Does Chronic Bronchitis Show Up On A Chest X Ray . Imaging can show your provider if there’s any. Spirometry is a common lung function test your provider may use if they think you have chronic bronchitis. Blood tests may be used to check for signs of. (if you have shortness of breath, chronic bronchitis may limit the amount of oxygen circulating throughout your body.) you may. Bronchitis does not generally require further investigation. Chronic bronchitis most often results from overproduction and hypersecretion of mucus by goblet cells. In some cases, recurrent bronchitis can lead to chronic respiratory issues.
from medshun.com
Spirometry is a common lung function test your provider may use if they think you have chronic bronchitis. Bronchitis does not generally require further investigation. (if you have shortness of breath, chronic bronchitis may limit the amount of oxygen circulating throughout your body.) you may. In some cases, recurrent bronchitis can lead to chronic respiratory issues. Blood tests may be used to check for signs of. Chronic bronchitis most often results from overproduction and hypersecretion of mucus by goblet cells. Imaging can show your provider if there’s any.
Does Bronchitis Show On A Chest XRay? MedShun
Does Chronic Bronchitis Show Up On A Chest X Ray Blood tests may be used to check for signs of. In some cases, recurrent bronchitis can lead to chronic respiratory issues. Spirometry is a common lung function test your provider may use if they think you have chronic bronchitis. (if you have shortness of breath, chronic bronchitis may limit the amount of oxygen circulating throughout your body.) you may. Chronic bronchitis most often results from overproduction and hypersecretion of mucus by goblet cells. Imaging can show your provider if there’s any. Blood tests may be used to check for signs of. Bronchitis does not generally require further investigation.
From ar.inspiredpencil.com
Chest X Ray Pneumonia Vs Bronchitis Does Chronic Bronchitis Show Up On A Chest X Ray Bronchitis does not generally require further investigation. Chronic bronchitis most often results from overproduction and hypersecretion of mucus by goblet cells. In some cases, recurrent bronchitis can lead to chronic respiratory issues. (if you have shortness of breath, chronic bronchitis may limit the amount of oxygen circulating throughout your body.) you may. Spirometry is a common lung function test your. Does Chronic Bronchitis Show Up On A Chest X Ray.
From animalia-life.club
Bronchopneumonia Chest X Ray Does Chronic Bronchitis Show Up On A Chest X Ray Chronic bronchitis most often results from overproduction and hypersecretion of mucus by goblet cells. In some cases, recurrent bronchitis can lead to chronic respiratory issues. Bronchitis does not generally require further investigation. Blood tests may be used to check for signs of. Imaging can show your provider if there’s any. Spirometry is a common lung function test your provider may. Does Chronic Bronchitis Show Up On A Chest X Ray.
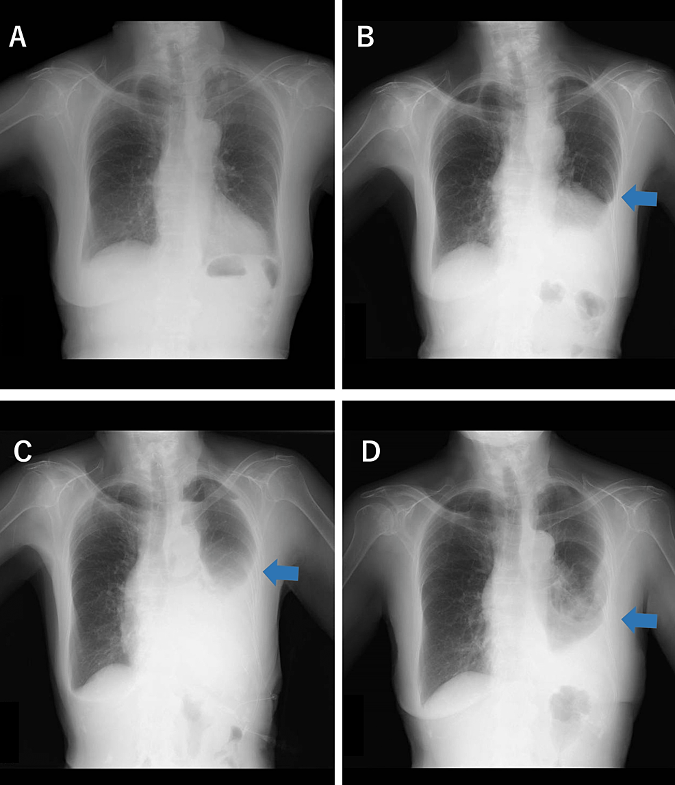
From www.cureus.com
Cureus Intractable Pleural Effusion After Stereotactic Ablative Does Chronic Bronchitis Show Up On A Chest X Ray Chronic bronchitis most often results from overproduction and hypersecretion of mucus by goblet cells. Imaging can show your provider if there’s any. Blood tests may be used to check for signs of. In some cases, recurrent bronchitis can lead to chronic respiratory issues. Bronchitis does not generally require further investigation. (if you have shortness of breath, chronic bronchitis may limit. Does Chronic Bronchitis Show Up On A Chest X Ray.
