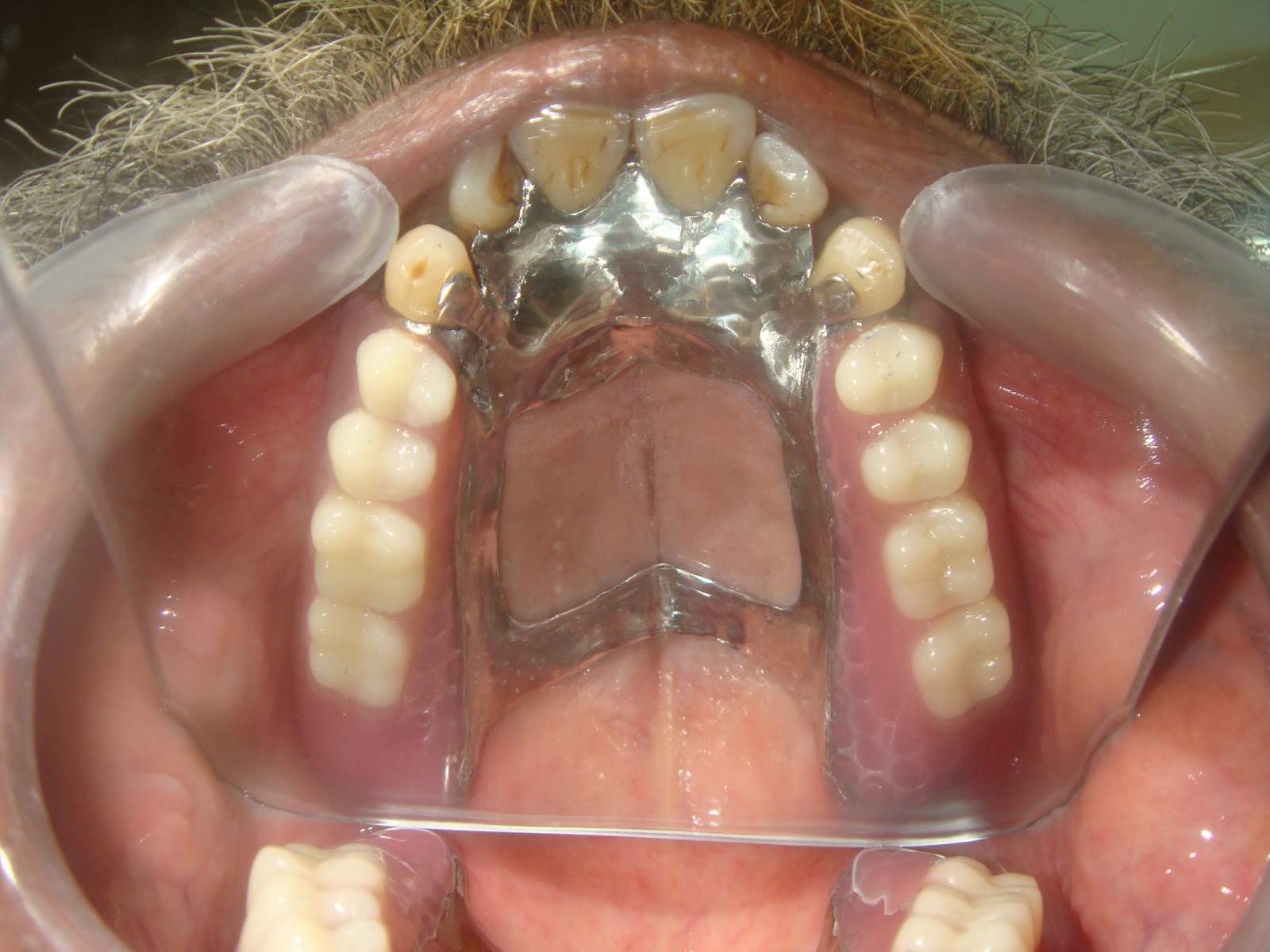
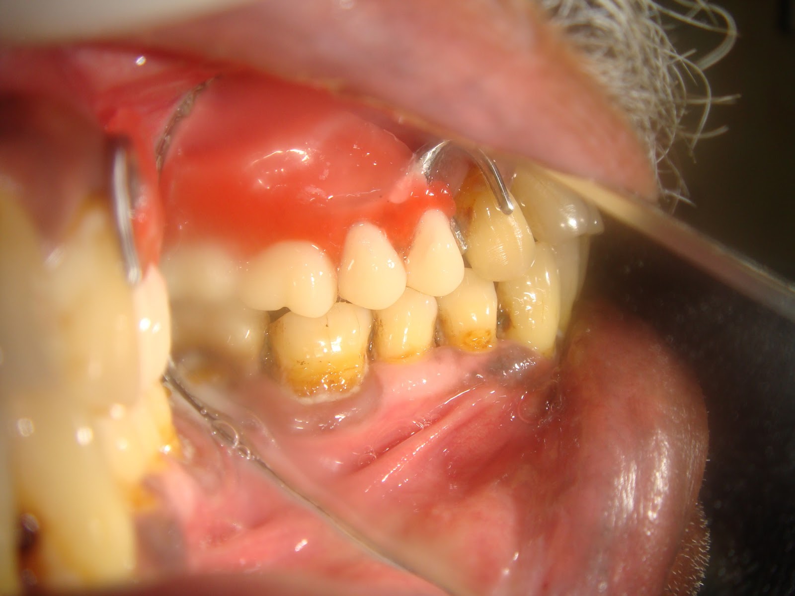
Cast Partial Denture Procedure . Cast metal partial dentures are the most common type of removable partial dentures. A partial denture that can be removed and replaced in the mouth by the patient. The removable partial dentures fabrication consists of six visits. Esthetics, mastication, occlusal support and convenience. You can take the partial denture out yourself, for cleaning and at. Partial dentures are made up of one or more artificial teeth held in place by clasps that fit onto nearby natural teeth. Preliminary impressions, diagnostic casts, and rpd design visit 2 : What is the procedure for having a partial denture? This gives the dentist an opportunity to find out all.
from prosthoguide.blogspot.com
The removable partial dentures fabrication consists of six visits. Cast metal partial dentures are the most common type of removable partial dentures. You can take the partial denture out yourself, for cleaning and at. What is the procedure for having a partial denture? This gives the dentist an opportunity to find out all. Partial dentures are made up of one or more artificial teeth held in place by clasps that fit onto nearby natural teeth. A partial denture that can be removed and replaced in the mouth by the patient. Preliminary impressions, diagnostic casts, and rpd design visit 2 : Esthetics, mastication, occlusal support and convenience.
Step by step Guide for Understanding the Prosthodontics A step by step
Cast Partial Denture Procedure Esthetics, mastication, occlusal support and convenience. A partial denture that can be removed and replaced in the mouth by the patient. The removable partial dentures fabrication consists of six visits. Preliminary impressions, diagnostic casts, and rpd design visit 2 : Partial dentures are made up of one or more artificial teeth held in place by clasps that fit onto nearby natural teeth. Esthetics, mastication, occlusal support and convenience. You can take the partial denture out yourself, for cleaning and at. What is the procedure for having a partial denture? This gives the dentist an opportunity to find out all. Cast metal partial dentures are the most common type of removable partial dentures.
From prosthoguide.blogspot.com
Step by step Guide for Understanding the Prosthodontics A step by step Cast Partial Denture Procedure What is the procedure for having a partial denture? A partial denture that can be removed and replaced in the mouth by the patient. This gives the dentist an opportunity to find out all. Partial dentures are made up of one or more artificial teeth held in place by clasps that fit onto nearby natural teeth. Preliminary impressions, diagnostic casts,. Cast Partial Denture Procedure.
