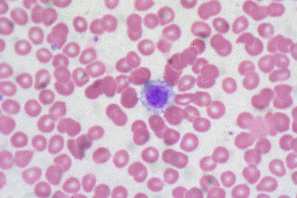
Giant Platelets In Blood Work . Platelet disorders are suspected in patients with petechiae and mucosal bleeding. A platelet count measures the average platelet level in a person’s blood. Large platelets can be seen when platelet turnover is increased (as in immune. Giant platelets have a diameter greater than 7 microns (larger than a normal red blood cell). I don't have any symptoms. But a recent lab report mentioned giant platelets. is this something to worry about?. High or low platelet levels can increase the risk of clotting or excessive bleeding. A cbc with platelet count, coagulation studies, and a peripheral blood smear are. My platelet count has always been on the low side — 110,000. A high platelet level may be detected in a routine blood test known as a complete blood count.
from www.researchgate.net
I don't have any symptoms. A cbc with platelet count, coagulation studies, and a peripheral blood smear are. Giant platelets have a diameter greater than 7 microns (larger than a normal red blood cell). A high platelet level may be detected in a routine blood test known as a complete blood count. Platelet disorders are suspected in patients with petechiae and mucosal bleeding. High or low platelet levels can increase the risk of clotting or excessive bleeding. Large platelets can be seen when platelet turnover is increased (as in immune. But a recent lab report mentioned giant platelets. is this something to worry about?. My platelet count has always been on the low side — 110,000. A platelet count measures the average platelet level in a person’s blood.
Peripheral blood smear (Leishman stained 400×) large platelet clumps
Giant Platelets In Blood Work I don't have any symptoms. But a recent lab report mentioned giant platelets. is this something to worry about?. High or low platelet levels can increase the risk of clotting or excessive bleeding. I don't have any symptoms. Platelet disorders are suspected in patients with petechiae and mucosal bleeding. Giant platelets have a diameter greater than 7 microns (larger than a normal red blood cell). A high platelet level may be detected in a routine blood test known as a complete blood count. Large platelets can be seen when platelet turnover is increased (as in immune. A cbc with platelet count, coagulation studies, and a peripheral blood smear are. My platelet count has always been on the low side — 110,000. A platelet count measures the average platelet level in a person’s blood.
From basicmedicalkey.com
Hematology Platelets (Qualitative and Quantitative) Basicmedical Key Giant Platelets In Blood Work But a recent lab report mentioned giant platelets. is this something to worry about?. High or low platelet levels can increase the risk of clotting or excessive bleeding. Platelet disorders are suspected in patients with petechiae and mucosal bleeding. Giant platelets have a diameter greater than 7 microns (larger than a normal red blood cell). A high platelet level may. Giant Platelets In Blood Work.
From www.flickr.com
Giant Platelet, Peripheral Blood Smear Ed Uthman Flickr Giant Platelets In Blood Work Giant platelets have a diameter greater than 7 microns (larger than a normal red blood cell). Large platelets can be seen when platelet turnover is increased (as in immune. But a recent lab report mentioned giant platelets. is this something to worry about?. My platelet count has always been on the low side — 110,000. A platelet count measures the. Giant Platelets In Blood Work.
From www.bcm.edu
Pathology Baylor Medicine Giant Platelets In Blood Work Giant platelets have a diameter greater than 7 microns (larger than a normal red blood cell). I don't have any symptoms. My platelet count has always been on the low side — 110,000. High or low platelet levels can increase the risk of clotting or excessive bleeding. A high platelet level may be detected in a routine blood test known. Giant Platelets In Blood Work.
From www.researchgate.net
Platelet morphology on peripheral blood films of patients with Giant Platelets In Blood Work A high platelet level may be detected in a routine blood test known as a complete blood count. Large platelets can be seen when platelet turnover is increased (as in immune. Giant platelets have a diameter greater than 7 microns (larger than a normal red blood cell). High or low platelet levels can increase the risk of clotting or excessive. Giant Platelets In Blood Work.
From www.youtube.com
Giant Platelet on Peripheral Blood Smear (Hemepath, Hematology Giant Platelets In Blood Work A high platelet level may be detected in a routine blood test known as a complete blood count. Platelet disorders are suspected in patients with petechiae and mucosal bleeding. Giant platelets have a diameter greater than 7 microns (larger than a normal red blood cell). But a recent lab report mentioned giant platelets. is this something to worry about?. Large. Giant Platelets In Blood Work.
