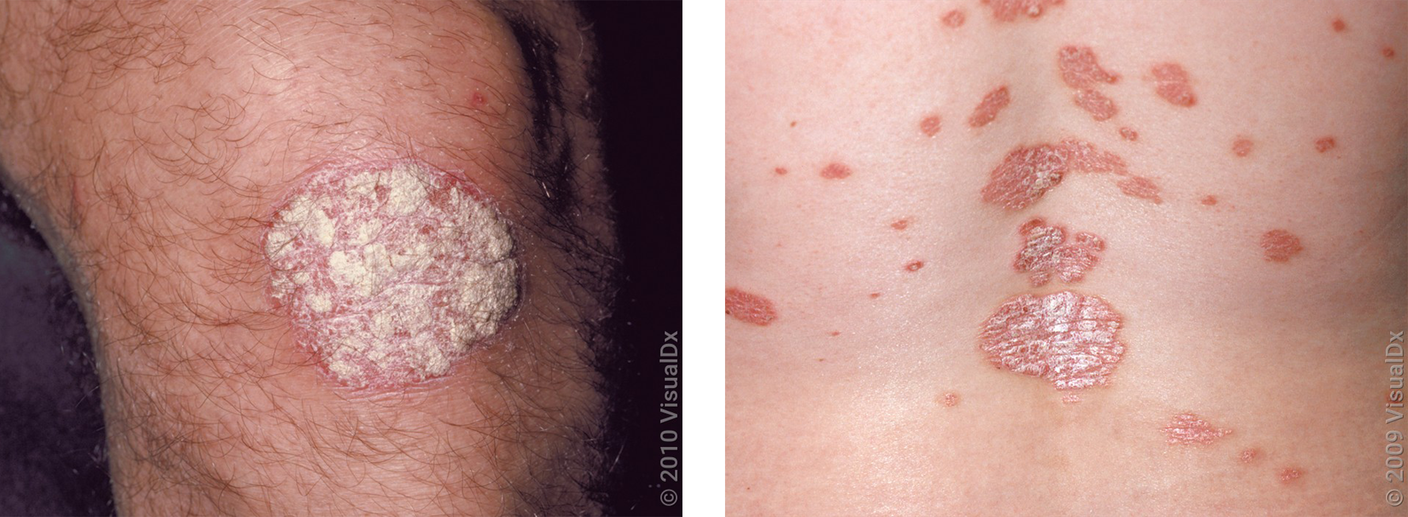
What Are The Warning Signs Of Psoriatic Arthritis . here is a look at three general phases of psoriatic arthritis and what each one is like. learn how to recognize the early signs of psoriatic arthritis (psa), a type of arthritis that also involves symptoms of psoriasis. Certain things, like stress or environmental factors, may cause symptoms to feel. learn how to recognize the symptoms of psoriatic arthritis, a condition that causes inflammation of joints and. the most common symptoms are joint pain and stiffness, skin rashes and changes in your fingernails and toenails. psoriatic arthritis (psa) symptoms include joint pain, swelling, and stiffness. early warning signs of psoriatic arthritis may include:
from creakyjoints.org
early warning signs of psoriatic arthritis may include: learn how to recognize the early signs of psoriatic arthritis (psa), a type of arthritis that also involves symptoms of psoriasis. here is a look at three general phases of psoriatic arthritis and what each one is like. psoriatic arthritis (psa) symptoms include joint pain, swelling, and stiffness. learn how to recognize the symptoms of psoriatic arthritis, a condition that causes inflammation of joints and. Certain things, like stress or environmental factors, may cause symptoms to feel. the most common symptoms are joint pain and stiffness, skin rashes and changes in your fingernails and toenails.
Psoriatic Arthritis Comorbidities What Patients Need to Know
What Are The Warning Signs Of Psoriatic Arthritis Certain things, like stress or environmental factors, may cause symptoms to feel. early warning signs of psoriatic arthritis may include: learn how to recognize the early signs of psoriatic arthritis (psa), a type of arthritis that also involves symptoms of psoriasis. Certain things, like stress or environmental factors, may cause symptoms to feel. here is a look at three general phases of psoriatic arthritis and what each one is like. the most common symptoms are joint pain and stiffness, skin rashes and changes in your fingernails and toenails. learn how to recognize the symptoms of psoriatic arthritis, a condition that causes inflammation of joints and. psoriatic arthritis (psa) symptoms include joint pain, swelling, and stiffness.
