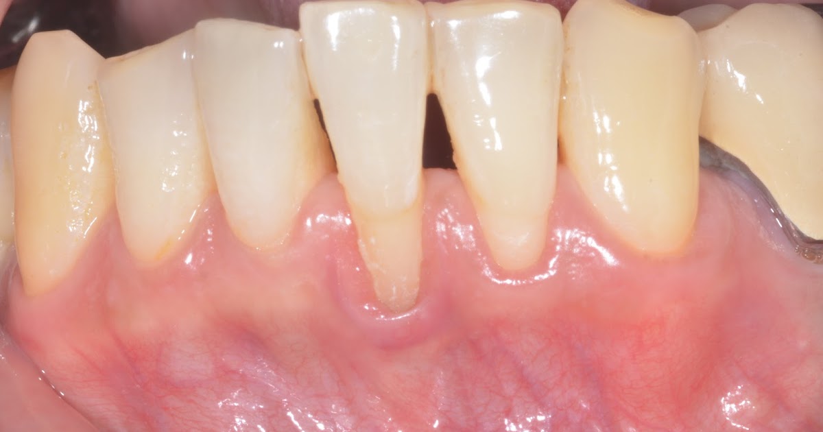
Dental Implant Causing Gum Recession . This can lead to inflammation and pain. The most common cause of gum recession is periodontal (gum) disease. If your gums are receding to the point that your implants are visible, this needs to be addressed as soon as possible, otherwise, it could result in implant failure. In some cases, a person may find that the gum tissue around the implant begins to recede. Getting a prompt assessment from a dentist. This infection occurs when plaque—a sticky film of. One of the most common reasons you might see the implant through your gum is gum recession. An additional sign of dental implant failure is inflammation and bleeding in the gums around the affected area. This condition is associated with the loss of periodontal tissues, including gingiva, periodontal ligament, root cementum, and bone at. Some reasons you might develop gum recession around implants include brushing aggressively, genetics, poor dental hygiene,. In some cases, this can advance.
from dublincornersdental.com
An additional sign of dental implant failure is inflammation and bleeding in the gums around the affected area. This infection occurs when plaque—a sticky film of. If your gums are receding to the point that your implants are visible, this needs to be addressed as soon as possible, otherwise, it could result in implant failure. The most common cause of gum recession is periodontal (gum) disease. One of the most common reasons you might see the implant through your gum is gum recession. This can lead to inflammation and pain. In some cases, this can advance. This condition is associated with the loss of periodontal tissues, including gingiva, periodontal ligament, root cementum, and bone at. Getting a prompt assessment from a dentist. Some reasons you might develop gum recession around implants include brushing aggressively, genetics, poor dental hygiene,.
Gum Recession Dublin Corners Dental
Dental Implant Causing Gum Recession In some cases, a person may find that the gum tissue around the implant begins to recede. This condition is associated with the loss of periodontal tissues, including gingiva, periodontal ligament, root cementum, and bone at. This can lead to inflammation and pain. This infection occurs when plaque—a sticky film of. One of the most common reasons you might see the implant through your gum is gum recession. In some cases, a person may find that the gum tissue around the implant begins to recede. In some cases, this can advance. Getting a prompt assessment from a dentist. If your gums are receding to the point that your implants are visible, this needs to be addressed as soon as possible, otherwise, it could result in implant failure. The most common cause of gum recession is periodontal (gum) disease. An additional sign of dental implant failure is inflammation and bleeding in the gums around the affected area. Some reasons you might develop gum recession around implants include brushing aggressively, genetics, poor dental hygiene,.
From www.facialart.com
Revision Treatment of A Dental Implant With Gum Recession Revision Dental Implant Causing Gum Recession In some cases, a person may find that the gum tissue around the implant begins to recede. Getting a prompt assessment from a dentist. An additional sign of dental implant failure is inflammation and bleeding in the gums around the affected area. The most common cause of gum recession is periodontal (gum) disease. This can lead to inflammation and pain.. Dental Implant Causing Gum Recession.
From www.oklahomacitydentalimplant.com
Gum Recession Treatment Video Ryan Lanman DDS, MSD Dental Implant Causing Gum Recession This infection occurs when plaque—a sticky film of. If your gums are receding to the point that your implants are visible, this needs to be addressed as soon as possible, otherwise, it could result in implant failure. This can lead to inflammation and pain. In some cases, a person may find that the gum tissue around the implant begins to. Dental Implant Causing Gum Recession.
From expertdental.in
A Detailed Note on Gum Recession Expert Dental Care Dental Implant Causing Gum Recession In some cases, a person may find that the gum tissue around the implant begins to recede. This infection occurs when plaque—a sticky film of. An additional sign of dental implant failure is inflammation and bleeding in the gums around the affected area. If your gums are receding to the point that your implants are visible, this needs to be. Dental Implant Causing Gum Recession.