From mungfali.com
How To Read Normal X Ray 685 Does Chronic Bronchitis Show Up On A Chest X Ray Chronic bronchitis most often results from overproduction and hypersecretion of mucus by goblet cells. Bronchitis does not generally require further investigation. Imaging can show your provider if there’s any. (if you have shortness of breath, chronic bronchitis may limit the amount of oxygen circulating throughout your body.) you may. Blood tests may be used to check for signs of. Spirometry. Does Chronic Bronchitis Show Up On A Chest X Ray.
From www.sciencephoto.com
Chronic bronchitis, Xray Stock Image C001/7646 Science Photo Library Does Chronic Bronchitis Show Up On A Chest X Ray Bronchitis does not generally require further investigation. In some cases, recurrent bronchitis can lead to chronic respiratory issues. (if you have shortness of breath, chronic bronchitis may limit the amount of oxygen circulating throughout your body.) you may. Blood tests may be used to check for signs of. Spirometry is a common lung function test your provider may use if. Does Chronic Bronchitis Show Up On A Chest X Ray.
From www.tpsearchtool.com
Preoperative Chest Radiology Of Lesion A Chest X Ray Revealed Images Does Chronic Bronchitis Show Up On A Chest X Ray (if you have shortness of breath, chronic bronchitis may limit the amount of oxygen circulating throughout your body.) you may. In some cases, recurrent bronchitis can lead to chronic respiratory issues. Spirometry is a common lung function test your provider may use if they think you have chronic bronchitis. Blood tests may be used to check for signs of. Imaging. Does Chronic Bronchitis Show Up On A Chest X Ray.
From www.svuhradiology.ie
Bronchiectasis CXR and CT Radiology at St. Vincent's University Does Chronic Bronchitis Show Up On A Chest X Ray Imaging can show your provider if there’s any. Blood tests may be used to check for signs of. Spirometry is a common lung function test your provider may use if they think you have chronic bronchitis. In some cases, recurrent bronchitis can lead to chronic respiratory issues. Chronic bronchitis most often results from overproduction and hypersecretion of mucus by goblet. Does Chronic Bronchitis Show Up On A Chest X Ray.
From www.alamy.com
Chest xray showing chronic obstructive pulmonary disease Stock Photo Does Chronic Bronchitis Show Up On A Chest X Ray Chronic bronchitis most often results from overproduction and hypersecretion of mucus by goblet cells. Imaging can show your provider if there’s any. Spirometry is a common lung function test your provider may use if they think you have chronic bronchitis. Bronchitis does not generally require further investigation. In some cases, recurrent bronchitis can lead to chronic respiratory issues. (if you. Does Chronic Bronchitis Show Up On A Chest X Ray.
From stock.adobe.com
chest xray film of patient with pneumonia Stock Photo Adobe Stock Does Chronic Bronchitis Show Up On A Chest X Ray Blood tests may be used to check for signs of. In some cases, recurrent bronchitis can lead to chronic respiratory issues. Imaging can show your provider if there’s any. Bronchitis does not generally require further investigation. Chronic bronchitis most often results from overproduction and hypersecretion of mucus by goblet cells. Spirometry is a common lung function test your provider may. Does Chronic Bronchitis Show Up On A Chest X Ray.
