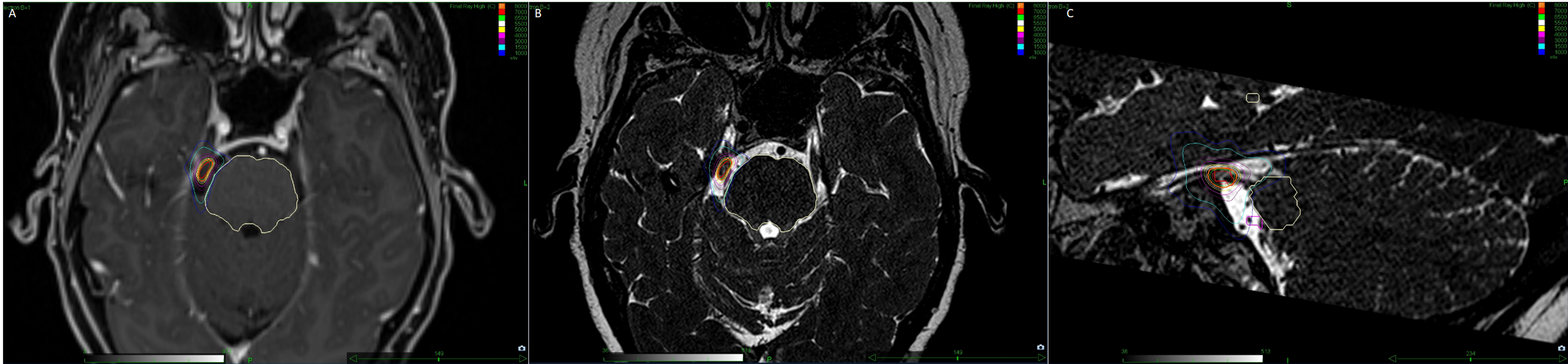
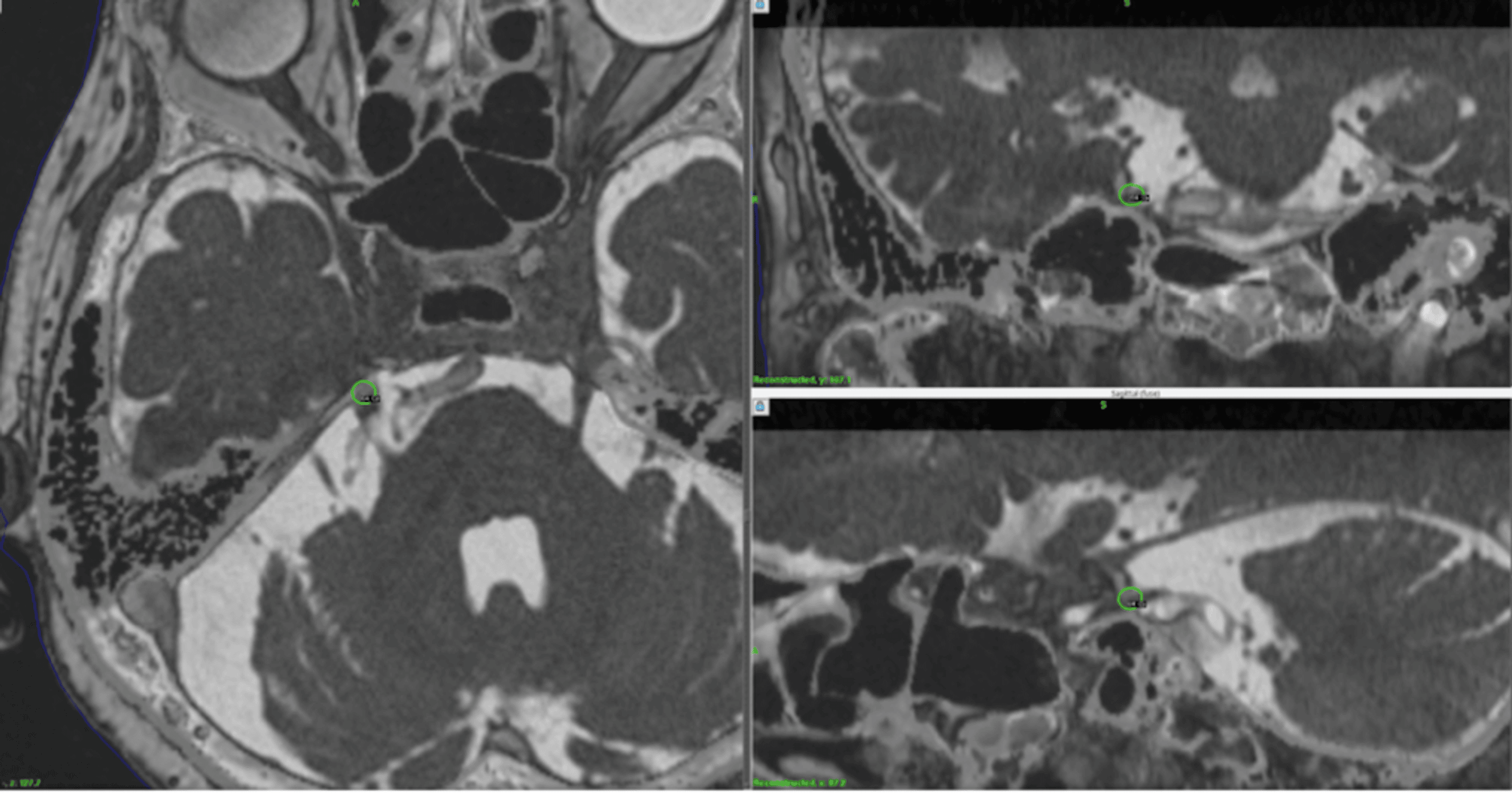
Stereotactic Radiosurgery For Trigeminal Neuralgia . Stereotactic radiosurgery for trigeminal neuralgia: Radiosurgery was first attempted for trigeminal neuralgia in the early 1970s by lars leksell, who used the stereotactic technology. Trigeminal neuralgia is a chronic pain condition of the trigeminal nerve affecting 12 per 100,000 people. Trigeminal neuralgia is a chronic pain condition of the trigeminal nerve affecting 12 per 100,000 people. Stereotactic radiosurgery is an effective treatment option for trigeminal neuralgia (tn), with frameless stereotactic radiosurgery. Objectives the purposes of this study are to assess the effectiveness of cyberknife® stereotactic radiosurgery (srs) in. The aims of this systematic review are to provide an objective summary of the published literature specific to the treatment of classical trigeminal neuralgia with stereotactic radiosurgery (rs) and to develop consensus guideline recommendations for the use of rs, as endorsed by the international society of stereotactic radiosurgery.
from www.researchgate.net
Stereotactic radiosurgery is an effective treatment option for trigeminal neuralgia (tn), with frameless stereotactic radiosurgery. Stereotactic radiosurgery for trigeminal neuralgia: Trigeminal neuralgia is a chronic pain condition of the trigeminal nerve affecting 12 per 100,000 people. Radiosurgery was first attempted for trigeminal neuralgia in the early 1970s by lars leksell, who used the stereotactic technology. Objectives the purposes of this study are to assess the effectiveness of cyberknife® stereotactic radiosurgery (srs) in. Trigeminal neuralgia is a chronic pain condition of the trigeminal nerve affecting 12 per 100,000 people. The aims of this systematic review are to provide an objective summary of the published literature specific to the treatment of classical trigeminal neuralgia with stereotactic radiosurgery (rs) and to develop consensus guideline recommendations for the use of rs, as endorsed by the international society of stereotactic radiosurgery.