From www.texasperiodontal.com
Texas Periodontal Associates Blog Gum Recession Dental Implant Causing Gum Recession One of the most common reasons you might see the implant through your gum is gum recession. Some reasons you might develop gum recession around implants include brushing aggressively, genetics, poor dental hygiene,. Getting a prompt assessment from a dentist. The most common cause of gum recession is periodontal (gum) disease. This condition is associated with the loss of periodontal. Dental Implant Causing Gum Recession.
From portlandperioimplantcenter.com
Gum Recession Case Study Mary Portland Perio Implant Center Dental Implant Causing Gum Recession In some cases, this can advance. The most common cause of gum recession is periodontal (gum) disease. An additional sign of dental implant failure is inflammation and bleeding in the gums around the affected area. If your gums are receding to the point that your implants are visible, this needs to be addressed as soon as possible, otherwise, it could. Dental Implant Causing Gum Recession.
From www.advanceddentaltechniques.com
Gum Recession Wayne, NJ Advanced Dental Techniques Dental Implant Causing Gum Recession In some cases, this can advance. Some reasons you might develop gum recession around implants include brushing aggressively, genetics, poor dental hygiene,. An additional sign of dental implant failure is inflammation and bleeding in the gums around the affected area. This infection occurs when plaque—a sticky film of. One of the most common reasons you might see the implant through. Dental Implant Causing Gum Recession.
From www.facialart.com
Treatment of Gum Recession Around Dental Implants with Soft Tissue Dental Implant Causing Gum Recession Getting a prompt assessment from a dentist. This infection occurs when plaque—a sticky film of. An additional sign of dental implant failure is inflammation and bleeding in the gums around the affected area. If your gums are receding to the point that your implants are visible, this needs to be addressed as soon as possible, otherwise, it could result in. Dental Implant Causing Gum Recession.
From www.northsidedentalcare.net
Gum Recession Dental Implant Causing Gum Recession In some cases, this can advance. One of the most common reasons you might see the implant through your gum is gum recession. If your gums are receding to the point that your implants are visible, this needs to be addressed as soon as possible, otherwise, it could result in implant failure. This condition is associated with the loss of. Dental Implant Causing Gum Recession.
From www.rcperio.com
Gum Recession Treatment All You Need To Know Ridge Crest Dental Dental Implant Causing Gum Recession Getting a prompt assessment from a dentist. One of the most common reasons you might see the implant through your gum is gum recession. If your gums are receding to the point that your implants are visible, this needs to be addressed as soon as possible, otherwise, it could result in implant failure. The most common cause of gum recession. Dental Implant Causing Gum Recession.
From www.facialart.com
dental implant infection gum recession bone loss periimplantitis Dental Implant Causing Gum Recession This infection occurs when plaque—a sticky film of. One of the most common reasons you might see the implant through your gum is gum recession. This can lead to inflammation and pain. In some cases, this can advance. An additional sign of dental implant failure is inflammation and bleeding in the gums around the affected area. Getting a prompt assessment. Dental Implant Causing Gum Recession.
From www.myzerodonto.com
Gingival Recession Treatment FGG MyZerodonto Dental Implant Causing Gum Recession This can lead to inflammation and pain. This condition is associated with the loss of periodontal tissues, including gingiva, periodontal ligament, root cementum, and bone at. One of the most common reasons you might see the implant through your gum is gum recession. In some cases, a person may find that the gum tissue around the implant begins to recede.. Dental Implant Causing Gum Recession.
From createsmiles.com
Gum Recession CreateSmiles by Dr. Brad Lockhart Tustin Dentist Dental Implant Causing Gum Recession In some cases, this can advance. The most common cause of gum recession is periodontal (gum) disease. An additional sign of dental implant failure is inflammation and bleeding in the gums around the affected area. In some cases, a person may find that the gum tissue around the implant begins to recede. This condition is associated with the loss of. Dental Implant Causing Gum Recession.
From dublincornersdental.com
Gum Recession Dublin Corners Dental Dental Implant Causing Gum Recession Getting a prompt assessment from a dentist. In some cases, this can advance. In some cases, a person may find that the gum tissue around the implant begins to recede. One of the most common reasons you might see the implant through your gum is gum recession. This condition is associated with the loss of periodontal tissues, including gingiva, periodontal. Dental Implant Causing Gum Recession.
From www.facialart.com
Gum Recession Around Dental Implants Gum Recession Around Dental Dental Implant Causing Gum Recession This can lead to inflammation and pain. If your gums are receding to the point that your implants are visible, this needs to be addressed as soon as possible, otherwise, it could result in implant failure. In some cases, a person may find that the gum tissue around the implant begins to recede. The most common cause of gum recession. Dental Implant Causing Gum Recession.
