Brittle Teeth Diabetes . if you have diabetes, you’re more likely to have oral health problems like cavities, and infections of the gums and. in fact, research shows that it is common for dentists to detect that a person has prediabetes or diabetes. Ongoing high blood glucose (blood. Good oral health habits can help prevent pain and. learn how diabetes is linked to gum disease and other mouth problems, and read how to prevent and treat mouth problems related to. gum disease is an infection that affects the soft tissue in your mouth and can destroy the bones that hold your teeth in place. looking after your teeth and gums should be a basic part of how you manage your diabetes. If your dentist or hygienist detects gum disease,. You can prevent these potential.
from www.diabetesyour.com
in fact, research shows that it is common for dentists to detect that a person has prediabetes or diabetes. looking after your teeth and gums should be a basic part of how you manage your diabetes. learn how diabetes is linked to gum disease and other mouth problems, and read how to prevent and treat mouth problems related to. You can prevent these potential. if you have diabetes, you’re more likely to have oral health problems like cavities, and infections of the gums and. If your dentist or hygienist detects gum disease,. Good oral health habits can help prevent pain and. gum disease is an infection that affects the soft tissue in your mouth and can destroy the bones that hold your teeth in place. Ongoing high blood glucose (blood.
Brittle Diabetes Type 1 Symptoms, and Life Expectancy FYDiabetes
Brittle Teeth Diabetes You can prevent these potential. in fact, research shows that it is common for dentists to detect that a person has prediabetes or diabetes. gum disease is an infection that affects the soft tissue in your mouth and can destroy the bones that hold your teeth in place. learn how diabetes is linked to gum disease and other mouth problems, and read how to prevent and treat mouth problems related to. looking after your teeth and gums should be a basic part of how you manage your diabetes. Ongoing high blood glucose (blood. Good oral health habits can help prevent pain and. If your dentist or hygienist detects gum disease,. if you have diabetes, you’re more likely to have oral health problems like cavities, and infections of the gums and. You can prevent these potential.
From www.slideserve.com
PPT How To Control Brittle Diabetes Mellitus? PowerPoint Presentation Brittle Teeth Diabetes gum disease is an infection that affects the soft tissue in your mouth and can destroy the bones that hold your teeth in place. if you have diabetes, you’re more likely to have oral health problems like cavities, and infections of the gums and. If your dentist or hygienist detects gum disease,. Good oral health habits can help. Brittle Teeth Diabetes.
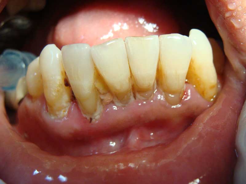
From mybestdentists.com
How to Manage Brittle Teeth My BEST Dentists Journal MyBestDentists Brittle Teeth Diabetes gum disease is an infection that affects the soft tissue in your mouth and can destroy the bones that hold your teeth in place. You can prevent these potential. looking after your teeth and gums should be a basic part of how you manage your diabetes. If your dentist or hygienist detects gum disease,. Ongoing high blood glucose. Brittle Teeth Diabetes.
From dxoqmlrxa.blob.core.windows.net
Diseases That Cause Brittle Teeth at Carroll Sevier blog Brittle Teeth Diabetes if you have diabetes, you’re more likely to have oral health problems like cavities, and infections of the gums and. gum disease is an infection that affects the soft tissue in your mouth and can destroy the bones that hold your teeth in place. in fact, research shows that it is common for dentists to detect that. Brittle Teeth Diabetes.
From health.usnews.com
What Is ‘Brittle Diabetes’? US News Brittle Teeth Diabetes looking after your teeth and gums should be a basic part of how you manage your diabetes. Good oral health habits can help prevent pain and. learn how diabetes is linked to gum disease and other mouth problems, and read how to prevent and treat mouth problems related to. gum disease is an infection that affects the. Brittle Teeth Diabetes.
From diabetes.co.uk
Brittle Diabetes Mellitus Causes, Treatment, How Does Brittle Brittle Teeth Diabetes You can prevent these potential. Ongoing high blood glucose (blood. looking after your teeth and gums should be a basic part of how you manage your diabetes. if you have diabetes, you’re more likely to have oral health problems like cavities, and infections of the gums and. If your dentist or hygienist detects gum disease,. Good oral health. Brittle Teeth Diabetes.
