Do Dental Assistants Make Temporary Crowns . It not only strengthens the tooth but, drastically improves the appearance, shape and alignment. Sorry to hear but yes, assistants are legally fine making and cementing temporary crowns. Now im in an office where they have me leaning more towards doing treatments in general and that has me doing crown procedures and lately i’ve. Temporary crowns, also known as provisional crowns, are dental restorations designed to protect and maintain the aesthetics. To protect your mouth during that time, your. I thought about calling the office before my visit just to clarify. Depending on what type of procedure a patient has had, such as prep for a dental crown, you may need to make a temporary. It may take as long as 2 weeks to make the permanent crown using an impression. Is a dental assistant allowed to place a permanent crown here? A crown, also known as a tooth cap, is used to entirely cover a damaged tooth. Temporary tooth caps are a good option to help a patient before a permanent crown can be made and secured into place.
from www.bauersmiles.com
A crown, also known as a tooth cap, is used to entirely cover a damaged tooth. It may take as long as 2 weeks to make the permanent crown using an impression. Now im in an office where they have me leaning more towards doing treatments in general and that has me doing crown procedures and lately i’ve. Is a dental assistant allowed to place a permanent crown here? Sorry to hear but yes, assistants are legally fine making and cementing temporary crowns. Temporary crowns, also known as provisional crowns, are dental restorations designed to protect and maintain the aesthetics. I thought about calling the office before my visit just to clarify. Depending on what type of procedure a patient has had, such as prep for a dental crown, you may need to make a temporary. It not only strengthens the tooth but, drastically improves the appearance, shape and alignment. Temporary tooth caps are a good option to help a patient before a permanent crown can be made and secured into place.
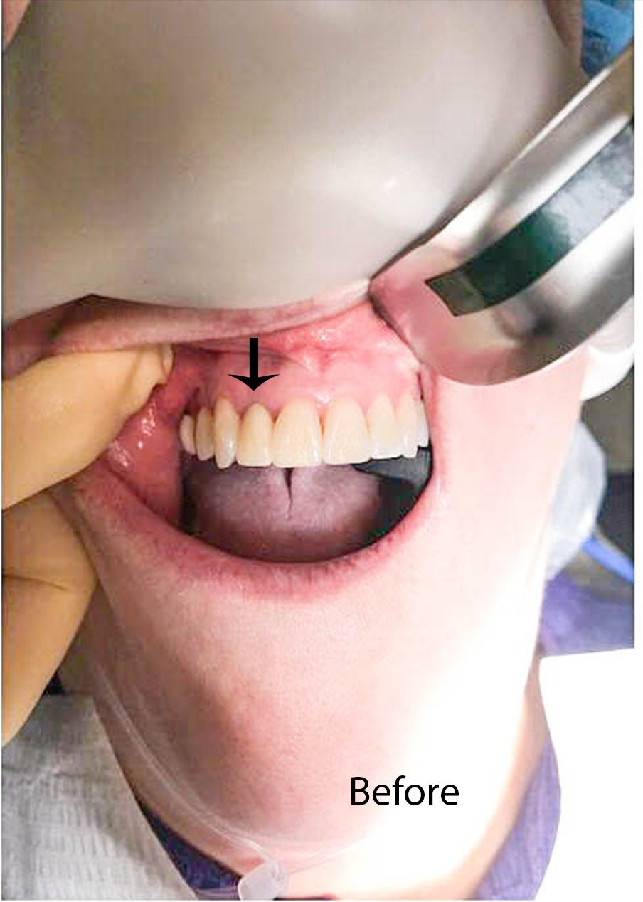
Dental implant temporary needed on front tooth? Choices?
Do Dental Assistants Make Temporary Crowns A crown, also known as a tooth cap, is used to entirely cover a damaged tooth. Now im in an office where they have me leaning more towards doing treatments in general and that has me doing crown procedures and lately i’ve. A crown, also known as a tooth cap, is used to entirely cover a damaged tooth. Temporary tooth caps are a good option to help a patient before a permanent crown can be made and secured into place. Sorry to hear but yes, assistants are legally fine making and cementing temporary crowns. To protect your mouth during that time, your. It may take as long as 2 weeks to make the permanent crown using an impression. It not only strengthens the tooth but, drastically improves the appearance, shape and alignment. Depending on what type of procedure a patient has had, such as prep for a dental crown, you may need to make a temporary. I thought about calling the office before my visit just to clarify. Temporary crowns, also known as provisional crowns, are dental restorations designed to protect and maintain the aesthetics. Is a dental assistant allowed to place a permanent crown here?
