What Is Deep Soft Tissue . Deep tissue massage is a massage technique that’s mainly used to treat musculoskeletal issues, such as strains and. Rather than focusing on slow and firm strokes to the deep layers of muscles and. People may choose this type of massage to treat sports. Soft tissue injuries include sprains, strains, and contusions of any tissue that is not bone. Swedish and deep tissue massage are both popular types of massage therapy that differ in pressure, technique, intended use, and. Soft tissue massage is less intrusive than deep tissue massage. This usually refers to tendon, ligament,. A deep tissue massage targets deep layers of muscle and the surrounding tissues. Deep tissue massage encompasses a variety of therapeutic techniques designed to reach and manipulate the layers of soft tissue.
from www.slideserve.com
A deep tissue massage targets deep layers of muscle and the surrounding tissues. Swedish and deep tissue massage are both popular types of massage therapy that differ in pressure, technique, intended use, and. Deep tissue massage encompasses a variety of therapeutic techniques designed to reach and manipulate the layers of soft tissue. This usually refers to tendon, ligament,. Soft tissue massage is less intrusive than deep tissue massage. Rather than focusing on slow and firm strokes to the deep layers of muscles and. Deep tissue massage is a massage technique that’s mainly used to treat musculoskeletal issues, such as strains and. Soft tissue injuries include sprains, strains, and contusions of any tissue that is not bone. People may choose this type of massage to treat sports.
PPT Pathophysiology of the Foot in Diabetes An Endocrinologist’s Perspective PowerPoint
What Is Deep Soft Tissue People may choose this type of massage to treat sports. Rather than focusing on slow and firm strokes to the deep layers of muscles and. People may choose this type of massage to treat sports. Deep tissue massage is a massage technique that’s mainly used to treat musculoskeletal issues, such as strains and. A deep tissue massage targets deep layers of muscle and the surrounding tissues. Deep tissue massage encompasses a variety of therapeutic techniques designed to reach and manipulate the layers of soft tissue. Soft tissue massage is less intrusive than deep tissue massage. Soft tissue injuries include sprains, strains, and contusions of any tissue that is not bone. This usually refers to tendon, ligament,. Swedish and deep tissue massage are both popular types of massage therapy that differ in pressure, technique, intended use, and.
From www.thelancet.com
New insights into the softtissue anatomy anterior to the patella The Lancet What Is Deep Soft Tissue A deep tissue massage targets deep layers of muscle and the surrounding tissues. This usually refers to tendon, ligament,. Rather than focusing on slow and firm strokes to the deep layers of muscles and. Deep tissue massage encompasses a variety of therapeutic techniques designed to reach and manipulate the layers of soft tissue. Deep tissue massage is a massage technique. What Is Deep Soft Tissue.
From www.slideserve.com
PPT CERVICAL SPINE INJURIES PowerPoint Presentation, free download ID6645584 What Is Deep Soft Tissue Soft tissue injuries include sprains, strains, and contusions of any tissue that is not bone. Swedish and deep tissue massage are both popular types of massage therapy that differ in pressure, technique, intended use, and. Soft tissue massage is less intrusive than deep tissue massage. People may choose this type of massage to treat sports. Rather than focusing on slow. What Is Deep Soft Tissue.
From kikoxp.com
Deep soft tissue mass. Diagnosis? KiKo XP What Is Deep Soft Tissue Soft tissue massage is less intrusive than deep tissue massage. This usually refers to tendon, ligament,. Soft tissue injuries include sprains, strains, and contusions of any tissue that is not bone. Rather than focusing on slow and firm strokes to the deep layers of muscles and. Swedish and deep tissue massage are both popular types of massage therapy that differ. What Is Deep Soft Tissue.
From mavink.com
Soft Tissue Diagram What Is Deep Soft Tissue Soft tissue injuries include sprains, strains, and contusions of any tissue that is not bone. Rather than focusing on slow and firm strokes to the deep layers of muscles and. People may choose this type of massage to treat sports. Swedish and deep tissue massage are both popular types of massage therapy that differ in pressure, technique, intended use, and.. What Is Deep Soft Tissue.
