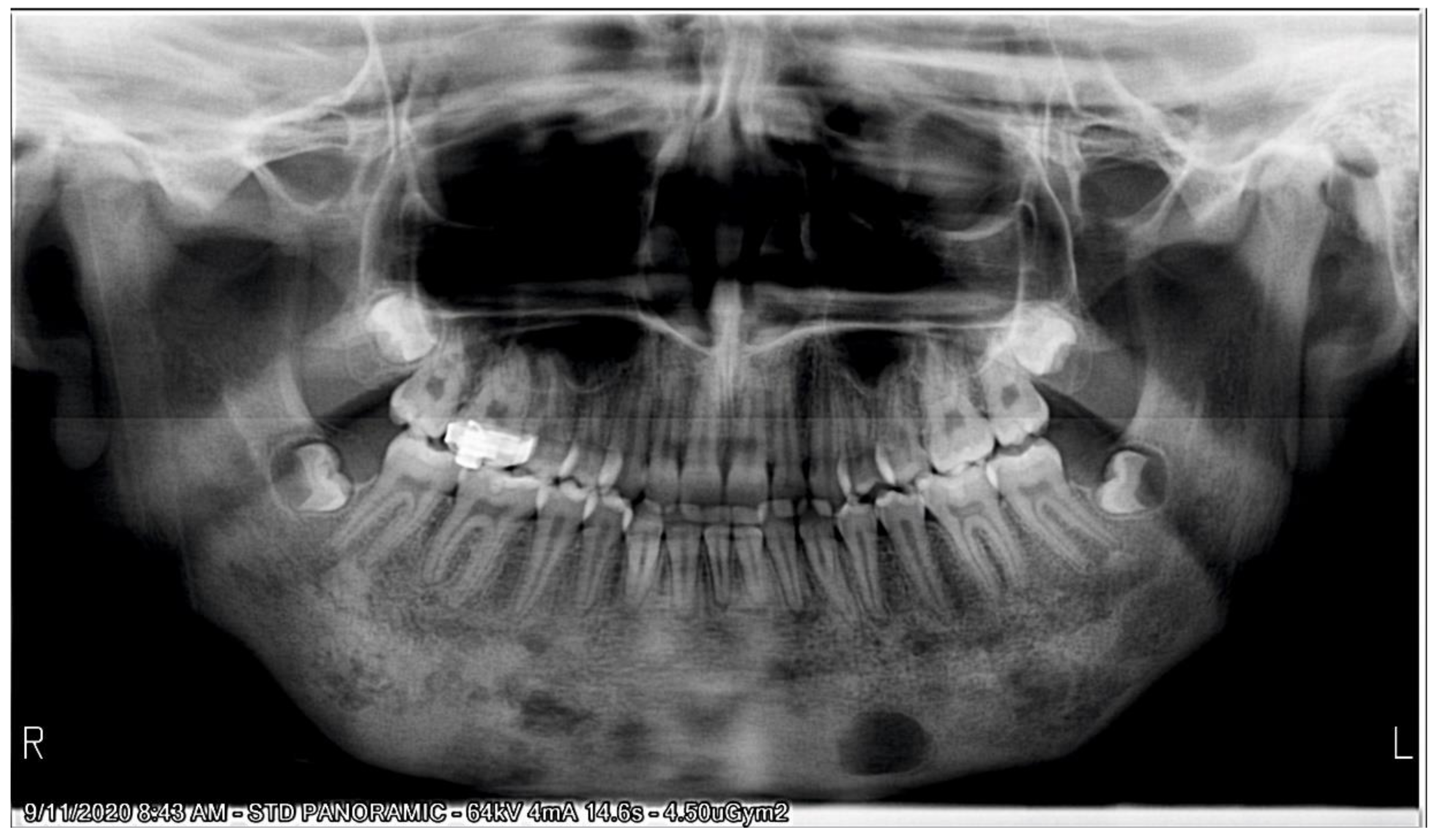
Garre's Osteomyelitis Radiographic Features . The radiographic appearance of periostitis ossificans. In general, the function of the affected bone is preserved. 5 the radiographic features include cortical thickening and loss of medullary canal. Garre's osteomyelitis is a local thickening of the periosteum caused by a slight irritation or infection. Raised inflammatory markers, negative tissue culture and radiological findings in our patient are common features in sclerosing osteomyelitis. Chronic osteomyelitis with proliferative periostitis, known as garre’s osteomyelitis, is a type of osteomyelitis. Apart from the typical onion skin appearance, po shows various other radiographic appearances. Radiological differential diagnosis of po includes infantile cortical hyperostosis, ewing's sarcoma, and osteosarcoma; We aimed to present the extraoral, intraoral, and. None of which fitted the clinical.