(PDF) LINAC stereotactic radiosurgery for trigeminal neuralgia
Stereotactic Radiosurgery For Trigeminal Neuralgia Objectives the purposes of this study are to assess the effectiveness of cyberknife® stereotactic radiosurgery (srs) in. Trigeminal neuralgia is a chronic pain condition of the trigeminal nerve affecting 12 per 100,000 people. Stereotactic radiosurgery is an effective treatment option for trigeminal neuralgia (tn), with frameless stereotactic radiosurgery. The aims of this systematic review are to provide an objective summary of the published literature specific to the treatment of classical trigeminal neuralgia with stereotactic radiosurgery (rs) and to develop consensus guideline recommendations for the use of rs, as endorsed by the international society of stereotactic radiosurgery. Objectives the purposes of this study are to assess the effectiveness of cyberknife® stereotactic radiosurgery (srs) in. Trigeminal neuralgia is a chronic pain condition of the trigeminal nerve affecting 12 per 100,000 people. Radiosurgery was first attempted for trigeminal neuralgia in the early 1970s by lars leksell, who used the stereotactic technology. Stereotactic radiosurgery for trigeminal neuralgia:
From www.reddit.com
Stereotactic radiosurgery for trigeminal neuralgia (TN) has gained Stereotactic Radiosurgery For Trigeminal Neuralgia Trigeminal neuralgia is a chronic pain condition of the trigeminal nerve affecting 12 per 100,000 people. Objectives the purposes of this study are to assess the effectiveness of cyberknife® stereotactic radiosurgery (srs) in. Stereotactic radiosurgery is an effective treatment option for trigeminal neuralgia (tn), with frameless stereotactic radiosurgery. The aims of this systematic review are to provide an objective summary. Stereotactic Radiosurgery For Trigeminal Neuralgia.
