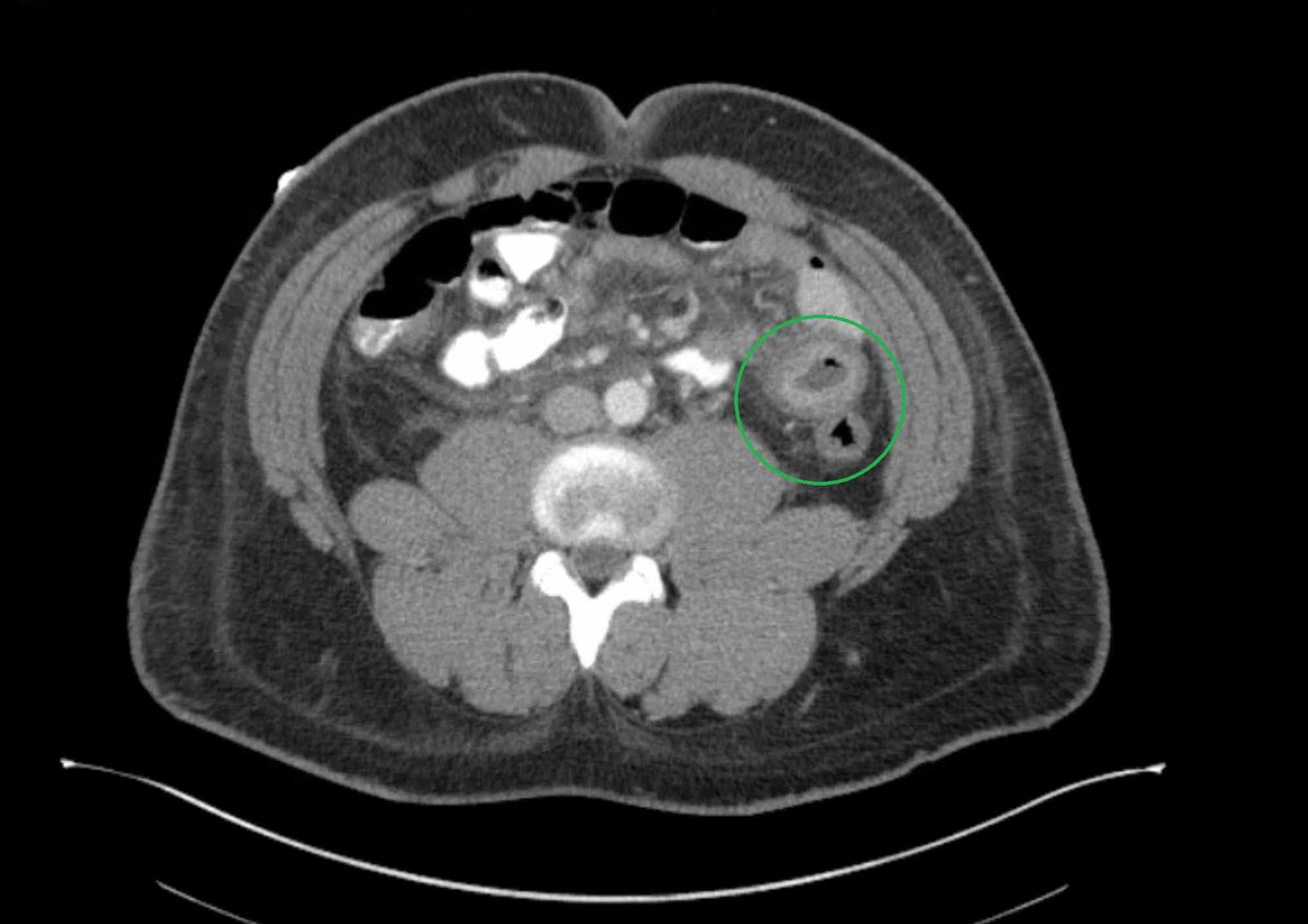
Comb Sign Radiology . “vascular jejunization of the ileum” or the “comb sign.”. Comb sign is the engorgement of the mesenteric vessels with vascular dilatation, tortuosity with spacing of the vasa recta, and prominence of surrounding mesenteric fat resembling a comb and is associated with crohn’s disease. Here is a case with typical ct findings of crohn disease including the comb sign. Spiral ct demonstration of hypervascularity in crohn disease: Computed tomography and magnetic resonance enterography have become routine small bowel imaging tests to evaluate patients with established or. The comb sign refers to the hypervascular appearance of the mesentery in active crohn disease. The comb sign is a ct feature of parallel engorged mesenteric vessels supplying inflamed bowel segments in crohn's disease. Computed tomography (ct) of the abdomen showed a partial small bowel. The comb sign refers to the hypervascular appearance of the mesentery in active crohn disease.
