How Is A Fixed Bridge Attached . A dental bridge sits atop the gums and is anchored to a crown on its neighboring teeth. If your dentist puts in a fixed or permanent bridge, it will. A dental bridge sometimes called a fixed bridge or a fixed dental prosthesis, is a restoration designed to literally “bridge the gap”. A bridge, also called a “fixed bridge” or a “fixed dental prosthesis,” is a dental restoration that replaces one or more missing teeth. It is called a fixed bridge because it is not removable. An implant is mounted on a screw attached to the. It extends across an area that has no teeth and is typically made up of an. A fixed bridge is a dental restoration that replaces one or more missing teeth by spanning the gap between two existing teeth or dental implants. They consist of one or more pontics (fake teeth) supported by. A bridge is designed to look like your natural teeth. Dental bridges are a type of fixed dental restoration for missing teeth. A traditional bridge involves two crowns — sometimes called abutments — anchoring the fake tooth or teeth. This is the most popular type of bridge, and it can be fixed or removable. Is a dental bridge permanent?
from www.angusdentist.ca
An implant is mounted on a screw attached to the. A fixed bridge is a dental restoration that replaces one or more missing teeth by spanning the gap between two existing teeth or dental implants. Is a dental bridge permanent? A dental bridge sometimes called a fixed bridge or a fixed dental prosthesis, is a restoration designed to literally “bridge the gap”. A dental bridge sits atop the gums and is anchored to a crown on its neighboring teeth. It extends across an area that has no teeth and is typically made up of an. If your dentist puts in a fixed or permanent bridge, it will. A bridge, also called a “fixed bridge” or a “fixed dental prosthesis,” is a dental restoration that replaces one or more missing teeth. They consist of one or more pontics (fake teeth) supported by. This is the most popular type of bridge, and it can be fixed or removable.
Fixed Bridges in Angus, Ontario Rainbow Dental Centre
How Is A Fixed Bridge Attached Dental bridges are a type of fixed dental restoration for missing teeth. A dental bridge sometimes called a fixed bridge or a fixed dental prosthesis, is a restoration designed to literally “bridge the gap”. It is called a fixed bridge because it is not removable. A dental bridge sits atop the gums and is anchored to a crown on its neighboring teeth. A bridge is designed to look like your natural teeth. A bridge, also called a “fixed bridge” or a “fixed dental prosthesis,” is a dental restoration that replaces one or more missing teeth. If your dentist puts in a fixed or permanent bridge, it will. A fixed bridge is a dental restoration that replaces one or more missing teeth by spanning the gap between two existing teeth or dental implants. A traditional bridge involves two crowns — sometimes called abutments — anchoring the fake tooth or teeth. They consist of one or more pontics (fake teeth) supported by. An implant is mounted on a screw attached to the. Is a dental bridge permanent? Dental bridges are a type of fixed dental restoration for missing teeth. It extends across an area that has no teeth and is typically made up of an. This is the most popular type of bridge, and it can be fixed or removable.
From massnerdentistry.com
Fixed Bridges Dental Service at Massner Dentistry in Burlington, Iowa How Is A Fixed Bridge Attached A bridge is designed to look like your natural teeth. A traditional bridge involves two crowns — sometimes called abutments — anchoring the fake tooth or teeth. A dental bridge sometimes called a fixed bridge or a fixed dental prosthesis, is a restoration designed to literally “bridge the gap”. A bridge, also called a “fixed bridge” or a “fixed dental. How Is A Fixed Bridge Attached.
From www.sydneycitydentists.com.au
Fixed Bridges Sydney City Dentists How Is A Fixed Bridge Attached Dental bridges are a type of fixed dental restoration for missing teeth. A dental bridge sits atop the gums and is anchored to a crown on its neighboring teeth. They consist of one or more pontics (fake teeth) supported by. A traditional bridge involves two crowns — sometimes called abutments — anchoring the fake tooth or teeth. If your dentist. How Is A Fixed Bridge Attached.