From seattleneurosciences.com
Trigeminal Neuralgia Surgery Specialists Trigeminal Neuralgia Treatment Stereotactic Radiosurgery For Trigeminal Neuralgia Trigeminal neuralgia is a chronic pain condition of the trigeminal nerve affecting 12 per 100,000 people. Radiosurgery was first attempted for trigeminal neuralgia in the early 1970s by lars leksell, who used the stereotactic technology. Stereotactic radiosurgery is an effective treatment option for trigeminal neuralgia (tn), with frameless stereotactic radiosurgery. Objectives the purposes of this study are to assess the. Stereotactic Radiosurgery For Trigeminal Neuralgia.
From jnis.bmj.com
Cyberknife radiosurgery in treating trigeminal neuralgia Journal of Stereotactic Radiosurgery For Trigeminal Neuralgia Objectives the purposes of this study are to assess the effectiveness of cyberknife® stereotactic radiosurgery (srs) in. Radiosurgery was first attempted for trigeminal neuralgia in the early 1970s by lars leksell, who used the stereotactic technology. Trigeminal neuralgia is a chronic pain condition of the trigeminal nerve affecting 12 per 100,000 people. The aims of this systematic review are to. Stereotactic Radiosurgery For Trigeminal Neuralgia.
From thejns.org
Stereotactic radiosurgery for trigeminal neuralgia secondary to tumor Stereotactic Radiosurgery For Trigeminal Neuralgia Stereotactic radiosurgery is an effective treatment option for trigeminal neuralgia (tn), with frameless stereotactic radiosurgery. Trigeminal neuralgia is a chronic pain condition of the trigeminal nerve affecting 12 per 100,000 people. Trigeminal neuralgia is a chronic pain condition of the trigeminal nerve affecting 12 per 100,000 people. Radiosurgery was first attempted for trigeminal neuralgia in the early 1970s by lars. Stereotactic Radiosurgery For Trigeminal Neuralgia.
From www.researchgate.net
(PDF) LINAC stereotactic radiosurgery for trigeminal neuralgia Stereotactic Radiosurgery For Trigeminal Neuralgia Stereotactic radiosurgery for trigeminal neuralgia: Objectives the purposes of this study are to assess the effectiveness of cyberknife® stereotactic radiosurgery (srs) in. Trigeminal neuralgia is a chronic pain condition of the trigeminal nerve affecting 12 per 100,000 people. Radiosurgery was first attempted for trigeminal neuralgia in the early 1970s by lars leksell, who used the stereotactic technology. Stereotactic radiosurgery is. Stereotactic Radiosurgery For Trigeminal Neuralgia.
From www.cureus.com
Cureus Treatment of Trigeminal Neuralgia With Stereotactic Stereotactic Radiosurgery For Trigeminal Neuralgia The aims of this systematic review are to provide an objective summary of the published literature specific to the treatment of classical trigeminal neuralgia with stereotactic radiosurgery (rs) and to develop consensus guideline recommendations for the use of rs, as endorsed by the international society of stereotactic radiosurgery. Trigeminal neuralgia is a chronic pain condition of the trigeminal nerve affecting. Stereotactic Radiosurgery For Trigeminal Neuralgia.
From aapm.onlinelibrary.wiley.com
LINAC‐based stereotactic radiosurgery for treatment of trigeminal Stereotactic Radiosurgery For Trigeminal Neuralgia Trigeminal neuralgia is a chronic pain condition of the trigeminal nerve affecting 12 per 100,000 people. Radiosurgery was first attempted for trigeminal neuralgia in the early 1970s by lars leksell, who used the stereotactic technology. Stereotactic radiosurgery is an effective treatment option for trigeminal neuralgia (tn), with frameless stereotactic radiosurgery. Trigeminal neuralgia is a chronic pain condition of the trigeminal. Stereotactic Radiosurgery For Trigeminal Neuralgia.