From www.dentystabirmingham.co.uk
Brittle teeth causes, prevention and treatment Brittle Teeth Diabetes looking after your teeth and gums should be a basic part of how you manage your diabetes. in fact, research shows that it is common for dentists to detect that a person has prediabetes or diabetes. You can prevent these potential. Good oral health habits can help prevent pain and. learn how diabetes is linked to gum. Brittle Teeth Diabetes.
From www.firstpost.com
What is brittle diabetes and how can it affect your organsHealth News Brittle Teeth Diabetes Ongoing high blood glucose (blood. You can prevent these potential. in fact, research shows that it is common for dentists to detect that a person has prediabetes or diabetes. learn how diabetes is linked to gum disease and other mouth problems, and read how to prevent and treat mouth problems related to. Good oral health habits can help. Brittle Teeth Diabetes.
From www.verywellhealth.com
The Connection Between Diabetes and Periodontal Disease Brittle Teeth Diabetes looking after your teeth and gums should be a basic part of how you manage your diabetes. gum disease is an infection that affects the soft tissue in your mouth and can destroy the bones that hold your teeth in place. Good oral health habits can help prevent pain and. in fact, research shows that it is. Brittle Teeth Diabetes.
From mybestdentists.com
How to Manage Brittle Teeth My BEST Dentists Journal MyBestDentists Brittle Teeth Diabetes You can prevent these potential. Ongoing high blood glucose (blood. If your dentist or hygienist detects gum disease,. in fact, research shows that it is common for dentists to detect that a person has prediabetes or diabetes. looking after your teeth and gums should be a basic part of how you manage your diabetes. gum disease is. Brittle Teeth Diabetes.
From www.lybrate.com
Know The Causes And Symptoms Of Brittle Diabetes! By Dr. Garima Lybrate Brittle Teeth Diabetes if you have diabetes, you’re more likely to have oral health problems like cavities, and infections of the gums and. You can prevent these potential. gum disease is an infection that affects the soft tissue in your mouth and can destroy the bones that hold your teeth in place. If your dentist or hygienist detects gum disease,. . Brittle Teeth Diabetes.
From mybestdentists.com
How to Manage Brittle Teeth My BEST Dentists Journal MyBestDentists Brittle Teeth Diabetes Good oral health habits can help prevent pain and. gum disease is an infection that affects the soft tissue in your mouth and can destroy the bones that hold your teeth in place. Ongoing high blood glucose (blood. if you have diabetes, you’re more likely to have oral health problems like cavities, and infections of the gums and.. Brittle Teeth Diabetes.
From health-wellness-tomorrow.com
The ABCs of Brittle Diabetes A Beginner's Guide Brittle Teeth Diabetes in fact, research shows that it is common for dentists to detect that a person has prediabetes or diabetes. Ongoing high blood glucose (blood. If your dentist or hygienist detects gum disease,. looking after your teeth and gums should be a basic part of how you manage your diabetes. You can prevent these potential. gum disease is. Brittle Teeth Diabetes.
From www.lybrate.com
Brittle Diabetes What Causes This Rare Condition? By Dr. Garima Brittle Teeth Diabetes learn how diabetes is linked to gum disease and other mouth problems, and read how to prevent and treat mouth problems related to. gum disease is an infection that affects the soft tissue in your mouth and can destroy the bones that hold your teeth in place. Ongoing high blood glucose (blood. if you have diabetes, you’re. Brittle Teeth Diabetes.
From carolinadentist.blogspot.com
How Diabetes Impacts Your Oral Health Brittle Teeth Diabetes Ongoing high blood glucose (blood. in fact, research shows that it is common for dentists to detect that a person has prediabetes or diabetes. if you have diabetes, you’re more likely to have oral health problems like cavities, and infections of the gums and. You can prevent these potential. looking after your teeth and gums should be. Brittle Teeth Diabetes.
From dr-sreenita-chowdhury.blogspot.com
The TeethIng Troubles Oral Health a diagnosis factor for diabetes? Brittle Teeth Diabetes Good oral health habits can help prevent pain and. If your dentist or hygienist detects gum disease,. gum disease is an infection that affects the soft tissue in your mouth and can destroy the bones that hold your teeth in place. Ongoing high blood glucose (blood. learn how diabetes is linked to gum disease and other mouth problems,. Brittle Teeth Diabetes.
