Manual Differential Blasts . Manual differential cell count of the bone marrow aspirate continues to be the gold standard for quantifying blasts, allowing classification of mds. The manual differential is key, along with correct enumeration of blasts and blast equivalents, immature granulocytes, basophils,. The technicians performed either manual scans (a cursory examination for a specific purpose such as to verify platelet [plt] count or. This article discusses blasts and myeloblasts, how they form, and the conditions that affect them. The ai digital differential showed a strong correlation with manual microscopy for normal cell types and blasts, with ~97%. When different types of blasts appear in unexpected places, however, or when abnormal blasts develop, they can be an indicator of cancer or another disease.
from www.corpath.net
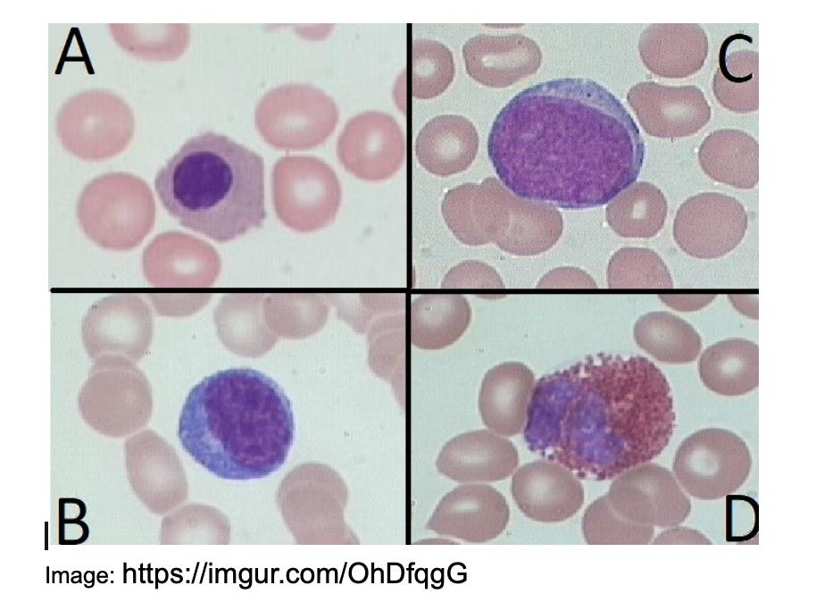
Manual differential cell count of the bone marrow aspirate continues to be the gold standard for quantifying blasts, allowing classification of mds. When different types of blasts appear in unexpected places, however, or when abnormal blasts develop, they can be an indicator of cancer or another disease. The technicians performed either manual scans (a cursory examination for a specific purpose such as to verify platelet [plt] count or. This article discusses blasts and myeloblasts, how they form, and the conditions that affect them. The manual differential is key, along with correct enumeration of blasts and blast equivalents, immature granulocytes, basophils,. The ai digital differential showed a strong correlation with manual microscopy for normal cell types and blasts, with ~97%.
Blasts — CORPath
Manual Differential Blasts This article discusses blasts and myeloblasts, how they form, and the conditions that affect them. This article discusses blasts and myeloblasts, how they form, and the conditions that affect them. When different types of blasts appear in unexpected places, however, or when abnormal blasts develop, they can be an indicator of cancer or another disease. The manual differential is key, along with correct enumeration of blasts and blast equivalents, immature granulocytes, basophils,. The ai digital differential showed a strong correlation with manual microscopy for normal cell types and blasts, with ~97%. Manual differential cell count of the bone marrow aspirate continues to be the gold standard for quantifying blasts, allowing classification of mds. The technicians performed either manual scans (a cursory examination for a specific purpose such as to verify platelet [plt] count or.