from www.radiologyarchives.com
The comb sign refers to the hypervascular appearance of the mesentery in active crohn disease. “vascular jejunization of the ileum” or the “comb sign.”. The comb sign refers to the hypervascular appearance of the mesentery in active crohn disease. Comb sign is the engorgement of the mesenteric vessels with vascular dilatation, tortuosity with spacing of the vasa recta, and prominence of surrounding mesenteric fat resembling a comb and is associated with crohn’s disease. Spiral ct demonstration of hypervascularity in crohn disease: Here is a case with typical ct findings of crohn disease including the comb sign. Computed tomography and magnetic resonance enterography have become routine small bowel imaging tests to evaluate patients with established or. Computed tomography (ct) of the abdomen showed a partial small bowel. The comb sign is a ct feature of parallel engorged mesenteric vessels supplying inflamed bowel segments in crohn's disease.
Radiology Archives Learning & Have Fun n.4 Comb Sign
Comb Sign Radiology Computed tomography and magnetic resonance enterography have become routine small bowel imaging tests to evaluate patients with established or. The comb sign is a ct feature of parallel engorged mesenteric vessels supplying inflamed bowel segments in crohn's disease. Comb sign is the engorgement of the mesenteric vessels with vascular dilatation, tortuosity with spacing of the vasa recta, and prominence of surrounding mesenteric fat resembling a comb and is associated with crohn’s disease. The comb sign refers to the hypervascular appearance of the mesentery in active crohn disease. Here is a case with typical ct findings of crohn disease including the comb sign. The comb sign refers to the hypervascular appearance of the mesentery in active crohn disease. “vascular jejunization of the ileum” or the “comb sign.”. Computed tomography (ct) of the abdomen showed a partial small bowel. Spiral ct demonstration of hypervascularity in crohn disease: Computed tomography and magnetic resonance enterography have become routine small bowel imaging tests to evaluate patients with established or.
From www.radiologic.theclinics.com
CT Enterography Concept, Technique, and Interpretation Radiologic Comb Sign Radiology The comb sign refers to the hypervascular appearance of the mesentery in active crohn disease. Here is a case with typical ct findings of crohn disease including the comb sign. Computed tomography and magnetic resonance enterography have become routine small bowel imaging tests to evaluate patients with established or. Comb sign is the engorgement of the mesenteric vessels with vascular. Comb Sign Radiology.
From www.ajronline.org
A Pattern Approach to the Abnormal Small Bowel Observations at MDCT Comb Sign Radiology Computed tomography and magnetic resonance enterography have become routine small bowel imaging tests to evaluate patients with established or. The comb sign refers to the hypervascular appearance of the mesentery in active crohn disease. Here is a case with typical ct findings of crohn disease including the comb sign. The comb sign is a ct feature of parallel engorged mesenteric. Comb Sign Radiology.
