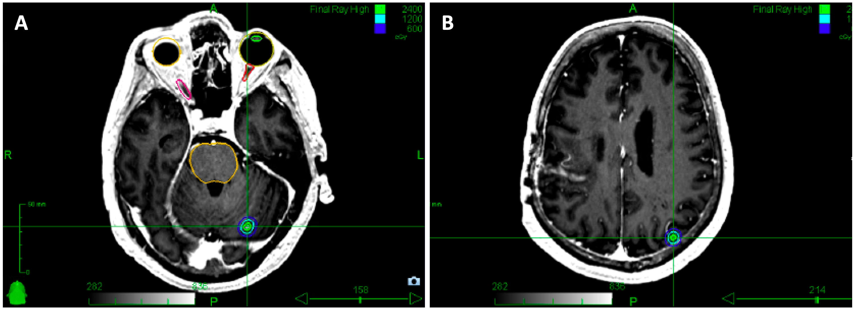
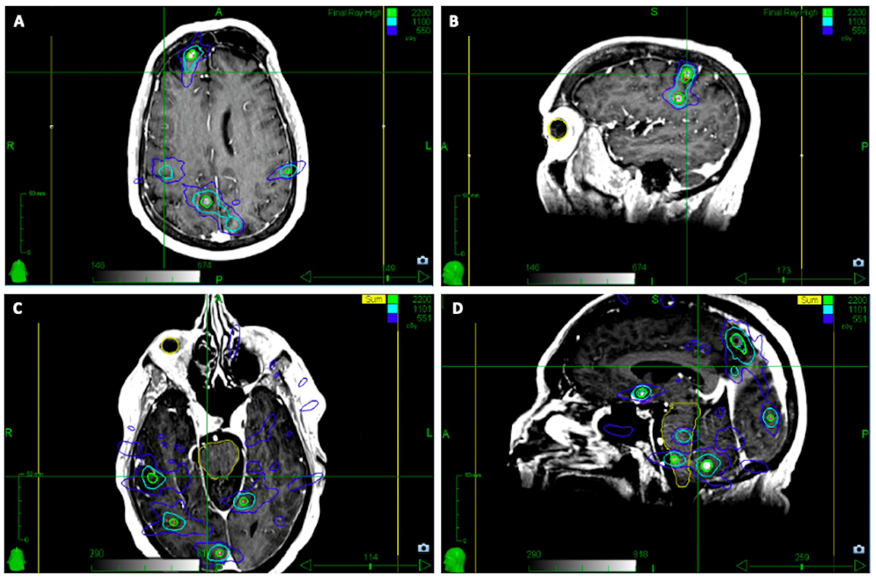
Stereotactic Radiosurgery To Brain Metastases . Brain metastases are common among adult patients with solid malignancies and are increasingly being treated with stereotactic radiosurgery (srs). Radiation and steroid dosing can affect the immune composition of brain metastasis (bm). The authors have designed a. Treatment of bm ranges from supportive care to multimodal strategies considering surgery, fractioned radiotherapy,. Brain metastases are the most common intracranial malignancy and remain a substantial source of morbidity and mortality in. While guidelines for srs use have been. Stereotactic radiosurgery (srs) is a mainstay treatment option for brain metastasis (bm). A phase 3 trial of whole brain radiation therapy and stereotactic radiosurgery alone versus wbrt and srs with temozolomide or erlotinib for non.
from www.cureus.com
Brain metastases are the most common intracranial malignancy and remain a substantial source of morbidity and mortality in. While guidelines for srs use have been. Stereotactic radiosurgery (srs) is a mainstay treatment option for brain metastasis (bm). A phase 3 trial of whole brain radiation therapy and stereotactic radiosurgery alone versus wbrt and srs with temozolomide or erlotinib for non. The authors have designed a. Treatment of bm ranges from supportive care to multimodal strategies considering surgery, fractioned radiotherapy,. Radiation and steroid dosing can affect the immune composition of brain metastasis (bm). Brain metastases are common among adult patients with solid malignancies and are increasingly being treated with stereotactic radiosurgery (srs).
