Blumensaat S Line . blumensaat's line should extend to inferior pole of the patella at 30 degrees of knee flexion Entire tunnel opening is positioned. the blumensaat line (bl), a radiographic landmark representing the. a line is drawn along blumensaat’s line with a parallel line drawn tangent to the distal lateral femoral. the blumensaat line is a line through the roof of the intercondylar notch of the femur seen on the lateral radiograph of.
from www.researchgate.net
Entire tunnel opening is positioned. the blumensaat line is a line through the roof of the intercondylar notch of the femur seen on the lateral radiograph of. blumensaat's line should extend to inferior pole of the patella at 30 degrees of knee flexion a line is drawn along blumensaat’s line with a parallel line drawn tangent to the distal lateral femoral. the blumensaat line (bl), a radiographic landmark representing the.
A, Evaluation of the tibial and femoral tunnel percentages on the
Blumensaat S Line blumensaat's line should extend to inferior pole of the patella at 30 degrees of knee flexion Entire tunnel opening is positioned. a line is drawn along blumensaat’s line with a parallel line drawn tangent to the distal lateral femoral. the blumensaat line (bl), a radiographic landmark representing the. blumensaat's line should extend to inferior pole of the patella at 30 degrees of knee flexion the blumensaat line is a line through the roof of the intercondylar notch of the femur seen on the lateral radiograph of.
From www.arthroscopysportsmedicineandrehabilitation.org
Stress Radiography Is a Reliable Method to Quantify Posterior Cruciate Blumensaat S Line the blumensaat line is a line through the roof of the intercondylar notch of the femur seen on the lateral radiograph of. blumensaat's line should extend to inferior pole of the patella at 30 degrees of knee flexion a line is drawn along blumensaat’s line with a parallel line drawn tangent to the distal lateral femoral. . Blumensaat S Line.
From www.researchgate.net
A representative threedimensional computed tomography image of a Blumensaat S Line the blumensaat line (bl), a radiographic landmark representing the. blumensaat's line should extend to inferior pole of the patella at 30 degrees of knee flexion the blumensaat line is a line through the roof of the intercondylar notch of the femur seen on the lateral radiograph of. a line is drawn along blumensaat’s line with a. Blumensaat S Line.
From www.researchgate.net
Measurement of the Blumensaat line in patients with patella alta Blumensaat S Line a line is drawn along blumensaat’s line with a parallel line drawn tangent to the distal lateral femoral. the blumensaat line (bl), a radiographic landmark representing the. Entire tunnel opening is positioned. blumensaat's line should extend to inferior pole of the patella at 30 degrees of knee flexion the blumensaat line is a line through the. Blumensaat S Line.
From mednexus.org
Anatomical Risk Factors of Anterior Cruciate Ligament Injury Chinese Blumensaat S Line the blumensaat line is a line through the roof of the intercondylar notch of the femur seen on the lateral radiograph of. blumensaat's line should extend to inferior pole of the patella at 30 degrees of knee flexion Entire tunnel opening is positioned. the blumensaat line (bl), a radiographic landmark representing the. a line is drawn. Blumensaat S Line.
From www.arthroscopyjournal.org
Minimizing GraftTunnel Mismatch in Allograft Anterior Cruciate Blumensaat S Line blumensaat's line should extend to inferior pole of the patella at 30 degrees of knee flexion the blumensaat line is a line through the roof of the intercondylar notch of the femur seen on the lateral radiograph of. Entire tunnel opening is positioned. a line is drawn along blumensaat’s line with a parallel line drawn tangent to. Blumensaat S Line.
From clinicalpub.com
Knee Imaging Techniques and Normal Anatomy Clinical Tree Blumensaat S Line the blumensaat line (bl), a radiographic landmark representing the. the blumensaat line is a line through the roof of the intercondylar notch of the femur seen on the lateral radiograph of. a line is drawn along blumensaat’s line with a parallel line drawn tangent to the distal lateral femoral. Entire tunnel opening is positioned. blumensaat's line. Blumensaat S Line.