From www.szdentallab.com
China Natural Cast Partial Denture Procedure Manufacturers, Suppliers Cast Partial Denture Procedure Cast metal partial dentures are the most common type of removable partial dentures. This gives the dentist an opportunity to find out all. A partial denture that can be removed and replaced in the mouth by the patient. Partial dentures are made up of one or more artificial teeth held in place by clasps that fit onto nearby natural teeth.. Cast Partial Denture Procedure.
From prosthoguide.blogspot.com
Step by step Guide for Understanding the Prosthodontics A step by step Cast Partial Denture Procedure Partial dentures are made up of one or more artificial teeth held in place by clasps that fit onto nearby natural teeth. Preliminary impressions, diagnostic casts, and rpd design visit 2 : The removable partial dentures fabrication consists of six visits. Esthetics, mastication, occlusal support and convenience. A partial denture that can be removed and replaced in the mouth by. Cast Partial Denture Procedure.
From hasenfusdental.com
Partial Dentures / Implant Partial Dentures Hasenfus Family Dental Cast Partial Denture Procedure Cast metal partial dentures are the most common type of removable partial dentures. The removable partial dentures fabrication consists of six visits. Preliminary impressions, diagnostic casts, and rpd design visit 2 : What is the procedure for having a partial denture? This gives the dentist an opportunity to find out all. A partial denture that can be removed and replaced. Cast Partial Denture Procedure.
From prosthoguide.blogspot.com
Step by step Guide for Understanding the Prosthodontics A step by step Cast Partial Denture Procedure What is the procedure for having a partial denture? Partial dentures are made up of one or more artificial teeth held in place by clasps that fit onto nearby natural teeth. A partial denture that can be removed and replaced in the mouth by the patient. Preliminary impressions, diagnostic casts, and rpd design visit 2 : Cast metal partial dentures. Cast Partial Denture Procedure.
From www.edenrisedental.com.au
A Comprehensive Guide To Partial Dentures Eden Rise Dental Cast Partial Denture Procedure You can take the partial denture out yourself, for cleaning and at. This gives the dentist an opportunity to find out all. Partial dentures are made up of one or more artificial teeth held in place by clasps that fit onto nearby natural teeth. Preliminary impressions, diagnostic casts, and rpd design visit 2 : A partial denture that can be. Cast Partial Denture Procedure.
From www.atlasdental.ca
Cast Partial Denture Atlas Dental Toronto Cast Partial Denture Procedure Partial dentures are made up of one or more artificial teeth held in place by clasps that fit onto nearby natural teeth. The removable partial dentures fabrication consists of six visits. Preliminary impressions, diagnostic casts, and rpd design visit 2 : This gives the dentist an opportunity to find out all. You can take the partial denture out yourself, for. Cast Partial Denture Procedure.
From www.globaldentalpro.com
What Is Cast Partial Denture? GlobalDentalPro Cast Partial Denture Procedure Partial dentures are made up of one or more artificial teeth held in place by clasps that fit onto nearby natural teeth. This gives the dentist an opportunity to find out all. What is the procedure for having a partial denture? Esthetics, mastication, occlusal support and convenience. Preliminary impressions, diagnostic casts, and rpd design visit 2 : A partial denture. Cast Partial Denture Procedure.
From www.semanticscholar.org
[PDF] Impression procedures for removable partial dentures Semantic Cast Partial Denture Procedure Esthetics, mastication, occlusal support and convenience. What is the procedure for having a partial denture? This gives the dentist an opportunity to find out all. The removable partial dentures fabrication consists of six visits. A partial denture that can be removed and replaced in the mouth by the patient. Cast metal partial dentures are the most common type of removable. Cast Partial Denture Procedure.
From www.atlasdental.ca
Partial Denture Atlas Dental Toronto Cast Partial Denture Procedure This gives the dentist an opportunity to find out all. A partial denture that can be removed and replaced in the mouth by the patient. Partial dentures are made up of one or more artificial teeth held in place by clasps that fit onto nearby natural teeth. What is the procedure for having a partial denture? You can take the. Cast Partial Denture Procedure.