Cureus Stereotactic Radiosurgery in a Small Cell Lung Cancer Patient
Stereotactic Radiosurgery To Brain Metastases Radiation and steroid dosing can affect the immune composition of brain metastasis (bm). The authors have designed a. A phase 3 trial of whole brain radiation therapy and stereotactic radiosurgery alone versus wbrt and srs with temozolomide or erlotinib for non. Stereotactic radiosurgery (srs) is a mainstay treatment option for brain metastasis (bm). Treatment of bm ranges from supportive care to multimodal strategies considering surgery, fractioned radiotherapy,. Radiation and steroid dosing can affect the immune composition of brain metastasis (bm). Brain metastases are the most common intracranial malignancy and remain a substantial source of morbidity and mortality in. While guidelines for srs use have been. Brain metastases are common among adult patients with solid malignancies and are increasingly being treated with stereotactic radiosurgery (srs).
From www.cancertreatmentreviews.com
Stereotactic radiosurgery in the treatment of brain metastases The Stereotactic Radiosurgery To Brain Metastases While guidelines for srs use have been. The authors have designed a. Stereotactic radiosurgery (srs) is a mainstay treatment option for brain metastasis (bm). Treatment of bm ranges from supportive care to multimodal strategies considering surgery, fractioned radiotherapy,. Radiation and steroid dosing can affect the immune composition of brain metastasis (bm). Brain metastases are the most common intracranial malignancy and. Stereotactic Radiosurgery To Brain Metastases.
From www.mdpi.com
IJMS Free FullText Treatment of Single or Multiple Brain Stereotactic Radiosurgery To Brain Metastases Stereotactic radiosurgery (srs) is a mainstay treatment option for brain metastasis (bm). The authors have designed a. Treatment of bm ranges from supportive care to multimodal strategies considering surgery, fractioned radiotherapy,. Brain metastases are common among adult patients with solid malignancies and are increasingly being treated with stereotactic radiosurgery (srs). Brain metastases are the most common intracranial malignancy and remain. Stereotactic Radiosurgery To Brain Metastases.
From www.frontiersin.org
Frontiers Dosimetric Comparison, Treatment Efficiency Estimation, and Stereotactic Radiosurgery To Brain Metastases Brain metastases are the most common intracranial malignancy and remain a substantial source of morbidity and mortality in. A phase 3 trial of whole brain radiation therapy and stereotactic radiosurgery alone versus wbrt and srs with temozolomide or erlotinib for non. While guidelines for srs use have been. Stereotactic radiosurgery (srs) is a mainstay treatment option for brain metastasis (bm).. Stereotactic Radiosurgery To Brain Metastases.
From www.neuro-central.com
Stereotactic radiosurgery for brain metastases and the questionable Stereotactic Radiosurgery To Brain Metastases While guidelines for srs use have been. Treatment of bm ranges from supportive care to multimodal strategies considering surgery, fractioned radiotherapy,. Brain metastases are common among adult patients with solid malignancies and are increasingly being treated with stereotactic radiosurgery (srs). Radiation and steroid dosing can affect the immune composition of brain metastasis (bm). The authors have designed a. A phase. Stereotactic Radiosurgery To Brain Metastases.
From www.researchgate.net
(PDF) Stereotactic radiosurgery of brain metastases a retrospective study Stereotactic Radiosurgery To Brain Metastases The authors have designed a. A phase 3 trial of whole brain radiation therapy and stereotactic radiosurgery alone versus wbrt and srs with temozolomide or erlotinib for non. Stereotactic radiosurgery (srs) is a mainstay treatment option for brain metastasis (bm). Brain metastases are common among adult patients with solid malignancies and are increasingly being treated with stereotactic radiosurgery (srs). While. Stereotactic Radiosurgery To Brain Metastases.
From www.brainmetsdr.com
STEREOTACTIC RADIOSURGERY Metastatic Brain Tumors Treatment Center of Stereotactic Radiosurgery To Brain Metastases Radiation and steroid dosing can affect the immune composition of brain metastasis (bm). Treatment of bm ranges from supportive care to multimodal strategies considering surgery, fractioned radiotherapy,. Brain metastases are common among adult patients with solid malignancies and are increasingly being treated with stereotactic radiosurgery (srs). Brain metastases are the most common intracranial malignancy and remain a substantial source of. Stereotactic Radiosurgery To Brain Metastases.
