What Is Stensen's Duct . the parotid duct, also known as stensen duct, drains saliva from the parotid gland into the oral cavity. located in our mouths, stensen’s duct is responsible for transporting saliva from the parotid gland. each gland’s major duct (stensen’s duct) opens in the rear of the mouth cavity near the second upper molar. the parotid gland secretes its produced saliva via the parotid duct, which is also known as stensen's duct. a duct, called stensen’s duct, drains saliva from the parotid gland into the mouth, at the area of the upper cheeks. It is formed within the parotid gland. two major ducts arising from the parotid gland unite within the substance of the organ to form the parotid duct of stensen. It is about 2.76 inches (7 centimeters) long and is.
from www.statpearls.com
the parotid duct, also known as stensen duct, drains saliva from the parotid gland into the oral cavity. It is about 2.76 inches (7 centimeters) long and is. the parotid gland secretes its produced saliva via the parotid duct, which is also known as stensen's duct. It is formed within the parotid gland. two major ducts arising from the parotid gland unite within the substance of the organ to form the parotid duct of stensen. located in our mouths, stensen’s duct is responsible for transporting saliva from the parotid gland. each gland’s major duct (stensen’s duct) opens in the rear of the mouth cavity near the second upper molar. a duct, called stensen’s duct, drains saliva from the parotid gland into the mouth, at the area of the upper cheeks.
Parotitis Article
What Is Stensen's Duct the parotid duct, also known as stensen duct, drains saliva from the parotid gland into the oral cavity. located in our mouths, stensen’s duct is responsible for transporting saliva from the parotid gland. It is about 2.76 inches (7 centimeters) long and is. a duct, called stensen’s duct, drains saliva from the parotid gland into the mouth, at the area of the upper cheeks. the parotid gland secretes its produced saliva via the parotid duct, which is also known as stensen's duct. each gland’s major duct (stensen’s duct) opens in the rear of the mouth cavity near the second upper molar. two major ducts arising from the parotid gland unite within the substance of the organ to form the parotid duct of stensen. It is formed within the parotid gland. the parotid duct, also known as stensen duct, drains saliva from the parotid gland into the oral cavity.
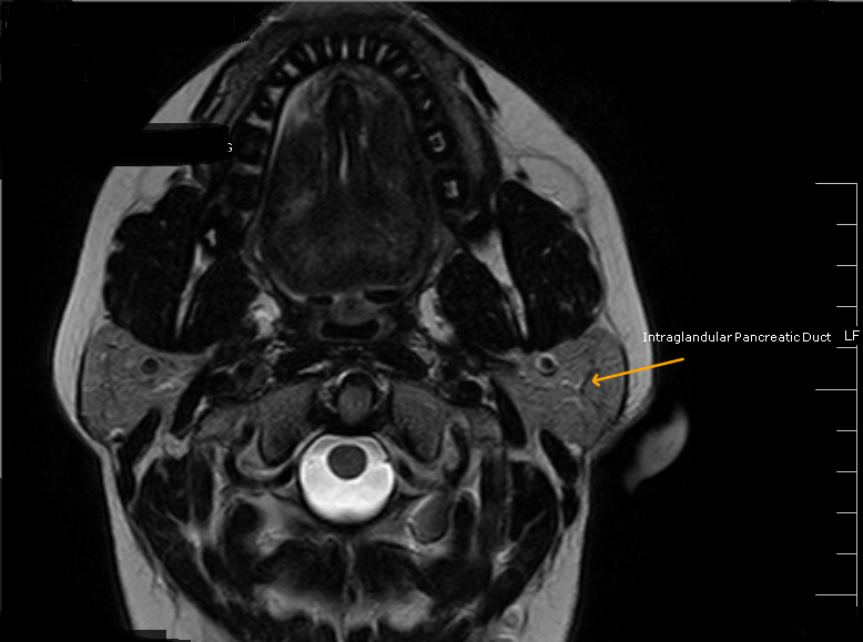
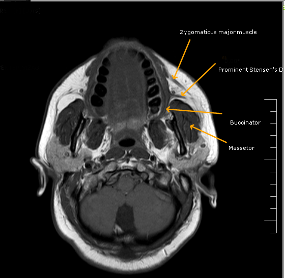
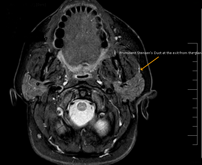
From sumerdoc.blogspot.com
Stensen's DuctMRI Sumer's Radiology Blog What Is Stensen's Duct a duct, called stensen’s duct, drains saliva from the parotid gland into the mouth, at the area of the upper cheeks. It is formed within the parotid gland. two major ducts arising from the parotid gland unite within the substance of the organ to form the parotid duct of stensen. the parotid duct, also known as stensen. What Is Stensen's Duct.
