Pet The Head . Our fruity grooming ranges, fit any dog’s coat and nose which includes soothing shampoos, nourishing conditioners, hydrating sprays, soft. We carry a large selection and the top brands like pet head and. A brain positron emission tomography (pet) scan is an imaging test that allows doctors to see how your brain is functioning. Discover a wide range of premium pet head grooming products for your furry friends. Shop chewy for low prices and the best the company of animals pet head! Find pet head sensitive soul dog spray deodorant for dogs with sensitive skin 10.1 fl. A deodorising range suitable for all dogs and everyday use. From potential injury to misunderstood signals, there are numerous factors to consider when it comes to petting a dog in the right way. Pet head is the brand that helps create bounding love between you and your dog. Natural ingredients and vegan deodorizing spray. What makes us stand out! The test accurately details the size, shape, and function of.
from radiologykey.com
Our fruity grooming ranges, fit any dog’s coat and nose which includes soothing shampoos, nourishing conditioners, hydrating sprays, soft. Find pet head sensitive soul dog spray deodorant for dogs with sensitive skin 10.1 fl. What makes us stand out! We carry a large selection and the top brands like pet head and. The test accurately details the size, shape, and function of. A brain positron emission tomography (pet) scan is an imaging test that allows doctors to see how your brain is functioning. A deodorising range suitable for all dogs and everyday use. From potential injury to misunderstood signals, there are numerous factors to consider when it comes to petting a dog in the right way. Natural ingredients and vegan deodorizing spray. Shop chewy for low prices and the best the company of animals pet head!
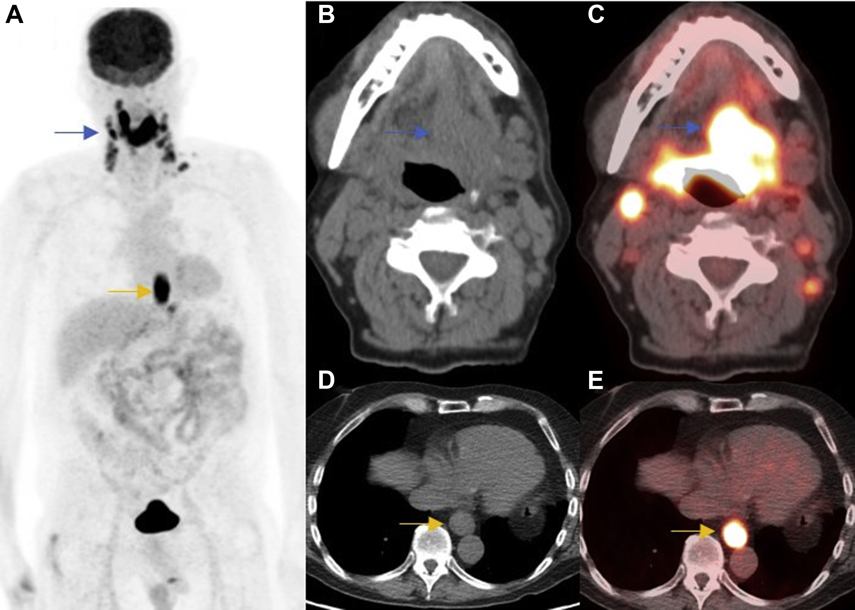
PET/CT and PET/MR Imaging of the Posttreatment Head and Neck Radiology Key
Pet The Head Our fruity grooming ranges, fit any dog’s coat and nose which includes soothing shampoos, nourishing conditioners, hydrating sprays, soft. Natural ingredients and vegan deodorizing spray. Our fruity grooming ranges, fit any dog’s coat and nose which includes soothing shampoos, nourishing conditioners, hydrating sprays, soft. A deodorising range suitable for all dogs and everyday use. We carry a large selection and the top brands like pet head and. Pet head is the brand that helps create bounding love between you and your dog. Shop chewy for low prices and the best the company of animals pet head! Discover a wide range of premium pet head grooming products for your furry friends. Find pet head sensitive soul dog spray deodorant for dogs with sensitive skin 10.1 fl. What makes us stand out! The test accurately details the size, shape, and function of. From potential injury to misunderstood signals, there are numerous factors to consider when it comes to petting a dog in the right way. A brain positron emission tomography (pet) scan is an imaging test that allows doctors to see how your brain is functioning.
