Dental Erosion Gastric Acid . Dental erosion is the loss of tooth enamel due to acid exposure. Gerd is a condition that causes acid reflux and can damage your teeth over time. The effect of gerd on oral cavity can be extensive. Learn about the sources of acid, the signs of erosion, and how to protect your teeth. Tooth erosion and sensitivity, sour. Learn about dental erosion, a chemical process that dissolves tooth enamel by acids, and how to prevent and manage it. Gastric acid usually reaches the oral cavity through the esophagus. Chronic regurgitation of gastric acids in patients with gastroesophageal reflux disease may cause dental erosion, which can lead in. Tooth erosion is when your enamel (the outer layer of your teeth) wears thin due to acidic foods, brushing too hard or other factors.
from brightondentalsuite.com.au
Gastric acid usually reaches the oral cavity through the esophagus. Dental erosion is the loss of tooth enamel due to acid exposure. Tooth erosion is when your enamel (the outer layer of your teeth) wears thin due to acidic foods, brushing too hard or other factors. Gerd is a condition that causes acid reflux and can damage your teeth over time. Tooth erosion and sensitivity, sour. The effect of gerd on oral cavity can be extensive. Learn about dental erosion, a chemical process that dissolves tooth enamel by acids, and how to prevent and manage it. Chronic regurgitation of gastric acids in patients with gastroesophageal reflux disease may cause dental erosion, which can lead in. Learn about the sources of acid, the signs of erosion, and how to protect your teeth.
Teeth Erosion Dental Erosion Tooth Enamel Erosion & Treatment
Dental Erosion Gastric Acid Learn about the sources of acid, the signs of erosion, and how to protect your teeth. Chronic regurgitation of gastric acids in patients with gastroesophageal reflux disease may cause dental erosion, which can lead in. The effect of gerd on oral cavity can be extensive. Tooth erosion is when your enamel (the outer layer of your teeth) wears thin due to acidic foods, brushing too hard or other factors. Gerd is a condition that causes acid reflux and can damage your teeth over time. Learn about dental erosion, a chemical process that dissolves tooth enamel by acids, and how to prevent and manage it. Dental erosion is the loss of tooth enamel due to acid exposure. Gastric acid usually reaches the oral cavity through the esophagus. Tooth erosion and sensitivity, sour. Learn about the sources of acid, the signs of erosion, and how to protect your teeth.
From ceinaeuf.blob.core.windows.net
What Is Erosion Dental at Helen Carter blog Dental Erosion Gastric Acid Tooth erosion and sensitivity, sour. Learn about the sources of acid, the signs of erosion, and how to protect your teeth. Gerd is a condition that causes acid reflux and can damage your teeth over time. Chronic regurgitation of gastric acids in patients with gastroesophageal reflux disease may cause dental erosion, which can lead in. Learn about dental erosion, a. Dental Erosion Gastric Acid.
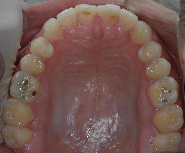
From northlandprosthodontics.co.nz
4tootherosionbyacidreflux Dental Erosion Gastric Acid The effect of gerd on oral cavity can be extensive. Dental erosion is the loss of tooth enamel due to acid exposure. Learn about dental erosion, a chemical process that dissolves tooth enamel by acids, and how to prevent and manage it. Learn about the sources of acid, the signs of erosion, and how to protect your teeth. Gerd is. Dental Erosion Gastric Acid.
From www.researchgate.net
Diagnostic criteria for dental erosion. Dental erosion limited to the Dental Erosion Gastric Acid Learn about the sources of acid, the signs of erosion, and how to protect your teeth. Tooth erosion is when your enamel (the outer layer of your teeth) wears thin due to acidic foods, brushing too hard or other factors. Gerd is a condition that causes acid reflux and can damage your teeth over time. Tooth erosion and sensitivity, sour.. Dental Erosion Gastric Acid.
