Heart Shadow X Ray . Diligence is required to maximise the chance of detection of lesions. The heart shadow is a critical review area on the chest radiograph. Cardiac silhouette refers to the outline of the heart as seen on frontal and lateral chest radiographs and forms part of the. Potential causes of enlargement of the cardiac silhouette include: Enlargement of the cardiac silhouette, cause not yet diagnosed. The heart is enlarged, the apex is rounded, the right atrium prominent (1) and the pulmonary arteries are dilated.
from 24radiology.ru
Potential causes of enlargement of the cardiac silhouette include: Enlargement of the cardiac silhouette, cause not yet diagnosed. Diligence is required to maximise the chance of detection of lesions. The heart shadow is a critical review area on the chest radiograph. Cardiac silhouette refers to the outline of the heart as seen on frontal and lateral chest radiographs and forms part of the. The heart is enlarged, the apex is rounded, the right atrium prominent (1) and the pulmonary arteries are dilated.
Симптом идущего человека — 24Radiology.ru
Heart Shadow X Ray Potential causes of enlargement of the cardiac silhouette include: The heart shadow is a critical review area on the chest radiograph. Diligence is required to maximise the chance of detection of lesions. Cardiac silhouette refers to the outline of the heart as seen on frontal and lateral chest radiographs and forms part of the. The heart is enlarged, the apex is rounded, the right atrium prominent (1) and the pulmonary arteries are dilated. Enlargement of the cardiac silhouette, cause not yet diagnosed. Potential causes of enlargement of the cardiac silhouette include:
From jamar-has-mcdowell.blogspot.com
What Do Shadows on a Chest X Ray Mean JamarhasMcdowell Heart Shadow X Ray The heart shadow is a critical review area on the chest radiograph. Potential causes of enlargement of the cardiac silhouette include: Enlargement of the cardiac silhouette, cause not yet diagnosed. Cardiac silhouette refers to the outline of the heart as seen on frontal and lateral chest radiographs and forms part of the. Diligence is required to maximise the chance of. Heart Shadow X Ray.
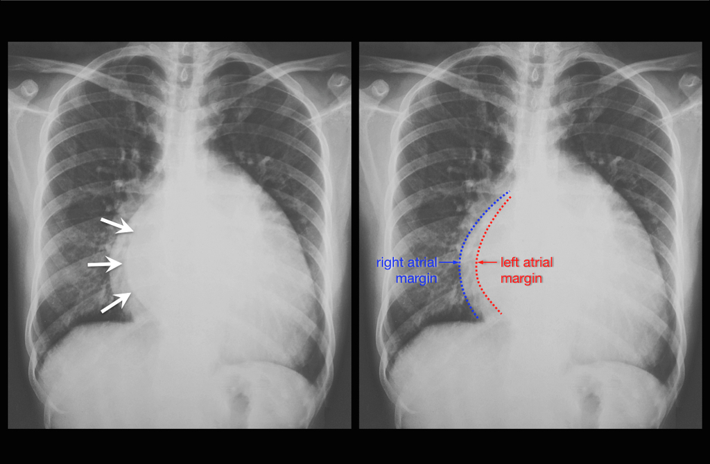
From geekymedics.com
Chest Xray Interpretation A Structured Approach Radiology OSCE Heart Shadow X Ray Enlargement of the cardiac silhouette, cause not yet diagnosed. The heart is enlarged, the apex is rounded, the right atrium prominent (1) and the pulmonary arteries are dilated. Cardiac silhouette refers to the outline of the heart as seen on frontal and lateral chest radiographs and forms part of the. Diligence is required to maximise the chance of detection of. Heart Shadow X Ray.
From 24radiology.ru
Симптом идущего человека — 24Radiology.ru Heart Shadow X Ray Cardiac silhouette refers to the outline of the heart as seen on frontal and lateral chest radiographs and forms part of the. Diligence is required to maximise the chance of detection of lesions. Enlargement of the cardiac silhouette, cause not yet diagnosed. The heart shadow is a critical review area on the chest radiograph. The heart is enlarged, the apex. Heart Shadow X Ray.
From mungfali.com
Heart Borders Chest X Ray Heart Shadow X Ray Diligence is required to maximise the chance of detection of lesions. The heart is enlarged, the apex is rounded, the right atrium prominent (1) and the pulmonary arteries are dilated. Cardiac silhouette refers to the outline of the heart as seen on frontal and lateral chest radiographs and forms part of the. The heart shadow is a critical review area. Heart Shadow X Ray.
From mungfali.com
Human Heart X Ray Heart Shadow X Ray The heart is enlarged, the apex is rounded, the right atrium prominent (1) and the pulmonary arteries are dilated. The heart shadow is a critical review area on the chest radiograph. Diligence is required to maximise the chance of detection of lesions. Cardiac silhouette refers to the outline of the heart as seen on frontal and lateral chest radiographs and. Heart Shadow X Ray.
