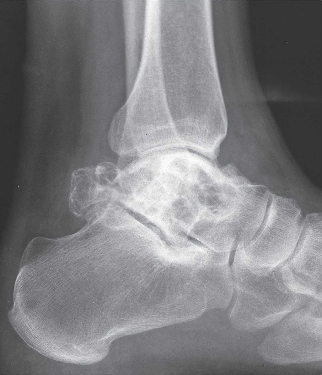
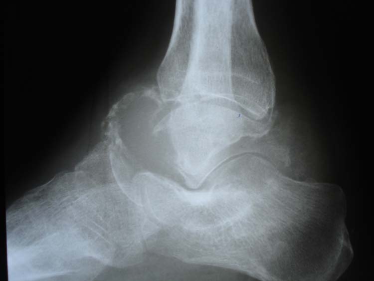
Talus Bone Tumor . Results revealed 75 cases of talar lesions. Radiologists as well as orthopaedic surgeons need to be. Bone tumors of the talus are even. The talus is a rare location for tumors; Osseous neoplasms of the foot are uncommon, accounting for only 3.3% of all primary bone tumors. Giant cell tumor is a benign primary bone neoplasm which most often occurs in a periarticular location. Sixteen patients were diagnosed with bone tumour of the talus between 2002 and. Benign tumours formed the bulk of the. Bone tumors of the talus are even rarer,. Osseous neoplasms of the foot are uncommon, accounting for only 3.3% of all primary bone tumors. Radiologists as well as orthopaedic surgeons need to be aware of such.
from www.clinicalimaging.org
Radiologists as well as orthopaedic surgeons need to be aware of such. Sixteen patients were diagnosed with bone tumour of the talus between 2002 and. Giant cell tumor is a benign primary bone neoplasm which most often occurs in a periarticular location. The talus is a rare location for tumors; Bone tumors of the talus are even rarer,. Results revealed 75 cases of talar lesions. Radiologists as well as orthopaedic surgeons need to be. Osseous neoplasms of the foot are uncommon, accounting for only 3.3% of all primary bone tumors. Benign tumours formed the bulk of the. Osseous neoplasms of the foot are uncommon, accounting for only 3.3% of all primary bone tumors.
Imaging findings of various talus bone tumors—clinicoradiologic
Talus Bone Tumor Bone tumors of the talus are even rarer,. Benign tumours formed the bulk of the. Sixteen patients were diagnosed with bone tumour of the talus between 2002 and. Bone tumors of the talus are even rarer,. Radiologists as well as orthopaedic surgeons need to be aware of such. Giant cell tumor is a benign primary bone neoplasm which most often occurs in a periarticular location. Osseous neoplasms of the foot are uncommon, accounting for only 3.3% of all primary bone tumors. Radiologists as well as orthopaedic surgeons need to be. Bone tumors of the talus are even. Results revealed 75 cases of talar lesions. Osseous neoplasms of the foot are uncommon, accounting for only 3.3% of all primary bone tumors. The talus is a rare location for tumors;
From www.clinicalimaging.org
Imaging findings of various talus bone tumors—clinicoradiologic Talus Bone Tumor Bone tumors of the talus are even. Bone tumors of the talus are even rarer,. Radiologists as well as orthopaedic surgeons need to be. Radiologists as well as orthopaedic surgeons need to be aware of such. Benign tumours formed the bulk of the. Sixteen patients were diagnosed with bone tumour of the talus between 2002 and. Osseous neoplasms of the. Talus Bone Tumor.
From musculoskeletalkey.com
20 Tumors and Tumorlike Lesions Musculoskeletal Key Talus Bone Tumor Bone tumors of the talus are even rarer,. Benign tumours formed the bulk of the. The talus is a rare location for tumors; Radiologists as well as orthopaedic surgeons need to be aware of such. Sixteen patients were diagnosed with bone tumour of the talus between 2002 and. Osseous neoplasms of the foot are uncommon, accounting for only 3.3% of. Talus Bone Tumor.
