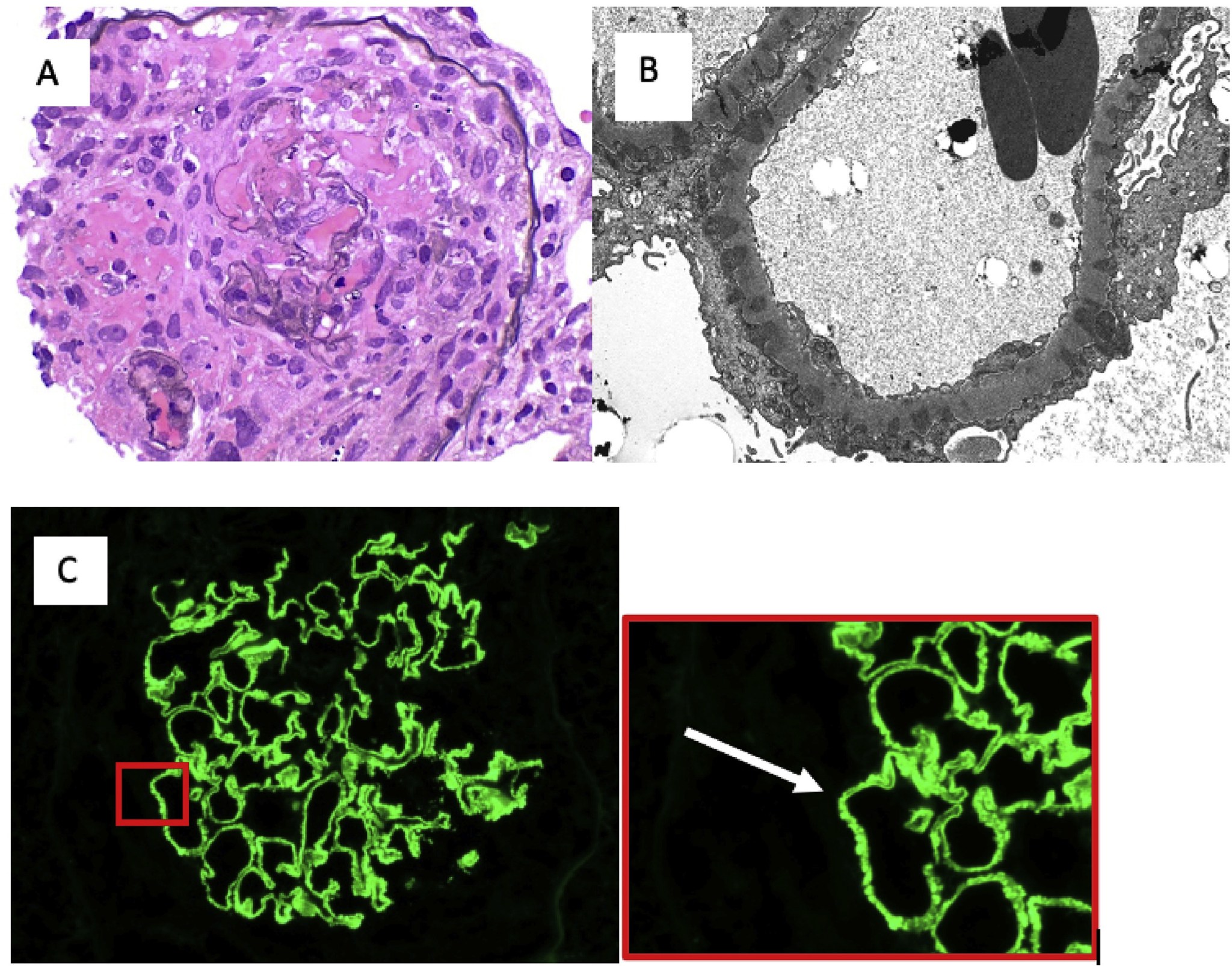
Anti Gbm Disease Electron Microscopy . Gbm breaks with necrosis and crescent formation are observed. Autoantibodies against the nc1 domain of the α3 chain of type iv. The lm definitions for pathologic features are listed in table 1 according to 5 categories: (i) sclerosing and collapsing lesions of. The hallmark of this disease is continuous linear deposition of immunoglobulin [usually immunoglobulin g (igg)] along gbms,.