From exyptfkwy.blob.core.windows.net
Do A Chest XRay at Andres Mark blog Heart Shadow X Ray Cardiac silhouette refers to the outline of the heart as seen on frontal and lateral chest radiographs and forms part of the. The heart shadow is a critical review area on the chest radiograph. The heart is enlarged, the apex is rounded, the right atrium prominent (1) and the pulmonary arteries are dilated. Potential causes of enlargement of the cardiac. Heart Shadow X Ray.
From www.researchgate.net
Chest Xray showed a right hilar shadow with speck of cal cifications Heart Shadow X Ray Enlargement of the cardiac silhouette, cause not yet diagnosed. The heart is enlarged, the apex is rounded, the right atrium prominent (1) and the pulmonary arteries are dilated. Diligence is required to maximise the chance of detection of lesions. Cardiac silhouette refers to the outline of the heart as seen on frontal and lateral chest radiographs and forms part of. Heart Shadow X Ray.
From gioxjjyam.blob.core.windows.net
What Does A Shadow On The Chest Mean at Gene Bowman blog Heart Shadow X Ray Cardiac silhouette refers to the outline of the heart as seen on frontal and lateral chest radiographs and forms part of the. The heart shadow is a critical review area on the chest radiograph. Diligence is required to maximise the chance of detection of lesions. Potential causes of enlargement of the cardiac silhouette include: Enlargement of the cardiac silhouette, cause. Heart Shadow X Ray.
From exyxoctlm.blob.core.windows.net
What Does A Shadow Mean On A Chest X Ray at Debbie Russell blog Heart Shadow X Ray The heart shadow is a critical review area on the chest radiograph. Enlargement of the cardiac silhouette, cause not yet diagnosed. Potential causes of enlargement of the cardiac silhouette include: The heart is enlarged, the apex is rounded, the right atrium prominent (1) and the pulmonary arteries are dilated. Diligence is required to maximise the chance of detection of lesions.. Heart Shadow X Ray.
From www.researchgate.net
Chest Xray showing right para cardiac shadow. Download Scientific Heart Shadow X Ray Enlargement of the cardiac silhouette, cause not yet diagnosed. Diligence is required to maximise the chance of detection of lesions. The heart shadow is a critical review area on the chest radiograph. Cardiac silhouette refers to the outline of the heart as seen on frontal and lateral chest radiographs and forms part of the. Potential causes of enlargement of the. Heart Shadow X Ray.
From openpress.usask.ca
Normal, Labelled, Chest xray, with Cardiovascular Structures Heart Shadow X Ray The heart shadow is a critical review area on the chest radiograph. The heart is enlarged, the apex is rounded, the right atrium prominent (1) and the pulmonary arteries are dilated. Cardiac silhouette refers to the outline of the heart as seen on frontal and lateral chest radiographs and forms part of the. Diligence is required to maximise the chance. Heart Shadow X Ray.
From exyxoctlm.blob.core.windows.net
What Does A Shadow Mean On A Chest X Ray at Debbie Russell blog Heart Shadow X Ray Enlargement of the cardiac silhouette, cause not yet diagnosed. The heart is enlarged, the apex is rounded, the right atrium prominent (1) and the pulmonary arteries are dilated. Potential causes of enlargement of the cardiac silhouette include: The heart shadow is a critical review area on the chest radiograph. Cardiac silhouette refers to the outline of the heart as seen. Heart Shadow X Ray.
From ar.inspiredpencil.com
Left Atrial Enlargement X Ray Heart Shadow X Ray Cardiac silhouette refers to the outline of the heart as seen on frontal and lateral chest radiographs and forms part of the. Diligence is required to maximise the chance of detection of lesions. The heart shadow is a critical review area on the chest radiograph. Potential causes of enlargement of the cardiac silhouette include: The heart is enlarged, the apex. Heart Shadow X Ray.
From www.researchgate.net
Chest X ray Right paracardiac shadow. Download Scientific Diagram Heart Shadow X Ray The heart shadow is a critical review area on the chest radiograph. Enlargement of the cardiac silhouette, cause not yet diagnosed. Diligence is required to maximise the chance of detection of lesions. Potential causes of enlargement of the cardiac silhouette include: Cardiac silhouette refers to the outline of the heart as seen on frontal and lateral chest radiographs and forms. Heart Shadow X Ray.
