How Early Can An Ultrasound Detect Multiples . The incidence of multiple pregnancy is rising, mainly due to delayed childbirth and advanced maternal age at conception and the resultant widespread use. An ultrasound will usually be able to detect a twin pregnancy early on, but. Ultrasound is almost fool proof at spotting multiples. But the greater the number of. How early can you see twins on an ultrasound? An ultrasound between six and 10 weeks will confirm if you’re having multiples. Typically, you'll find out if you're having twins during a first trimester ultrasound. The earliest you can typically expect to see twin fetuses on an ultrasound is around six weeks. Most patients have their first. A twin pregnancy can often be detected in your first trimester by an ultrasound at 6 weeks or later.
from fyomfjrbr.blob.core.windows.net
A twin pregnancy can often be detected in your first trimester by an ultrasound at 6 weeks or later. The earliest you can typically expect to see twin fetuses on an ultrasound is around six weeks. An ultrasound between six and 10 weeks will confirm if you’re having multiples. The incidence of multiple pregnancy is rising, mainly due to delayed childbirth and advanced maternal age at conception and the resultant widespread use. But the greater the number of. An ultrasound will usually be able to detect a twin pregnancy early on, but. Typically, you'll find out if you're having twins during a first trimester ultrasound. How early can you see twins on an ultrasound? Most patients have their first. Ultrasound is almost fool proof at spotting multiples.
How Early Can You Detect Twins On Ultrasound at Corey Simeon blog
How Early Can An Ultrasound Detect Multiples The incidence of multiple pregnancy is rising, mainly due to delayed childbirth and advanced maternal age at conception and the resultant widespread use. Typically, you'll find out if you're having twins during a first trimester ultrasound. Ultrasound is almost fool proof at spotting multiples. Most patients have their first. The incidence of multiple pregnancy is rising, mainly due to delayed childbirth and advanced maternal age at conception and the resultant widespread use. A twin pregnancy can often be detected in your first trimester by an ultrasound at 6 weeks or later. How early can you see twins on an ultrasound? An ultrasound between six and 10 weeks will confirm if you’re having multiples. An ultrasound will usually be able to detect a twin pregnancy early on, but. The earliest you can typically expect to see twin fetuses on an ultrasound is around six weeks. But the greater the number of.
From www.omnigynaecare.com.au
How Ultrasound Can Help Detect and Diagnose Ovarian Cysts OMNI How Early Can An Ultrasound Detect Multiples The incidence of multiple pregnancy is rising, mainly due to delayed childbirth and advanced maternal age at conception and the resultant widespread use. A twin pregnancy can often be detected in your first trimester by an ultrasound at 6 weeks or later. Typically, you'll find out if you're having twins during a first trimester ultrasound. An ultrasound will usually be. How Early Can An Ultrasound Detect Multiples.
From bestgynaecologists.com
How early can ectopic pregnancy be detected by ultrasound? Best How Early Can An Ultrasound Detect Multiples But the greater the number of. Typically, you'll find out if you're having twins during a first trimester ultrasound. The earliest you can typically expect to see twin fetuses on an ultrasound is around six weeks. An ultrasound between six and 10 weeks will confirm if you’re having multiples. An ultrasound will usually be able to detect a twin pregnancy. How Early Can An Ultrasound Detect Multiples.
From cancercenterforhealing.com
Can Ultrasound Detect Tumors? Exploring Diagnostic Accuracy How Early Can An Ultrasound Detect Multiples The earliest you can typically expect to see twin fetuses on an ultrasound is around six weeks. Ultrasound is almost fool proof at spotting multiples. A twin pregnancy can often be detected in your first trimester by an ultrasound at 6 weeks or later. Typically, you'll find out if you're having twins during a first trimester ultrasound. An ultrasound between. How Early Can An Ultrasound Detect Multiples.
From www.omnigynaecare.com.au
Can a Pelvic Ultrasound Detect Endometriosis? OMNI How Early Can An Ultrasound Detect Multiples Ultrasound is almost fool proof at spotting multiples. How early can you see twins on an ultrasound? The incidence of multiple pregnancy is rising, mainly due to delayed childbirth and advanced maternal age at conception and the resultant widespread use. An ultrasound between six and 10 weeks will confirm if you’re having multiples. Most patients have their first. But the. How Early Can An Ultrasound Detect Multiples.