from www.semanticscholar.org
Gbm breaks with necrosis and crescent formation are observed. The lm definitions for pathologic features are listed in table 1 according to 5 categories: Autoantibodies against the nc1 domain of the α3 chain of type iv. The hallmark of this disease is continuous linear deposition of immunoglobulin [usually immunoglobulin g (igg)] along gbms,. (i) sclerosing and collapsing lesions of.
Table 1 from Antiglomerular basement membrane disease an update on
Anti Gbm Disease Electron Microscopy Autoantibodies against the nc1 domain of the α3 chain of type iv. The lm definitions for pathologic features are listed in table 1 according to 5 categories: Gbm breaks with necrosis and crescent formation are observed. (i) sclerosing and collapsing lesions of. The hallmark of this disease is continuous linear deposition of immunoglobulin [usually immunoglobulin g (igg)] along gbms,. Autoantibodies against the nc1 domain of the α3 chain of type iv.
From www.pathologyoutlines.com
Pathology Outlines AntiGBM nephritis Anti Gbm Disease Electron Microscopy Gbm breaks with necrosis and crescent formation are observed. The hallmark of this disease is continuous linear deposition of immunoglobulin [usually immunoglobulin g (igg)] along gbms,. (i) sclerosing and collapsing lesions of. Autoantibodies against the nc1 domain of the α3 chain of type iv. The lm definitions for pathologic features are listed in table 1 according to 5 categories: Anti Gbm Disease Electron Microscopy.
From www.semanticscholar.org
Crescentic Glomerulonephritis an update on Pauciimmune and AntiGBM Anti Gbm Disease Electron Microscopy Gbm breaks with necrosis and crescent formation are observed. The hallmark of this disease is continuous linear deposition of immunoglobulin [usually immunoglobulin g (igg)] along gbms,. The lm definitions for pathologic features are listed in table 1 according to 5 categories: (i) sclerosing and collapsing lesions of. Autoantibodies against the nc1 domain of the α3 chain of type iv. Anti Gbm Disease Electron Microscopy.
From www.researchgate.net
Histopathologic findings in atypical antiGBM disease. (AC) Patient 2 Anti Gbm Disease Electron Microscopy Autoantibodies against the nc1 domain of the α3 chain of type iv. (i) sclerosing and collapsing lesions of. The lm definitions for pathologic features are listed in table 1 according to 5 categories: The hallmark of this disease is continuous linear deposition of immunoglobulin [usually immunoglobulin g (igg)] along gbms,. Gbm breaks with necrosis and crescent formation are observed. Anti Gbm Disease Electron Microscopy.
From www.researchgate.net
IgAmediated antiGBM disease. (A) Light microscopy segmental Anti Gbm Disease Electron Microscopy The hallmark of this disease is continuous linear deposition of immunoglobulin [usually immunoglobulin g (igg)] along gbms,. Autoantibodies against the nc1 domain of the α3 chain of type iv. (i) sclerosing and collapsing lesions of. The lm definitions for pathologic features are listed in table 1 according to 5 categories: Gbm breaks with necrosis and crescent formation are observed. Anti Gbm Disease Electron Microscopy.
From www.researchgate.net
Renal biopsy findings. (a) Patient C by light microscopy, a glomerulus Anti Gbm Disease Electron Microscopy (i) sclerosing and collapsing lesions of. The lm definitions for pathologic features are listed in table 1 according to 5 categories: The hallmark of this disease is continuous linear deposition of immunoglobulin [usually immunoglobulin g (igg)] along gbms,. Gbm breaks with necrosis and crescent formation are observed. Autoantibodies against the nc1 domain of the α3 chain of type iv. Anti Gbm Disease Electron Microscopy.