From www.kenhub.com
Normal Chest xray Anatomy Tutorial Kenhub Heart Shadow X Ray The heart shadow is a critical review area on the chest radiograph. Cardiac silhouette refers to the outline of the heart as seen on frontal and lateral chest radiographs and forms part of the. Diligence is required to maximise the chance of detection of lesions. Enlargement of the cardiac silhouette, cause not yet diagnosed. Potential causes of enlargement of the. Heart Shadow X Ray.
From mavink.com
Abnormal Chest X Ray Results Heart Shadow X Ray Enlargement of the cardiac silhouette, cause not yet diagnosed. Diligence is required to maximise the chance of detection of lesions. The heart is enlarged, the apex is rounded, the right atrium prominent (1) and the pulmonary arteries are dilated. The heart shadow is a critical review area on the chest radiograph. Cardiac silhouette refers to the outline of the heart. Heart Shadow X Ray.
From johnsonfrancis.org
Biatrial enlargement on CXR All About Cardiovascular System and Disorders Heart Shadow X Ray Potential causes of enlargement of the cardiac silhouette include: The heart is enlarged, the apex is rounded, the right atrium prominent (1) and the pulmonary arteries are dilated. Cardiac silhouette refers to the outline of the heart as seen on frontal and lateral chest radiographs and forms part of the. Diligence is required to maximise the chance of detection of. Heart Shadow X Ray.
From www.pinterest.com
A detailed understanding of the structures that make up the normal Heart Shadow X Ray The heart shadow is a critical review area on the chest radiograph. Cardiac silhouette refers to the outline of the heart as seen on frontal and lateral chest radiographs and forms part of the. Enlargement of the cardiac silhouette, cause not yet diagnosed. The heart is enlarged, the apex is rounded, the right atrium prominent (1) and the pulmonary arteries. Heart Shadow X Ray.
From www.semanticscholar.org
Chest Xray cardiac anatomy and pathology correlation with Heart Shadow X Ray Potential causes of enlargement of the cardiac silhouette include: Cardiac silhouette refers to the outline of the heart as seen on frontal and lateral chest radiographs and forms part of the. Diligence is required to maximise the chance of detection of lesions. The heart shadow is a critical review area on the chest radiograph. Enlargement of the cardiac silhouette, cause. Heart Shadow X Ray.
From mavink.com
Chest X Ray Cardiac Silhouette Heart Shadow X Ray Potential causes of enlargement of the cardiac silhouette include: The heart is enlarged, the apex is rounded, the right atrium prominent (1) and the pulmonary arteries are dilated. Cardiac silhouette refers to the outline of the heart as seen on frontal and lateral chest radiographs and forms part of the. Enlargement of the cardiac silhouette, cause not yet diagnosed. The. Heart Shadow X Ray.
From www.chestmedicine.org
Chest Medicine Made EasyDr Deepu Classical X Ray Signs in congenital Heart Shadow X Ray Potential causes of enlargement of the cardiac silhouette include: Cardiac silhouette refers to the outline of the heart as seen on frontal and lateral chest radiographs and forms part of the. The heart shadow is a critical review area on the chest radiograph. Enlargement of the cardiac silhouette, cause not yet diagnosed. The heart is enlarged, the apex is rounded,. Heart Shadow X Ray.
From www.deviantart.com
Cardiac silhouette on PA chest radiography by NadiaBys on DeviantArt Heart Shadow X Ray Diligence is required to maximise the chance of detection of lesions. Cardiac silhouette refers to the outline of the heart as seen on frontal and lateral chest radiographs and forms part of the. Enlargement of the cardiac silhouette, cause not yet diagnosed. Potential causes of enlargement of the cardiac silhouette include: The heart is enlarged, the apex is rounded, the. Heart Shadow X Ray.
From radiopaedia.org
Image Heart Shadow X Ray Enlargement of the cardiac silhouette, cause not yet diagnosed. The heart is enlarged, the apex is rounded, the right atrium prominent (1) and the pulmonary arteries are dilated. Diligence is required to maximise the chance of detection of lesions. Potential causes of enlargement of the cardiac silhouette include: Cardiac silhouette refers to the outline of the heart as seen on. Heart Shadow X Ray.
From www.researchgate.net
:Chest Xray showed an abnormal shadow in the left lung field (arrow Heart Shadow X Ray Diligence is required to maximise the chance of detection of lesions. Potential causes of enlargement of the cardiac silhouette include: Cardiac silhouette refers to the outline of the heart as seen on frontal and lateral chest radiographs and forms part of the. The heart shadow is a critical review area on the chest radiograph. Enlargement of the cardiac silhouette, cause. Heart Shadow X Ray.
From mavink.com
Carina Chest X Ray Heart Shadow X Ray Enlargement of the cardiac silhouette, cause not yet diagnosed. The heart shadow is a critical review area on the chest radiograph. The heart is enlarged, the apex is rounded, the right atrium prominent (1) and the pulmonary arteries are dilated. Cardiac silhouette refers to the outline of the heart as seen on frontal and lateral chest radiographs and forms part. Heart Shadow X Ray.