from dentistryandmedicine.blogspot.com
Radiological differential diagnosis of po includes infantile cortical hyperostosis, ewing's sarcoma, and osteosarcoma; Garre's osteomyelitis is a local thickening of the periosteum caused by a slight irritation or infection. 5 the radiographic features include cortical thickening and loss of medullary canal. Apart from the typical onion skin appearance, po shows various other radiographic appearances. Chronic osteomyelitis with proliferative periostitis, known as garre’s osteomyelitis, is a type of osteomyelitis. We aimed to present the extraoral, intraoral, and. None of which fitted the clinical. In general, the function of the affected bone is preserved. Raised inflammatory markers, negative tissue culture and radiological findings in our patient are common features in sclerosing osteomyelitis. The radiographic appearance of periostitis ossificans.
Osteomyelitiswith Radiological features Dentistry and Medicine
Garre's Osteomyelitis Radiographic Features In general, the function of the affected bone is preserved. None of which fitted the clinical. Chronic osteomyelitis with proliferative periostitis, known as garre’s osteomyelitis, is a type of osteomyelitis. 5 the radiographic features include cortical thickening and loss of medullary canal. Radiological differential diagnosis of po includes infantile cortical hyperostosis, ewing's sarcoma, and osteosarcoma; We aimed to present the extraoral, intraoral, and. In general, the function of the affected bone is preserved. Raised inflammatory markers, negative tissue culture and radiological findings in our patient are common features in sclerosing osteomyelitis. The radiographic appearance of periostitis ossificans. Garre's osteomyelitis is a local thickening of the periosteum caused by a slight irritation or infection. Apart from the typical onion skin appearance, po shows various other radiographic appearances.
From www.mdpi.com
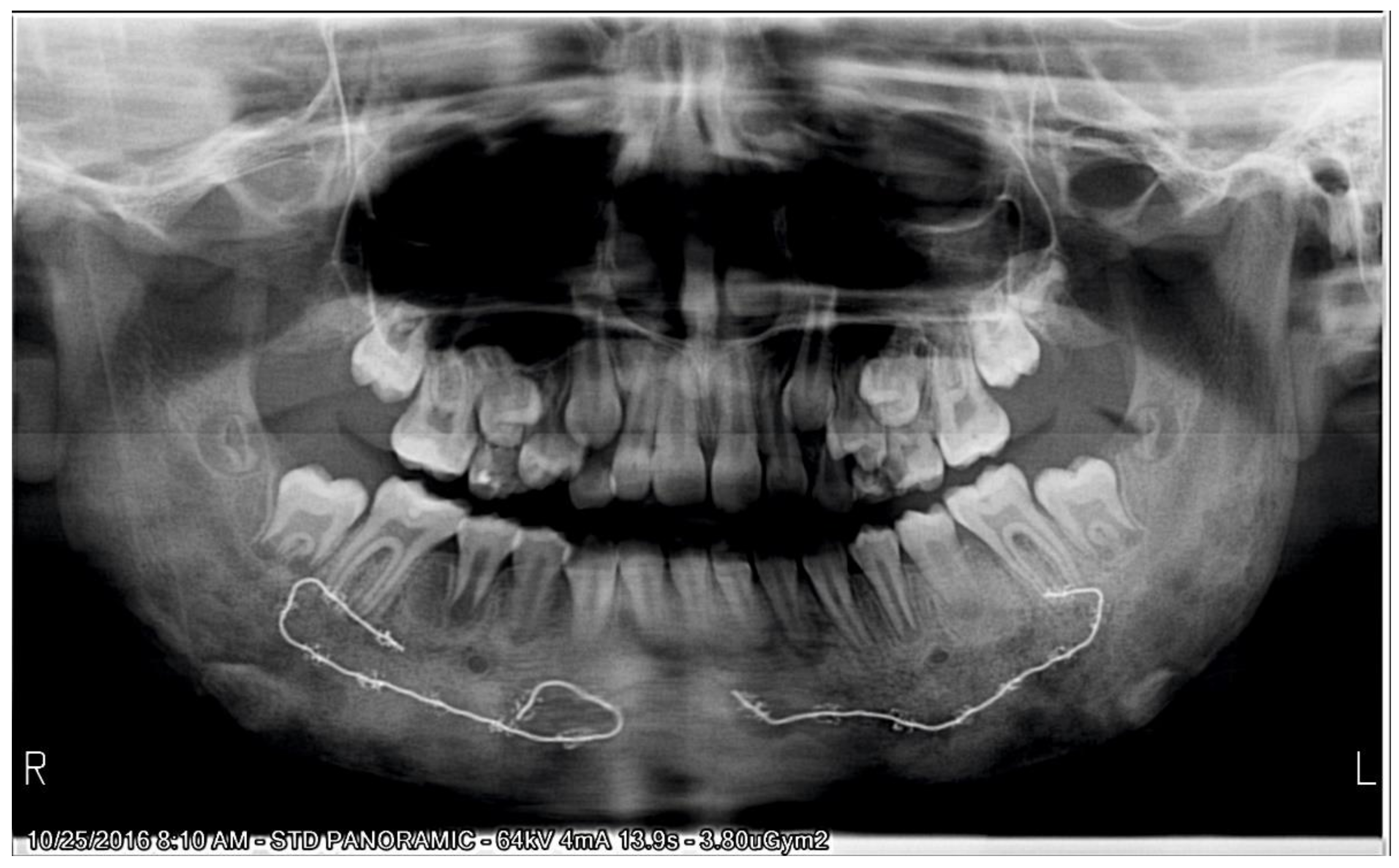
IJERPH Free FullText An Orthodontic Approach for Garre’s Garre's Osteomyelitis Radiographic Features Chronic osteomyelitis with proliferative periostitis, known as garre’s osteomyelitis, is a type of osteomyelitis. Garre's osteomyelitis is a local thickening of the periosteum caused by a slight irritation or infection. 5 the radiographic features include cortical thickening and loss of medullary canal. We aimed to present the extraoral, intraoral, and. Apart from the typical onion skin appearance, po shows various. Garre's Osteomyelitis Radiographic Features.