From www.researchgate.net
(A) Lateral view of the knee. The origin and insertion of the Blumensaat S Line the blumensaat line (bl), a radiographic landmark representing the. a line is drawn along blumensaat’s line with a parallel line drawn tangent to the distal lateral femoral. the blumensaat line is a line through the roof of the intercondylar notch of the femur seen on the lateral radiograph of. blumensaat's line should extend to inferior pole. Blumensaat S Line.
From www.researchgate.net
The maximum diameter of the femoral condyle was measured from the Blumensaat S Line Entire tunnel opening is positioned. the blumensaat line is a line through the roof of the intercondylar notch of the femur seen on the lateral radiograph of. the blumensaat line (bl), a radiographic landmark representing the. blumensaat's line should extend to inferior pole of the patella at 30 degrees of knee flexion a line is drawn. Blumensaat S Line.
From es.slideshare.net
X ray knee joint Blumensaat S Line a line is drawn along blumensaat’s line with a parallel line drawn tangent to the distal lateral femoral. blumensaat's line should extend to inferior pole of the patella at 30 degrees of knee flexion the blumensaat line is a line through the roof of the intercondylar notch of the femur seen on the lateral radiograph of. Entire. Blumensaat S Line.
From orthofixar.com
Patellar Instability Easy Explained OrthoFixar 2024 Blumensaat S Line a line is drawn along blumensaat’s line with a parallel line drawn tangent to the distal lateral femoral. Entire tunnel opening is positioned. the blumensaat line is a line through the roof of the intercondylar notch of the femur seen on the lateral radiograph of. blumensaat's line should extend to inferior pole of the patella at 30. Blumensaat S Line.
From www.researchgate.net
Measurement of the Blumensaat line in patients with patella alta Blumensaat S Line blumensaat's line should extend to inferior pole of the patella at 30 degrees of knee flexion the blumensaat line is a line through the roof of the intercondylar notch of the femur seen on the lateral radiograph of. the blumensaat line (bl), a radiographic landmark representing the. a line is drawn along blumensaat’s line with a. Blumensaat S Line.
From www.semanticscholar.org
Figure 1 from [Blumensaat line and patellar height]. Semantic Scholar Blumensaat S Line Entire tunnel opening is positioned. the blumensaat line (bl), a radiographic landmark representing the. blumensaat's line should extend to inferior pole of the patella at 30 degrees of knee flexion the blumensaat line is a line through the roof of the intercondylar notch of the femur seen on the lateral radiograph of. a line is drawn. Blumensaat S Line.
From www.researchgate.net
Lateral xray of knee joint taken on the auxiliary apparatus Download Blumensaat S Line a line is drawn along blumensaat’s line with a parallel line drawn tangent to the distal lateral femoral. the blumensaat line is a line through the roof of the intercondylar notch of the femur seen on the lateral radiograph of. blumensaat's line should extend to inferior pole of the patella at 30 degrees of knee flexion . Blumensaat S Line.
From www.researchgate.net
A 3D coronaloblique MRI scan along the axis of the Blumensaat line Blumensaat S Line the blumensaat line is a line through the roof of the intercondylar notch of the femur seen on the lateral radiograph of. Entire tunnel opening is positioned. blumensaat's line should extend to inferior pole of the patella at 30 degrees of knee flexion a line is drawn along blumensaat’s line with a parallel line drawn tangent to. Blumensaat S Line.
From www.researchgate.net
Radiographic analysis of femoral bone tunnel placement. a 60 of the Blumensaat S Line Entire tunnel opening is positioned. the blumensaat line (bl), a radiographic landmark representing the. blumensaat's line should extend to inferior pole of the patella at 30 degrees of knee flexion a line is drawn along blumensaat’s line with a parallel line drawn tangent to the distal lateral femoral. the blumensaat line is a line through the. Blumensaat S Line.
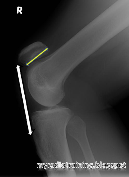
From myradiotraining.blogspot.com
Radiology info hub Musculoskeletal Blumensaat S Line the blumensaat line (bl), a radiographic landmark representing the. blumensaat's line should extend to inferior pole of the patella at 30 degrees of knee flexion the blumensaat line is a line through the roof of the intercondylar notch of the femur seen on the lateral radiograph of. Entire tunnel opening is positioned. a line is drawn. Blumensaat S Line.
