Does A Chest X-Ray Show Pancreatitis . Ercp findings in chronic pancreatitis: This can help identify a cause or rule out other problems. The web page explains the 2012 revised atlanta. Acute pancreatitis is usually diagnosed in hospital, where you'll receive treatment and be monitored for any complications. Used to look for free gas under the diaphragm (pneumoperitoneum) in patients who present with epigastric tenderness. Acute pancreatitis is a sudden and severe inflammation of the pancreas that causes abdominal pain, nausea, fever and jaundice. In a patient with early chronic pancreatitis (a), mild dilatation of the main pancreatic duct (arrow) and side. Two of the following three criteria are required for the diagnosis 1: Pain consistent with acute pancreatitis) lipase / amylase. Imaging scans of your abdomen with. Acute onset of persistent, severe epigastric pain (i.e. Learn about the diagnosis, severity and complications of acute pancreatitis based on ct and mri findings.
from pt.wikidoc.org
Pain consistent with acute pancreatitis) lipase / amylase. Imaging scans of your abdomen with. The web page explains the 2012 revised atlanta. Acute pancreatitis is usually diagnosed in hospital, where you'll receive treatment and be monitored for any complications. In a patient with early chronic pancreatitis (a), mild dilatation of the main pancreatic duct (arrow) and side. Acute onset of persistent, severe epigastric pain (i.e. This can help identify a cause or rule out other problems. Ercp findings in chronic pancreatitis: Acute pancreatitis is a sudden and severe inflammation of the pancreas that causes abdominal pain, nausea, fever and jaundice. Learn about the diagnosis, severity and complications of acute pancreatitis based on ct and mri findings.
Acute pancreatitis CT wikidoc
Does A Chest X-Ray Show Pancreatitis Acute pancreatitis is usually diagnosed in hospital, where you'll receive treatment and be monitored for any complications. Pain consistent with acute pancreatitis) lipase / amylase. The web page explains the 2012 revised atlanta. Used to look for free gas under the diaphragm (pneumoperitoneum) in patients who present with epigastric tenderness. Acute pancreatitis is a sudden and severe inflammation of the pancreas that causes abdominal pain, nausea, fever and jaundice. Learn about the diagnosis, severity and complications of acute pancreatitis based on ct and mri findings. Acute pancreatitis is usually diagnosed in hospital, where you'll receive treatment and be monitored for any complications. Acute onset of persistent, severe epigastric pain (i.e. This can help identify a cause or rule out other problems. In a patient with early chronic pancreatitis (a), mild dilatation of the main pancreatic duct (arrow) and side. Two of the following three criteria are required for the diagnosis 1: Ercp findings in chronic pancreatitis: Imaging scans of your abdomen with.
From www.nih.gov
NIH Clinical Center provides one of the largest publicly available Does A Chest X-Ray Show Pancreatitis Imaging scans of your abdomen with. Acute onset of persistent, severe epigastric pain (i.e. This can help identify a cause or rule out other problems. Acute pancreatitis is usually diagnosed in hospital, where you'll receive treatment and be monitored for any complications. Pain consistent with acute pancreatitis) lipase / amylase. Learn about the diagnosis, severity and complications of acute pancreatitis. Does A Chest X-Ray Show Pancreatitis.
From casereports.bmj.com
Carcinoma pancreas and fibrocalcific pancreatic diabetes a dual Does A Chest X-Ray Show Pancreatitis Acute pancreatitis is a sudden and severe inflammation of the pancreas that causes abdominal pain, nausea, fever and jaundice. The web page explains the 2012 revised atlanta. Ercp findings in chronic pancreatitis: Acute onset of persistent, severe epigastric pain (i.e. Imaging scans of your abdomen with. Learn about the diagnosis, severity and complications of acute pancreatitis based on ct and. Does A Chest X-Ray Show Pancreatitis.
From www.cureus.com
Cureus Acute Pancreatitis in Mild COVID19 Infection Does A Chest X-Ray Show Pancreatitis Acute pancreatitis is usually diagnosed in hospital, where you'll receive treatment and be monitored for any complications. In a patient with early chronic pancreatitis (a), mild dilatation of the main pancreatic duct (arrow) and side. Pain consistent with acute pancreatitis) lipase / amylase. The web page explains the 2012 revised atlanta. Ercp findings in chronic pancreatitis: Learn about the diagnosis,. Does A Chest X-Ray Show Pancreatitis.
