How To Close Your Ileocecal Valve . One of the simplest ways to relieve your ileocecal valve symptoms, is to apply a cold press (such as a freezer cold pack) to the valve area, located. Ileocecal valve release & syndrome. The ileocecal valve (icv) is located in the digestive tract in between the small intestines and the large intestines. But in today’s article and. In this demonstration, dr nirala jacobi demonstrates a three minute maneuver anyone can try at home to free a stuck. I’ll explain the technique first and then later in the video i’ll get into why it malfunctions, some of the. A faulty ileocecal valve is the kind of digestive health issue that often goes unnoticed until another problem. Discovering the root cause of your sibo and ibs is usually tricky.
from els-jbs-prod-cdn.jbs.elsevierhealth.com
One of the simplest ways to relieve your ileocecal valve symptoms, is to apply a cold press (such as a freezer cold pack) to the valve area, located. Ileocecal valve release & syndrome. But in today’s article and. The ileocecal valve (icv) is located in the digestive tract in between the small intestines and the large intestines. A faulty ileocecal valve is the kind of digestive health issue that often goes unnoticed until another problem. I’ll explain the technique first and then later in the video i’ll get into why it malfunctions, some of the. Discovering the root cause of your sibo and ibs is usually tricky. In this demonstration, dr nirala jacobi demonstrates a three minute maneuver anyone can try at home to free a stuck.
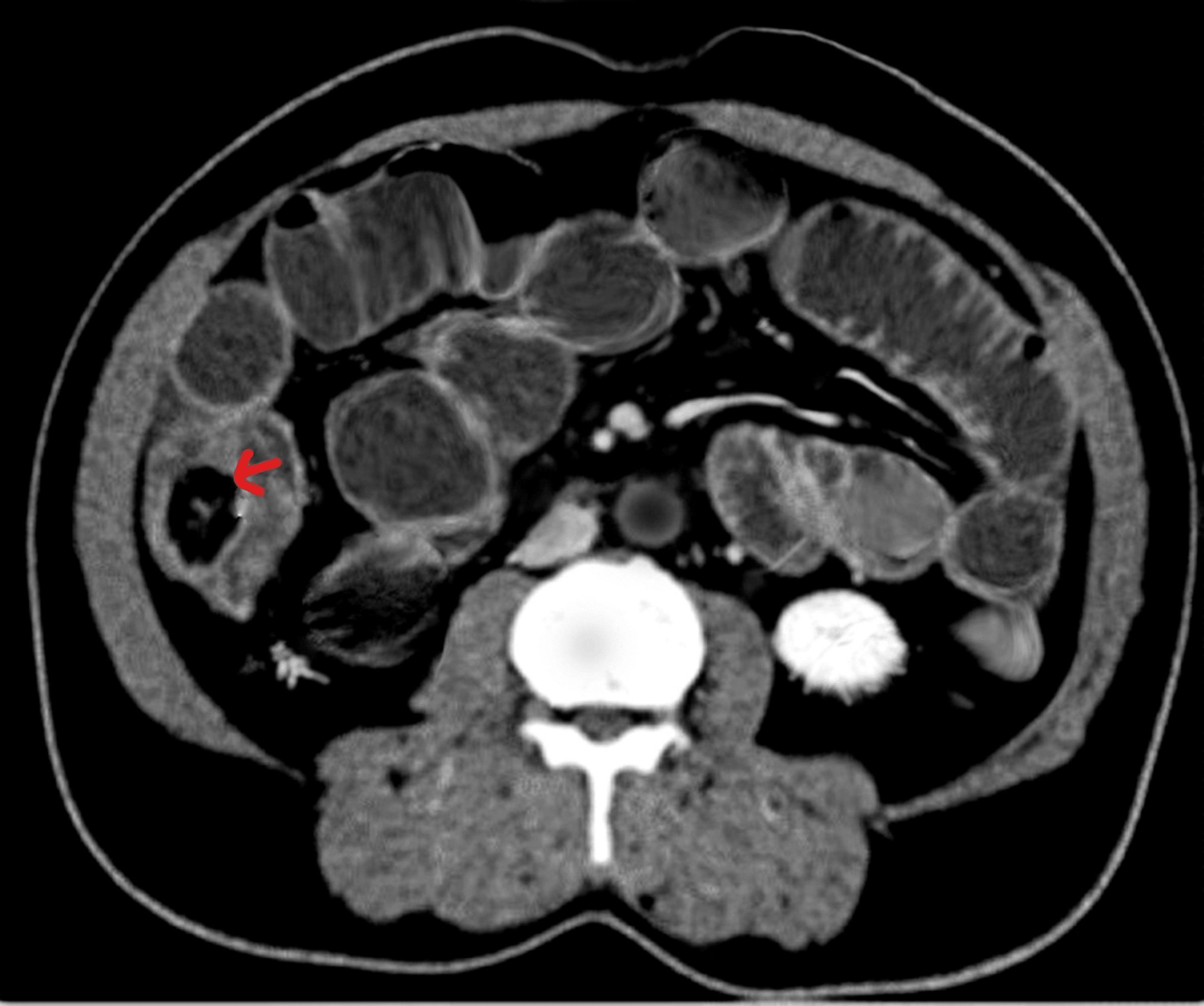
A Rare Case of Ileocecal Valve Stricture Gastroenterology
How To Close Your Ileocecal Valve But in today’s article and. The ileocecal valve (icv) is located in the digestive tract in between the small intestines and the large intestines. But in today’s article and. Discovering the root cause of your sibo and ibs is usually tricky. A faulty ileocecal valve is the kind of digestive health issue that often goes unnoticed until another problem. Ileocecal valve release & syndrome. I’ll explain the technique first and then later in the video i’ll get into why it malfunctions, some of the. In this demonstration, dr nirala jacobi demonstrates a three minute maneuver anyone can try at home to free a stuck. One of the simplest ways to relieve your ileocecal valve symptoms, is to apply a cold press (such as a freezer cold pack) to the valve area, located.
From link.springer.com