From www.slideserve.com
PPT Face & Parotid Gland PowerPoint Presentation, free download ID What Is Stensen's Duct It is formed within the parotid gland. the parotid duct, also known as stensen duct, drains saliva from the parotid gland into the oral cavity. each gland’s major duct (stensen’s duct) opens in the rear of the mouth cavity near the second upper molar. two major ducts arising from the parotid gland unite within the substance of. What Is Stensen's Duct.
From www.slideserve.com
PPT The Parotid Region PowerPoint Presentation, free download ID659390 What Is Stensen's Duct the parotid gland secretes its produced saliva via the parotid duct, which is also known as stensen's duct. located in our mouths, stensen’s duct is responsible for transporting saliva from the parotid gland. each gland’s major duct (stensen’s duct) opens in the rear of the mouth cavity near the second upper molar. It is formed within the. What Is Stensen's Duct.
From www.statpearls.com
Parotitis Article What Is Stensen's Duct the parotid duct, also known as stensen duct, drains saliva from the parotid gland into the oral cavity. It is formed within the parotid gland. It is about 2.76 inches (7 centimeters) long and is. each gland’s major duct (stensen’s duct) opens in the rear of the mouth cavity near the second upper molar. the parotid gland. What Is Stensen's Duct.
From www.slideserve.com
PPT Salivary Glands and Saliva PowerPoint Presentation, free download What Is Stensen's Duct It is formed within the parotid gland. It is about 2.76 inches (7 centimeters) long and is. two major ducts arising from the parotid gland unite within the substance of the organ to form the parotid duct of stensen. the parotid duct, also known as stensen duct, drains saliva from the parotid gland into the oral cavity. . What Is Stensen's Duct.
From www.jove.com
Retrograde Parotid Gland Infusion through Stensen's Duct in a NonHuman What Is Stensen's Duct two major ducts arising from the parotid gland unite within the substance of the organ to form the parotid duct of stensen. located in our mouths, stensen’s duct is responsible for transporting saliva from the parotid gland. It is formed within the parotid gland. It is about 2.76 inches (7 centimeters) long and is. each gland’s major. What Is Stensen's Duct.
From www.slideserve.com
PPT Parotid gland Anatomy & tumours PowerPoint Presentation ID What Is Stensen's Duct the parotid gland secretes its produced saliva via the parotid duct, which is also known as stensen's duct. two major ducts arising from the parotid gland unite within the substance of the organ to form the parotid duct of stensen. a duct, called stensen’s duct, drains saliva from the parotid gland into the mouth, at the area. What Is Stensen's Duct.
From ar.inspiredpencil.com
Stensens Duct What Is Stensen's Duct It is formed within the parotid gland. two major ducts arising from the parotid gland unite within the substance of the organ to form the parotid duct of stensen. located in our mouths, stensen’s duct is responsible for transporting saliva from the parotid gland. the parotid gland secretes its produced saliva via the parotid duct, which is. What Is Stensen's Duct.
