Elbow Brace Olecranon Fracture . Because the olecranon is positioned directly under the skin with little protection from muscles or other soft tissues, it can break easily if you experience a blow to the elbow or fall on an outstretched arm. You have sustained a fracture to your olecranon (elbow) this normally takes approximately six weeks to heal. Physical therapy is commonly pursued after an elbow fracture. It also improves the strength and mobility of not only your elbow but your arm, shoulder, or wrist as well. Your doctor will use plates, screws, wires, or strong. There is immediate pain in the elbow area. Medically reviewed by cara beth lee, md. An olecranon fracture is usually caused by a fall directly on the elbow. This can help speed healing and restore the range of motion of the elbow joint. The surgery involves a cut on the back of your arm over the elbow. During this period, it is important. This can help fix the bone and lower the chance of arthritis. Your may be able to feel a gap. An olecranon fracture is a break in the bony tip of the elbow.
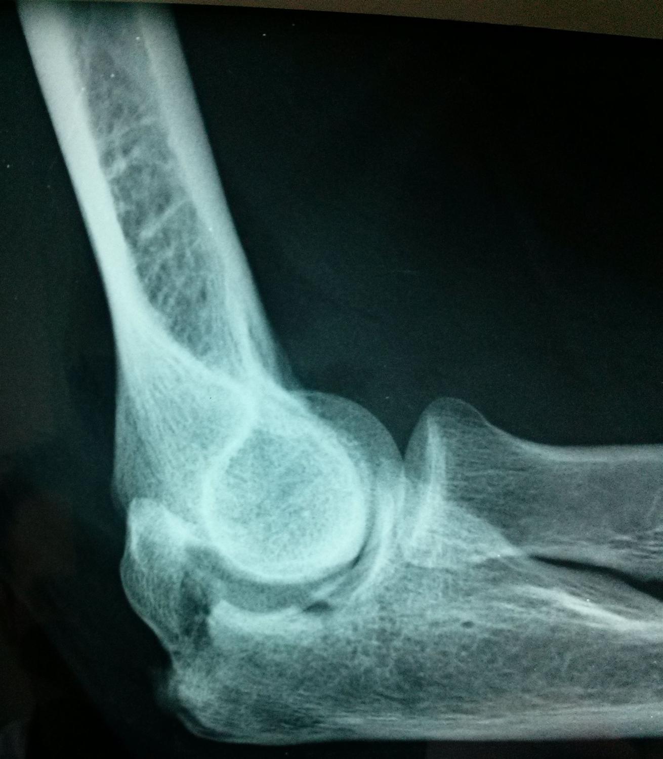
from www.svuhradiology.ie
You have sustained a fracture to your olecranon (elbow) this normally takes approximately six weeks to heal. Physical therapy is commonly pursued after an elbow fracture. An olecranon fracture is usually caused by a fall directly on the elbow. During this period, it is important. An olecranon fracture is a break in the bony tip of the elbow. Your doctor will use plates, screws, wires, or strong. Because the olecranon is positioned directly under the skin with little protection from muscles or other soft tissues, it can break easily if you experience a blow to the elbow or fall on an outstretched arm. Your may be able to feel a gap. The surgery involves a cut on the back of your arm over the elbow. There is immediate pain in the elbow area.
Olecranon fracture Radiology at St. Vincent's University Hospital
Elbow Brace Olecranon Fracture Because the olecranon is positioned directly under the skin with little protection from muscles or other soft tissues, it can break easily if you experience a blow to the elbow or fall on an outstretched arm. Physical therapy is commonly pursued after an elbow fracture. It also improves the strength and mobility of not only your elbow but your arm, shoulder, or wrist as well. There is immediate pain in the elbow area. An olecranon fracture is usually caused by a fall directly on the elbow. Your doctor will use plates, screws, wires, or strong. The surgery involves a cut on the back of your arm over the elbow. An olecranon fracture is a break in the bony tip of the elbow. Your may be able to feel a gap. You have sustained a fracture to your olecranon (elbow) this normally takes approximately six weeks to heal. During this period, it is important. Because the olecranon is positioned directly under the skin with little protection from muscles or other soft tissues, it can break easily if you experience a blow to the elbow or fall on an outstretched arm. Medically reviewed by cara beth lee, md. This can help fix the bone and lower the chance of arthritis. This can help speed healing and restore the range of motion of the elbow joint.