From www.mdpi.com
IJTM Free FullText Trigeminal Neuralgia Treatment Stereotactic Radiosurgery For Trigeminal Neuralgia Trigeminal neuralgia is a chronic pain condition of the trigeminal nerve affecting 12 per 100,000 people. Stereotactic radiosurgery for trigeminal neuralgia: Radiosurgery was first attempted for trigeminal neuralgia in the early 1970s by lars leksell, who used the stereotactic technology. The aims of this systematic review are to provide an objective summary of the published literature specific to the treatment. Stereotactic Radiosurgery For Trigeminal Neuralgia.
From www.slideshare.net
Stereotactic Radiosurgery for the Treatment of Trigeminal Neuralgia Stereotactic Radiosurgery For Trigeminal Neuralgia The aims of this systematic review are to provide an objective summary of the published literature specific to the treatment of classical trigeminal neuralgia with stereotactic radiosurgery (rs) and to develop consensus guideline recommendations for the use of rs, as endorsed by the international society of stereotactic radiosurgery. Stereotactic radiosurgery for trigeminal neuralgia: Objectives the purposes of this study are. Stereotactic Radiosurgery For Trigeminal Neuralgia.
From thejns.org
Stereotactic radiosurgery for trigeminal pain secondary to recurrent Stereotactic Radiosurgery For Trigeminal Neuralgia The aims of this systematic review are to provide an objective summary of the published literature specific to the treatment of classical trigeminal neuralgia with stereotactic radiosurgery (rs) and to develop consensus guideline recommendations for the use of rs, as endorsed by the international society of stereotactic radiosurgery. Trigeminal neuralgia is a chronic pain condition of the trigeminal nerve affecting. Stereotactic Radiosurgery For Trigeminal Neuralgia.
From karger.com
Gamma Knife Stereotactic Radiosurgery for Trigeminal Neuralgia Caused Stereotactic Radiosurgery For Trigeminal Neuralgia Trigeminal neuralgia is a chronic pain condition of the trigeminal nerve affecting 12 per 100,000 people. Radiosurgery was first attempted for trigeminal neuralgia in the early 1970s by lars leksell, who used the stereotactic technology. The aims of this systematic review are to provide an objective summary of the published literature specific to the treatment of classical trigeminal neuralgia with. Stereotactic Radiosurgery For Trigeminal Neuralgia.
From www.arquivosdeneuropsiquiatria.org
Gamma knife radiosurgery for trigeminal neuralgia first case series Stereotactic Radiosurgery For Trigeminal Neuralgia Trigeminal neuralgia is a chronic pain condition of the trigeminal nerve affecting 12 per 100,000 people. Stereotactic radiosurgery for trigeminal neuralgia: The aims of this systematic review are to provide an objective summary of the published literature specific to the treatment of classical trigeminal neuralgia with stereotactic radiosurgery (rs) and to develop consensus guideline recommendations for the use of rs,. Stereotactic Radiosurgery For Trigeminal Neuralgia.
From europepmc.org
LINAC stereotactic radiosurgery for trigeminal neuralgia retrospective Stereotactic Radiosurgery For Trigeminal Neuralgia Trigeminal neuralgia is a chronic pain condition of the trigeminal nerve affecting 12 per 100,000 people. Stereotactic radiosurgery is an effective treatment option for trigeminal neuralgia (tn), with frameless stereotactic radiosurgery. Objectives the purposes of this study are to assess the effectiveness of cyberknife® stereotactic radiosurgery (srs) in. The aims of this systematic review are to provide an objective summary. Stereotactic Radiosurgery For Trigeminal Neuralgia.
From www.researchgate.net
(PDF) Linear Accelerator Stereotactic Radiosurgery for Trigeminal Neuralgia Stereotactic Radiosurgery For Trigeminal Neuralgia Radiosurgery was first attempted for trigeminal neuralgia in the early 1970s by lars leksell, who used the stereotactic technology. Trigeminal neuralgia is a chronic pain condition of the trigeminal nerve affecting 12 per 100,000 people. Stereotactic radiosurgery for trigeminal neuralgia: The aims of this systematic review are to provide an objective summary of the published literature specific to the treatment. Stereotactic Radiosurgery For Trigeminal Neuralgia.