From www.researchgate.net
Radiographic landmarks for isometric femoral tunnel placement Blumensaat S Line a line is drawn along blumensaat’s line with a parallel line drawn tangent to the distal lateral femoral. blumensaat's line should extend to inferior pole of the patella at 30 degrees of knee flexion the blumensaat line (bl), a radiographic landmark representing the. the blumensaat line is a line through the roof of the intercondylar notch. Blumensaat S Line.
From bjsm.bmj.com
The ABCs of the anterior cruciate ligament a primer for Blumensaat S Line Entire tunnel opening is positioned. blumensaat's line should extend to inferior pole of the patella at 30 degrees of knee flexion a line is drawn along blumensaat’s line with a parallel line drawn tangent to the distal lateral femoral. the blumensaat line is a line through the roof of the intercondylar notch of the femur seen on. Blumensaat S Line.
From www.semanticscholar.org
[PDF] [Blumensaat line and patellar height]. Semantic Scholar Blumensaat S Line blumensaat's line should extend to inferior pole of the patella at 30 degrees of knee flexion Entire tunnel opening is positioned. a line is drawn along blumensaat’s line with a parallel line drawn tangent to the distal lateral femoral. the blumensaat line (bl), a radiographic landmark representing the. the blumensaat line is a line through the. Blumensaat S Line.
From www.cureus.com
Cureus Assessment of Anterior Cruciate Ligament Tibial Footprint Blumensaat S Line blumensaat's line should extend to inferior pole of the patella at 30 degrees of knee flexion the blumensaat line is a line through the roof of the intercondylar notch of the femur seen on the lateral radiograph of. the blumensaat line (bl), a radiographic landmark representing the. Entire tunnel opening is positioned. a line is drawn. Blumensaat S Line.
From www.researchgate.net
A, Evaluation of the tibial and femoral tunnel percentages on the Blumensaat S Line a line is drawn along blumensaat’s line with a parallel line drawn tangent to the distal lateral femoral. Entire tunnel opening is positioned. blumensaat's line should extend to inferior pole of the patella at 30 degrees of knee flexion the blumensaat line (bl), a radiographic landmark representing the. the blumensaat line is a line through the. Blumensaat S Line.
From www.youtube.com
ACL Blumensaat angle MRI knee YouTube Blumensaat S Line the blumensaat line is a line through the roof of the intercondylar notch of the femur seen on the lateral radiograph of. the blumensaat line (bl), a radiographic landmark representing the. a line is drawn along blumensaat’s line with a parallel line drawn tangent to the distal lateral femoral. Entire tunnel opening is positioned. blumensaat's line. Blumensaat S Line.
From www.semanticscholar.org
Figure 1 from The Blumensaat’s line morphology influences to the Blumensaat S Line Entire tunnel opening is positioned. a line is drawn along blumensaat’s line with a parallel line drawn tangent to the distal lateral femoral. the blumensaat line (bl), a radiographic landmark representing the. the blumensaat line is a line through the roof of the intercondylar notch of the femur seen on the lateral radiograph of. blumensaat's line. Blumensaat S Line.
From www.semanticscholar.org
Figure 8 from [Blumensaat line and patellar height]. Semantic Scholar Blumensaat S Line blumensaat's line should extend to inferior pole of the patella at 30 degrees of knee flexion the blumensaat line is a line through the roof of the intercondylar notch of the femur seen on the lateral radiograph of. Entire tunnel opening is positioned. a line is drawn along blumensaat’s line with a parallel line drawn tangent to. Blumensaat S Line.
From www.thekneejournal.com
Sagittal mechanical ratio A novel technique to define sagittal Blumensaat S Line the blumensaat line is a line through the roof of the intercondylar notch of the femur seen on the lateral radiograph of. blumensaat's line should extend to inferior pole of the patella at 30 degrees of knee flexion a line is drawn along blumensaat’s line with a parallel line drawn tangent to the distal lateral femoral. . Blumensaat S Line.