From www.ajkd.org
AntiGBM Antibody Mediated Glomerulonephritis American Journal of Anti Gbm Disease Electron Microscopy Gbm breaks with necrosis and crescent formation are observed. Autoantibodies against the nc1 domain of the α3 chain of type iv. The lm definitions for pathologic features are listed in table 1 according to 5 categories: The hallmark of this disease is continuous linear deposition of immunoglobulin [usually immunoglobulin g (igg)] along gbms,. (i) sclerosing and collapsing lesions of. Anti Gbm Disease Electron Microscopy.
From www.pathologyoutlines.com
Pathology Outlines AntiGBM nephritis Anti Gbm Disease Electron Microscopy The lm definitions for pathologic features are listed in table 1 according to 5 categories: Autoantibodies against the nc1 domain of the α3 chain of type iv. (i) sclerosing and collapsing lesions of. Gbm breaks with necrosis and crescent formation are observed. The hallmark of this disease is continuous linear deposition of immunoglobulin [usually immunoglobulin g (igg)] along gbms,. Anti Gbm Disease Electron Microscopy.
From www.ajkd.org
AntiGBM Antibody Mediated Glomerulonephritis American Journal of Anti Gbm Disease Electron Microscopy Gbm breaks with necrosis and crescent formation are observed. Autoantibodies against the nc1 domain of the α3 chain of type iv. (i) sclerosing and collapsing lesions of. The lm definitions for pathologic features are listed in table 1 according to 5 categories: The hallmark of this disease is continuous linear deposition of immunoglobulin [usually immunoglobulin g (igg)] along gbms,. Anti Gbm Disease Electron Microscopy.
From www.slideserve.com
PPT AntiGlomerular Basement Membrane Disease PowerPoint Presentation Anti Gbm Disease Electron Microscopy Gbm breaks with necrosis and crescent formation are observed. The hallmark of this disease is continuous linear deposition of immunoglobulin [usually immunoglobulin g (igg)] along gbms,. The lm definitions for pathologic features are listed in table 1 according to 5 categories: (i) sclerosing and collapsing lesions of. Autoantibodies against the nc1 domain of the α3 chain of type iv. Anti Gbm Disease Electron Microscopy.
From casereports.bmj.com
Rare case of atypical crescentic glomerulonephritis and interstitial Anti Gbm Disease Electron Microscopy The lm definitions for pathologic features are listed in table 1 according to 5 categories: The hallmark of this disease is continuous linear deposition of immunoglobulin [usually immunoglobulin g (igg)] along gbms,. (i) sclerosing and collapsing lesions of. Autoantibodies against the nc1 domain of the α3 chain of type iv. Gbm breaks with necrosis and crescent formation are observed. Anti Gbm Disease Electron Microscopy.
From www.pathologyoutlines.com
Pathology Outlines AntiGBM nephritis Anti Gbm Disease Electron Microscopy Autoantibodies against the nc1 domain of the α3 chain of type iv. The lm definitions for pathologic features are listed in table 1 according to 5 categories: (i) sclerosing and collapsing lesions of. The hallmark of this disease is continuous linear deposition of immunoglobulin [usually immunoglobulin g (igg)] along gbms,. Gbm breaks with necrosis and crescent formation are observed. Anti Gbm Disease Electron Microscopy.
From www.researchgate.net
Histological analysis of day 14 antiGBM disease. ( a ) PTAH staining Anti Gbm Disease Electron Microscopy Autoantibodies against the nc1 domain of the α3 chain of type iv. (i) sclerosing and collapsing lesions of. Gbm breaks with necrosis and crescent formation are observed. The lm definitions for pathologic features are listed in table 1 according to 5 categories: The hallmark of this disease is continuous linear deposition of immunoglobulin [usually immunoglobulin g (igg)] along gbms,. Anti Gbm Disease Electron Microscopy.
From www.uninet.edu
CIN'2003. Levy AntiGlomerular Basement Membrane Disease Anti Gbm Disease Electron Microscopy (i) sclerosing and collapsing lesions of. Gbm breaks with necrosis and crescent formation are observed. Autoantibodies against the nc1 domain of the α3 chain of type iv. The hallmark of this disease is continuous linear deposition of immunoglobulin [usually immunoglobulin g (igg)] along gbms,. The lm definitions for pathologic features are listed in table 1 according to 5 categories: Anti Gbm Disease Electron Microscopy.