From radiopaedia.org
Sclerosing osteomyelitis of Garre Image Garre's Osteomyelitis Radiographic Features We aimed to present the extraoral, intraoral, and. 5 the radiographic features include cortical thickening and loss of medullary canal. Chronic osteomyelitis with proliferative periostitis, known as garre’s osteomyelitis, is a type of osteomyelitis. Apart from the typical onion skin appearance, po shows various other radiographic appearances. Garre's osteomyelitis is a local thickening of the periosteum caused by a slight. Garre's Osteomyelitis Radiographic Features.
From journals.sagepub.com
Sclerosing osteomyelitis of Garré A confusing clinical diagnosis Garre's Osteomyelitis Radiographic Features None of which fitted the clinical. We aimed to present the extraoral, intraoral, and. In general, the function of the affected bone is preserved. The radiographic appearance of periostitis ossificans. Raised inflammatory markers, negative tissue culture and radiological findings in our patient are common features in sclerosing osteomyelitis. 5 the radiographic features include cortical thickening and loss of medullary canal.. Garre's Osteomyelitis Radiographic Features.
From www.semanticscholar.org
Figure 1 from Garre's osteomyelitis a case report. Semantic Scholar Garre's Osteomyelitis Radiographic Features 5 the radiographic features include cortical thickening and loss of medullary canal. The radiographic appearance of periostitis ossificans. Raised inflammatory markers, negative tissue culture and radiological findings in our patient are common features in sclerosing osteomyelitis. Radiological differential diagnosis of po includes infantile cortical hyperostosis, ewing's sarcoma, and osteosarcoma; In general, the function of the affected bone is preserved. Chronic. Garre's Osteomyelitis Radiographic Features.
From casereports.bmj.com
Sclerosing osteomyelitis of Garré management of femoral pain by Garre's Osteomyelitis Radiographic Features Garre's osteomyelitis is a local thickening of the periosteum caused by a slight irritation or infection. In general, the function of the affected bone is preserved. We aimed to present the extraoral, intraoral, and. Apart from the typical onion skin appearance, po shows various other radiographic appearances. None of which fitted the clinical. The radiographic appearance of periostitis ossificans. Raised. Garre's Osteomyelitis Radiographic Features.