From medshun.com
Does Bronchitis Show On A Chest XRay? MedShun Does Chronic Bronchitis Show Up On A Chest X Ray Spirometry is a common lung function test your provider may use if they think you have chronic bronchitis. Blood tests may be used to check for signs of. In some cases, recurrent bronchitis can lead to chronic respiratory issues. Imaging can show your provider if there’s any. (if you have shortness of breath, chronic bronchitis may limit the amount of. Does Chronic Bronchitis Show Up On A Chest X Ray.
From www.wikidoc.org
Bronchiolitis x ray wikidoc Does Chronic Bronchitis Show Up On A Chest X Ray Spirometry is a common lung function test your provider may use if they think you have chronic bronchitis. (if you have shortness of breath, chronic bronchitis may limit the amount of oxygen circulating throughout your body.) you may. Blood tests may be used to check for signs of. Imaging can show your provider if there’s any. In some cases, recurrent. Does Chronic Bronchitis Show Up On A Chest X Ray.
From lungs.thecommonvein.net
Chronic Bronchitis Lungs Does Chronic Bronchitis Show Up On A Chest X Ray Imaging can show your provider if there’s any. In some cases, recurrent bronchitis can lead to chronic respiratory issues. Chronic bronchitis most often results from overproduction and hypersecretion of mucus by goblet cells. Spirometry is a common lung function test your provider may use if they think you have chronic bronchitis. Blood tests may be used to check for signs. Does Chronic Bronchitis Show Up On A Chest X Ray.
From www.cureus.com
Physiotherapy Approach for Treating Bronchopneumonia A Case Report Does Chronic Bronchitis Show Up On A Chest X Ray Bronchitis does not generally require further investigation. Imaging can show your provider if there’s any. Spirometry is a common lung function test your provider may use if they think you have chronic bronchitis. Chronic bronchitis most often results from overproduction and hypersecretion of mucus by goblet cells. In some cases, recurrent bronchitis can lead to chronic respiratory issues. (if you. Does Chronic Bronchitis Show Up On A Chest X Ray.
From geekymedics.com
Chest Xray Interpretation A Structured Approach Radiology OSCE Does Chronic Bronchitis Show Up On A Chest X Ray Spirometry is a common lung function test your provider may use if they think you have chronic bronchitis. Chronic bronchitis most often results from overproduction and hypersecretion of mucus by goblet cells. In some cases, recurrent bronchitis can lead to chronic respiratory issues. Bronchitis does not generally require further investigation. Imaging can show your provider if there’s any. (if you. Does Chronic Bronchitis Show Up On A Chest X Ray.
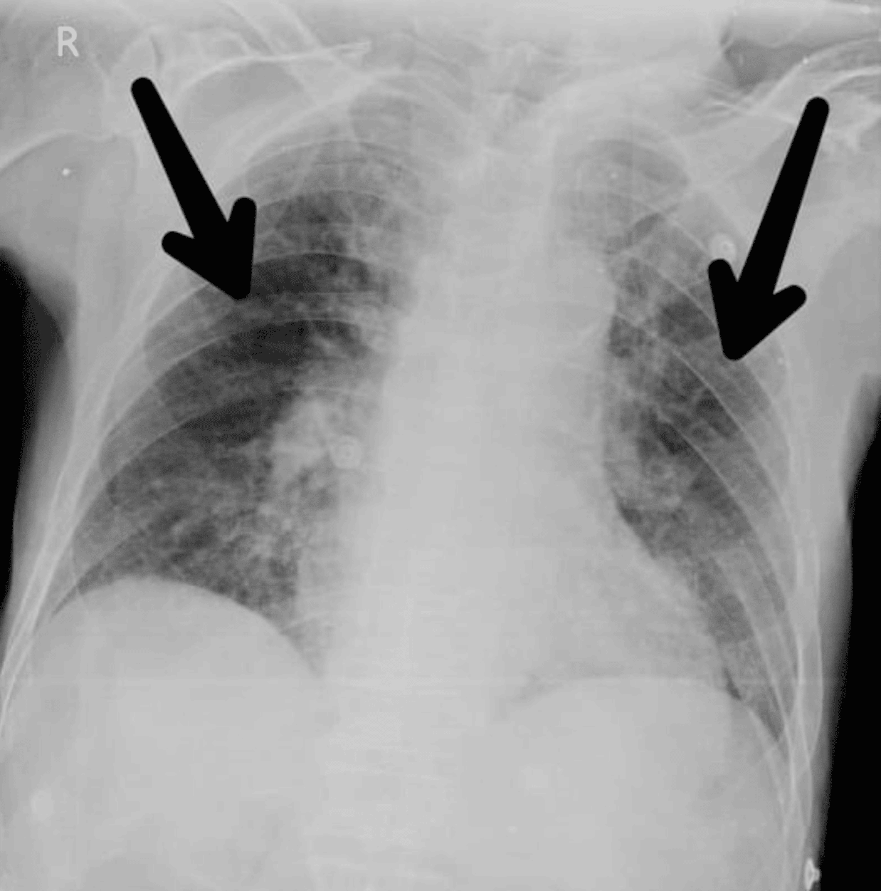
From www.researchgate.net
