Tracheostomy Fistula Cpt Code . Cpt code 31825 should be used when the provider performs the surgical closure of a tracheostomy or tracheocutaneous fistula,. Cpt code 31502 should be used when a tracheotomy tube change is performed before the formation of a mature fistula tract. The most recent update to the current procedural terminology (cpt) coding system introduced new codes specific to tracheostomy procedures. But 31502 won't fit the bill for most trach tubes your. When a tracheostomy is performed in an emergency, report 31603 tracheostomy, emergency procedure; 31502 tracheotomy tube change prior to establishment of fistula tract; Identify the specific indications and contraindications for. Cpt contains just a single code for tracheostomy tube change: This comprehensive guide provides a clear understanding of the cpt code for closure of tracheostomy fistula, offering essential.
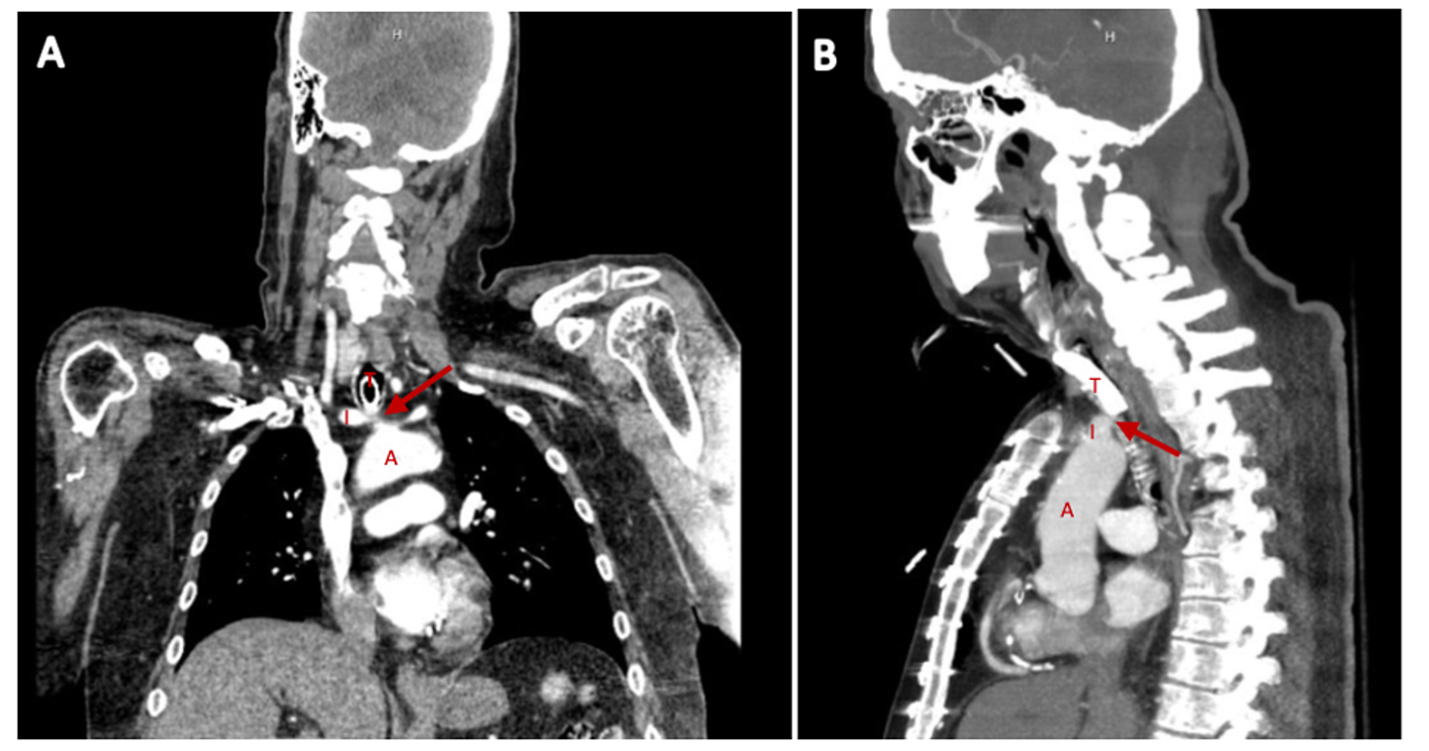
from www.cureus.com
Cpt code 31502 should be used when a tracheotomy tube change is performed before the formation of a mature fistula tract. But 31502 won't fit the bill for most trach tubes your. This comprehensive guide provides a clear understanding of the cpt code for closure of tracheostomy fistula, offering essential. When a tracheostomy is performed in an emergency, report 31603 tracheostomy, emergency procedure; The most recent update to the current procedural terminology (cpt) coding system introduced new codes specific to tracheostomy procedures. 31502 tracheotomy tube change prior to establishment of fistula tract; Cpt contains just a single code for tracheostomy tube change: Identify the specific indications and contraindications for. Cpt code 31825 should be used when the provider performs the surgical closure of a tracheostomy or tracheocutaneous fistula,.