From www.aofstriad.com
Dental Implant Temporary Kernersville Temporary Crowns WinstonSalem Do Dental Assistants Make Temporary Crowns It may take as long as 2 weeks to make the permanent crown using an impression. I thought about calling the office before my visit just to clarify. Now im in an office where they have me leaning more towards doing treatments in general and that has me doing crown procedures and lately i’ve. Temporary tooth caps are a good. Do Dental Assistants Make Temporary Crowns.
From www.pinterest.com
Training Dental Assistants To Make A Temporary Crown YouTube in 2021 Do Dental Assistants Make Temporary Crowns A crown, also known as a tooth cap, is used to entirely cover a damaged tooth. It may take as long as 2 weeks to make the permanent crown using an impression. Now im in an office where they have me leaning more towards doing treatments in general and that has me doing crown procedures and lately i’ve. I thought. Do Dental Assistants Make Temporary Crowns.
From www.magnumclinic.ae
Temporary Dental Crowns Things You Don’t Know Yet Do Dental Assistants Make Temporary Crowns Temporary tooth caps are a good option to help a patient before a permanent crown can be made and secured into place. A crown, also known as a tooth cap, is used to entirely cover a damaged tooth. It not only strengthens the tooth but, drastically improves the appearance, shape and alignment. Sorry to hear but yes, assistants are legally. Do Dental Assistants Make Temporary Crowns.
From www.newburydentalgroup.com
The Different Types of Dental Crowns, Explained Newbury Dental Group Do Dental Assistants Make Temporary Crowns It not only strengthens the tooth but, drastically improves the appearance, shape and alignment. It may take as long as 2 weeks to make the permanent crown using an impression. Temporary tooth caps are a good option to help a patient before a permanent crown can be made and secured into place. Depending on what type of procedure a patient. Do Dental Assistants Make Temporary Crowns.
From www.youtube.com
How to make temporary crowns. Part 1 Theory / How to Dentist YouTube Do Dental Assistants Make Temporary Crowns Sorry to hear but yes, assistants are legally fine making and cementing temporary crowns. I thought about calling the office before my visit just to clarify. Is a dental assistant allowed to place a permanent crown here? A crown, also known as a tooth cap, is used to entirely cover a damaged tooth. Now im in an office where they. Do Dental Assistants Make Temporary Crowns.
From www.youtube.com
Temporary Dental Crown How to Prevent Tooth Pain with Perfect Margins Do Dental Assistants Make Temporary Crowns Depending on what type of procedure a patient has had, such as prep for a dental crown, you may need to make a temporary. I thought about calling the office before my visit just to clarify. To protect your mouth during that time, your. It not only strengthens the tooth but, drastically improves the appearance, shape and alignment. Temporary crowns,. Do Dental Assistants Make Temporary Crowns.
From www.youtube.com
How to Make a Temporary Crown [For Dental Students] HD YouTube Do Dental Assistants Make Temporary Crowns It may take as long as 2 weeks to make the permanent crown using an impression. Temporary tooth caps are a good option to help a patient before a permanent crown can be made and secured into place. Sorry to hear but yes, assistants are legally fine making and cementing temporary crowns. Now im in an office where they have. Do Dental Assistants Make Temporary Crowns.
From www.pinterest.fr
Temporary crown set up Dental assistant study, Dental hygiene school Do Dental Assistants Make Temporary Crowns It may take as long as 2 weeks to make the permanent crown using an impression. Now im in an office where they have me leaning more towards doing treatments in general and that has me doing crown procedures and lately i’ve. Temporary tooth caps are a good option to help a patient before a permanent crown can be made. Do Dental Assistants Make Temporary Crowns.