From dxorulukz.blob.core.windows.net
Manual Differential Leukocyte Count at Hiles blog Manual Differential Blasts The technicians performed either manual scans (a cursory examination for a specific purpose such as to verify platelet [plt] count or. The manual differential is key, along with correct enumeration of blasts and blast equivalents, immature granulocytes, basophils,. Manual differential cell count of the bone marrow aspirate continues to be the gold standard for quantifying blasts, allowing classification of mds.. Manual Differential Blasts.
From lasopajesus587.weebly.com
Rockwell Differential Service Manual lasopajesus Manual Differential Blasts The manual differential is key, along with correct enumeration of blasts and blast equivalents, immature granulocytes, basophils,. The ai digital differential showed a strong correlation with manual microscopy for normal cell types and blasts, with ~97%. The technicians performed either manual scans (a cursory examination for a specific purpose such as to verify platelet [plt] count or. Manual differential cell. Manual Differential Blasts.
From medizzy.com
What are Blasts? MEDizzy Manual Differential Blasts This article discusses blasts and myeloblasts, how they form, and the conditions that affect them. When different types of blasts appear in unexpected places, however, or when abnormal blasts develop, they can be an indicator of cancer or another disease. The technicians performed either manual scans (a cursory examination for a specific purpose such as to verify platelet [plt] count. Manual Differential Blasts.
From slidesplayer.com
Dept of Hematology School of Medicine Jiaotong University CPC PBL Manual Differential Blasts The ai digital differential showed a strong correlation with manual microscopy for normal cell types and blasts, with ~97%. The manual differential is key, along with correct enumeration of blasts and blast equivalents, immature granulocytes, basophils,. Manual differential cell count of the bone marrow aspirate continues to be the gold standard for quantifying blasts, allowing classification of mds. When different. Manual Differential Blasts.
From www.differentials.com
Differential Installation Instructions West Coast Differentials Manual Differential Blasts When different types of blasts appear in unexpected places, however, or when abnormal blasts develop, they can be an indicator of cancer or another disease. The technicians performed either manual scans (a cursory examination for a specific purpose such as to verify platelet [plt] count or. This article discusses blasts and myeloblasts, how they form, and the conditions that affect. Manual Differential Blasts.
From www.corpath.net
Blasts — CORPath Manual Differential Blasts The ai digital differential showed a strong correlation with manual microscopy for normal cell types and blasts, with ~97%. Manual differential cell count of the bone marrow aspirate continues to be the gold standard for quantifying blasts, allowing classification of mds. The manual differential is key, along with correct enumeration of blasts and blast equivalents, immature granulocytes, basophils,. This article. Manual Differential Blasts.
From www.reddit.com
Practicing differentials... anyone have good tips on telling blasts Manual Differential Blasts The ai digital differential showed a strong correlation with manual microscopy for normal cell types and blasts, with ~97%. The technicians performed either manual scans (a cursory examination for a specific purpose such as to verify platelet [plt] count or. When different types of blasts appear in unexpected places, however, or when abnormal blasts develop, they can be an indicator. Manual Differential Blasts.
From www.slideserve.com
PPT Manual differential WBC=218200/ul Blast 1 Promy 1 Myelo 11 Manual Differential Blasts When different types of blasts appear in unexpected places, however, or when abnormal blasts develop, they can be an indicator of cancer or another disease. Manual differential cell count of the bone marrow aspirate continues to be the gold standard for quantifying blasts, allowing classification of mds. The technicians performed either manual scans (a cursory examination for a specific purpose. Manual Differential Blasts.
From wirelibraryrafael.z21.web.core.windows.net
How To Perform A Manual Differential Manual Differential Blasts When different types of blasts appear in unexpected places, however, or when abnormal blasts develop, they can be an indicator of cancer or another disease. This article discusses blasts and myeloblasts, how they form, and the conditions that affect them. The ai digital differential showed a strong correlation with manual microscopy for normal cell types and blasts, with ~97%. The. Manual Differential Blasts.
