Horse Side Bone Treatment . There is no need to treat subclinical ossification of collateral cartilages. The condition occurs most commonly in heavy draft, cob, and icelandic breeds, and horses with poorly balanced feet or uneven loading of the heels. Many horses compete actively in demanding. In general, horses require at least three months of stall rest when treating sidebone fractures. Sidebone usually occurs in the forelimb,. Treatment and management of sidebone in horses. If sidebone is deemed to be the cause of. Rest is the key when it comes to treatment as it provides time for the inflammation to be reduced. Treatment for sidebone in horses to treat sidebone in horses, it’s important to first diagnose whether any lameness the horse has is from sidebone or from another cause. In some cases the only useful treatment is a neurectomy of the palmar digital nerves. This process can take months and during this time anti. [1] in rare cases, horses may require a neurectomy (surgical cutting of a nerve) of the palmar/plantar digital nerve in order to be comfortable. What is the treatment for sidebone?
from www.pinterest.com.mx
In general, horses require at least three months of stall rest when treating sidebone fractures. Rest is the key when it comes to treatment as it provides time for the inflammation to be reduced. The condition occurs most commonly in heavy draft, cob, and icelandic breeds, and horses with poorly balanced feet or uneven loading of the heels. What is the treatment for sidebone? [1] in rare cases, horses may require a neurectomy (surgical cutting of a nerve) of the palmar/plantar digital nerve in order to be comfortable. Treatment and management of sidebone in horses. This process can take months and during this time anti. There is no need to treat subclinical ossification of collateral cartilages. Many horses compete actively in demanding. If sidebone is deemed to be the cause of.
A few different structures in an equine head including the spine
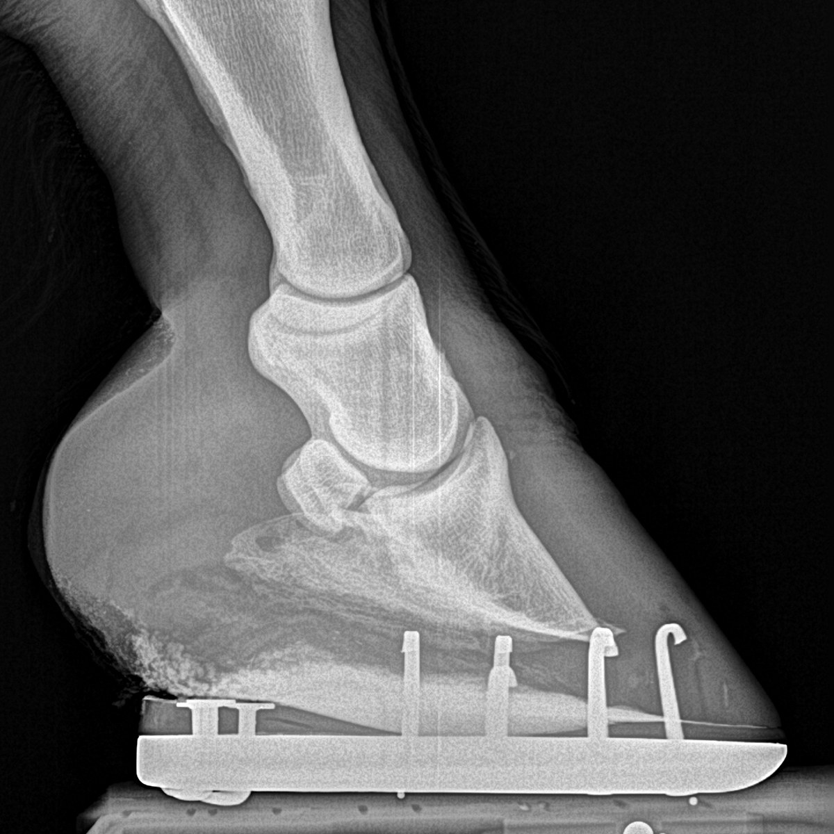
Horse Side Bone Treatment The condition occurs most commonly in heavy draft, cob, and icelandic breeds, and horses with poorly balanced feet or uneven loading of the heels. Many horses compete actively in demanding. In some cases the only useful treatment is a neurectomy of the palmar digital nerves. Treatment and management of sidebone in horses. There is no need to treat subclinical ossification of collateral cartilages. What is the treatment for sidebone? Treatment for sidebone in horses to treat sidebone in horses, it’s important to first diagnose whether any lameness the horse has is from sidebone or from another cause. This process can take months and during this time anti. Rest is the key when it comes to treatment as it provides time for the inflammation to be reduced. Sidebone usually occurs in the forelimb,. If sidebone is deemed to be the cause of. [1] in rare cases, horses may require a neurectomy (surgical cutting of a nerve) of the palmar/plantar digital nerve in order to be comfortable. In general, horses require at least three months of stall rest when treating sidebone fractures. The condition occurs most commonly in heavy draft, cob, and icelandic breeds, and horses with poorly balanced feet or uneven loading of the heels.