From www.dreamstime.com
Xray Elbow Showing Fracture Proximal Ulna or Olecranon Fracture Elbow Brace Olecranon Fracture Your doctor will use plates, screws, wires, or strong. During this period, it is important. This can help fix the bone and lower the chance of arthritis. An olecranon fracture is usually caused by a fall directly on the elbow. Medically reviewed by cara beth lee, md. You have sustained a fracture to your olecranon (elbow) this normally takes approximately. Elbow Brace Olecranon Fracture.
From www.nirschl.com
Olecranon Fractures Arlington VA, Elbow Nirschl Orthopaedic Center Elbow Brace Olecranon Fracture This can help speed healing and restore the range of motion of the elbow joint. Your doctor will use plates, screws, wires, or strong. Medically reviewed by cara beth lee, md. During this period, it is important. This can help fix the bone and lower the chance of arthritis. The surgery involves a cut on the back of your arm. Elbow Brace Olecranon Fracture.
From www.cureus.com
Cureus Olecranon Fracture in an Older Adult Treated With Locking Elbow Brace Olecranon Fracture An olecranon fracture is usually caused by a fall directly on the elbow. Your may be able to feel a gap. You have sustained a fracture to your olecranon (elbow) this normally takes approximately six weeks to heal. An olecranon fracture is a break in the bony tip of the elbow. Medically reviewed by cara beth lee, md. This can. Elbow Brace Olecranon Fracture.
From www.freepik.com
Premium Photo Elbow an olecranon fracture my be held together with Elbow Brace Olecranon Fracture This can help fix the bone and lower the chance of arthritis. During this period, it is important. Physical therapy is commonly pursued after an elbow fracture. Your may be able to feel a gap. Medically reviewed by cara beth lee, md. This can help speed healing and restore the range of motion of the elbow joint. You have sustained. Elbow Brace Olecranon Fracture.
From www.orthobullets.com
Olecranon Fractures Trauma Orthobullets Elbow Brace Olecranon Fracture Your may be able to feel a gap. An olecranon fracture is a break in the bony tip of the elbow. Because the olecranon is positioned directly under the skin with little protection from muscles or other soft tissues, it can break easily if you experience a blow to the elbow or fall on an outstretched arm. It also improves. Elbow Brace Olecranon Fracture.
From dontforgetthebubbles.com
Olecranon fractures Elbow Brace Olecranon Fracture There is immediate pain in the elbow area. Your doctor will use plates, screws, wires, or strong. The surgery involves a cut on the back of your arm over the elbow. Your may be able to feel a gap. Physical therapy is commonly pursued after an elbow fracture. An olecranon fracture is a break in the bony tip of the. Elbow Brace Olecranon Fracture.
From www.zzwecare.com
Elbow Brace for Fracture Wecare Elbow Brace Olecranon Fracture Physical therapy is commonly pursued after an elbow fracture. This can help speed healing and restore the range of motion of the elbow joint. This can help fix the bone and lower the chance of arthritis. There is immediate pain in the elbow area. The surgery involves a cut on the back of your arm over the elbow. During this. Elbow Brace Olecranon Fracture.
From healthjade.net
Olecranon fracture causes, symptoms, diagnosis, treatment & prognosis Elbow Brace Olecranon Fracture This can help fix the bone and lower the chance of arthritis. You have sustained a fracture to your olecranon (elbow) this normally takes approximately six weeks to heal. During this period, it is important. This can help speed healing and restore the range of motion of the elbow joint. Physical therapy is commonly pursued after an elbow fracture. Your. Elbow Brace Olecranon Fracture.
From www.armdocs.com
Complex Elbow Fracture Surgery Arm Docs Elbow Brace Olecranon Fracture Physical therapy is commonly pursued after an elbow fracture. This can help fix the bone and lower the chance of arthritis. Because the olecranon is positioned directly under the skin with little protection from muscles or other soft tissues, it can break easily if you experience a blow to the elbow or fall on an outstretched arm. Your may be. Elbow Brace Olecranon Fracture.