From www.midlodental.com
Fixed Bridges in Midlothian, VA Neighbors and Herod Family Dentistry How Is A Fixed Bridge Attached This is the most popular type of bridge, and it can be fixed or removable. A dental bridge sometimes called a fixed bridge or a fixed dental prosthesis, is a restoration designed to literally “bridge the gap”. If your dentist puts in a fixed or permanent bridge, it will. A bridge is designed to look like your natural teeth. An. How Is A Fixed Bridge Attached.
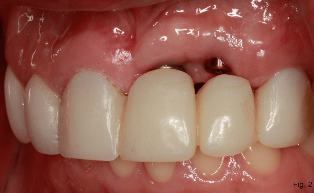
From www.speareducation.com
Implant Supported Fixed Bridge for Maxillary Incisors Spear Education How Is A Fixed Bridge Attached If your dentist puts in a fixed or permanent bridge, it will. This is the most popular type of bridge, and it can be fixed or removable. It is called a fixed bridge because it is not removable. A bridge is designed to look like your natural teeth. A dental bridge sits atop the gums and is anchored to a. How Is A Fixed Bridge Attached.
From joixnrblb.blob.core.windows.net
What Is A Bridge In Your Teeth at Calvin Moore blog How Is A Fixed Bridge Attached A bridge, also called a “fixed bridge” or a “fixed dental prosthesis,” is a dental restoration that replaces one or more missing teeth. A dental bridge sometimes called a fixed bridge or a fixed dental prosthesis, is a restoration designed to literally “bridge the gap”. It extends across an area that has no teeth and is typically made up of. How Is A Fixed Bridge Attached.
From burbankdentalimplants.com
Fixed Dental Implant Bridge vs. Implant Denture What is the REAL How Is A Fixed Bridge Attached If your dentist puts in a fixed or permanent bridge, it will. An implant is mounted on a screw attached to the. Dental bridges are a type of fixed dental restoration for missing teeth. A dental bridge sits atop the gums and is anchored to a crown on its neighboring teeth. They consist of one or more pontics (fake teeth). How Is A Fixed Bridge Attached.
From www.angusdentist.ca
Fixed Bridges in Angus, Ontario Rainbow Dental Centre How Is A Fixed Bridge Attached A bridge is designed to look like your natural teeth. An implant is mounted on a screw attached to the. A dental bridge sits atop the gums and is anchored to a crown on its neighboring teeth. This is the most popular type of bridge, and it can be fixed or removable. Dental bridges are a type of fixed dental. How Is A Fixed Bridge Attached.
From www.kstreetdental.com
Crowns And Bridges Specialist Washington, DC K Street Dental How Is A Fixed Bridge Attached A dental bridge sometimes called a fixed bridge or a fixed dental prosthesis, is a restoration designed to literally “bridge the gap”. Is a dental bridge permanent? If your dentist puts in a fixed or permanent bridge, it will. A traditional bridge involves two crowns — sometimes called abutments — anchoring the fake tooth or teeth. An implant is mounted. How Is A Fixed Bridge Attached.
From www.amginfotek.com
Fixed Bridges Majestic Dentistry How Is A Fixed Bridge Attached This is the most popular type of bridge, and it can be fixed or removable. A traditional bridge involves two crowns — sometimes called abutments — anchoring the fake tooth or teeth. A bridge, also called a “fixed bridge” or a “fixed dental prosthesis,” is a dental restoration that replaces one or more missing teeth. It is called a fixed. How Is A Fixed Bridge Attached.
From miamiperfectsmile.com
Fixed dental bridge Understand all the details here How Is A Fixed Bridge Attached It extends across an area that has no teeth and is typically made up of an. If your dentist puts in a fixed or permanent bridge, it will. A bridge is designed to look like your natural teeth. This is the most popular type of bridge, and it can be fixed or removable. It is called a fixed bridge because. How Is A Fixed Bridge Attached.