Cureus Tracheocutaneous Fistula After Tracheostomy Spotlight on a
Tracheostomy Fistula Cpt Code Cpt code 31825 should be used when the provider performs the surgical closure of a tracheostomy or tracheocutaneous fistula,. When a tracheostomy is performed in an emergency, report 31603 tracheostomy, emergency procedure; But 31502 won't fit the bill for most trach tubes your. Cpt code 31502 should be used when a tracheotomy tube change is performed before the formation of a mature fistula tract. 31502 tracheotomy tube change prior to establishment of fistula tract; Identify the specific indications and contraindications for. This comprehensive guide provides a clear understanding of the cpt code for closure of tracheostomy fistula, offering essential. The most recent update to the current procedural terminology (cpt) coding system introduced new codes specific to tracheostomy procedures. Cpt contains just a single code for tracheostomy tube change: Cpt code 31825 should be used when the provider performs the surgical closure of a tracheostomy or tracheocutaneous fistula,.
From medshun.com
Understanding The Use Of Cpt Code For A Speaking Valve In StatusPost Tracheostomy Fistula Cpt Code Identify the specific indications and contraindications for. The most recent update to the current procedural terminology (cpt) coding system introduced new codes specific to tracheostomy procedures. But 31502 won't fit the bill for most trach tubes your. 31502 tracheotomy tube change prior to establishment of fistula tract; When a tracheostomy is performed in an emergency, report 31603 tracheostomy, emergency procedure;. Tracheostomy Fistula Cpt Code.
From exotblvsn.blob.core.windows.net
Tracheostomy Cpt Code 2023 at Roberta Howe blog Tracheostomy Fistula Cpt Code The most recent update to the current procedural terminology (cpt) coding system introduced new codes specific to tracheostomy procedures. But 31502 won't fit the bill for most trach tubes your. This comprehensive guide provides a clear understanding of the cpt code for closure of tracheostomy fistula, offering essential. Cpt contains just a single code for tracheostomy tube change: Identify the. Tracheostomy Fistula Cpt Code.
From www.osmosis.org
Tracheostomy Osmosis Video Library Tracheostomy Fistula Cpt Code Identify the specific indications and contraindications for. This comprehensive guide provides a clear understanding of the cpt code for closure of tracheostomy fistula, offering essential. 31502 tracheotomy tube change prior to establishment of fistula tract; Cpt contains just a single code for tracheostomy tube change: The most recent update to the current procedural terminology (cpt) coding system introduced new codes. Tracheostomy Fistula Cpt Code.
From www.youtube.com
HOW TO SEARCH A CPT CODE WITH QUESTION FROM TRACHEOSTOMY YouTube Tracheostomy Fistula Cpt Code Cpt contains just a single code for tracheostomy tube change: But 31502 won't fit the bill for most trach tubes your. Cpt code 31502 should be used when a tracheotomy tube change is performed before the formation of a mature fistula tract. Identify the specific indications and contraindications for. This comprehensive guide provides a clear understanding of the cpt code. Tracheostomy Fistula Cpt Code.