From equestrianbootsandbridles.com
Sidebone in Horses (What It Is, How to Treat It, & More) Equestrian Horse Side Bone Treatment Treatment and management of sidebone in horses. Treatment for sidebone in horses to treat sidebone in horses, it’s important to first diagnose whether any lameness the horse has is from sidebone or from another cause. Rest is the key when it comes to treatment as it provides time for the inflammation to be reduced. What is the treatment for sidebone?. Horse Side Bone Treatment.
From www.vetscraft.com
Ring bone in horses Etiology, Clinical Sign, Diagnosis & Treatment Horse Side Bone Treatment What is the treatment for sidebone? [1] in rare cases, horses may require a neurectomy (surgical cutting of a nerve) of the palmar/plantar digital nerve in order to be comfortable. This process can take months and during this time anti. If sidebone is deemed to be the cause of. There is no need to treat subclinical ossification of collateral cartilages.. Horse Side Bone Treatment.
From michaelporterdvm.blogspot.com
Michael Porter, Equine Veterinarian Extensor Process Fracture in a Horse Horse Side Bone Treatment In general, horses require at least three months of stall rest when treating sidebone fractures. Treatment for sidebone in horses to treat sidebone in horses, it’s important to first diagnose whether any lameness the horse has is from sidebone or from another cause. Treatment and management of sidebone in horses. Many horses compete actively in demanding. If sidebone is deemed. Horse Side Bone Treatment.
From michaelporterdvm.blogspot.com
Michael Porter, Equine Veterinarian Extensor Process Fracture in a Horse Horse Side Bone Treatment Sidebone usually occurs in the forelimb,. This process can take months and during this time anti. There is no need to treat subclinical ossification of collateral cartilages. Rest is the key when it comes to treatment as it provides time for the inflammation to be reduced. If sidebone is deemed to be the cause of. In some cases the only. Horse Side Bone Treatment.
From www.horseandrideruk.com
Sidebone Horse Health Horse&Rider Horse Side Bone Treatment Sidebone usually occurs in the forelimb,. There is no need to treat subclinical ossification of collateral cartilages. If sidebone is deemed to be the cause of. In general, horses require at least three months of stall rest when treating sidebone fractures. Treatment for sidebone in horses to treat sidebone in horses, it’s important to first diagnose whether any lameness the. Horse Side Bone Treatment.
From veteriankey.com
Ossification of the Cartilages of the Foot (Sidebone) Veterian Key Horse Side Bone Treatment In some cases the only useful treatment is a neurectomy of the palmar digital nerves. This process can take months and during this time anti. The condition occurs most commonly in heavy draft, cob, and icelandic breeds, and horses with poorly balanced feet or uneven loading of the heels. What is the treatment for sidebone? Treatment for sidebone in horses. Horse Side Bone Treatment.
From www.navp.co.uk
Guide To Side Bone in Horses National Association of Veterinary Horse Side Bone Treatment This process can take months and during this time anti. Treatment for sidebone in horses to treat sidebone in horses, it’s important to first diagnose whether any lameness the horse has is from sidebone or from another cause. There is no need to treat subclinical ossification of collateral cartilages. Rest is the key when it comes to treatment as it. Horse Side Bone Treatment.