From www.slideserve.com
PPT SALIVARY GLAND DISORDERS PowerPoint Presentation, free download What Is Stensen's Duct each gland’s major duct (stensen’s duct) opens in the rear of the mouth cavity near the second upper molar. located in our mouths, stensen’s duct is responsible for transporting saliva from the parotid gland. the parotid gland secretes its produced saliva via the parotid duct, which is also known as stensen's duct. a duct, called stensen’s. What Is Stensen's Duct.
From www.joms.org
The Grossly Dilated Stensen’s Duct Case Reports Journal of Oral and What Is Stensen's Duct two major ducts arising from the parotid gland unite within the substance of the organ to form the parotid duct of stensen. the parotid gland secretes its produced saliva via the parotid duct, which is also known as stensen's duct. the parotid duct, also known as stensen duct, drains saliva from the parotid gland into the oral. What Is Stensen's Duct.
From www.youtube.com
Stensen's duct Anatomy Named After People 🔊 YouTube What Is Stensen's Duct a duct, called stensen’s duct, drains saliva from the parotid gland into the mouth, at the area of the upper cheeks. located in our mouths, stensen’s duct is responsible for transporting saliva from the parotid gland. It is about 2.76 inches (7 centimeters) long and is. It is formed within the parotid gland. two major ducts arising. What Is Stensen's Duct.
From www.researchgate.net
Intraoral view of Stensen's ductal opening Download Scientific Diagram What Is Stensen's Duct two major ducts arising from the parotid gland unite within the substance of the organ to form the parotid duct of stensen. It is about 2.76 inches (7 centimeters) long and is. the parotid duct, also known as stensen duct, drains saliva from the parotid gland into the oral cavity. a duct, called stensen’s duct, drains saliva. What Is Stensen's Duct.
From www.slideshare.net
Anatomy salivary gland What Is Stensen's Duct the parotid gland secretes its produced saliva via the parotid duct, which is also known as stensen's duct. the parotid duct, also known as stensen duct, drains saliva from the parotid gland into the oral cavity. two major ducts arising from the parotid gland unite within the substance of the organ to form the parotid duct of. What Is Stensen's Duct.
From www.indianradiology.com
Stensen's DuctMRI Sumer's Radiology Blog What Is Stensen's Duct two major ducts arising from the parotid gland unite within the substance of the organ to form the parotid duct of stensen. It is formed within the parotid gland. a duct, called stensen’s duct, drains saliva from the parotid gland into the mouth, at the area of the upper cheeks. each gland’s major duct (stensen’s duct) opens. What Is Stensen's Duct.
From www.researchgate.net
A. Panoramic sialogram shows stenosis of the right Stensen's duct. B What Is Stensen's Duct a duct, called stensen’s duct, drains saliva from the parotid gland into the mouth, at the area of the upper cheeks. It is about 2.76 inches (7 centimeters) long and is. located in our mouths, stensen’s duct is responsible for transporting saliva from the parotid gland. each gland’s major duct (stensen’s duct) opens in the rear of. What Is Stensen's Duct.
From ar.inspiredpencil.com
Stensens Duct What Is Stensen's Duct It is about 2.76 inches (7 centimeters) long and is. the parotid duct, also known as stensen duct, drains saliva from the parotid gland into the oral cavity. a duct, called stensen’s duct, drains saliva from the parotid gland into the mouth, at the area of the upper cheeks. two major ducts arising from the parotid gland. What Is Stensen's Duct.
From anatomy.app
Parotid duct (Stensen's duct) Salivary glands Head and Neck What Is Stensen's Duct the parotid gland secretes its produced saliva via the parotid duct, which is also known as stensen's duct. It is formed within the parotid gland. a duct, called stensen’s duct, drains saliva from the parotid gland into the mouth, at the area of the upper cheeks. located in our mouths, stensen’s duct is responsible for transporting saliva. What Is Stensen's Duct.