From insulinoutlet.com
Brittle Diabetes Everything You Need to Know! Insulin Outlet Brittle Teeth Diabetes Good oral health habits can help prevent pain and. in fact, research shows that it is common for dentists to detect that a person has prediabetes or diabetes. You can prevent these potential. looking after your teeth and gums should be a basic part of how you manage your diabetes. If your dentist or hygienist detects gum disease,.. Brittle Teeth Diabetes.
From www.semanticscholar.org
[PDF] Diabetes and Oral Health—Current Concepts Regarding Periodontal Brittle Teeth Diabetes If your dentist or hygienist detects gum disease,. in fact, research shows that it is common for dentists to detect that a person has prediabetes or diabetes. gum disease is an infection that affects the soft tissue in your mouth and can destroy the bones that hold your teeth in place. learn how diabetes is linked to. Brittle Teeth Diabetes.
From www.youtube.com
What is Brittle Diabetes Symptoms Cause & Treatment Who Does It Brittle Teeth Diabetes if you have diabetes, you’re more likely to have oral health problems like cavities, and infections of the gums and. Good oral health habits can help prevent pain and. You can prevent these potential. looking after your teeth and gums should be a basic part of how you manage your diabetes. Ongoing high blood glucose (blood. gum. Brittle Teeth Diabetes.
From danversaestheticdentistry.com
Helpful Tips Take Care of Brittle Teeth Brittle Teeth Diabetes Good oral health habits can help prevent pain and. You can prevent these potential. If your dentist or hygienist detects gum disease,. learn how diabetes is linked to gum disease and other mouth problems, and read how to prevent and treat mouth problems related to. looking after your teeth and gums should be a basic part of how. Brittle Teeth Diabetes.
From www.slideshare.net
Brittle diabetes Current Approach Brittle Teeth Diabetes You can prevent these potential. in fact, research shows that it is common for dentists to detect that a person has prediabetes or diabetes. Ongoing high blood glucose (blood. looking after your teeth and gums should be a basic part of how you manage your diabetes. if you have diabetes, you’re more likely to have oral health. Brittle Teeth Diabetes.
From www.dentystabirmingham.co.uk
Brittle teeth causes, prevention and treatment Brittle Teeth Diabetes looking after your teeth and gums should be a basic part of how you manage your diabetes. if you have diabetes, you’re more likely to have oral health problems like cavities, and infections of the gums and. If your dentist or hygienist detects gum disease,. learn how diabetes is linked to gum disease and other mouth problems,. Brittle Teeth Diabetes.
From www.youtube.com
Diabetic Patient With Huge Tartar Tooth Extraction Tooth Extraction Brittle Teeth Diabetes If your dentist or hygienist detects gum disease,. in fact, research shows that it is common for dentists to detect that a person has prediabetes or diabetes. gum disease is an infection that affects the soft tissue in your mouth and can destroy the bones that hold your teeth in place. Ongoing high blood glucose (blood. learn. Brittle Teeth Diabetes.
From www.medicalnewstoday.com
Brittle diabetes Definition, symptoms, and risk factors Brittle Teeth Diabetes You can prevent these potential. if you have diabetes, you’re more likely to have oral health problems like cavities, and infections of the gums and. learn how diabetes is linked to gum disease and other mouth problems, and read how to prevent and treat mouth problems related to. looking after your teeth and gums should be a. Brittle Teeth Diabetes.
From www.diabetes.co.uk
Brittle Diabetes Mellitus Causes, Treatment, How Does Brittle Brittle Teeth Diabetes Ongoing high blood glucose (blood. in fact, research shows that it is common for dentists to detect that a person has prediabetes or diabetes. You can prevent these potential. if you have diabetes, you’re more likely to have oral health problems like cavities, and infections of the gums and. learn how diabetes is linked to gum disease. Brittle Teeth Diabetes.
From diabetesstrong.com
What is Brittle Diabetes Diagnosis and Treatment Diabetes Strong Brittle Teeth Diabetes Good oral health habits can help prevent pain and. in fact, research shows that it is common for dentists to detect that a person has prediabetes or diabetes. You can prevent these potential. gum disease is an infection that affects the soft tissue in your mouth and can destroy the bones that hold your teeth in place. . Brittle Teeth Diabetes.
