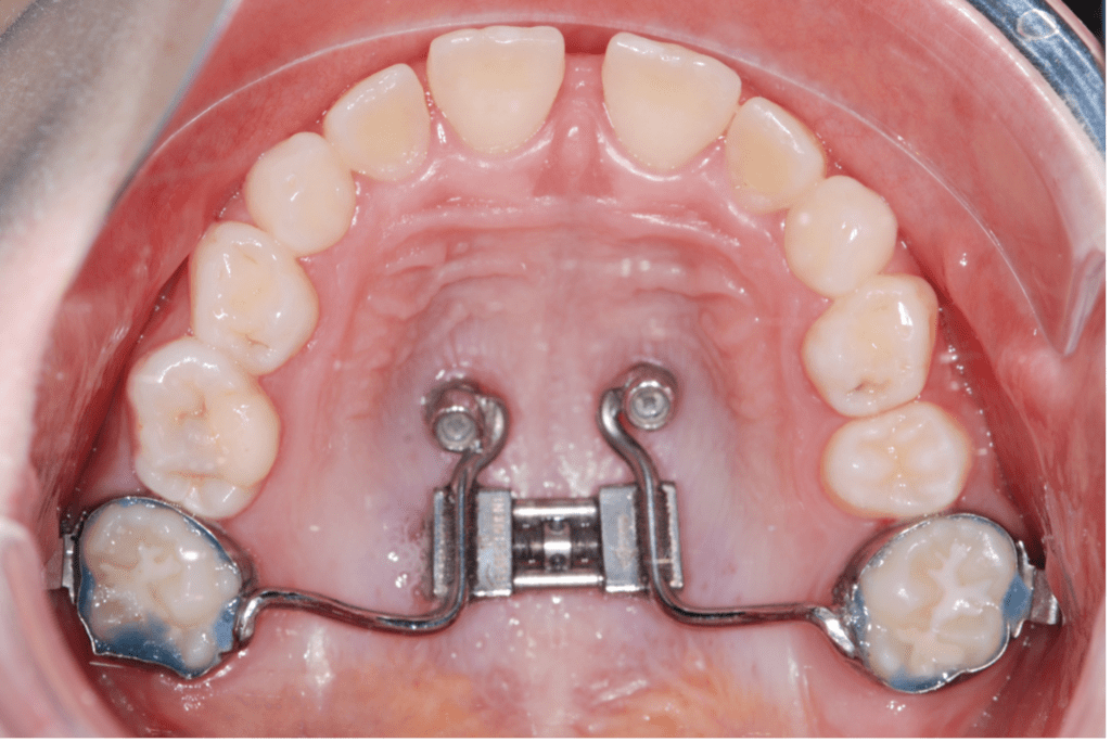
Hyrax Expander Instructions . This makes room for the teeth and helps. The appliance that the doctor placed today is called a hyrax/pendex. A palatal expander (hyrax appliance) is a device used to widen the upper jaw when it is narrow. It is normal for the expander to create a small space between your front teeth as your palate is expanding, this space will close after turning is. What to do if you have a hyrax: Its purpose is to make the upper jaw wider. Hyrax® and hyrax® neo screws (hygienic rapid expansion screw) are special screws for rapid palatal expansion with a fixed appliance. It is composed of two halves interconnected with a. Hyrax expander is a dental appliance used to widen the narrow space of your upper jaw. The hyrax expander is a rapid palate expander that fits in the roof of the mouth and attaches to the upper back teeth for stability. A tiny screw in the center is.