From animalia-life.club
Osteomyelitis Jaw Radiographic Appearance Garre's Osteomyelitis Radiographic Features None of which fitted the clinical. Garre's osteomyelitis is a local thickening of the periosteum caused by a slight irritation or infection. Apart from the typical onion skin appearance, po shows various other radiographic appearances. 5 the radiographic features include cortical thickening and loss of medullary canal. Radiological differential diagnosis of po includes infantile cortical hyperostosis, ewing's sarcoma, and osteosarcoma;. Garre's Osteomyelitis Radiographic Features.
From dentistryandmedicine.blogspot.com
Osteomyelitiswith Radiological features Dentistry and Medicine Garre's Osteomyelitis Radiographic Features Raised inflammatory markers, negative tissue culture and radiological findings in our patient are common features in sclerosing osteomyelitis. 5 the radiographic features include cortical thickening and loss of medullary canal. In general, the function of the affected bone is preserved. The radiographic appearance of periostitis ossificans. Chronic osteomyelitis with proliferative periostitis, known as garre’s osteomyelitis, is a type of osteomyelitis.. Garre's Osteomyelitis Radiographic Features.
From www.joms.org
An Extremely Unusual Case of Garrè's Osteomyelitis of the Mandibular Garre's Osteomyelitis Radiographic Features Radiological differential diagnosis of po includes infantile cortical hyperostosis, ewing's sarcoma, and osteosarcoma; We aimed to present the extraoral, intraoral, and. In general, the function of the affected bone is preserved. Apart from the typical onion skin appearance, po shows various other radiographic appearances. None of which fitted the clinical. Raised inflammatory markers, negative tissue culture and radiological findings in. Garre's Osteomyelitis Radiographic Features.
From www.hmpgloballearningnetwork.com
Diagnosis Chronic Osteomyelitis Garre's Osteomyelitis Radiographic Features Garre's osteomyelitis is a local thickening of the periosteum caused by a slight irritation or infection. 5 the radiographic features include cortical thickening and loss of medullary canal. The radiographic appearance of periostitis ossificans. Radiological differential diagnosis of po includes infantile cortical hyperostosis, ewing's sarcoma, and osteosarcoma; Raised inflammatory markers, negative tissue culture and radiological findings in our patient are. Garre's Osteomyelitis Radiographic Features.
From dentistryandmedicine.blogspot.com
Dentistry and Medicine Osteomyelitiswith Radiological features Garre's Osteomyelitis Radiographic Features In general, the function of the affected bone is preserved. Radiological differential diagnosis of po includes infantile cortical hyperostosis, ewing's sarcoma, and osteosarcoma; Garre's osteomyelitis is a local thickening of the periosteum caused by a slight irritation or infection. We aimed to present the extraoral, intraoral, and. Raised inflammatory markers, negative tissue culture and radiological findings in our patient are. Garre's Osteomyelitis Radiographic Features.
From casereports.bmj.com
Sclerosing osteomyelitis of Garré management of femoral pain by Garre's Osteomyelitis Radiographic Features In general, the function of the affected bone is preserved. None of which fitted the clinical. Raised inflammatory markers, negative tissue culture and radiological findings in our patient are common features in sclerosing osteomyelitis. 5 the radiographic features include cortical thickening and loss of medullary canal. Radiological differential diagnosis of po includes infantile cortical hyperostosis, ewing's sarcoma, and osteosarcoma; We. Garre's Osteomyelitis Radiographic Features.
From www.semanticscholar.org
Figure 1 from Nonsurgical endodontic management of Garre's Garre's Osteomyelitis Radiographic Features Garre's osteomyelitis is a local thickening of the periosteum caused by a slight irritation or infection. Raised inflammatory markers, negative tissue culture and radiological findings in our patient are common features in sclerosing osteomyelitis. Radiological differential diagnosis of po includes infantile cortical hyperostosis, ewing's sarcoma, and osteosarcoma; Chronic osteomyelitis with proliferative periostitis, known as garre’s osteomyelitis, is a type of. Garre's Osteomyelitis Radiographic Features.
