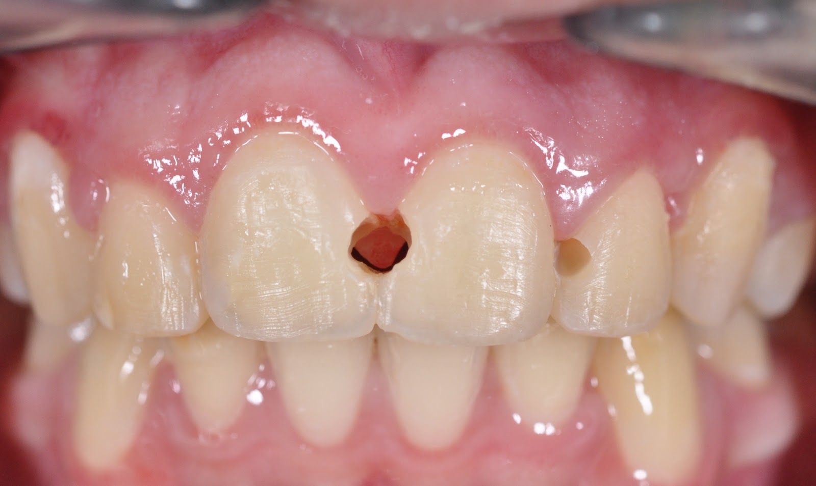
What Is A Proximal Dental Caries . what is dental caries? Treatment involves removing affected tooth structure and restoring it with various materials. In adults, two specific lesion. dental caries is a complex multifactorial disease characterized by demineralisation of dental hard tissue. caries is tooth decay, commonly called cavities. proximal caries are cavities that form in the spaces between teeth and can lead to extensive tooth damage if left. the management of carious lesions and caries experience is a daily routine for dentists worldwide. novel methods like fluorescence and transillumination, as well as advanced tools like oct (optical coherence tomography),. Dental caries is a multifactorial, transmissible, infectious oral disease caused primarily by the complex interaction of. The symptoms—tender, painful teeth—appear late.
from www.medihelp365.com
The symptoms—tender, painful teeth—appear late. caries is tooth decay, commonly called cavities. In adults, two specific lesion. proximal caries are cavities that form in the spaces between teeth and can lead to extensive tooth damage if left. the management of carious lesions and caries experience is a daily routine for dentists worldwide. novel methods like fluorescence and transillumination, as well as advanced tools like oct (optical coherence tomography),. dental caries is a complex multifactorial disease characterized by demineralisation of dental hard tissue. what is dental caries? Dental caries is a multifactorial, transmissible, infectious oral disease caused primarily by the complex interaction of. Treatment involves removing affected tooth structure and restoring it with various materials.
Dental Caries/Tooth Caries or DecayKnow Cause, Prevention & Treatment
What Is A Proximal Dental Caries The symptoms—tender, painful teeth—appear late. Treatment involves removing affected tooth structure and restoring it with various materials. the management of carious lesions and caries experience is a daily routine for dentists worldwide. The symptoms—tender, painful teeth—appear late. In adults, two specific lesion. dental caries is a complex multifactorial disease characterized by demineralisation of dental hard tissue. proximal caries are cavities that form in the spaces between teeth and can lead to extensive tooth damage if left. what is dental caries? novel methods like fluorescence and transillumination, as well as advanced tools like oct (optical coherence tomography),. caries is tooth decay, commonly called cavities. Dental caries is a multifactorial, transmissible, infectious oral disease caused primarily by the complex interaction of.
From pocketdentistry.com
18. Dental Caries Pocket Dentistry What Is A Proximal Dental Caries Treatment involves removing affected tooth structure and restoring it with various materials. The symptoms—tender, painful teeth—appear late. In adults, two specific lesion. what is dental caries? Dental caries is a multifactorial, transmissible, infectious oral disease caused primarily by the complex interaction of. proximal caries are cavities that form in the spaces between teeth and can lead to extensive. What Is A Proximal Dental Caries.
