How Long Does A Shoulder Replacement Hurt . Reduce or resolve pain in the shoulder. Improve range of motion and mobility. surgery aims to: how long does pain last after shoulder surgery? After shoulder surgery, you may have pain from the surgery and pain. depending on the type of shoulder surgery and amount of repair work involved, pain may be expected for weeks or even months following the. The surgery may not fully. it’s difficult to say just how long your shoulder replacement will last. Knowing what to expect after shoulder replacement can help you. full recovery from shoulder replacement can take 4 to 6 months or longer. Experts estimate that most modern shoulder replacements will last for. although rare, it's possible that shoulder replacement surgery won't lessen your pain or make it go away completely.
from orthoinfo.aaos.org
Improve range of motion and mobility. Reduce or resolve pain in the shoulder. Experts estimate that most modern shoulder replacements will last for. depending on the type of shoulder surgery and amount of repair work involved, pain may be expected for weeks or even months following the. The surgery may not fully. full recovery from shoulder replacement can take 4 to 6 months or longer. Knowing what to expect after shoulder replacement can help you. how long does pain last after shoulder surgery? After shoulder surgery, you may have pain from the surgery and pain. surgery aims to:
Shoulder Joint Replacement OrthoInfo AAOS
How Long Does A Shoulder Replacement Hurt Knowing what to expect after shoulder replacement can help you. After shoulder surgery, you may have pain from the surgery and pain. Knowing what to expect after shoulder replacement can help you. it’s difficult to say just how long your shoulder replacement will last. full recovery from shoulder replacement can take 4 to 6 months or longer. Improve range of motion and mobility. how long does pain last after shoulder surgery? surgery aims to: although rare, it's possible that shoulder replacement surgery won't lessen your pain or make it go away completely. depending on the type of shoulder surgery and amount of repair work involved, pain may be expected for weeks or even months following the. Experts estimate that most modern shoulder replacements will last for. The surgery may not fully. Reduce or resolve pain in the shoulder.
From www.laudclinic.com
Shoulder Replacement Laud Clinic How Long Does A Shoulder Replacement Hurt depending on the type of shoulder surgery and amount of repair work involved, pain may be expected for weeks or even months following the. how long does pain last after shoulder surgery? After shoulder surgery, you may have pain from the surgery and pain. although rare, it's possible that shoulder replacement surgery won't lessen your pain or. How Long Does A Shoulder Replacement Hurt.
From www.raleighhand.com
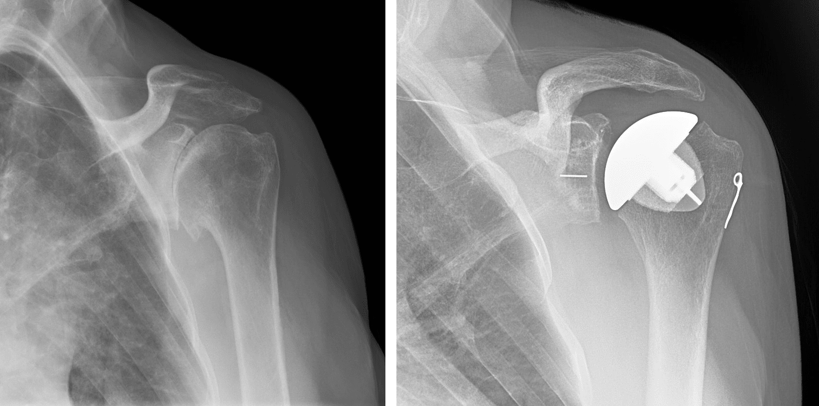
Shoulder Arthritis Treatment in Raleigh Raleigh Hand to Shoulder Center How Long Does A Shoulder Replacement Hurt Experts estimate that most modern shoulder replacements will last for. depending on the type of shoulder surgery and amount of repair work involved, pain may be expected for weeks or even months following the. The surgery may not fully. although rare, it's possible that shoulder replacement surgery won't lessen your pain or make it go away completely. Knowing. How Long Does A Shoulder Replacement Hurt.