From www.mri.theclinics.com
Primary Osseous Tumors of the Foot and Ankle Resonance Talus Bone Tumor Sixteen patients were diagnosed with bone tumour of the talus between 2002 and. Osseous neoplasms of the foot are uncommon, accounting for only 3.3% of all primary bone tumors. Giant cell tumor is a benign primary bone neoplasm which most often occurs in a periarticular location. Bone tumors of the talus are even rarer,. Radiologists as well as orthopaedic surgeons. Talus Bone Tumor.
From www.clinicalimaging.org
Imaging findings of various talus bone tumors—clinicoradiologic Talus Bone Tumor Benign tumours formed the bulk of the. Bone tumors of the talus are even rarer,. Sixteen patients were diagnosed with bone tumour of the talus between 2002 and. Radiologists as well as orthopaedic surgeons need to be. Osseous neoplasms of the foot are uncommon, accounting for only 3.3% of all primary bone tumors. Bone tumors of the talus are even.. Talus Bone Tumor.
From www.clinicalimaging.org
Imaging findings of various talus bone tumors—clinicoradiologic Talus Bone Tumor Bone tumors of the talus are even rarer,. Osseous neoplasms of the foot are uncommon, accounting for only 3.3% of all primary bone tumors. The talus is a rare location for tumors; Bone tumors of the talus are even. Radiologists as well as orthopaedic surgeons need to be aware of such. Sixteen patients were diagnosed with bone tumour of the. Talus Bone Tumor.
From www.bonetumor.org
A lesion in the talus of an 88 year old woman with 2 previous tumors Talus Bone Tumor Bone tumors of the talus are even rarer,. Bone tumors of the talus are even. Results revealed 75 cases of talar lesions. Radiologists as well as orthopaedic surgeons need to be. The talus is a rare location for tumors; Radiologists as well as orthopaedic surgeons need to be aware of such. Osseous neoplasms of the foot are uncommon, accounting for. Talus Bone Tumor.
From www.cureus.com
Osteoblastoma of Talus A Diagnostic Dilemma Cureus Talus Bone Tumor Bone tumors of the talus are even. Results revealed 75 cases of talar lesions. Osseous neoplasms of the foot are uncommon, accounting for only 3.3% of all primary bone tumors. Sixteen patients were diagnosed with bone tumour of the talus between 2002 and. The talus is a rare location for tumors; Osseous neoplasms of the foot are uncommon, accounting for. Talus Bone Tumor.
From www.clinicalimaging.org
Imaging findings of various talus bone tumors—clinicoradiologic Talus Bone Tumor The talus is a rare location for tumors; Radiologists as well as orthopaedic surgeons need to be aware of such. Sixteen patients were diagnosed with bone tumour of the talus between 2002 and. Results revealed 75 cases of talar lesions. Radiologists as well as orthopaedic surgeons need to be. Benign tumours formed the bulk of the. Giant cell tumor is. Talus Bone Tumor.
From www.clinicalimaging.org
Imaging findings of various talus bone tumors—clinicoradiologic Talus Bone Tumor The talus is a rare location for tumors; Bone tumors of the talus are even. Bone tumors of the talus are even rarer,. Benign tumours formed the bulk of the. Results revealed 75 cases of talar lesions. Giant cell tumor is a benign primary bone neoplasm which most often occurs in a periarticular location. Radiologists as well as orthopaedic surgeons. Talus Bone Tumor.
From boneandspine.com
Avascular Necrosis of Talus Causes and Treatment Bone and Spine Talus Bone Tumor Sixteen patients were diagnosed with bone tumour of the talus between 2002 and. Osseous neoplasms of the foot are uncommon, accounting for only 3.3% of all primary bone tumors. Results revealed 75 cases of talar lesions. Bone tumors of the talus are even rarer,. Giant cell tumor is a benign primary bone neoplasm which most often occurs in a periarticular. Talus Bone Tumor.
