Ac Joint Widening Treatment . Learn about the causes, symptoms, and treatment of ac joint injuries, which occur when the shoulder blade and collar bone are separated or sprained. The following techniques are used to stabilize and reduce the acromioclavicular joint (see image. Multiple papers have described aspects of treatment of acromioclavicular (ac) joint injuries. Find out the types of ac joint. Learn about the causes, symptoms, diagnosis and treatment of ac joint injury, also known as shoulder separation. Diagnosis is made with bilateral focused shoulder radiographs to assess for ac and cc interval widening. Most have emphasized aspects of. The main goal of treatment is acromioclavicular joint stabilization. Learn about the causes, grades, and recovery of ac joint injuries, which are sprains or tears of the ligaments that stabilize the shoulder. Ac joint pain is a common problem that affects the tip of the shoulder blade (acromion) and the collarbone (clavicle). Learn about the sources of ac joint pain, such as arthritis and injury, and.
from pubs.rsna.org
Learn about the sources of ac joint pain, such as arthritis and injury, and. Multiple papers have described aspects of treatment of acromioclavicular (ac) joint injuries. Diagnosis is made with bilateral focused shoulder radiographs to assess for ac and cc interval widening. The main goal of treatment is acromioclavicular joint stabilization. Find out the types of ac joint. Most have emphasized aspects of. Learn about the causes, symptoms, diagnosis and treatment of ac joint injury, also known as shoulder separation. The following techniques are used to stabilize and reduce the acromioclavicular joint (see image. Learn about the causes, symptoms, and treatment of ac joint injuries, which occur when the shoulder blade and collar bone are separated or sprained. Learn about the causes, grades, and recovery of ac joint injuries, which are sprains or tears of the ligaments that stabilize the shoulder.
Imaging of the Acromioclavicular Joint Anatomy, Function, Pathologic
Ac Joint Widening Treatment Ac joint pain is a common problem that affects the tip of the shoulder blade (acromion) and the collarbone (clavicle). Find out the types of ac joint. Learn about the causes, grades, and recovery of ac joint injuries, which are sprains or tears of the ligaments that stabilize the shoulder. Multiple papers have described aspects of treatment of acromioclavicular (ac) joint injuries. Learn about the sources of ac joint pain, such as arthritis and injury, and. The following techniques are used to stabilize and reduce the acromioclavicular joint (see image. The main goal of treatment is acromioclavicular joint stabilization. Learn about the causes, symptoms, diagnosis and treatment of ac joint injury, also known as shoulder separation. Learn about the causes, symptoms, and treatment of ac joint injuries, which occur when the shoulder blade and collar bone are separated or sprained. Most have emphasized aspects of. Diagnosis is made with bilateral focused shoulder radiographs to assess for ac and cc interval widening. Ac joint pain is a common problem that affects the tip of the shoulder blade (acromion) and the collarbone (clavicle).
From www.nolasportsmedicine.com
Acromioclavicular (AC) Joint Separation Orthopedic Center for Sports Ac Joint Widening Treatment Learn about the sources of ac joint pain, such as arthritis and injury, and. The main goal of treatment is acromioclavicular joint stabilization. Learn about the causes, grades, and recovery of ac joint injuries, which are sprains or tears of the ligaments that stabilize the shoulder. Most have emphasized aspects of. Diagnosis is made with bilateral focused shoulder radiographs to. Ac Joint Widening Treatment.
From kneeandshoulderclinic.com.au
AC Joint Separation Brisbane Knee and Shoulder Clinic Dr Ac Joint Widening Treatment Find out the types of ac joint. Diagnosis is made with bilateral focused shoulder radiographs to assess for ac and cc interval widening. Learn about the causes, grades, and recovery of ac joint injuries, which are sprains or tears of the ligaments that stabilize the shoulder. The following techniques are used to stabilize and reduce the acromioclavicular joint (see image.. Ac Joint Widening Treatment.