From journals.lww.com
TracheoInnominate Artery Fistula After Tracheostomy Anesthesia Tracheostomy Fistula Cpt Code Cpt contains just a single code for tracheostomy tube change: When a tracheostomy is performed in an emergency, report 31603 tracheostomy, emergency procedure; But 31502 won't fit the bill for most trach tubes your. 31502 tracheotomy tube change prior to establishment of fistula tract; Cpt code 31502 should be used when a tracheotomy tube change is performed before the formation. Tracheostomy Fistula Cpt Code.
From usmlestrike.com
Tracheoesophageal Fistula 100 Best Explanation Tracheostomy Fistula Cpt Code But 31502 won't fit the bill for most trach tubes your. Cpt code 31825 should be used when the provider performs the surgical closure of a tracheostomy or tracheocutaneous fistula,. Cpt code 31502 should be used when a tracheotomy tube change is performed before the formation of a mature fistula tract. Identify the specific indications and contraindications for. The most. Tracheostomy Fistula Cpt Code.
From www.americanmedicalcoding.com
CPT Code Mechanical Thrombectomy in AV fistula Coding Guide Medical Tracheostomy Fistula Cpt Code Identify the specific indications and contraindications for. When a tracheostomy is performed in an emergency, report 31603 tracheostomy, emergency procedure; The most recent update to the current procedural terminology (cpt) coding system introduced new codes specific to tracheostomy procedures. But 31502 won't fit the bill for most trach tubes your. Cpt code 31502 should be used when a tracheotomy tube. Tracheostomy Fistula Cpt Code.
From www.enttoday.org
How To HType Tracheoesophageal Fistula Cannulation for Rapid Tracheostomy Fistula Cpt Code Identify the specific indications and contraindications for. Cpt code 31825 should be used when the provider performs the surgical closure of a tracheostomy or tracheocutaneous fistula,. Cpt code 31502 should be used when a tracheotomy tube change is performed before the formation of a mature fistula tract. When a tracheostomy is performed in an emergency, report 31603 tracheostomy, emergency procedure;. Tracheostomy Fistula Cpt Code.
From www.mdpi.com
Diagnostics Free FullText OverInflating a Tracheostomy Tube Cuff Tracheostomy Fistula Cpt Code Cpt code 31825 should be used when the provider performs the surgical closure of a tracheostomy or tracheocutaneous fistula,. The most recent update to the current procedural terminology (cpt) coding system introduced new codes specific to tracheostomy procedures. Cpt code 31502 should be used when a tracheotomy tube change is performed before the formation of a mature fistula tract. Cpt. Tracheostomy Fistula Cpt Code.
From www.semanticscholar.org
Figure 1 from Anesthetic Management for Emergent Repair of Tracheostomy Fistula Cpt Code This comprehensive guide provides a clear understanding of the cpt code for closure of tracheostomy fistula, offering essential. The most recent update to the current procedural terminology (cpt) coding system introduced new codes specific to tracheostomy procedures. Cpt contains just a single code for tracheostomy tube change: When a tracheostomy is performed in an emergency, report 31603 tracheostomy, emergency procedure;. Tracheostomy Fistula Cpt Code.
From www.slideserve.com
PPT TRACHEOESOPHAGEAL PUNCTURE VOICE PROSTHESIS (TEP VP) AND SPEAKING Tracheostomy Fistula Cpt Code When a tracheostomy is performed in an emergency, report 31603 tracheostomy, emergency procedure; Cpt contains just a single code for tracheostomy tube change: The most recent update to the current procedural terminology (cpt) coding system introduced new codes specific to tracheostomy procedures. This comprehensive guide provides a clear understanding of the cpt code for closure of tracheostomy fistula, offering essential.. Tracheostomy Fistula Cpt Code.
From www.semanticscholar.org
Figure 1 from Avoidance of a potential tracheoinnominate fistula by Tracheostomy Fistula Cpt Code When a tracheostomy is performed in an emergency, report 31603 tracheostomy, emergency procedure; The most recent update to the current procedural terminology (cpt) coding system introduced new codes specific to tracheostomy procedures. This comprehensive guide provides a clear understanding of the cpt code for closure of tracheostomy fistula, offering essential. Cpt code 31825 should be used when the provider performs. Tracheostomy Fistula Cpt Code.
