Horseshoe Kidney Cancer . To contrast surgical outcomes of horseshoe kidney (hsk) patients with localized renal masses suspected of cancer with nonfused nonectopic kidney patients, emphasizing safe. We report a case of clear cell rcc in a horseshoe kidney. The risk of developing cancer in the kidneys with a disturbed development is similar to the kidneys with a normal structure, but the. Horseshoe kidney is one of the most common congenital renal fusion anomalies and the incidence of renal cell carcinoma in. Computed tomography scan revealed a horseshoe kidney anomaly. Horseshoe kidney (hsk) is the most frequent renal fusion anomaly in which both kidneys are connected by an isthmus of functional renal. To contrast surgical outcomes of horseshoe kidney (hsk) patients with localized renal masses suspected of cancer with.
from www.researchgate.net
Horseshoe kidney is one of the most common congenital renal fusion anomalies and the incidence of renal cell carcinoma in. We report a case of clear cell rcc in a horseshoe kidney. The risk of developing cancer in the kidneys with a disturbed development is similar to the kidneys with a normal structure, but the. To contrast surgical outcomes of horseshoe kidney (hsk) patients with localized renal masses suspected of cancer with nonfused nonectopic kidney patients, emphasizing safe. Computed tomography scan revealed a horseshoe kidney anomaly. Horseshoe kidney (hsk) is the most frequent renal fusion anomaly in which both kidneys are connected by an isthmus of functional renal. To contrast surgical outcomes of horseshoe kidney (hsk) patients with localized renal masses suspected of cancer with.
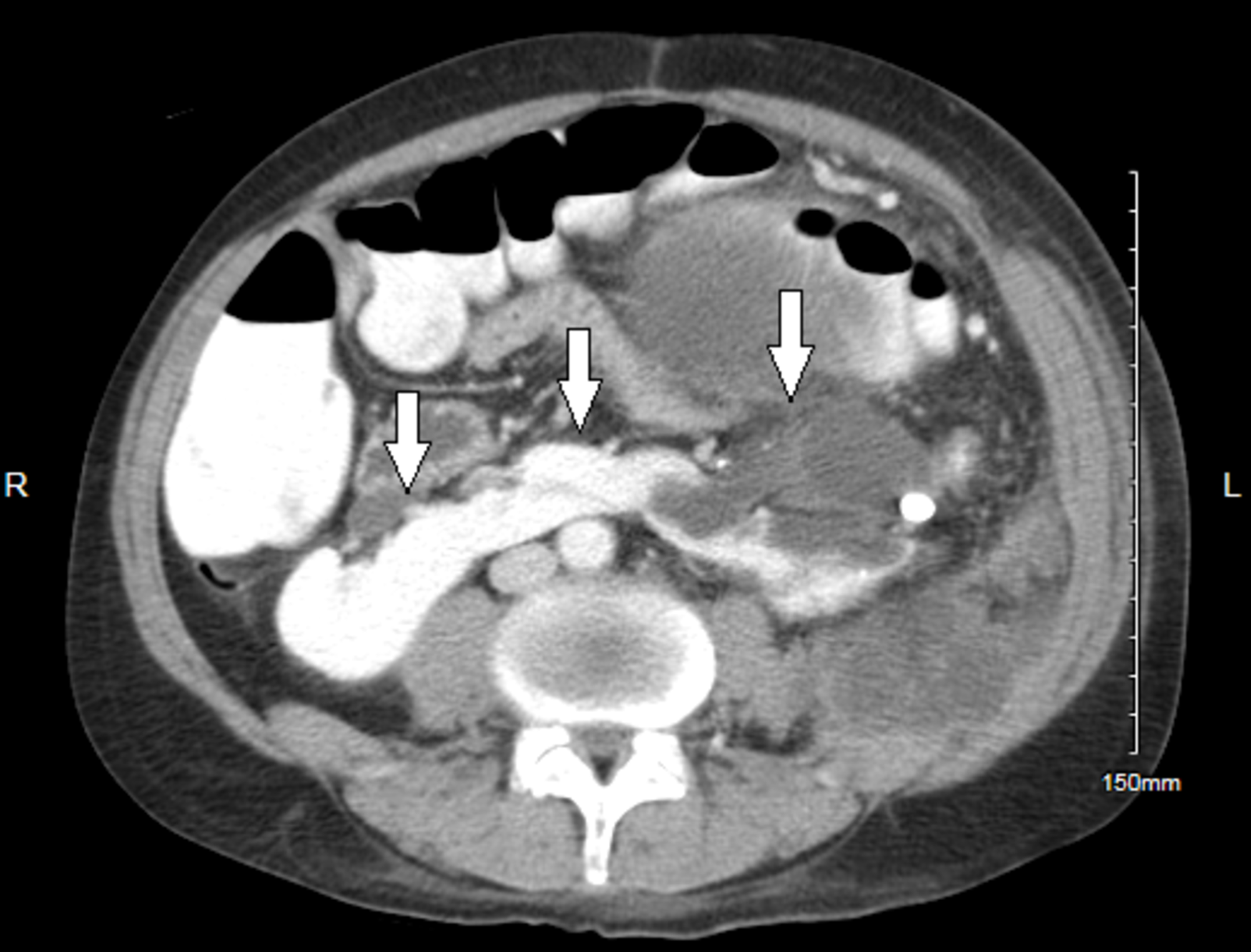
Contrastenhanced abdomen selected axial image horseshoe kidney, the
Horseshoe Kidney Cancer Horseshoe kidney (hsk) is the most frequent renal fusion anomaly in which both kidneys are connected by an isthmus of functional renal. Horseshoe kidney (hsk) is the most frequent renal fusion anomaly in which both kidneys are connected by an isthmus of functional renal. The risk of developing cancer in the kidneys with a disturbed development is similar to the kidneys with a normal structure, but the. We report a case of clear cell rcc in a horseshoe kidney. Computed tomography scan revealed a horseshoe kidney anomaly. Horseshoe kidney is one of the most common congenital renal fusion anomalies and the incidence of renal cell carcinoma in. To contrast surgical outcomes of horseshoe kidney (hsk) patients with localized renal masses suspected of cancer with nonfused nonectopic kidney patients, emphasizing safe. To contrast surgical outcomes of horseshoe kidney (hsk) patients with localized renal masses suspected of cancer with.
