mycobacteria isolated from wind. playing a wind instrument is an increasingly reported cause of hypersensitivity pneumonitis. hypersensitivity pneumonitis (hp) is a complex pulmonary disorder mediated by the immune system and. Playing a wind instrument is an increasingly reported cause of hypersensitivity pneumonitis. hypersensitivity pneumonitis (hp). Wind Instrument Hypersensitivity Pneumonitis.
From pubs.rsna.org
Hypersensitivity Pneumonitis A Historical, Clinical, and Radiologic Wind Instrument Hypersensitivity Pneumonitis playing a wind instrument is an increasingly reported cause of hypersensitivity pneumonitis. playing a wind instrument is an increasingly reported cause of hypersensitivity pneumonitis. wind instrument musicians are at an increased risk of a potential hazard dubbed 'bagpipe lung' that could lead to chronic. hypersensitivity pneumonitis (hp) is a complex and heterogeneous interstitial lung disease (ild). Wind Instrument Hypersensitivity Pneumonitis.
From www.radiologic.theclinics.com
Updated Imaging Classification of Hypersensitivity Pneumonitis Wind Instrument Hypersensitivity Pneumonitis for example, wind instruments can potentially harbor thousands of pathogenic organisms. recently, clinicians identified a new type of ‘wind instrument’ as a potential cause of hp if it is inadequately cleaned and remains. As described in the above. Hypersensitivity pneumonitis (hp) is an interstitial lung disease characterized by lung. we report two cases of hp caused by. Wind Instrument Hypersensitivity Pneumonitis.
From lungfoundation.com.au
Hypersensitivity Pneumonitis (HP) Lung Foundation Australia Wind Instrument Hypersensitivity Pneumonitis Hypersensitivity pneumonitis (hp) is an interstitial lung disease characterized by lung. king calls playing wind instruments a “risk factor” for hypersensitivity pneumonitis. to play a wind instrument, such as a saxophone or a trombone, one needs good lungs. hypersensitivity pneumonitis (hp) is a complex pulmonary disorder mediated by the immune system and. hypersensitivity pneumonitis (hp) can. Wind Instrument Hypersensitivity Pneumonitis.
From journal.chestnet.org
A Systematically Derived Exposure Assessment Instrument for Chronic Wind Instrument Hypersensitivity Pneumonitis king calls playing wind instruments a “risk factor” for hypersensitivity pneumonitis. to play a wind instrument, such as a saxophone or a trombone, one needs good lungs. an additional study confirmed the frequent colonization of saxophones with potentially pathogenic molds, such as fusarium sp,. we read with interest the two articles in chest (september 2010) from. Wind Instrument Hypersensitivity Pneumonitis.
From drjeenamshah.com
Dr. Jeenam Shah explains Hypersensitivity Pneumonitis Causes, Symptoms Wind Instrument Hypersensitivity Pneumonitis hypersensitivity pneumonitis (hp) can be caused by nearly any organic antigen and selected chemicals. king calls playing wind instruments a “risk factor” for hypersensitivity pneumonitis. As described in the above. to play a wind instrument, such as a saxophone or a trombone, one needs good lungs. an additional study confirmed the frequent colonization of saxophones with. Wind Instrument Hypersensitivity Pneumonitis.
From radiologykey.com
Hypersensitivity Pneumonitis, AcuteSubcute Radiology Key Wind Instrument Hypersensitivity Pneumonitis Playing a wind instrument is an increasingly reported cause of hypersensitivity pneumonitis. Hypersensitivity pneumonitis (hp) is an interstitial lung disease characterized by lung. an additional study confirmed the frequent colonization of saxophones with potentially pathogenic molds, such as fusarium sp,. hypersensitivity pneumonitis (hp) can be caused by nearly any organic antigen and selected chemicals. king calls playing. Wind Instrument Hypersensitivity Pneumonitis.
From www.researchgate.net
Proposed mechanisms in the pathogenesis of hypersensitivity Wind Instrument Hypersensitivity Pneumonitis hypersensitivity pneumonitis (hp) is a complex pulmonary disorder mediated by the immune system and caused by various. As described in the above. for example, wind instruments can potentially harbor thousands of pathogenic organisms. hypersensitivity pneumonitis is triggered by the immune system's response to an inhaled environmental. an additional study confirmed the frequent colonization of saxophones with. Wind Instrument Hypersensitivity Pneumonitis.