From www.familyandchildrensdentistry.com
Dental Bridges Family and Children’s Dentistry Atlanta How Is A Fixed Bridge Attached Dental bridges are a type of fixed dental restoration for missing teeth. It is called a fixed bridge because it is not removable. If your dentist puts in a fixed or permanent bridge, it will. A fixed bridge is a dental restoration that replaces one or more missing teeth by spanning the gap between two existing teeth or dental implants.. How Is A Fixed Bridge Attached.
From rockyridgedental.com
Fixed Bridges Rocky Ridge Dental How Is A Fixed Bridge Attached A bridge, also called a “fixed bridge” or a “fixed dental prosthesis,” is a dental restoration that replaces one or more missing teeth. A dental bridge sometimes called a fixed bridge or a fixed dental prosthesis, is a restoration designed to literally “bridge the gap”. A traditional bridge involves two crowns — sometimes called abutments — anchoring the fake tooth. How Is A Fixed Bridge Attached.
From www.drjesusmedinajrdds.com
Fixed bridges dentures cosmetic dentist Las Vegas 89107 How Is A Fixed Bridge Attached Is a dental bridge permanent? It is called a fixed bridge because it is not removable. An implant is mounted on a screw attached to the. Dental bridges are a type of fixed dental restoration for missing teeth. A bridge, also called a “fixed bridge” or a “fixed dental prosthesis,” is a dental restoration that replaces one or more missing. How Is A Fixed Bridge Attached.
From www.kennedydentalcosmetics.com.au
Dental Bridges Paddington Dentures Paddington How Is A Fixed Bridge Attached A bridge is designed to look like your natural teeth. Dental bridges are a type of fixed dental restoration for missing teeth. A fixed bridge is a dental restoration that replaces one or more missing teeth by spanning the gap between two existing teeth or dental implants. They consist of one or more pontics (fake teeth) supported by. A dental. How Is A Fixed Bridge Attached.
From www.konigdds.com
What is a Fixed Dental Bridge? Konig Center for Cosmetic How Is A Fixed Bridge Attached Dental bridges are a type of fixed dental restoration for missing teeth. An implant is mounted on a screw attached to the. A dental bridge sits atop the gums and is anchored to a crown on its neighboring teeth. If your dentist puts in a fixed or permanent bridge, it will. It extends across an area that has no teeth. How Is A Fixed Bridge Attached.
From www.aaadentalstamford.com
Fixed Bridges Stamford, Connecticut AAA Dental Care How Is A Fixed Bridge Attached A dental bridge sometimes called a fixed bridge or a fixed dental prosthesis, is a restoration designed to literally “bridge the gap”. A traditional bridge involves two crowns — sometimes called abutments — anchoring the fake tooth or teeth. Dental bridges are a type of fixed dental restoration for missing teeth. A bridge is designed to look like your natural. How Is A Fixed Bridge Attached.
From www.philipkclarkdmd.com
Fixed Dental Bridges in Fleming Island FL Philip K. Clark, DMD How Is A Fixed Bridge Attached A traditional bridge involves two crowns — sometimes called abutments — anchoring the fake tooth or teeth. A dental bridge sits atop the gums and is anchored to a crown on its neighboring teeth. An implant is mounted on a screw attached to the. A bridge, also called a “fixed bridge” or a “fixed dental prosthesis,” is a dental restoration. How Is A Fixed Bridge Attached.
From www.thepalmtreedental.com
Benefits of a Fixed Bridge Palm Tree Dental How Is A Fixed Bridge Attached Is a dental bridge permanent? A bridge, also called a “fixed bridge” or a “fixed dental prosthesis,” is a dental restoration that replaces one or more missing teeth. If your dentist puts in a fixed or permanent bridge, it will. They consist of one or more pontics (fake teeth) supported by. It extends across an area that has no teeth. How Is A Fixed Bridge Attached.