From www.kidney-international.org
AntiGBM nephritis with mesangial IgA deposits after SARSCoV2 mRNA Anti Gbm Disease Electron Microscopy The lm definitions for pathologic features are listed in table 1 according to 5 categories: Autoantibodies against the nc1 domain of the α3 chain of type iv. The hallmark of this disease is continuous linear deposition of immunoglobulin [usually immunoglobulin g (igg)] along gbms,. Gbm breaks with necrosis and crescent formation are observed. (i) sclerosing and collapsing lesions of. Anti Gbm Disease Electron Microscopy.
From bmcnephrol.biomedcentral.com
Heavy chain deposition disease presenting with raised antiGBM antibody Anti Gbm Disease Electron Microscopy The hallmark of this disease is continuous linear deposition of immunoglobulin [usually immunoglobulin g (igg)] along gbms,. (i) sclerosing and collapsing lesions of. Autoantibodies against the nc1 domain of the α3 chain of type iv. The lm definitions for pathologic features are listed in table 1 according to 5 categories: Gbm breaks with necrosis and crescent formation are observed. Anti Gbm Disease Electron Microscopy.
From www.researchgate.net
Typical glomerular basement membrane (GBM) changes on electron Anti Gbm Disease Electron Microscopy The lm definitions for pathologic features are listed in table 1 according to 5 categories: (i) sclerosing and collapsing lesions of. Gbm breaks with necrosis and crescent formation are observed. The hallmark of this disease is continuous linear deposition of immunoglobulin [usually immunoglobulin g (igg)] along gbms,. Autoantibodies against the nc1 domain of the α3 chain of type iv. Anti Gbm Disease Electron Microscopy.
From ajkdblog.org
PathPointer Atypical AntiGBM Nephritis AJKD Blog Anti Gbm Disease Electron Microscopy Autoantibodies against the nc1 domain of the α3 chain of type iv. Gbm breaks with necrosis and crescent formation are observed. The hallmark of this disease is continuous linear deposition of immunoglobulin [usually immunoglobulin g (igg)] along gbms,. (i) sclerosing and collapsing lesions of. The lm definitions for pathologic features are listed in table 1 according to 5 categories: Anti Gbm Disease Electron Microscopy.
From casereports.bmj.com
Rare case of atypical crescentic glomerulonephritis and interstitial Anti Gbm Disease Electron Microscopy (i) sclerosing and collapsing lesions of. Gbm breaks with necrosis and crescent formation are observed. Autoantibodies against the nc1 domain of the α3 chain of type iv. The hallmark of this disease is continuous linear deposition of immunoglobulin [usually immunoglobulin g (igg)] along gbms,. The lm definitions for pathologic features are listed in table 1 according to 5 categories: Anti Gbm Disease Electron Microscopy.
From www.researchgate.net
Transmission electron microscopy and immunohistochemistry. ( A , B Anti Gbm Disease Electron Microscopy (i) sclerosing and collapsing lesions of. The lm definitions for pathologic features are listed in table 1 according to 5 categories: Gbm breaks with necrosis and crescent formation are observed. The hallmark of this disease is continuous linear deposition of immunoglobulin [usually immunoglobulin g (igg)] along gbms,. Autoantibodies against the nc1 domain of the α3 chain of type iv. Anti Gbm Disease Electron Microscopy.
From www.pathologyoutlines.com
Pathology Outlines Crescentic glomerulonephritis overview Anti Gbm Disease Electron Microscopy Autoantibodies against the nc1 domain of the α3 chain of type iv. Gbm breaks with necrosis and crescent formation are observed. (i) sclerosing and collapsing lesions of. The lm definitions for pathologic features are listed in table 1 according to 5 categories: The hallmark of this disease is continuous linear deposition of immunoglobulin [usually immunoglobulin g (igg)] along gbms,. Anti Gbm Disease Electron Microscopy.