From pt.wikidoc.org
Acute pancreatitis CT wikidoc Does A Chest X-Ray Show Pancreatitis Pain consistent with acute pancreatitis) lipase / amylase. In a patient with early chronic pancreatitis (a), mild dilatation of the main pancreatic duct (arrow) and side. The web page explains the 2012 revised atlanta. Used to look for free gas under the diaphragm (pneumoperitoneum) in patients who present with epigastric tenderness. Imaging scans of your abdomen with. Learn about the. Does A Chest X-Ray Show Pancreatitis.
From www.thexraydoctor.co.uk
the xray doctor xrayoftheweek 13 can you pinpoint the site of pathology? Does A Chest X-Ray Show Pancreatitis Two of the following three criteria are required for the diagnosis 1: Acute pancreatitis is usually diagnosed in hospital, where you'll receive treatment and be monitored for any complications. This can help identify a cause or rule out other problems. Acute onset of persistent, severe epigastric pain (i.e. Pain consistent with acute pancreatitis) lipase / amylase. The web page explains. Does A Chest X-Ray Show Pancreatitis.
From www.primescholars.com
Small Cell Carcinoma of the Lung Presented as Acute Pancreatitis. Does A Chest X-Ray Show Pancreatitis This can help identify a cause or rule out other problems. Imaging scans of your abdomen with. Two of the following three criteria are required for the diagnosis 1: Acute pancreatitis is usually diagnosed in hospital, where you'll receive treatment and be monitored for any complications. The web page explains the 2012 revised atlanta. Pain consistent with acute pancreatitis) lipase. Does A Chest X-Ray Show Pancreatitis.
From www.wikidoc.org
Chronic pancreatitis MRI wikidoc Does A Chest X-Ray Show Pancreatitis Ercp findings in chronic pancreatitis: Learn about the diagnosis, severity and complications of acute pancreatitis based on ct and mri findings. In a patient with early chronic pancreatitis (a), mild dilatation of the main pancreatic duct (arrow) and side. Used to look for free gas under the diaphragm (pneumoperitoneum) in patients who present with epigastric tenderness. Acute pancreatitis is usually. Does A Chest X-Ray Show Pancreatitis.
From www.e7health.com
What Do Chest XRays Show? Does A Chest X-Ray Show Pancreatitis The web page explains the 2012 revised atlanta. Imaging scans of your abdomen with. Used to look for free gas under the diaphragm (pneumoperitoneum) in patients who present with epigastric tenderness. Learn about the diagnosis, severity and complications of acute pancreatitis based on ct and mri findings. Pain consistent with acute pancreatitis) lipase / amylase. Acute pancreatitis is a sudden. Does A Chest X-Ray Show Pancreatitis.
From www.alamy.com
Colored Xray showing an artificial implanted pancreas, a combination Does A Chest X-Ray Show Pancreatitis Acute pancreatitis is a sudden and severe inflammation of the pancreas that causes abdominal pain, nausea, fever and jaundice. In a patient with early chronic pancreatitis (a), mild dilatation of the main pancreatic duct (arrow) and side. This can help identify a cause or rule out other problems. Two of the following three criteria are required for the diagnosis 1:. Does A Chest X-Ray Show Pancreatitis.
From www.tpsearchtool.com
Chest X Ray Showing Bilateral Hilar Lymphadenopathy In A Patient With Does A Chest X-Ray Show Pancreatitis Acute pancreatitis is a sudden and severe inflammation of the pancreas that causes abdominal pain, nausea, fever and jaundice. Ercp findings in chronic pancreatitis: Acute pancreatitis is usually diagnosed in hospital, where you'll receive treatment and be monitored for any complications. In a patient with early chronic pancreatitis (a), mild dilatation of the main pancreatic duct (arrow) and side. Imaging. Does A Chest X-Ray Show Pancreatitis.
From www.slideserve.com
PPT An interesting case of Acute pancreatitis PowerPoint Presentation Does A Chest X-Ray Show Pancreatitis Learn about the diagnosis, severity and complications of acute pancreatitis based on ct and mri findings. In a patient with early chronic pancreatitis (a), mild dilatation of the main pancreatic duct (arrow) and side. Acute onset of persistent, severe epigastric pain (i.e. Ercp findings in chronic pancreatitis: Imaging scans of your abdomen with. The web page explains the 2012 revised. Does A Chest X-Ray Show Pancreatitis.