From www.youtube.com
AC Joint Sprain Rehabilitation Stretches, Exercises and Massage For Ac Joint Widening Treatment Learn about the sources of ac joint pain, such as arthritis and injury, and. Learn about the causes, symptoms, and treatment of ac joint injuries, which occur when the shoulder blade and collar bone are separated or sprained. Diagnosis is made with bilateral focused shoulder radiographs to assess for ac and cc interval widening. The main goal of treatment is. Ac Joint Widening Treatment.
From mungfali.com
Hypertrophic Change Acromioclavicular Joint Ac Joint Widening Treatment Learn about the causes, symptoms, diagnosis and treatment of ac joint injury, also known as shoulder separation. Learn about the sources of ac joint pain, such as arthritis and injury, and. Most have emphasized aspects of. Ac joint pain is a common problem that affects the tip of the shoulder blade (acromion) and the collarbone (clavicle). Learn about the causes,. Ac Joint Widening Treatment.
From www.cancertherapyadvisor.com
Management of Acromioclavicular Joint Injuries Acute and Chronic Ac Joint Widening Treatment The main goal of treatment is acromioclavicular joint stabilization. The following techniques are used to stabilize and reduce the acromioclavicular joint (see image. Diagnosis is made with bilateral focused shoulder radiographs to assess for ac and cc interval widening. Learn about the causes, grades, and recovery of ac joint injuries, which are sprains or tears of the ligaments that stabilize. Ac Joint Widening Treatment.
From your-shoulder.com
AC Joint Dislocation Treatment Your Shoulder Ac Joint Widening Treatment Find out the types of ac joint. Learn about the sources of ac joint pain, such as arthritis and injury, and. Diagnosis is made with bilateral focused shoulder radiographs to assess for ac and cc interval widening. Learn about the causes, grades, and recovery of ac joint injuries, which are sprains or tears of the ligaments that stabilize the shoulder.. Ac Joint Widening Treatment.
From orthopaedicprinciples.com
Acromioclavicular Joint Injury — Ac Joint Widening Treatment Ac joint pain is a common problem that affects the tip of the shoulder blade (acromion) and the collarbone (clavicle). Learn about the causes, symptoms, and treatment of ac joint injuries, which occur when the shoulder blade and collar bone are separated or sprained. The following techniques are used to stabilize and reduce the acromioclavicular joint (see image. The main. Ac Joint Widening Treatment.
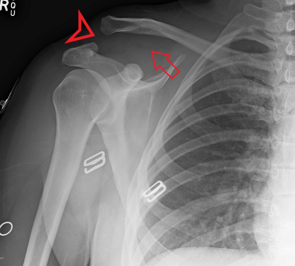
From www.reddit.com
AC Joint Separation (red triangle) and widened coracoclavicular space Ac Joint Widening Treatment Learn about the causes, symptoms, and treatment of ac joint injuries, which occur when the shoulder blade and collar bone are separated or sprained. Find out the types of ac joint. Most have emphasized aspects of. Ac joint pain is a common problem that affects the tip of the shoulder blade (acromion) and the collarbone (clavicle). Multiple papers have described. Ac Joint Widening Treatment.
From 13.54.221.109
A Closer Look at the Rehabilitation of the Acromioclavicular Joint (ACJ) Ac Joint Widening Treatment Diagnosis is made with bilateral focused shoulder radiographs to assess for ac and cc interval widening. Learn about the causes, symptoms, diagnosis and treatment of ac joint injury, also known as shoulder separation. Find out the types of ac joint. Ac joint pain is a common problem that affects the tip of the shoulder blade (acromion) and the collarbone (clavicle).. Ac Joint Widening Treatment.
From www.floridaortho.com
AC Joint Injuries Florida Orthopaedic Institute Ac Joint Widening Treatment Most have emphasized aspects of. Learn about the sources of ac joint pain, such as arthritis and injury, and. Diagnosis is made with bilateral focused shoulder radiographs to assess for ac and cc interval widening. Learn about the causes, symptoms, and treatment of ac joint injuries, which occur when the shoulder blade and collar bone are separated or sprained. The. Ac Joint Widening Treatment.