From radiologyassistant.nl
The Radiology Assistant Small Bowel Tumors Comb Sign Radiology Here is a case with typical ct findings of crohn disease including the comb sign. The comb sign is a ct feature of parallel engorged mesenteric vessels supplying inflamed bowel segments in crohn's disease. Comb sign is the engorgement of the mesenteric vessels with vascular dilatation, tortuosity with spacing of the vasa recta, and prominence of surrounding mesenteric fat resembling. Comb Sign Radiology.
From www.researchgate.net
Combs sign on CT of the abdomen (blue oval) CT computed tomography Comb Sign Radiology The comb sign refers to the hypervascular appearance of the mesentery in active crohn disease. The comb sign is a ct feature of parallel engorged mesenteric vessels supplying inflamed bowel segments in crohn's disease. The comb sign refers to the hypervascular appearance of the mesentery in active crohn disease. “vascular jejunization of the ileum” or the “comb sign.”. Computed tomography. Comb Sign Radiology.
From www.emnote.org
EMNote Comb Sign Radiology The comb sign is a ct feature of parallel engorged mesenteric vessels supplying inflamed bowel segments in crohn's disease. Computed tomography (ct) of the abdomen showed a partial small bowel. Computed tomography and magnetic resonance enterography have become routine small bowel imaging tests to evaluate patients with established or. The comb sign refers to the hypervascular appearance of the mesentery. Comb Sign Radiology.
From www.ahajournals.org
Brush Sign Is Associated With Increased Severity in Cerebral Venous Comb Sign Radiology Computed tomography and magnetic resonance enterography have become routine small bowel imaging tests to evaluate patients with established or. Comb sign is the engorgement of the mesenteric vessels with vascular dilatation, tortuosity with spacing of the vasa recta, and prominence of surrounding mesenteric fat resembling a comb and is associated with crohn’s disease. Computed tomography (ct) of the abdomen showed. Comb Sign Radiology.
From pt.healthy-food-near-me.com
resonance imaging of the abdominal cavity indications Comb Sign Radiology Computed tomography (ct) of the abdomen showed a partial small bowel. Here is a case with typical ct findings of crohn disease including the comb sign. “vascular jejunization of the ileum” or the “comb sign.”. Comb sign is the engorgement of the mesenteric vessels with vascular dilatation, tortuosity with spacing of the vasa recta, and prominence of surrounding mesenteric fat. Comb Sign Radiology.
From www.svuhradiology.ie
Comb sign and target sign Crohn disease Radiology at St. Vincent's Comb Sign Radiology The comb sign refers to the hypervascular appearance of the mesentery in active crohn disease. Computed tomography (ct) of the abdomen showed a partial small bowel. Comb sign is the engorgement of the mesenteric vessels with vascular dilatation, tortuosity with spacing of the vasa recta, and prominence of surrounding mesenteric fat resembling a comb and is associated with crohn’s disease.. Comb Sign Radiology.
From www.youtube.com
Feeding vessel sign in pulmonary septic emboli YouTube Comb Sign Radiology Computed tomography and magnetic resonance enterography have become routine small bowel imaging tests to evaluate patients with established or. Spiral ct demonstration of hypervascularity in crohn disease: Comb sign is the engorgement of the mesenteric vessels with vascular dilatation, tortuosity with spacing of the vasa recta, and prominence of surrounding mesenteric fat resembling a comb and is associated with crohn’s. Comb Sign Radiology.
From www.radiologyarchives.com
Radiology Archives Learning & Have Fun n.4 Comb Sign Comb Sign Radiology Here is a case with typical ct findings of crohn disease including the comb sign. Computed tomography (ct) of the abdomen showed a partial small bowel. Comb sign is the engorgement of the mesenteric vessels with vascular dilatation, tortuosity with spacing of the vasa recta, and prominence of surrounding mesenteric fat resembling a comb and is associated with crohn’s disease.. Comb Sign Radiology.