From www.joms.org
An Extremely Unusual Case of Garrè's Osteomyelitis of the Mandibular Garre's Osteomyelitis Radiographic Features The radiographic appearance of periostitis ossificans. Garre's osteomyelitis is a local thickening of the periosteum caused by a slight irritation or infection. Raised inflammatory markers, negative tissue culture and radiological findings in our patient are common features in sclerosing osteomyelitis. None of which fitted the clinical. Radiological differential diagnosis of po includes infantile cortical hyperostosis, ewing's sarcoma, and osteosarcoma; In. Garre's Osteomyelitis Radiographic Features.
From www.youtube.com
Radiographic Features of Osteomyelitis YouTube Garre's Osteomyelitis Radiographic Features Garre's osteomyelitis is a local thickening of the periosteum caused by a slight irritation or infection. 5 the radiographic features include cortical thickening and loss of medullary canal. None of which fitted the clinical. Apart from the typical onion skin appearance, po shows various other radiographic appearances. The radiographic appearance of periostitis ossificans. In general, the function of the affected. Garre's Osteomyelitis Radiographic Features.
From www.learningradiology.com
LearningRadiology Osteomyelitis Garre's Osteomyelitis Radiographic Features 5 the radiographic features include cortical thickening and loss of medullary canal. Garre's osteomyelitis is a local thickening of the periosteum caused by a slight irritation or infection. Raised inflammatory markers, negative tissue culture and radiological findings in our patient are common features in sclerosing osteomyelitis. None of which fitted the clinical. We aimed to present the extraoral, intraoral, and.. Garre's Osteomyelitis Radiographic Features.
From medicine.utah.edu
Chronic Osteomyelitis Radiology U of U School of Medicine Garre's Osteomyelitis Radiographic Features Radiological differential diagnosis of po includes infantile cortical hyperostosis, ewing's sarcoma, and osteosarcoma; Garre's osteomyelitis is a local thickening of the periosteum caused by a slight irritation or infection. None of which fitted the clinical. Chronic osteomyelitis with proliferative periostitis, known as garre’s osteomyelitis, is a type of osteomyelitis. Raised inflammatory markers, negative tissue culture and radiological findings in our. Garre's Osteomyelitis Radiographic Features.
From www.semanticscholar.org
Figure 3 from Garre’s Osteomyelitis Semantic Scholar Garre's Osteomyelitis Radiographic Features We aimed to present the extraoral, intraoral, and. 5 the radiographic features include cortical thickening and loss of medullary canal. Garre's osteomyelitis is a local thickening of the periosteum caused by a slight irritation or infection. The radiographic appearance of periostitis ossificans. Apart from the typical onion skin appearance, po shows various other radiographic appearances. Chronic osteomyelitis with proliferative periostitis,. Garre's Osteomyelitis Radiographic Features.
From casereports.bmj.com
Sclerosing osteomyelitis of Garré management of femoral pain by Garre's Osteomyelitis Radiographic Features The radiographic appearance of periostitis ossificans. 5 the radiographic features include cortical thickening and loss of medullary canal. Garre's osteomyelitis is a local thickening of the periosteum caused by a slight irritation or infection. In general, the function of the affected bone is preserved. Apart from the typical onion skin appearance, po shows various other radiographic appearances. Chronic osteomyelitis with. Garre's Osteomyelitis Radiographic Features.
From www.aafp.org
Diagnosis and Management of Osteomyelitis AAFP Garre's Osteomyelitis Radiographic Features None of which fitted the clinical. Raised inflammatory markers, negative tissue culture and radiological findings in our patient are common features in sclerosing osteomyelitis. 5 the radiographic features include cortical thickening and loss of medullary canal. Chronic osteomyelitis with proliferative periostitis, known as garre’s osteomyelitis, is a type of osteomyelitis. The radiographic appearance of periostitis ossificans. We aimed to present. Garre's Osteomyelitis Radiographic Features.
From dentistryandmedicine.blogspot.com
Dentistry and Medicine Osteomyelitiswith Radiological features Garre's Osteomyelitis Radiographic Features Chronic osteomyelitis with proliferative periostitis, known as garre’s osteomyelitis, is a type of osteomyelitis. 5 the radiographic features include cortical thickening and loss of medullary canal. Raised inflammatory markers, negative tissue culture and radiological findings in our patient are common features in sclerosing osteomyelitis. Garre's osteomyelitis is a local thickening of the periosteum caused by a slight irritation or infection.. Garre's Osteomyelitis Radiographic Features.