From twitter.com
Mount Sinai Department of Medicine on Twitter "2/ Manual diff reveals Manual Differential Blasts The ai digital differential showed a strong correlation with manual microscopy for normal cell types and blasts, with ~97%. The manual differential is key, along with correct enumeration of blasts and blast equivalents, immature granulocytes, basophils,. Manual differential cell count of the bone marrow aspirate continues to be the gold standard for quantifying blasts, allowing classification of mds. This article. Manual Differential Blasts.
From cefjyvoa.blob.core.windows.net
What Is A Manual Differential On A Cbc at Cynthia Perron blog Manual Differential Blasts When different types of blasts appear in unexpected places, however, or when abnormal blasts develop, they can be an indicator of cancer or another disease. The technicians performed either manual scans (a cursory examination for a specific purpose such as to verify platelet [plt] count or. This article discusses blasts and myeloblasts, how they form, and the conditions that affect. Manual Differential Blasts.
From www.slideserve.com
PPT Manual differential WBC=218200/ul Blast 1 Promy 1 Myelo 11 Manual Differential Blasts Manual differential cell count of the bone marrow aspirate continues to be the gold standard for quantifying blasts, allowing classification of mds. This article discusses blasts and myeloblasts, how they form, and the conditions that affect them. The technicians performed either manual scans (a cursory examination for a specific purpose such as to verify platelet [plt] count or. The ai. Manual Differential Blasts.
From www.researchgate.net
CytoDiff blast counts according to the manual blast counts Download Table Manual Differential Blasts Manual differential cell count of the bone marrow aspirate continues to be the gold standard for quantifying blasts, allowing classification of mds. The ai digital differential showed a strong correlation with manual microscopy for normal cell types and blasts, with ~97%. The manual differential is key, along with correct enumeration of blasts and blast equivalents, immature granulocytes, basophils,. This article. Manual Differential Blasts.
From cefjyvoa.blob.core.windows.net
What Is A Manual Differential On A Cbc at Cynthia Perron blog Manual Differential Blasts The manual differential is key, along with correct enumeration of blasts and blast equivalents, immature granulocytes, basophils,. The ai digital differential showed a strong correlation with manual microscopy for normal cell types and blasts, with ~97%. This article discusses blasts and myeloblasts, how they form, and the conditions that affect them. When different types of blasts appear in unexpected places,. Manual Differential Blasts.
From www.researchgate.net
Difference plots for differential blood counts. Automated and manual Manual Differential Blasts This article discusses blasts and myeloblasts, how they form, and the conditions that affect them. The manual differential is key, along with correct enumeration of blasts and blast equivalents, immature granulocytes, basophils,. The technicians performed either manual scans (a cursory examination for a specific purpose such as to verify platelet [plt] count or. Manual differential cell count of the bone. Manual Differential Blasts.
From www.globaldrivetrainsupply.com
Rockwell Differential for Sale with Same Day Shipping Call 8777764600 Manual Differential Blasts Manual differential cell count of the bone marrow aspirate continues to be the gold standard for quantifying blasts, allowing classification of mds. This article discusses blasts and myeloblasts, how they form, and the conditions that affect them. When different types of blasts appear in unexpected places, however, or when abnormal blasts develop, they can be an indicator of cancer or. Manual Differential Blasts.
From www.researchgate.net
Differential staining of blastocysts following VA treatment. (a Manual Differential Blasts When different types of blasts appear in unexpected places, however, or when abnormal blasts develop, they can be an indicator of cancer or another disease. The manual differential is key, along with correct enumeration of blasts and blast equivalents, immature granulocytes, basophils,. Manual differential cell count of the bone marrow aspirate continues to be the gold standard for quantifying blasts,. Manual Differential Blasts.
From www.corpath.net
Blasts — CORPath Manual Differential Blasts Manual differential cell count of the bone marrow aspirate continues to be the gold standard for quantifying blasts, allowing classification of mds. This article discusses blasts and myeloblasts, how they form, and the conditions that affect them. The technicians performed either manual scans (a cursory examination for a specific purpose such as to verify platelet [plt] count or. The ai. Manual Differential Blasts.