From www.youtube.com
How to make temporary crowns. Part 3 Practice / How to Dentist YouTube Do Dental Assistants Make Temporary Crowns A crown, also known as a tooth cap, is used to entirely cover a damaged tooth. Is a dental assistant allowed to place a permanent crown here? Sorry to hear but yes, assistants are legally fine making and cementing temporary crowns. Now im in an office where they have me leaning more towards doing treatments in general and that has. Do Dental Assistants Make Temporary Crowns.
From glidewelldental.com
How to Use Temporary Dental Crowns to Boost Treatment Results Do Dental Assistants Make Temporary Crowns Now im in an office where they have me leaning more towards doing treatments in general and that has me doing crown procedures and lately i’ve. It may take as long as 2 weeks to make the permanent crown using an impression. It not only strengthens the tooth but, drastically improves the appearance, shape and alignment. A crown, also known. Do Dental Assistants Make Temporary Crowns.
From www.youtube.com
How To Make Extraordinary Cosmetic Crowns Dental Lab & Patient Do Dental Assistants Make Temporary Crowns Now im in an office where they have me leaning more towards doing treatments in general and that has me doing crown procedures and lately i’ve. Temporary crowns, also known as provisional crowns, are dental restorations designed to protect and maintain the aesthetics. To protect your mouth during that time, your. A crown, also known as a tooth cap, is. Do Dental Assistants Make Temporary Crowns.
From www.pinterest.com
Low Cost Dentist 60pcs/Box Dental Temporary Crowns Front and Back Teeth Do Dental Assistants Make Temporary Crowns It not only strengthens the tooth but, drastically improves the appearance, shape and alignment. Depending on what type of procedure a patient has had, such as prep for a dental crown, you may need to make a temporary. A crown, also known as a tooth cap, is used to entirely cover a damaged tooth. Sorry to hear but yes, assistants. Do Dental Assistants Make Temporary Crowns.
From www.youtube.com
Dental Assistant Students Making Temporary Crowns Charter College Do Dental Assistants Make Temporary Crowns It may take as long as 2 weeks to make the permanent crown using an impression. Sorry to hear but yes, assistants are legally fine making and cementing temporary crowns. Depending on what type of procedure a patient has had, such as prep for a dental crown, you may need to make a temporary. I thought about calling the office. Do Dental Assistants Make Temporary Crowns.
From www.youtube.com
Dental Assisting 101 How dental assistants should set up a tray for a Do Dental Assistants Make Temporary Crowns I thought about calling the office before my visit just to clarify. Depending on what type of procedure a patient has had, such as prep for a dental crown, you may need to make a temporary. Temporary tooth caps are a good option to help a patient before a permanent crown can be made and secured into place. Now im. Do Dental Assistants Make Temporary Crowns.
From dxowhjzra.blob.core.windows.net
How To Get Stains Off Temporary Crowns at Andrea Kirchner blog Do Dental Assistants Make Temporary Crowns It not only strengthens the tooth but, drastically improves the appearance, shape and alignment. To protect your mouth during that time, your. A crown, also known as a tooth cap, is used to entirely cover a damaged tooth. Sorry to hear but yes, assistants are legally fine making and cementing temporary crowns. It may take as long as 2 weeks. Do Dental Assistants Make Temporary Crowns.
From www.youtube.com
4 dental implants with temporary crowns in 60MINUTES YouTube Do Dental Assistants Make Temporary Crowns It not only strengthens the tooth but, drastically improves the appearance, shape and alignment. Temporary crowns, also known as provisional crowns, are dental restorations designed to protect and maintain the aesthetics. A crown, also known as a tooth cap, is used to entirely cover a damaged tooth. Is a dental assistant allowed to place a permanent crown here? I thought. Do Dental Assistants Make Temporary Crowns.
From www.alamy.com
temporary dental crowns are ground Stock Photo Alamy Do Dental Assistants Make Temporary Crowns I thought about calling the office before my visit just to clarify. Temporary crowns, also known as provisional crowns, are dental restorations designed to protect and maintain the aesthetics. Temporary tooth caps are a good option to help a patient before a permanent crown can be made and secured into place. To protect your mouth during that time, your. It. Do Dental Assistants Make Temporary Crowns.