The Ileocecal Valve SpringerLink How To Close Your Ileocecal Valve I’ll explain the technique first and then later in the video i’ll get into why it malfunctions, some of the. One of the simplest ways to relieve your ileocecal valve symptoms, is to apply a cold press (such as a freezer cold pack) to the valve area, located. Ileocecal valve release & syndrome. The ileocecal valve (icv) is located in. How To Close Your Ileocecal Valve.
From www.youtube.com
[SOLVED] HOW TO CLOSE ILEOCECAL VALVE? YouTube How To Close Your Ileocecal Valve One of the simplest ways to relieve your ileocecal valve symptoms, is to apply a cold press (such as a freezer cold pack) to the valve area, located. I’ll explain the technique first and then later in the video i’ll get into why it malfunctions, some of the. Ileocecal valve release & syndrome. But in today’s article and. The ileocecal. How To Close Your Ileocecal Valve.
From www.alamy.com
Ileocecal valve hires stock photography and images Alamy How To Close Your Ileocecal Valve Ileocecal valve release & syndrome. Discovering the root cause of your sibo and ibs is usually tricky. I’ll explain the technique first and then later in the video i’ll get into why it malfunctions, some of the. A faulty ileocecal valve is the kind of digestive health issue that often goes unnoticed until another problem. One of the simplest ways. How To Close Your Ileocecal Valve.
From www.shutterstock.com
Ileocecal valve 67 images, photos et images vectorielles de stock How To Close Your Ileocecal Valve I’ll explain the technique first and then later in the video i’ll get into why it malfunctions, some of the. A faulty ileocecal valve is the kind of digestive health issue that often goes unnoticed until another problem. In this demonstration, dr nirala jacobi demonstrates a three minute maneuver anyone can try at home to free a stuck. One of. How To Close Your Ileocecal Valve.
From vastucreations.com
Ileocecal valve How To Close Your Ileocecal Valve But in today’s article and. I’ll explain the technique first and then later in the video i’ll get into why it malfunctions, some of the. In this demonstration, dr nirala jacobi demonstrates a three minute maneuver anyone can try at home to free a stuck. One of the simplest ways to relieve your ileocecal valve symptoms, is to apply a. How To Close Your Ileocecal Valve.
From www.youtube.com
ILEOCECAL (ICV) VALVE DYSFUNCTION YouTube How To Close Your Ileocecal Valve Discovering the root cause of your sibo and ibs is usually tricky. The ileocecal valve (icv) is located in the digestive tract in between the small intestines and the large intestines. One of the simplest ways to relieve your ileocecal valve symptoms, is to apply a cold press (such as a freezer cold pack) to the valve area, located. Ileocecal. How To Close Your Ileocecal Valve.