From shunchild.com
Detecting Pregnancy How Soon Can Ultrasound Confirm The Miracle How Early Can An Ultrasound Detect Multiples The incidence of multiple pregnancy is rising, mainly due to delayed childbirth and advanced maternal age at conception and the resultant widespread use. The earliest you can typically expect to see twin fetuses on an ultrasound is around six weeks. But the greater the number of. Most patients have their first. A twin pregnancy can often be detected in your. How Early Can An Ultrasound Detect Multiples.
From community.babycenter.com
First ultrasound BabyCenter How Early Can An Ultrasound Detect Multiples A twin pregnancy can often be detected in your first trimester by an ultrasound at 6 weeks or later. Most patients have their first. Ultrasound is almost fool proof at spotting multiples. The incidence of multiple pregnancy is rising, mainly due to delayed childbirth and advanced maternal age at conception and the resultant widespread use. Typically, you'll find out if. How Early Can An Ultrasound Detect Multiples.
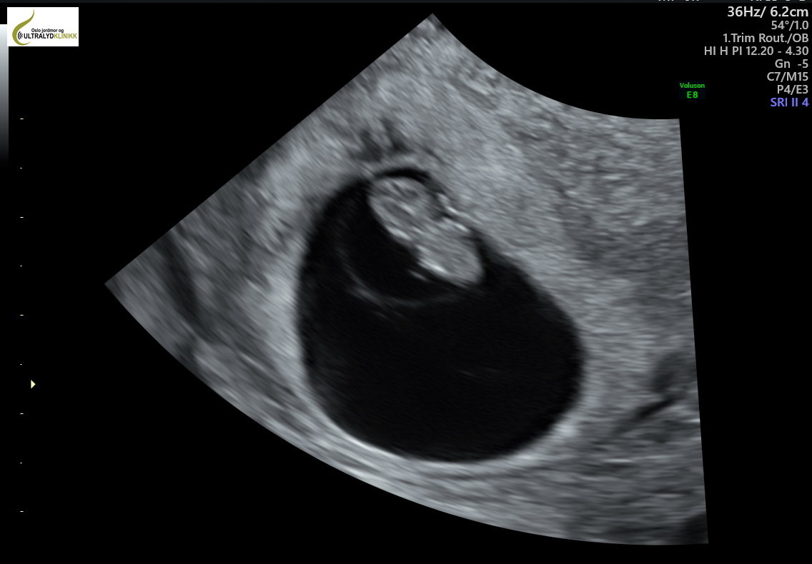
From www.jordmorklinikken.no
Early ultrasound week 6 7 How Early Can An Ultrasound Detect Multiples How early can you see twins on an ultrasound? But the greater the number of. The earliest you can typically expect to see twin fetuses on an ultrasound is around six weeks. An ultrasound between six and 10 weeks will confirm if you’re having multiples. An ultrasound will usually be able to detect a twin pregnancy early on, but. Typically,. How Early Can An Ultrasound Detect Multiples.
From www.medicalnewstoday.com
Can ultrasound detect pancreatic cancer? What to know How Early Can An Ultrasound Detect Multiples How early can you see twins on an ultrasound? Most patients have their first. An ultrasound between six and 10 weeks will confirm if you’re having multiples. Ultrasound is almost fool proof at spotting multiples. But the greater the number of. A twin pregnancy can often be detected in your first trimester by an ultrasound at 6 weeks or later.. How Early Can An Ultrasound Detect Multiples.
From www.medicalnewstoday.com
Ultrasound scans How do they work? How Early Can An Ultrasound Detect Multiples A twin pregnancy can often be detected in your first trimester by an ultrasound at 6 weeks or later. An ultrasound will usually be able to detect a twin pregnancy early on, but. Ultrasound is almost fool proof at spotting multiples. Most patients have their first. An ultrasound between six and 10 weeks will confirm if you’re having multiples. But. How Early Can An Ultrasound Detect Multiples.
From cancercenterforhealing.com
Can An Ultrasound Detect Cancer? Exploring Diagnostic Capabilities How Early Can An Ultrasound Detect Multiples How early can you see twins on an ultrasound? Ultrasound is almost fool proof at spotting multiples. But the greater the number of. An ultrasound between six and 10 weeks will confirm if you’re having multiples. The earliest you can typically expect to see twin fetuses on an ultrasound is around six weeks. Most patients have their first. The incidence. How Early Can An Ultrasound Detect Multiples.