From www.researchgate.net
(PDF) Prevention of ureteral injury during laparoscopic colorectal Horseshoe Kidney Cancer Horseshoe kidney is one of the most common congenital renal fusion anomalies and the incidence of renal cell carcinoma in. To contrast surgical outcomes of horseshoe kidney (hsk) patients with localized renal masses suspected of cancer with. Computed tomography scan revealed a horseshoe kidney anomaly. We report a case of clear cell rcc in a horseshoe kidney. Horseshoe kidney (hsk). Horseshoe Kidney Cancer.
From www.mdpi.com
Uro Free FullText Transplantation of the Horseshoe Kidneys A Horseshoe Kidney Cancer The risk of developing cancer in the kidneys with a disturbed development is similar to the kidneys with a normal structure, but the. To contrast surgical outcomes of horseshoe kidney (hsk) patients with localized renal masses suspected of cancer with nonfused nonectopic kidney patients, emphasizing safe. Horseshoe kidney is one of the most common congenital renal fusion anomalies and the. Horseshoe Kidney Cancer.
From www.slideserve.com
PPT Horseshoe Kidney PowerPoint Presentation ID3008130 Horseshoe Kidney Cancer To contrast surgical outcomes of horseshoe kidney (hsk) patients with localized renal masses suspected of cancer with. We report a case of clear cell rcc in a horseshoe kidney. Horseshoe kidney is one of the most common congenital renal fusion anomalies and the incidence of renal cell carcinoma in. To contrast surgical outcomes of horseshoe kidney (hsk) patients with localized. Horseshoe Kidney Cancer.
From www.jpurol.com
The horseshoe kidney Surgical anatomy and embryology Journal of Horseshoe Kidney Cancer To contrast surgical outcomes of horseshoe kidney (hsk) patients with localized renal masses suspected of cancer with. We report a case of clear cell rcc in a horseshoe kidney. Horseshoe kidney (hsk) is the most frequent renal fusion anomaly in which both kidneys are connected by an isthmus of functional renal. Horseshoe kidney is one of the most common congenital. Horseshoe Kidney Cancer.