From www.researchgate.net
Sagittal view of CT abdomen showing target sign (single arrow) with Comb Sign Radiology The comb sign refers to the hypervascular appearance of the mesentery in active crohn disease. The comb sign refers to the hypervascular appearance of the mesentery in active crohn disease. “vascular jejunization of the ileum” or the “comb sign.”. Comb sign is the engorgement of the mesenteric vessels with vascular dilatation, tortuosity with spacing of the vasa recta, and prominence. Comb Sign Radiology.
From www.researchgate.net
Axial view of CT abdomen showing comb sign. Download Scientific Diagram Comb Sign Radiology The comb sign refers to the hypervascular appearance of the mesentery in active crohn disease. The comb sign is a ct feature of parallel engorged mesenteric vessels supplying inflamed bowel segments in crohn's disease. Here is a case with typical ct findings of crohn disease including the comb sign. Computed tomography and magnetic resonance enterography have become routine small bowel. Comb Sign Radiology.
From www.emnote.org
EMNote Comb Sign Radiology Spiral ct demonstration of hypervascularity in crohn disease: The comb sign is a ct feature of parallel engorged mesenteric vessels supplying inflamed bowel segments in crohn's disease. The comb sign refers to the hypervascular appearance of the mesentery in active crohn disease. Here is a case with typical ct findings of crohn disease including the comb sign. “vascular jejunization of. Comb Sign Radiology.
From www.ctisus.com
Active Crohn's Disease Ileum with Prominent Vasa Recta with Comb Sign Comb Sign Radiology The comb sign refers to the hypervascular appearance of the mesentery in active crohn disease. Computed tomography and magnetic resonance enterography have become routine small bowel imaging tests to evaluate patients with established or. “vascular jejunization of the ileum” or the “comb sign.”. The comb sign refers to the hypervascular appearance of the mesentery in active crohn disease. Here is. Comb Sign Radiology.
From www.ctisus.com
Crohn's Disease Right Colon with Nodes and Comb Sign Small Bowel Case Comb Sign Radiology The comb sign is a ct feature of parallel engorged mesenteric vessels supplying inflamed bowel segments in crohn's disease. Computed tomography (ct) of the abdomen showed a partial small bowel. The comb sign refers to the hypervascular appearance of the mesentery in active crohn disease. The comb sign refers to the hypervascular appearance of the mesentery in active crohn disease.. Comb Sign Radiology.
From radiopaedia.org
Image Comb Sign Radiology Computed tomography and magnetic resonance enterography have become routine small bowel imaging tests to evaluate patients with established or. The comb sign refers to the hypervascular appearance of the mesentery in active crohn disease. The comb sign refers to the hypervascular appearance of the mesentery in active crohn disease. Here is a case with typical ct findings of crohn disease. Comb Sign Radiology.
From www.wikidoc.org
Crohn's disease CT wikidoc Comb Sign Radiology The comb sign refers to the hypervascular appearance of the mesentery in active crohn disease. “vascular jejunization of the ileum” or the “comb sign.”. Spiral ct demonstration of hypervascularity in crohn disease: Computed tomography and magnetic resonance enterography have become routine small bowel imaging tests to evaluate patients with established or. Comb sign is the engorgement of the mesenteric vessels. Comb Sign Radiology.
From www.pinterest.com
Comb sign crohn's disease in 2020 Radiology imaging, Radiology Comb Sign Radiology Computed tomography and magnetic resonance enterography have become routine small bowel imaging tests to evaluate patients with established or. Computed tomography (ct) of the abdomen showed a partial small bowel. Comb sign is the engorgement of the mesenteric vessels with vascular dilatation, tortuosity with spacing of the vasa recta, and prominence of surrounding mesenteric fat resembling a comb and is. Comb Sign Radiology.
From radiologyassistant.nl
The Radiology Assistant Crohn's disease role of MRI Comb Sign Radiology “vascular jejunization of the ileum” or the “comb sign.”. The comb sign is a ct feature of parallel engorged mesenteric vessels supplying inflamed bowel segments in crohn's disease. Spiral ct demonstration of hypervascularity in crohn disease: Comb sign is the engorgement of the mesenteric vessels with vascular dilatation, tortuosity with spacing of the vasa recta, and prominence of surrounding mesenteric. Comb Sign Radiology.
