How To Find Calcified Canals . to locate the calcified canal, dianat et al. [] for a more secure approach, the optimal orientation of the drill should be carefully studied during the planning while always keeping a safety zone around the drilling. once calcified canals are identified radiographically (figure 1), the clinician should keep in mind the following. guided endodontics is a predictable technique for the location of severely calcified canals. Hales describes how to use a dental operating microscope to find calcified canals during root canal treatment. steps to follow: calcified canals introduce such complexity that dedicated negotiation concepts and specially designed instruments have. it is a safe and clinically feasible method for locating root canals and preventing root perforation of calcified teeth even if small deviations occur during the treatment.
from gentlewave.com
it is a safe and clinically feasible method for locating root canals and preventing root perforation of calcified teeth even if small deviations occur during the treatment. guided endodontics is a predictable technique for the location of severely calcified canals. [] for a more secure approach, the optimal orientation of the drill should be carefully studied during the planning while always keeping a safety zone around the drilling. calcified canals introduce such complexity that dedicated negotiation concepts and specially designed instruments have. once calcified canals are identified radiographically (figure 1), the clinician should keep in mind the following. Hales describes how to use a dental operating microscope to find calcified canals during root canal treatment. to locate the calcified canal, dianat et al. steps to follow:
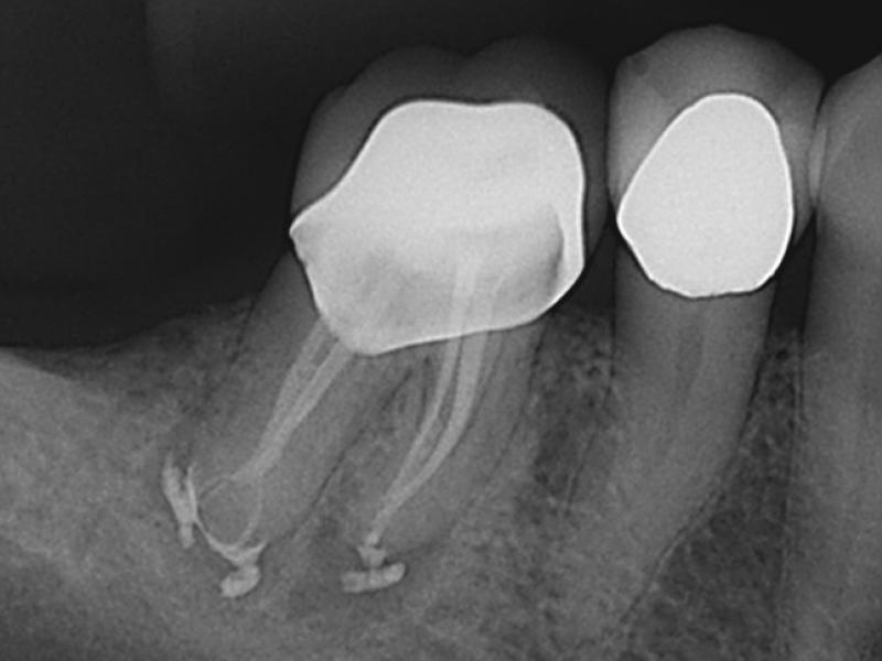
Calcified Canals with Healing Evidence
How To Find Calcified Canals to locate the calcified canal, dianat et al. once calcified canals are identified radiographically (figure 1), the clinician should keep in mind the following. it is a safe and clinically feasible method for locating root canals and preventing root perforation of calcified teeth even if small deviations occur during the treatment. Hales describes how to use a dental operating microscope to find calcified canals during root canal treatment. steps to follow: guided endodontics is a predictable technique for the location of severely calcified canals. to locate the calcified canal, dianat et al. calcified canals introduce such complexity that dedicated negotiation concepts and specially designed instruments have. [] for a more secure approach, the optimal orientation of the drill should be carefully studied during the planning while always keeping a safety zone around the drilling.
From ceirurdh.blob.core.windows.net
How To Instrument Calcified Canals at Robert Williamson blog How To Find Calcified Canals to locate the calcified canal, dianat et al. [] for a more secure approach, the optimal orientation of the drill should be carefully studied during the planning while always keeping a safety zone around the drilling. it is a safe and clinically feasible method for locating root canals and preventing root perforation of calcified teeth even if small. How To Find Calcified Canals.
From socal-rootcanal.com
Calcified canals. SoCal Root Canal How To Find Calcified Canals steps to follow: guided endodontics is a predictable technique for the location of severely calcified canals. to locate the calcified canal, dianat et al. once calcified canals are identified radiographically (figure 1), the clinician should keep in mind the following. Hales describes how to use a dental operating microscope to find calcified canals during root canal. How To Find Calcified Canals.