from www.youtube.com
The appliance that the doctor placed today is called a hyrax/pendex. It is normal for the expander to create a small space between your front teeth as your palate is expanding, this space will close after turning is. This makes room for the teeth and helps. It is composed of two halves interconnected with a. Hyrax expander is a dental appliance used to widen the narrow space of your upper jaw. The hyrax expander is a rapid palate expander that fits in the roof of the mouth and attaches to the upper back teeth for stability. A palatal expander (hyrax appliance) is a device used to widen the upper jaw when it is narrow. Its purpose is to make the upper jaw wider. A tiny screw in the center is. What to do if you have a hyrax:
How to Turn Your Hyrax (RPE) Orthodontic Expander YouTube
Hyrax Expander Instructions This makes room for the teeth and helps. A palatal expander (hyrax appliance) is a device used to widen the upper jaw when it is narrow. Hyrax® and hyrax® neo screws (hygienic rapid expansion screw) are special screws for rapid palatal expansion with a fixed appliance. It is composed of two halves interconnected with a. A tiny screw in the center is. The hyrax expander is a rapid palate expander that fits in the roof of the mouth and attaches to the upper back teeth for stability. Its purpose is to make the upper jaw wider. Hyrax expander is a dental appliance used to widen the narrow space of your upper jaw. What to do if you have a hyrax: This makes room for the teeth and helps. The appliance that the doctor placed today is called a hyrax/pendex. It is normal for the expander to create a small space between your front teeth as your palate is expanding, this space will close after turning is.
From www.researchgate.net
The Hybrid Hyrax Expander. Download Scientific Diagram Hyrax Expander Instructions Hyrax expander is a dental appliance used to widen the narrow space of your upper jaw. It is normal for the expander to create a small space between your front teeth as your palate is expanding, this space will close after turning is. Its purpose is to make the upper jaw wider. It is composed of two halves interconnected with. Hyrax Expander Instructions.
From www.youtube.com
hYRAX expander step by step in orthodontics, try incementation and Hyrax Expander Instructions What to do if you have a hyrax: Hyrax expander is a dental appliance used to widen the narrow space of your upper jaw. Its purpose is to make the upper jaw wider. A tiny screw in the center is. A palatal expander (hyrax appliance) is a device used to widen the upper jaw when it is narrow. It is. Hyrax Expander Instructions.
From www.youtube.com
Activating Hyrax expander, expanding the fixed palatal expander by Hyrax Expander Instructions What to do if you have a hyrax: This makes room for the teeth and helps. Hyrax® and hyrax® neo screws (hygienic rapid expansion screw) are special screws for rapid palatal expansion with a fixed appliance. A palatal expander (hyrax appliance) is a device used to widen the upper jaw when it is narrow. Hyrax expander is a dental appliance. Hyrax Expander Instructions.
From www.youtube.com
How to correct posterior cross bite using hyrax expanders?Malligai Hyrax Expander Instructions Its purpose is to make the upper jaw wider. A palatal expander (hyrax appliance) is a device used to widen the upper jaw when it is narrow. It is normal for the expander to create a small space between your front teeth as your palate is expanding, this space will close after turning is. What to do if you have. Hyrax Expander Instructions.
From animalia-life.club
Hyrax Appliance Rapid Maxillary Expansion Hyrax Expander Instructions It is normal for the expander to create a small space between your front teeth as your palate is expanding, this space will close after turning is. A palatal expander (hyrax appliance) is a device used to widen the upper jaw when it is narrow. Hyrax® and hyrax® neo screws (hygienic rapid expansion screw) are special screws for rapid palatal. Hyrax Expander Instructions.
From www.youtube.com
How The Hyrax Expander Works YouTube Hyrax Expander Instructions This makes room for the teeth and helps. It is composed of two halves interconnected with a. What to do if you have a hyrax: Hyrax expander is a dental appliance used to widen the narrow space of your upper jaw. The hyrax expander is a rapid palate expander that fits in the roof of the mouth and attaches to. Hyrax Expander Instructions.
From www.youtube.com
Hyrax skeletal expander with face mask for maxilla forward protraction Hyrax Expander Instructions Hyrax expander is a dental appliance used to widen the narrow space of your upper jaw. The appliance that the doctor placed today is called a hyrax/pendex. It is normal for the expander to create a small space between your front teeth as your palate is expanding, this space will close after turning is. This makes room for the teeth. Hyrax Expander Instructions.