From aapm.onlinelibrary.wiley.com
Commissioning a multileaf collimator virtual cone for the stereotactic Stereotactic Radiosurgery For Trigeminal Neuralgia Radiosurgery was first attempted for trigeminal neuralgia in the early 1970s by lars leksell, who used the stereotactic technology. Stereotactic radiosurgery is an effective treatment option for trigeminal neuralgia (tn), with frameless stereotactic radiosurgery. The aims of this systematic review are to provide an objective summary of the published literature specific to the treatment of classical trigeminal neuralgia with stereotactic. Stereotactic Radiosurgery For Trigeminal Neuralgia.
From www.cureus.com
Stereotactic Radiosurgery for Trigeminal Neuralgia Caused by Stereotactic Radiosurgery For Trigeminal Neuralgia Trigeminal neuralgia is a chronic pain condition of the trigeminal nerve affecting 12 per 100,000 people. Trigeminal neuralgia is a chronic pain condition of the trigeminal nerve affecting 12 per 100,000 people. Radiosurgery was first attempted for trigeminal neuralgia in the early 1970s by lars leksell, who used the stereotactic technology. Stereotactic radiosurgery is an effective treatment option for trigeminal. Stereotactic Radiosurgery For Trigeminal Neuralgia.
From www.researchgate.net
(PDF) stereotactic radiosurgery for refractory trigeminal neuralgia Stereotactic Radiosurgery For Trigeminal Neuralgia Objectives the purposes of this study are to assess the effectiveness of cyberknife® stereotactic radiosurgery (srs) in. Trigeminal neuralgia is a chronic pain condition of the trigeminal nerve affecting 12 per 100,000 people. The aims of this systematic review are to provide an objective summary of the published literature specific to the treatment of classical trigeminal neuralgia with stereotactic radiosurgery. Stereotactic Radiosurgery For Trigeminal Neuralgia.
From www.jocn-journal.com
Neurological deficit following stereotactic radiosurgery for trigeminal Stereotactic Radiosurgery For Trigeminal Neuralgia Trigeminal neuralgia is a chronic pain condition of the trigeminal nerve affecting 12 per 100,000 people. Radiosurgery was first attempted for trigeminal neuralgia in the early 1970s by lars leksell, who used the stereotactic technology. Stereotactic radiosurgery for trigeminal neuralgia: Trigeminal neuralgia is a chronic pain condition of the trigeminal nerve affecting 12 per 100,000 people. Stereotactic radiosurgery is an. Stereotactic Radiosurgery For Trigeminal Neuralgia.
From clinicalpub.com
Stereotactic Radiosurgery for Trigeminal Neuralgia Clinical Tree Stereotactic Radiosurgery For Trigeminal Neuralgia Stereotactic radiosurgery for trigeminal neuralgia: The aims of this systematic review are to provide an objective summary of the published literature specific to the treatment of classical trigeminal neuralgia with stereotactic radiosurgery (rs) and to develop consensus guideline recommendations for the use of rs, as endorsed by the international society of stereotactic radiosurgery. Trigeminal neuralgia is a chronic pain condition. Stereotactic Radiosurgery For Trigeminal Neuralgia.
From www.researchgate.net
Stereotactic radiosurgery for trigeminal neuralgia a systematic review Stereotactic Radiosurgery For Trigeminal Neuralgia The aims of this systematic review are to provide an objective summary of the published literature specific to the treatment of classical trigeminal neuralgia with stereotactic radiosurgery (rs) and to develop consensus guideline recommendations for the use of rs, as endorsed by the international society of stereotactic radiosurgery. Stereotactic radiosurgery for trigeminal neuralgia: Stereotactic radiosurgery is an effective treatment option. Stereotactic Radiosurgery For Trigeminal Neuralgia.
From www.cureus.com
Cureus Gamma Knife Radiosurgery for Concurrent Trigeminal Neuralgia Stereotactic Radiosurgery For Trigeminal Neuralgia The aims of this systematic review are to provide an objective summary of the published literature specific to the treatment of classical trigeminal neuralgia with stereotactic radiosurgery (rs) and to develop consensus guideline recommendations for the use of rs, as endorsed by the international society of stereotactic radiosurgery. Objectives the purposes of this study are to assess the effectiveness of. Stereotactic Radiosurgery For Trigeminal Neuralgia.