From www.researchgate.net
Cavitydirected stereotactic radiosurgery (SRS) treatment. Illustrated Stereotactic Radiosurgery To Brain Metastases Radiation and steroid dosing can affect the immune composition of brain metastasis (bm). The authors have designed a. Treatment of bm ranges from supportive care to multimodal strategies considering surgery, fractioned radiotherapy,. Brain metastases are the most common intracranial malignancy and remain a substantial source of morbidity and mortality in. Stereotactic radiosurgery (srs) is a mainstay treatment option for brain. Stereotactic Radiosurgery To Brain Metastases.
From www.cancertherapyadvisor.com
Stereotactic Radiosurgery in SCLC With Brain Metastasis Cancer Stereotactic Radiosurgery To Brain Metastases Treatment of bm ranges from supportive care to multimodal strategies considering surgery, fractioned radiotherapy,. Brain metastases are common among adult patients with solid malignancies and are increasingly being treated with stereotactic radiosurgery (srs). Stereotactic radiosurgery (srs) is a mainstay treatment option for brain metastasis (bm). Radiation and steroid dosing can affect the immune composition of brain metastasis (bm). A phase. Stereotactic Radiosurgery To Brain Metastases.
From www.researchgate.net
Stereotactic Radiosurgery for Multiple Brain Metastases Request PDF Stereotactic Radiosurgery To Brain Metastases While guidelines for srs use have been. Treatment of bm ranges from supportive care to multimodal strategies considering surgery, fractioned radiotherapy,. Radiation and steroid dosing can affect the immune composition of brain metastasis (bm). The authors have designed a. Stereotactic radiosurgery (srs) is a mainstay treatment option for brain metastasis (bm). Brain metastases are common among adult patients with solid. Stereotactic Radiosurgery To Brain Metastases.
From www.semanticscholar.org
Figure 1 from Apparatus dependence of normal brain tissue dose in Stereotactic Radiosurgery To Brain Metastases While guidelines for srs use have been. Stereotactic radiosurgery (srs) is a mainstay treatment option for brain metastasis (bm). Brain metastases are common among adult patients with solid malignancies and are increasingly being treated with stereotactic radiosurgery (srs). Brain metastases are the most common intracranial malignancy and remain a substantial source of morbidity and mortality in. Radiation and steroid dosing. Stereotactic Radiosurgery To Brain Metastases.
From www.ncbi.nlm.nih.gov
Figure 1, Examples of SRS and SBRT treatment plans for melanoma Stereotactic Radiosurgery To Brain Metastases Brain metastases are the most common intracranial malignancy and remain a substantial source of morbidity and mortality in. While guidelines for srs use have been. Stereotactic radiosurgery (srs) is a mainstay treatment option for brain metastasis (bm). Radiation and steroid dosing can affect the immune composition of brain metastasis (bm). A phase 3 trial of whole brain radiation therapy and. Stereotactic Radiosurgery To Brain Metastases.
From www.semanticscholar.org
Figure 3 from STEREOTACTIC RADIOSURGERY FOR BRAIN METASTASES IN A CHILD Stereotactic Radiosurgery To Brain Metastases While guidelines for srs use have been. Brain metastases are common among adult patients with solid malignancies and are increasingly being treated with stereotactic radiosurgery (srs). Stereotactic radiosurgery (srs) is a mainstay treatment option for brain metastasis (bm). Radiation and steroid dosing can affect the immune composition of brain metastasis (bm). Treatment of bm ranges from supportive care to multimodal. Stereotactic Radiosurgery To Brain Metastases.
From www.cureus.com
Cureus Stereotactic Radiosurgery in a Small Cell Lung Cancer Patient Stereotactic Radiosurgery To Brain Metastases Radiation and steroid dosing can affect the immune composition of brain metastasis (bm). A phase 3 trial of whole brain radiation therapy and stereotactic radiosurgery alone versus wbrt and srs with temozolomide or erlotinib for non. Brain metastases are the most common intracranial malignancy and remain a substantial source of morbidity and mortality in. Treatment of bm ranges from supportive. Stereotactic Radiosurgery To Brain Metastases.