From www.degruyter.com
Platelet morphology Giant Platelets In Blood Work I don't have any symptoms. But a recent lab report mentioned giant platelets. is this something to worry about?. Giant platelets have a diameter greater than 7 microns (larger than a normal red blood cell). Platelet disorders are suspected in patients with petechiae and mucosal bleeding. High or low platelet levels can increase the risk of clotting or excessive bleeding.. Giant Platelets In Blood Work.
From imagebank.hematology.org
Giant platelets Giant Platelets In Blood Work Large platelets can be seen when platelet turnover is increased (as in immune. But a recent lab report mentioned giant platelets. is this something to worry about?. A platelet count measures the average platelet level in a person’s blood. Platelet disorders are suspected in patients with petechiae and mucosal bleeding. High or low platelet levels can increase the risk of. Giant Platelets In Blood Work.
From www.medical-labs.net
Giant Platelet on a smear Medical Laboratories Giant Platelets In Blood Work Large platelets can be seen when platelet turnover is increased (as in immune. A platelet count measures the average platelet level in a person’s blood. A cbc with platelet count, coagulation studies, and a peripheral blood smear are. My platelet count has always been on the low side — 110,000. But a recent lab report mentioned giant platelets. is this. Giant Platelets In Blood Work.
From test-imagebank.hematology.org
presence of giant platelets in peripheral blood sample 1 Giant Platelets In Blood Work A platelet count measures the average platelet level in a person’s blood. Large platelets can be seen when platelet turnover is increased (as in immune. Platelet disorders are suspected in patients with petechiae and mucosal bleeding. Giant platelets have a diameter greater than 7 microns (larger than a normal red blood cell). A cbc with platelet count, coagulation studies, and. Giant Platelets In Blood Work.
From accurex.net
What is Platelet Count? All about Platelet Counts Accurex Giant Platelets In Blood Work Giant platelets have a diameter greater than 7 microns (larger than a normal red blood cell). High or low platelet levels can increase the risk of clotting or excessive bleeding. A platelet count measures the average platelet level in a person’s blood. But a recent lab report mentioned giant platelets. is this something to worry about?. I don't have any. Giant Platelets In Blood Work.
From exoybvulh.blob.core.windows.net
What Does A High Platelet Count at William Tolliver blog Giant Platelets In Blood Work Platelet disorders are suspected in patients with petechiae and mucosal bleeding. A platelet count measures the average platelet level in a person’s blood. A cbc with platelet count, coagulation studies, and a peripheral blood smear are. Giant platelets have a diameter greater than 7 microns (larger than a normal red blood cell). I don't have any symptoms. My platelet count. Giant Platelets In Blood Work.
From www.researchgate.net
Light microscopy of peripheral blood smear. Performed with Giemsa Giant Platelets In Blood Work Giant platelets have a diameter greater than 7 microns (larger than a normal red blood cell). A cbc with platelet count, coagulation studies, and a peripheral blood smear are. A platelet count measures the average platelet level in a person’s blood. Platelet disorders are suspected in patients with petechiae and mucosal bleeding. I don't have any symptoms. My platelet count. Giant Platelets In Blood Work.
From slidetodoc.com
Practical Hematology Lab WBCs PLT Abnormal Morphology Platelet Giant Platelets In Blood Work Large platelets can be seen when platelet turnover is increased (as in immune. Giant platelets have a diameter greater than 7 microns (larger than a normal red blood cell). A platelet count measures the average platelet level in a person’s blood. A high platelet level may be detected in a routine blood test known as a complete blood count. My. Giant Platelets In Blood Work.
From www.dreamstime.com
Giant Platelet on Red Blood Cells Background. Stock Image Image of Giant Platelets In Blood Work I don't have any symptoms. Platelet disorders are suspected in patients with petechiae and mucosal bleeding. My platelet count has always been on the low side — 110,000. A platelet count measures the average platelet level in a person’s blood. High or low platelet levels can increase the risk of clotting or excessive bleeding. A high platelet level may be. Giant Platelets In Blood Work.
From klaorsiye.blob.core.windows.net
Platelets Blood Job at Briones blog Giant Platelets In Blood Work My platelet count has always been on the low side — 110,000. Giant platelets have a diameter greater than 7 microns (larger than a normal red blood cell). I don't have any symptoms. A cbc with platelet count, coagulation studies, and a peripheral blood smear are. Platelet disorders are suspected in patients with petechiae and mucosal bleeding. High or low. Giant Platelets In Blood Work.