From www.bowriverdental.ca
Porcelain Fixed Bridges Cochrane Cochrane Dentists Bow River Dental How Is A Fixed Bridge Attached This is the most popular type of bridge, and it can be fixed or removable. A traditional bridge involves two crowns — sometimes called abutments — anchoring the fake tooth or teeth. It is called a fixed bridge because it is not removable. A bridge, also called a “fixed bridge” or a “fixed dental prosthesis,” is a dental restoration that. How Is A Fixed Bridge Attached.
From prestigedentalpasadena.com
Dental Bridges, Fixed Bridges, Replacement Teeth Pasadena, CA How Is A Fixed Bridge Attached This is the most popular type of bridge, and it can be fixed or removable. It is called a fixed bridge because it is not removable. A fixed bridge is a dental restoration that replaces one or more missing teeth by spanning the gap between two existing teeth or dental implants. A bridge is designed to look like your natural. How Is A Fixed Bridge Attached.
From www.dentalimplantcenter.com
Fixed Implant Bridges (nonremovable) How Is A Fixed Bridge Attached A bridge, also called a “fixed bridge” or a “fixed dental prosthesis,” is a dental restoration that replaces one or more missing teeth. This is the most popular type of bridge, and it can be fixed or removable. A dental bridge sometimes called a fixed bridge or a fixed dental prosthesis, is a restoration designed to literally “bridge the gap”.. How Is A Fixed Bridge Attached.
From premiumdentalcenter.com
Fixed Bridges Premium Dental Center How Is A Fixed Bridge Attached A dental bridge sits atop the gums and is anchored to a crown on its neighboring teeth. Dental bridges are a type of fixed dental restoration for missing teeth. It extends across an area that has no teeth and is typically made up of an. A fixed bridge is a dental restoration that replaces one or more missing teeth by. How Is A Fixed Bridge Attached.
From www.drtuanpham.com
Affordable Dental Bridges Redlands, CA Tuan Pham DDS How Is A Fixed Bridge Attached A dental bridge sometimes called a fixed bridge or a fixed dental prosthesis, is a restoration designed to literally “bridge the gap”. They consist of one or more pontics (fake teeth) supported by. A traditional bridge involves two crowns — sometimes called abutments — anchoring the fake tooth or teeth. A bridge, also called a “fixed bridge” or a “fixed. How Is A Fixed Bridge Attached.
From drlowdental.ca
Fixed Prosthodontics (Crown and Bridge) Dr. Jonathan Low How Is A Fixed Bridge Attached A bridge, also called a “fixed bridge” or a “fixed dental prosthesis,” is a dental restoration that replaces one or more missing teeth. An implant is mounted on a screw attached to the. A dental bridge sometimes called a fixed bridge or a fixed dental prosthesis, is a restoration designed to literally “bridge the gap”. It is called a fixed. How Is A Fixed Bridge Attached.
From delairedental.com
Implants vs. Bridges » New York, NY Dentistry Dr. Lee & Dr. Dumanian How Is A Fixed Bridge Attached If your dentist puts in a fixed or permanent bridge, it will. Is a dental bridge permanent? A traditional bridge involves two crowns — sometimes called abutments — anchoring the fake tooth or teeth. A bridge is designed to look like your natural teeth. It is called a fixed bridge because it is not removable. An implant is mounted on. How Is A Fixed Bridge Attached.
From www.healthclips.com
Text Getting a Fixed Bridge HealthClips Online How Is A Fixed Bridge Attached It is called a fixed bridge because it is not removable. A bridge is designed to look like your natural teeth. If your dentist puts in a fixed or permanent bridge, it will. Dental bridges are a type of fixed dental restoration for missing teeth. They consist of one or more pontics (fake teeth) supported by. A bridge, also called. How Is A Fixed Bridge Attached.
From arlington-dentistry.com
Dental Bridges Arlington Dentistry How Is A Fixed Bridge Attached An implant is mounted on a screw attached to the. If your dentist puts in a fixed or permanent bridge, it will. A bridge is designed to look like your natural teeth. Dental bridges are a type of fixed dental restoration for missing teeth. This is the most popular type of bridge, and it can be fixed or removable. A. How Is A Fixed Bridge Attached.