From www.slideshare.net
Stereotactic Radiosurgery and Radiotherapy of Brain Metastases Clinic… Stereotactic Radiosurgery To Brain Metastases Stereotactic radiosurgery (srs) is a mainstay treatment option for brain metastasis (bm). A phase 3 trial of whole brain radiation therapy and stereotactic radiosurgery alone versus wbrt and srs with temozolomide or erlotinib for non. Radiation and steroid dosing can affect the immune composition of brain metastasis (bm). Brain metastases are common among adult patients with solid malignancies and are. Stereotactic Radiosurgery To Brain Metastases.
From www.cureus.com
Stereotactic Radiosurgery for Brain Metastases in Patients With a Stereotactic Radiosurgery To Brain Metastases Radiation and steroid dosing can affect the immune composition of brain metastasis (bm). Treatment of bm ranges from supportive care to multimodal strategies considering surgery, fractioned radiotherapy,. A phase 3 trial of whole brain radiation therapy and stereotactic radiosurgery alone versus wbrt and srs with temozolomide or erlotinib for non. While guidelines for srs use have been. Brain metastases are. Stereotactic Radiosurgery To Brain Metastases.
From www.cureus.com
Cureus DoseVolume Response Relationship for Brain Metastases Treated Stereotactic Radiosurgery To Brain Metastases While guidelines for srs use have been. Brain metastases are the most common intracranial malignancy and remain a substantial source of morbidity and mortality in. A phase 3 trial of whole brain radiation therapy and stereotactic radiosurgery alone versus wbrt and srs with temozolomide or erlotinib for non. Stereotactic radiosurgery (srs) is a mainstay treatment option for brain metastasis (bm).. Stereotactic Radiosurgery To Brain Metastases.
From www.semanticscholar.org
Figure 1 from Stereotactic radiosurgery for brain metastasis from Stereotactic Radiosurgery To Brain Metastases Treatment of bm ranges from supportive care to multimodal strategies considering surgery, fractioned radiotherapy,. Brain metastases are the most common intracranial malignancy and remain a substantial source of morbidity and mortality in. Radiation and steroid dosing can affect the immune composition of brain metastasis (bm). Brain metastases are common among adult patients with solid malignancies and are increasingly being treated. Stereotactic Radiosurgery To Brain Metastases.
From www.cureus.com
Cureus Exceptional Eightyear Response to Stereotactic Radiosurgery Stereotactic Radiosurgery To Brain Metastases A phase 3 trial of whole brain radiation therapy and stereotactic radiosurgery alone versus wbrt and srs with temozolomide or erlotinib for non. The authors have designed a. Treatment of bm ranges from supportive care to multimodal strategies considering surgery, fractioned radiotherapy,. Brain metastases are the most common intracranial malignancy and remain a substantial source of morbidity and mortality in.. Stereotactic Radiosurgery To Brain Metastases.
From www.researchgate.net
(PDF) Stereotactic Radiosurgery for Treatment of Brain Metastases Stereotactic Radiosurgery To Brain Metastases Radiation and steroid dosing can affect the immune composition of brain metastasis (bm). Brain metastases are the most common intracranial malignancy and remain a substantial source of morbidity and mortality in. Treatment of bm ranges from supportive care to multimodal strategies considering surgery, fractioned radiotherapy,. The authors have designed a. Brain metastases are common among adult patients with solid malignancies. Stereotactic Radiosurgery To Brain Metastases.
From symeonmissiosmd.com
inar The Use of Stereotactic Radiosurgery for the Management of Stereotactic Radiosurgery To Brain Metastases A phase 3 trial of whole brain radiation therapy and stereotactic radiosurgery alone versus wbrt and srs with temozolomide or erlotinib for non. The authors have designed a. Radiation and steroid dosing can affect the immune composition of brain metastasis (bm). Brain metastases are common among adult patients with solid malignancies and are increasingly being treated with stereotactic radiosurgery (srs).. Stereotactic Radiosurgery To Brain Metastases.