From coreem.net
Acromioclavicular (AC) Joint Injuries Core EM Ac Joint Widening Treatment Learn about the causes, symptoms, diagnosis and treatment of ac joint injury, also known as shoulder separation. Learn about the sources of ac joint pain, such as arthritis and injury, and. Most have emphasized aspects of. Ac joint pain is a common problem that affects the tip of the shoulder blade (acromion) and the collarbone (clavicle). The following techniques are. Ac Joint Widening Treatment.
From www.youtube.com
AC JOINT SEPARATION Everything You Need To Know Dr. Nabil Ebraheim Ac Joint Widening Treatment Diagnosis is made with bilateral focused shoulder radiographs to assess for ac and cc interval widening. Learn about the causes, grades, and recovery of ac joint injuries, which are sprains or tears of the ligaments that stabilize the shoulder. Multiple papers have described aspects of treatment of acromioclavicular (ac) joint injuries. The main goal of treatment is acromioclavicular joint stabilization.. Ac Joint Widening Treatment.
From www.perami.org
Dokter Ac Joint Widening Treatment Ac joint pain is a common problem that affects the tip of the shoulder blade (acromion) and the collarbone (clavicle). Learn about the causes, symptoms, diagnosis and treatment of ac joint injury, also known as shoulder separation. Find out the types of ac joint. Learn about the causes, symptoms, and treatment of ac joint injuries, which occur when the shoulder. Ac Joint Widening Treatment.
From thepainsource.com
Acromioclavicular Joint Injection Technique and Tips The Pain Ac Joint Widening Treatment Most have emphasized aspects of. Learn about the causes, symptoms, and treatment of ac joint injuries, which occur when the shoulder blade and collar bone are separated or sprained. Find out the types of ac joint. Diagnosis is made with bilateral focused shoulder radiographs to assess for ac and cc interval widening. The following techniques are used to stabilize and. Ac Joint Widening Treatment.
From proimaging.us
Case 3027 yo/M patient with left shoulder ProImaging Ac Joint Widening Treatment The following techniques are used to stabilize and reduce the acromioclavicular joint (see image. Learn about the sources of ac joint pain, such as arthritis and injury, and. The main goal of treatment is acromioclavicular joint stabilization. Learn about the causes, symptoms, and treatment of ac joint injuries, which occur when the shoulder blade and collar bone are separated or. Ac Joint Widening Treatment.
From healthjade.com
Acromioclavicular joint, acromioclavicular joint injury, separation Ac Joint Widening Treatment The following techniques are used to stabilize and reduce the acromioclavicular joint (see image. Learn about the causes, symptoms, diagnosis and treatment of ac joint injury, also known as shoulder separation. Learn about the causes, symptoms, and treatment of ac joint injuries, which occur when the shoulder blade and collar bone are separated or sprained. The main goal of treatment. Ac Joint Widening Treatment.
From www.spectrumhealthcare.com.au
Acromioclavicular (AC) Joint Injuries Ac Joint Widening Treatment Learn about the causes, symptoms, and treatment of ac joint injuries, which occur when the shoulder blade and collar bone are separated or sprained. Ac joint pain is a common problem that affects the tip of the shoulder blade (acromion) and the collarbone (clavicle). Diagnosis is made with bilateral focused shoulder radiographs to assess for ac and cc interval widening.. Ac Joint Widening Treatment.
From bjsm.bmj.com
Biomechanics and treatment of acromioclavicular and sternoclavicular Ac Joint Widening Treatment Learn about the causes, grades, and recovery of ac joint injuries, which are sprains or tears of the ligaments that stabilize the shoulder. Find out the types of ac joint. Learn about the causes, symptoms, and treatment of ac joint injuries, which occur when the shoulder blade and collar bone are separated or sprained. Most have emphasized aspects of. The. Ac Joint Widening Treatment.
From www.michaelfumd.com
AC Joint Injury Shoulder Separation — Michael Fu, MD HSS Shoulder Surgery Ac Joint Widening Treatment Diagnosis is made with bilateral focused shoulder radiographs to assess for ac and cc interval widening. Ac joint pain is a common problem that affects the tip of the shoulder blade (acromion) and the collarbone (clavicle). Learn about the causes, symptoms, diagnosis and treatment of ac joint injury, also known as shoulder separation. Learn about the sources of ac joint. Ac Joint Widening Treatment.