From prosthoguide.blogspot.com
Step by step Guide for Understanding the Prosthodontics A step by step Cast Partial Denture Procedure Esthetics, mastication, occlusal support and convenience. Partial dentures are made up of one or more artificial teeth held in place by clasps that fit onto nearby natural teeth. What is the procedure for having a partial denture? Cast metal partial dentures are the most common type of removable partial dentures. You can take the partial denture out yourself, for cleaning. Cast Partial Denture Procedure.
From www.scienceopen.com
An altered cast procedure to improve tissue support for removable Cast Partial Denture Procedure Cast metal partial dentures are the most common type of removable partial dentures. This gives the dentist an opportunity to find out all. What is the procedure for having a partial denture? You can take the partial denture out yourself, for cleaning and at. Preliminary impressions, diagnostic casts, and rpd design visit 2 : Esthetics, mastication, occlusal support and convenience.. Cast Partial Denture Procedure.
From www.atlasdental.ca
Cast Partial Denture Atlas Dental Toronto Cast Partial Denture Procedure What is the procedure for having a partial denture? The removable partial dentures fabrication consists of six visits. You can take the partial denture out yourself, for cleaning and at. A partial denture that can be removed and replaced in the mouth by the patient. Cast metal partial dentures are the most common type of removable partial dentures. This gives. Cast Partial Denture Procedure.
From prosthoguide.blogspot.com
Step by step Guide for Understanding the Prosthodontics A step by step Cast Partial Denture Procedure Partial dentures are made up of one or more artificial teeth held in place by clasps that fit onto nearby natural teeth. Esthetics, mastication, occlusal support and convenience. Preliminary impressions, diagnostic casts, and rpd design visit 2 : The removable partial dentures fabrication consists of six visits. What is the procedure for having a partial denture? You can take the. Cast Partial Denture Procedure.
From www.semanticscholar.org
Figure 1 from Impression procedures for removable partial dentures Cast Partial Denture Procedure What is the procedure for having a partial denture? Esthetics, mastication, occlusal support and convenience. Cast metal partial dentures are the most common type of removable partial dentures. Preliminary impressions, diagnostic casts, and rpd design visit 2 : A partial denture that can be removed and replaced in the mouth by the patient. The removable partial dentures fabrication consists of. Cast Partial Denture Procedure.
From prosthoguide.blogspot.com
Step by step Guide for Understanding the Prosthodontics A step by step Cast Partial Denture Procedure Esthetics, mastication, occlusal support and convenience. This gives the dentist an opportunity to find out all. The removable partial dentures fabrication consists of six visits. Partial dentures are made up of one or more artificial teeth held in place by clasps that fit onto nearby natural teeth. A partial denture that can be removed and replaced in the mouth by. Cast Partial Denture Procedure.
From prosthoguide.blogspot.com
Step by step Guide for Understanding the Prosthodontics A step by step Cast Partial Denture Procedure Esthetics, mastication, occlusal support and convenience. You can take the partial denture out yourself, for cleaning and at. Preliminary impressions, diagnostic casts, and rpd design visit 2 : Cast metal partial dentures are the most common type of removable partial dentures. This gives the dentist an opportunity to find out all. The removable partial dentures fabrication consists of six visits.. Cast Partial Denture Procedure.
From prosthoguide.blogspot.com
Step by step Guide for Understanding the Prosthodontics A step by step Cast Partial Denture Procedure The removable partial dentures fabrication consists of six visits. Cast metal partial dentures are the most common type of removable partial dentures. You can take the partial denture out yourself, for cleaning and at. Partial dentures are made up of one or more artificial teeth held in place by clasps that fit onto nearby natural teeth. Esthetics, mastication, occlusal support. Cast Partial Denture Procedure.