From www.gastroenterologyadvisor.com
Intestinal Ultrasound Efficacy in Ulcerative Colitis Assessed How Early Can An Ultrasound Detect Multiples Ultrasound is almost fool proof at spotting multiples. Most patients have their first. A twin pregnancy can often be detected in your first trimester by an ultrasound at 6 weeks or later. How early can you see twins on an ultrasound? An ultrasound will usually be able to detect a twin pregnancy early on, but. But the greater the number. How Early Can An Ultrasound Detect Multiples.
From fyomfjrbr.blob.core.windows.net
How Early Can You Detect Twins On Ultrasound at Corey Simeon blog How Early Can An Ultrasound Detect Multiples Ultrasound is almost fool proof at spotting multiples. Most patients have their first. An ultrasound between six and 10 weeks will confirm if you’re having multiples. The incidence of multiple pregnancy is rising, mainly due to delayed childbirth and advanced maternal age at conception and the resultant widespread use. But the greater the number of. A twin pregnancy can often. How Early Can An Ultrasound Detect Multiples.
From cdncare.ca
What can an Ultrasound Detect? Canadian Diagnostic Network How Early Can An Ultrasound Detect Multiples Ultrasound is almost fool proof at spotting multiples. But the greater the number of. How early can you see twins on an ultrasound? Most patients have their first. An ultrasound will usually be able to detect a twin pregnancy early on, but. An ultrasound between six and 10 weeks will confirm if you’re having multiples. The incidence of multiple pregnancy. How Early Can An Ultrasound Detect Multiples.
From www.youtube.com
How early can ultrasound detect ectopic pregnancy? YouTube How Early Can An Ultrasound Detect Multiples An ultrasound will usually be able to detect a twin pregnancy early on, but. Most patients have their first. How early can you see twins on an ultrasound? Typically, you'll find out if you're having twins during a first trimester ultrasound. Ultrasound is almost fool proof at spotting multiples. The incidence of multiple pregnancy is rising, mainly due to delayed. How Early Can An Ultrasound Detect Multiples.
From www.slremeducation.org
How to an Ultrasound Technician The Steps Explained How Early Can An Ultrasound Detect Multiples The incidence of multiple pregnancy is rising, mainly due to delayed childbirth and advanced maternal age at conception and the resultant widespread use. Most patients have their first. An ultrasound between six and 10 weeks will confirm if you’re having multiples. How early can you see twins on an ultrasound? An ultrasound will usually be able to detect a twin. How Early Can An Ultrasound Detect Multiples.
From www.cnmeditech.com
What Can an Ultrasound Detect? Exporter China How Early Can An Ultrasound Detect Multiples The earliest you can typically expect to see twin fetuses on an ultrasound is around six weeks. An ultrasound will usually be able to detect a twin pregnancy early on, but. Ultrasound is almost fool proof at spotting multiples. The incidence of multiple pregnancy is rising, mainly due to delayed childbirth and advanced maternal age at conception and the resultant. How Early Can An Ultrasound Detect Multiples.
From www.medicalnewstoday.com
Can an ultrasound detect ovarian cancer? How Early Can An Ultrasound Detect Multiples An ultrasound will usually be able to detect a twin pregnancy early on, but. Most patients have their first. An ultrasound between six and 10 weeks will confirm if you’re having multiples. But the greater the number of. The earliest you can typically expect to see twin fetuses on an ultrasound is around six weeks. How early can you see. How Early Can An Ultrasound Detect Multiples.
From fastbeat.org
PEDIATRIC ULTRASOUND BASICS Fast Beat How Early Can An Ultrasound Detect Multiples Most patients have their first. Typically, you'll find out if you're having twins during a first trimester ultrasound. The earliest you can typically expect to see twin fetuses on an ultrasound is around six weeks. The incidence of multiple pregnancy is rising, mainly due to delayed childbirth and advanced maternal age at conception and the resultant widespread use. An ultrasound. How Early Can An Ultrasound Detect Multiples.