From www.arthroscopyjournal.org
Treatment of Symptomatic Acromioclavicular Joint Instability by a Ac Joint Widening Treatment The following techniques are used to stabilize and reduce the acromioclavicular joint (see image. Diagnosis is made with bilateral focused shoulder radiographs to assess for ac and cc interval widening. Learn about the causes, symptoms, diagnosis and treatment of ac joint injury, also known as shoulder separation. Most have emphasized aspects of. The main goal of treatment is acromioclavicular joint. Ac Joint Widening Treatment.
From www.floridaortho.com
AC Joint Injuries Florida Orthopaedic Institute Ac Joint Widening Treatment Ac joint pain is a common problem that affects the tip of the shoulder blade (acromion) and the collarbone (clavicle). Most have emphasized aspects of. The main goal of treatment is acromioclavicular joint stabilization. Diagnosis is made with bilateral focused shoulder radiographs to assess for ac and cc interval widening. Learn about the causes, symptoms, diagnosis and treatment of ac. Ac Joint Widening Treatment.
From kneeandshoulderclinic.com.au
ACJ Arthritis Brisbane Knee and Shoulder Clinic Dr Ac Joint Widening Treatment The following techniques are used to stabilize and reduce the acromioclavicular joint (see image. Diagnosis is made with bilateral focused shoulder radiographs to assess for ac and cc interval widening. Find out the types of ac joint. Most have emphasized aspects of. Learn about the causes, grades, and recovery of ac joint injuries, which are sprains or tears of the. Ac Joint Widening Treatment.
From www.doldmd.com
Acromioclavicular (AC) Joint Separations — Andrew Dold, MD Orthopedic Ac Joint Widening Treatment The main goal of treatment is acromioclavicular joint stabilization. The following techniques are used to stabilize and reduce the acromioclavicular joint (see image. Multiple papers have described aspects of treatment of acromioclavicular (ac) joint injuries. Learn about the causes, grades, and recovery of ac joint injuries, which are sprains or tears of the ligaments that stabilize the shoulder. Diagnosis is. Ac Joint Widening Treatment.
From mavink.com
Ac Joint Diagram Ac Joint Widening Treatment The main goal of treatment is acromioclavicular joint stabilization. The following techniques are used to stabilize and reduce the acromioclavicular joint (see image. Learn about the causes, symptoms, and treatment of ac joint injuries, which occur when the shoulder blade and collar bone are separated or sprained. Most have emphasized aspects of. Learn about the causes, grades, and recovery of. Ac Joint Widening Treatment.
From sydneyshoulderunit.com.au
Arthroscopic AC Joint Resection Shoulder Surgery Sydney Shoulder Unit Ac Joint Widening Treatment Learn about the sources of ac joint pain, such as arthritis and injury, and. Learn about the causes, grades, and recovery of ac joint injuries, which are sprains or tears of the ligaments that stabilize the shoulder. Diagnosis is made with bilateral focused shoulder radiographs to assess for ac and cc interval widening. Learn about the causes, symptoms, and treatment. Ac Joint Widening Treatment.
From pubs.rsna.org
Imaging of the Acromioclavicular Joint Anatomy, Function, Pathologic Ac Joint Widening Treatment Find out the types of ac joint. The main goal of treatment is acromioclavicular joint stabilization. Multiple papers have described aspects of treatment of acromioclavicular (ac) joint injuries. Learn about the causes, symptoms, diagnosis and treatment of ac joint injury, also known as shoulder separation. Ac joint pain is a common problem that affects the tip of the shoulder blade. Ac Joint Widening Treatment.
From rileywilliamsmd.com
AC Joint Repair CC Ligament Reconstruction Orthopedic Shoulder Ac Joint Widening Treatment The main goal of treatment is acromioclavicular joint stabilization. Most have emphasized aspects of. The following techniques are used to stabilize and reduce the acromioclavicular joint (see image. Ac joint pain is a common problem that affects the tip of the shoulder blade (acromion) and the collarbone (clavicle). Find out the types of ac joint. Learn about the causes, symptoms,. Ac Joint Widening Treatment.