From www.slideserve.com
PPT Hypersensitivity Pneumonitis_ causes, symptoms & treatment Wind Instrument Hypersensitivity Pneumonitis for example, wind instruments can potentially harbor thousands of pathogenic organisms. If several players share the. wind instrument musicians are at an increased risk of a potential hazard dubbed 'bagpipe lung' that could lead to chronic. playing a wind instrument is an increasingly reported cause of hypersensitivity pneumonitis. Hypersensitivity pneumonitis (hp) is an interstitial lung disease characterized. Wind Instrument Hypersensitivity Pneumonitis.
From www.ajronline.org
Hypersensitivity Pneumonitis Spectrum of HighResolution CT and Wind Instrument Hypersensitivity Pneumonitis wind instrument musicians are at an increased risk of a potential hazard dubbed 'bagpipe lung' that could lead to chronic. recently, clinicians identified a new type of ‘wind instrument’ as a potential cause of hp if it is inadequately cleaned and remains. hypersensitivity pneumonitis (hp) can be caused by nearly any organic antigen and selected chemicals. As. Wind Instrument Hypersensitivity Pneumonitis.
From www.ajronline.org
Hypersensitivity Pneumonitis Spectrum of HighResolution CT and Wind Instrument Hypersensitivity Pneumonitis we report two cases of hp caused by molds and atypical mycobacteria isolated from wind. for example, wind instruments can potentially harbor thousands of pathogenic organisms. wind instrument musicians are at an increased risk of a potential hazard dubbed 'bagpipe lung' that could lead to chronic. hypersensitivity pneumonitis (hp) is a complex and heterogeneous interstitial lung. Wind Instrument Hypersensitivity Pneumonitis.
From www.journalpulmonology.org
Hypersensitivity pneumonitis, a differential diagnosis of cystic lung Wind Instrument Hypersensitivity Pneumonitis we report two cases of hp caused by molds and atypical mycobacteria isolated from wind. hypersensitivity pneumonitis (hp) is a complex pulmonary disorder mediated by the immune system and caused by various. hp caused by fungi and bacteria in wind instruments is probably underdiagnosed; wind instrument musicians are at an increased risk of a potential hazard. Wind Instrument Hypersensitivity Pneumonitis.
From www.drsheetusingh.com
Hypersensitivity Pneumonitis causes, symptoms & treatment Wind Instrument Hypersensitivity Pneumonitis If several players share the. hypersensitivity pneumonitis is triggered by the immune system's response to an inhaled environmental. hp caused by fungi and bacteria in wind instruments is probably underdiagnosed; an additional study confirmed the frequent colonization of saxophones with potentially pathogenic molds, such as fusarium sp,. As described in the above. playing a wind instrument. Wind Instrument Hypersensitivity Pneumonitis.
From www.ctchestreview.com
Snippet 05 Hypersensitivity Pneumonitis New Classification Wind Instrument Hypersensitivity Pneumonitis hypersensitivity pneumonitis (hp) is a complex and heterogeneous interstitial lung disease (ild) that occurs when. for example, wind instruments can potentially harbor thousands of pathogenic organisms. hypersensitivity pneumonitis (hp) is a complex pulmonary disorder mediated by the immune system and caused by various. wind instrument musicians are at an increased risk of a potential hazard dubbed. Wind Instrument Hypersensitivity Pneumonitis.
From lungs.thecommonvein.net
173Lu Hypersensitivity Pneumonitis (HP) Lungs Wind Instrument Hypersensitivity Pneumonitis for example, wind instruments can potentially harbor thousands of pathogenic organisms. we report two cases of hp caused by molds and atypical mycobacteria isolated from wind. Hypersensitivity pneumonitis (hp) is an interstitial lung disease characterized by lung. king calls playing wind instruments a “risk factor” for hypersensitivity pneumonitis. hypersensitivity pneumonitis (hp) is a complex pulmonary disorder. Wind Instrument Hypersensitivity Pneumonitis.
From calgaryguide.ucalgary.ca
Hypersensitivity Pneumonitis Pathogenesis and clinical findings Wind Instrument Hypersensitivity Pneumonitis hypersensitivity pneumonitis (hp) is a complex pulmonary disorder mediated by the immune system and caused by various. playing a wind instrument is an increasingly reported cause of hypersensitivity pneumonitis. As described in the above. recently, clinicians identified a new type of ‘wind instrument’ as a potential cause of hp if it is inadequately cleaned and remains. . Wind Instrument Hypersensitivity Pneumonitis.