From www.emnote.org
EMNote Comb Sign Radiology The comb sign refers to the hypervascular appearance of the mesentery in active crohn disease. Computed tomography and magnetic resonance enterography have become routine small bowel imaging tests to evaluate patients with established or. Computed tomography (ct) of the abdomen showed a partial small bowel. Spiral ct demonstration of hypervascularity in crohn disease: Comb sign is the engorgement of the. Comb Sign Radiology.
From www.pinterest.com
Honey comb Radiology imaging, Medical mnemonics, Idiopathic pulmonary Comb Sign Radiology Here is a case with typical ct findings of crohn disease including the comb sign. Computed tomography and magnetic resonance enterography have become routine small bowel imaging tests to evaluate patients with established or. Computed tomography (ct) of the abdomen showed a partial small bowel. The comb sign refers to the hypervascular appearance of the mesentery in active crohn disease.. Comb Sign Radiology.
From www.cghjournal.org
The Comb Sign Clinical Gastroenterology and Hepatology Comb Sign Radiology “vascular jejunization of the ileum” or the “comb sign.”. Computed tomography (ct) of the abdomen showed a partial small bowel. Here is a case with typical ct findings of crohn disease including the comb sign. Computed tomography and magnetic resonance enterography have become routine small bowel imaging tests to evaluate patients with established or. Comb sign is the engorgement of. Comb Sign Radiology.
From learningradiology.com
LearningRadiology Bronchiectasis, cystic, bronchiectatic, saccular Comb Sign Radiology Spiral ct demonstration of hypervascularity in crohn disease: The comb sign refers to the hypervascular appearance of the mesentery in active crohn disease. Comb sign is the engorgement of the mesenteric vessels with vascular dilatation, tortuosity with spacing of the vasa recta, and prominence of surrounding mesenteric fat resembling a comb and is associated with crohn’s disease. “vascular jejunization of. Comb Sign Radiology.
From www.cureus.com
Cureus Targets and Combs A Case of Lupus Enteritis Comb Sign Radiology The comb sign refers to the hypervascular appearance of the mesentery in active crohn disease. Computed tomography (ct) of the abdomen showed a partial small bowel. Here is a case with typical ct findings of crohn disease including the comb sign. Spiral ct demonstration of hypervascularity in crohn disease: The comb sign refers to the hypervascular appearance of the mesentery. Comb Sign Radiology.
From www.youtube.com
Comb sign of Crohn's disease radiology video tutorial (CT) YouTube Comb Sign Radiology The comb sign is a ct feature of parallel engorged mesenteric vessels supplying inflamed bowel segments in crohn's disease. Computed tomography and magnetic resonance enterography have become routine small bowel imaging tests to evaluate patients with established or. Here is a case with typical ct findings of crohn disease including the comb sign. The comb sign refers to the hypervascular. Comb Sign Radiology.
From radiopaedia.org
Crohn disease comb sign Image Comb Sign Radiology The comb sign refers to the hypervascular appearance of the mesentery in active crohn disease. Spiral ct demonstration of hypervascularity in crohn disease: Comb sign is the engorgement of the mesenteric vessels with vascular dilatation, tortuosity with spacing of the vasa recta, and prominence of surrounding mesenteric fat resembling a comb and is associated with crohn’s disease. Here is a. Comb Sign Radiology.
From www.radiologyarchives.com
Radiology Archives Learning & Have Fun n.4 Comb Sign Comb Sign Radiology The comb sign refers to the hypervascular appearance of the mesentery in active crohn disease. Comb sign is the engorgement of the mesenteric vessels with vascular dilatation, tortuosity with spacing of the vasa recta, and prominence of surrounding mesenteric fat resembling a comb and is associated with crohn’s disease. Computed tomography (ct) of the abdomen showed a partial small bowel.. Comb Sign Radiology.