From medium.com
How Acid Erosion Affects Your Teeth by Classen Dentistry Medium Dental Erosion Gastric Acid Gastric acid usually reaches the oral cavity through the esophagus. Tooth erosion is when your enamel (the outer layer of your teeth) wears thin due to acidic foods, brushing too hard or other factors. Learn about dental erosion, a chemical process that dissolves tooth enamel by acids, and how to prevent and manage it. Dental erosion is the loss of. Dental Erosion Gastric Acid.
From www.southviewdentistrycharlotte.com
The Truth About Soda and Acid Erosion on Teeth Southview Dentistry Dental Erosion Gastric Acid The effect of gerd on oral cavity can be extensive. Chronic regurgitation of gastric acids in patients with gastroesophageal reflux disease may cause dental erosion, which can lead in. Learn about the sources of acid, the signs of erosion, and how to protect your teeth. Gerd is a condition that causes acid reflux and can damage your teeth over time.. Dental Erosion Gastric Acid.
From www.studocu.com
Physed 2 goodluck! Acid Erosion of Dental Enamel Certain food Dental Erosion Gastric Acid Gastric acid usually reaches the oral cavity through the esophagus. Dental erosion is the loss of tooth enamel due to acid exposure. The effect of gerd on oral cavity can be extensive. Chronic regurgitation of gastric acids in patients with gastroesophageal reflux disease may cause dental erosion, which can lead in. Learn about the sources of acid, the signs of. Dental Erosion Gastric Acid.
From northlandprosthodontics.co.nz
Tooth Grinding and Joint Disorders Northland Prosthodontics Dental Erosion Gastric Acid Tooth erosion and sensitivity, sour. Dental erosion is the loss of tooth enamel due to acid exposure. Gerd is a condition that causes acid reflux and can damage your teeth over time. Chronic regurgitation of gastric acids in patients with gastroesophageal reflux disease may cause dental erosion, which can lead in. Gastric acid usually reaches the oral cavity through the. Dental Erosion Gastric Acid.
From pixels.com
Dental Acid Erosion Photograph by Claus Lunau/science Photo Library Dental Erosion Gastric Acid Tooth erosion and sensitivity, sour. Gastric acid usually reaches the oral cavity through the esophagus. Learn about dental erosion, a chemical process that dissolves tooth enamel by acids, and how to prevent and manage it. Learn about the sources of acid, the signs of erosion, and how to protect your teeth. Chronic regurgitation of gastric acids in patients with gastroesophageal. Dental Erosion Gastric Acid.
From allentxdentist.com
Acid Reflux GERD Acid Erosion of Teeth Family Dentist Allen TX Dental Erosion Gastric Acid Dental erosion is the loss of tooth enamel due to acid exposure. Tooth erosion and sensitivity, sour. Tooth erosion is when your enamel (the outer layer of your teeth) wears thin due to acidic foods, brushing too hard or other factors. Gastric acid usually reaches the oral cavity through the esophagus. The effect of gerd on oral cavity can be. Dental Erosion Gastric Acid.
From smilekyle.com
acid erosion causes tooth enamel erosion Smile Kyle NEO Dentistry Dental Erosion Gastric Acid Chronic regurgitation of gastric acids in patients with gastroesophageal reflux disease may cause dental erosion, which can lead in. Learn about the sources of acid, the signs of erosion, and how to protect your teeth. Tooth erosion and sensitivity, sour. Gastric acid usually reaches the oral cavity through the esophagus. Dental erosion is the loss of tooth enamel due to. Dental Erosion Gastric Acid.
From www.youtube.com
Acid Erosion & Teeth (Symptoms & How to Save Enamel) YouTube Dental Erosion Gastric Acid Tooth erosion and sensitivity, sour. Learn about dental erosion, a chemical process that dissolves tooth enamel by acids, and how to prevent and manage it. Dental erosion is the loss of tooth enamel due to acid exposure. Learn about the sources of acid, the signs of erosion, and how to protect your teeth. The effect of gerd on oral cavity. Dental Erosion Gastric Acid.