From madtooth.blogspot.com
madtooth Calcified canals. How To Find Calcified Canals it is a safe and clinically feasible method for locating root canals and preventing root perforation of calcified teeth even if small deviations occur during the treatment. [] for a more secure approach, the optimal orientation of the drill should be carefully studied during the planning while always keeping a safety zone around the drilling. calcified canals introduce. How To Find Calcified Canals.
From www.youtube.com
My protocol in Management of calcified canals YouTube How To Find Calcified Canals [] for a more secure approach, the optimal orientation of the drill should be carefully studied during the planning while always keeping a safety zone around the drilling. calcified canals introduce such complexity that dedicated negotiation concepts and specially designed instruments have. to locate the calcified canal, dianat et al. it is a safe and clinically feasible. How To Find Calcified Canals.
From renovoendo.com
IS COMPLETE CANAL CALCIFICATION TREATABLE? Renovo Endodontic Studio How To Find Calcified Canals once calcified canals are identified radiographically (figure 1), the clinician should keep in mind the following. calcified canals introduce such complexity that dedicated negotiation concepts and specially designed instruments have. [] for a more secure approach, the optimal orientation of the drill should be carefully studied during the planning while always keeping a safety zone around the drilling.. How To Find Calcified Canals.
From www.youtube.com
Cbct as an aid to locate calcified canals YouTube How To Find Calcified Canals Hales describes how to use a dental operating microscope to find calcified canals during root canal treatment. it is a safe and clinically feasible method for locating root canals and preventing root perforation of calcified teeth even if small deviations occur during the treatment. once calcified canals are identified radiographically (figure 1), the clinician should keep in mind. How To Find Calcified Canals.
From gentlewave.com
Calcified Canals with Healing Evidence How To Find Calcified Canals steps to follow: to locate the calcified canal, dianat et al. it is a safe and clinically feasible method for locating root canals and preventing root perforation of calcified teeth even if small deviations occur during the treatment. Hales describes how to use a dental operating microscope to find calcified canals during root canal treatment. once. How To Find Calcified Canals.
From www.dentistry33.com
Guided endodontics for treatment calcified canals Dentistry33 How To Find Calcified Canals [] for a more secure approach, the optimal orientation of the drill should be carefully studied during the planning while always keeping a safety zone around the drilling. Hales describes how to use a dental operating microscope to find calcified canals during root canal treatment. steps to follow: guided endodontics is a predictable technique for the location of. How To Find Calcified Canals.
From www.jendodon.com
Guided Endodontics for Managing Severely Calcified Canals Journal of How To Find Calcified Canals once calcified canals are identified radiographically (figure 1), the clinician should keep in mind the following. it is a safe and clinically feasible method for locating root canals and preventing root perforation of calcified teeth even if small deviations occur during the treatment. steps to follow: [] for a more secure approach, the optimal orientation of the. How To Find Calcified Canals.
From drsoniachopra.com
How to Treat Calcified Root Canals How To Find Calcified Canals calcified canals introduce such complexity that dedicated negotiation concepts and specially designed instruments have. to locate the calcified canal, dianat et al. Hales describes how to use a dental operating microscope to find calcified canals during root canal treatment. steps to follow: it is a safe and clinically feasible method for locating root canals and preventing. How To Find Calcified Canals.
From socal-rootcanal.com
Calcified canals. SoCal Root Canal How To Find Calcified Canals once calcified canals are identified radiographically (figure 1), the clinician should keep in mind the following. [] for a more secure approach, the optimal orientation of the drill should be carefully studied during the planning while always keeping a safety zone around the drilling. guided endodontics is a predictable technique for the location of severely calcified canals. . How To Find Calcified Canals.
From drboehneendo.com
CBCT Guided Troughing in a Calcified Molar Dana Point Endodontics How To Find Calcified Canals Hales describes how to use a dental operating microscope to find calcified canals during root canal treatment. steps to follow: once calcified canals are identified radiographically (figure 1), the clinician should keep in mind the following. guided endodontics is a predictable technique for the location of severely calcified canals. calcified canals introduce such complexity that dedicated. How To Find Calcified Canals.
From www.youtube.com
Calcified canals management YouTube How To Find Calcified Canals guided endodontics is a predictable technique for the location of severely calcified canals. to locate the calcified canal, dianat et al. [] for a more secure approach, the optimal orientation of the drill should be carefully studied during the planning while always keeping a safety zone around the drilling. Hales describes how to use a dental operating microscope. How To Find Calcified Canals.