From ar.inspiredpencil.com
Large Platelets On Smear Giant Platelets In Blood Work Large platelets can be seen when platelet turnover is increased (as in immune. A high platelet level may be detected in a routine blood test known as a complete blood count. A cbc with platelet count, coagulation studies, and a peripheral blood smear are. I don't have any symptoms. Platelet disorders are suspected in patients with petechiae and mucosal bleeding.. Giant Platelets In Blood Work.
From medschool.co
Platelet Morphology Blood Film MedSchool Giant Platelets In Blood Work My platelet count has always been on the low side — 110,000. Giant platelets have a diameter greater than 7 microns (larger than a normal red blood cell). A high platelet level may be detected in a routine blood test known as a complete blood count. Large platelets can be seen when platelet turnover is increased (as in immune. A. Giant Platelets In Blood Work.
From depositphotos.com
Platelet clumping giant platelet in blood smear. — Stock Photo Giant Platelets In Blood Work High or low platelet levels can increase the risk of clotting or excessive bleeding. But a recent lab report mentioned giant platelets. is this something to worry about?. I don't have any symptoms. A platelet count measures the average platelet level in a person’s blood. Platelet disorders are suspected in patients with petechiae and mucosal bleeding. A cbc with platelet. Giant Platelets In Blood Work.
From getwellnatural.com
Platelet Health * Platelet Support According to Eastern Medicine Giant Platelets In Blood Work A cbc with platelet count, coagulation studies, and a peripheral blood smear are. I don't have any symptoms. A high platelet level may be detected in a routine blood test known as a complete blood count. Giant platelets have a diameter greater than 7 microns (larger than a normal red blood cell). Large platelets can be seen when platelet turnover. Giant Platelets In Blood Work.
From atlas.gechem.org
Giant platelet Giant Platelets In Blood Work Large platelets can be seen when platelet turnover is increased (as in immune. Giant platelets have a diameter greater than 7 microns (larger than a normal red blood cell). I don't have any symptoms. A high platelet level may be detected in a routine blood test known as a complete blood count. But a recent lab report mentioned giant platelets.. Giant Platelets In Blood Work.
From mavink.com
Peripheral Blood Smear Platelets Giant Platelets In Blood Work A high platelet level may be detected in a routine blood test known as a complete blood count. My platelet count has always been on the low side — 110,000. High or low platelet levels can increase the risk of clotting or excessive bleeding. I don't have any symptoms. Giant platelets have a diameter greater than 7 microns (larger than. Giant Platelets In Blood Work.
From www.pinterest.com
Morphology of platelet Medical technology, Medical laboratory science Giant Platelets In Blood Work A platelet count measures the average platelet level in a person’s blood. Platelet disorders are suspected in patients with petechiae and mucosal bleeding. But a recent lab report mentioned giant platelets. is this something to worry about?. A high platelet level may be detected in a routine blood test known as a complete blood count. High or low platelet levels. Giant Platelets In Blood Work.
From www.youtube.com
Giant platelets seen in blood test Large platelets on smear Giant Platelets In Blood Work A high platelet level may be detected in a routine blood test known as a complete blood count. My platelet count has always been on the low side — 110,000. High or low platelet levels can increase the risk of clotting or excessive bleeding. A cbc with platelet count, coagulation studies, and a peripheral blood smear are. I don't have. Giant Platelets In Blood Work.
From vetclinpathimages.com
Giant Platelet Cells and Smears Giant Platelets In Blood Work High or low platelet levels can increase the risk of clotting or excessive bleeding. A high platelet level may be detected in a routine blood test known as a complete blood count. I don't have any symptoms. A cbc with platelet count, coagulation studies, and a peripheral blood smear are. Giant platelets have a diameter greater than 7 microns (larger. Giant Platelets In Blood Work.
From www.researchgate.net
Peripheral blood smear (Leishman stained 400×) large platelet clumps Giant Platelets In Blood Work I don't have any symptoms. A cbc with platelet count, coagulation studies, and a peripheral blood smear are. But a recent lab report mentioned giant platelets. is this something to worry about?. Platelet disorders are suspected in patients with petechiae and mucosal bleeding. A high platelet level may be detected in a routine blood test known as a complete blood. Giant Platelets In Blood Work.