From www.homeocarearthritis.com
The early warning signs for psoriatic arthritis? What Are The Warning Signs Of Psoriatic Arthritis the most common symptoms are joint pain and stiffness, skin rashes and changes in your fingernails and toenails. psoriatic arthritis (psa) symptoms include joint pain, swelling, and stiffness. learn how to recognize the symptoms of psoriatic arthritis, a condition that causes inflammation of joints and. learn how to recognize the early signs of psoriatic arthritis (psa),. What Are The Warning Signs Of Psoriatic Arthritis.
From www.goodrx.com
9 Early Warning Signs of Psoriatic Arthritis, With Images GoodRx What Are The Warning Signs Of Psoriatic Arthritis learn how to recognize the early signs of psoriatic arthritis (psa), a type of arthritis that also involves symptoms of psoriasis. psoriatic arthritis (psa) symptoms include joint pain, swelling, and stiffness. here is a look at three general phases of psoriatic arthritis and what each one is like. learn how to recognize the symptoms of psoriatic. What Are The Warning Signs Of Psoriatic Arthritis.
From www.bmhsc.org
10 Warning Signs of Psoriatic Arthritis What Are The Warning Signs Of Psoriatic Arthritis Certain things, like stress or environmental factors, may cause symptoms to feel. learn how to recognize the symptoms of psoriatic arthritis, a condition that causes inflammation of joints and. psoriatic arthritis (psa) symptoms include joint pain, swelling, and stiffness. the most common symptoms are joint pain and stiffness, skin rashes and changes in your fingernails and toenails.. What Are The Warning Signs Of Psoriatic Arthritis.
From aminoco.com
What Is Psoriatic Arthritis? Causes, Symptoms and Treatment The Amino What Are The Warning Signs Of Psoriatic Arthritis early warning signs of psoriatic arthritis may include: the most common symptoms are joint pain and stiffness, skin rashes and changes in your fingernails and toenails. Certain things, like stress or environmental factors, may cause symptoms to feel. learn how to recognize the early signs of psoriatic arthritis (psa), a type of arthritis that also involves symptoms. What Are The Warning Signs Of Psoriatic Arthritis.
From creakyjoints.org
Psoriasis and Psoriatic Arthritis What’s the Connection? What Are The Warning Signs Of Psoriatic Arthritis early warning signs of psoriatic arthritis may include: learn how to recognize the early signs of psoriatic arthritis (psa), a type of arthritis that also involves symptoms of psoriasis. here is a look at three general phases of psoriatic arthritis and what each one is like. the most common symptoms are joint pain and stiffness, skin. What Are The Warning Signs Of Psoriatic Arthritis.
From www.slideshare.net
What are the warning signs of psoriatic arthritis? PDF What Are The Warning Signs Of Psoriatic Arthritis early warning signs of psoriatic arthritis may include: learn how to recognize the symptoms of psoriatic arthritis, a condition that causes inflammation of joints and. psoriatic arthritis (psa) symptoms include joint pain, swelling, and stiffness. here is a look at three general phases of psoriatic arthritis and what each one is like. Certain things, like stress. What Are The Warning Signs Of Psoriatic Arthritis.
From www.hospitalninojesus.com
What Are The Early Warning Signs of Psoriatic Arthritis hospitalninojesus What Are The Warning Signs Of Psoriatic Arthritis Certain things, like stress or environmental factors, may cause symptoms to feel. early warning signs of psoriatic arthritis may include: psoriatic arthritis (psa) symptoms include joint pain, swelling, and stiffness. the most common symptoms are joint pain and stiffness, skin rashes and changes in your fingernails and toenails. learn how to recognize the symptoms of psoriatic. What Are The Warning Signs Of Psoriatic Arthritis.
From musclemx.com
What Are the Early Warning Signs of Psoriatic Arthritis? What Are The Warning Signs Of Psoriatic Arthritis early warning signs of psoriatic arthritis may include: here is a look at three general phases of psoriatic arthritis and what each one is like. Certain things, like stress or environmental factors, may cause symptoms to feel. learn how to recognize the early signs of psoriatic arthritis (psa), a type of arthritis that also involves symptoms of. What Are The Warning Signs Of Psoriatic Arthritis.
From creakyjoints.org
Different Types of Psoriatic Arthritis Symptoms, Treatments, What Are The Warning Signs Of Psoriatic Arthritis learn how to recognize the early signs of psoriatic arthritis (psa), a type of arthritis that also involves symptoms of psoriasis. early warning signs of psoriatic arthritis may include: Certain things, like stress or environmental factors, may cause symptoms to feel. psoriatic arthritis (psa) symptoms include joint pain, swelling, and stiffness. the most common symptoms are. What Are The Warning Signs Of Psoriatic Arthritis.