From www.ctisus.com
Pancreatic Cancer with Tumor Spread Pancreas Case Studies CTisus CT Does A Chest X-Ray Show Pancreatitis Used to look for free gas under the diaphragm (pneumoperitoneum) in patients who present with epigastric tenderness. Pain consistent with acute pancreatitis) lipase / amylase. Imaging scans of your abdomen with. Acute onset of persistent, severe epigastric pain (i.e. Ercp findings in chronic pancreatitis: Acute pancreatitis is a sudden and severe inflammation of the pancreas that causes abdominal pain, nausea,. Does A Chest X-Ray Show Pancreatitis.
From radiologykey.com
Acute Pancreatitis (AP) Radiology Key Does A Chest X-Ray Show Pancreatitis Learn about the diagnosis, severity and complications of acute pancreatitis based on ct and mri findings. In a patient with early chronic pancreatitis (a), mild dilatation of the main pancreatic duct (arrow) and side. Two of the following three criteria are required for the diagnosis 1: Imaging scans of your abdomen with. Used to look for free gas under the. Does A Chest X-Ray Show Pancreatitis.
From jmedicalcasereports.biomedcentral.com
Mediastinal pancreatic pseudocyst with isolated thoracic symptoms a Does A Chest X-Ray Show Pancreatitis The web page explains the 2012 revised atlanta. Learn about the diagnosis, severity and complications of acute pancreatitis based on ct and mri findings. Acute pancreatitis is a sudden and severe inflammation of the pancreas that causes abdominal pain, nausea, fever and jaundice. Pain consistent with acute pancreatitis) lipase / amylase. Used to look for free gas under the diaphragm. Does A Chest X-Ray Show Pancreatitis.
From www.ctisus.com
Pancreatic Cancer with Liver and Lung Metastases Pancreas Case Does A Chest X-Ray Show Pancreatitis Imaging scans of your abdomen with. Learn about the diagnosis, severity and complications of acute pancreatitis based on ct and mri findings. Pain consistent with acute pancreatitis) lipase / amylase. Two of the following three criteria are required for the diagnosis 1: Acute pancreatitis is a sudden and severe inflammation of the pancreas that causes abdominal pain, nausea, fever and. Does A Chest X-Ray Show Pancreatitis.
From teachmesurgery.com
Acute Pancreatitis Causes Investigations Management TeachMeSurgery Does A Chest X-Ray Show Pancreatitis This can help identify a cause or rule out other problems. Learn about the diagnosis, severity and complications of acute pancreatitis based on ct and mri findings. The web page explains the 2012 revised atlanta. Pain consistent with acute pancreatitis) lipase / amylase. Imaging scans of your abdomen with. Acute pancreatitis is usually diagnosed in hospital, where you'll receive treatment. Does A Chest X-Ray Show Pancreatitis.
From www.vrogue.co
Chronic Pancreatitis Cp Radiology Key vrogue.co Does A Chest X-Ray Show Pancreatitis Acute pancreatitis is a sudden and severe inflammation of the pancreas that causes abdominal pain, nausea, fever and jaundice. Imaging scans of your abdomen with. Two of the following three criteria are required for the diagnosis 1: In a patient with early chronic pancreatitis (a), mild dilatation of the main pancreatic duct (arrow) and side. This can help identify a. Does A Chest X-Ray Show Pancreatitis.
From ar.inspiredpencil.com
Chronic Pancreatitis X Ray Does A Chest X-Ray Show Pancreatitis Imaging scans of your abdomen with. Two of the following three criteria are required for the diagnosis 1: This can help identify a cause or rule out other problems. Learn about the diagnosis, severity and complications of acute pancreatitis based on ct and mri findings. Used to look for free gas under the diaphragm (pneumoperitoneum) in patients who present with. Does A Chest X-Ray Show Pancreatitis.
From www.intechopen.com
Acute and Chronic Pancreatitis — Complications IntechOpen Does A Chest X-Ray Show Pancreatitis Learn about the diagnosis, severity and complications of acute pancreatitis based on ct and mri findings. Two of the following three criteria are required for the diagnosis 1: In a patient with early chronic pancreatitis (a), mild dilatation of the main pancreatic duct (arrow) and side. The web page explains the 2012 revised atlanta. This can help identify a cause. Does A Chest X-Ray Show Pancreatitis.