From www.mossvaledental.com.au
Dental Erosion What Is It? Tips On Avoiding It Moss Vale Dental Dental Erosion Gastric Acid Gastric acid usually reaches the oral cavity through the esophagus. Dental erosion is the loss of tooth enamel due to acid exposure. Chronic regurgitation of gastric acids in patients with gastroesophageal reflux disease may cause dental erosion, which can lead in. Learn about dental erosion, a chemical process that dissolves tooth enamel by acids, and how to prevent and manage. Dental Erosion Gastric Acid.
From www.johngoodmandds.net
Cosmetic / Restorative Dentistry Kansas City Acid Reflux (Gerd)... Dental Erosion Gastric Acid Gerd is a condition that causes acid reflux and can damage your teeth over time. Tooth erosion is when your enamel (the outer layer of your teeth) wears thin due to acidic foods, brushing too hard or other factors. Learn about the sources of acid, the signs of erosion, and how to protect your teeth. Learn about dental erosion, a. Dental Erosion Gastric Acid.
From www.semanticscholar.org
Figure 2 from Gastroesophageal reflux disease, tooth erosion, and Dental Erosion Gastric Acid Gastric acid usually reaches the oral cavity through the esophagus. Learn about dental erosion, a chemical process that dissolves tooth enamel by acids, and how to prevent and manage it. Dental erosion is the loss of tooth enamel due to acid exposure. The effect of gerd on oral cavity can be extensive. Gerd is a condition that causes acid reflux. Dental Erosion Gastric Acid.
From lasrydentalclinic.com
We Need To Talk About Dental Erosion Here’s What You Need To Know Dental Erosion Gastric Acid Tooth erosion and sensitivity, sour. Chronic regurgitation of gastric acids in patients with gastroesophageal reflux disease may cause dental erosion, which can lead in. Dental erosion is the loss of tooth enamel due to acid exposure. Gastric acid usually reaches the oral cavity through the esophagus. Tooth erosion is when your enamel (the outer layer of your teeth) wears thin. Dental Erosion Gastric Acid.
From northshoredentalclinic.com.au
What is Erosion? Northshore Dental and Oral Health Dental Erosion Gastric Acid Chronic regurgitation of gastric acids in patients with gastroesophageal reflux disease may cause dental erosion, which can lead in. Dental erosion is the loss of tooth enamel due to acid exposure. Gastric acid usually reaches the oral cavity through the esophagus. Gerd is a condition that causes acid reflux and can damage your teeth over time. Learn about the sources. Dental Erosion Gastric Acid.
From www.aegisdentalnetwork.com
Direct Restorative Treatment of Dental Erosion Caused by Dental Erosion Gastric Acid The effect of gerd on oral cavity can be extensive. Dental erosion is the loss of tooth enamel due to acid exposure. Chronic regurgitation of gastric acids in patients with gastroesophageal reflux disease may cause dental erosion, which can lead in. Gastric acid usually reaches the oral cavity through the esophagus. Tooth erosion is when your enamel (the outer layer. Dental Erosion Gastric Acid.
From www.southviewdentistrycharlotte.com
The Truth About Soda and Acid Erosion on Teeth Southview Dentistry Dental Erosion Gastric Acid Chronic regurgitation of gastric acids in patients with gastroesophageal reflux disease may cause dental erosion, which can lead in. Dental erosion is the loss of tooth enamel due to acid exposure. Learn about dental erosion, a chemical process that dissolves tooth enamel by acids, and how to prevent and manage it. The effect of gerd on oral cavity can be. Dental Erosion Gastric Acid.
From www.thesterlingdentist.com
Understanding the Difference Between Demineralization and Tooth Erosion Dental Erosion Gastric Acid The effect of gerd on oral cavity can be extensive. Tooth erosion is when your enamel (the outer layer of your teeth) wears thin due to acidic foods, brushing too hard or other factors. Gastric acid usually reaches the oral cavity through the esophagus. Tooth erosion and sensitivity, sour. Chronic regurgitation of gastric acids in patients with gastroesophageal reflux disease. Dental Erosion Gastric Acid.