From orthoinfo.aaos.org
Elbow (Olecranon) Fractures OrthoInfo AAOS Elbow Brace Olecranon Fracture It also improves the strength and mobility of not only your elbow but your arm, shoulder, or wrist as well. An olecranon fracture is usually caused by a fall directly on the elbow. There is immediate pain in the elbow area. This can help speed healing and restore the range of motion of the elbow joint. Your may be able. Elbow Brace Olecranon Fracture.
From www.bmc.org
Elbow (Olecranon) Fracture Treatment Boston Medical Center Elbow Brace Olecranon Fracture It also improves the strength and mobility of not only your elbow but your arm, shoulder, or wrist as well. The surgery involves a cut on the back of your arm over the elbow. Because the olecranon is positioned directly under the skin with little protection from muscles or other soft tissues, it can break easily if you experience a. Elbow Brace Olecranon Fracture.
From burkinafaso.desertcart.com
BraceAbility Elbow Immobilizer Brace Removable Long Arm Cast and Soft Elbow Brace Olecranon Fracture Physical therapy is commonly pursued after an elbow fracture. An olecranon fracture is usually caused by a fall directly on the elbow. Medically reviewed by cara beth lee, md. An olecranon fracture is a break in the bony tip of the elbow. Because the olecranon is positioned directly under the skin with little protection from muscles or other soft tissues,. Elbow Brace Olecranon Fracture.
From www.svuhradiology.ie
Olecranon fracture Radiology at St. Vincent's University Hospital Elbow Brace Olecranon Fracture Because the olecranon is positioned directly under the skin with little protection from muscles or other soft tissues, it can break easily if you experience a blow to the elbow or fall on an outstretched arm. Medically reviewed by cara beth lee, md. Physical therapy is commonly pursued after an elbow fracture. There is immediate pain in the elbow area.. Elbow Brace Olecranon Fracture.
From www.youtube.com
Elbow (Olecranon) Fracture and Fixation 3D Animation YouTube Elbow Brace Olecranon Fracture Because the olecranon is positioned directly under the skin with little protection from muscles or other soft tissues, it can break easily if you experience a blow to the elbow or fall on an outstretched arm. This can help fix the bone and lower the chance of arthritis. This can help speed healing and restore the range of motion of. Elbow Brace Olecranon Fracture.
From healthjade.net
Olecranon fracture causes, symptoms, diagnosis, treatment & prognosis Elbow Brace Olecranon Fracture This can help fix the bone and lower the chance of arthritis. During this period, it is important. An olecranon fracture is a break in the bony tip of the elbow. There is immediate pain in the elbow area. You have sustained a fracture to your olecranon (elbow) this normally takes approximately six weeks to heal. Physical therapy is commonly. Elbow Brace Olecranon Fracture.
From hartfordsportsorthopedics.com
Olecranon Fracture Fixation Elbow Surgeon South Windsor, Rocky Hill Elbow Brace Olecranon Fracture This can help fix the bone and lower the chance of arthritis. Your may be able to feel a gap. Your doctor will use plates, screws, wires, or strong. Because the olecranon is positioned directly under the skin with little protection from muscles or other soft tissues, it can break easily if you experience a blow to the elbow or. Elbow Brace Olecranon Fracture.
From www.schreibermd.com
Olecranon Fracture Raleigh Hand Surgery — Joseph J. Schreiber, MD Elbow Brace Olecranon Fracture Medically reviewed by cara beth lee, md. During this period, it is important. The surgery involves a cut on the back of your arm over the elbow. This can help fix the bone and lower the chance of arthritis. There is immediate pain in the elbow area. This can help speed healing and restore the range of motion of the. Elbow Brace Olecranon Fracture.
From www.desertcart.com.om
Buy BraceAbility Elbow Immobilizer Brace Removable Long Arm Cast and Elbow Brace Olecranon Fracture This can help speed healing and restore the range of motion of the elbow joint. Because the olecranon is positioned directly under the skin with little protection from muscles or other soft tissues, it can break easily if you experience a blow to the elbow or fall on an outstretched arm. Physical therapy is commonly pursued after an elbow fracture.. Elbow Brace Olecranon Fracture.