From www.goreydentureclinic.ie
Partial Dentures Gorey Denture Clinic Cast Partial Denture Procedure What is the procedure for having a partial denture? Esthetics, mastication, occlusal support and convenience. Cast metal partial dentures are the most common type of removable partial dentures. You can take the partial denture out yourself, for cleaning and at. The removable partial dentures fabrication consists of six visits. This gives the dentist an opportunity to find out all. A. Cast Partial Denture Procedure.
From prosthoguide.blogspot.com
Step by step Guide for Understanding the Prosthodontics A step by step Cast Partial Denture Procedure You can take the partial denture out yourself, for cleaning and at. Cast metal partial dentures are the most common type of removable partial dentures. What is the procedure for having a partial denture? Preliminary impressions, diagnostic casts, and rpd design visit 2 : Esthetics, mastication, occlusal support and convenience. This gives the dentist an opportunity to find out all.. Cast Partial Denture Procedure.
From procaredental.co.in
Cast Partial Dentures All You Need To Know About Cast Partial Dentures Cast Partial Denture Procedure Esthetics, mastication, occlusal support and convenience. The removable partial dentures fabrication consists of six visits. You can take the partial denture out yourself, for cleaning and at. Partial dentures are made up of one or more artificial teeth held in place by clasps that fit onto nearby natural teeth. This gives the dentist an opportunity to find out all. Cast. Cast Partial Denture Procedure.
From design.udlvirtual.edu.pe
Difference Between Cast Partial Denture And Removable Partial Denture Cast Partial Denture Procedure Preliminary impressions, diagnostic casts, and rpd design visit 2 : The removable partial dentures fabrication consists of six visits. Esthetics, mastication, occlusal support and convenience. This gives the dentist an opportunity to find out all. Partial dentures are made up of one or more artificial teeth held in place by clasps that fit onto nearby natural teeth. You can take. Cast Partial Denture Procedure.
From procaredental.co.in
Cast Partial Dentures Procare Dental Cast Partial Denture Procedure Cast metal partial dentures are the most common type of removable partial dentures. What is the procedure for having a partial denture? You can take the partial denture out yourself, for cleaning and at. A partial denture that can be removed and replaced in the mouth by the patient. Preliminary impressions, diagnostic casts, and rpd design visit 2 : Partial. Cast Partial Denture Procedure.
From creodental.com
Cast Partial Denture Creodent Cast Partial Denture Procedure Partial dentures are made up of one or more artificial teeth held in place by clasps that fit onto nearby natural teeth. A partial denture that can be removed and replaced in the mouth by the patient. Preliminary impressions, diagnostic casts, and rpd design visit 2 : What is the procedure for having a partial denture? The removable partial dentures. Cast Partial Denture Procedure.
From cgdentalstudio.com
Cast Partial A partial denture with a cast metal framework Cast Partial Denture Procedure Esthetics, mastication, occlusal support and convenience. The removable partial dentures fabrication consists of six visits. A partial denture that can be removed and replaced in the mouth by the patient. This gives the dentist an opportunity to find out all. Cast metal partial dentures are the most common type of removable partial dentures. Preliminary impressions, diagnostic casts, and rpd design. Cast Partial Denture Procedure.
From elitedentallab.com
Cast Partial Denture Elite Dental Lab Cast Partial Denture Procedure What is the procedure for having a partial denture? Esthetics, mastication, occlusal support and convenience. The removable partial dentures fabrication consists of six visits. This gives the dentist an opportunity to find out all. Partial dentures are made up of one or more artificial teeth held in place by clasps that fit onto nearby natural teeth. You can take the. Cast Partial Denture Procedure.
From www.youtube.com
Laboratory procedures in Cast Partial Denture YouTube Cast Partial Denture Procedure The removable partial dentures fabrication consists of six visits. You can take the partial denture out yourself, for cleaning and at. A partial denture that can be removed and replaced in the mouth by the patient. Esthetics, mastication, occlusal support and convenience. Preliminary impressions, diagnostic casts, and rpd design visit 2 : This gives the dentist an opportunity to find. Cast Partial Denture Procedure.