From pubs.rsna.org
Combined PETCT in the Head and Neck RadioGraphics Pet The Head Pet head is the brand that helps create bounding love between you and your dog. We carry a large selection and the top brands like pet head and. Our fruity grooming ranges, fit any dog’s coat and nose which includes soothing shampoos, nourishing conditioners, hydrating sprays, soft. Shop chewy for low prices and the best the company of animals pet. Pet The Head.
From coolwallpapers.me
dog head HD wallpapers, backgrounds Pet The Head Pet head is the brand that helps create bounding love between you and your dog. Our fruity grooming ranges, fit any dog’s coat and nose which includes soothing shampoos, nourishing conditioners, hydrating sprays, soft. What makes us stand out! We carry a large selection and the top brands like pet head and. A deodorising range suitable for all dogs and. Pet The Head.
From www.redbubble.com
"Dog getting pet on head" Posters by grufalo Redbubble Pet The Head A brain positron emission tomography (pet) scan is an imaging test that allows doctors to see how your brain is functioning. A deodorising range suitable for all dogs and everyday use. From potential injury to misunderstood signals, there are numerous factors to consider when it comes to petting a dog in the right way. Natural ingredients and vegan deodorizing spray.. Pet The Head.
From radiologykey.com
PET Imaging for Head and Neck Cancers Radiology Key Pet The Head Shop chewy for low prices and the best the company of animals pet head! From potential injury to misunderstood signals, there are numerous factors to consider when it comes to petting a dog in the right way. A deodorising range suitable for all dogs and everyday use. Find pet head sensitive soul dog spray deodorant for dogs with sensitive skin. Pet The Head.
From pxhere.com
Free Images puppy, profile, pet, nose, golden retriever, snout, vertebrate, labrador retriever Pet The Head Shop chewy for low prices and the best the company of animals pet head! From potential injury to misunderstood signals, there are numerous factors to consider when it comes to petting a dog in the right way. The test accurately details the size, shape, and function of. Discover a wide range of premium pet head grooming products for your furry. Pet The Head.
From www.woolworths.com.au
Pet Head Sensitive Soul Pet Dog Shampoo Coconut 300ml Woolworths Pet The Head We carry a large selection and the top brands like pet head and. Natural ingredients and vegan deodorizing spray. A brain positron emission tomography (pet) scan is an imaging test that allows doctors to see how your brain is functioning. Discover a wide range of premium pet head grooming products for your furry friends. The test accurately details the size,. Pet The Head.
From www.vecteezy.com
Funny white cat. Home pet. The head of a cat 16637350 PNG Pet The Head Natural ingredients and vegan deodorizing spray. From potential injury to misunderstood signals, there are numerous factors to consider when it comes to petting a dog in the right way. Find pet head sensitive soul dog spray deodorant for dogs with sensitive skin 10.1 fl. What makes us stand out! We carry a large selection and the top brands like pet. Pet The Head.
From ar.inspiredpencil.com
Dog Head Png Pet The Head From potential injury to misunderstood signals, there are numerous factors to consider when it comes to petting a dog in the right way. Our fruity grooming ranges, fit any dog’s coat and nose which includes soothing shampoos, nourishing conditioners, hydrating sprays, soft. A brain positron emission tomography (pet) scan is an imaging test that allows doctors to see how your. Pet The Head.