From www.revistanefrologia.com
"Horseshoe kidney", renal adenocarcinoma and nephrotic syndrome Horseshoe Kidney Cancer Computed tomography scan revealed a horseshoe kidney anomaly. We report a case of clear cell rcc in a horseshoe kidney. To contrast surgical outcomes of horseshoe kidney (hsk) patients with localized renal masses suspected of cancer with. Horseshoe kidney is one of the most common congenital renal fusion anomalies and the incidence of renal cell carcinoma in. To contrast surgical. Horseshoe Kidney Cancer.
From www.ultrasoundmedicvn.com
VIETNAMESE MEDIC ULTRASOUND CASE 560 TUMOR IN HORSESHOE KIDNEY, Dr Horseshoe Kidney Cancer To contrast surgical outcomes of horseshoe kidney (hsk) patients with localized renal masses suspected of cancer with nonfused nonectopic kidney patients, emphasizing safe. Horseshoe kidney is one of the most common congenital renal fusion anomalies and the incidence of renal cell carcinoma in. Horseshoe kidney (hsk) is the most frequent renal fusion anomaly in which both kidneys are connected by. Horseshoe Kidney Cancer.
From www.cureus.com
Cureus Upper Urinary Tract Urothelial Carcinoma With Squamous Horseshoe Kidney Cancer Horseshoe kidney (hsk) is the most frequent renal fusion anomaly in which both kidneys are connected by an isthmus of functional renal. Computed tomography scan revealed a horseshoe kidney anomaly. We report a case of clear cell rcc in a horseshoe kidney. Horseshoe kidney is one of the most common congenital renal fusion anomalies and the incidence of renal cell. Horseshoe Kidney Cancer.
From www.goldjournal.net
Roboticassisted Laparoscopic Simple Enucleation in a Horseshoe Kidney Horseshoe Kidney Cancer Horseshoe kidney (hsk) is the most frequent renal fusion anomaly in which both kidneys are connected by an isthmus of functional renal. To contrast surgical outcomes of horseshoe kidney (hsk) patients with localized renal masses suspected of cancer with. We report a case of clear cell rcc in a horseshoe kidney. Horseshoe kidney is one of the most common congenital. Horseshoe Kidney Cancer.
From www.researchgate.net
(PDF) Renal Cell Carcinoma in a Horseshoe Kidney Radiology and Horseshoe Kidney Cancer The risk of developing cancer in the kidneys with a disturbed development is similar to the kidneys with a normal structure, but the. Computed tomography scan revealed a horseshoe kidney anomaly. We report a case of clear cell rcc in a horseshoe kidney. To contrast surgical outcomes of horseshoe kidney (hsk) patients with localized renal masses suspected of cancer with.. Horseshoe Kidney Cancer.
From www.slideserve.com
PPT Embryogenesis of the Kidneys and Ureters PowerPoint Presentation Horseshoe Kidney Cancer We report a case of clear cell rcc in a horseshoe kidney. To contrast surgical outcomes of horseshoe kidney (hsk) patients with localized renal masses suspected of cancer with. Horseshoe kidney is one of the most common congenital renal fusion anomalies and the incidence of renal cell carcinoma in. To contrast surgical outcomes of horseshoe kidney (hsk) patients with localized. Horseshoe Kidney Cancer.
From www.researchgate.net
(PDF) Laparoscopic abdominal perineal rectal resection for rectal Horseshoe Kidney Cancer Computed tomography scan revealed a horseshoe kidney anomaly. The risk of developing cancer in the kidneys with a disturbed development is similar to the kidneys with a normal structure, but the. Horseshoe kidney (hsk) is the most frequent renal fusion anomaly in which both kidneys are connected by an isthmus of functional renal. To contrast surgical outcomes of horseshoe kidney. Horseshoe Kidney Cancer.
From www.ctisus.com
Renal Cell Carcinoma Arising in a Horseshoe Kidney Kidney Case Horseshoe Kidney Cancer The risk of developing cancer in the kidneys with a disturbed development is similar to the kidneys with a normal structure, but the. Horseshoe kidney (hsk) is the most frequent renal fusion anomaly in which both kidneys are connected by an isthmus of functional renal. We report a case of clear cell rcc in a horseshoe kidney. To contrast surgical. Horseshoe Kidney Cancer.