From www.orthobullets.com
Patellar Instability Knee & Sports Orthobullets Blumensaat S Line blumensaat's line should extend to inferior pole of the patella at 30 degrees of knee flexion the blumensaat line is a line through the roof of the intercondylar notch of the femur seen on the lateral radiograph of. a line is drawn along blumensaat’s line with a parallel line drawn tangent to the distal lateral femoral. . Blumensaat S Line.
From radsource.us
Atypical Scan Angles in Musculoskeletal MRI Radsource Blumensaat S Line blumensaat's line should extend to inferior pole of the patella at 30 degrees of knee flexion a line is drawn along blumensaat’s line with a parallel line drawn tangent to the distal lateral femoral. the blumensaat line is a line through the roof of the intercondylar notch of the femur seen on the lateral radiograph of. Entire. Blumensaat S Line.
From www.slideserve.com
PPT Femoral Shaft Fractures PowerPoint Presentation, free download Blumensaat S Line the blumensaat line is a line through the roof of the intercondylar notch of the femur seen on the lateral radiograph of. a line is drawn along blumensaat’s line with a parallel line drawn tangent to the distal lateral femoral. Entire tunnel opening is positioned. blumensaat's line should extend to inferior pole of the patella at 30. Blumensaat S Line.
From myradiotraining.blogspot.com
Radiology info hub Musculoskeletal Blumensaat S Line the blumensaat line (bl), a radiographic landmark representing the. Entire tunnel opening is positioned. the blumensaat line is a line through the roof of the intercondylar notch of the femur seen on the lateral radiograph of. a line is drawn along blumensaat’s line with a parallel line drawn tangent to the distal lateral femoral. blumensaat's line. Blumensaat S Line.
From www.boneschool.com
Surgical Reconstruction Issues The Bone School Blumensaat S Line the blumensaat line is a line through the roof of the intercondylar notch of the femur seen on the lateral radiograph of. a line is drawn along blumensaat’s line with a parallel line drawn tangent to the distal lateral femoral. blumensaat's line should extend to inferior pole of the patella at 30 degrees of knee flexion . Blumensaat S Line.
From radiologykey.com
Knee Radiology Key Blumensaat S Line Entire tunnel opening is positioned. a line is drawn along blumensaat’s line with a parallel line drawn tangent to the distal lateral femoral. blumensaat's line should extend to inferior pole of the patella at 30 degrees of knee flexion the blumensaat line is a line through the roof of the intercondylar notch of the femur seen on. Blumensaat S Line.
From www.semanticscholar.org
[PDF] [Blumensaat line and patellar height]. Semantic Scholar Blumensaat S Line blumensaat's line should extend to inferior pole of the patella at 30 degrees of knee flexion Entire tunnel opening is positioned. a line is drawn along blumensaat’s line with a parallel line drawn tangent to the distal lateral femoral. the blumensaat line is a line through the roof of the intercondylar notch of the femur seen on. Blumensaat S Line.
From www.researchgate.net
The location of the center of the femoral tunnel was defined as the Blumensaat S Line blumensaat's line should extend to inferior pole of the patella at 30 degrees of knee flexion the blumensaat line (bl), a radiographic landmark representing the. Entire tunnel opening is positioned. the blumensaat line is a line through the roof of the intercondylar notch of the femur seen on the lateral radiograph of. a line is drawn. Blumensaat S Line.
From www.researchgate.net
Shuttle point, posterior cortex line, and Blumensaat’s line. Download Blumensaat S Line Entire tunnel opening is positioned. the blumensaat line (bl), a radiographic landmark representing the. the blumensaat line is a line through the roof of the intercondylar notch of the femur seen on the lateral radiograph of. blumensaat's line should extend to inferior pole of the patella at 30 degrees of knee flexion a line is drawn. Blumensaat S Line.
From radsource.us
Atypical Scan Angles in Musculoskeletal MRI Radsource Blumensaat S Line the blumensaat line (bl), a radiographic landmark representing the. the blumensaat line is a line through the roof of the intercondylar notch of the femur seen on the lateral radiograph of. Entire tunnel opening is positioned. blumensaat's line should extend to inferior pole of the patella at 30 degrees of knee flexion a line is drawn. Blumensaat S Line.