From www.slideshare.net
Osteomyelitis Garre's Osteomyelitis Radiographic Features Apart from the typical onion skin appearance, po shows various other radiographic appearances. The radiographic appearance of periostitis ossificans. Radiological differential diagnosis of po includes infantile cortical hyperostosis, ewing's sarcoma, and osteosarcoma; Garre's osteomyelitis is a local thickening of the periosteum caused by a slight irritation or infection. None of which fitted the clinical. Chronic osteomyelitis with proliferative periostitis, known. Garre's Osteomyelitis Radiographic Features.
From dentistryandmedicine.blogspot.com
Osteomyelitiswith Radiological features Dentistry and Medicine Garre's Osteomyelitis Radiographic Features Garre's osteomyelitis is a local thickening of the periosteum caused by a slight irritation or infection. None of which fitted the clinical. Apart from the typical onion skin appearance, po shows various other radiographic appearances. Radiological differential diagnosis of po includes infantile cortical hyperostosis, ewing's sarcoma, and osteosarcoma; We aimed to present the extraoral, intraoral, and. Chronic osteomyelitis with proliferative. Garre's Osteomyelitis Radiographic Features.
From www.mdpi.com
IJERPH Free FullText An Orthodontic Approach for Garre’s Garre's Osteomyelitis Radiographic Features Garre's osteomyelitis is a local thickening of the periosteum caused by a slight irritation or infection. The radiographic appearance of periostitis ossificans. Radiological differential diagnosis of po includes infantile cortical hyperostosis, ewing's sarcoma, and osteosarcoma; Apart from the typical onion skin appearance, po shows various other radiographic appearances. In general, the function of the affected bone is preserved. None of. Garre's Osteomyelitis Radiographic Features.
From www.mdpi.com
IJERPH Free FullText An Orthodontic Approach for Garre’s Garre's Osteomyelitis Radiographic Features None of which fitted the clinical. In general, the function of the affected bone is preserved. 5 the radiographic features include cortical thickening and loss of medullary canal. Garre's osteomyelitis is a local thickening of the periosteum caused by a slight irritation or infection. We aimed to present the extraoral, intraoral, and. The radiographic appearance of periostitis ossificans. Apart from. Garre's Osteomyelitis Radiographic Features.
From www.mdpi.com
IJERPH Free FullText An Orthodontic Approach for Garre’s Garre's Osteomyelitis Radiographic Features We aimed to present the extraoral, intraoral, and. In general, the function of the affected bone is preserved. Garre's osteomyelitis is a local thickening of the periosteum caused by a slight irritation or infection. Chronic osteomyelitis with proliferative periostitis, known as garre’s osteomyelitis, is a type of osteomyelitis. 5 the radiographic features include cortical thickening and loss of medullary canal.. Garre's Osteomyelitis Radiographic Features.
From www.cureus.com
Cureus Sclerosing Osteomyelitis of Garré A ClinicoRadiological Garre's Osteomyelitis Radiographic Features In general, the function of the affected bone is preserved. Apart from the typical onion skin appearance, po shows various other radiographic appearances. Radiological differential diagnosis of po includes infantile cortical hyperostosis, ewing's sarcoma, and osteosarcoma; The radiographic appearance of periostitis ossificans. Chronic osteomyelitis with proliferative periostitis, known as garre’s osteomyelitis, is a type of osteomyelitis. None of which fitted. Garre's Osteomyelitis Radiographic Features.
From www.semanticscholar.org
Figure 2 from Sclerosing Osteomyelitis of Garre of Tibia Diaphysis Garre's Osteomyelitis Radiographic Features The radiographic appearance of periostitis ossificans. Apart from the typical onion skin appearance, po shows various other radiographic appearances. None of which fitted the clinical. Chronic osteomyelitis with proliferative periostitis, known as garre’s osteomyelitis, is a type of osteomyelitis. Raised inflammatory markers, negative tissue culture and radiological findings in our patient are common features in sclerosing osteomyelitis. We aimed to. Garre's Osteomyelitis Radiographic Features.
From www.researchgate.net
(PDF) Periostitis ossificans (Garre's osteomyelitis) radiographic study Garre's Osteomyelitis Radiographic Features Raised inflammatory markers, negative tissue culture and radiological findings in our patient are common features in sclerosing osteomyelitis. In general, the function of the affected bone is preserved. Apart from the typical onion skin appearance, po shows various other radiographic appearances. 5 the radiographic features include cortical thickening and loss of medullary canal. We aimed to present the extraoral, intraoral,. Garre's Osteomyelitis Radiographic Features.