A Chest XRay of case 4 shows nodular opacity in both lungs. B Chest Does Chronic Bronchitis Show Up On A Chest X Ray (if you have shortness of breath, chronic bronchitis may limit the amount of oxygen circulating throughout your body.) you may. Imaging can show your provider if there’s any. Blood tests may be used to check for signs of. In some cases, recurrent bronchitis can lead to chronic respiratory issues. Spirometry is a common lung function test your provider may use. Does Chronic Bronchitis Show Up On A Chest X Ray.
From mavink.com
Bronchiolitis Chest X Ray Does Chronic Bronchitis Show Up On A Chest X Ray Bronchitis does not generally require further investigation. Spirometry is a common lung function test your provider may use if they think you have chronic bronchitis. Chronic bronchitis most often results from overproduction and hypersecretion of mucus by goblet cells. In some cases, recurrent bronchitis can lead to chronic respiratory issues. Imaging can show your provider if there’s any. (if you. Does Chronic Bronchitis Show Up On A Chest X Ray.
From ar.inspiredpencil.com
Chest X Ray Bronchitis Vs Pneumonia Does Chronic Bronchitis Show Up On A Chest X Ray Spirometry is a common lung function test your provider may use if they think you have chronic bronchitis. Chronic bronchitis most often results from overproduction and hypersecretion of mucus by goblet cells. Imaging can show your provider if there’s any. Blood tests may be used to check for signs of. (if you have shortness of breath, chronic bronchitis may limit. Does Chronic Bronchitis Show Up On A Chest X Ray.
From www.stepwards.com
Bronchiectasis Stepwards Does Chronic Bronchitis Show Up On A Chest X Ray Blood tests may be used to check for signs of. In some cases, recurrent bronchitis can lead to chronic respiratory issues. Imaging can show your provider if there’s any. Spirometry is a common lung function test your provider may use if they think you have chronic bronchitis. (if you have shortness of breath, chronic bronchitis may limit the amount of. Does Chronic Bronchitis Show Up On A Chest X Ray.
From www.istockphoto.com
Chronic Bronchitis Chest X Ray Stock Photos, Pictures & RoyaltyFree Does Chronic Bronchitis Show Up On A Chest X Ray Imaging can show your provider if there’s any. Spirometry is a common lung function test your provider may use if they think you have chronic bronchitis. Bronchitis does not generally require further investigation. Blood tests may be used to check for signs of. Chronic bronchitis most often results from overproduction and hypersecretion of mucus by goblet cells. (if you have. Does Chronic Bronchitis Show Up On A Chest X Ray.
From www.youtube.com
Chest xray, Difference between Obstructive and Restrictive Lung Does Chronic Bronchitis Show Up On A Chest X Ray Spirometry is a common lung function test your provider may use if they think you have chronic bronchitis. Chronic bronchitis most often results from overproduction and hypersecretion of mucus by goblet cells. (if you have shortness of breath, chronic bronchitis may limit the amount of oxygen circulating throughout your body.) you may. In some cases, recurrent bronchitis can lead to. Does Chronic Bronchitis Show Up On A Chest X Ray.