From www.seamanfamilydentistry.info
Fixed Bridgework How Is A Fixed Bridge Attached A dental bridge sometimes called a fixed bridge or a fixed dental prosthesis, is a restoration designed to literally “bridge the gap”. A dental bridge sits atop the gums and is anchored to a crown on its neighboring teeth. A traditional bridge involves two crowns — sometimes called abutments — anchoring the fake tooth or teeth. It extends across an. How Is A Fixed Bridge Attached.
From ncprosthodontics.com
Fixed Full Arch Implant Bridge (All on 4®) NC Prosthodontic Specialists How Is A Fixed Bridge Attached A dental bridge sits atop the gums and is anchored to a crown on its neighboring teeth. They consist of one or more pontics (fake teeth) supported by. It is called a fixed bridge because it is not removable. A fixed bridge is a dental restoration that replaces one or more missing teeth by spanning the gap between two existing. How Is A Fixed Bridge Attached.
From www.covaneydental.com
Fixed Bridges in Newport News, VA Covaney & Covaney How Is A Fixed Bridge Attached Dental bridges are a type of fixed dental restoration for missing teeth. An implant is mounted on a screw attached to the. Is a dental bridge permanent? A dental bridge sits atop the gums and is anchored to a crown on its neighboring teeth. It is called a fixed bridge because it is not removable. It extends across an area. How Is A Fixed Bridge Attached.
From www.northwestdds.com
Dental Bridges Northwest Dental Glyndon Maryland How Is A Fixed Bridge Attached A bridge is designed to look like your natural teeth. A dental bridge sits atop the gums and is anchored to a crown on its neighboring teeth. It is called a fixed bridge because it is not removable. An implant is mounted on a screw attached to the. Dental bridges are a type of fixed dental restoration for missing teeth.. How Is A Fixed Bridge Attached.
From www.blossomdentalny.com
Porcelain Fixed Bridges Copiague Cosmetic Dental Pak Dentistry How Is A Fixed Bridge Attached A traditional bridge involves two crowns — sometimes called abutments — anchoring the fake tooth or teeth. Is a dental bridge permanent? It extends across an area that has no teeth and is typically made up of an. If your dentist puts in a fixed or permanent bridge, it will. This is the most popular type of bridge, and it. How Is A Fixed Bridge Attached.
From dreamlanddental.com
Fixed Bridge Dreamland Dental & Orthodontics How Is A Fixed Bridge Attached This is the most popular type of bridge, and it can be fixed or removable. Is a dental bridge permanent? If your dentist puts in a fixed or permanent bridge, it will. A dental bridge sometimes called a fixed bridge or a fixed dental prosthesis, is a restoration designed to literally “bridge the gap”. It is called a fixed bridge. How Is A Fixed Bridge Attached.
From www.sonrisaparatodos.com
Dental Implants VS Fixed Bridge. What is the best fixed prosthetic How Is A Fixed Bridge Attached Dental bridges are a type of fixed dental restoration for missing teeth. They consist of one or more pontics (fake teeth) supported by. A fixed bridge is a dental restoration that replaces one or more missing teeth by spanning the gap between two existing teeth or dental implants. A bridge, also called a “fixed bridge” or a “fixed dental prosthesis,”. How Is A Fixed Bridge Attached.
From dentcarehub.com
Fixed Bridges Dentcarehub How Is A Fixed Bridge Attached Is a dental bridge permanent? A dental bridge sometimes called a fixed bridge or a fixed dental prosthesis, is a restoration designed to literally “bridge the gap”. Dental bridges are a type of fixed dental restoration for missing teeth. A bridge is designed to look like your natural teeth. A bridge, also called a “fixed bridge” or a “fixed dental. How Is A Fixed Bridge Attached.