From www.pinterest.com
Radiology Quiz 46331 Radiology, Radiology imaging Heart Shadow X Ray Cardiac silhouette refers to the outline of the heart as seen on frontal and lateral chest radiographs and forms part of the. The heart shadow is a critical review area on the chest radiograph. The heart is enlarged, the apex is rounded, the right atrium prominent (1) and the pulmonary arteries are dilated. Potential causes of enlargement of the cardiac. Heart Shadow X Ray.
From www.radiology.con.mk
Cardiac Enlargement Heart Shadow X Ray Cardiac silhouette refers to the outline of the heart as seen on frontal and lateral chest radiographs and forms part of the. Diligence is required to maximise the chance of detection of lesions. The heart shadow is a critical review area on the chest radiograph. The heart is enlarged, the apex is rounded, the right atrium prominent (1) and the. Heart Shadow X Ray.
From johnsonfrancis.org
Double atrial shadow and prominent upper lobe vessels All About Heart Shadow X Ray Cardiac silhouette refers to the outline of the heart as seen on frontal and lateral chest radiographs and forms part of the. The heart shadow is a critical review area on the chest radiograph. The heart is enlarged, the apex is rounded, the right atrium prominent (1) and the pulmonary arteries are dilated. Enlargement of the cardiac silhouette, cause not. Heart Shadow X Ray.
From www.researchgate.net
Xray showing a heart shadow on the right. Download Scientific Diagram Heart Shadow X Ray Diligence is required to maximise the chance of detection of lesions. The heart is enlarged, the apex is rounded, the right atrium prominent (1) and the pulmonary arteries are dilated. Cardiac silhouette refers to the outline of the heart as seen on frontal and lateral chest radiographs and forms part of the. Potential causes of enlargement of the cardiac silhouette. Heart Shadow X Ray.
From openpress.usask.ca
Enlarged Cardiac Silhouette Undergraduate Diagnostic Imaging Fundamentals Heart Shadow X Ray Enlargement of the cardiac silhouette, cause not yet diagnosed. The heart shadow is a critical review area on the chest radiograph. Potential causes of enlargement of the cardiac silhouette include: Cardiac silhouette refers to the outline of the heart as seen on frontal and lateral chest radiographs and forms part of the. The heart is enlarged, the apex is rounded,. Heart Shadow X Ray.
From mavink.com
Chest X Ray Heart Heart Shadow X Ray Diligence is required to maximise the chance of detection of lesions. Cardiac silhouette refers to the outline of the heart as seen on frontal and lateral chest radiographs and forms part of the. The heart is enlarged, the apex is rounded, the right atrium prominent (1) and the pulmonary arteries are dilated. The heart shadow is a critical review area. Heart Shadow X Ray.
From anatomytool.org
Radiopaedia Drawing/Xray Position of heart and great vessels in Heart Shadow X Ray The heart shadow is a critical review area on the chest radiograph. Enlargement of the cardiac silhouette, cause not yet diagnosed. The heart is enlarged, the apex is rounded, the right atrium prominent (1) and the pulmonary arteries are dilated. Diligence is required to maximise the chance of detection of lesions. Cardiac silhouette refers to the outline of the heart. Heart Shadow X Ray.
From www.medicalnewstoday.com
Heart Xray Risks, results, preparation, and more Heart Shadow X Ray Cardiac silhouette refers to the outline of the heart as seen on frontal and lateral chest radiographs and forms part of the. Enlargement of the cardiac silhouette, cause not yet diagnosed. The heart is enlarged, the apex is rounded, the right atrium prominent (1) and the pulmonary arteries are dilated. Diligence is required to maximise the chance of detection of. Heart Shadow X Ray.
From www.researchgate.net
Chest Xray on admission, revealing enlarged hilar shadows with no Heart Shadow X Ray Potential causes of enlargement of the cardiac silhouette include: Cardiac silhouette refers to the outline of the heart as seen on frontal and lateral chest radiographs and forms part of the. Diligence is required to maximise the chance of detection of lesions. The heart shadow is a critical review area on the chest radiograph. The heart is enlarged, the apex. Heart Shadow X Ray.
From www.pinterest.jp
Mitral heart Radiology Case Radiology, Radiology Heart Shadow X Ray The heart is enlarged, the apex is rounded, the right atrium prominent (1) and the pulmonary arteries are dilated. The heart shadow is a critical review area on the chest radiograph. Diligence is required to maximise the chance of detection of lesions. Potential causes of enlargement of the cardiac silhouette include: Cardiac silhouette refers to the outline of the heart. Heart Shadow X Ray.