From onlinelibrary.wiley.com
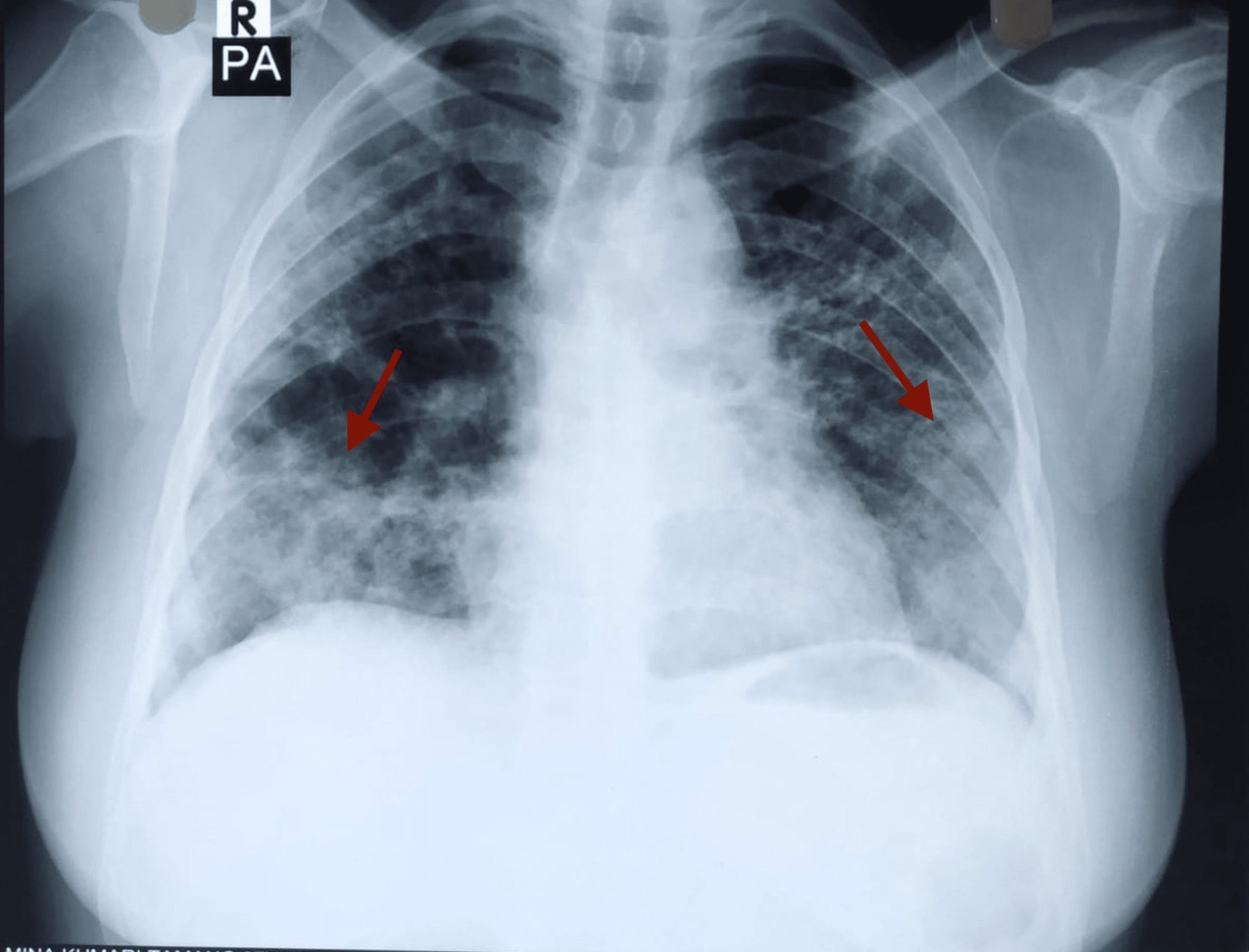
Thoracic complications of pancreatitis Kumar 2019 JGH Open Does A Chest X-Ray Show Pancreatitis In a patient with early chronic pancreatitis (a), mild dilatation of the main pancreatic duct (arrow) and side. Acute pancreatitis is a sudden and severe inflammation of the pancreas that causes abdominal pain, nausea, fever and jaundice. Learn about the diagnosis, severity and complications of acute pancreatitis based on ct and mri findings. Used to look for free gas under. Does A Chest X-Ray Show Pancreatitis.