From www.rehabmypatient.com
Elbow (Olecranon) Fracture Rehab My Patient Elbow Brace Olecranon Fracture Your doctor will use plates, screws, wires, or strong. This can help fix the bone and lower the chance of arthritis. Your may be able to feel a gap. An olecranon fracture is a break in the bony tip of the elbow. Medically reviewed by cara beth lee, md. Physical therapy is commonly pursued after an elbow fracture. This can. Elbow Brace Olecranon Fracture.
From www.clinicaladvisor.com
OrthoDx Olecranon Fracture in Older Woman Clinical Advisor Elbow Brace Olecranon Fracture An olecranon fracture is usually caused by a fall directly on the elbow. Because the olecranon is positioned directly under the skin with little protection from muscles or other soft tissues, it can break easily if you experience a blow to the elbow or fall on an outstretched arm. An olecranon fracture is a break in the bony tip of. Elbow Brace Olecranon Fracture.
From anatomicaljustice.com
Right Elbow Olecranon Fracture and Repair Elbow Brace Olecranon Fracture Because the olecranon is positioned directly under the skin with little protection from muscles or other soft tissues, it can break easily if you experience a blow to the elbow or fall on an outstretched arm. It also improves the strength and mobility of not only your elbow but your arm, shoulder, or wrist as well. Physical therapy is commonly. Elbow Brace Olecranon Fracture.
From www.thewimseyhandclinic.co.uk
Elbow Fracture Surgery Hertfordshire Olecranon Fracture Middlesex Elbow Brace Olecranon Fracture You have sustained a fracture to your olecranon (elbow) this normally takes approximately six weeks to heal. This can help fix the bone and lower the chance of arthritis. This can help speed healing and restore the range of motion of the elbow joint. An olecranon fracture is usually caused by a fall directly on the elbow. During this period,. Elbow Brace Olecranon Fracture.
From musculoskeletalkey.com
Olecranon Fractures Musculoskeletal Key Elbow Brace Olecranon Fracture This can help fix the bone and lower the chance of arthritis. There is immediate pain in the elbow area. You have sustained a fracture to your olecranon (elbow) this normally takes approximately six weeks to heal. Your may be able to feel a gap. Because the olecranon is positioned directly under the skin with little protection from muscles or. Elbow Brace Olecranon Fracture.
From www.credihealth.com
Elbow Fracture (olecranon) Treatment and Precautions Credihealth Elbow Brace Olecranon Fracture It also improves the strength and mobility of not only your elbow but your arm, shoulder, or wrist as well. Your doctor will use plates, screws, wires, or strong. This can help fix the bone and lower the chance of arthritis. Because the olecranon is positioned directly under the skin with little protection from muscles or other soft tissues, it. Elbow Brace Olecranon Fracture.
From grandcentralpt.net
Splint for Olecranon Fracture or Wrist Surgery Grand Central Physical Elbow Brace Olecranon Fracture During this period, it is important. Physical therapy is commonly pursued after an elbow fracture. The surgery involves a cut on the back of your arm over the elbow. Your doctor will use plates, screws, wires, or strong. An olecranon fracture is usually caused by a fall directly on the elbow. Medically reviewed by cara beth lee, md. There is. Elbow Brace Olecranon Fracture.
From dontforgetthebubbles.com
Olecranon fractures Don't the Bubbles Elbow Brace Olecranon Fracture An olecranon fracture is a break in the bony tip of the elbow. This can help speed healing and restore the range of motion of the elbow joint. Medically reviewed by cara beth lee, md. It also improves the strength and mobility of not only your elbow but your arm, shoulder, or wrist as well. Physical therapy is commonly pursued. Elbow Brace Olecranon Fracture.