From www.researchgate.net
(PDF) Stereotactic Radiosurgery for Classical Trigeminal Neuralgia Stereotactic Radiosurgery For Trigeminal Neuralgia Stereotactic radiosurgery is an effective treatment option for trigeminal neuralgia (tn), with frameless stereotactic radiosurgery. Radiosurgery was first attempted for trigeminal neuralgia in the early 1970s by lars leksell, who used the stereotactic technology. Objectives the purposes of this study are to assess the effectiveness of cyberknife® stereotactic radiosurgery (srs) in. Stereotactic radiosurgery for trigeminal neuralgia: The aims of this. Stereotactic Radiosurgery For Trigeminal Neuralgia.
From www.jocn-journal.com
Neurological deficit following stereotactic radiosurgery for trigeminal Stereotactic Radiosurgery For Trigeminal Neuralgia Stereotactic radiosurgery is an effective treatment option for trigeminal neuralgia (tn), with frameless stereotactic radiosurgery. The aims of this systematic review are to provide an objective summary of the published literature specific to the treatment of classical trigeminal neuralgia with stereotactic radiosurgery (rs) and to develop consensus guideline recommendations for the use of rs, as endorsed by the international society. Stereotactic Radiosurgery For Trigeminal Neuralgia.
From www.cureus.com
Stereotactic Radiosurgery for Trigeminal Neuralgia Caused by Stereotactic Radiosurgery For Trigeminal Neuralgia Objectives the purposes of this study are to assess the effectiveness of cyberknife® stereotactic radiosurgery (srs) in. The aims of this systematic review are to provide an objective summary of the published literature specific to the treatment of classical trigeminal neuralgia with stereotactic radiosurgery (rs) and to develop consensus guideline recommendations for the use of rs, as endorsed by the. Stereotactic Radiosurgery For Trigeminal Neuralgia.
From www.researchgate.net
(PDF) Stereotactic Radiosurgery as Initial Surgical Management for Stereotactic Radiosurgery For Trigeminal Neuralgia Objectives the purposes of this study are to assess the effectiveness of cyberknife® stereotactic radiosurgery (srs) in. Stereotactic radiosurgery is an effective treatment option for trigeminal neuralgia (tn), with frameless stereotactic radiosurgery. The aims of this systematic review are to provide an objective summary of the published literature specific to the treatment of classical trigeminal neuralgia with stereotactic radiosurgery (rs). Stereotactic Radiosurgery For Trigeminal Neuralgia.
From clinicalgate.com
Stereotactic Radiosurgery for Trigeminal Neuralgia Clinical Gate Stereotactic Radiosurgery For Trigeminal Neuralgia Stereotactic radiosurgery for trigeminal neuralgia: Trigeminal neuralgia is a chronic pain condition of the trigeminal nerve affecting 12 per 100,000 people. The aims of this systematic review are to provide an objective summary of the published literature specific to the treatment of classical trigeminal neuralgia with stereotactic radiosurgery (rs) and to develop consensus guideline recommendations for the use of rs,. Stereotactic Radiosurgery For Trigeminal Neuralgia.
From www.cureus.com
A Pilot Study of Hypofractionated Radiosurgery for Trigeminal Neuralgia Stereotactic Radiosurgery For Trigeminal Neuralgia Stereotactic radiosurgery is an effective treatment option for trigeminal neuralgia (tn), with frameless stereotactic radiosurgery. Objectives the purposes of this study are to assess the effectiveness of cyberknife® stereotactic radiosurgery (srs) in. Trigeminal neuralgia is a chronic pain condition of the trigeminal nerve affecting 12 per 100,000 people. Trigeminal neuralgia is a chronic pain condition of the trigeminal nerve affecting. Stereotactic Radiosurgery For Trigeminal Neuralgia.
From www.researchgate.net
(PDF) Radiation necrosis after stereotactic radiosurgery for trigeminal Stereotactic Radiosurgery For Trigeminal Neuralgia Stereotactic radiosurgery for trigeminal neuralgia: Stereotactic radiosurgery is an effective treatment option for trigeminal neuralgia (tn), with frameless stereotactic radiosurgery. Trigeminal neuralgia is a chronic pain condition of the trigeminal nerve affecting 12 per 100,000 people. Radiosurgery was first attempted for trigeminal neuralgia in the early 1970s by lars leksell, who used the stereotactic technology. The aims of this systematic. Stereotactic Radiosurgery For Trigeminal Neuralgia.