From creakyjoints.org
Psoriatic Arthritis Flares Symptoms, Causes and Treatments What Are The Warning Signs Of Psoriatic Arthritis early warning signs of psoriatic arthritis may include: psoriatic arthritis (psa) symptoms include joint pain, swelling, and stiffness. the most common symptoms are joint pain and stiffness, skin rashes and changes in your fingernails and toenails. learn how to recognize the early signs of psoriatic arthritis (psa), a type of arthritis that also involves symptoms of. What Are The Warning Signs Of Psoriatic Arthritis.
From snsrheumatology.com
What are the Early Warning Signs of Psoriatic Arthritis? What Are The Warning Signs Of Psoriatic Arthritis psoriatic arthritis (psa) symptoms include joint pain, swelling, and stiffness. here is a look at three general phases of psoriatic arthritis and what each one is like. learn how to recognize the early signs of psoriatic arthritis (psa), a type of arthritis that also involves symptoms of psoriasis. early warning signs of psoriatic arthritis may include:. What Are The Warning Signs Of Psoriatic Arthritis.
From www.raleighmedicalgroup.com
What Are the Early Warning Signs of Psoriatic Arthritis (PsA)? RMG What Are The Warning Signs Of Psoriatic Arthritis the most common symptoms are joint pain and stiffness, skin rashes and changes in your fingernails and toenails. Certain things, like stress or environmental factors, may cause symptoms to feel. here is a look at three general phases of psoriatic arthritis and what each one is like. psoriatic arthritis (psa) symptoms include joint pain, swelling, and stiffness.. What Are The Warning Signs Of Psoriatic Arthritis.
From www.everydayhealth.com
Early Signs of Psoriatic Arthritis Skin Rash, Joint Pain, and More What Are The Warning Signs Of Psoriatic Arthritis psoriatic arthritis (psa) symptoms include joint pain, swelling, and stiffness. learn how to recognize the early signs of psoriatic arthritis (psa), a type of arthritis that also involves symptoms of psoriasis. Certain things, like stress or environmental factors, may cause symptoms to feel. early warning signs of psoriatic arthritis may include: the most common symptoms are. What Are The Warning Signs Of Psoriatic Arthritis.
From wowrxpharmacy.com
What are The Early Warning Signs of Psoriatic Arthritis? What Are The Warning Signs Of Psoriatic Arthritis learn how to recognize the early signs of psoriatic arthritis (psa), a type of arthritis that also involves symptoms of psoriasis. learn how to recognize the symptoms of psoriatic arthritis, a condition that causes inflammation of joints and. Certain things, like stress or environmental factors, may cause symptoms to feel. here is a look at three general. What Are The Warning Signs Of Psoriatic Arthritis.
From www.mypsoriasisteam.com
What Are the Early Warning Signs of Psoriatic Arthritis? MyPsoriasisTeam What Are The Warning Signs Of Psoriatic Arthritis the most common symptoms are joint pain and stiffness, skin rashes and changes in your fingernails and toenails. early warning signs of psoriatic arthritis may include: learn how to recognize the early signs of psoriatic arthritis (psa), a type of arthritis that also involves symptoms of psoriasis. psoriatic arthritis (psa) symptoms include joint pain, swelling, and. What Are The Warning Signs Of Psoriatic Arthritis.
From www.pinterest.com
Psoriatic arthritis in 2020 Psoriatic, Psoriatic arthritis, Psoriasis What Are The Warning Signs Of Psoriatic Arthritis learn how to recognize the symptoms of psoriatic arthritis, a condition that causes inflammation of joints and. psoriatic arthritis (psa) symptoms include joint pain, swelling, and stiffness. here is a look at three general phases of psoriatic arthritis and what each one is like. early warning signs of psoriatic arthritis may include: Certain things, like stress. What Are The Warning Signs Of Psoriatic Arthritis.
From healthjade.com
Psoriatic Arthritis Causes, Symptoms, Diagnosis, Diet & Treatment What Are The Warning Signs Of Psoriatic Arthritis learn how to recognize the early signs of psoriatic arthritis (psa), a type of arthritis that also involves symptoms of psoriasis. psoriatic arthritis (psa) symptoms include joint pain, swelling, and stiffness. early warning signs of psoriatic arthritis may include: learn how to recognize the symptoms of psoriatic arthritis, a condition that causes inflammation of joints and.. What Are The Warning Signs Of Psoriatic Arthritis.
From musclemx.com
What Are the Early Warning Signs of Psoriatic Arthritis? What Are The Warning Signs Of Psoriatic Arthritis the most common symptoms are joint pain and stiffness, skin rashes and changes in your fingernails and toenails. Certain things, like stress or environmental factors, may cause symptoms to feel. psoriatic arthritis (psa) symptoms include joint pain, swelling, and stiffness. here is a look at three general phases of psoriatic arthritis and what each one is like.. What Are The Warning Signs Of Psoriatic Arthritis.