From www.researchgate.net
Hyrax expander cemented on the upper first molars and premolars Hyrax Expander Instructions The appliance that the doctor placed today is called a hyrax/pendex. A palatal expander (hyrax appliance) is a device used to widen the upper jaw when it is narrow. This makes room for the teeth and helps. A tiny screw in the center is. Hyrax expander is a dental appliance used to widen the narrow space of your upper jaw.. Hyrax Expander Instructions.
From www.dreamstime.com
Teeth Gypsum Model with Hyrax Expander Braces Stock Image Image of Hyrax Expander Instructions A tiny screw in the center is. It is normal for the expander to create a small space between your front teeth as your palate is expanding, this space will close after turning is. What to do if you have a hyrax: The appliance that the doctor placed today is called a hyrax/pendex. Its purpose is to make the upper. Hyrax Expander Instructions.
From www.academia.edu
(PDF) Modified Hyrax expander for correction of upper midline deviation Hyrax Expander Instructions The hyrax expander is a rapid palate expander that fits in the roof of the mouth and attaches to the upper back teeth for stability. The appliance that the doctor placed today is called a hyrax/pendex. A palatal expander (hyrax appliance) is a device used to widen the upper jaw when it is narrow. What to do if you have. Hyrax Expander Instructions.
From www.youtube.com
bonding HYRAX expander in orthodontics maxilla expansionorthodontic Hyrax Expander Instructions Its purpose is to make the upper jaw wider. It is normal for the expander to create a small space between your front teeth as your palate is expanding, this space will close after turning is. This makes room for the teeth and helps. It is composed of two halves interconnected with a. The hyrax expander is a rapid palate. Hyrax Expander Instructions.
From www.youtube.com
How to Turn Your Hyrax (RPE) Orthodontic Expander YouTube Hyrax Expander Instructions Hyrax® and hyrax® neo screws (hygienic rapid expansion screw) are special screws for rapid palatal expansion with a fixed appliance. What to do if you have a hyrax: It is composed of two halves interconnected with a. Its purpose is to make the upper jaw wider. Hyrax expander is a dental appliance used to widen the narrow space of your. Hyrax Expander Instructions.
From rdl-usa.com
Hyrax Rapid Palatel Expander RDL Russellville Dental Lab Hyrax Expander Instructions It is normal for the expander to create a small space between your front teeth as your palate is expanding, this space will close after turning is. The appliance that the doctor placed today is called a hyrax/pendex. A palatal expander (hyrax appliance) is a device used to widen the upper jaw when it is narrow. It is composed of. Hyrax Expander Instructions.
From www.ajodo.org
Maxillary expander with differential opening vs Hyrax expander A Hyrax Expander Instructions Its purpose is to make the upper jaw wider. It is normal for the expander to create a small space between your front teeth as your palate is expanding, this space will close after turning is. Hyrax® and hyrax® neo screws (hygienic rapid expansion screw) are special screws for rapid palatal expansion with a fixed appliance. Hyrax expander is a. Hyrax Expander Instructions.
From www.researchgate.net
Hyraxtype expander and markers with different designs for the left and Hyrax Expander Instructions Its purpose is to make the upper jaw wider. It is composed of two halves interconnected with a. It is normal for the expander to create a small space between your front teeth as your palate is expanding, this space will close after turning is. The hyrax expander is a rapid palate expander that fits in the roof of the. Hyrax Expander Instructions.
From www.philadelphia-orthodontics.com
Orthodontic Appliances Palate Expander Philadelphia Orthodontics Hyrax Expander Instructions Hyrax® and hyrax® neo screws (hygienic rapid expansion screw) are special screws for rapid palatal expansion with a fixed appliance. This makes room for the teeth and helps. A tiny screw in the center is. The hyrax expander is a rapid palate expander that fits in the roof of the mouth and attaches to the upper back teeth for stability.. Hyrax Expander Instructions.
From www.alamy.com
Banded hyrax expander hires stock photography and images Alamy Hyrax Expander Instructions Hyrax expander is a dental appliance used to widen the narrow space of your upper jaw. Hyrax® and hyrax® neo screws (hygienic rapid expansion screw) are special screws for rapid palatal expansion with a fixed appliance. This makes room for the teeth and helps. It is composed of two halves interconnected with a. It is normal for the expander to. Hyrax Expander Instructions.