From www.facialart.com
Two Common Causes for Gum Recession and Infection on Dental Implants Dental Implant Causing Gum Recession Some reasons you might develop gum recession around implants include brushing aggressively, genetics, poor dental hygiene,. This condition is associated with the loss of periodontal tissues, including gingiva, periodontal ligament, root cementum, and bone at. If your gums are receding to the point that your implants are visible, this needs to be addressed as soon as possible, otherwise, it could. Dental Implant Causing Gum Recession.
From www.withersperio.com
Gum Recession Fairfax, VA Periodontist Dr. Withers Dental Implant Causing Gum Recession In some cases, a person may find that the gum tissue around the implant begins to recede. One of the most common reasons you might see the implant through your gum is gum recession. In some cases, this can advance. This infection occurs when plaque—a sticky film of. The most common cause of gum recession is periodontal (gum) disease. This. Dental Implant Causing Gum Recession.
From pierdentalcentre.com
Gum Recession Causes and Treatment Pier Dental Centre Dental Implant Causing Gum Recession This can lead to inflammation and pain. One of the most common reasons you might see the implant through your gum is gum recession. In some cases, this can advance. An additional sign of dental implant failure is inflammation and bleeding in the gums around the affected area. Some reasons you might develop gum recession around implants include brushing aggressively,. Dental Implant Causing Gum Recession.
From www.facialart.com
Treatment of Gum Recession Around Dental Implants with Soft Tissue Dental Implant Causing Gum Recession This infection occurs when plaque—a sticky film of. The most common cause of gum recession is periodontal (gum) disease. An additional sign of dental implant failure is inflammation and bleeding in the gums around the affected area. Some reasons you might develop gum recession around implants include brushing aggressively, genetics, poor dental hygiene,. If your gums are receding to the. Dental Implant Causing Gum Recession.
From www.facialart.com
Revision Treatment of A Dental Implant With Gum Recession Revision Dental Implant Causing Gum Recession An additional sign of dental implant failure is inflammation and bleeding in the gums around the affected area. This infection occurs when plaque—a sticky film of. If your gums are receding to the point that your implants are visible, this needs to be addressed as soon as possible, otherwise, it could result in implant failure. One of the most common. Dental Implant Causing Gum Recession.
From dentalimplant-abroad.co.uk
Gum Recession With Dental Implants Dental Implant Abroad Dental Implant Causing Gum Recession In some cases, this can advance. This infection occurs when plaque—a sticky film of. If your gums are receding to the point that your implants are visible, this needs to be addressed as soon as possible, otherwise, it could result in implant failure. This can lead to inflammation and pain. One of the most common reasons you might see the. Dental Implant Causing Gum Recession.
From www.dreamstime.com
Periimplantitis with Visible Gum Recession. Medically Accurate 3D Dental Implant Causing Gum Recession This can lead to inflammation and pain. If your gums are receding to the point that your implants are visible, this needs to be addressed as soon as possible, otherwise, it could result in implant failure. An additional sign of dental implant failure is inflammation and bleeding in the gums around the affected area. Some reasons you might develop gum. Dental Implant Causing Gum Recession.
From drpeterfritz.com
What is gum recession? Causes, Symptoms, and Treatment Dr. Peter Fritz Dental Implant Causing Gum Recession This infection occurs when plaque—a sticky film of. Some reasons you might develop gum recession around implants include brushing aggressively, genetics, poor dental hygiene,. Getting a prompt assessment from a dentist. If your gums are receding to the point that your implants are visible, this needs to be addressed as soon as possible, otherwise, it could result in implant failure.. Dental Implant Causing Gum Recession.
From gumdiseaseguide.org
Gum Recession And Dental Implants Everything You Need To Know Dental Implant Causing Gum Recession This infection occurs when plaque—a sticky film of. This condition is associated with the loss of periodontal tissues, including gingiva, periodontal ligament, root cementum, and bone at. This can lead to inflammation and pain. An additional sign of dental implant failure is inflammation and bleeding in the gums around the affected area. In some cases, this can advance. Getting a. Dental Implant Causing Gum Recession.
From www.youtube.com
Fix Dental Implant Gum Recession YouTube Dental Implant Causing Gum Recession Getting a prompt assessment from a dentist. The most common cause of gum recession is periodontal (gum) disease. If your gums are receding to the point that your implants are visible, this needs to be addressed as soon as possible, otherwise, it could result in implant failure. Some reasons you might develop gum recession around implants include brushing aggressively, genetics,. Dental Implant Causing Gum Recession.