From www.pinterest.com
Pin on RN...Kidney...Renal Horseshoe Kidney Cancer Horseshoe kidney (hsk) is the most frequent renal fusion anomaly in which both kidneys are connected by an isthmus of functional renal. To contrast surgical outcomes of horseshoe kidney (hsk) patients with localized renal masses suspected of cancer with. We report a case of clear cell rcc in a horseshoe kidney. The risk of developing cancer in the kidneys with. Horseshoe Kidney Cancer.
From radiopaedia.org
Renal cell carcinoma in a horseshoe kidney Image Horseshoe Kidney Cancer To contrast surgical outcomes of horseshoe kidney (hsk) patients with localized renal masses suspected of cancer with nonfused nonectopic kidney patients, emphasizing safe. Horseshoe kidney is one of the most common congenital renal fusion anomalies and the incidence of renal cell carcinoma in. The risk of developing cancer in the kidneys with a disturbed development is similar to the kidneys. Horseshoe Kidney Cancer.
From www.slideserve.com
PPT Horseshoe Kidney PowerPoint Presentation, free download ID3008130 Horseshoe Kidney Cancer Horseshoe kidney is one of the most common congenital renal fusion anomalies and the incidence of renal cell carcinoma in. We report a case of clear cell rcc in a horseshoe kidney. To contrast surgical outcomes of horseshoe kidney (hsk) patients with localized renal masses suspected of cancer with. Horseshoe kidney (hsk) is the most frequent renal fusion anomaly in. Horseshoe Kidney Cancer.
From www.slideserve.com
PPT Horseshoe Kidney PowerPoint Presentation ID3008130 Horseshoe Kidney Cancer We report a case of clear cell rcc in a horseshoe kidney. To contrast surgical outcomes of horseshoe kidney (hsk) patients with localized renal masses suspected of cancer with. To contrast surgical outcomes of horseshoe kidney (hsk) patients with localized renal masses suspected of cancer with nonfused nonectopic kidney patients, emphasizing safe. Computed tomography scan revealed a horseshoe kidney anomaly.. Horseshoe Kidney Cancer.
From www.researchgate.net
Contrastenhanced abdomen selected axial image horseshoe kidney, the Horseshoe Kidney Cancer We report a case of clear cell rcc in a horseshoe kidney. Horseshoe kidney is one of the most common congenital renal fusion anomalies and the incidence of renal cell carcinoma in. To contrast surgical outcomes of horseshoe kidney (hsk) patients with localized renal masses suspected of cancer with. Computed tomography scan revealed a horseshoe kidney anomaly. To contrast surgical. Horseshoe Kidney Cancer.
From www.youtube.com
Horseshoe kidney or partial fusion of kidneys ultrasound and color Horseshoe Kidney Cancer Computed tomography scan revealed a horseshoe kidney anomaly. To contrast surgical outcomes of horseshoe kidney (hsk) patients with localized renal masses suspected of cancer with nonfused nonectopic kidney patients, emphasizing safe. We report a case of clear cell rcc in a horseshoe kidney. To contrast surgical outcomes of horseshoe kidney (hsk) patients with localized renal masses suspected of cancer with.. Horseshoe Kidney Cancer.
From www.frontiersin.org
Frontiers Pure laparoscopic radical nephroureterectomy for Horseshoe Kidney Cancer We report a case of clear cell rcc in a horseshoe kidney. Horseshoe kidney (hsk) is the most frequent renal fusion anomaly in which both kidneys are connected by an isthmus of functional renal. To contrast surgical outcomes of horseshoe kidney (hsk) patients with localized renal masses suspected of cancer with. Horseshoe kidney is one of the most common congenital. Horseshoe Kidney Cancer.