From www.frontiersin.org
Frontiers Unleashing the power of complement activation unraveling Anti Gbm Disease Electron Microscopy The lm definitions for pathologic features are listed in table 1 according to 5 categories: (i) sclerosing and collapsing lesions of. Gbm breaks with necrosis and crescent formation are observed. Autoantibodies against the nc1 domain of the α3 chain of type iv. The hallmark of this disease is continuous linear deposition of immunoglobulin [usually immunoglobulin g (igg)] along gbms,. Anti Gbm Disease Electron Microscopy.
From jcp.bmj.com
Clinicopathological features and of antibodynegative anti Anti Gbm Disease Electron Microscopy The lm definitions for pathologic features are listed in table 1 according to 5 categories: (i) sclerosing and collapsing lesions of. Autoantibodies against the nc1 domain of the α3 chain of type iv. Gbm breaks with necrosis and crescent formation are observed. The hallmark of this disease is continuous linear deposition of immunoglobulin [usually immunoglobulin g (igg)] along gbms,. Anti Gbm Disease Electron Microscopy.
From www.researchgate.net
MPO activity is essential for disease induction in a model of antiGBM Anti Gbm Disease Electron Microscopy Autoantibodies against the nc1 domain of the α3 chain of type iv. The lm definitions for pathologic features are listed in table 1 according to 5 categories: The hallmark of this disease is continuous linear deposition of immunoglobulin [usually immunoglobulin g (igg)] along gbms,. (i) sclerosing and collapsing lesions of. Gbm breaks with necrosis and crescent formation are observed. Anti Gbm Disease Electron Microscopy.
From ajkdblog.org
PathPointer Concurrent antiGBM disease and Membranous Nephropathy Anti Gbm Disease Electron Microscopy The lm definitions for pathologic features are listed in table 1 according to 5 categories: Autoantibodies against the nc1 domain of the α3 chain of type iv. Gbm breaks with necrosis and crescent formation are observed. The hallmark of this disease is continuous linear deposition of immunoglobulin [usually immunoglobulin g (igg)] along gbms,. (i) sclerosing and collapsing lesions of. Anti Gbm Disease Electron Microscopy.
From www.researchgate.net
Diffuse extracapillary proliferation in a case of antiGBM disease with Anti Gbm Disease Electron Microscopy Autoantibodies against the nc1 domain of the α3 chain of type iv. (i) sclerosing and collapsing lesions of. Gbm breaks with necrosis and crescent formation are observed. The hallmark of this disease is continuous linear deposition of immunoglobulin [usually immunoglobulin g (igg)] along gbms,. The lm definitions for pathologic features are listed in table 1 according to 5 categories: Anti Gbm Disease Electron Microscopy.
From www.ajkd.org
The Clinical and Immunologic Features of Patients With Combined Anti Anti Gbm Disease Electron Microscopy The hallmark of this disease is continuous linear deposition of immunoglobulin [usually immunoglobulin g (igg)] along gbms,. Gbm breaks with necrosis and crescent formation are observed. (i) sclerosing and collapsing lesions of. Autoantibodies against the nc1 domain of the α3 chain of type iv. The lm definitions for pathologic features are listed in table 1 according to 5 categories: Anti Gbm Disease Electron Microscopy.
From www.researchgate.net
2. Glomerulus from a patient with antiGBM disease showing linear Anti Gbm Disease Electron Microscopy Autoantibodies against the nc1 domain of the α3 chain of type iv. The hallmark of this disease is continuous linear deposition of immunoglobulin [usually immunoglobulin g (igg)] along gbms,. The lm definitions for pathologic features are listed in table 1 according to 5 categories: (i) sclerosing and collapsing lesions of. Gbm breaks with necrosis and crescent formation are observed. Anti Gbm Disease Electron Microscopy.
From www.slideserve.com
PPT AntiGlomerular Basement Membrane Disease PowerPoint Presentation Anti Gbm Disease Electron Microscopy Gbm breaks with necrosis and crescent formation are observed. (i) sclerosing and collapsing lesions of. The lm definitions for pathologic features are listed in table 1 according to 5 categories: Autoantibodies against the nc1 domain of the α3 chain of type iv. The hallmark of this disease is continuous linear deposition of immunoglobulin [usually immunoglobulin g (igg)] along gbms,. Anti Gbm Disease Electron Microscopy.