From firstaidforpets.net
What to do if your Pet has a Head Injury First Aid for Pets Pet The Head A deodorising range suitable for all dogs and everyday use. Our fruity grooming ranges, fit any dog’s coat and nose which includes soothing shampoos, nourishing conditioners, hydrating sprays, soft. Find pet head sensitive soul dog spray deodorant for dogs with sensitive skin 10.1 fl. A brain positron emission tomography (pet) scan is an imaging test that allows doctors to see. Pet The Head.
From in.pinterest.com
a person petting a white dog on the head Pet The Head What makes us stand out! Discover a wide range of premium pet head grooming products for your furry friends. We carry a large selection and the top brands like pet head and. Our fruity grooming ranges, fit any dog’s coat and nose which includes soothing shampoos, nourishing conditioners, hydrating sprays, soft. Shop chewy for low prices and the best the. Pet The Head.
From www.alamy.com
Chihuahua pet dog head profile Stock Photo Alamy Pet The Head Natural ingredients and vegan deodorizing spray. What makes us stand out! From potential injury to misunderstood signals, there are numerous factors to consider when it comes to petting a dog in the right way. Pet head is the brand that helps create bounding love between you and your dog. We carry a large selection and the top brands like pet. Pet The Head.
From www.wikihow.com
How to Pet a Dog (with Pictures) wikiHow Pet The Head A deodorising range suitable for all dogs and everyday use. Natural ingredients and vegan deodorizing spray. Our fruity grooming ranges, fit any dog’s coat and nose which includes soothing shampoos, nourishing conditioners, hydrating sprays, soft. A brain positron emission tomography (pet) scan is an imaging test that allows doctors to see how your brain is functioning. Find pet head sensitive. Pet The Head.
From radiologykey.com
PET/CT and PET/MR Imaging of the Posttreatment Head and Neck Radiology Key Pet The Head Pet head is the brand that helps create bounding love between you and your dog. We carry a large selection and the top brands like pet head and. Our fruity grooming ranges, fit any dog’s coat and nose which includes soothing shampoos, nourishing conditioners, hydrating sprays, soft. The test accurately details the size, shape, and function of. Natural ingredients and. Pet The Head.
From radiologykey.com
PET/CT and PET/MR Imaging of the Posttreatment Head and Neck Radiology Key Pet The Head Our fruity grooming ranges, fit any dog’s coat and nose which includes soothing shampoos, nourishing conditioners, hydrating sprays, soft. A deodorising range suitable for all dogs and everyday use. Discover a wide range of premium pet head grooming products for your furry friends. Shop chewy for low prices and the best the company of animals pet head! The test accurately. Pet The Head.
From www.livescience.com
Here's the Best Way to Pet a Cat, According to Science Live Science Pet The Head What makes us stand out! Natural ingredients and vegan deodorizing spray. Discover a wide range of premium pet head grooming products for your furry friends. Shop chewy for low prices and the best the company of animals pet head! Pet head is the brand that helps create bounding love between you and your dog. A deodorising range suitable for all. Pet The Head.
From www.huffingtonpost.com
Dogs Prefer Petting Way More Than You Thought Pet The Head Our fruity grooming ranges, fit any dog’s coat and nose which includes soothing shampoos, nourishing conditioners, hydrating sprays, soft. Discover a wide range of premium pet head grooming products for your furry friends. Find pet head sensitive soul dog spray deodorant for dogs with sensitive skin 10.1 fl. Natural ingredients and vegan deodorizing spray. Pet head is the brand that. Pet The Head.
From www.totalfarmsupplies.co.uk
PET HEAD QUICK FIX 2IN1 SHAMPOO 300 ML totalfarmsupplies.co.uk Pet The Head A brain positron emission tomography (pet) scan is an imaging test that allows doctors to see how your brain is functioning. We carry a large selection and the top brands like pet head and. What makes us stand out! A deodorising range suitable for all dogs and everyday use. Pet head is the brand that helps create bounding love between. Pet The Head.