From www.researchgate.net
Peripheral blood smear showing a low platelet count with large size Giant Platelets In Blood Work A platelet count measures the average platelet level in a person’s blood. High or low platelet levels can increase the risk of clotting or excessive bleeding. A high platelet level may be detected in a routine blood test known as a complete blood count. Platelet disorders are suspected in patients with petechiae and mucosal bleeding. Giant platelets have a diameter. Giant Platelets In Blood Work.
From www.shutterstock.com
Giant Platelet On Blood Smear Stock Photo 388921693 Shutterstock Giant Platelets In Blood Work Giant platelets have a diameter greater than 7 microns (larger than a normal red blood cell). I don't have any symptoms. My platelet count has always been on the low side — 110,000. High or low platelet levels can increase the risk of clotting or excessive bleeding. But a recent lab report mentioned giant platelets. is this something to worry. Giant Platelets In Blood Work.
From vetclinpathimages.com
Giant Platelet Cells and Smears Giant Platelets In Blood Work A platelet count measures the average platelet level in a person’s blood. I don't have any symptoms. But a recent lab report mentioned giant platelets. is this something to worry about?. High or low platelet levels can increase the risk of clotting or excessive bleeding. Giant platelets have a diameter greater than 7 microns (larger than a normal red blood. Giant Platelets In Blood Work.
From textbookhaematology4medical-scientist.blogspot.com
Haematology in a NutShell Large Platelets Giant Platelets In Blood Work I don't have any symptoms. Platelet disorders are suspected in patients with petechiae and mucosal bleeding. Large platelets can be seen when platelet turnover is increased (as in immune. My platelet count has always been on the low side — 110,000. A high platelet level may be detected in a routine blood test known as a complete blood count. But. Giant Platelets In Blood Work.
From www.dreamstime.com
Two Giant Platelet on Red Blood Cells Background Stock Image Image of Giant Platelets In Blood Work A cbc with platelet count, coagulation studies, and a peripheral blood smear are. High or low platelet levels can increase the risk of clotting or excessive bleeding. Large platelets can be seen when platelet turnover is increased (as in immune. Giant platelets have a diameter greater than 7 microns (larger than a normal red blood cell). Platelet disorders are suspected. Giant Platelets In Blood Work.
From owlcation.com
How Blood Clots Platelets and the Coagulation Cascade Owlcation Giant Platelets In Blood Work But a recent lab report mentioned giant platelets. is this something to worry about?. A cbc with platelet count, coagulation studies, and a peripheral blood smear are. Platelet disorders are suspected in patients with petechiae and mucosal bleeding. I don't have any symptoms. Large platelets can be seen when platelet turnover is increased (as in immune. A high platelet level. Giant Platelets In Blood Work.
From www.slideserve.com
PPT Platelet Counts PowerPoint Presentation, free download ID6785174 Giant Platelets In Blood Work High or low platelet levels can increase the risk of clotting or excessive bleeding. My platelet count has always been on the low side — 110,000. I don't have any symptoms. Giant platelets have a diameter greater than 7 microns (larger than a normal red blood cell). But a recent lab report mentioned giant platelets. is this something to worry. Giant Platelets In Blood Work.
From imagebank.hematology.org
Bloodgiant platelet Giant Platelets In Blood Work Large platelets can be seen when platelet turnover is increased (as in immune. I don't have any symptoms. High or low platelet levels can increase the risk of clotting or excessive bleeding. But a recent lab report mentioned giant platelets. is this something to worry about?. A high platelet level may be detected in a routine blood test known as. Giant Platelets In Blood Work.
From www.istockphoto.com
Slide Blood Smear Show Giant Platelet And Neutrophil Under Micro Stock Giant Platelets In Blood Work I don't have any symptoms. A high platelet level may be detected in a routine blood test known as a complete blood count. Platelet disorders are suspected in patients with petechiae and mucosal bleeding. A platelet count measures the average platelet level in a person’s blood. High or low platelet levels can increase the risk of clotting or excessive bleeding.. Giant Platelets In Blood Work.
From www.pinterest.com
GIANT PLATELETS may cause bleeding or bruising more easily because they Giant Platelets In Blood Work My platelet count has always been on the low side — 110,000. Large platelets can be seen when platelet turnover is increased (as in immune. A high platelet level may be detected in a routine blood test known as a complete blood count. A platelet count measures the average platelet level in a person’s blood. But a recent lab report. Giant Platelets In Blood Work.