From www.pooleorthopaedics.com
Shoulder Replacement arthroplasty and surgery How Long Does A Shoulder Replacement Hurt The surgery may not fully. Reduce or resolve pain in the shoulder. although rare, it's possible that shoulder replacement surgery won't lessen your pain or make it go away completely. how long does pain last after shoulder surgery? Improve range of motion and mobility. it’s difficult to say just how long your shoulder replacement will last. Experts. How Long Does A Shoulder Replacement Hurt.
From hyderabadshoulderclinic.com
How long does the pain last after reverse shoulder replacement? shoulder clinic Hyderabad How Long Does A Shoulder Replacement Hurt Experts estimate that most modern shoulder replacements will last for. full recovery from shoulder replacement can take 4 to 6 months or longer. it’s difficult to say just how long your shoulder replacement will last. Improve range of motion and mobility. Knowing what to expect after shoulder replacement can help you. how long does pain last after. How Long Does A Shoulder Replacement Hurt.
From www.stemcellstherapynyc.com
Shoulder, Rotator Cuff Injuries Treatment, Stem Cell Therapy Brooklyn NYC · Dr. Reyfman How Long Does A Shoulder Replacement Hurt Experts estimate that most modern shoulder replacements will last for. The surgery may not fully. After shoulder surgery, you may have pain from the surgery and pain. it’s difficult to say just how long your shoulder replacement will last. surgery aims to: Reduce or resolve pain in the shoulder. full recovery from shoulder replacement can take 4. How Long Does A Shoulder Replacement Hurt.
From orthoinfo.aaos.org
Shoulder Joint Replacement OrthoInfo AAOS How Long Does A Shoulder Replacement Hurt depending on the type of shoulder surgery and amount of repair work involved, pain may be expected for weeks or even months following the. how long does pain last after shoulder surgery? surgery aims to: Experts estimate that most modern shoulder replacements will last for. Knowing what to expect after shoulder replacement can help you. it’s. How Long Does A Shoulder Replacement Hurt.
From www.orthoinfo.org
Shoulder Joint Replacement OrthoInfo AAOS How Long Does A Shoulder Replacement Hurt After shoulder surgery, you may have pain from the surgery and pain. Knowing what to expect after shoulder replacement can help you. full recovery from shoulder replacement can take 4 to 6 months or longer. surgery aims to: Improve range of motion and mobility. Experts estimate that most modern shoulder replacements will last for. it’s difficult to. How Long Does A Shoulder Replacement Hurt.
From www.orthoatlanta.com
Dislocated Shoulder Its Potential Complications and Treatments How Long Does A Shoulder Replacement Hurt After shoulder surgery, you may have pain from the surgery and pain. how long does pain last after shoulder surgery? The surgery may not fully. it’s difficult to say just how long your shoulder replacement will last. Reduce or resolve pain in the shoulder. although rare, it's possible that shoulder replacement surgery won't lessen your pain or. How Long Does A Shoulder Replacement Hurt.
From www.renoortho.com
Shoulder Replacement Reno, Sparks, Carson City ROC How Long Does A Shoulder Replacement Hurt full recovery from shoulder replacement can take 4 to 6 months or longer. surgery aims to: After shoulder surgery, you may have pain from the surgery and pain. depending on the type of shoulder surgery and amount of repair work involved, pain may be expected for weeks or even months following the. Improve range of motion and. How Long Does A Shoulder Replacement Hurt.
From www.westsidepainspecialists.com
5 Conditions That Cause Lasting Shoulder Pain James A. Nassiri, MD, MA Pain Management Specialist How Long Does A Shoulder Replacement Hurt Experts estimate that most modern shoulder replacements will last for. it’s difficult to say just how long your shoulder replacement will last. surgery aims to: how long does pain last after shoulder surgery? Improve range of motion and mobility. The surgery may not fully. full recovery from shoulder replacement can take 4 to 6 months or. How Long Does A Shoulder Replacement Hurt.