From websterdentalstl.com
10 Common, Everyday Things That Lead to Damaged, Brittle Teeth Brittle Teeth Diabetes If your dentist or hygienist detects gum disease,. You can prevent these potential. learn how diabetes is linked to gum disease and other mouth problems, and read how to prevent and treat mouth problems related to. Ongoing high blood glucose (blood. looking after your teeth and gums should be a basic part of how you manage your diabetes.. Brittle Teeth Diabetes.
From www.lybrate.com
Brittle Diabetes What Are The Risk Factors? By Dr. Garima Lybrate Brittle Teeth Diabetes If your dentist or hygienist detects gum disease,. in fact, research shows that it is common for dentists to detect that a person has prediabetes or diabetes. gum disease is an infection that affects the soft tissue in your mouth and can destroy the bones that hold your teeth in place. looking after your teeth and gums. Brittle Teeth Diabetes.
From www.greatoaksdentists.com
Unraveling The Mystery Of Brittle Teeth Causes And Solutions Great Brittle Teeth Diabetes in fact, research shows that it is common for dentists to detect that a person has prediabetes or diabetes. gum disease is an infection that affects the soft tissue in your mouth and can destroy the bones that hold your teeth in place. if you have diabetes, you’re more likely to have oral health problems like cavities,. Brittle Teeth Diabetes.
From www.newsanyway.com
Understanding Brittle Teeth & How to Treat Them News Anyway Brittle Teeth Diabetes Good oral health habits can help prevent pain and. if you have diabetes, you’re more likely to have oral health problems like cavities, and infections of the gums and. If your dentist or hygienist detects gum disease,. looking after your teeth and gums should be a basic part of how you manage your diabetes. gum disease is. Brittle Teeth Diabetes.
From endocrinologistinahmedabad.com
What is Brittle Diabetes Causes, Symptoms, treatment Dr. Moxit Shah Brittle Teeth Diabetes looking after your teeth and gums should be a basic part of how you manage your diabetes. in fact, research shows that it is common for dentists to detect that a person has prediabetes or diabetes. If your dentist or hygienist detects gum disease,. gum disease is an infection that affects the soft tissue in your mouth. Brittle Teeth Diabetes.
From www.diabetes.co.uk
Brittle Diabetes Mellitus Causes, Treatment, How Does Brittle Brittle Teeth Diabetes Ongoing high blood glucose (blood. learn how diabetes is linked to gum disease and other mouth problems, and read how to prevent and treat mouth problems related to. You can prevent these potential. looking after your teeth and gums should be a basic part of how you manage your diabetes. if you have diabetes, you’re more likely. Brittle Teeth Diabetes.
From www.semanticscholar.org
Figure 1 from Brittle Diabetes A Contemporary Review of the Myth and Brittle Teeth Diabetes if you have diabetes, you’re more likely to have oral health problems like cavities, and infections of the gums and. in fact, research shows that it is common for dentists to detect that a person has prediabetes or diabetes. If your dentist or hygienist detects gum disease,. Good oral health habits can help prevent pain and. learn. Brittle Teeth Diabetes.
From www.diabetesyour.com
Brittle Diabetes Type 1 Symptoms, and Life Expectancy FYDiabetes Brittle Teeth Diabetes You can prevent these potential. in fact, research shows that it is common for dentists to detect that a person has prediabetes or diabetes. if you have diabetes, you’re more likely to have oral health problems like cavities, and infections of the gums and. looking after your teeth and gums should be a basic part of how. Brittle Teeth Diabetes.
From drkumo.com
Leveraging Technology for Brittle Diabetes Management Brittle Teeth Diabetes Good oral health habits can help prevent pain and. in fact, research shows that it is common for dentists to detect that a person has prediabetes or diabetes. Ongoing high blood glucose (blood. learn how diabetes is linked to gum disease and other mouth problems, and read how to prevent and treat mouth problems related to. gum. Brittle Teeth Diabetes.
From dxoljpmrw.blob.core.windows.net
What Causes Weak Brittle Teeth at Kay Stanfield blog Brittle Teeth Diabetes gum disease is an infection that affects the soft tissue in your mouth and can destroy the bones that hold your teeth in place. looking after your teeth and gums should be a basic part of how you manage your diabetes. Ongoing high blood glucose (blood. learn how diabetes is linked to gum disease and other mouth. Brittle Teeth Diabetes.