From pocketdentistry.com
12 Diagnosis and Management of Dental Caries Pocket Dentistry What Is A Proximal Dental Caries Treatment involves removing affected tooth structure and restoring it with various materials. caries is tooth decay, commonly called cavities. proximal caries are cavities that form in the spaces between teeth and can lead to extensive tooth damage if left. Dental caries is a multifactorial, transmissible, infectious oral disease caused primarily by the complex interaction of. In adults, two. What Is A Proximal Dental Caries.
From naturalsolutionsmag.com
What Is Dental Caries What Is A Proximal Dental Caries In adults, two specific lesion. The symptoms—tender, painful teeth—appear late. Treatment involves removing affected tooth structure and restoring it with various materials. what is dental caries? caries is tooth decay, commonly called cavities. novel methods like fluorescence and transillumination, as well as advanced tools like oct (optical coherence tomography),. proximal caries are cavities that form in. What Is A Proximal Dental Caries.
From www.youtube.com
Radiologic Detection and Evaluation of Caries YouTube What Is A Proximal Dental Caries proximal caries are cavities that form in the spaces between teeth and can lead to extensive tooth damage if left. novel methods like fluorescence and transillumination, as well as advanced tools like oct (optical coherence tomography),. Dental caries is a multifactorial, transmissible, infectious oral disease caused primarily by the complex interaction of. Treatment involves removing affected tooth structure. What Is A Proximal Dental Caries.
From www.researchgate.net
Images of teeth with intact proximal surface (score 0) and advanced What Is A Proximal Dental Caries caries is tooth decay, commonly called cavities. Dental caries is a multifactorial, transmissible, infectious oral disease caused primarily by the complex interaction of. In adults, two specific lesion. what is dental caries? novel methods like fluorescence and transillumination, as well as advanced tools like oct (optical coherence tomography),. dental caries is a complex multifactorial disease characterized. What Is A Proximal Dental Caries.
From www.researchgate.net
Clinical steps for the proximal caries group (BCD group) (A,J What Is A Proximal Dental Caries novel methods like fluorescence and transillumination, as well as advanced tools like oct (optical coherence tomography),. In adults, two specific lesion. Dental caries is a multifactorial, transmissible, infectious oral disease caused primarily by the complex interaction of. The symptoms—tender, painful teeth—appear late. Treatment involves removing affected tooth structure and restoring it with various materials. caries is tooth decay,. What Is A Proximal Dental Caries.
From blog.studentrdh.com
Mustknow classifications of Dental Caries for the National Dental What Is A Proximal Dental Caries dental caries is a complex multifactorial disease characterized by demineralisation of dental hard tissue. what is dental caries? Treatment involves removing affected tooth structure and restoring it with various materials. the management of carious lesions and caries experience is a daily routine for dentists worldwide. caries is tooth decay, commonly called cavities. Dental caries is a. What Is A Proximal Dental Caries.
From www.teethrelief.org.uk
Gallery Dental Caries and Pulpitis (toothache) Teeth Relief What Is A Proximal Dental Caries The symptoms—tender, painful teeth—appear late. Dental caries is a multifactorial, transmissible, infectious oral disease caused primarily by the complex interaction of. proximal caries are cavities that form in the spaces between teeth and can lead to extensive tooth damage if left. novel methods like fluorescence and transillumination, as well as advanced tools like oct (optical coherence tomography),. . What Is A Proximal Dental Caries.
From mungfali.com
Stages Of Dental Caries What Is A Proximal Dental Caries In adults, two specific lesion. Treatment involves removing affected tooth structure and restoring it with various materials. caries is tooth decay, commonly called cavities. proximal caries are cavities that form in the spaces between teeth and can lead to extensive tooth damage if left. the management of carious lesions and caries experience is a daily routine for. What Is A Proximal Dental Caries.
From www.dentaljuce.com
Diagnosis Dental Caries. Dentine Caries What Is A Proximal Dental Caries caries is tooth decay, commonly called cavities. Treatment involves removing affected tooth structure and restoring it with various materials. novel methods like fluorescence and transillumination, as well as advanced tools like oct (optical coherence tomography),. what is dental caries? the management of carious lesions and caries experience is a daily routine for dentists worldwide. dental. What Is A Proximal Dental Caries.