From artofdentistryinstitute.com
Dental Crowns in Irvine Irvine CA Tooth Crowns Teeth Caps Irvine Do Dental Assistants Make Temporary Crowns It not only strengthens the tooth but, drastically improves the appearance, shape and alignment. I thought about calling the office before my visit just to clarify. To protect your mouth during that time, your. Depending on what type of procedure a patient has had, such as prep for a dental crown, you may need to make a temporary. Temporary crowns,. Do Dental Assistants Make Temporary Crowns.
From pocketdentistry.com
Temporary Crowns Pocket Dentistry Do Dental Assistants Make Temporary Crowns Temporary tooth caps are a good option to help a patient before a permanent crown can be made and secured into place. It may take as long as 2 weeks to make the permanent crown using an impression. I thought about calling the office before my visit just to clarify. It not only strengthens the tooth but, drastically improves the. Do Dental Assistants Make Temporary Crowns.
From www.youtube.com
Dental Crown Procedure EXPLAINED YouTube Do Dental Assistants Make Temporary Crowns I thought about calling the office before my visit just to clarify. Is a dental assistant allowed to place a permanent crown here? Depending on what type of procedure a patient has had, such as prep for a dental crown, you may need to make a temporary. A crown, also known as a tooth cap, is used to entirely cover. Do Dental Assistants Make Temporary Crowns.
From www.aofstriad.com
Dental Implant Temporary Kernersville Temporary Crowns WinstonSalem Do Dental Assistants Make Temporary Crowns It may take as long as 2 weeks to make the permanent crown using an impression. Is a dental assistant allowed to place a permanent crown here? A crown, also known as a tooth cap, is used to entirely cover a damaged tooth. Sorry to hear but yes, assistants are legally fine making and cementing temporary crowns. I thought about. Do Dental Assistants Make Temporary Crowns.
From www.alexgoodmandmd.com
Understanding the Importance of Temporary Dental Crowns Do Dental Assistants Make Temporary Crowns To protect your mouth during that time, your. Temporary crowns, also known as provisional crowns, are dental restorations designed to protect and maintain the aesthetics. A crown, also known as a tooth cap, is used to entirely cover a damaged tooth. Depending on what type of procedure a patient has had, such as prep for a dental crown, you may. Do Dental Assistants Make Temporary Crowns.
From exocowbmz.blob.core.windows.net
What Is Involved In A Dental Crown Procedure at Hattie Murphy blog Do Dental Assistants Make Temporary Crowns Depending on what type of procedure a patient has had, such as prep for a dental crown, you may need to make a temporary. A crown, also known as a tooth cap, is used to entirely cover a damaged tooth. Temporary crowns, also known as provisional crowns, are dental restorations designed to protect and maintain the aesthetics. It may take. Do Dental Assistants Make Temporary Crowns.
From www.pinterest.com.mx
Temporary crown setup Dental assistant, Dental hygenist, Dental Do Dental Assistants Make Temporary Crowns I thought about calling the office before my visit just to clarify. A crown, also known as a tooth cap, is used to entirely cover a damaged tooth. To protect your mouth during that time, your. Sorry to hear but yes, assistants are legally fine making and cementing temporary crowns. It not only strengthens the tooth but, drastically improves the. Do Dental Assistants Make Temporary Crowns.
From www.bcidentallab.com
Temporary Crowns Products BCI Dental Laboratories Do Dental Assistants Make Temporary Crowns To protect your mouth during that time, your. It may take as long as 2 weeks to make the permanent crown using an impression. I thought about calling the office before my visit just to clarify. Is a dental assistant allowed to place a permanent crown here? Temporary tooth caps are a good option to help a patient before a. Do Dental Assistants Make Temporary Crowns.
From pocketdentistry.com
Temporary Crowns Pocket Dentistry Do Dental Assistants Make Temporary Crowns Now im in an office where they have me leaning more towards doing treatments in general and that has me doing crown procedures and lately i’ve. Temporary crowns, also known as provisional crowns, are dental restorations designed to protect and maintain the aesthetics. It may take as long as 2 weeks to make the permanent crown using an impression. To. Do Dental Assistants Make Temporary Crowns.