From seekingguthealth.com
Ileocecal Valve Syndrome in SIBO » SeekingGutHealth How To Close Your Ileocecal Valve Discovering the root cause of your sibo and ibs is usually tricky. But in today’s article and. In this demonstration, dr nirala jacobi demonstrates a three minute maneuver anyone can try at home to free a stuck. Ileocecal valve release & syndrome. The ileocecal valve (icv) is located in the digestive tract in between the small intestines and the large. How To Close Your Ileocecal Valve.
From www.pinterest.com
Ileocecal Valve How to Help is Open or Close Healthy joints How To Close Your Ileocecal Valve In this demonstration, dr nirala jacobi demonstrates a three minute maneuver anyone can try at home to free a stuck. Discovering the root cause of your sibo and ibs is usually tricky. The ileocecal valve (icv) is located in the digestive tract in between the small intestines and the large intestines. One of the simplest ways to relieve your ileocecal. How To Close Your Ileocecal Valve.
From www.pinterest.com
Your Ileocecal Valve Could it be the cause of your symptoms? Valve How To Close Your Ileocecal Valve Ileocecal valve release & syndrome. A faulty ileocecal valve is the kind of digestive health issue that often goes unnoticed until another problem. The ileocecal valve (icv) is located in the digestive tract in between the small intestines and the large intestines. In this demonstration, dr nirala jacobi demonstrates a three minute maneuver anyone can try at home to free. How To Close Your Ileocecal Valve.
From www.healthydirections.com
Manipulating Ileocecal Valve Syndrome For Better Health How To Close Your Ileocecal Valve In this demonstration, dr nirala jacobi demonstrates a three minute maneuver anyone can try at home to free a stuck. I’ll explain the technique first and then later in the video i’ll get into why it malfunctions, some of the. Discovering the root cause of your sibo and ibs is usually tricky. The ileocecal valve (icv) is located in the. How To Close Your Ileocecal Valve.
From animalia-life.club
Ileocecal Valve Model How To Close Your Ileocecal Valve One of the simplest ways to relieve your ileocecal valve symptoms, is to apply a cold press (such as a freezer cold pack) to the valve area, located. Ileocecal valve release & syndrome. A faulty ileocecal valve is the kind of digestive health issue that often goes unnoticed until another problem. I’ll explain the technique first and then later in. How To Close Your Ileocecal Valve.
From www.slideserve.com
PPT Small Bowel procedures PowerPoint Presentation, free download How To Close Your Ileocecal Valve In this demonstration, dr nirala jacobi demonstrates a three minute maneuver anyone can try at home to free a stuck. Ileocecal valve release & syndrome. One of the simplest ways to relieve your ileocecal valve symptoms, is to apply a cold press (such as a freezer cold pack) to the valve area, located. I’ll explain the technique first and then. How To Close Your Ileocecal Valve.
From dietbhw.blogspot.com
Ileocecal Valve Syndrome Diet DIET BHW How To Close Your Ileocecal Valve Discovering the root cause of your sibo and ibs is usually tricky. The ileocecal valve (icv) is located in the digestive tract in between the small intestines and the large intestines. Ileocecal valve release & syndrome. But in today’s article and. In this demonstration, dr nirala jacobi demonstrates a three minute maneuver anyone can try at home to free a. How To Close Your Ileocecal Valve.
From www.cureus.com
Cureus Ileocecal Intussusception With Lipoma as a Lead Point Leading How To Close Your Ileocecal Valve But in today’s article and. In this demonstration, dr nirala jacobi demonstrates a three minute maneuver anyone can try at home to free a stuck. Ileocecal valve release & syndrome. One of the simplest ways to relieve your ileocecal valve symptoms, is to apply a cold press (such as a freezer cold pack) to the valve area, located. Discovering the. How To Close Your Ileocecal Valve.
From www.slideshare.net
01.25.12 Introduction to M2 GI Sequence How To Close Your Ileocecal Valve In this demonstration, dr nirala jacobi demonstrates a three minute maneuver anyone can try at home to free a stuck. A faulty ileocecal valve is the kind of digestive health issue that often goes unnoticed until another problem. Discovering the root cause of your sibo and ibs is usually tricky. One of the simplest ways to relieve your ileocecal valve. How To Close Your Ileocecal Valve.
From www.gastrojournal.org
A Rare Cause of Ileocecal Valve Ulceration Gastroenterology How To Close Your Ileocecal Valve I’ll explain the technique first and then later in the video i’ll get into why it malfunctions, some of the. The ileocecal valve (icv) is located in the digestive tract in between the small intestines and the large intestines. A faulty ileocecal valve is the kind of digestive health issue that often goes unnoticed until another problem. Discovering the root. How To Close Your Ileocecal Valve.