From www.jointhealthmagazine.com
Psoriatic Arthritis Symptoms, Causes, Treatment & More What Are The Warning Signs Of Psoriatic Arthritis learn how to recognize the symptoms of psoriatic arthritis, a condition that causes inflammation of joints and. psoriatic arthritis (psa) symptoms include joint pain, swelling, and stiffness. learn how to recognize the early signs of psoriatic arthritis (psa), a type of arthritis that also involves symptoms of psoriasis. Certain things, like stress or environmental factors, may cause. What Are The Warning Signs Of Psoriatic Arthritis.
From www.youtube.com
Psoriatic Arthritis, Causes, Signs and Symptoms, Diagnosis and What Are The Warning Signs Of Psoriatic Arthritis learn how to recognize the early signs of psoriatic arthritis (psa), a type of arthritis that also involves symptoms of psoriasis. psoriatic arthritis (psa) symptoms include joint pain, swelling, and stiffness. here is a look at three general phases of psoriatic arthritis and what each one is like. the most common symptoms are joint pain and. What Are The Warning Signs Of Psoriatic Arthritis.
From healthjade.net
Psoriatic Arthritis Causes, Symptoms, Diagnosis, Diet & Treatment What Are The Warning Signs Of Psoriatic Arthritis psoriatic arthritis (psa) symptoms include joint pain, swelling, and stiffness. here is a look at three general phases of psoriatic arthritis and what each one is like. the most common symptoms are joint pain and stiffness, skin rashes and changes in your fingernails and toenails. learn how to recognize the early signs of psoriatic arthritis (psa),. What Are The Warning Signs Of Psoriatic Arthritis.
From www.mypsoriasisteam.com
Psoriatic Arthritis Symptoms MyPsoriasisTeam What Are The Warning Signs Of Psoriatic Arthritis psoriatic arthritis (psa) symptoms include joint pain, swelling, and stiffness. learn how to recognize the symptoms of psoriatic arthritis, a condition that causes inflammation of joints and. learn how to recognize the early signs of psoriatic arthritis (psa), a type of arthritis that also involves symptoms of psoriasis. early warning signs of psoriatic arthritis may include:. What Are The Warning Signs Of Psoriatic Arthritis.
From www.youtube.com
8 Signs You May be at Risk for Psoriatic Arthritis YouTube What Are The Warning Signs Of Psoriatic Arthritis psoriatic arthritis (psa) symptoms include joint pain, swelling, and stiffness. Certain things, like stress or environmental factors, may cause symptoms to feel. early warning signs of psoriatic arthritis may include: here is a look at three general phases of psoriatic arthritis and what each one is like. the most common symptoms are joint pain and stiffness,. What Are The Warning Signs Of Psoriatic Arthritis.
From healthcareassociates.com
7 Early Signs of Psoriatic Arthritis Healthcare Associates of Texas What Are The Warning Signs Of Psoriatic Arthritis psoriatic arthritis (psa) symptoms include joint pain, swelling, and stiffness. early warning signs of psoriatic arthritis may include: the most common symptoms are joint pain and stiffness, skin rashes and changes in your fingernails and toenails. Certain things, like stress or environmental factors, may cause symptoms to feel. here is a look at three general phases. What Are The Warning Signs Of Psoriatic Arthritis.
From creakyjoints.org
Psoriatic Arthritis Signs and Symptoms What Are The Warning Signs Of Psoriatic Arthritis learn how to recognize the early signs of psoriatic arthritis (psa), a type of arthritis that also involves symptoms of psoriasis. Certain things, like stress or environmental factors, may cause symptoms to feel. early warning signs of psoriatic arthritis may include: learn how to recognize the symptoms of psoriatic arthritis, a condition that causes inflammation of joints. What Are The Warning Signs Of Psoriatic Arthritis.
From healthjade.net
Psoriatic Arthritis Causes, Symptoms, Diagnosis, Diet & Treatment What Are The Warning Signs Of Psoriatic Arthritis psoriatic arthritis (psa) symptoms include joint pain, swelling, and stiffness. Certain things, like stress or environmental factors, may cause symptoms to feel. early warning signs of psoriatic arthritis may include: the most common symptoms are joint pain and stiffness, skin rashes and changes in your fingernails and toenails. here is a look at three general phases. What Are The Warning Signs Of Psoriatic Arthritis.