From www.endodontically.com
Do endodontists do temporary crowns? Do Dental Assistants Make Temporary Crowns Now im in an office where they have me leaning more towards doing treatments in general and that has me doing crown procedures and lately i’ve. I thought about calling the office before my visit just to clarify. It not only strengthens the tooth but, drastically improves the appearance, shape and alignment. To protect your mouth during that time, your.. Do Dental Assistants Make Temporary Crowns.
From batteryparkdentalgroup.com
Temporary Crowns Post Op Instructions Battery Park Dental Group Do Dental Assistants Make Temporary Crowns It not only strengthens the tooth but, drastically improves the appearance, shape and alignment. It may take as long as 2 weeks to make the permanent crown using an impression. To protect your mouth during that time, your. Temporary tooth caps are a good option to help a patient before a permanent crown can be made and secured into place.. Do Dental Assistants Make Temporary Crowns.
From www.rogerpeele.com
What Are Dental Crowns And How Do They Work? Rogerpeele Do Dental Assistants Make Temporary Crowns Now im in an office where they have me leaning more towards doing treatments in general and that has me doing crown procedures and lately i’ve. It not only strengthens the tooth but, drastically improves the appearance, shape and alignment. Temporary tooth caps are a good option to help a patient before a permanent crown can be made and secured. Do Dental Assistants Make Temporary Crowns.
From www.youtube.com
How to make temporary crowns in the front / How 2 Dentist YouTube Do Dental Assistants Make Temporary Crowns Now im in an office where they have me leaning more towards doing treatments in general and that has me doing crown procedures and lately i’ve. Temporary crowns, also known as provisional crowns, are dental restorations designed to protect and maintain the aesthetics. A crown, also known as a tooth cap, is used to entirely cover a damaged tooth. To. Do Dental Assistants Make Temporary Crowns.
From gardensdental.com.au
Everything You Need To Know About Dental Crowns And How They Work Do Dental Assistants Make Temporary Crowns Now im in an office where they have me leaning more towards doing treatments in general and that has me doing crown procedures and lately i’ve. To protect your mouth during that time, your. It not only strengthens the tooth but, drastically improves the appearance, shape and alignment. Is a dental assistant allowed to place a permanent crown here? Depending. Do Dental Assistants Make Temporary Crowns.
From www.youtube.com
How to make temporary crowns. Part 2 Theory / How to Dentist YouTube Do Dental Assistants Make Temporary Crowns I thought about calling the office before my visit just to clarify. Depending on what type of procedure a patient has had, such as prep for a dental crown, you may need to make a temporary. Sorry to hear but yes, assistants are legally fine making and cementing temporary crowns. It not only strengthens the tooth but, drastically improves the. Do Dental Assistants Make Temporary Crowns.
From www.pleasanthilldds.com
Single Implant Dentistry Pleasant Hill CA, Daniel C. Leung, DDS, Inc. Do Dental Assistants Make Temporary Crowns Is a dental assistant allowed to place a permanent crown here? Depending on what type of procedure a patient has had, such as prep for a dental crown, you may need to make a temporary. It may take as long as 2 weeks to make the permanent crown using an impression. Now im in an office where they have me. Do Dental Assistants Make Temporary Crowns.
From www.youtube.com
Temporary crowns set up Oral Hygiene and Safe Dentistry YouTube Do Dental Assistants Make Temporary Crowns A crown, also known as a tooth cap, is used to entirely cover a damaged tooth. Temporary tooth caps are a good option to help a patient before a permanent crown can be made and secured into place. Sorry to hear but yes, assistants are legally fine making and cementing temporary crowns. It not only strengthens the tooth but, drastically. Do Dental Assistants Make Temporary Crowns.
From www.bauersmiles.com
Dental implant temporary needed on front tooth? Choices? Do Dental Assistants Make Temporary Crowns To protect your mouth during that time, your. Sorry to hear but yes, assistants are legally fine making and cementing temporary crowns. I thought about calling the office before my visit just to clarify. Depending on what type of procedure a patient has had, such as prep for a dental crown, you may need to make a temporary. It may. Do Dental Assistants Make Temporary Crowns.