From meenakshiradiology.com
Garre’s sclerosing osteomyelitis—with perimandibular soft tissue Garre's Osteomyelitis Radiographic Features Chronic osteomyelitis with proliferative periostitis, known as garre’s osteomyelitis, is a type of osteomyelitis. 5 the radiographic features include cortical thickening and loss of medullary canal. Garre's osteomyelitis is a local thickening of the periosteum caused by a slight irritation or infection. We aimed to present the extraoral, intraoral, and. Raised inflammatory markers, negative tissue culture and radiological findings in. Garre's Osteomyelitis Radiographic Features.
From www.elsevier.es
Garre's chronic sclerosing osteomyelitis with sacral involvement in a Garre's Osteomyelitis Radiographic Features We aimed to present the extraoral, intraoral, and. Apart from the typical onion skin appearance, po shows various other radiographic appearances. The radiographic appearance of periostitis ossificans. None of which fitted the clinical. Chronic osteomyelitis with proliferative periostitis, known as garre’s osteomyelitis, is a type of osteomyelitis. Radiological differential diagnosis of po includes infantile cortical hyperostosis, ewing's sarcoma, and osteosarcoma;. Garre's Osteomyelitis Radiographic Features.
From radiopaedia.org
Sclerosing osteomyelitis of Garre Image Garre's Osteomyelitis Radiographic Features The radiographic appearance of periostitis ossificans. 5 the radiographic features include cortical thickening and loss of medullary canal. In general, the function of the affected bone is preserved. Raised inflammatory markers, negative tissue culture and radiological findings in our patient are common features in sclerosing osteomyelitis. Apart from the typical onion skin appearance, po shows various other radiographic appearances. We. Garre's Osteomyelitis Radiographic Features.
From jmsronline.com
JMSR Garre's Osteomyelitis Radiographic Features We aimed to present the extraoral, intraoral, and. The radiographic appearance of periostitis ossificans. Radiological differential diagnosis of po includes infantile cortical hyperostosis, ewing's sarcoma, and osteosarcoma; Chronic osteomyelitis with proliferative periostitis, known as garre’s osteomyelitis, is a type of osteomyelitis. Raised inflammatory markers, negative tissue culture and radiological findings in our patient are common features in sclerosing osteomyelitis. 5. Garre's Osteomyelitis Radiographic Features.
From www.cureus.com
Cureus Sclerosing Osteomyelitis of Garré A ClinicoRadiological Garre's Osteomyelitis Radiographic Features Garre's osteomyelitis is a local thickening of the periosteum caused by a slight irritation or infection. Radiological differential diagnosis of po includes infantile cortical hyperostosis, ewing's sarcoma, and osteosarcoma; 5 the radiographic features include cortical thickening and loss of medullary canal. In general, the function of the affected bone is preserved. Apart from the typical onion skin appearance, po shows. Garre's Osteomyelitis Radiographic Features.
From dentistryandmedicine.blogspot.de
Osteomyelitiswith Radiological features Dentistry and Medicine Garre's Osteomyelitis Radiographic Features Garre's osteomyelitis is a local thickening of the periosteum caused by a slight irritation or infection. Radiological differential diagnosis of po includes infantile cortical hyperostosis, ewing's sarcoma, and osteosarcoma; The radiographic appearance of periostitis ossificans. We aimed to present the extraoral, intraoral, and. Raised inflammatory markers, negative tissue culture and radiological findings in our patient are common features in sclerosing. Garre's Osteomyelitis Radiographic Features.
From dentistryandmedicine.blogspot.co.uk
Osteomyelitiswith Radiological features Dentistry and Medicine Garre's Osteomyelitis Radiographic Features Chronic osteomyelitis with proliferative periostitis, known as garre’s osteomyelitis, is a type of osteomyelitis. Raised inflammatory markers, negative tissue culture and radiological findings in our patient are common features in sclerosing osteomyelitis. In general, the function of the affected bone is preserved. Garre's osteomyelitis is a local thickening of the periosteum caused by a slight irritation or infection. Radiological differential. Garre's Osteomyelitis Radiographic Features.