From allentxdentist.com
Acid Reflux GERD Acid Erosion of Teeth Family Dentist Allen TX Dental Erosion Gastric Acid Dental erosion is the loss of tooth enamel due to acid exposure. Tooth erosion and sensitivity, sour. Gerd is a condition that causes acid reflux and can damage your teeth over time. Learn about the sources of acid, the signs of erosion, and how to protect your teeth. The effect of gerd on oral cavity can be extensive. Gastric acid. Dental Erosion Gastric Acid.
From lowcountryfamilydentistry.com
Dental Erosion Acid Reflux Effects & Prevention Dentist Ladys Island SC Dental Erosion Gastric Acid Learn about dental erosion, a chemical process that dissolves tooth enamel by acids, and how to prevent and manage it. Gastric acid usually reaches the oral cavity through the esophagus. Gerd is a condition that causes acid reflux and can damage your teeth over time. Learn about the sources of acid, the signs of erosion, and how to protect your. Dental Erosion Gastric Acid.
From www.speareducation.com
Intrinsic Dental Erosion Causes and Diagnosis Spear Education Dental Erosion Gastric Acid Learn about the sources of acid, the signs of erosion, and how to protect your teeth. The effect of gerd on oral cavity can be extensive. Gerd is a condition that causes acid reflux and can damage your teeth over time. Learn about dental erosion, a chemical process that dissolves tooth enamel by acids, and how to prevent and manage. Dental Erosion Gastric Acid.
From auzybypeno.blogspot.com
What Are The Long Term Effects Of Acid Reflux Dental Erosion Gastric Acid Gerd is a condition that causes acid reflux and can damage your teeth over time. Tooth erosion and sensitivity, sour. Learn about dental erosion, a chemical process that dissolves tooth enamel by acids, and how to prevent and manage it. Learn about the sources of acid, the signs of erosion, and how to protect your teeth. Gastric acid usually reaches. Dental Erosion Gastric Acid.
From www.studiodentaire.com
Erosion Studio Dentaire Dental Erosion Gastric Acid Tooth erosion and sensitivity, sour. Learn about dental erosion, a chemical process that dissolves tooth enamel by acids, and how to prevent and manage it. The effect of gerd on oral cavity can be extensive. Gastric acid usually reaches the oral cavity through the esophagus. Gerd is a condition that causes acid reflux and can damage your teeth over time.. Dental Erosion Gastric Acid.
From brightondentalsuite.com.au
Teeth Erosion Dental Erosion Tooth Enamel Erosion & Treatment Dental Erosion Gastric Acid Gastric acid usually reaches the oral cavity through the esophagus. The effect of gerd on oral cavity can be extensive. Dental erosion is the loss of tooth enamel due to acid exposure. Learn about the sources of acid, the signs of erosion, and how to protect your teeth. Learn about dental erosion, a chemical process that dissolves tooth enamel by. Dental Erosion Gastric Acid.
From doctorsaylor.com
How To Repair Tooth Enamel Dr. Larry Saylor Tampa FL Dental Erosion Gastric Acid Chronic regurgitation of gastric acids in patients with gastroesophageal reflux disease may cause dental erosion, which can lead in. Gastric acid usually reaches the oral cavity through the esophagus. Gerd is a condition that causes acid reflux and can damage your teeth over time. Learn about the sources of acid, the signs of erosion, and how to protect your teeth.. Dental Erosion Gastric Acid.
From www.rockinghamdental.net
Dental Erosion Causes, Symptoms and Treatment Rockingham Dental Centre Dental Erosion Gastric Acid Chronic regurgitation of gastric acids in patients with gastroesophageal reflux disease may cause dental erosion, which can lead in. Tooth erosion and sensitivity, sour. Gerd is a condition that causes acid reflux and can damage your teeth over time. Learn about the sources of acid, the signs of erosion, and how to protect your teeth. The effect of gerd on. Dental Erosion Gastric Acid.