From www.hsflawfirm.com
The Most Common Soft Tissue Injuries HSF Trial Attorneys What Is Deep Soft Tissue A deep tissue massage targets deep layers of muscle and the surrounding tissues. This usually refers to tendon, ligament,. Deep tissue massage encompasses a variety of therapeutic techniques designed to reach and manipulate the layers of soft tissue. People may choose this type of massage to treat sports. Soft tissue injuries include sprains, strains, and contusions of any tissue that. What Is Deep Soft Tissue.
From apexsofttissue.com.au
Ask the doc What is Soft Tissue & Why Does it Matter? What Is Deep Soft Tissue Rather than focusing on slow and firm strokes to the deep layers of muscles and. Deep tissue massage encompasses a variety of therapeutic techniques designed to reach and manipulate the layers of soft tissue. Soft tissue injuries include sprains, strains, and contusions of any tissue that is not bone. People may choose this type of massage to treat sports. Soft. What Is Deep Soft Tissue.
From www.youandsarcoma.com
Understanding Soft Tissue What Is Deep Soft Tissue Soft tissue massage is less intrusive than deep tissue massage. Rather than focusing on slow and firm strokes to the deep layers of muscles and. A deep tissue massage targets deep layers of muscle and the surrounding tissues. People may choose this type of massage to treat sports. Deep tissue massage encompasses a variety of therapeutic techniques designed to reach. What Is Deep Soft Tissue.
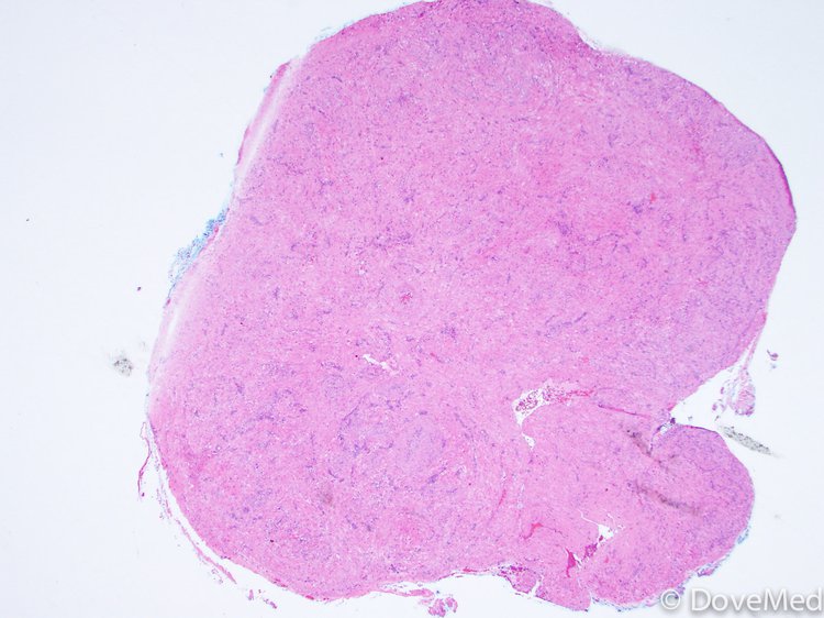
From www.dovemed.com
Leiomyoma of Deep Soft Tissue What Is Deep Soft Tissue People may choose this type of massage to treat sports. Swedish and deep tissue massage are both popular types of massage therapy that differ in pressure, technique, intended use, and. A deep tissue massage targets deep layers of muscle and the surrounding tissues. Deep tissue massage is a massage technique that’s mainly used to treat musculoskeletal issues, such as strains. What Is Deep Soft Tissue.
From brownemblog.com
Soft Tissue Infection Diagnosis by Ultrasound — BROWN EMERGENCY MEDICINE What Is Deep Soft Tissue Swedish and deep tissue massage are both popular types of massage therapy that differ in pressure, technique, intended use, and. Rather than focusing on slow and firm strokes to the deep layers of muscles and. This usually refers to tendon, ligament,. Soft tissue massage is less intrusive than deep tissue massage. A deep tissue massage targets deep layers of muscle. What Is Deep Soft Tissue.