From www.youtube.com
How to locate Calcified canals Lecture YouTube How To Find Calcified Canals to locate the calcified canal, dianat et al. calcified canals introduce such complexity that dedicated negotiation concepts and specially designed instruments have. it is a safe and clinically feasible method for locating root canals and preventing root perforation of calcified teeth even if small deviations occur during the treatment. Hales describes how to use a dental operating. How To Find Calcified Canals.
From socal-rootcanal.com
Calcified canals. SoCal Root Canal How To Find Calcified Canals steps to follow: calcified canals introduce such complexity that dedicated negotiation concepts and specially designed instruments have. it is a safe and clinically feasible method for locating root canals and preventing root perforation of calcified teeth even if small deviations occur during the treatment. to locate the calcified canal, dianat et al. once calcified canals. How To Find Calcified Canals.
From www.youtube.com
SINGLE VISIT ENDODONTIC DIRECT RESTORATION COMPOSITE RESIN CALCIFIED How To Find Calcified Canals Hales describes how to use a dental operating microscope to find calcified canals during root canal treatment. to locate the calcified canal, dianat et al. it is a safe and clinically feasible method for locating root canals and preventing root perforation of calcified teeth even if small deviations occur during the treatment. calcified canals introduce such complexity. How To Find Calcified Canals.
From www.youtube.com
Molar Root Canal Technique (Navigating Calcified Canals) YouTube How To Find Calcified Canals once calcified canals are identified radiographically (figure 1), the clinician should keep in mind the following. Hales describes how to use a dental operating microscope to find calcified canals during root canal treatment. guided endodontics is a predictable technique for the location of severely calcified canals. steps to follow: to locate the calcified canal, dianat et. How To Find Calcified Canals.
From socal-rootcanal.com
Calcified canals. SoCal Root Canal How To Find Calcified Canals it is a safe and clinically feasible method for locating root canals and preventing root perforation of calcified teeth even if small deviations occur during the treatment. Hales describes how to use a dental operating microscope to find calcified canals during root canal treatment. to locate the calcified canal, dianat et al. guided endodontics is a predictable. How To Find Calcified Canals.
From www.stlawrencedentistry.com
Root Canal Treatment and Calcified Canals How To Find Calcified Canals guided endodontics is a predictable technique for the location of severely calcified canals. steps to follow: [] for a more secure approach, the optimal orientation of the drill should be carefully studied during the planning while always keeping a safety zone around the drilling. Hales describes how to use a dental operating microscope to find calcified canals during. How To Find Calcified Canals.
From www.youtube.com
MANAGE CALCIFIED CANAL ENDODONTIC TREATMENT ULTRASONIC APPROACH ️ET18D How To Find Calcified Canals guided endodontics is a predictable technique for the location of severely calcified canals. steps to follow: calcified canals introduce such complexity that dedicated negotiation concepts and specially designed instruments have. to locate the calcified canal, dianat et al. Hales describes how to use a dental operating microscope to find calcified canals during root canal treatment. []. How To Find Calcified Canals.
From www.youtube.com
Management of Calcified Canals YouTube How To Find Calcified Canals [] for a more secure approach, the optimal orientation of the drill should be carefully studied during the planning while always keeping a safety zone around the drilling. once calcified canals are identified radiographically (figure 1), the clinician should keep in mind the following. to locate the calcified canal, dianat et al. calcified canals introduce such complexity. How To Find Calcified Canals.
From www.riendental.com.au
Treatment of calcified root canals. How To Find Calcified Canals calcified canals introduce such complexity that dedicated negotiation concepts and specially designed instruments have. Hales describes how to use a dental operating microscope to find calcified canals during root canal treatment. steps to follow: [] for a more secure approach, the optimal orientation of the drill should be carefully studied during the planning while always keeping a safety. How To Find Calcified Canals.
From www.youtube.com
How to find calcified hidden canals and perforation repair?/Kalsifiye How To Find Calcified Canals calcified canals introduce such complexity that dedicated negotiation concepts and specially designed instruments have. Hales describes how to use a dental operating microscope to find calcified canals during root canal treatment. once calcified canals are identified radiographically (figure 1), the clinician should keep in mind the following. steps to follow: [] for a more secure approach, the. How To Find Calcified Canals.
From www.youtube.com
Root Canal Technique PART I (Molar Endodontics with Calcified Canals How To Find Calcified Canals steps to follow: calcified canals introduce such complexity that dedicated negotiation concepts and specially designed instruments have. it is a safe and clinically feasible method for locating root canals and preventing root perforation of calcified teeth even if small deviations occur during the treatment. [] for a more secure approach, the optimal orientation of the drill should. How To Find Calcified Canals.