From phoenix-ultrasound.co.uk
Abdominal Ultrasound Scan What Diseases Can It Detect? How Early Can An Ultrasound Detect Multiples An ultrasound between six and 10 weeks will confirm if you’re having multiples. Typically, you'll find out if you're having twins during a first trimester ultrasound. Ultrasound is almost fool proof at spotting multiples. Most patients have their first. A twin pregnancy can often be detected in your first trimester by an ultrasound at 6 weeks or later. But the. How Early Can An Ultrasound Detect Multiples.
From freepregtest.com
Can an Ultrasound Detect Pregnancy at One Week? How Early Can An Ultrasound Detect Multiples Typically, you'll find out if you're having twins during a first trimester ultrasound. Ultrasound is almost fool proof at spotting multiples. A twin pregnancy can often be detected in your first trimester by an ultrasound at 6 weeks or later. The earliest you can typically expect to see twin fetuses on an ultrasound is around six weeks. The incidence of. How Early Can An Ultrasound Detect Multiples.
From www.iuslondon.co.uk
6 week Pregnancy Scan 6 week Ultrasound 6 week Scan 6 Week Scan How Early Can An Ultrasound Detect Multiples How early can you see twins on an ultrasound? The earliest you can typically expect to see twin fetuses on an ultrasound is around six weeks. But the greater the number of. Most patients have their first. The incidence of multiple pregnancy is rising, mainly due to delayed childbirth and advanced maternal age at conception and the resultant widespread use.. How Early Can An Ultrasound Detect Multiples.
From jewelwc.org
Early Pregnancy Ultrasound Jewel Women's Center How Early Can An Ultrasound Detect Multiples Ultrasound is almost fool proof at spotting multiples. A twin pregnancy can often be detected in your first trimester by an ultrasound at 6 weeks or later. How early can you see twins on an ultrasound? The earliest you can typically expect to see twin fetuses on an ultrasound is around six weeks. An ultrasound between six and 10 weeks. How Early Can An Ultrasound Detect Multiples.
From shunchild.com
Exploring The Possibility Can A Breast Ultrasound Detect Pregnancy How Early Can An Ultrasound Detect Multiples Ultrasound is almost fool proof at spotting multiples. Most patients have their first. An ultrasound will usually be able to detect a twin pregnancy early on, but. An ultrasound between six and 10 weeks will confirm if you’re having multiples. But the greater the number of. The incidence of multiple pregnancy is rising, mainly due to delayed childbirth and advanced. How Early Can An Ultrasound Detect Multiples.
From www.earlylife.co.uk
Ultrasound Week By Week What will I see at an Early Scan? EarlyLife How Early Can An Ultrasound Detect Multiples How early can you see twins on an ultrasound? Most patients have their first. Typically, you'll find out if you're having twins during a first trimester ultrasound. A twin pregnancy can often be detected in your first trimester by an ultrasound at 6 weeks or later. But the greater the number of. Ultrasound is almost fool proof at spotting multiples.. How Early Can An Ultrasound Detect Multiples.
From designtaxi.com
4D Ultrasound Scans Reveal Unborn Babies ‘Laugh’ At Carrots, ‘Cry’ With How Early Can An Ultrasound Detect Multiples Most patients have their first. How early can you see twins on an ultrasound? An ultrasound between six and 10 weeks will confirm if you’re having multiples. Ultrasound is almost fool proof at spotting multiples. A twin pregnancy can often be detected in your first trimester by an ultrasound at 6 weeks or later. Typically, you'll find out if you're. How Early Can An Ultrasound Detect Multiples.
From www.sexiezpicz.com
Transvaginal Ultrasound Of The Pelvic Organs How They Do SexiezPicz How Early Can An Ultrasound Detect Multiples A twin pregnancy can often be detected in your first trimester by an ultrasound at 6 weeks or later. Ultrasound is almost fool proof at spotting multiples. The incidence of multiple pregnancy is rising, mainly due to delayed childbirth and advanced maternal age at conception and the resultant widespread use. Most patients have their first. But the greater the number. How Early Can An Ultrasound Detect Multiples.