From www.mspca.org
The Role of Imaging in Diagnosing Pancreatitis MSPCAAngell Does A Chest X-Ray Show Pancreatitis Acute onset of persistent, severe epigastric pain (i.e. Learn about the diagnosis, severity and complications of acute pancreatitis based on ct and mri findings. This can help identify a cause or rule out other problems. Two of the following three criteria are required for the diagnosis 1: Ercp findings in chronic pancreatitis: Imaging scans of your abdomen with. Used to. Does A Chest X-Ray Show Pancreatitis.
From www.learningradiology.com
Learning Radiology Imaging Findings in Chronic Pancreatitis Does A Chest X-Ray Show Pancreatitis In a patient with early chronic pancreatitis (a), mild dilatation of the main pancreatic duct (arrow) and side. Used to look for free gas under the diaphragm (pneumoperitoneum) in patients who present with epigastric tenderness. Acute pancreatitis is usually diagnosed in hospital, where you'll receive treatment and be monitored for any complications. Two of the following three criteria are required. Does A Chest X-Ray Show Pancreatitis.
From giowtxyuu.blob.core.windows.net
What Does A Chest Xray Show Up Nhs at Joseph Galey blog Does A Chest X-Ray Show Pancreatitis Acute pancreatitis is usually diagnosed in hospital, where you'll receive treatment and be monitored for any complications. Acute onset of persistent, severe epigastric pain (i.e. Pain consistent with acute pancreatitis) lipase / amylase. Acute pancreatitis is a sudden and severe inflammation of the pancreas that causes abdominal pain, nausea, fever and jaundice. Learn about the diagnosis, severity and complications of. Does A Chest X-Ray Show Pancreatitis.
From fineartamerica.com
Human pancreas, Xray artwork Photograph by Science Photo Library Does A Chest X-Ray Show Pancreatitis In a patient with early chronic pancreatitis (a), mild dilatation of the main pancreatic duct (arrow) and side. Pain consistent with acute pancreatitis) lipase / amylase. Ercp findings in chronic pancreatitis: Imaging scans of your abdomen with. Two of the following three criteria are required for the diagnosis 1: Acute pancreatitis is usually diagnosed in hospital, where you'll receive treatment. Does A Chest X-Ray Show Pancreatitis.
From surgicomania.blogspot.com
Acute Pancreatitis and CA pancreas Does A Chest X-Ray Show Pancreatitis The web page explains the 2012 revised atlanta. In a patient with early chronic pancreatitis (a), mild dilatation of the main pancreatic duct (arrow) and side. Acute pancreatitis is usually diagnosed in hospital, where you'll receive treatment and be monitored for any complications. Ercp findings in chronic pancreatitis: Imaging scans of your abdomen with. Two of the following three criteria. Does A Chest X-Ray Show Pancreatitis.
From ar.inspiredpencil.com
Chronic Pancreatitis X Ray Does A Chest X-Ray Show Pancreatitis In a patient with early chronic pancreatitis (a), mild dilatation of the main pancreatic duct (arrow) and side. Used to look for free gas under the diaphragm (pneumoperitoneum) in patients who present with epigastric tenderness. Pain consistent with acute pancreatitis) lipase / amylase. Acute pancreatitis is a sudden and severe inflammation of the pancreas that causes abdominal pain, nausea, fever. Does A Chest X-Ray Show Pancreatitis.
From www.researchgate.net
Investigation of ARDS chest Xray in studies of chronic pancreatitis D Does A Chest X-Ray Show Pancreatitis Ercp findings in chronic pancreatitis: Learn about the diagnosis, severity and complications of acute pancreatitis based on ct and mri findings. Used to look for free gas under the diaphragm (pneumoperitoneum) in patients who present with epigastric tenderness. Acute onset of persistent, severe epigastric pain (i.e. Acute pancreatitis is usually diagnosed in hospital, where you'll receive treatment and be monitored. Does A Chest X-Ray Show Pancreatitis.