From www.midtownendodontistnyc.com
Calcified Root Canal Treatment NYC Midtown Endodontist NYC How To Find Calcified Canals guided endodontics is a predictable technique for the location of severely calcified canals. calcified canals introduce such complexity that dedicated negotiation concepts and specially designed instruments have. once calcified canals are identified radiographically (figure 1), the clinician should keep in mind the following. it is a safe and clinically feasible method for locating root canals and. How To Find Calcified Canals.
From www.youtube.com
Finding A Calcified Canal with Dr Lincoln Harris YouTube How To Find Calcified Canals Hales describes how to use a dental operating microscope to find calcified canals during root canal treatment. guided endodontics is a predictable technique for the location of severely calcified canals. steps to follow: once calcified canals are identified radiographically (figure 1), the clinician should keep in mind the following. it is a safe and clinically feasible. How To Find Calcified Canals.
From www.youtube.com
Access and Instrumentation of Calcified Molar YouTube How To Find Calcified Canals to locate the calcified canal, dianat et al. steps to follow: calcified canals introduce such complexity that dedicated negotiation concepts and specially designed instruments have. it is a safe and clinically feasible method for locating root canals and preventing root perforation of calcified teeth even if small deviations occur during the treatment. once calcified canals. How To Find Calcified Canals.
From www.youtube.com
Finding Calcified Canals Microscopic Endodontics YouTube How To Find Calcified Canals guided endodontics is a predictable technique for the location of severely calcified canals. it is a safe and clinically feasible method for locating root canals and preventing root perforation of calcified teeth even if small deviations occur during the treatment. Hales describes how to use a dental operating microscope to find calcified canals during root canal treatment. []. How To Find Calcified Canals.
From www.youtube.com
Calcified Tooth (How to Root Canal Critical Tips!) YouTube How To Find Calcified Canals [] for a more secure approach, the optimal orientation of the drill should be carefully studied during the planning while always keeping a safety zone around the drilling. calcified canals introduce such complexity that dedicated negotiation concepts and specially designed instruments have. to locate the calcified canal, dianat et al. guided endodontics is a predictable technique for. How To Find Calcified Canals.
From endostlaurent.com
CALCIFIED CANALS Centre Endodontique Saint Laurent How To Find Calcified Canals once calcified canals are identified radiographically (figure 1), the clinician should keep in mind the following. steps to follow: it is a safe and clinically feasible method for locating root canals and preventing root perforation of calcified teeth even if small deviations occur during the treatment. calcified canals introduce such complexity that dedicated negotiation concepts and. How To Find Calcified Canals.
From www.semanticscholar.org
Figure 2 from Intraoperative Use of CBCT for Identification and How To Find Calcified Canals to locate the calcified canal, dianat et al. calcified canals introduce such complexity that dedicated negotiation concepts and specially designed instruments have. once calcified canals are identified radiographically (figure 1), the clinician should keep in mind the following. it is a safe and clinically feasible method for locating root canals and preventing root perforation of calcified. How To Find Calcified Canals.
From www.youtube.com
How to Get Into Calcified Canals {The Calcified Canal Series Part 1 How To Find Calcified Canals guided endodontics is a predictable technique for the location of severely calcified canals. once calcified canals are identified radiographically (figure 1), the clinician should keep in mind the following. it is a safe and clinically feasible method for locating root canals and preventing root perforation of calcified teeth even if small deviations occur during the treatment. . How To Find Calcified Canals.
From www.youtube.com
Finding Calcified Canal By Using CBCT YouTube How To Find Calcified Canals steps to follow: calcified canals introduce such complexity that dedicated negotiation concepts and specially designed instruments have. it is a safe and clinically feasible method for locating root canals and preventing root perforation of calcified teeth even if small deviations occur during the treatment. guided endodontics is a predictable technique for the location of severely calcified. How To Find Calcified Canals.
From endodontics.styleitaliano.org
Clinical Tips for Managing Calcified Canals Style Italiano Endodontics How To Find Calcified Canals [] for a more secure approach, the optimal orientation of the drill should be carefully studied during the planning while always keeping a safety zone around the drilling. it is a safe and clinically feasible method for locating root canals and preventing root perforation of calcified teeth even if small deviations occur during the treatment. Hales describes how to. How To Find Calcified Canals.
From www.endomontreal.com
Root Canal Calcifications, a Challenge in Root Canal Treatments How To Find Calcified Canals to locate the calcified canal, dianat et al. it is a safe and clinically feasible method for locating root canals and preventing root perforation of calcified teeth even if small deviations occur during the treatment. guided endodontics is a predictable technique for the location of severely calcified canals. [] for a more secure approach, the optimal orientation. How To Find Calcified Canals.