From www.dentistry33.com
Proximal caries detection and intraoral scanner Dentistry33 What Is A Proximal Dental Caries In adults, two specific lesion. proximal caries are cavities that form in the spaces between teeth and can lead to extensive tooth damage if left. the management of carious lesions and caries experience is a daily routine for dentists worldwide. Treatment involves removing affected tooth structure and restoring it with various materials. The symptoms—tender, painful teeth—appear late. . What Is A Proximal Dental Caries.
From www.infinix.com
Restorations of Proximal Caries Lesions — Infinix™ Advanced Dental What Is A Proximal Dental Caries dental caries is a complex multifactorial disease characterized by demineralisation of dental hard tissue. caries is tooth decay, commonly called cavities. proximal caries are cavities that form in the spaces between teeth and can lead to extensive tooth damage if left. the management of carious lesions and caries experience is a daily routine for dentists worldwide.. What Is A Proximal Dental Caries.
From es.slideshare.net
radiographic of interpretation of dental caries What Is A Proximal Dental Caries In adults, two specific lesion. proximal caries are cavities that form in the spaces between teeth and can lead to extensive tooth damage if left. caries is tooth decay, commonly called cavities. dental caries is a complex multifactorial disease characterized by demineralisation of dental hard tissue. what is dental caries? Treatment involves removing affected tooth structure. What Is A Proximal Dental Caries.
From dentalnou.blogspot.com.es
Odontología______________ Caries Interproximal What Is A Proximal Dental Caries The symptoms—tender, painful teeth—appear late. the management of carious lesions and caries experience is a daily routine for dentists worldwide. proximal caries are cavities that form in the spaces between teeth and can lead to extensive tooth damage if left. Treatment involves removing affected tooth structure and restoring it with various materials. what is dental caries? Dental. What Is A Proximal Dental Caries.
From www.shutterstock.com
Cartoon Drawing Dental Caries Proximal Side ภาพประกอบสต็อก 1389036818 What Is A Proximal Dental Caries The symptoms—tender, painful teeth—appear late. Treatment involves removing affected tooth structure and restoring it with various materials. caries is tooth decay, commonly called cavities. Dental caries is a multifactorial, transmissible, infectious oral disease caused primarily by the complex interaction of. the management of carious lesions and caries experience is a daily routine for dentists worldwide. dental caries. What Is A Proximal Dental Caries.
From www.youtube.com
Dental caries and radiograph of caries Type of caries proximal caries What Is A Proximal Dental Caries dental caries is a complex multifactorial disease characterized by demineralisation of dental hard tissue. caries is tooth decay, commonly called cavities. proximal caries are cavities that form in the spaces between teeth and can lead to extensive tooth damage if left. the management of carious lesions and caries experience is a daily routine for dentists worldwide.. What Is A Proximal Dental Caries.
From www.researchgate.net
American Dental Association Caries Classification System. Download What Is A Proximal Dental Caries Dental caries is a multifactorial, transmissible, infectious oral disease caused primarily by the complex interaction of. dental caries is a complex multifactorial disease characterized by demineralisation of dental hard tissue. The symptoms—tender, painful teeth—appear late. what is dental caries? In adults, two specific lesion. proximal caries are cavities that form in the spaces between teeth and can. What Is A Proximal Dental Caries.
From pocketdentistry.com
12 Diagnosis and Management of Dental Caries Pocket Dentistry What Is A Proximal Dental Caries Treatment involves removing affected tooth structure and restoring it with various materials. In adults, two specific lesion. caries is tooth decay, commonly called cavities. dental caries is a complex multifactorial disease characterized by demineralisation of dental hard tissue. The symptoms—tender, painful teeth—appear late. novel methods like fluorescence and transillumination, as well as advanced tools like oct (optical. What Is A Proximal Dental Caries.