From laptrinhx.com
Trigeminal Nerve Atrophy Predicts Pain Recurrence After Gamma Knife Stereotactic Radiosurgery For Trigeminal Neuralgia The aims of this systematic review are to provide an objective summary of the published literature specific to the treatment of classical trigeminal neuralgia with stereotactic radiosurgery (rs) and to develop consensus guideline recommendations for the use of rs, as endorsed by the international society of stereotactic radiosurgery. Radiosurgery was first attempted for trigeminal neuralgia in the early 1970s by. Stereotactic Radiosurgery For Trigeminal Neuralgia.
From weillcornellbrainandspine.org
Surgery for Trigeminal Neuralgia Weill Cornell Brain and Spine Center Stereotactic Radiosurgery For Trigeminal Neuralgia Trigeminal neuralgia is a chronic pain condition of the trigeminal nerve affecting 12 per 100,000 people. The aims of this systematic review are to provide an objective summary of the published literature specific to the treatment of classical trigeminal neuralgia with stereotactic radiosurgery (rs) and to develop consensus guideline recommendations for the use of rs, as endorsed by the international. Stereotactic Radiosurgery For Trigeminal Neuralgia.
From clinicalpub.com
Stereotactic Radiosurgery for Trigeminal Neuralgia Clinical Tree Stereotactic Radiosurgery For Trigeminal Neuralgia The aims of this systematic review are to provide an objective summary of the published literature specific to the treatment of classical trigeminal neuralgia with stereotactic radiosurgery (rs) and to develop consensus guideline recommendations for the use of rs, as endorsed by the international society of stereotactic radiosurgery. Trigeminal neuralgia is a chronic pain condition of the trigeminal nerve affecting. Stereotactic Radiosurgery For Trigeminal Neuralgia.
From journals.lww.com
Gamma Knife Stereotactic Radiosurgery for Trigeminal Neuralg Stereotactic Radiosurgery For Trigeminal Neuralgia Objectives the purposes of this study are to assess the effectiveness of cyberknife® stereotactic radiosurgery (srs) in. Trigeminal neuralgia is a chronic pain condition of the trigeminal nerve affecting 12 per 100,000 people. The aims of this systematic review are to provide an objective summary of the published literature specific to the treatment of classical trigeminal neuralgia with stereotactic radiosurgery. Stereotactic Radiosurgery For Trigeminal Neuralgia.
From appliedradiationoncology.com
Linacbased stereotactic radiosurgery for trigeminal neuralgia Stereotactic Radiosurgery For Trigeminal Neuralgia Trigeminal neuralgia is a chronic pain condition of the trigeminal nerve affecting 12 per 100,000 people. Radiosurgery was first attempted for trigeminal neuralgia in the early 1970s by lars leksell, who used the stereotactic technology. Stereotactic radiosurgery for trigeminal neuralgia: Objectives the purposes of this study are to assess the effectiveness of cyberknife® stereotactic radiosurgery (srs) in. Trigeminal neuralgia is. Stereotactic Radiosurgery For Trigeminal Neuralgia.
From www.ackermancancercenter.com
Using Stereotactic Radiosurgery to Treat Trigeminal Neuralgia Stereotactic Radiosurgery For Trigeminal Neuralgia Trigeminal neuralgia is a chronic pain condition of the trigeminal nerve affecting 12 per 100,000 people. Objectives the purposes of this study are to assess the effectiveness of cyberknife® stereotactic radiosurgery (srs) in. Stereotactic radiosurgery is an effective treatment option for trigeminal neuralgia (tn), with frameless stereotactic radiosurgery. Stereotactic radiosurgery for trigeminal neuralgia: The aims of this systematic review are. Stereotactic Radiosurgery For Trigeminal Neuralgia.
From www.cureus.com
Cureus Frameless Stereotactic Radiosurgery, a Feasible Alternative to Stereotactic Radiosurgery For Trigeminal Neuralgia Stereotactic radiosurgery for trigeminal neuralgia: Trigeminal neuralgia is a chronic pain condition of the trigeminal nerve affecting 12 per 100,000 people. Objectives the purposes of this study are to assess the effectiveness of cyberknife® stereotactic radiosurgery (srs) in. Radiosurgery was first attempted for trigeminal neuralgia in the early 1970s by lars leksell, who used the stereotactic technology. The aims of. Stereotactic Radiosurgery For Trigeminal Neuralgia.