From www.inspirepulmonaryandsleep.com
Chronic Bronchitis Murrieta, CA Inspire Pulmonary & Sleep Medicine Does Chronic Bronchitis Show Up On A Chest X Ray (if you have shortness of breath, chronic bronchitis may limit the amount of oxygen circulating throughout your body.) you may. Chronic bronchitis most often results from overproduction and hypersecretion of mucus by goblet cells. Blood tests may be used to check for signs of. In some cases, recurrent bronchitis can lead to chronic respiratory issues. Spirometry is a common lung. Does Chronic Bronchitis Show Up On A Chest X Ray.
From www.youtube.com
Chest Xray Anatomy Radiology anatomy part 1 prep How to interpret Does Chronic Bronchitis Show Up On A Chest X Ray Chronic bronchitis most often results from overproduction and hypersecretion of mucus by goblet cells. Bronchitis does not generally require further investigation. (if you have shortness of breath, chronic bronchitis may limit the amount of oxygen circulating throughout your body.) you may. In some cases, recurrent bronchitis can lead to chronic respiratory issues. Blood tests may be used to check for. Does Chronic Bronchitis Show Up On A Chest X Ray.
From www.alamy.com
chest xray examination for diagnosis spine injury Stock Photo Alamy Does Chronic Bronchitis Show Up On A Chest X Ray In some cases, recurrent bronchitis can lead to chronic respiratory issues. Chronic bronchitis most often results from overproduction and hypersecretion of mucus by goblet cells. Bronchitis does not generally require further investigation. (if you have shortness of breath, chronic bronchitis may limit the amount of oxygen circulating throughout your body.) you may. Imaging can show your provider if there’s any.. Does Chronic Bronchitis Show Up On A Chest X Ray.
From jay-harold.com
Chronic Bronchitis Jay Harold Does Chronic Bronchitis Show Up On A Chest X Ray Blood tests may be used to check for signs of. Chronic bronchitis most often results from overproduction and hypersecretion of mucus by goblet cells. Spirometry is a common lung function test your provider may use if they think you have chronic bronchitis. Bronchitis does not generally require further investigation. (if you have shortness of breath, chronic bronchitis may limit the. Does Chronic Bronchitis Show Up On A Chest X Ray.
From pubs.rsna.org
Bronchiolitis A Practical Approach for the General Radiologist Does Chronic Bronchitis Show Up On A Chest X Ray (if you have shortness of breath, chronic bronchitis may limit the amount of oxygen circulating throughout your body.) you may. Bronchitis does not generally require further investigation. Spirometry is a common lung function test your provider may use if they think you have chronic bronchitis. Blood tests may be used to check for signs of. Chronic bronchitis most often results. Does Chronic Bronchitis Show Up On A Chest X Ray.
From calgaryguide.ucalgary.ca
COPD Findings on PosteriorAnterior and Lateral Chest Xray Findings Does Chronic Bronchitis Show Up On A Chest X Ray In some cases, recurrent bronchitis can lead to chronic respiratory issues. Imaging can show your provider if there’s any. Chronic bronchitis most often results from overproduction and hypersecretion of mucus by goblet cells. (if you have shortness of breath, chronic bronchitis may limit the amount of oxygen circulating throughout your body.) you may. Spirometry is a common lung function test. Does Chronic Bronchitis Show Up On A Chest X Ray.
From www.researchgate.net
Chest Xray findings in chronic bronchitis (75 patients). Download Table Does Chronic Bronchitis Show Up On A Chest X Ray Chronic bronchitis most often results from overproduction and hypersecretion of mucus by goblet cells. In some cases, recurrent bronchitis can lead to chronic respiratory issues. Imaging can show your provider if there’s any. Blood tests may be used to check for signs of. Bronchitis does not generally require further investigation. (if you have shortness of breath, chronic bronchitis may limit. Does Chronic Bronchitis Show Up On A Chest X Ray.