From www.mediologiest.com
Dental caries Definition, Causes, Symptoms and Treatment Mediologiest What Is A Proximal Dental Caries proximal caries are cavities that form in the spaces between teeth and can lead to extensive tooth damage if left. dental caries is a complex multifactorial disease characterized by demineralisation of dental hard tissue. the management of carious lesions and caries experience is a daily routine for dentists worldwide. The symptoms—tender, painful teeth—appear late. novel methods. What Is A Proximal Dental Caries.
From www.researchgate.net
Schematic representation of progression of a lesion of dental caries What Is A Proximal Dental Caries Treatment involves removing affected tooth structure and restoring it with various materials. In adults, two specific lesion. the management of carious lesions and caries experience is a daily routine for dentists worldwide. proximal caries are cavities that form in the spaces between teeth and can lead to extensive tooth damage if left. dental caries is a complex. What Is A Proximal Dental Caries.
From vivantdental.ca
Dental Caries (Cavities) Dentists in Surrey Vivant Dental What Is A Proximal Dental Caries novel methods like fluorescence and transillumination, as well as advanced tools like oct (optical coherence tomography),. Dental caries is a multifactorial, transmissible, infectious oral disease caused primarily by the complex interaction of. what is dental caries? The symptoms—tender, painful teeth—appear late. the management of carious lesions and caries experience is a daily routine for dentists worldwide. In. What Is A Proximal Dental Caries.
From teethfirst.org
Dental Caries Breaking the Cycle TeethFirst What Is A Proximal Dental Caries Treatment involves removing affected tooth structure and restoring it with various materials. The symptoms—tender, painful teeth—appear late. the management of carious lesions and caries experience is a daily routine for dentists worldwide. In adults, two specific lesion. caries is tooth decay, commonly called cavities. Dental caries is a multifactorial, transmissible, infectious oral disease caused primarily by the complex. What Is A Proximal Dental Caries.
From www.dentaljuce.com
Direct Restorations Dentsply SDR Smart Dentin Replacement. Proximal What Is A Proximal Dental Caries what is dental caries? proximal caries are cavities that form in the spaces between teeth and can lead to extensive tooth damage if left. In adults, two specific lesion. Dental caries is a multifactorial, transmissible, infectious oral disease caused primarily by the complex interaction of. caries is tooth decay, commonly called cavities. The symptoms—tender, painful teeth—appear late.. What Is A Proximal Dental Caries.
From www.researchgate.net
Dental caries in crosssectional view Download Scientific Diagram What Is A Proximal Dental Caries Dental caries is a multifactorial, transmissible, infectious oral disease caused primarily by the complex interaction of. The symptoms—tender, painful teeth—appear late. dental caries is a complex multifactorial disease characterized by demineralisation of dental hard tissue. Treatment involves removing affected tooth structure and restoring it with various materials. what is dental caries? novel methods like fluorescence and transillumination,. What Is A Proximal Dental Caries.
From www.medihelp365.com
Dental Caries/Tooth Caries or DecayKnow Cause, Prevention & Treatment What Is A Proximal Dental Caries dental caries is a complex multifactorial disease characterized by demineralisation of dental hard tissue. caries is tooth decay, commonly called cavities. proximal caries are cavities that form in the spaces between teeth and can lead to extensive tooth damage if left. The symptoms—tender, painful teeth—appear late. Treatment involves removing affected tooth structure and restoring it with various. What Is A Proximal Dental Caries.
From www.dentistryiq.com
Mustknow classifications of dental caries for the national dental What Is A Proximal Dental Caries The symptoms—tender, painful teeth—appear late. In adults, two specific lesion. dental caries is a complex multifactorial disease characterized by demineralisation of dental hard tissue. the management of carious lesions and caries experience is a daily routine for dentists worldwide. novel methods like fluorescence and transillumination, as well as advanced tools like oct (optical coherence tomography),. Dental caries. What Is A Proximal Dental Caries.
From ppt-online.org
Dental caries and pulpitis презентация онлайн What Is A Proximal Dental Caries In adults, two specific lesion. The symptoms—tender, painful teeth—appear late. what is dental caries? Treatment involves removing affected tooth structure and restoring it with various materials. dental caries is a complex multifactorial disease characterized by demineralisation of dental hard tissue. proximal caries are cavities that form in the spaces between teeth and can lead to extensive tooth. What Is A Proximal Dental Caries.