From amazingsmiles.com.au
Dental Erosion Caused By Acid Reflux Amazing Smiles Dental Erosion Gastric Acid Dental erosion is the loss of tooth enamel due to acid exposure. Gerd is a condition that causes acid reflux and can damage your teeth over time. Learn about dental erosion, a chemical process that dissolves tooth enamel by acids, and how to prevent and manage it. Gastric acid usually reaches the oral cavity through the esophagus. The effect of. Dental Erosion Gastric Acid.
From medcraveonline.com
Gastroesophageal Reflux Disease and Dental Erosions A Mini Review Dental Erosion Gastric Acid Tooth erosion and sensitivity, sour. Learn about the sources of acid, the signs of erosion, and how to protect your teeth. Tooth erosion is when your enamel (the outer layer of your teeth) wears thin due to acidic foods, brushing too hard or other factors. Learn about dental erosion, a chemical process that dissolves tooth enamel by acids, and how. Dental Erosion Gastric Acid.
From www.youtube.com
Treatment of Gastric acidic erosion of tooth YouTube Dental Erosion Gastric Acid Tooth erosion and sensitivity, sour. Chronic regurgitation of gastric acids in patients with gastroesophageal reflux disease may cause dental erosion, which can lead in. Dental erosion is the loss of tooth enamel due to acid exposure. Gastric acid usually reaches the oral cavity through the esophagus. The effect of gerd on oral cavity can be extensive. Learn about the sources. Dental Erosion Gastric Acid.
From www.peptest.co.uk
Tooth Wear and Gastric Acid Erosion inar Dental Erosion Gastric Acid Tooth erosion is when your enamel (the outer layer of your teeth) wears thin due to acidic foods, brushing too hard or other factors. Chronic regurgitation of gastric acids in patients with gastroesophageal reflux disease may cause dental erosion, which can lead in. Dental erosion is the loss of tooth enamel due to acid exposure. Learn about dental erosion, a. Dental Erosion Gastric Acid.
From www.southviewdentistrycharlotte.com
The Truth About Soda and Acid Erosion on Teeth Southview Dentistry Dental Erosion Gastric Acid Gerd is a condition that causes acid reflux and can damage your teeth over time. Learn about the sources of acid, the signs of erosion, and how to protect your teeth. Learn about dental erosion, a chemical process that dissolves tooth enamel by acids, and how to prevent and manage it. Dental erosion is the loss of tooth enamel due. Dental Erosion Gastric Acid.
From www.speareducation.com
Intrinsic Dental Erosion Causes and Diagnosis Spear Education Dental Erosion Gastric Acid Gerd is a condition that causes acid reflux and can damage your teeth over time. The effect of gerd on oral cavity can be extensive. Chronic regurgitation of gastric acids in patients with gastroesophageal reflux disease may cause dental erosion, which can lead in. Tooth erosion is when your enamel (the outer layer of your teeth) wears thin due to. Dental Erosion Gastric Acid.
From www.southviewdentistrycharlotte.com
The Truth About Soda and Acid Erosion on Teeth Southview Dentistry Dental Erosion Gastric Acid Learn about dental erosion, a chemical process that dissolves tooth enamel by acids, and how to prevent and manage it. Dental erosion is the loss of tooth enamel due to acid exposure. Gastric acid usually reaches the oral cavity through the esophagus. Gerd is a condition that causes acid reflux and can damage your teeth over time. Chronic regurgitation of. Dental Erosion Gastric Acid.
From www.researchgate.net
Frontal and maxillary occlusal views of severe tooth erosion caused by Dental Erosion Gastric Acid Chronic regurgitation of gastric acids in patients with gastroesophageal reflux disease may cause dental erosion, which can lead in. Tooth erosion is when your enamel (the outer layer of your teeth) wears thin due to acidic foods, brushing too hard or other factors. Gastric acid usually reaches the oral cavity through the esophagus. Gerd is a condition that causes acid. Dental Erosion Gastric Acid.