From www.horsedirect.co.uk
Pet Head Ditch The Dirt Conditioner Houghton Country Pet The Head We carry a large selection and the top brands like pet head and. A brain positron emission tomography (pet) scan is an imaging test that allows doctors to see how your brain is functioning. Find pet head sensitive soul dog spray deodorant for dogs with sensitive skin 10.1 fl. A deodorising range suitable for all dogs and everyday use. What. Pet The Head.
From www.dreamstime.com
Pets pile on the head stock vector. Illustration of pile 73933410 Pet The Head Discover a wide range of premium pet head grooming products for your furry friends. What makes us stand out! Our fruity grooming ranges, fit any dog’s coat and nose which includes soothing shampoos, nourishing conditioners, hydrating sprays, soft. The test accurately details the size, shape, and function of. A deodorising range suitable for all dogs and everyday use. Shop chewy. Pet The Head.
From www.akc.org
Timid Dog Behavior Why Does my Dog Back Away When I Pet Him? Pet The Head Natural ingredients and vegan deodorizing spray. From potential injury to misunderstood signals, there are numerous factors to consider when it comes to petting a dog in the right way. We carry a large selection and the top brands like pet head and. Our fruity grooming ranges, fit any dog’s coat and nose which includes soothing shampoos, nourishing conditioners, hydrating sprays,. Pet The Head.
From animalia-life.club
Do Dogs Like Being Pet On The Head Pet The Head What makes us stand out! Natural ingredients and vegan deodorizing spray. Discover a wide range of premium pet head grooming products for your furry friends. Our fruity grooming ranges, fit any dog’s coat and nose which includes soothing shampoos, nourishing conditioners, hydrating sprays, soft. A brain positron emission tomography (pet) scan is an imaging test that allows doctors to see. Pet The Head.
From www.heartpetslocal.co.uk
Buy Pet Head Ditch The Dirt Spray 300ml Save with Heart Pet Supplies Free Same Day Local Pet The Head We carry a large selection and the top brands like pet head and. A brain positron emission tomography (pet) scan is an imaging test that allows doctors to see how your brain is functioning. Shop chewy for low prices and the best the company of animals pet head! The test accurately details the size, shape, and function of. A deodorising. Pet The Head.
From radiologykey.com
PET/CT and PET/MR Imaging of the Posttreatment Head and Neck Radiology Key Pet The Head Find pet head sensitive soul dog spray deodorant for dogs with sensitive skin 10.1 fl. Pet head is the brand that helps create bounding love between you and your dog. Natural ingredients and vegan deodorizing spray. A deodorising range suitable for all dogs and everyday use. A brain positron emission tomography (pet) scan is an imaging test that allows doctors. Pet The Head.
From www.thesun.ie
This is why you should never pat a dog on the head Pet The Head We carry a large selection and the top brands like pet head and. A brain positron emission tomography (pet) scan is an imaging test that allows doctors to see how your brain is functioning. Pet head is the brand that helps create bounding love between you and your dog. Our fruity grooming ranges, fit any dog’s coat and nose which. Pet The Head.
From www.clubpets.com.sg
Pet Head The Pet Version of Your Favourite TIGI Bed Head Hair Products Pet The Head From potential injury to misunderstood signals, there are numerous factors to consider when it comes to petting a dog in the right way. A brain positron emission tomography (pet) scan is an imaging test that allows doctors to see how your brain is functioning. Find pet head sensitive soul dog spray deodorant for dogs with sensitive skin 10.1 fl. A. Pet The Head.
From radiologykey.com
PET Imaging for Head and Neck Cancers Radiology Key Pet The Head Our fruity grooming ranges, fit any dog’s coat and nose which includes soothing shampoos, nourishing conditioners, hydrating sprays, soft. Natural ingredients and vegan deodorizing spray. A deodorising range suitable for all dogs and everyday use. From potential injury to misunderstood signals, there are numerous factors to consider when it comes to petting a dog in the right way. Shop chewy. Pet The Head.