From www.mdpi.com
Diagnostics Free FullText OverInflating a Tracheostomy Tube Cuff Tracheostomy Fistula Cpt Code Identify the specific indications and contraindications for. But 31502 won't fit the bill for most trach tubes your. 31502 tracheotomy tube change prior to establishment of fistula tract; Cpt code 31825 should be used when the provider performs the surgical closure of a tracheostomy or tracheocutaneous fistula,. The most recent update to the current procedural terminology (cpt) coding system introduced. Tracheostomy Fistula Cpt Code.
From www.cureus.com
Cureus Tracheocutaneous Fistula After Tracheostomy Spotlight on a Tracheostomy Fistula Cpt Code But 31502 won't fit the bill for most trach tubes your. Cpt contains just a single code for tracheostomy tube change: Identify the specific indications and contraindications for. When a tracheostomy is performed in an emergency, report 31603 tracheostomy, emergency procedure; The most recent update to the current procedural terminology (cpt) coding system introduced new codes specific to tracheostomy procedures.. Tracheostomy Fistula Cpt Code.
From medshun.com
Understanding The Cpt Code For Percutaneous Tracheostomy A Tracheostomy Fistula Cpt Code When a tracheostomy is performed in an emergency, report 31603 tracheostomy, emergency procedure; The most recent update to the current procedural terminology (cpt) coding system introduced new codes specific to tracheostomy procedures. Cpt contains just a single code for tracheostomy tube change: This comprehensive guide provides a clear understanding of the cpt code for closure of tracheostomy fistula, offering essential.. Tracheostomy Fistula Cpt Code.
From exotblvsn.blob.core.windows.net
Tracheostomy Cpt Code 2023 at Roberta Howe blog Tracheostomy Fistula Cpt Code The most recent update to the current procedural terminology (cpt) coding system introduced new codes specific to tracheostomy procedures. This comprehensive guide provides a clear understanding of the cpt code for closure of tracheostomy fistula, offering essential. Cpt code 31502 should be used when a tracheotomy tube change is performed before the formation of a mature fistula tract. Cpt code. Tracheostomy Fistula Cpt Code.
From edu.svet.gob.gt
Complete Guide To Current Procedural Terminology (CPT) Tracheostomy Fistula Cpt Code Identify the specific indications and contraindications for. This comprehensive guide provides a clear understanding of the cpt code for closure of tracheostomy fistula, offering essential. But 31502 won't fit the bill for most trach tubes your. 31502 tracheotomy tube change prior to establishment of fistula tract; When a tracheostomy is performed in an emergency, report 31603 tracheostomy, emergency procedure; The. Tracheostomy Fistula Cpt Code.
From www.semanticscholar.org
Figure 1 from Tracheoinnominate artery fistula after percutaneous Tracheostomy Fistula Cpt Code The most recent update to the current procedural terminology (cpt) coding system introduced new codes specific to tracheostomy procedures. When a tracheostomy is performed in an emergency, report 31603 tracheostomy, emergency procedure; Cpt code 31825 should be used when the provider performs the surgical closure of a tracheostomy or tracheocutaneous fistula,. Identify the specific indications and contraindications for. 31502 tracheotomy. Tracheostomy Fistula Cpt Code.
From www.semanticscholar.org
Figure 1 from A Case of Tracheoinnominate Artery Fistula after Tracheostomy Fistula Cpt Code When a tracheostomy is performed in an emergency, report 31603 tracheostomy, emergency procedure; Cpt code 31825 should be used when the provider performs the surgical closure of a tracheostomy or tracheocutaneous fistula,. This comprehensive guide provides a clear understanding of the cpt code for closure of tracheostomy fistula, offering essential. Cpt contains just a single code for tracheostomy tube change:. Tracheostomy Fistula Cpt Code.