From davejohnsondentallab.com
Cast partial denture Dave Johnson Dental Laboratory Cast Partial Denture Procedure You can take the partial denture out yourself, for cleaning and at. Esthetics, mastication, occlusal support and convenience. Partial dentures are made up of one or more artificial teeth held in place by clasps that fit onto nearby natural teeth. The removable partial dentures fabrication consists of six visits. What is the procedure for having a partial denture? A partial. Cast Partial Denture Procedure.
From prosthoguide.blogspot.com
Step by step Guide for Understanding the Prosthodontics A step by step Cast Partial Denture Procedure The removable partial dentures fabrication consists of six visits. Esthetics, mastication, occlusal support and convenience. This gives the dentist an opportunity to find out all. Preliminary impressions, diagnostic casts, and rpd design visit 2 : Partial dentures are made up of one or more artificial teeth held in place by clasps that fit onto nearby natural teeth. What is the. Cast Partial Denture Procedure.
From prosthoguide.blogspot.com
Understanding Prosthodontics Tagore Dental College & HospitalBy Cast Partial Denture Procedure Preliminary impressions, diagnostic casts, and rpd design visit 2 : What is the procedure for having a partial denture? This gives the dentist an opportunity to find out all. Esthetics, mastication, occlusal support and convenience. Cast metal partial dentures are the most common type of removable partial dentures. You can take the partial denture out yourself, for cleaning and at.. Cast Partial Denture Procedure.
From lbdenture.ca
Partial Dentures A Quick & Complete Guide LB Denture Cast Partial Denture Procedure Partial dentures are made up of one or more artificial teeth held in place by clasps that fit onto nearby natural teeth. Esthetics, mastication, occlusal support and convenience. What is the procedure for having a partial denture? Cast metal partial dentures are the most common type of removable partial dentures. A partial denture that can be removed and replaced in. Cast Partial Denture Procedure.
From prosthoguide.blogspot.com
Step by step Guide for Understanding the Prosthodontics A step by step Cast Partial Denture Procedure This gives the dentist an opportunity to find out all. Cast metal partial dentures are the most common type of removable partial dentures. A partial denture that can be removed and replaced in the mouth by the patient. Esthetics, mastication, occlusal support and convenience. The removable partial dentures fabrication consists of six visits. What is the procedure for having a. Cast Partial Denture Procedure.
From prosthoguide.blogspot.com
Step by step Guide for Understanding the Prosthodontics A step by step Cast Partial Denture Procedure The removable partial dentures fabrication consists of six visits. Cast metal partial dentures are the most common type of removable partial dentures. A partial denture that can be removed and replaced in the mouth by the patient. Partial dentures are made up of one or more artificial teeth held in place by clasps that fit onto nearby natural teeth. Esthetics,. Cast Partial Denture Procedure.
From peint371.blogspot.com
6 Mandibular Cast Partial Denture An altered cast procedure to improve Cast Partial Denture Procedure Preliminary impressions, diagnostic casts, and rpd design visit 2 : Cast metal partial dentures are the most common type of removable partial dentures. What is the procedure for having a partial denture? The removable partial dentures fabrication consists of six visits. Partial dentures are made up of one or more artificial teeth held in place by clasps that fit onto. Cast Partial Denture Procedure.
From www.youtube.com
CLINICAL AND LABORATORY STEPS OF MAKING CAST PARTIAL DENTURE YouTube Cast Partial Denture Procedure This gives the dentist an opportunity to find out all. The removable partial dentures fabrication consists of six visits. What is the procedure for having a partial denture? Preliminary impressions, diagnostic casts, and rpd design visit 2 : Partial dentures are made up of one or more artificial teeth held in place by clasps that fit onto nearby natural teeth.. Cast Partial Denture Procedure.