From appliedradiationoncology.com
Stereotactic Radiosurgery for Brain Metastases Review of Existing Data Stereotactic Radiosurgery To Brain Metastases Radiation and steroid dosing can affect the immune composition of brain metastasis (bm). Brain metastases are common among adult patients with solid malignancies and are increasingly being treated with stereotactic radiosurgery (srs). A phase 3 trial of whole brain radiation therapy and stereotactic radiosurgery alone versus wbrt and srs with temozolomide or erlotinib for non. Stereotactic radiosurgery (srs) is a. Stereotactic Radiosurgery To Brain Metastases.
From www.medpagetoday.com
SRS Proves Promising for Brainstem Metastases MedPage Today Stereotactic Radiosurgery To Brain Metastases While guidelines for srs use have been. Brain metastases are the most common intracranial malignancy and remain a substantial source of morbidity and mortality in. Stereotactic radiosurgery (srs) is a mainstay treatment option for brain metastasis (bm). A phase 3 trial of whole brain radiation therapy and stereotactic radiosurgery alone versus wbrt and srs with temozolomide or erlotinib for non.. Stereotactic Radiosurgery To Brain Metastases.
From www.accuray.com
Brain Stereotactic Radiosurgery with CyberKnife Accuray Stereotactic Radiosurgery To Brain Metastases Brain metastases are common among adult patients with solid malignancies and are increasingly being treated with stereotactic radiosurgery (srs). Radiation and steroid dosing can affect the immune composition of brain metastasis (bm). Brain metastases are the most common intracranial malignancy and remain a substantial source of morbidity and mortality in. While guidelines for srs use have been. The authors have. Stereotactic Radiosurgery To Brain Metastases.
From www.frontiersin.org
Frontiers Stereotactic Radiosurgery With Concurrent Immunotherapy in Stereotactic Radiosurgery To Brain Metastases The authors have designed a. Treatment of bm ranges from supportive care to multimodal strategies considering surgery, fractioned radiotherapy,. Brain metastases are common among adult patients with solid malignancies and are increasingly being treated with stereotactic radiosurgery (srs). A phase 3 trial of whole brain radiation therapy and stereotactic radiosurgery alone versus wbrt and srs with temozolomide or erlotinib for. Stereotactic Radiosurgery To Brain Metastases.
From www.redjournal.org
Consensus Contouring Guidelines for Postoperative Completely Resected Stereotactic Radiosurgery To Brain Metastases Brain metastases are the most common intracranial malignancy and remain a substantial source of morbidity and mortality in. A phase 3 trial of whole brain radiation therapy and stereotactic radiosurgery alone versus wbrt and srs with temozolomide or erlotinib for non. Radiation and steroid dosing can affect the immune composition of brain metastasis (bm). Treatment of bm ranges from supportive. Stereotactic Radiosurgery To Brain Metastases.
From www.researchgate.net
(PDF) Treatment of the Brain Metastases in PeriRolandic Area Stereotactic Radiosurgery To Brain Metastases While guidelines for srs use have been. Radiation and steroid dosing can affect the immune composition of brain metastasis (bm). Brain metastases are the most common intracranial malignancy and remain a substantial source of morbidity and mortality in. Brain metastases are common among adult patients with solid malignancies and are increasingly being treated with stereotactic radiosurgery (srs). The authors have. Stereotactic Radiosurgery To Brain Metastases.
From www.mdanderson.org
Stereotactic radiosurgery for patients with more than three Stereotactic Radiosurgery To Brain Metastases While guidelines for srs use have been. Brain metastases are the most common intracranial malignancy and remain a substantial source of morbidity and mortality in. Treatment of bm ranges from supportive care to multimodal strategies considering surgery, fractioned radiotherapy,. Stereotactic radiosurgery (srs) is a mainstay treatment option for brain metastasis (bm). Brain metastases are common among adult patients with solid. Stereotactic Radiosurgery To Brain Metastases.
From www.semanticscholar.org
Figure 1 from Optimization of stereotactic radiosurgery for the Stereotactic Radiosurgery To Brain Metastases Brain metastases are the most common intracranial malignancy and remain a substantial source of morbidity and mortality in. Stereotactic radiosurgery (srs) is a mainstay treatment option for brain metastasis (bm). Treatment of bm ranges from supportive care to multimodal strategies considering surgery, fractioned radiotherapy,. The authors have designed a. While guidelines for srs use have been. Brain metastases are common. Stereotactic Radiosurgery To Brain Metastases.