From www.armdocs.com
Olecranon Fracture Fixation Arm Docs Elbow Brace Olecranon Fracture An olecranon fracture is usually caused by a fall directly on the elbow. Your doctor will use plates, screws, wires, or strong. Your may be able to feel a gap. Medically reviewed by cara beth lee, md. It also improves the strength and mobility of not only your elbow but your arm, shoulder, or wrist as well. The surgery involves. Elbow Brace Olecranon Fracture.
From www.worldbrace.com
Olecranon Stress Fracture Symptoms, Causes, Treatment By Elbow Braces Elbow Brace Olecranon Fracture The surgery involves a cut on the back of your arm over the elbow. Because the olecranon is positioned directly under the skin with little protection from muscles or other soft tissues, it can break easily if you experience a blow to the elbow or fall on an outstretched arm. Medically reviewed by cara beth lee, md. There is immediate. Elbow Brace Olecranon Fracture.
From sportshanddoctor.com
Olecranon Fracture Open Reduction Internal Fixation Thomas R. Hunt Elbow Brace Olecranon Fracture Because the olecranon is positioned directly under the skin with little protection from muscles or other soft tissues, it can break easily if you experience a blow to the elbow or fall on an outstretched arm. The surgery involves a cut on the back of your arm over the elbow. There is immediate pain in the elbow area. This can. Elbow Brace Olecranon Fracture.
From hartfordsportsorthopedics.com
Olecranon Fracture Broken Elbow Specialist South Windsor, Enfield Elbow Brace Olecranon Fracture You have sustained a fracture to your olecranon (elbow) this normally takes approximately six weeks to heal. During this period, it is important. This can help fix the bone and lower the chance of arthritis. Medically reviewed by cara beth lee, md. This can help speed healing and restore the range of motion of the elbow joint. Your doctor will. Elbow Brace Olecranon Fracture.
From teachmesurgery.com
Olecranon Fractures Pathophysiology Management TeachMeSurgery Elbow Brace Olecranon Fracture An olecranon fracture is a break in the bony tip of the elbow. You have sustained a fracture to your olecranon (elbow) this normally takes approximately six weeks to heal. Your may be able to feel a gap. Medically reviewed by cara beth lee, md. Physical therapy is commonly pursued after an elbow fracture. This can help fix the bone. Elbow Brace Olecranon Fracture.
From bahamas.desertcart.com
Buy Cradling Splint for Broken Supracondylar Distal Humerus Proximal Elbow Brace Olecranon Fracture Your may be able to feel a gap. This can help fix the bone and lower the chance of arthritis. It also improves the strength and mobility of not only your elbow but your arm, shoulder, or wrist as well. You have sustained a fracture to your olecranon (elbow) this normally takes approximately six weeks to heal. Physical therapy is. Elbow Brace Olecranon Fracture.
From www.verywellhealth.com
Signs of an Olecranon Fracture or Broken Elbow Bone Elbow Brace Olecranon Fracture There is immediate pain in the elbow area. An olecranon fracture is usually caused by a fall directly on the elbow. Physical therapy is commonly pursued after an elbow fracture. You have sustained a fracture to your olecranon (elbow) this normally takes approximately six weeks to heal. Your doctor will use plates, screws, wires, or strong. This can help fix. Elbow Brace Olecranon Fracture.
From www.thewimseyhandclinic.co.uk
Elbow Fracture Surgery Hertfordshire Olecranon Fracture Middlesex Elbow Brace Olecranon Fracture Physical therapy is commonly pursued after an elbow fracture. There is immediate pain in the elbow area. An olecranon fracture is usually caused by a fall directly on the elbow. This can help speed healing and restore the range of motion of the elbow joint. Your doctor will use plates, screws, wires, or strong. An olecranon fracture is a break. Elbow Brace Olecranon Fracture.
From www.braceability.com
Bursitis Elbow Pad Brace Olecranon Padded Sleeve & Bursa Wrap Elbow Brace Olecranon Fracture Medically reviewed by cara beth lee, md. You have sustained a fracture to your olecranon (elbow) this normally takes approximately six weeks to heal. During this period, it is important. There is immediate pain in the elbow area. This can help fix the bone and lower the chance of arthritis. An olecranon fracture is a break in the bony tip. Elbow Brace Olecranon Fracture.