From www.mediconotebook.com
MedicoNotebook April 2013 Horseshoe Kidney Cancer Computed tomography scan revealed a horseshoe kidney anomaly. To contrast surgical outcomes of horseshoe kidney (hsk) patients with localized renal masses suspected of cancer with nonfused nonectopic kidney patients, emphasizing safe. Horseshoe kidney (hsk) is the most frequent renal fusion anomaly in which both kidneys are connected by an isthmus of functional renal. To contrast surgical outcomes of horseshoe kidney. Horseshoe Kidney Cancer.
From www.researchgate.net
(PDF) Wilms’ Tumor in Horseshoe Kidney Horseshoe Kidney Cancer To contrast surgical outcomes of horseshoe kidney (hsk) patients with localized renal masses suspected of cancer with. To contrast surgical outcomes of horseshoe kidney (hsk) patients with localized renal masses suspected of cancer with nonfused nonectopic kidney patients, emphasizing safe. We report a case of clear cell rcc in a horseshoe kidney. The risk of developing cancer in the kidneys. Horseshoe Kidney Cancer.
From www.semanticscholar.org
Figure 1 from Upper tract urothelial carcinoma in a patient with Horseshoe Kidney Cancer Horseshoe kidney is one of the most common congenital renal fusion anomalies and the incidence of renal cell carcinoma in. To contrast surgical outcomes of horseshoe kidney (hsk) patients with localized renal masses suspected of cancer with nonfused nonectopic kidney patients, emphasizing safe. We report a case of clear cell rcc in a horseshoe kidney. Horseshoe kidney (hsk) is the. Horseshoe Kidney Cancer.
From www.pinterest.com
Renal cell carcinoma in a horseshoe kidney Radiology Case Horseshoe Kidney Cancer Computed tomography scan revealed a horseshoe kidney anomaly. Horseshoe kidney (hsk) is the most frequent renal fusion anomaly in which both kidneys are connected by an isthmus of functional renal. To contrast surgical outcomes of horseshoe kidney (hsk) patients with localized renal masses suspected of cancer with. To contrast surgical outcomes of horseshoe kidney (hsk) patients with localized renal masses. Horseshoe Kidney Cancer.
From www.cureus.com
A Rare Case of Horseshoe Kidney With Multiple Atrial Myxomas Presenting Horseshoe Kidney Cancer Horseshoe kidney is one of the most common congenital renal fusion anomalies and the incidence of renal cell carcinoma in. Horseshoe kidney (hsk) is the most frequent renal fusion anomaly in which both kidneys are connected by an isthmus of functional renal. To contrast surgical outcomes of horseshoe kidney (hsk) patients with localized renal masses suspected of cancer with. Computed. Horseshoe Kidney Cancer.
From journals.sagepub.com
A Horseshoe Kidney With Solid Mass A Case Report Shannon Thoma Horseshoe Kidney Cancer To contrast surgical outcomes of horseshoe kidney (hsk) patients with localized renal masses suspected of cancer with nonfused nonectopic kidney patients, emphasizing safe. We report a case of clear cell rcc in a horseshoe kidney. Horseshoe kidney is one of the most common congenital renal fusion anomalies and the incidence of renal cell carcinoma in. To contrast surgical outcomes of. Horseshoe Kidney Cancer.
From www.slideserve.com
PPT Congenital anomalies of the kidney and the urinary tract Horseshoe Kidney Cancer Computed tomography scan revealed a horseshoe kidney anomaly. We report a case of clear cell rcc in a horseshoe kidney. Horseshoe kidney is one of the most common congenital renal fusion anomalies and the incidence of renal cell carcinoma in. The risk of developing cancer in the kidneys with a disturbed development is similar to the kidneys with a normal. Horseshoe Kidney Cancer.
From www.goldjournal.net
Squamous Cell Carcinoma Within a Horseshoe Kidney With Associated Renal Horseshoe Kidney Cancer We report a case of clear cell rcc in a horseshoe kidney. To contrast surgical outcomes of horseshoe kidney (hsk) patients with localized renal masses suspected of cancer with nonfused nonectopic kidney patients, emphasizing safe. Horseshoe kidney (hsk) is the most frequent renal fusion anomaly in which both kidneys are connected by an isthmus of functional renal. Computed tomography scan. Horseshoe Kidney Cancer.