From bronchitisinfos.blogspot.com
Bronchitis Info Bronchitis versus Bronchiolitis Does Chronic Bronchitis Show Up On A Chest X Ray Bronchitis does not generally require further investigation. In some cases, recurrent bronchitis can lead to chronic respiratory issues. Spirometry is a common lung function test your provider may use if they think you have chronic bronchitis. Chronic bronchitis most often results from overproduction and hypersecretion of mucus by goblet cells. (if you have shortness of breath, chronic bronchitis may limit. Does Chronic Bronchitis Show Up On A Chest X Ray.
From mavink.com
Bronchiectasis Chest X Ray Does Chronic Bronchitis Show Up On A Chest X Ray In some cases, recurrent bronchitis can lead to chronic respiratory issues. Bronchitis does not generally require further investigation. Chronic bronchitis most often results from overproduction and hypersecretion of mucus by goblet cells. Imaging can show your provider if there’s any. Blood tests may be used to check for signs of. Spirometry is a common lung function test your provider may. Does Chronic Bronchitis Show Up On A Chest X Ray.
From www.pinterest.co.uk
Bronchiectasis American Lung Association Radiology imaging Does Chronic Bronchitis Show Up On A Chest X Ray Bronchitis does not generally require further investigation. In some cases, recurrent bronchitis can lead to chronic respiratory issues. (if you have shortness of breath, chronic bronchitis may limit the amount of oxygen circulating throughout your body.) you may. Blood tests may be used to check for signs of. Spirometry is a common lung function test your provider may use if. Does Chronic Bronchitis Show Up On A Chest X Ray.
From ar.inspiredpencil.com
Chest X Ray Pneumonia Vs Bronchitis Does Chronic Bronchitis Show Up On A Chest X Ray Imaging can show your provider if there’s any. Spirometry is a common lung function test your provider may use if they think you have chronic bronchitis. Blood tests may be used to check for signs of. In some cases, recurrent bronchitis can lead to chronic respiratory issues. Bronchitis does not generally require further investigation. (if you have shortness of breath,. Does Chronic Bronchitis Show Up On A Chest X Ray.
From hubpages.com
Detecting And Diagnosing Using The Chest XRay (Radiographic Does Chronic Bronchitis Show Up On A Chest X Ray Chronic bronchitis most often results from overproduction and hypersecretion of mucus by goblet cells. Bronchitis does not generally require further investigation. In some cases, recurrent bronchitis can lead to chronic respiratory issues. Spirometry is a common lung function test your provider may use if they think you have chronic bronchitis. Imaging can show your provider if there’s any. (if you. Does Chronic Bronchitis Show Up On A Chest X Ray.
From www.animalia-life.club
Bronchopneumonia Chest X Ray Does Chronic Bronchitis Show Up On A Chest X Ray In some cases, recurrent bronchitis can lead to chronic respiratory issues. Bronchitis does not generally require further investigation. Spirometry is a common lung function test your provider may use if they think you have chronic bronchitis. Blood tests may be used to check for signs of. Imaging can show your provider if there’s any. (if you have shortness of breath,. Does Chronic Bronchitis Show Up On A Chest X Ray.
From www.health.harvard.edu
Acute Bronchitis Harvard Health Does Chronic Bronchitis Show Up On A Chest X Ray Blood tests may be used to check for signs of. Spirometry is a common lung function test your provider may use if they think you have chronic bronchitis. Chronic bronchitis most often results from overproduction and hypersecretion of mucus by goblet cells. Imaging can show your provider if there’s any. In some cases, recurrent bronchitis can lead to chronic respiratory. Does Chronic Bronchitis Show Up On A Chest X Ray.
From www.animalia-life.club
Bronchitis Lungs Xray Does Chronic Bronchitis Show Up On A Chest X Ray Bronchitis does not generally require further investigation. Spirometry is a common lung function test your provider may use if they think you have chronic bronchitis. Chronic bronchitis most often results from overproduction and hypersecretion of mucus by goblet cells. In some cases, recurrent bronchitis can lead to chronic respiratory issues. Imaging can show your provider if there’s any. Blood tests. Does Chronic Bronchitis Show Up On A Chest X Ray.