From www.slideshare.net
Anatomy Of The Skin Lecture What Is Deep Soft Tissue Soft tissue injuries include sprains, strains, and contusions of any tissue that is not bone. Swedish and deep tissue massage are both popular types of massage therapy that differ in pressure, technique, intended use, and. Rather than focusing on slow and firm strokes to the deep layers of muscles and. A deep tissue massage targets deep layers of muscle and. What Is Deep Soft Tissue.
From learnmuscles.com
soft tissue interface Archives Learn Muscles What Is Deep Soft Tissue Swedish and deep tissue massage are both popular types of massage therapy that differ in pressure, technique, intended use, and. Soft tissue massage is less intrusive than deep tissue massage. People may choose this type of massage to treat sports. Deep tissue massage encompasses a variety of therapeutic techniques designed to reach and manipulate the layers of soft tissue. Rather. What Is Deep Soft Tissue.
From www.slideserve.com
PPT Soft Tissue Tumors PowerPoint Presentation, free download ID146428 What Is Deep Soft Tissue Rather than focusing on slow and firm strokes to the deep layers of muscles and. People may choose this type of massage to treat sports. Soft tissue massage is less intrusive than deep tissue massage. Deep tissue massage is a massage technique that’s mainly used to treat musculoskeletal issues, such as strains and. Deep tissue massage encompasses a variety of. What Is Deep Soft Tissue.
From www.slideshare.net
Skin and Soft tissue infections What Is Deep Soft Tissue Soft tissue massage is less intrusive than deep tissue massage. Deep tissue massage encompasses a variety of therapeutic techniques designed to reach and manipulate the layers of soft tissue. Soft tissue injuries include sprains, strains, and contusions of any tissue that is not bone. A deep tissue massage targets deep layers of muscle and the surrounding tissues. Rather than focusing. What Is Deep Soft Tissue.
From www.slideserve.com
PPT Soft Tissue Injury PowerPoint Presentation ID1634436 What Is Deep Soft Tissue People may choose this type of massage to treat sports. Deep tissue massage is a massage technique that’s mainly used to treat musculoskeletal issues, such as strains and. This usually refers to tendon, ligament,. Soft tissue injuries include sprains, strains, and contusions of any tissue that is not bone. Swedish and deep tissue massage are both popular types of massage. What Is Deep Soft Tissue.
From www.rcemlearning.co.uk
Soft Tissue Injuries of the Hand RCEMLearning What Is Deep Soft Tissue Soft tissue massage is less intrusive than deep tissue massage. Deep tissue massage is a massage technique that’s mainly used to treat musculoskeletal issues, such as strains and. A deep tissue massage targets deep layers of muscle and the surrounding tissues. People may choose this type of massage to treat sports. Swedish and deep tissue massage are both popular types. What Is Deep Soft Tissue.
From www.verywellhealth.com
Soft Tissue Types and Examples What Is Deep Soft Tissue A deep tissue massage targets deep layers of muscle and the surrounding tissues. Soft tissue massage is less intrusive than deep tissue massage. Swedish and deep tissue massage are both popular types of massage therapy that differ in pressure, technique, intended use, and. Deep tissue massage encompasses a variety of therapeutic techniques designed to reach and manipulate the layers of. What Is Deep Soft Tissue.
From www.slideshare.net
Hand trauma soft tissue injuries overview ,principles of management What Is Deep Soft Tissue Deep tissue massage encompasses a variety of therapeutic techniques designed to reach and manipulate the layers of soft tissue. Deep tissue massage is a massage technique that’s mainly used to treat musculoskeletal issues, such as strains and. Soft tissue injuries include sprains, strains, and contusions of any tissue that is not bone. A deep tissue massage targets deep layers of. What Is Deep Soft Tissue.
From www.verywellhealth.com
Skin Layers Structure, Function, Anatomy, and More What Is Deep Soft Tissue Deep tissue massage encompasses a variety of therapeutic techniques designed to reach and manipulate the layers of soft tissue. Swedish and deep tissue massage are both popular types of massage therapy that differ in pressure, technique, intended use, and. This usually refers to tendon, ligament,. People may choose this type of massage to treat sports. A deep tissue massage targets. What Is Deep Soft Tissue.