From www.nextlevelemergencymedicine.com
When A, B, and C Collide Tracheoinnominate Fistula Management Tracheostomy Fistula Cpt Code The most recent update to the current procedural terminology (cpt) coding system introduced new codes specific to tracheostomy procedures. 31502 tracheotomy tube change prior to establishment of fistula tract; Cpt code 31825 should be used when the provider performs the surgical closure of a tracheostomy or tracheocutaneous fistula,. This comprehensive guide provides a clear understanding of the cpt code for. Tracheostomy Fistula Cpt Code.
From mungfali.com
Tracheostomy Procedure Tracheostomy Fistula Cpt Code Cpt code 31502 should be used when a tracheotomy tube change is performed before the formation of a mature fistula tract. Cpt contains just a single code for tracheostomy tube change: The most recent update to the current procedural terminology (cpt) coding system introduced new codes specific to tracheostomy procedures. 31502 tracheotomy tube change prior to establishment of fistula tract;. Tracheostomy Fistula Cpt Code.
From healthjade.net
Esophageal atresia & tracheoesophageal fistula causes, symptoms & treatment Tracheostomy Fistula Cpt Code The most recent update to the current procedural terminology (cpt) coding system introduced new codes specific to tracheostomy procedures. Cpt code 31825 should be used when the provider performs the surgical closure of a tracheostomy or tracheocutaneous fistula,. This comprehensive guide provides a clear understanding of the cpt code for closure of tracheostomy fistula, offering essential. When a tracheostomy is. Tracheostomy Fistula Cpt Code.
From medshun.com
Understanding The Tracheostomy Fistula Tract A Comprehensive Guide Tracheostomy Fistula Cpt Code When a tracheostomy is performed in an emergency, report 31603 tracheostomy, emergency procedure; Cpt code 31502 should be used when a tracheotomy tube change is performed before the formation of a mature fistula tract. 31502 tracheotomy tube change prior to establishment of fistula tract; The most recent update to the current procedural terminology (cpt) coding system introduced new codes specific. Tracheostomy Fistula Cpt Code.
From onlinelibrary.wiley.com
Surgical treatment of tracheocutaneous fistula and tracheostomy scars Tracheostomy Fistula Cpt Code When a tracheostomy is performed in an emergency, report 31603 tracheostomy, emergency procedure; Cpt code 31825 should be used when the provider performs the surgical closure of a tracheostomy or tracheocutaneous fistula,. Identify the specific indications and contraindications for. 31502 tracheotomy tube change prior to establishment of fistula tract; This comprehensive guide provides a clear understanding of the cpt code. Tracheostomy Fistula Cpt Code.
From mungfali.com
Esophageal Atresia With Tracheoesophageal Fistula Tracheostomy Fistula Cpt Code The most recent update to the current procedural terminology (cpt) coding system introduced new codes specific to tracheostomy procedures. But 31502 won't fit the bill for most trach tubes your. Cpt contains just a single code for tracheostomy tube change: Cpt code 31825 should be used when the provider performs the surgical closure of a tracheostomy or tracheocutaneous fistula,. This. Tracheostomy Fistula Cpt Code.
From www.cureus.com
Cureus Tracheoinnominate Artery Fistula Treated With Endovascular Tracheostomy Fistula Cpt Code This comprehensive guide provides a clear understanding of the cpt code for closure of tracheostomy fistula, offering essential. But 31502 won't fit the bill for most trach tubes your. Identify the specific indications and contraindications for. The most recent update to the current procedural terminology (cpt) coding system introduced new codes specific to tracheostomy procedures. Cpt code 31502 should be. Tracheostomy Fistula Cpt Code.
From exotblvsn.blob.core.windows.net
Tracheostomy Cpt Code 2023 at Roberta Howe blog Tracheostomy Fistula Cpt Code Cpt contains just a single code for tracheostomy tube change: This comprehensive guide provides a clear understanding of the cpt code for closure of tracheostomy fistula, offering essential. The most recent update to the current procedural terminology (cpt) coding system introduced new codes specific to tracheostomy procedures. Cpt code 31825 should be used when the provider performs the surgical closure. Tracheostomy Fistula Cpt Code.