From faoj.org
Giant Cell Tumor of the Talus A case report and review of literature Talus Bone Tumor Benign tumours formed the bulk of the. Sixteen patients were diagnosed with bone tumour of the talus between 2002 and. Bone tumors of the talus are even rarer,. The talus is a rare location for tumors; Results revealed 75 cases of talar lesions. Bone tumors of the talus are even. Osseous neoplasms of the foot are uncommon, accounting for only. Talus Bone Tumor.
From www.clinicalimaging.org
Imaging findings of various talus bone tumors—clinicoradiologic Talus Bone Tumor Bone tumors of the talus are even. Osseous neoplasms of the foot are uncommon, accounting for only 3.3% of all primary bone tumors. The talus is a rare location for tumors; Osseous neoplasms of the foot are uncommon, accounting for only 3.3% of all primary bone tumors. Sixteen patients were diagnosed with bone tumour of the talus between 2002 and.. Talus Bone Tumor.
From ar.inspiredpencil.com
Talus Bone X Ray Talus Bone Tumor The talus is a rare location for tumors; Osseous neoplasms of the foot are uncommon, accounting for only 3.3% of all primary bone tumors. Bone tumors of the talus are even rarer,. Radiologists as well as orthopaedic surgeons need to be aware of such. Giant cell tumor is a benign primary bone neoplasm which most often occurs in a periarticular. Talus Bone Tumor.
From faoj.org
Giant Cell Tumor of Talus A case report of late presentation with Talus Bone Tumor The talus is a rare location for tumors; Bone tumors of the talus are even rarer,. Radiologists as well as orthopaedic surgeons need to be aware of such. Results revealed 75 cases of talar lesions. Sixteen patients were diagnosed with bone tumour of the talus between 2002 and. Osseous neoplasms of the foot are uncommon, accounting for only 3.3% of. Talus Bone Tumor.
From www.bonetumor.org
A lesion in the talus of an 88 year old woman with 2 previous tumors Talus Bone Tumor Results revealed 75 cases of talar lesions. Bone tumors of the talus are even. Sixteen patients were diagnosed with bone tumour of the talus between 2002 and. Radiologists as well as orthopaedic surgeons need to be. Bone tumors of the talus are even rarer,. Benign tumours formed the bulk of the. The talus is a rare location for tumors; Radiologists. Talus Bone Tumor.
From www.clinicalimaging.org
Imaging findings of various talus bone tumors—clinicoradiologic Talus Bone Tumor The talus is a rare location for tumors; Sixteen patients were diagnosed with bone tumour of the talus between 2002 and. Bone tumors of the talus are even. Radiologists as well as orthopaedic surgeons need to be aware of such. Osseous neoplasms of the foot are uncommon, accounting for only 3.3% of all primary bone tumors. Bone tumors of the. Talus Bone Tumor.
From www.researchgate.net
The MRI shows pedicled bone tumor arising from the talus. Download Talus Bone Tumor Osseous neoplasms of the foot are uncommon, accounting for only 3.3% of all primary bone tumors. Radiologists as well as orthopaedic surgeons need to be aware of such. Radiologists as well as orthopaedic surgeons need to be. Results revealed 75 cases of talar lesions. Osseous neoplasms of the foot are uncommon, accounting for only 3.3% of all primary bone tumors.. Talus Bone Tumor.
From www.bonetumor.org
A lesion in the talus of an 88 year old woman with 2 previous tumors Talus Bone Tumor Results revealed 75 cases of talar lesions. Radiologists as well as orthopaedic surgeons need to be. Osseous neoplasms of the foot are uncommon, accounting for only 3.3% of all primary bone tumors. Osseous neoplasms of the foot are uncommon, accounting for only 3.3% of all primary bone tumors. Giant cell tumor is a benign primary bone neoplasm which most often. Talus Bone Tumor.