From www.nejm.org
Necrotizing SoftTissue Infections NEJM What Is Deep Soft Tissue Soft tissue injuries include sprains, strains, and contusions of any tissue that is not bone. Deep tissue massage encompasses a variety of therapeutic techniques designed to reach and manipulate the layers of soft tissue. Soft tissue massage is less intrusive than deep tissue massage. Deep tissue massage is a massage technique that’s mainly used to treat musculoskeletal issues, such as. What Is Deep Soft Tissue.
From www.slideserve.com
PPT Chapter 5 SoftTissue Trauma PowerPoint Presentation, free download ID1214059 What Is Deep Soft Tissue Deep tissue massage is a massage technique that’s mainly used to treat musculoskeletal issues, such as strains and. This usually refers to tendon, ligament,. Soft tissue injuries include sprains, strains, and contusions of any tissue that is not bone. A deep tissue massage targets deep layers of muscle and the surrounding tissues. People may choose this type of massage to. What Is Deep Soft Tissue.
From www.boehringerlabs.com
Deep_Tissue_Injury_Stages Boehringer Labs What Is Deep Soft Tissue People may choose this type of massage to treat sports. Soft tissue massage is less intrusive than deep tissue massage. Soft tissue injuries include sprains, strains, and contusions of any tissue that is not bone. Rather than focusing on slow and firm strokes to the deep layers of muscles and. Deep tissue massage is a massage technique that’s mainly used. What Is Deep Soft Tissue.
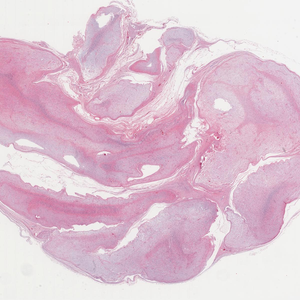
From www.researchgate.net
Histological examination of the leiomyoma of deep soft tissue of case... Download Scientific What Is Deep Soft Tissue This usually refers to tendon, ligament,. Deep tissue massage encompasses a variety of therapeutic techniques designed to reach and manipulate the layers of soft tissue. People may choose this type of massage to treat sports. Rather than focusing on slow and firm strokes to the deep layers of muscles and. Soft tissue massage is less intrusive than deep tissue massage.. What Is Deep Soft Tissue.
From coreem.net
Necrotizing Soft Tissue Infection Core EM What Is Deep Soft Tissue Deep tissue massage encompasses a variety of therapeutic techniques designed to reach and manipulate the layers of soft tissue. Deep tissue massage is a massage technique that’s mainly used to treat musculoskeletal issues, such as strains and. Rather than focusing on slow and firm strokes to the deep layers of muscles and. People may choose this type of massage to. What Is Deep Soft Tissue.
From kikoxp.com
Deep soft tissue mass in adult. Diagnosis? KiKo XP What Is Deep Soft Tissue A deep tissue massage targets deep layers of muscle and the surrounding tissues. Soft tissue injuries include sprains, strains, and contusions of any tissue that is not bone. This usually refers to tendon, ligament,. Deep tissue massage encompasses a variety of therapeutic techniques designed to reach and manipulate the layers of soft tissue. Rather than focusing on slow and firm. What Is Deep Soft Tissue.
From www.joionline.net
Deep Tissue Injury or DTI JOI Jacksonville Orthopaedic Institute What Is Deep Soft Tissue This usually refers to tendon, ligament,. Swedish and deep tissue massage are both popular types of massage therapy that differ in pressure, technique, intended use, and. Soft tissue massage is less intrusive than deep tissue massage. People may choose this type of massage to treat sports. Deep tissue massage is a massage technique that’s mainly used to treat musculoskeletal issues,. What Is Deep Soft Tissue.
From www.slideshare.net
Skin, Soft Tissue, & Bone Infections Symposia The CRUDEM Foundation What Is Deep Soft Tissue Deep tissue massage is a massage technique that’s mainly used to treat musculoskeletal issues, such as strains and. Rather than focusing on slow and firm strokes to the deep layers of muscles and. This usually refers to tendon, ligament,. Deep tissue massage encompasses a variety of therapeutic techniques designed to reach and manipulate the layers of soft tissue. People may. What Is Deep Soft Tissue.