From www.cureus.com
Cureus Rare Case of Ileocecal Obstruction Secondary to Endometriosis How To Close Your Ileocecal Valve A faulty ileocecal valve is the kind of digestive health issue that often goes unnoticed until another problem. But in today’s article and. Discovering the root cause of your sibo and ibs is usually tricky. In this demonstration, dr nirala jacobi demonstrates a three minute maneuver anyone can try at home to free a stuck. The ileocecal valve (icv) is. How To Close Your Ileocecal Valve.
From www.pinterest.com
Malfunctioning pyloric and ileocecal valves and how to fix them How To Close Your Ileocecal Valve The ileocecal valve (icv) is located in the digestive tract in between the small intestines and the large intestines. Ileocecal valve release & syndrome. Discovering the root cause of your sibo and ibs is usually tricky. One of the simplest ways to relieve your ileocecal valve symptoms, is to apply a cold press (such as a freezer cold pack) to. How To Close Your Ileocecal Valve.
From www.monmouthadvancedmedicine.com
Is Constipation Blocking Your Happiness Chronic Constipation Treatment How To Close Your Ileocecal Valve In this demonstration, dr nirala jacobi demonstrates a three minute maneuver anyone can try at home to free a stuck. I’ll explain the technique first and then later in the video i’ll get into why it malfunctions, some of the. Ileocecal valve release & syndrome. But in today’s article and. A faulty ileocecal valve is the kind of digestive health. How To Close Your Ileocecal Valve.
From www.slideserve.com
PPT Digestive System PowerPoint Presentation, free download ID2271590 How To Close Your Ileocecal Valve But in today’s article and. A faulty ileocecal valve is the kind of digestive health issue that often goes unnoticed until another problem. I’ll explain the technique first and then later in the video i’ll get into why it malfunctions, some of the. Ileocecal valve release & syndrome. Discovering the root cause of your sibo and ibs is usually tricky.. How To Close Your Ileocecal Valve.
From dietbhw.blogspot.com
Ileocecal Valve Syndrome Diet DIET BHW How To Close Your Ileocecal Valve But in today’s article and. In this demonstration, dr nirala jacobi demonstrates a three minute maneuver anyone can try at home to free a stuck. One of the simplest ways to relieve your ileocecal valve symptoms, is to apply a cold press (such as a freezer cold pack) to the valve area, located. The ileocecal valve (icv) is located in. How To Close Your Ileocecal Valve.
From www.pinterest.com
What is the Ileocecal Valve? The ileocecal valve is located between the How To Close Your Ileocecal Valve Discovering the root cause of your sibo and ibs is usually tricky. Ileocecal valve release & syndrome. But in today’s article and. The ileocecal valve (icv) is located in the digestive tract in between the small intestines and the large intestines. I’ll explain the technique first and then later in the video i’ll get into why it malfunctions, some of. How To Close Your Ileocecal Valve.
From drjockers.com
The Benefits of Ileocecal Valve Massage How To Close Your Ileocecal Valve But in today’s article and. In this demonstration, dr nirala jacobi demonstrates a three minute maneuver anyone can try at home to free a stuck. Discovering the root cause of your sibo and ibs is usually tricky. Ileocecal valve release & syndrome. I’ll explain the technique first and then later in the video i’ll get into why it malfunctions, some. How To Close Your Ileocecal Valve.
From www.researchgate.net
(PDF) Ileocecal valvesparing surgery for duplication cysts in the How To Close Your Ileocecal Valve The ileocecal valve (icv) is located in the digestive tract in between the small intestines and the large intestines. I’ll explain the technique first and then later in the video i’ll get into why it malfunctions, some of the. A faulty ileocecal valve is the kind of digestive health issue that often goes unnoticed until another problem. In this demonstration,. How To Close Your Ileocecal Valve.
From drjockers.com
The Benefits of Ileocecal Valve Massage How To Close Your Ileocecal Valve Discovering the root cause of your sibo and ibs is usually tricky. The ileocecal valve (icv) is located in the digestive tract in between the small intestines and the large intestines. In this demonstration, dr nirala jacobi demonstrates a three minute maneuver anyone can try at home to free a stuck. One of the simplest ways to relieve your ileocecal. How To Close Your Ileocecal Valve.