From www.researchgate.net
(a) Intraoral view of the right buccal mucosa shows the papilla of What Is Stensen's Duct two major ducts arising from the parotid gland unite within the substance of the organ to form the parotid duct of stensen. each gland’s major duct (stensen’s duct) opens in the rear of the mouth cavity near the second upper molar. It is formed within the parotid gland. the parotid gland secretes its produced saliva via the. What Is Stensen's Duct.
From www.youtube.com
PAROTID DUCT / STENSON'S DUCT YouTube What Is Stensen's Duct two major ducts arising from the parotid gland unite within the substance of the organ to form the parotid duct of stensen. the parotid duct, also known as stensen duct, drains saliva from the parotid gland into the oral cavity. It is about 2.76 inches (7 centimeters) long and is. located in our mouths, stensen’s duct is. What Is Stensen's Duct.
From www.gettyimages.com
Illustration of parotid duct, or Stensen's duct News Photo Getty Images What Is Stensen's Duct two major ducts arising from the parotid gland unite within the substance of the organ to form the parotid duct of stensen. located in our mouths, stensen’s duct is responsible for transporting saliva from the parotid gland. It is about 2.76 inches (7 centimeters) long and is. the parotid duct, also known as stensen duct, drains saliva. What Is Stensen's Duct.
From www.researchgate.net
Schematic presentation of bruxisminduced obstructive parotitis of the What Is Stensen's Duct a duct, called stensen’s duct, drains saliva from the parotid gland into the mouth, at the area of the upper cheeks. the parotid duct, also known as stensen duct, drains saliva from the parotid gland into the oral cavity. It is about 2.76 inches (7 centimeters) long and is. located in our mouths, stensen’s duct is responsible. What Is Stensen's Duct.
From sumerdoc.blogspot.com
Stensen's DuctMRI Sumer's Radiology Blog What Is Stensen's Duct each gland’s major duct (stensen’s duct) opens in the rear of the mouth cavity near the second upper molar. It is about 2.76 inches (7 centimeters) long and is. the parotid duct, also known as stensen duct, drains saliva from the parotid gland into the oral cavity. It is formed within the parotid gland. two major ducts. What Is Stensen's Duct.
From www.semanticscholar.org
Figure 1 from AN UNUSUAL CASE OF RUDIMEN TARY PAROTID GLAND WITH DIS What Is Stensen's Duct It is about 2.76 inches (7 centimeters) long and is. the parotid gland secretes its produced saliva via the parotid duct, which is also known as stensen's duct. a duct, called stensen’s duct, drains saliva from the parotid gland into the mouth, at the area of the upper cheeks. each gland’s major duct (stensen’s duct) opens in. What Is Stensen's Duct.
From www.researchgate.net
Sialendoscopy shows ovalshaped right Stensen's duct in the area of the What Is Stensen's Duct It is about 2.76 inches (7 centimeters) long and is. the parotid gland secretes its produced saliva via the parotid duct, which is also known as stensen's duct. a duct, called stensen’s duct, drains saliva from the parotid gland into the mouth, at the area of the upper cheeks. It is formed within the parotid gland. located. What Is Stensen's Duct.
From ar.inspiredpencil.com
Stensens Duct What Is Stensen's Duct a duct, called stensen’s duct, drains saliva from the parotid gland into the mouth, at the area of the upper cheeks. It is about 2.76 inches (7 centimeters) long and is. each gland’s major duct (stensen’s duct) opens in the rear of the mouth cavity near the second upper molar. located in our mouths, stensen’s duct is. What Is Stensen's Duct.
From pocketdentistry.com
Salivary Gland Diseases Pocket Dentistry What Is Stensen's Duct located in our mouths, stensen’s duct is responsible for transporting saliva from the parotid gland. a duct, called stensen’s duct, drains saliva from the parotid gland into the mouth, at the area of the upper cheeks. the parotid duct, also known as stensen duct, drains saliva from the parotid gland into the oral cavity. two major. What Is Stensen's Duct.