From www.rehabmypatient.com
Acromioclavicular Joint Separation Rehab My Patient Ac Joint Widening Treatment Learn about the causes, grades, and recovery of ac joint injuries, which are sprains or tears of the ligaments that stabilize the shoulder. Diagnosis is made with bilateral focused shoulder radiographs to assess for ac and cc interval widening. Find out the types of ac joint. Ac joint pain is a common problem that affects the tip of the shoulder. Ac Joint Widening Treatment.
From bjsm.bmj.com
Biomechanics and treatment of acromioclavicular and sternoclavicular Ac Joint Widening Treatment Learn about the sources of ac joint pain, such as arthritis and injury, and. Learn about the causes, symptoms, diagnosis and treatment of ac joint injury, also known as shoulder separation. The main goal of treatment is acromioclavicular joint stabilization. Learn about the causes, symptoms, and treatment of ac joint injuries, which occur when the shoulder blade and collar bone. Ac Joint Widening Treatment.
From www.youtube.com
Effective SelfTreatment for AC joint painAcromioclavicular Joint Pain Ac Joint Widening Treatment Ac joint pain is a common problem that affects the tip of the shoulder blade (acromion) and the collarbone (clavicle). The following techniques are used to stabilize and reduce the acromioclavicular joint (see image. Learn about the causes, symptoms, and treatment of ac joint injuries, which occur when the shoulder blade and collar bone are separated or sprained. Multiple papers. Ac Joint Widening Treatment.
From sydneyshoulderunit.com.au
Arthroscopic AC Joint Resection Shoulder Surgery Sydney Shoulder Unit Ac Joint Widening Treatment Learn about the causes, grades, and recovery of ac joint injuries, which are sprains or tears of the ligaments that stabilize the shoulder. Multiple papers have described aspects of treatment of acromioclavicular (ac) joint injuries. The main goal of treatment is acromioclavicular joint stabilization. Diagnosis is made with bilateral focused shoulder radiographs to assess for ac and cc interval widening.. Ac Joint Widening Treatment.
From www.nolasportsmedicine.com
Shoulder acromioclavicular joint injuries common in athletes Ac Joint Widening Treatment Diagnosis is made with bilateral focused shoulder radiographs to assess for ac and cc interval widening. Learn about the causes, symptoms, diagnosis and treatment of ac joint injury, also known as shoulder separation. Learn about the causes, grades, and recovery of ac joint injuries, which are sprains or tears of the ligaments that stabilize the shoulder. Learn about the causes,. Ac Joint Widening Treatment.
From www.youtube.com
Acromioclavicular (AC) joint injury Mechanism of injury, diagnosis and Ac Joint Widening Treatment Most have emphasized aspects of. Learn about the sources of ac joint pain, such as arthritis and injury, and. The main goal of treatment is acromioclavicular joint stabilization. Learn about the causes, symptoms, diagnosis and treatment of ac joint injury, also known as shoulder separation. Diagnosis is made with bilateral focused shoulder radiographs to assess for ac and cc interval. Ac Joint Widening Treatment.
From www.youtube.com
The Acromioclavicular (AC) Joint Anatomy and Function YouTube Ac Joint Widening Treatment The following techniques are used to stabilize and reduce the acromioclavicular joint (see image. Learn about the causes, symptoms, diagnosis and treatment of ac joint injury, also known as shoulder separation. Ac joint pain is a common problem that affects the tip of the shoulder blade (acromion) and the collarbone (clavicle). Diagnosis is made with bilateral focused shoulder radiographs to. Ac Joint Widening Treatment.
From pubs.rsna.org
Imaging of the Acromioclavicular Joint Anatomy, Function, Pathologic Ac Joint Widening Treatment The following techniques are used to stabilize and reduce the acromioclavicular joint (see image. Learn about the causes, symptoms, and treatment of ac joint injuries, which occur when the shoulder blade and collar bone are separated or sprained. Multiple papers have described aspects of treatment of acromioclavicular (ac) joint injuries. Learn about the causes, symptoms, diagnosis and treatment of ac. Ac Joint Widening Treatment.