From plasticsurgerykey.com
Introduction Plastic Surgery Key What Is Deep Soft Tissue Deep tissue massage is a massage technique that’s mainly used to treat musculoskeletal issues, such as strains and. Deep tissue massage encompasses a variety of therapeutic techniques designed to reach and manipulate the layers of soft tissue. Rather than focusing on slow and firm strokes to the deep layers of muscles and. This usually refers to tendon, ligament,. Soft tissue. What Is Deep Soft Tissue.
From www.physio.co.uk
Soft Tissue Treatment Physiotherapy Treatments Physio.co.uk What Is Deep Soft Tissue Deep tissue massage is a massage technique that’s mainly used to treat musculoskeletal issues, such as strains and. Deep tissue massage encompasses a variety of therapeutic techniques designed to reach and manipulate the layers of soft tissue. Swedish and deep tissue massage are both popular types of massage therapy that differ in pressure, technique, intended use, and. Rather than focusing. What Is Deep Soft Tissue.
From apexsofttissue.com.au
Soft Tissue Fibrosis & Adhesion What does the research say? What Is Deep Soft Tissue Soft tissue injuries include sprains, strains, and contusions of any tissue that is not bone. A deep tissue massage targets deep layers of muscle and the surrounding tissues. Deep tissue massage is a massage technique that’s mainly used to treat musculoskeletal issues, such as strains and. Deep tissue massage encompasses a variety of therapeutic techniques designed to reach and manipulate. What Is Deep Soft Tissue.
From www.slideserve.com
PPT Soft Tissue Injury PowerPoint Presentation, free download ID1634436 What Is Deep Soft Tissue A deep tissue massage targets deep layers of muscle and the surrounding tissues. Soft tissue injuries include sprains, strains, and contusions of any tissue that is not bone. Rather than focusing on slow and firm strokes to the deep layers of muscles and. People may choose this type of massage to treat sports. Swedish and deep tissue massage are both. What Is Deep Soft Tissue.
From kineticclinics.co.uk
Deep Soft Tissue Therapy Clinics What Is Deep Soft Tissue Rather than focusing on slow and firm strokes to the deep layers of muscles and. People may choose this type of massage to treat sports. Deep tissue massage is a massage technique that’s mainly used to treat musculoskeletal issues, such as strains and. This usually refers to tendon, ligament,. Soft tissue injuries include sprains, strains, and contusions of any tissue. What Is Deep Soft Tissue.
From www.slideserve.com
PPT Pathophysiology of the Foot in Diabetes An Endocrinologist’s Perspective PowerPoint What Is Deep Soft Tissue This usually refers to tendon, ligament,. Deep tissue massage encompasses a variety of therapeutic techniques designed to reach and manipulate the layers of soft tissue. Soft tissue massage is less intrusive than deep tissue massage. People may choose this type of massage to treat sports. Swedish and deep tissue massage are both popular types of massage therapy that differ in. What Is Deep Soft Tissue.
From www.pathologyoutlines.com
Pathology Outlines What Is Deep Soft Tissue Soft tissue massage is less intrusive than deep tissue massage. A deep tissue massage targets deep layers of muscle and the surrounding tissues. Swedish and deep tissue massage are both popular types of massage therapy that differ in pressure, technique, intended use, and. Rather than focusing on slow and firm strokes to the deep layers of muscles and. Deep tissue. What Is Deep Soft Tissue.
From www.slideshare.net
Skin and Soft tissue infections What Is Deep Soft Tissue Swedish and deep tissue massage are both popular types of massage therapy that differ in pressure, technique, intended use, and. This usually refers to tendon, ligament,. Deep tissue massage is a massage technique that’s mainly used to treat musculoskeletal issues, such as strains and. Soft tissue injuries include sprains, strains, and contusions of any tissue that is not bone. People. What Is Deep Soft Tissue.
From www.slideserve.com
PPT Chapter 5 SoftTissue Trauma PowerPoint Presentation, free download ID1214059 What Is Deep Soft Tissue People may choose this type of massage to treat sports. Soft tissue massage is less intrusive than deep tissue massage. This usually refers to tendon, ligament,. Soft tissue injuries include sprains, strains, and contusions of any tissue that is not bone. Swedish and deep tissue massage are both popular types of massage therapy that differ in pressure, technique, intended use,. What Is Deep Soft Tissue.