From www.researchgate.net
(PDF) Differential Blast Counts Obtained by Automated Blood Cell Analyzers Manual Differential Blasts The ai digital differential showed a strong correlation with manual microscopy for normal cell types and blasts, with ~97%. The technicians performed either manual scans (a cursory examination for a specific purpose such as to verify platelet [plt] count or. This article discusses blasts and myeloblasts, how they form, and the conditions that affect them. When different types of blasts. Manual Differential Blasts.
From www.corpath.net
Blasts — CORPath Manual Differential Blasts When different types of blasts appear in unexpected places, however, or when abnormal blasts develop, they can be an indicator of cancer or another disease. Manual differential cell count of the bone marrow aspirate continues to be the gold standard for quantifying blasts, allowing classification of mds. The ai digital differential showed a strong correlation with manual microscopy for normal. Manual Differential Blasts.
From medschool.co
Circulating Blasts Blood Film MedSchool Manual Differential Blasts The manual differential is key, along with correct enumeration of blasts and blast equivalents, immature granulocytes, basophils,. When different types of blasts appear in unexpected places, however, or when abnormal blasts develop, they can be an indicator of cancer or another disease. The technicians performed either manual scans (a cursory examination for a specific purpose such as to verify platelet. Manual Differential Blasts.
From www.youtube.com
Differential EXPLODES at Drag Strip! YouTube Manual Differential Blasts The manual differential is key, along with correct enumeration of blasts and blast equivalents, immature granulocytes, basophils,. The technicians performed either manual scans (a cursory examination for a specific purpose such as to verify platelet [plt] count or. Manual differential cell count of the bone marrow aspirate continues to be the gold standard for quantifying blasts, allowing classification of mds.. Manual Differential Blasts.
From drive-my.com
Detail Tech Guide Differentials Drive Manual Differential Blasts The manual differential is key, along with correct enumeration of blasts and blast equivalents, immature granulocytes, basophils,. The technicians performed either manual scans (a cursory examination for a specific purpose such as to verify platelet [plt] count or. This article discusses blasts and myeloblasts, how they form, and the conditions that affect them. When different types of blasts appear in. Manual Differential Blasts.
From www.thebloodproject.com
Manual vs. Automated WBC Differential • The Blood Project Manual Differential Blasts This article discusses blasts and myeloblasts, how they form, and the conditions that affect them. The ai digital differential showed a strong correlation with manual microscopy for normal cell types and blasts, with ~97%. The technicians performed either manual scans (a cursory examination for a specific purpose such as to verify platelet [plt] count or. When different types of blasts. Manual Differential Blasts.
From cefjyvoa.blob.core.windows.net
What Is A Manual Differential On A Cbc at Cynthia Perron blog Manual Differential Blasts This article discusses blasts and myeloblasts, how they form, and the conditions that affect them. The technicians performed either manual scans (a cursory examination for a specific purpose such as to verify platelet [plt] count or. When different types of blasts appear in unexpected places, however, or when abnormal blasts develop, they can be an indicator of cancer or another. Manual Differential Blasts.
From www.mdpi.com
Diagnostics Free FullText Classification of Atypical White Blood Manual Differential Blasts This article discusses blasts and myeloblasts, how they form, and the conditions that affect them. The manual differential is key, along with correct enumeration of blasts and blast equivalents, immature granulocytes, basophils,. The technicians performed either manual scans (a cursory examination for a specific purpose such as to verify platelet [plt] count or. The ai digital differential showed a strong. Manual Differential Blasts.