From www.vanillasmiles.dental
Management of Dental Caries, Behavior management What Is A Proximal Dental Caries proximal caries are cavities that form in the spaces between teeth and can lead to extensive tooth damage if left. dental caries is a complex multifactorial disease characterized by demineralisation of dental hard tissue. Dental caries is a multifactorial, transmissible, infectious oral disease caused primarily by the complex interaction of. the management of carious lesions and caries. What Is A Proximal Dental Caries.
From onlinelibrary.wiley.com
Management of deep caries and the exposed pulp Bjørndal 2019 What Is A Proximal Dental Caries caries is tooth decay, commonly called cavities. Dental caries is a multifactorial, transmissible, infectious oral disease caused primarily by the complex interaction of. dental caries is a complex multifactorial disease characterized by demineralisation of dental hard tissue. Treatment involves removing affected tooth structure and restoring it with various materials. The symptoms—tender, painful teeth—appear late. novel methods like. What Is A Proximal Dental Caries.
From estudidentalbarcelona.com
Qué es la caries dental y cómo prevenirla ED Barcelona What Is A Proximal Dental Caries caries is tooth decay, commonly called cavities. In adults, two specific lesion. The symptoms—tender, painful teeth—appear late. Dental caries is a multifactorial, transmissible, infectious oral disease caused primarily by the complex interaction of. dental caries is a complex multifactorial disease characterized by demineralisation of dental hard tissue. Treatment involves removing affected tooth structure and restoring it with various. What Is A Proximal Dental Caries.
From www.nationalelfservice.net
Proximal caries diagnostic measures National Elf Service What Is A Proximal Dental Caries caries is tooth decay, commonly called cavities. In adults, two specific lesion. dental caries is a complex multifactorial disease characterized by demineralisation of dental hard tissue. The symptoms—tender, painful teeth—appear late. proximal caries are cavities that form in the spaces between teeth and can lead to extensive tooth damage if left. novel methods like fluorescence and. What Is A Proximal Dental Caries.
From www.drkatarmal.com
Composite Filling for Proximal Dental Caries Class 2 Dr. Bharat What Is A Proximal Dental Caries The symptoms—tender, painful teeth—appear late. Dental caries is a multifactorial, transmissible, infectious oral disease caused primarily by the complex interaction of. what is dental caries? Treatment involves removing affected tooth structure and restoring it with various materials. the management of carious lesions and caries experience is a daily routine for dentists worldwide. In adults, two specific lesion. . What Is A Proximal Dental Caries.
From www.infinix.com
Restorations of Proximal Caries Lesions — Infinix™ Advanced Dental What Is A Proximal Dental Caries dental caries is a complex multifactorial disease characterized by demineralisation of dental hard tissue. Dental caries is a multifactorial, transmissible, infectious oral disease caused primarily by the complex interaction of. what is dental caries? caries is tooth decay, commonly called cavities. In adults, two specific lesion. the management of carious lesions and caries experience is a. What Is A Proximal Dental Caries.
From dentodontics.com
G.V. BLACK’S CLASSIFICATION OF CARIES DENTODONTICS What Is A Proximal Dental Caries the management of carious lesions and caries experience is a daily routine for dentists worldwide. The symptoms—tender, painful teeth—appear late. Dental caries is a multifactorial, transmissible, infectious oral disease caused primarily by the complex interaction of. proximal caries are cavities that form in the spaces between teeth and can lead to extensive tooth damage if left. what. What Is A Proximal Dental Caries.
From www.slideserve.com
PPT Radiographic Interpretation of Dental Caries PowerPoint What Is A Proximal Dental Caries The symptoms—tender, painful teeth—appear late. proximal caries are cavities that form in the spaces between teeth and can lead to extensive tooth damage if left. dental caries is a complex multifactorial disease characterized by demineralisation of dental hard tissue. the management of carious lesions and caries experience is a daily routine for dentists worldwide. Dental caries is. What Is A Proximal Dental Caries.