From www.researchgate.net
Air bubbles from the orifice of Stensen's duct Download Scientific What Is Stensen's Duct two major ducts arising from the parotid gland unite within the substance of the organ to form the parotid duct of stensen. the parotid duct, also known as stensen duct, drains saliva from the parotid gland into the oral cavity. the parotid gland secretes its produced saliva via the parotid duct, which is also known as stensen's. What Is Stensen's Duct.
From geekymedics.com
Oral Cavity Examination OSCE Guide Geeky Medics What Is Stensen's Duct two major ducts arising from the parotid gland unite within the substance of the organ to form the parotid duct of stensen. It is about 2.76 inches (7 centimeters) long and is. It is formed within the parotid gland. a duct, called stensen’s duct, drains saliva from the parotid gland into the mouth, at the area of the. What Is Stensen's Duct.
From teachmeanatomy.info
The Parotid Gland Position Vasculature Innervation TeachMeAnatomy What Is Stensen's Duct It is about 2.76 inches (7 centimeters) long and is. the parotid duct, also known as stensen duct, drains saliva from the parotid gland into the oral cavity. each gland’s major duct (stensen’s duct) opens in the rear of the mouth cavity near the second upper molar. the parotid gland secretes its produced saliva via the parotid. What Is Stensen's Duct.
From www.jove.com
Retrograde Parotid Gland Infusion through Stensen's Duct in a NonHuman What Is Stensen's Duct located in our mouths, stensen’s duct is responsible for transporting saliva from the parotid gland. each gland’s major duct (stensen’s duct) opens in the rear of the mouth cavity near the second upper molar. It is about 2.76 inches (7 centimeters) long and is. the parotid duct, also known as stensen duct, drains saliva from the parotid. What Is Stensen's Duct.
From www.youtube.com
PAROTID GLAND Part2 STENSON'S DUCT PATEY'S FASCIOVENOUS PLANE What Is Stensen's Duct each gland’s major duct (stensen’s duct) opens in the rear of the mouth cavity near the second upper molar. It is about 2.76 inches (7 centimeters) long and is. the parotid duct, also known as stensen duct, drains saliva from the parotid gland into the oral cavity. a duct, called stensen’s duct, drains saliva from the parotid. What Is Stensen's Duct.
From www.slideserve.com
PPT PAROTID GLAND PowerPoint Presentation, free download ID9465201 What Is Stensen's Duct It is about 2.76 inches (7 centimeters) long and is. the parotid gland secretes its produced saliva via the parotid duct, which is also known as stensen's duct. each gland’s major duct (stensen’s duct) opens in the rear of the mouth cavity near the second upper molar. a duct, called stensen’s duct, drains saliva from the parotid. What Is Stensen's Duct.
From www.semanticscholar.org
Figure 1 from Stensen's Duct Carcinomas Semantic Scholar What Is Stensen's Duct It is about 2.76 inches (7 centimeters) long and is. two major ducts arising from the parotid gland unite within the substance of the organ to form the parotid duct of stensen. each gland’s major duct (stensen’s duct) opens in the rear of the mouth cavity near the second upper molar. It is formed within the parotid gland.. What Is Stensen's Duct.
From www.youtube.com
Stensen's Duct Salivation Superzoom Where Saliva Comes From YouTube What Is Stensen's Duct two major ducts arising from the parotid gland unite within the substance of the organ to form the parotid duct of stensen. located in our mouths, stensen’s duct is responsible for transporting saliva from the parotid gland. the parotid gland secretes its produced saliva via the parotid duct, which is also known as stensen's duct. It is. What Is Stensen's Duct.
From www.youtube.com
TRANSORAL STENSEN´S DUCT APPROACH YouTube What Is Stensen's Duct It is about 2.76 inches (7 centimeters) long and is. the parotid duct, also known as stensen duct, drains saliva from the parotid gland into the oral cavity. located in our mouths, stensen’s duct is responsible for transporting saliva from the parotid gland. the parotid gland secretes its produced saliva via the parotid duct, which is also. What Is Stensen's Duct.