From pixabay.com
Download Head, Dog, Pet. RoyaltyFree Vector Graphic Pixabay Pet The Head Our fruity grooming ranges, fit any dog’s coat and nose which includes soothing shampoos, nourishing conditioners, hydrating sprays, soft. A brain positron emission tomography (pet) scan is an imaging test that allows doctors to see how your brain is functioning. What makes us stand out! From potential injury to misunderstood signals, there are numerous factors to consider when it comes. Pet The Head.
From dxoftpcry.blob.core.windows.net
How Do You Make A Dog Like A Cat at Mary Shoffner blog Pet The Head Natural ingredients and vegan deodorizing spray. Find pet head sensitive soul dog spray deodorant for dogs with sensitive skin 10.1 fl. Shop chewy for low prices and the best the company of animals pet head! Pet head is the brand that helps create bounding love between you and your dog. A deodorising range suitable for all dogs and everyday use.. Pet The Head.
From www.alibaba.com
Pet Head Protector Products Dog Head Cover Buy Dog Head Cover,Pet Cover,Pet Head Protector Pet The Head The test accurately details the size, shape, and function of. Pet head is the brand that helps create bounding love between you and your dog. Discover a wide range of premium pet head grooming products for your furry friends. We carry a large selection and the top brands like pet head and. Find pet head sensitive soul dog spray deodorant. Pet The Head.
From www.vectorstock.com
Dog pet head icon Royalty Free Vector Image VectorStock Pet The Head We carry a large selection and the top brands like pet head and. Our fruity grooming ranges, fit any dog’s coat and nose which includes soothing shampoos, nourishing conditioners, hydrating sprays, soft. Pet head is the brand that helps create bounding love between you and your dog. Discover a wide range of premium pet head grooming products for your furry. Pet The Head.
From radiologykey.com
PET/CT and PET/MR Imaging of the Posttreatment Head and Neck Radiology Key Pet The Head Natural ingredients and vegan deodorizing spray. Pet head is the brand that helps create bounding love between you and your dog. From potential injury to misunderstood signals, there are numerous factors to consider when it comes to petting a dog in the right way. We carry a large selection and the top brands like pet head and. A deodorising range. Pet The Head.
From www.healthline.com
Why Petting a Dog is Good for Your Brain Pet The Head Natural ingredients and vegan deodorizing spray. The test accurately details the size, shape, and function of. Shop chewy for low prices and the best the company of animals pet head! A brain positron emission tomography (pet) scan is an imaging test that allows doctors to see how your brain is functioning. Pet head is the brand that helps create bounding. Pet The Head.
From medicalpetshirts.com
MPSHEAD COVER® DOG Medical Pet Shirts Pet The Head Our fruity grooming ranges, fit any dog’s coat and nose which includes soothing shampoos, nourishing conditioners, hydrating sprays, soft. What makes us stand out! A brain positron emission tomography (pet) scan is an imaging test that allows doctors to see how your brain is functioning. Find pet head sensitive soul dog spray deodorant for dogs with sensitive skin 10.1 fl.. Pet The Head.
From pxhere.com
Free Images animal, pasture, stallion, mane, fauna, close up, pets, horses, head, vertebrate Pet The Head A brain positron emission tomography (pet) scan is an imaging test that allows doctors to see how your brain is functioning. We carry a large selection and the top brands like pet head and. Discover a wide range of premium pet head grooming products for your furry friends. Natural ingredients and vegan deodorizing spray. Pet head is the brand that. Pet The Head.
From www.alamy.com
Seamless dogs faces. Funny dog face, puppy pet head and animals group vector background pattern Pet The Head Our fruity grooming ranges, fit any dog’s coat and nose which includes soothing shampoos, nourishing conditioners, hydrating sprays, soft. Shop chewy for low prices and the best the company of animals pet head! Pet head is the brand that helps create bounding love between you and your dog. Natural ingredients and vegan deodorizing spray. Find pet head sensitive soul dog. Pet The Head.