From www.horsedvm.com
Piper’s Fractured Coffin Bone HorseDVM Horse Side Bone Treatment Treatment and management of sidebone in horses. In general, horses require at least three months of stall rest when treating sidebone fractures. Treatment for sidebone in horses to treat sidebone in horses, it’s important to first diagnose whether any lameness the horse has is from sidebone or from another cause. If sidebone is deemed to be the cause of. This. Horse Side Bone Treatment.
From horsesidevetguide.com
Vitals & Anatomy Horse Side Vet Guide Horse Side Bone Treatment The condition occurs most commonly in heavy draft, cob, and icelandic breeds, and horses with poorly balanced feet or uneven loading of the heels. In some cases the only useful treatment is a neurectomy of the palmar digital nerves. If sidebone is deemed to be the cause of. [1] in rare cases, horses may require a neurectomy (surgical cutting of. Horse Side Bone Treatment.
From www.speedhorse.com
Dealing with Ringbone Speedhorse Magazine Your Global Connection to Horse Side Bone Treatment In general, horses require at least three months of stall rest when treating sidebone fractures. Sidebone usually occurs in the forelimb,. The condition occurs most commonly in heavy draft, cob, and icelandic breeds, and horses with poorly balanced feet or uneven loading of the heels. Treatment for sidebone in horses to treat sidebone in horses, it’s important to first diagnose. Horse Side Bone Treatment.
From www.youtube.com
Horse with SIDEBONE Here’s how I shod him with HANDMADE shoes Hoof Horse Side Bone Treatment [1] in rare cases, horses may require a neurectomy (surgical cutting of a nerve) of the palmar/plantar digital nerve in order to be comfortable. If sidebone is deemed to be the cause of. The condition occurs most commonly in heavy draft, cob, and icelandic breeds, and horses with poorly balanced feet or uneven loading of the heels. What is the. Horse Side Bone Treatment.
From www.youtube.com
How to decrease Sidebone calcification on horses "Wound Balm" Sweats Horse Side Bone Treatment The condition occurs most commonly in heavy draft, cob, and icelandic breeds, and horses with poorly balanced feet or uneven loading of the heels. In general, horses require at least three months of stall rest when treating sidebone fractures. What is the treatment for sidebone? Treatment and management of sidebone in horses. This process can take months and during this. Horse Side Bone Treatment.
From www.pinterest.com
Multilevel, aggressive treatments allowed equine patient to recover Horse Side Bone Treatment This process can take months and during this time anti. Treatment for sidebone in horses to treat sidebone in horses, it’s important to first diagnose whether any lameness the horse has is from sidebone or from another cause. The condition occurs most commonly in heavy draft, cob, and icelandic breeds, and horses with poorly balanced feet or uneven loading of. Horse Side Bone Treatment.
From www.steinbeckpeninsulaequine.com
Overview of Ringbone in Horses Horse Side Bone Treatment If sidebone is deemed to be the cause of. Many horses compete actively in demanding. What is the treatment for sidebone? Rest is the key when it comes to treatment as it provides time for the inflammation to be reduced. Treatment and management of sidebone in horses. Treatment for sidebone in horses to treat sidebone in horses, it’s important to. Horse Side Bone Treatment.
From www.speedhorse.com
Dealing with Ringbone Speedhorse Magazine Your Global Connection to Horse Side Bone Treatment This process can take months and during this time anti. Sidebone usually occurs in the forelimb,. [1] in rare cases, horses may require a neurectomy (surgical cutting of a nerve) of the palmar/plantar digital nerve in order to be comfortable. Treatment and management of sidebone in horses. Treatment for sidebone in horses to treat sidebone in horses, it’s important to. Horse Side Bone Treatment.
From www.thehorsesadvocate.com
Sidebone The Horse's Advocate Horse Side Bone Treatment If sidebone is deemed to be the cause of. There is no need to treat subclinical ossification of collateral cartilages. In general, horses require at least three months of stall rest when treating sidebone fractures. What is the treatment for sidebone? Treatment and management of sidebone in horses. Rest is the key when it comes to treatment as it provides. Horse Side Bone Treatment.
From horsesidevetguide.com
Vitals & Anatomy Horse Side Vet Guide Horse Side Bone Treatment This process can take months and during this time anti. The condition occurs most commonly in heavy draft, cob, and icelandic breeds, and horses with poorly balanced feet or uneven loading of the heels. What is the treatment for sidebone? In some cases the only useful treatment is a neurectomy of the palmar digital nerves. There is no need to. Horse Side Bone Treatment.