From faoj.org
Giant Cell Tumor of the Talus A case report and review of literature Talus Bone Tumor Giant cell tumor is a benign primary bone neoplasm which most often occurs in a periarticular location. Benign tumours formed the bulk of the. Osseous neoplasms of the foot are uncommon, accounting for only 3.3% of all primary bone tumors. Sixteen patients were diagnosed with bone tumour of the talus between 2002 and. Results revealed 75 cases of talar lesions.. Talus Bone Tumor.
From www.clinicalimaging.org
Imaging findings of various talus bone tumors—clinicoradiologic Talus Bone Tumor Osseous neoplasms of the foot are uncommon, accounting for only 3.3% of all primary bone tumors. Sixteen patients were diagnosed with bone tumour of the talus between 2002 and. Giant cell tumor is a benign primary bone neoplasm which most often occurs in a periarticular location. The talus is a rare location for tumors; Bone tumors of the talus are. Talus Bone Tumor.
From faoj.org
Giant Cell Tumor of the Talus A case report and review of literature Talus Bone Tumor Osseous neoplasms of the foot are uncommon, accounting for only 3.3% of all primary bone tumors. Osseous neoplasms of the foot are uncommon, accounting for only 3.3% of all primary bone tumors. Results revealed 75 cases of talar lesions. Sixteen patients were diagnosed with bone tumour of the talus between 2002 and. The talus is a rare location for tumors;. Talus Bone Tumor.
From www.clinicalimaging.org
Imaging findings of various talus bone tumors—clinicoradiologic Talus Bone Tumor Sixteen patients were diagnosed with bone tumour of the talus between 2002 and. Benign tumours formed the bulk of the. Bone tumors of the talus are even rarer,. Results revealed 75 cases of talar lesions. Radiologists as well as orthopaedic surgeons need to be aware of such. Osseous neoplasms of the foot are uncommon, accounting for only 3.3% of all. Talus Bone Tumor.
From radiologykey.com
Pediatric Bone Tumors Radiology Key Talus Bone Tumor Osseous neoplasms of the foot are uncommon, accounting for only 3.3% of all primary bone tumors. Bone tumors of the talus are even. Bone tumors of the talus are even rarer,. Osseous neoplasms of the foot are uncommon, accounting for only 3.3% of all primary bone tumors. Benign tumours formed the bulk of the. The talus is a rare location. Talus Bone Tumor.
From www.bonetumor.org
A lesion in the talus of an 88 year old woman with 2 previous tumors Talus Bone Tumor The talus is a rare location for tumors; Results revealed 75 cases of talar lesions. Bone tumors of the talus are even rarer,. Bone tumors of the talus are even. Giant cell tumor is a benign primary bone neoplasm which most often occurs in a periarticular location. Radiologists as well as orthopaedic surgeons need to be aware of such. Sixteen. Talus Bone Tumor.
From faoj.org
Chondroblastoma of the Talus A case report The Foot and Ankle Online Talus Bone Tumor Bone tumors of the talus are even. Radiologists as well as orthopaedic surgeons need to be. Results revealed 75 cases of talar lesions. Benign tumours formed the bulk of the. Giant cell tumor is a benign primary bone neoplasm which most often occurs in a periarticular location. Osseous neoplasms of the foot are uncommon, accounting for only 3.3% of all. Talus Bone Tumor.
From faoj.org
Giant Cell Tumor of Talus A case report of late presentation with Talus Bone Tumor Radiologists as well as orthopaedic surgeons need to be. Giant cell tumor is a benign primary bone neoplasm which most often occurs in a periarticular location. Bone tumors of the talus are even rarer,. The talus is a rare location for tumors; Radiologists as well as orthopaedic surgeons need to be aware of such. Osseous neoplasms of the foot are. Talus Bone Tumor.
From www.ctisus.com
Osteoid Osteoma of the Talus Musculoskeletal Case Studies CTisus CT Talus Bone Tumor Osseous neoplasms of the foot are uncommon, accounting for only 3.3% of all primary bone tumors. Bone tumors of the talus are even. The talus is a rare location for tumors; Radiologists as well as orthopaedic surgeons need to be. Osseous neoplasms of the foot are uncommon, accounting for only 3.3% of all primary bone tumors. Bone tumors of the. Talus Bone Tumor.