From www.researchgate.net
Diagnosis of immunoglobulin A (IgA) anti glomerular basement membrane Anti Gbm Disease Electron Microscopy (i) sclerosing and collapsing lesions of. Autoantibodies against the nc1 domain of the α3 chain of type iv. The hallmark of this disease is continuous linear deposition of immunoglobulin [usually immunoglobulin g (igg)] along gbms,. Gbm breaks with necrosis and crescent formation are observed. The lm definitions for pathologic features are listed in table 1 according to 5 categories: Anti Gbm Disease Electron Microscopy.
From wjnu.org
Hidden Tiger An Atypical Presentation of AntiGlomerular Basement Anti Gbm Disease Electron Microscopy Autoantibodies against the nc1 domain of the α3 chain of type iv. The hallmark of this disease is continuous linear deposition of immunoglobulin [usually immunoglobulin g (igg)] along gbms,. Gbm breaks with necrosis and crescent formation are observed. The lm definitions for pathologic features are listed in table 1 according to 5 categories: (i) sclerosing and collapsing lesions of. Anti Gbm Disease Electron Microscopy.
From www.semanticscholar.org
Table 1 from Antiglomerular basement membrane disease an update on Anti Gbm Disease Electron Microscopy The lm definitions for pathologic features are listed in table 1 according to 5 categories: Gbm breaks with necrosis and crescent formation are observed. (i) sclerosing and collapsing lesions of. The hallmark of this disease is continuous linear deposition of immunoglobulin [usually immunoglobulin g (igg)] along gbms,. Autoantibodies against the nc1 domain of the α3 chain of type iv. Anti Gbm Disease Electron Microscopy.
From www.researchgate.net
Inflammation of Glomerular Basement Membrane caused by antiGBM Anti Gbm Disease Electron Microscopy The hallmark of this disease is continuous linear deposition of immunoglobulin [usually immunoglobulin g (igg)] along gbms,. The lm definitions for pathologic features are listed in table 1 according to 5 categories: Gbm breaks with necrosis and crescent formation are observed. Autoantibodies against the nc1 domain of the α3 chain of type iv. (i) sclerosing and collapsing lesions of. Anti Gbm Disease Electron Microscopy.
From casereports.bmj.com
Antiglomerular basement membrane (antiGBM) disease with clinical and Anti Gbm Disease Electron Microscopy The lm definitions for pathologic features are listed in table 1 according to 5 categories: Gbm breaks with necrosis and crescent formation are observed. Autoantibodies against the nc1 domain of the α3 chain of type iv. (i) sclerosing and collapsing lesions of. The hallmark of this disease is continuous linear deposition of immunoglobulin [usually immunoglobulin g (igg)] along gbms,. Anti Gbm Disease Electron Microscopy.
From www.spandidos-publications.com
Novel therapy for antiglomerular basement membrane disease with IgA Anti Gbm Disease Electron Microscopy (i) sclerosing and collapsing lesions of. The lm definitions for pathologic features are listed in table 1 according to 5 categories: The hallmark of this disease is continuous linear deposition of immunoglobulin [usually immunoglobulin g (igg)] along gbms,. Gbm breaks with necrosis and crescent formation are observed. Autoantibodies against the nc1 domain of the α3 chain of type iv. Anti Gbm Disease Electron Microscopy.
From www.slideserve.com
PPT AntiGlomerular Basement Membrane Disease PowerPoint Presentation Anti Gbm Disease Electron Microscopy The lm definitions for pathologic features are listed in table 1 according to 5 categories: Autoantibodies against the nc1 domain of the α3 chain of type iv. Gbm breaks with necrosis and crescent formation are observed. (i) sclerosing and collapsing lesions of. The hallmark of this disease is continuous linear deposition of immunoglobulin [usually immunoglobulin g (igg)] along gbms,. Anti Gbm Disease Electron Microscopy.