From exohobyin.blob.core.windows.net
How Are Bone Spurs Treated In Horses at Leanne Wheatley blog Horse Side Bone Treatment In general, horses require at least three months of stall rest when treating sidebone fractures. This process can take months and during this time anti. Sidebone usually occurs in the forelimb,. Many horses compete actively in demanding. [1] in rare cases, horses may require a neurectomy (surgical cutting of a nerve) of the palmar/plantar digital nerve in order to be. Horse Side Bone Treatment.
From www.medrego.com
Suspensory Ligament Injury in Horses (and The Treatment) Horse Side Bone Treatment If sidebone is deemed to be the cause of. In general, horses require at least three months of stall rest when treating sidebone fractures. This process can take months and during this time anti. Sidebone usually occurs in the forelimb,. What is the treatment for sidebone? The condition occurs most commonly in heavy draft, cob, and icelandic breeds, and horses. Horse Side Bone Treatment.
From www.pinterest.com
Equine Sports Therapy, Alexa Linton, equine cranial bones, equine skull Horse Side Bone Treatment Rest is the key when it comes to treatment as it provides time for the inflammation to be reduced. [1] in rare cases, horses may require a neurectomy (surgical cutting of a nerve) of the palmar/plantar digital nerve in order to be comfortable. Sidebone usually occurs in the forelimb,. In some cases the only useful treatment is a neurectomy of. Horse Side Bone Treatment.
From flipboard.com
Top 10 Best Cosequin Bone Supplements for Horses Reviews 20192020 on Horse Side Bone Treatment What is the treatment for sidebone? Treatment and management of sidebone in horses. If sidebone is deemed to be the cause of. This process can take months and during this time anti. There is no need to treat subclinical ossification of collateral cartilages. The condition occurs most commonly in heavy draft, cob, and icelandic breeds, and horses with poorly balanced. Horse Side Bone Treatment.
From www.horseandrideruk.com
Sidebone Horse Health Horse&Rider Horse Side Bone Treatment The condition occurs most commonly in heavy draft, cob, and icelandic breeds, and horses with poorly balanced feet or uneven loading of the heels. In some cases the only useful treatment is a neurectomy of the palmar digital nerves. Sidebone usually occurs in the forelimb,. Treatment for sidebone in horses to treat sidebone in horses, it’s important to first diagnose. Horse Side Bone Treatment.
From wagwalking.com
Sidebone in Horses Symptoms, Causes, Diagnosis, Treatment, Recovery Horse Side Bone Treatment The condition occurs most commonly in heavy draft, cob, and icelandic breeds, and horses with poorly balanced feet or uneven loading of the heels. In general, horses require at least three months of stall rest when treating sidebone fractures. Rest is the key when it comes to treatment as it provides time for the inflammation to be reduced. [1] in. Horse Side Bone Treatment.
From angelamcmillan.com
Equine Ringbone Pictures Horse Side Bone Treatment This process can take months and during this time anti. The condition occurs most commonly in heavy draft, cob, and icelandic breeds, and horses with poorly balanced feet or uneven loading of the heels. Many horses compete actively in demanding. There is no need to treat subclinical ossification of collateral cartilages. In general, horses require at least three months of. Horse Side Bone Treatment.
From www.pinterest.com
Horse Side Vet Guide Quick Reference Hind Limb Anatomy by Lost Horse Side Bone Treatment In some cases the only useful treatment is a neurectomy of the palmar digital nerves. In general, horses require at least three months of stall rest when treating sidebone fractures. Many horses compete actively in demanding. If sidebone is deemed to be the cause of. What is the treatment for sidebone? [1] in rare cases, horses may require a neurectomy. Horse Side Bone Treatment.
From www.seehorsedesign.com
Ringbone or…Wingbone? See Horse Design Horse Side Bone Treatment Treatment and management of sidebone in horses. [1] in rare cases, horses may require a neurectomy (surgical cutting of a nerve) of the palmar/plantar digital nerve in order to be comfortable. In some cases the only useful treatment is a neurectomy of the palmar digital nerves. There is no need to treat subclinical ossification of collateral cartilages. In general, horses. Horse Side Bone Treatment.