From www.youtube.com
Can You Fix Recession (Gum Loss) Around Dental Implants YouTube Dental Implant Causing Gum Recession One of the most common reasons you might see the implant through your gum is gum recession. Getting a prompt assessment from a dentist. An additional sign of dental implant failure is inflammation and bleeding in the gums around the affected area. The most common cause of gum recession is periodontal (gum) disease. This infection occurs when plaque—a sticky film. Dental Implant Causing Gum Recession.
From www.alamy.com
Periimplantitis with visible gum recession. Medically accurate 3D Dental Implant Causing Gum Recession In some cases, a person may find that the gum tissue around the implant begins to recede. If your gums are receding to the point that your implants are visible, this needs to be addressed as soon as possible, otherwise, it could result in implant failure. This infection occurs when plaque—a sticky film of. This condition is associated with the. Dental Implant Causing Gum Recession.
From ajouimplant.blogspot.com
Dental implant professional Treating severe gum recession of lower Dental Implant Causing Gum Recession If your gums are receding to the point that your implants are visible, this needs to be addressed as soon as possible, otherwise, it could result in implant failure. This can lead to inflammation and pain. The most common cause of gum recession is periodontal (gum) disease. This condition is associated with the loss of periodontal tissues, including gingiva, periodontal. Dental Implant Causing Gum Recession.
From gumdiseaseguide.org
Gum Recession And Dental Implants Everything You Need To Know Dental Implant Causing Gum Recession Getting a prompt assessment from a dentist. This condition is associated with the loss of periodontal tissues, including gingiva, periodontal ligament, root cementum, and bone at. In some cases, a person may find that the gum tissue around the implant begins to recede. This can lead to inflammation and pain. If your gums are receding to the point that your. Dental Implant Causing Gum Recession.
From www.nwaperio.com
Gum Recession Causes Arkansas Periodontal and Implant Associates Dental Implant Causing Gum Recession In some cases, this can advance. Getting a prompt assessment from a dentist. The most common cause of gum recession is periodontal (gum) disease. An additional sign of dental implant failure is inflammation and bleeding in the gums around the affected area. In some cases, a person may find that the gum tissue around the implant begins to recede. If. Dental Implant Causing Gum Recession.
From rivervalleyperio.com
Gum Recession Treatment River Valley Periodontics & Implant Dentistry Dental Implant Causing Gum Recession In some cases, this can advance. The most common cause of gum recession is periodontal (gum) disease. This condition is associated with the loss of periodontal tissues, including gingiva, periodontal ligament, root cementum, and bone at. Getting a prompt assessment from a dentist. This infection occurs when plaque—a sticky film of. Some reasons you might develop gum recession around implants. Dental Implant Causing Gum Recession.
From www.facialart.com
Receding Gum Tissue After Dental Implant Treatments Receding Gum Dental Implant Causing Gum Recession An additional sign of dental implant failure is inflammation and bleeding in the gums around the affected area. This condition is associated with the loss of periodontal tissues, including gingiva, periodontal ligament, root cementum, and bone at. This infection occurs when plaque—a sticky film of. If your gums are receding to the point that your implants are visible, this needs. Dental Implant Causing Gum Recession.
From www.facialart.com
Two Common Causes for Gum Recession and Infection on Dental Implants Dental Implant Causing Gum Recession In some cases, this can advance. Some reasons you might develop gum recession around implants include brushing aggressively, genetics, poor dental hygiene,. The most common cause of gum recession is periodontal (gum) disease. This infection occurs when plaque—a sticky film of. In some cases, a person may find that the gum tissue around the implant begins to recede. This condition. Dental Implant Causing Gum Recession.
From portlandperioimplantcenter.com
Gum Recession Case Study Mary Portland Perio Implant Center Dental Implant Causing Gum Recession The most common cause of gum recession is periodontal (gum) disease. This infection occurs when plaque—a sticky film of. One of the most common reasons you might see the implant through your gum is gum recession. In some cases, this can advance. If your gums are receding to the point that your implants are visible, this needs to be addressed. Dental Implant Causing Gum Recession.
From www.brisbanesmiles.com.au
What Is Gum Recession and How to Treat It Brisbane Smiles Dental Implant Causing Gum Recession One of the most common reasons you might see the implant through your gum is gum recession. This condition is associated with the loss of periodontal tissues, including gingiva, periodontal ligament, root cementum, and bone at. Getting a prompt assessment from a dentist. If your gums are receding to the point that your implants are visible, this needs to be. Dental Implant Causing Gum Recession.
From www.implantdentist.co.nz
Periodontal (Gum) Disease Institute of Dental Implants & Periodontics Dental Implant Causing Gum Recession This can lead to inflammation and pain. If your gums are receding to the point that your implants are visible, this needs to be addressed as soon as possible, otherwise, it could result in implant failure. In some cases, this can advance. In some cases, a person may find that the gum tissue around the implant begins to recede. One. Dental Implant Causing Gum Recession.