From snsrheumatology.com
What are the Early Warning Signs of Psoriatic Arthritis? What Are The Warning Signs Of Psoriatic Arthritis learn how to recognize the early signs of psoriatic arthritis (psa), a type of arthritis that also involves symptoms of psoriasis. learn how to recognize the symptoms of psoriatic arthritis, a condition that causes inflammation of joints and. Certain things, like stress or environmental factors, may cause symptoms to feel. here is a look at three general. What Are The Warning Signs Of Psoriatic Arthritis.
From snsrheumatology.com
What are the Early Warning Signs of Psoriatic Arthritis? What Are The Warning Signs Of Psoriatic Arthritis learn how to recognize the symptoms of psoriatic arthritis, a condition that causes inflammation of joints and. Certain things, like stress or environmental factors, may cause symptoms to feel. learn how to recognize the early signs of psoriatic arthritis (psa), a type of arthritis that also involves symptoms of psoriasis. early warning signs of psoriatic arthritis may. What Are The Warning Signs Of Psoriatic Arthritis.
From creakyjoints.org
Psoriatic Arthritis Rash Symptoms, Treatment, and Pictures What Are The Warning Signs Of Psoriatic Arthritis learn how to recognize the early signs of psoriatic arthritis (psa), a type of arthritis that also involves symptoms of psoriasis. here is a look at three general phases of psoriatic arthritis and what each one is like. Certain things, like stress or environmental factors, may cause symptoms to feel. the most common symptoms are joint pain. What Are The Warning Signs Of Psoriatic Arthritis.
From www.drugwatch.com
Psoriatic Arthritis Symptoms, Causes, Diagnosis & Treatment What Are The Warning Signs Of Psoriatic Arthritis learn how to recognize the symptoms of psoriatic arthritis, a condition that causes inflammation of joints and. the most common symptoms are joint pain and stiffness, skin rashes and changes in your fingernails and toenails. here is a look at three general phases of psoriatic arthritis and what each one is like. learn how to recognize. What Are The Warning Signs Of Psoriatic Arthritis.
From www.youtube.com
5 Signs of Psoriatic Arthritis! How to know if you have psoriatic What Are The Warning Signs Of Psoriatic Arthritis the most common symptoms are joint pain and stiffness, skin rashes and changes in your fingernails and toenails. early warning signs of psoriatic arthritis may include: psoriatic arthritis (psa) symptoms include joint pain, swelling, and stiffness. here is a look at three general phases of psoriatic arthritis and what each one is like. learn how. What Are The Warning Signs Of Psoriatic Arthritis.
From creakyjoints.org
Psoriatic Arthritis in the Feet Symptoms, Treatment, Home Remedies What Are The Warning Signs Of Psoriatic Arthritis psoriatic arthritis (psa) symptoms include joint pain, swelling, and stiffness. early warning signs of psoriatic arthritis may include: Certain things, like stress or environmental factors, may cause symptoms to feel. learn how to recognize the early signs of psoriatic arthritis (psa), a type of arthritis that also involves symptoms of psoriasis. learn how to recognize the. What Are The Warning Signs Of Psoriatic Arthritis.
From www.pinterest.com
The Psoriatic Arthritis Symptoms To Watch Out For Knowing the What Are The Warning Signs Of Psoriatic Arthritis psoriatic arthritis (psa) symptoms include joint pain, swelling, and stiffness. the most common symptoms are joint pain and stiffness, skin rashes and changes in your fingernails and toenails. early warning signs of psoriatic arthritis may include: learn how to recognize the symptoms of psoriatic arthritis, a condition that causes inflammation of joints and. learn how. What Are The Warning Signs Of Psoriatic Arthritis.
From creakyjoints.org
Psoriatic Arthritis Comorbidities What Patients Need to Know What Are The Warning Signs Of Psoriatic Arthritis early warning signs of psoriatic arthritis may include: learn how to recognize the symptoms of psoriatic arthritis, a condition that causes inflammation of joints and. the most common symptoms are joint pain and stiffness, skin rashes and changes in your fingernails and toenails. learn how to recognize the early signs of psoriatic arthritis (psa), a type. What Are The Warning Signs Of Psoriatic Arthritis.
From www.goodrx.com
9 Early Warning Signs of Psoriatic Arthritis, With Images GoodRx What Are The Warning Signs Of Psoriatic Arthritis learn how to recognize the early signs of psoriatic arthritis (psa), a type of arthritis that also involves symptoms of psoriasis. here is a look at three general phases of psoriatic arthritis and what each one is like. learn how to recognize the symptoms of psoriatic arthritis, a condition that causes inflammation of joints and. the. What Are The Warning Signs Of Psoriatic Arthritis.