From madbarn.com
Stifle Lameness in Horses Causes, Treatment & Prevention Mad Barn Horse Side Bone Treatment Treatment for sidebone in horses to treat sidebone in horses, it’s important to first diagnose whether any lameness the horse has is from sidebone or from another cause. Many horses compete actively in demanding. If sidebone is deemed to be the cause of. What is the treatment for sidebone? This process can take months and during this time anti. In. Horse Side Bone Treatment.
From www.irongateequine.com
Ringbone in Horses Diagnosis & Treatment — Irongate Equine Clinic Horse Side Bone Treatment In general, horses require at least three months of stall rest when treating sidebone fractures. This process can take months and during this time anti. Rest is the key when it comes to treatment as it provides time for the inflammation to be reduced. Many horses compete actively in demanding. What is the treatment for sidebone? [1] in rare cases,. Horse Side Bone Treatment.
From horsedvm.com
Sidebone in Horses Signs, Treatment & Prevention Horse Side Bone Treatment Many horses compete actively in demanding. What is the treatment for sidebone? If sidebone is deemed to be the cause of. Sidebone usually occurs in the forelimb,. Rest is the key when it comes to treatment as it provides time for the inflammation to be reduced. In some cases the only useful treatment is a neurectomy of the palmar digital. Horse Side Bone Treatment.
From www.pinterest.com.mx
A few different structures in an equine head including the spine Horse Side Bone Treatment The condition occurs most commonly in heavy draft, cob, and icelandic breeds, and horses with poorly balanced feet or uneven loading of the heels. There is no need to treat subclinical ossification of collateral cartilages. Treatment and management of sidebone in horses. If sidebone is deemed to be the cause of. Rest is the key when it comes to treatment. Horse Side Bone Treatment.
From horsesidevetguide.com
Vitals & Anatomy Horse Side Vet Guide Horse Side Bone Treatment [1] in rare cases, horses may require a neurectomy (surgical cutting of a nerve) of the palmar/plantar digital nerve in order to be comfortable. Many horses compete actively in demanding. The condition occurs most commonly in heavy draft, cob, and icelandic breeds, and horses with poorly balanced feet or uneven loading of the heels. Treatment for sidebone in horses to. Horse Side Bone Treatment.
From www.pinterest.pt
Vitals & Anatomy Horse Side Vet Guide Healthy horses, Horse health Horse Side Bone Treatment There is no need to treat subclinical ossification of collateral cartilages. In some cases the only useful treatment is a neurectomy of the palmar digital nerves. Treatment and management of sidebone in horses. The condition occurs most commonly in heavy draft, cob, and icelandic breeds, and horses with poorly balanced feet or uneven loading of the heels. Treatment for sidebone. Horse Side Bone Treatment.
From www.merckvetmanual.com
Sidebone in Horses Musculoskeletal System Merck Veterinary Manual Horse Side Bone Treatment This process can take months and during this time anti. Sidebone usually occurs in the forelimb,. If sidebone is deemed to be the cause of. In general, horses require at least three months of stall rest when treating sidebone fractures. Rest is the key when it comes to treatment as it provides time for the inflammation to be reduced. Treatment. Horse Side Bone Treatment.
From horsesidevetguide.com
Subchondral Bone Cyst, Generally Horse Side Vet Guide Horse Side Bone Treatment What is the treatment for sidebone? Treatment and management of sidebone in horses. The condition occurs most commonly in heavy draft, cob, and icelandic breeds, and horses with poorly balanced feet or uneven loading of the heels. Sidebone usually occurs in the forelimb,. In some cases the only useful treatment is a neurectomy of the palmar digital nerves. There is. Horse Side Bone Treatment.
From www.mcdowellsherbal.com
Ringbone in horses McDowell's Herbal Treatments Horse Side Bone Treatment Treatment for sidebone in horses to treat sidebone in horses, it’s important to first diagnose whether any lameness the horse has is from sidebone or from another cause. What is the treatment for sidebone? Treatment and management of sidebone in horses. This process can take months and during this time anti. In general, horses require at least three months of. Horse Side Bone Treatment.