From www.researchgate.net
Comb sign in active CD. Coronal CTE image showing a segment of dilated Comb Sign Radiology Computed tomography and magnetic resonance enterography have become routine small bowel imaging tests to evaluate patients with established or. The comb sign is a ct feature of parallel engorged mesenteric vessels supplying inflamed bowel segments in crohn's disease. Here is a case with typical ct findings of crohn disease including the comb sign. “vascular jejunization of the ileum” or the. Comb Sign Radiology.
From bronchiectasis.com.au
Radiology Bronchiectasis Comb Sign Radiology Computed tomography and magnetic resonance enterography have become routine small bowel imaging tests to evaluate patients with established or. “vascular jejunization of the ileum” or the “comb sign.”. The comb sign is a ct feature of parallel engorged mesenteric vessels supplying inflamed bowel segments in crohn's disease. Here is a case with typical ct findings of crohn disease including the. Comb Sign Radiology.
From radiopaedia.org
Comb sign in active Crohn disease Image Comb Sign Radiology Comb sign is the engorgement of the mesenteric vessels with vascular dilatation, tortuosity with spacing of the vasa recta, and prominence of surrounding mesenteric fat resembling a comb and is associated with crohn’s disease. Computed tomography and magnetic resonance enterography have become routine small bowel imaging tests to evaluate patients with established or. “vascular jejunization of the ileum” or the. Comb Sign Radiology.
From radiopaedia.org
Image Comb Sign Radiology Comb sign is the engorgement of the mesenteric vessels with vascular dilatation, tortuosity with spacing of the vasa recta, and prominence of surrounding mesenteric fat resembling a comb and is associated with crohn’s disease. Here is a case with typical ct findings of crohn disease including the comb sign. The comb sign refers to the hypervascular appearance of the mesentery. Comb Sign Radiology.
From radiopaedia.org
Comb sign (mesentery) Radiology Reference Article Comb Sign Radiology Spiral ct demonstration of hypervascularity in crohn disease: Computed tomography and magnetic resonance enterography have become routine small bowel imaging tests to evaluate patients with established or. “vascular jejunization of the ileum” or the “comb sign.”. The comb sign refers to the hypervascular appearance of the mesentery in active crohn disease. Comb sign is the engorgement of the mesenteric vessels. Comb Sign Radiology.
From www.ctisus.com
Crohn's Disease with Prominent Vasa Recta and Comb Sign Small Bowel Comb Sign Radiology The comb sign refers to the hypervascular appearance of the mesentery in active crohn disease. Spiral ct demonstration of hypervascularity in crohn disease: Computed tomography and magnetic resonance enterography have become routine small bowel imaging tests to evaluate patients with established or. Here is a case with typical ct findings of crohn disease including the comb sign. Comb sign is. Comb Sign Radiology.
From www.researchgate.net
Example of comb sign in active inflammation coronal True FISP image Comb Sign Radiology The comb sign refers to the hypervascular appearance of the mesentery in active crohn disease. Computed tomography and magnetic resonance enterography have become routine small bowel imaging tests to evaluate patients with established or. The comb sign refers to the hypervascular appearance of the mesentery in active crohn disease. Comb sign is the engorgement of the mesenteric vessels with vascular. Comb Sign Radiology.
From www.pinterest.com
Active Crohn's Disease with Comb Sign Small Bowel Case Studies Comb Sign Radiology The comb sign is a ct feature of parallel engorged mesenteric vessels supplying inflamed bowel segments in crohn's disease. “vascular jejunization of the ileum” or the “comb sign.”. The comb sign refers to the hypervascular appearance of the mesentery in active crohn disease. Computed tomography and magnetic resonance enterography have become routine small bowel imaging tests to evaluate patients with. Comb Sign Radiology.