From www.semanticscholar.org
Figure 3 from Lifethreatening Tracheostomy Site Bleeding from Tracheostomy Fistula Cpt Code When a tracheostomy is performed in an emergency, report 31603 tracheostomy, emergency procedure; The most recent update to the current procedural terminology (cpt) coding system introduced new codes specific to tracheostomy procedures. Identify the specific indications and contraindications for. Cpt code 31825 should be used when the provider performs the surgical closure of a tracheostomy or tracheocutaneous fistula,. This comprehensive. Tracheostomy Fistula Cpt Code.
From rc.rcjournal.com
Tracheostomy Epidemiology, Indications, Timing, Technique, and Tracheostomy Fistula Cpt Code Cpt code 31825 should be used when the provider performs the surgical closure of a tracheostomy or tracheocutaneous fistula,. But 31502 won't fit the bill for most trach tubes your. When a tracheostomy is performed in an emergency, report 31603 tracheostomy, emergency procedure; This comprehensive guide provides a clear understanding of the cpt code for closure of tracheostomy fistula, offering. Tracheostomy Fistula Cpt Code.
From www.semanticscholar.org
Figure 4 from Tracheoinnominate artery fistula Diagnosis and surgical Tracheostomy Fistula Cpt Code This comprehensive guide provides a clear understanding of the cpt code for closure of tracheostomy fistula, offering essential. But 31502 won't fit the bill for most trach tubes your. 31502 tracheotomy tube change prior to establishment of fistula tract; The most recent update to the current procedural terminology (cpt) coding system introduced new codes specific to tracheostomy procedures. Cpt code. Tracheostomy Fistula Cpt Code.
From www.semanticscholar.org
[PDF] A Case of Tracheoinnominate Artery Fistula after Tracheostomy Tracheostomy Fistula Cpt Code 31502 tracheotomy tube change prior to establishment of fistula tract; The most recent update to the current procedural terminology (cpt) coding system introduced new codes specific to tracheostomy procedures. But 31502 won't fit the bill for most trach tubes your. When a tracheostomy is performed in an emergency, report 31603 tracheostomy, emergency procedure; Cpt code 31825 should be used when. Tracheostomy Fistula Cpt Code.
From casereports.bmj.com
Tracheocarotid artery fistula in a patient who had tracheostomy Tracheostomy Fistula Cpt Code Cpt contains just a single code for tracheostomy tube change: Cpt code 31825 should be used when the provider performs the surgical closure of a tracheostomy or tracheocutaneous fistula,. Identify the specific indications and contraindications for. The most recent update to the current procedural terminology (cpt) coding system introduced new codes specific to tracheostomy procedures. This comprehensive guide provides a. Tracheostomy Fistula Cpt Code.
From www.scribd.com
TRACHEOSTOMY Clinical Medicine Medical Specialties Tracheostomy Fistula Cpt Code Cpt code 31825 should be used when the provider performs the surgical closure of a tracheostomy or tracheocutaneous fistula,. When a tracheostomy is performed in an emergency, report 31603 tracheostomy, emergency procedure; Cpt contains just a single code for tracheostomy tube change: The most recent update to the current procedural terminology (cpt) coding system introduced new codes specific to tracheostomy. Tracheostomy Fistula Cpt Code.
From joyanswer.org
CPT Code for Tracheostomy Tube Replacement Medical Coding Tracheostomy Fistula Cpt Code Identify the specific indications and contraindications for. But 31502 won't fit the bill for most trach tubes your. The most recent update to the current procedural terminology (cpt) coding system introduced new codes specific to tracheostomy procedures. Cpt code 31825 should be used when the provider performs the surgical closure of a tracheostomy or tracheocutaneous fistula,. Cpt code 31502 should. Tracheostomy Fistula Cpt Code.
From gamma.app
Explaining Tracheostomy Tubes Tracheostomy Fistula Cpt Code Cpt contains just a single code for tracheostomy tube change: 31502 tracheotomy tube change prior to establishment of fistula tract; When a tracheostomy is performed in an emergency, report 31603 tracheostomy, emergency procedure; Cpt code 31825 should be used when the provider performs the surgical closure of a tracheostomy or tracheocutaneous fistula,. Cpt code 31502 should be used when a. Tracheostomy Fistula Cpt Code.