From ceitiemh.blob.core.windows.net
Horseshoe Kidney In Fetus at Elsie Obrien blog Horseshoe Kidney Cancer Computed tomography scan revealed a horseshoe kidney anomaly. Horseshoe kidney is one of the most common congenital renal fusion anomalies and the incidence of renal cell carcinoma in. Horseshoe kidney (hsk) is the most frequent renal fusion anomaly in which both kidneys are connected by an isthmus of functional renal. To contrast surgical outcomes of horseshoe kidney (hsk) patients with. Horseshoe Kidney Cancer.
From www.alamy.com
X ray IVU horseshoe kidney Stock Photo 2835164 Alamy Horseshoe Kidney Cancer Horseshoe kidney is one of the most common congenital renal fusion anomalies and the incidence of renal cell carcinoma in. Computed tomography scan revealed a horseshoe kidney anomaly. To contrast surgical outcomes of horseshoe kidney (hsk) patients with localized renal masses suspected of cancer with. The risk of developing cancer in the kidneys with a disturbed development is similar to. Horseshoe Kidney Cancer.
From www.researchgate.net
(PDF) Renal pelvic cancer with spleen invasion arising in horseshoe Horseshoe Kidney Cancer To contrast surgical outcomes of horseshoe kidney (hsk) patients with localized renal masses suspected of cancer with nonfused nonectopic kidney patients, emphasizing safe. To contrast surgical outcomes of horseshoe kidney (hsk) patients with localized renal masses suspected of cancer with. Horseshoe kidney (hsk) is the most frequent renal fusion anomaly in which both kidneys are connected by an isthmus of. Horseshoe Kidney Cancer.
From www.semanticscholar.org
Figure 1 from A Case of Laparoscopically Resected Sigmoid Colon Cancer Horseshoe Kidney Cancer Horseshoe kidney is one of the most common congenital renal fusion anomalies and the incidence of renal cell carcinoma in. Horseshoe kidney (hsk) is the most frequent renal fusion anomaly in which both kidneys are connected by an isthmus of functional renal. To contrast surgical outcomes of horseshoe kidney (hsk) patients with localized renal masses suspected of cancer with. The. Horseshoe Kidney Cancer.
From www.researchgate.net
(PDF) Retroperitoneoscopic Nephrectomy of a Horseshoe Kidney with Renal Horseshoe Kidney Cancer We report a case of clear cell rcc in a horseshoe kidney. The risk of developing cancer in the kidneys with a disturbed development is similar to the kidneys with a normal structure, but the. To contrast surgical outcomes of horseshoe kidney (hsk) patients with localized renal masses suspected of cancer with nonfused nonectopic kidney patients, emphasizing safe. Horseshoe kidney. Horseshoe Kidney Cancer.
From www.kibrispdr.org
Horseshoe Kidney Vs Normal Kidney 39+ Koleksi Gambar Horseshoe Kidney Cancer Computed tomography scan revealed a horseshoe kidney anomaly. Horseshoe kidney is one of the most common congenital renal fusion anomalies and the incidence of renal cell carcinoma in. To contrast surgical outcomes of horseshoe kidney (hsk) patients with localized renal masses suspected of cancer with nonfused nonectopic kidney patients, emphasizing safe. The risk of developing cancer in the kidneys with. Horseshoe Kidney Cancer.
From pacs.de
horseshoe kidney pacs Horseshoe Kidney Cancer Horseshoe kidney (hsk) is the most frequent renal fusion anomaly in which both kidneys are connected by an isthmus of functional renal. To contrast surgical outcomes of horseshoe kidney (hsk) patients with localized renal masses suspected of cancer with. The risk of developing cancer in the kidneys with a disturbed development is similar to the kidneys with a normal structure,. Horseshoe Kidney Cancer.
From www.phillyvoice.com
Rare horseshoe kidney split by Penn Medicine doctor benefits 2 Horseshoe Kidney Cancer Computed tomography scan revealed a horseshoe kidney anomaly. To contrast surgical outcomes of horseshoe kidney (hsk) patients with localized renal masses suspected of cancer with. The risk of developing cancer in the kidneys with a disturbed development is similar to the kidneys with a normal structure, but the. We report a case of clear cell rcc in a horseshoe kidney.. Horseshoe Kidney Cancer.