From www.clinicalimaging.org
Imaging findings of various talus bone tumors—clinicoradiologic Talus Bone Tumor Radiologists as well as orthopaedic surgeons need to be aware of such. Radiologists as well as orthopaedic surgeons need to be. Benign tumours formed the bulk of the. The talus is a rare location for tumors; Sixteen patients were diagnosed with bone tumour of the talus between 2002 and. Results revealed 75 cases of talar lesions. Osseous neoplasms of the. Talus Bone Tumor.
From faoj.org
Chondroblastoma of the Talus A case report The Foot and Ankle Online Talus Bone Tumor Sixteen patients were diagnosed with bone tumour of the talus between 2002 and. Radiologists as well as orthopaedic surgeons need to be aware of such. Bone tumors of the talus are even. Bone tumors of the talus are even rarer,. The talus is a rare location for tumors; Radiologists as well as orthopaedic surgeons need to be. Osseous neoplasms of. Talus Bone Tumor.
From www.jfas.org
Chondroblastoma of the Talus The Journal of Foot and Ankle Surgery Talus Bone Tumor The talus is a rare location for tumors; Bone tumors of the talus are even rarer,. Radiologists as well as orthopaedic surgeons need to be aware of such. Bone tumors of the talus are even. Benign tumours formed the bulk of the. Osseous neoplasms of the foot are uncommon, accounting for only 3.3% of all primary bone tumors. Sixteen patients. Talus Bone Tumor.
From www.clinicalimaging.org
Imaging findings of various talus bone tumors—clinicoradiologic Talus Bone Tumor Results revealed 75 cases of talar lesions. Radiologists as well as orthopaedic surgeons need to be. The talus is a rare location for tumors; Benign tumours formed the bulk of the. Osseous neoplasms of the foot are uncommon, accounting for only 3.3% of all primary bone tumors. Bone tumors of the talus are even. Bone tumors of the talus are. Talus Bone Tumor.
From www.clinicalimaging.org
Imaging findings of various talus bone tumors—clinicoradiologic Talus Bone Tumor Bone tumors of the talus are even rarer,. Sixteen patients were diagnosed with bone tumour of the talus between 2002 and. Giant cell tumor is a benign primary bone neoplasm which most often occurs in a periarticular location. Osseous neoplasms of the foot are uncommon, accounting for only 3.3% of all primary bone tumors. Results revealed 75 cases of talar. Talus Bone Tumor.
From faoj.org
Giant Cell Tumor of Talus A case report of late presentation with Talus Bone Tumor Results revealed 75 cases of talar lesions. Osseous neoplasms of the foot are uncommon, accounting for only 3.3% of all primary bone tumors. Sixteen patients were diagnosed with bone tumour of the talus between 2002 and. The talus is a rare location for tumors; Bone tumors of the talus are even. Giant cell tumor is a benign primary bone neoplasm. Talus Bone Tumor.
From www.clinicalimaging.org
Imaging findings of various talus bone tumors—clinicoradiologic Talus Bone Tumor Sixteen patients were diagnosed with bone tumour of the talus between 2002 and. Benign tumours formed the bulk of the. Bone tumors of the talus are even rarer,. The talus is a rare location for tumors; Results revealed 75 cases of talar lesions. Bone tumors of the talus are even. Radiologists as well as orthopaedic surgeons need to be aware. Talus Bone Tumor.
From faoj.org
Giant Cell Tumor of the Talus A case report and review of literature Talus Bone Tumor Sixteen patients were diagnosed with bone tumour of the talus between 2002 and. Benign tumours formed the bulk of the. Radiologists as well as orthopaedic surgeons need to be aware of such. Results revealed 75 cases of talar lesions. Osseous neoplasms of the foot are uncommon, accounting for only 3.3% of all primary bone tumors. Osseous neoplasms of the foot. Talus Bone Tumor.