From www.youtube.com
Orthodontic Expander (Bonded Hyrax) How it works ? جهاز توسيع الفك Hyrax Expander Instructions A palatal expander (hyrax appliance) is a device used to widen the upper jaw when it is narrow. Its purpose is to make the upper jaw wider. The hyrax expander is a rapid palate expander that fits in the roof of the mouth and attaches to the upper back teeth for stability. A tiny screw in the center is. It. Hyrax Expander Instructions.
From www.youtube.com
Bonded HYRAX orthodontic expander and activation screw (palatal Hyrax Expander Instructions A tiny screw in the center is. It is normal for the expander to create a small space between your front teeth as your palate is expanding, this space will close after turning is. Hyrax® and hyrax® neo screws (hygienic rapid expansion screw) are special screws for rapid palatal expansion with a fixed appliance. The appliance that the doctor placed. Hyrax Expander Instructions.
From www.alamy.com
Check hyrax braces on dental gypsum model. Banded Hyrax Expander rapid Hyrax Expander Instructions A tiny screw in the center is. This makes room for the teeth and helps. Hyrax expander is a dental appliance used to widen the narrow space of your upper jaw. What to do if you have a hyrax: A palatal expander (hyrax appliance) is a device used to widen the upper jaw when it is narrow. Its purpose is. Hyrax Expander Instructions.
From www.researchgate.net
Hyrax expander cemented on the upper first molars and premolars Hyrax Expander Instructions The appliance that the doctor placed today is called a hyrax/pendex. Hyrax expander is a dental appliance used to widen the narrow space of your upper jaw. A palatal expander (hyrax appliance) is a device used to widen the upper jaw when it is narrow. It is normal for the expander to create a small space between your front teeth. Hyrax Expander Instructions.
From www.youtube.com
Hyrax palatal expander (A form of Rapid Palatal Expansion devices Hyrax Expander Instructions The appliance that the doctor placed today is called a hyrax/pendex. What to do if you have a hyrax: This makes room for the teeth and helps. Hyrax expander is a dental appliance used to widen the narrow space of your upper jaw. A tiny screw in the center is. Hyrax® and hyrax® neo screws (hygienic rapid expansion screw) are. Hyrax Expander Instructions.
From www.youtube.com
Orthodontic Expander or Spacer Hyrax Appliance YouTube Hyrax Expander Instructions Hyrax expander is a dental appliance used to widen the narrow space of your upper jaw. It is composed of two halves interconnected with a. Its purpose is to make the upper jaw wider. It is normal for the expander to create a small space between your front teeth as your palate is expanding, this space will close after turning. Hyrax Expander Instructions.
From kevinobrienorthoblog.com
Maxillary Expansion with skeletal anchorage explained MSE vs Hybrid Hyrax Expander Instructions This makes room for the teeth and helps. The appliance that the doctor placed today is called a hyrax/pendex. Hyrax expander is a dental appliance used to widen the narrow space of your upper jaw. Hyrax® and hyrax® neo screws (hygienic rapid expansion screw) are special screws for rapid palatal expansion with a fixed appliance. It is normal for the. Hyrax Expander Instructions.
From www.youtube.com
كيف يعمل جهاز توسيع الفك العلوي Hyrax Expander شرح مفصل لتشغيل جهاز Hyrax Expander Instructions The appliance that the doctor placed today is called a hyrax/pendex. Its purpose is to make the upper jaw wider. What to do if you have a hyrax: It is composed of two halves interconnected with a. Hyrax® and hyrax® neo screws (hygienic rapid expansion screw) are special screws for rapid palatal expansion with a fixed appliance. It is normal. Hyrax Expander Instructions.
From rdl-usa.com
Hyrax Rapid Palatel Expander RDL Russellville Dental Lab Hyrax Expander Instructions A palatal expander (hyrax appliance) is a device used to widen the upper jaw when it is narrow. It is composed of two halves interconnected with a. The hyrax expander is a rapid palate expander that fits in the roof of the mouth and attaches to the upper back teeth for stability. A tiny screw in the center is. Hyrax. Hyrax Expander Instructions.