From www.slideserve.com
PPT Manual differential WBC=218200/ul Blast 1 Promy 1 Myelo 11 Manual Differential Blasts The technicians performed either manual scans (a cursory examination for a specific purpose such as to verify platelet [plt] count or. Manual differential cell count of the bone marrow aspirate continues to be the gold standard for quantifying blasts, allowing classification of mds. The manual differential is key, along with correct enumeration of blasts and blast equivalents, immature granulocytes, basophils,.. Manual Differential Blasts.
From www.corpath.net
Blasts — CORPath Manual Differential Blasts The technicians performed either manual scans (a cursory examination for a specific purpose such as to verify platelet [plt] count or. When different types of blasts appear in unexpected places, however, or when abnormal blasts develop, they can be an indicator of cancer or another disease. The manual differential is key, along with correct enumeration of blasts and blast equivalents,. Manual Differential Blasts.
From boisetunetech.com
Don't neglect your differential! Plantation Manual Differential Blasts The manual differential is key, along with correct enumeration of blasts and blast equivalents, immature granulocytes, basophils,. Manual differential cell count of the bone marrow aspirate continues to be the gold standard for quantifying blasts, allowing classification of mds. The ai digital differential showed a strong correlation with manual microscopy for normal cell types and blasts, with ~97%. This article. Manual Differential Blasts.
From www.csmans.com
Chevrolet Sonic Repair Manual Differential Case Assemble General Manual Differential Blasts This article discusses blasts and myeloblasts, how they form, and the conditions that affect them. Manual differential cell count of the bone marrow aspirate continues to be the gold standard for quantifying blasts, allowing classification of mds. The manual differential is key, along with correct enumeration of blasts and blast equivalents, immature granulocytes, basophils,. The technicians performed either manual scans. Manual Differential Blasts.
From www.lsxmag.com
DTE Performance Differentials for HighPowered C5 and C6 Corvettes Manual Differential Blasts Manual differential cell count of the bone marrow aspirate continues to be the gold standard for quantifying blasts, allowing classification of mds. When different types of blasts appear in unexpected places, however, or when abnormal blasts develop, they can be an indicator of cancer or another disease. This article discusses blasts and myeloblasts, how they form, and the conditions that. Manual Differential Blasts.
From www.haematologica.org
Diagnosis and classification of myelodysplastic syndrome International Manual Differential Blasts The manual differential is key, along with correct enumeration of blasts and blast equivalents, immature granulocytes, basophils,. The ai digital differential showed a strong correlation with manual microscopy for normal cell types and blasts, with ~97%. This article discusses blasts and myeloblasts, how they form, and the conditions that affect them. Manual differential cell count of the bone marrow aspirate. Manual Differential Blasts.
From www.semanticscholar.org
Figure 2 from Canine differential leukocyte counting with the Manual Differential Blasts Manual differential cell count of the bone marrow aspirate continues to be the gold standard for quantifying blasts, allowing classification of mds. This article discusses blasts and myeloblasts, how they form, and the conditions that affect them. The manual differential is key, along with correct enumeration of blasts and blast equivalents, immature granulocytes, basophils,. The ai digital differential showed a. Manual Differential Blasts.
From klamzmjei.blob.core.windows.net
Types Of Differential Lock at Denise Higdon blog Manual Differential Blasts The technicians performed either manual scans (a cursory examination for a specific purpose such as to verify platelet [plt] count or. The manual differential is key, along with correct enumeration of blasts and blast equivalents, immature granulocytes, basophils,. Manual differential cell count of the bone marrow aspirate continues to be the gold standard for quantifying blasts, allowing classification of mds.. Manual Differential Blasts.
From blast-it-all.com
Specialty Equipment Blast It All Manual Differential Blasts The ai digital differential showed a strong correlation with manual microscopy for normal cell types and blasts, with ~97%. This article discusses blasts and myeloblasts, how they form, and the conditions that affect them. Manual differential cell count of the bone marrow aspirate continues to be the gold standard for quantifying blasts, allowing classification of mds. The technicians performed either. Manual Differential Blasts.