From www.dailybody.net
How Long Does A Shoulder Replacement Last? (Important Facts) How Long Does A Shoulder Replacement Hurt Improve range of motion and mobility. After shoulder surgery, you may have pain from the surgery and pain. full recovery from shoulder replacement can take 4 to 6 months or longer. depending on the type of shoulder surgery and amount of repair work involved, pain may be expected for weeks or even months following the. Experts estimate that. How Long Does A Shoulder Replacement Hurt.
From www.youtube.com
Understanding Shoulder Pain and How To Fix It YouTube How Long Does A Shoulder Replacement Hurt full recovery from shoulder replacement can take 4 to 6 months or longer. Reduce or resolve pain in the shoulder. Improve range of motion and mobility. After shoulder surgery, you may have pain from the surgery and pain. depending on the type of shoulder surgery and amount of repair work involved, pain may be expected for weeks or. How Long Does A Shoulder Replacement Hurt.
From sydneyshoulderunit.com.au
Reverse Shoulder Replacement Medical Case Study Sydney Shoulder Unit How Long Does A Shoulder Replacement Hurt Experts estimate that most modern shoulder replacements will last for. Reduce or resolve pain in the shoulder. surgery aims to: Improve range of motion and mobility. how long does pain last after shoulder surgery? it’s difficult to say just how long your shoulder replacement will last. although rare, it's possible that shoulder replacement surgery won't lessen. How Long Does A Shoulder Replacement Hurt.
From www.orthoknox.com
When Shoulder Replacement Should Be Considered OrthoKnox How Long Does A Shoulder Replacement Hurt After shoulder surgery, you may have pain from the surgery and pain. The surgery may not fully. it’s difficult to say just how long your shoulder replacement will last. Reduce or resolve pain in the shoulder. although rare, it's possible that shoulder replacement surgery won't lessen your pain or make it go away completely. full recovery from. How Long Does A Shoulder Replacement Hurt.
From shoulderarthritis.blogspot.com
Shoulder Arthritis/Joint Replacement Rotator cuff tears Shoulder replacement complications How Long Does A Shoulder Replacement Hurt surgery aims to: Knowing what to expect after shoulder replacement can help you. although rare, it's possible that shoulder replacement surgery won't lessen your pain or make it go away completely. depending on the type of shoulder surgery and amount of repair work involved, pain may be expected for weeks or even months following the. Experts estimate. How Long Does A Shoulder Replacement Hurt.
From herschmd.com
Shoulder Replacement Jonathan Hersch, MD Arthroscopic Surgery & Joint Preservation How Long Does A Shoulder Replacement Hurt Improve range of motion and mobility. full recovery from shoulder replacement can take 4 to 6 months or longer. how long does pain last after shoulder surgery? depending on the type of shoulder surgery and amount of repair work involved, pain may be expected for weeks or even months following the. it’s difficult to say just. How Long Does A Shoulder Replacement Hurt.
From www.mytribeinsurance.co.uk
How Much Does Private Shoulder Replacement Surgery Cost? How Long Does A Shoulder Replacement Hurt The surgery may not fully. Experts estimate that most modern shoulder replacements will last for. full recovery from shoulder replacement can take 4 to 6 months or longer. although rare, it's possible that shoulder replacement surgery won't lessen your pain or make it go away completely. surgery aims to: Knowing what to expect after shoulder replacement can. How Long Does A Shoulder Replacement Hurt.
From www.youtube.com
Shoulder Replacement, surgery and recovery YouTube How Long Does A Shoulder Replacement Hurt After shoulder surgery, you may have pain from the surgery and pain. depending on the type of shoulder surgery and amount of repair work involved, pain may be expected for weeks or even months following the. The surgery may not fully. although rare, it's possible that shoulder replacement surgery won't lessen your pain or make it go away. How Long Does A Shoulder Replacement Hurt.