From www.nejm.org
Stereotactic Radiosurgery for the Management of Brain Metastases NEJM Stereotactic Radiosurgery To Brain Metastases Treatment of bm ranges from supportive care to multimodal strategies considering surgery, fractioned radiotherapy,. Radiation and steroid dosing can affect the immune composition of brain metastasis (bm). A phase 3 trial of whole brain radiation therapy and stereotactic radiosurgery alone versus wbrt and srs with temozolomide or erlotinib for non. Brain metastases are common among adult patients with solid malignancies. Stereotactic Radiosurgery To Brain Metastases.
From www.researchgate.net
(PDF) Postoperative Cavity Stereotactic Radiosurgery for Brain Metastases Stereotactic Radiosurgery To Brain Metastases Brain metastases are common among adult patients with solid malignancies and are increasingly being treated with stereotactic radiosurgery (srs). A phase 3 trial of whole brain radiation therapy and stereotactic radiosurgery alone versus wbrt and srs with temozolomide or erlotinib for non. Treatment of bm ranges from supportive care to multimodal strategies considering surgery, fractioned radiotherapy,. Brain metastases are the. Stereotactic Radiosurgery To Brain Metastases.
From www.cureus.com
Cureus Repeated Stereotactic Radiosurgery in Brain Metastases A Case Stereotactic Radiosurgery To Brain Metastases Brain metastases are common among adult patients with solid malignancies and are increasingly being treated with stereotactic radiosurgery (srs). Stereotactic radiosurgery (srs) is a mainstay treatment option for brain metastasis (bm). The authors have designed a. While guidelines for srs use have been. Radiation and steroid dosing can affect the immune composition of brain metastasis (bm). Treatment of bm ranges. Stereotactic Radiosurgery To Brain Metastases.
From www.frontiersin.org
Frontiers Optimizing Adjuvant Stereotactic Radiotherapy of Motor Stereotactic Radiosurgery To Brain Metastases Stereotactic radiosurgery (srs) is a mainstay treatment option for brain metastasis (bm). Radiation and steroid dosing can affect the immune composition of brain metastasis (bm). Brain metastases are common among adult patients with solid malignancies and are increasingly being treated with stereotactic radiosurgery (srs). Treatment of bm ranges from supportive care to multimodal strategies considering surgery, fractioned radiotherapy,. While guidelines. Stereotactic Radiosurgery To Brain Metastases.
From www.clinicaloncologyonline.net
Evaluation of Response to Stereotactic Radiosurgery in Brain Metastases Stereotactic Radiosurgery To Brain Metastases While guidelines for srs use have been. Radiation and steroid dosing can affect the immune composition of brain metastasis (bm). The authors have designed a. Treatment of bm ranges from supportive care to multimodal strategies considering surgery, fractioned radiotherapy,. Stereotactic radiosurgery (srs) is a mainstay treatment option for brain metastasis (bm). A phase 3 trial of whole brain radiation therapy. Stereotactic Radiosurgery To Brain Metastases.
From www.accuray.com
Brain Stereotactic Radiosurgery with CyberKnife Accuray Stereotactic Radiosurgery To Brain Metastases Radiation and steroid dosing can affect the immune composition of brain metastasis (bm). Brain metastases are the most common intracranial malignancy and remain a substantial source of morbidity and mortality in. A phase 3 trial of whole brain radiation therapy and stereotactic radiosurgery alone versus wbrt and srs with temozolomide or erlotinib for non. Treatment of bm ranges from supportive. Stereotactic Radiosurgery To Brain Metastases.
From www.cureus.com
Stereotactic Radiosurgery for Brain Metastases in Patients With a Stereotactic Radiosurgery To Brain Metastases Brain metastases are the most common intracranial malignancy and remain a substantial source of morbidity and mortality in. Brain metastases are common among adult patients with solid malignancies and are increasingly being treated with stereotactic radiosurgery (srs). Stereotactic radiosurgery (srs) is a mainstay treatment option for brain metastasis (bm). A phase 3 trial of whole brain radiation therapy and stereotactic. Stereotactic Radiosurgery To Brain Metastases.