From www.alamy.com
How set right children braces. Test Hyrax rapid palatal expander on Hyrax Expander Instructions It is normal for the expander to create a small space between your front teeth as your palate is expanding, this space will close after turning is. Its purpose is to make the upper jaw wider. The hyrax expander is a rapid palate expander that fits in the roof of the mouth and attaches to the upper back teeth for. Hyrax Expander Instructions.
From www.researchgate.net
Hyrax type banded maxillary expander appliance. Download Scientific Hyrax Expander Instructions Hyrax® and hyrax® neo screws (hygienic rapid expansion screw) are special screws for rapid palatal expansion with a fixed appliance. The appliance that the doctor placed today is called a hyrax/pendex. A tiny screw in the center is. The hyrax expander is a rapid palate expander that fits in the roof of the mouth and attaches to the upper back. Hyrax Expander Instructions.
From www.thebraceplace.net
Patient Instructions The Brace Place Hyrax Expander Instructions A tiny screw in the center is. Hyrax expander is a dental appliance used to widen the narrow space of your upper jaw. The hyrax expander is a rapid palate expander that fits in the roof of the mouth and attaches to the upper back teeth for stability. The appliance that the doctor placed today is called a hyrax/pendex. It. Hyrax Expander Instructions.
From www.mdpi.com
Applied Sciences Free FullText Herbst Appliance Reinforced with an Hyrax Expander Instructions It is normal for the expander to create a small space between your front teeth as your palate is expanding, this space will close after turning is. A palatal expander (hyrax appliance) is a device used to widen the upper jaw when it is narrow. A tiny screw in the center is. Hyrax expander is a dental appliance used to. Hyrax Expander Instructions.
From www.youtube.com
Hyrax expander activation Tom Nasiopoulos Orthodontist Thessaloniki Hyrax Expander Instructions Hyrax expander is a dental appliance used to widen the narrow space of your upper jaw. This makes room for the teeth and helps. Hyrax® and hyrax® neo screws (hygienic rapid expansion screw) are special screws for rapid palatal expansion with a fixed appliance. A palatal expander (hyrax appliance) is a device used to widen the upper jaw when it. Hyrax Expander Instructions.
From pocketdentistry.com
Influence of the hyrax expander screw position on displacement and Hyrax Expander Instructions Hyrax expander is a dental appliance used to widen the narrow space of your upper jaw. This makes room for the teeth and helps. Its purpose is to make the upper jaw wider. A tiny screw in the center is. The hyrax expander is a rapid palate expander that fits in the roof of the mouth and attaches to the. Hyrax Expander Instructions.
From www.researchgate.net
A Hyrax expander with a metal framework anchored to the dentition Hyrax Expander Instructions The appliance that the doctor placed today is called a hyrax/pendex. Hyrax® and hyrax® neo screws (hygienic rapid expansion screw) are special screws for rapid palatal expansion with a fixed appliance. What to do if you have a hyrax: Hyrax expander is a dental appliance used to widen the narrow space of your upper jaw. This makes room for the. Hyrax Expander Instructions.
From stardent2008.en.made-in-china.com
Hyrax Type Dental Orthodontic Expansion Screw Paltal Expander Rapid Hyrax Expander Instructions The hyrax expander is a rapid palate expander that fits in the roof of the mouth and attaches to the upper back teeth for stability. This makes room for the teeth and helps. What to do if you have a hyrax: It is normal for the expander to create a small space between your front teeth as your palate is. Hyrax Expander Instructions.
From www.researchgate.net
Treatment progress photographs. (a) Hyrax expander with soldered hooks Hyrax Expander Instructions A tiny screw in the center is. The appliance that the doctor placed today is called a hyrax/pendex. Its purpose is to make the upper jaw wider. What to do if you have a hyrax: Hyrax expander is a dental appliance used to widen the narrow space of your upper jaw. The hyrax expander is a rapid palate expander that. Hyrax Expander Instructions.