From www.eatlas-anatomy.ir
دریچه ی ایلئوسکال اطلس الکترونیک آناتومی How To Close Your Ileocecal Valve But in today’s article and. I’ll explain the technique first and then later in the video i’ll get into why it malfunctions, some of the. The ileocecal valve (icv) is located in the digestive tract in between the small intestines and the large intestines. Discovering the root cause of your sibo and ibs is usually tricky. A faulty ileocecal valve. How To Close Your Ileocecal Valve.
From els-jbs-prod-cdn.jbs.elsevierhealth.com
A Rare Case of Ileocecal Valve Stricture Gastroenterology How To Close Your Ileocecal Valve In this demonstration, dr nirala jacobi demonstrates a three minute maneuver anyone can try at home to free a stuck. A faulty ileocecal valve is the kind of digestive health issue that often goes unnoticed until another problem. I’ll explain the technique first and then later in the video i’ll get into why it malfunctions, some of the. One of. How To Close Your Ileocecal Valve.
From captionstodaysgb.blogspot.com
Ileocecal Valve Syndrome Treatment Captions Todays How To Close Your Ileocecal Valve In this demonstration, dr nirala jacobi demonstrates a three minute maneuver anyone can try at home to free a stuck. The ileocecal valve (icv) is located in the digestive tract in between the small intestines and the large intestines. But in today’s article and. I’ll explain the technique first and then later in the video i’ll get into why it. How To Close Your Ileocecal Valve.
From www.youtube.com
Ileocecal Valve Dysfunction And SIBO YouTube How To Close Your Ileocecal Valve One of the simplest ways to relieve your ileocecal valve symptoms, is to apply a cold press (such as a freezer cold pack) to the valve area, located. A faulty ileocecal valve is the kind of digestive health issue that often goes unnoticed until another problem. I’ll explain the technique first and then later in the video i’ll get into. How To Close Your Ileocecal Valve.
From drjockers.com
The Benefits of Ileocecal Valve Massage How To Close Your Ileocecal Valve Ileocecal valve release & syndrome. A faulty ileocecal valve is the kind of digestive health issue that often goes unnoticed until another problem. I’ll explain the technique first and then later in the video i’ll get into why it malfunctions, some of the. The ileocecal valve (icv) is located in the digestive tract in between the small intestines and the. How To Close Your Ileocecal Valve.
From quizlet.com
spot image of ileocecal valve Diagram Quizlet How To Close Your Ileocecal Valve In this demonstration, dr nirala jacobi demonstrates a three minute maneuver anyone can try at home to free a stuck. A faulty ileocecal valve is the kind of digestive health issue that often goes unnoticed until another problem. I’ll explain the technique first and then later in the video i’ll get into why it malfunctions, some of the. One of. How To Close Your Ileocecal Valve.
From www.ajronline.org
Pitfalls of Using ThreeDimensional CT Colonography with Two How To Close Your Ileocecal Valve Discovering the root cause of your sibo and ibs is usually tricky. The ileocecal valve (icv) is located in the digestive tract in between the small intestines and the large intestines. Ileocecal valve release & syndrome. In this demonstration, dr nirala jacobi demonstrates a three minute maneuver anyone can try at home to free a stuck. A faulty ileocecal valve. How To Close Your Ileocecal Valve.
From www.gettyimages.it
Ileocecal Valve Illustrazione stock Getty Images How To Close Your Ileocecal Valve Ileocecal valve release & syndrome. In this demonstration, dr nirala jacobi demonstrates a three minute maneuver anyone can try at home to free a stuck. A faulty ileocecal valve is the kind of digestive health issue that often goes unnoticed until another problem. The ileocecal valve (icv) is located in the digestive tract in between the small intestines and the. How To Close Your Ileocecal Valve.
From www.healendo.com
What is Endo Belly Series Ileocecal valve pain — Heal Endo How To Close Your Ileocecal Valve I’ll explain the technique first and then later in the video i’ll get into why it malfunctions, some of the. But in today’s article and. A faulty ileocecal valve is the kind of digestive health issue that often goes unnoticed until another problem. The ileocecal valve (icv) is located in the digestive tract in between the small intestines and the. How To Close Your Ileocecal Valve.
From www.pinterest.com
How to Manipulate Your Ileocecal Valve for Better Health Dr. Williams How To Close Your Ileocecal Valve The ileocecal valve (icv) is located in the digestive tract in between the small intestines and the large intestines. But in today’s article and. I’ll explain the technique first and then later in the video i’ll get into why it malfunctions, some of the. Ileocecal valve release & syndrome. A faulty ileocecal valve is the kind of digestive health issue. How To Close Your Ileocecal Valve.