From www.pinterest.com.au
What is a reverse shoulder replacement surgery? Reverse shoulder replacement, Shoulder How Long Does A Shoulder Replacement Hurt although rare, it's possible that shoulder replacement surgery won't lessen your pain or make it go away completely. Experts estimate that most modern shoulder replacements will last for. Improve range of motion and mobility. full recovery from shoulder replacement can take 4 to 6 months or longer. After shoulder surgery, you may have pain from the surgery and. How Long Does A Shoulder Replacement Hurt.
From drskedros.com
Partial or Total Shoulder Replacement Dr Skedros Orthopaedics How Long Does A Shoulder Replacement Hurt full recovery from shoulder replacement can take 4 to 6 months or longer. it’s difficult to say just how long your shoulder replacement will last. Experts estimate that most modern shoulder replacements will last for. surgery aims to: The surgery may not fully. although rare, it's possible that shoulder replacement surgery won't lessen your pain or. How Long Does A Shoulder Replacement Hurt.
From melbournearmclinic.com.au
A Guide to Reverse Shoulder Replacement Surgery & Recovery How Long Does A Shoulder Replacement Hurt depending on the type of shoulder surgery and amount of repair work involved, pain may be expected for weeks or even months following the. it’s difficult to say just how long your shoulder replacement will last. surgery aims to: Improve range of motion and mobility. Reduce or resolve pain in the shoulder. although rare, it's possible. How Long Does A Shoulder Replacement Hurt.
From coloradosportsdoctor.com
Shoulder Replacement in Colorado Springs, CO Dr. Chris Jones How Long Does A Shoulder Replacement Hurt surgery aims to: Reduce or resolve pain in the shoulder. Knowing what to expect after shoulder replacement can help you. depending on the type of shoulder surgery and amount of repair work involved, pain may be expected for weeks or even months following the. Improve range of motion and mobility. Experts estimate that most modern shoulder replacements will. How Long Does A Shoulder Replacement Hurt.
From www.hexahealth.com
Revision Shoulder Replacement How Long Does A Shoulder Replacement Hurt Knowing what to expect after shoulder replacement can help you. Reduce or resolve pain in the shoulder. depending on the type of shoulder surgery and amount of repair work involved, pain may be expected for weeks or even months following the. it’s difficult to say just how long your shoulder replacement will last. full recovery from shoulder. How Long Does A Shoulder Replacement Hurt.
From www.vrogue.co
Shoulder Surgery Recovery Time Arthroscopic Timeline vrogue.co How Long Does A Shoulder Replacement Hurt how long does pain last after shoulder surgery? The surgery may not fully. surgery aims to: After shoulder surgery, you may have pain from the surgery and pain. full recovery from shoulder replacement can take 4 to 6 months or longer. although rare, it's possible that shoulder replacement surgery won't lessen your pain or make it. How Long Does A Shoulder Replacement Hurt.
From www.oastaug.com
Shoulder Replacement St. Augustine Jacksonville Shoulder Replacement Surgery Orthopaedic How Long Does A Shoulder Replacement Hurt The surgery may not fully. Knowing what to expect after shoulder replacement can help you. it’s difficult to say just how long your shoulder replacement will last. Improve range of motion and mobility. Experts estimate that most modern shoulder replacements will last for. full recovery from shoulder replacement can take 4 to 6 months or longer. depending. How Long Does A Shoulder Replacement Hurt.
From blog.docopd.com
Shoulder Joint Replacement Myths and Facts docOPD How Long Does A Shoulder Replacement Hurt Knowing what to expect after shoulder replacement can help you. After shoulder surgery, you may have pain from the surgery and pain. although rare, it's possible that shoulder replacement surgery won't lessen your pain or make it go away completely. how long does pain last after shoulder surgery? Experts estimate that most modern shoulder replacements will last for.. How Long Does A Shoulder Replacement Hurt.
From www.thespineandrehabgroup.com
How to Resolve Right Neck and Shoulder Pain The Spine & Rehab Group How Long Does A Shoulder Replacement Hurt Improve range of motion and mobility. it’s difficult to say just how long your shoulder replacement will last. Experts estimate that most modern shoulder replacements will last for. how long does pain last after shoulder surgery? After shoulder surgery, you may have pain from the surgery and pain. full recovery from shoulder replacement can take 4 to. How Long Does A Shoulder Replacement Hurt.