From www.authorea.com
Simultaneous Occurrence of Perforated Peptic Ulcer and Acute Does A Chest X-Ray Show Pancreatitis Acute onset of persistent, severe epigastric pain (i.e. The web page explains the 2012 revised atlanta. Learn about the diagnosis, severity and complications of acute pancreatitis based on ct and mri findings. Two of the following three criteria are required for the diagnosis 1: Pain consistent with acute pancreatitis) lipase / amylase. Imaging scans of your abdomen with. Acute pancreatitis. Does A Chest X-Ray Show Pancreatitis.
From pt.wikidoc.org
Acute pancreatitis CT wikidoc Does A Chest X-Ray Show Pancreatitis Acute pancreatitis is usually diagnosed in hospital, where you'll receive treatment and be monitored for any complications. This can help identify a cause or rule out other problems. Pain consistent with acute pancreatitis) lipase / amylase. Imaging scans of your abdomen with. The web page explains the 2012 revised atlanta. Learn about the diagnosis, severity and complications of acute pancreatitis. Does A Chest X-Ray Show Pancreatitis.
From www.stepwards.com
Interpreting An Abdominal XRay (KUB) Stepwards Does A Chest X-Ray Show Pancreatitis The web page explains the 2012 revised atlanta. Acute pancreatitis is a sudden and severe inflammation of the pancreas that causes abdominal pain, nausea, fever and jaundice. Pain consistent with acute pancreatitis) lipase / amylase. This can help identify a cause or rule out other problems. Acute pancreatitis is usually diagnosed in hospital, where you'll receive treatment and be monitored. Does A Chest X-Ray Show Pancreatitis.
From www.sciencephoto.com
Pancreas, normal xray Stock Image C044/8828 Science Photo Library Does A Chest X-Ray Show Pancreatitis Ercp findings in chronic pancreatitis: In a patient with early chronic pancreatitis (a), mild dilatation of the main pancreatic duct (arrow) and side. Acute pancreatitis is a sudden and severe inflammation of the pancreas that causes abdominal pain, nausea, fever and jaundice. Acute pancreatitis is usually diagnosed in hospital, where you'll receive treatment and be monitored for any complications. Learn. Does A Chest X-Ray Show Pancreatitis.
From www.cureus.com
Cureus Acute Pancreatitis and Prognosticating Its Severity in Young Does A Chest X-Ray Show Pancreatitis Used to look for free gas under the diaphragm (pneumoperitoneum) in patients who present with epigastric tenderness. Learn about the diagnosis, severity and complications of acute pancreatitis based on ct and mri findings. Imaging scans of your abdomen with. Ercp findings in chronic pancreatitis: This can help identify a cause or rule out other problems. In a patient with early. Does A Chest X-Ray Show Pancreatitis.
From www.svuhradiology.ie
Chronic pancreatitis Radiology at St. Vincent's University Hospital Does A Chest X-Ray Show Pancreatitis The web page explains the 2012 revised atlanta. Pain consistent with acute pancreatitis) lipase / amylase. Ercp findings in chronic pancreatitis: Used to look for free gas under the diaphragm (pneumoperitoneum) in patients who present with epigastric tenderness. Acute pancreatitis is usually diagnosed in hospital, where you'll receive treatment and be monitored for any complications. Two of the following three. Does A Chest X-Ray Show Pancreatitis.
From www.cureus.com
Acute Pancreatitis, Shock, and Multiple Organ Dysfunction Syndrome in Does A Chest X-Ray Show Pancreatitis Acute pancreatitis is usually diagnosed in hospital, where you'll receive treatment and be monitored for any complications. Acute pancreatitis is a sudden and severe inflammation of the pancreas that causes abdominal pain, nausea, fever and jaundice. This can help identify a cause or rule out other problems. Two of the following three criteria are required for the diagnosis 1: In. Does A Chest X-Ray Show Pancreatitis.
From www.wikidoc.org
Hereditary pancreatitis x ray wikidoc Does A Chest X-Ray Show Pancreatitis Imaging scans of your abdomen with. Learn about the diagnosis, severity and complications of acute pancreatitis based on ct and mri findings. The web page explains the 2012 revised atlanta. In a patient with early chronic pancreatitis (a), mild dilatation of the main pancreatic duct (arrow) and side. Two of the following three criteria are required for the diagnosis 1:. Does A Chest X-Ray Show Pancreatitis.