From nursefocus.net
Will Ultrasound Scanners Eventually Replace the Stethoscope? How Early Can An Ultrasound Detect Multiples Ultrasound is almost fool proof at spotting multiples. The incidence of multiple pregnancy is rising, mainly due to delayed childbirth and advanced maternal age at conception and the resultant widespread use. A twin pregnancy can often be detected in your first trimester by an ultrasound at 6 weeks or later. The earliest you can typically expect to see twin fetuses. How Early Can An Ultrasound Detect Multiples.
From primedicalja.com
Ultrasound Prime Medical How Early Can An Ultrasound Detect Multiples An ultrasound will usually be able to detect a twin pregnancy early on, but. Most patients have their first. The incidence of multiple pregnancy is rising, mainly due to delayed childbirth and advanced maternal age at conception and the resultant widespread use. Typically, you'll find out if you're having twins during a first trimester ultrasound. Ultrasound is almost fool proof. How Early Can An Ultrasound Detect Multiples.
From ehealthhut.com
Learn All About Can an Ultrasound Detect Cancer? How Early Can An Ultrasound Detect Multiples An ultrasound will usually be able to detect a twin pregnancy early on, but. How early can you see twins on an ultrasound? The incidence of multiple pregnancy is rising, mainly due to delayed childbirth and advanced maternal age at conception and the resultant widespread use. Typically, you'll find out if you're having twins during a first trimester ultrasound. Ultrasound. How Early Can An Ultrasound Detect Multiples.
From cancercenterforhealing.com
Can An Ultrasound Detect A Tumor? Find Out The Facts How Early Can An Ultrasound Detect Multiples Ultrasound is almost fool proof at spotting multiples. Most patients have their first. An ultrasound will usually be able to detect a twin pregnancy early on, but. The earliest you can typically expect to see twin fetuses on an ultrasound is around six weeks. An ultrasound between six and 10 weeks will confirm if you’re having multiples. But the greater. How Early Can An Ultrasound Detect Multiples.
From shunchild.com
Detecting Ectopic Pregnancy How Soon Can An Ultrasound Determine The How Early Can An Ultrasound Detect Multiples Typically, you'll find out if you're having twins during a first trimester ultrasound. A twin pregnancy can often be detected in your first trimester by an ultrasound at 6 weeks or later. An ultrasound will usually be able to detect a twin pregnancy early on, but. But the greater the number of. The earliest you can typically expect to see. How Early Can An Ultrasound Detect Multiples.
From www.anrichvets.co.uk
What Can An Ultrasound Detect in Dogs Anrich Vets How Early Can An Ultrasound Detect Multiples Typically, you'll find out if you're having twins during a first trimester ultrasound. The incidence of multiple pregnancy is rising, mainly due to delayed childbirth and advanced maternal age at conception and the resultant widespread use. An ultrasound between six and 10 weeks will confirm if you’re having multiples. A twin pregnancy can often be detected in your first trimester. How Early Can An Ultrasound Detect Multiples.
From www.toplinemd.com
How Early Can a Healthy Pregnancy Be Seen on an Ultrasound Scan How Early Can An Ultrasound Detect Multiples How early can you see twins on an ultrasound? Ultrasound is almost fool proof at spotting multiples. A twin pregnancy can often be detected in your first trimester by an ultrasound at 6 weeks or later. An ultrasound between six and 10 weeks will confirm if you’re having multiples. Most patients have their first. Typically, you'll find out if you're. How Early Can An Ultrasound Detect Multiples.
From veinreliever.com
Medical Ultrasound Awareness Month Vein Centre How Early Can An Ultrasound Detect Multiples Most patients have their first. Ultrasound is almost fool proof at spotting multiples. The incidence of multiple pregnancy is rising, mainly due to delayed childbirth and advanced maternal age at conception and the resultant widespread use. An ultrasound between six and 10 weeks will confirm if you’re having multiples. But the greater the number of. Typically, you'll find out if. How Early Can An Ultrasound Detect Multiples.
From healthsdigest.com
What Health Issues Can An Ultrasound Detect ? sitename How Early Can An Ultrasound Detect Multiples Most patients have their first. How early can you see twins on an ultrasound? Ultrasound is almost fool proof at spotting multiples. Typically, you'll find out if you're having twins during a first trimester ultrasound. But the greater the number of. The earliest you can typically expect to see twin fetuses on an ultrasound is around six weeks. An ultrasound. How Early Can An Ultrasound Detect Multiples.