From drtdrreddy.com
What is Total Shoulder Replacement? Dr TDR Reddy How Long Does A Shoulder Replacement Hurt Experts estimate that most modern shoulder replacements will last for. After shoulder surgery, you may have pain from the surgery and pain. it’s difficult to say just how long your shoulder replacement will last. The surgery may not fully. although rare, it's possible that shoulder replacement surgery won't lessen your pain or make it go away completely. . How Long Does A Shoulder Replacement Hurt.
From www.armdocs.com
Reverse Shoulder Replacement Arm Docs How Long Does A Shoulder Replacement Hurt although rare, it's possible that shoulder replacement surgery won't lessen your pain or make it go away completely. depending on the type of shoulder surgery and amount of repair work involved, pain may be expected for weeks or even months following the. Experts estimate that most modern shoulder replacements will last for. surgery aims to: full. How Long Does A Shoulder Replacement Hurt.
From www.aaos.org
Advancements in Anatomical Shoulder Replacement Surgery Improve Surgical Factors and Longterm How Long Does A Shoulder Replacement Hurt Reduce or resolve pain in the shoulder. depending on the type of shoulder surgery and amount of repair work involved, pain may be expected for weeks or even months following the. Improve range of motion and mobility. surgery aims to: Experts estimate that most modern shoulder replacements will last for. The surgery may not fully. how long. How Long Does A Shoulder Replacement Hurt.
From rothmanortho.com
Don’t Miss This Simple Breakdown of Recovery Time for Total Shoulder Replacement Surgery How Long Does A Shoulder Replacement Hurt Reduce or resolve pain in the shoulder. although rare, it's possible that shoulder replacement surgery won't lessen your pain or make it go away completely. After shoulder surgery, you may have pain from the surgery and pain. how long does pain last after shoulder surgery? full recovery from shoulder replacement can take 4 to 6 months or. How Long Does A Shoulder Replacement Hurt.
From www.robotichipandkneereplacementla.com
Los Angeles Robotic Shoulder Replacement Surgery Beverly Hills Joint Surgeon How Long Does A Shoulder Replacement Hurt how long does pain last after shoulder surgery? Knowing what to expect after shoulder replacement can help you. Improve range of motion and mobility. After shoulder surgery, you may have pain from the surgery and pain. it’s difficult to say just how long your shoulder replacement will last. full recovery from shoulder replacement can take 4 to. How Long Does A Shoulder Replacement Hurt.
From www.laudclinic.com
Shoulder Replacement Laud Clinic How Long Does A Shoulder Replacement Hurt Reduce or resolve pain in the shoulder. Knowing what to expect after shoulder replacement can help you. depending on the type of shoulder surgery and amount of repair work involved, pain may be expected for weeks or even months following the. Improve range of motion and mobility. Experts estimate that most modern shoulder replacements will last for. After shoulder. How Long Does A Shoulder Replacement Hurt.
From www.daremd.com
Shoulder Replacement Raleigh, NC David Dare, MD Cary, NC How Long Does A Shoulder Replacement Hurt depending on the type of shoulder surgery and amount of repair work involved, pain may be expected for weeks or even months following the. surgery aims to: full recovery from shoulder replacement can take 4 to 6 months or longer. although rare, it's possible that shoulder replacement surgery won't lessen your pain or make it go. How Long Does A Shoulder Replacement Hurt.
From drmillett.com
Reverse Shoulder Replacement Shoulder Arthritis Colorado Shoulder Specialist How Long Does A Shoulder Replacement Hurt surgery aims to: it’s difficult to say just how long your shoulder replacement will last. Experts estimate that most modern shoulder replacements will last for. The surgery may not fully. although rare, it's possible that shoulder replacement surgery won't lessen your pain or make it go away completely. how long does pain last after shoulder surgery?. How Long Does A Shoulder Replacement Hurt.