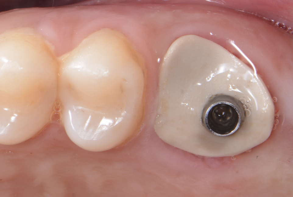
Dental Implant Abutment Placement . When your jaw and your implant are bonded together, your doctor will place an abutment, or small connector, on your implant. Learn about this essential step for a successful smile restoration. Dental implant surgery usually is an outpatient surgery done in stages, with healing time between procedures. Placement of standard dental implants is an outpatient surgery. 10k+ visitors in the past month The abutment placement phase occurs after the initial surgical placement of the implant fixture into the jawbone, a process known as osseointegration. A dental implant procedure involves the surgical placement of artificial tooth roots (similar in shape to screws) into the jawbone to replace missing teeth. Discover the crucial abutment placement stage in dental implant procedures. This phase is essential for the following reasons: If you have a second surgery to place abutments, a small incision is first made in the gum tissue. The process of placing a dental implant involves several steps: The implant body and dental abutment of standard dental implants usually have a diameter between 3 and 6 millimeters. These artificial roots provide support for dental.
from www.smilepointdentalcare.com
When your jaw and your implant are bonded together, your doctor will place an abutment, or small connector, on your implant. Placement of standard dental implants is an outpatient surgery. If you have a second surgery to place abutments, a small incision is first made in the gum tissue. A dental implant procedure involves the surgical placement of artificial tooth roots (similar in shape to screws) into the jawbone to replace missing teeth. Learn about this essential step for a successful smile restoration. This phase is essential for the following reasons: The implant body and dental abutment of standard dental implants usually have a diameter between 3 and 6 millimeters. 10k+ visitors in the past month The process of placing a dental implant involves several steps: These artificial roots provide support for dental.
How is the implant attached to the abutment?
Dental Implant Abutment Placement This phase is essential for the following reasons: Discover the crucial abutment placement stage in dental implant procedures. When your jaw and your implant are bonded together, your doctor will place an abutment, or small connector, on your implant. If you have a second surgery to place abutments, a small incision is first made in the gum tissue. 10k+ visitors in the past month The abutment placement phase occurs after the initial surgical placement of the implant fixture into the jawbone, a process known as osseointegration. A dental implant procedure involves the surgical placement of artificial tooth roots (similar in shape to screws) into the jawbone to replace missing teeth. Learn about this essential step for a successful smile restoration. Placement of standard dental implants is an outpatient surgery. The implant body and dental abutment of standard dental implants usually have a diameter between 3 and 6 millimeters. Dental implant surgery usually is an outpatient surgery done in stages, with healing time between procedures. The process of placing a dental implant involves several steps: This phase is essential for the following reasons: These artificial roots provide support for dental.
From www.artofsmilespasadena.com
Dental implant surgery Art of Smiles Dental Implant Abutment Placement When your jaw and your implant are bonded together, your doctor will place an abutment, or small connector, on your implant. The process of placing a dental implant involves several steps: The implant body and dental abutment of standard dental implants usually have a diameter between 3 and 6 millimeters. The abutment placement phase occurs after the initial surgical placement. Dental Implant Abutment Placement.
From ar.inspiredpencil.com
Dental Implant Abutment Procedure Dental Implant Abutment Placement This phase is essential for the following reasons: Placement of standard dental implants is an outpatient surgery. Dental implant surgery usually is an outpatient surgery done in stages, with healing time between procedures. If you have a second surgery to place abutments, a small incision is first made in the gum tissue. A dental implant procedure involves the surgical placement. Dental Implant Abutment Placement.
From www.twinkledental.com.sg
What Are Dental Implants and Am I Suitable for Them? MedisaveClaimable Twinkle Family Dental Implant Abutment Placement Dental implant surgery usually is an outpatient surgery done in stages, with healing time between procedures. The abutment placement phase occurs after the initial surgical placement of the implant fixture into the jawbone, a process known as osseointegration. Placement of standard dental implants is an outpatient surgery. Learn about this essential step for a successful smile restoration. 10k+ visitors in. Dental Implant Abutment Placement.
From in.pinterest.com
Dental Implant Procedure ☛ Implant is inserted into the bone ☛ Dental abutment is placed on the Dental Implant Abutment Placement The abutment placement phase occurs after the initial surgical placement of the implant fixture into the jawbone, a process known as osseointegration. The process of placing a dental implant involves several steps: Placement of standard dental implants is an outpatient surgery. 10k+ visitors in the past month When your jaw and your implant are bonded together, your doctor will place. Dental Implant Abutment Placement.
From barriedentist.ca
Implant Supported Dentures Locator Dentures Dental Implant Abutment Placement Placement of standard dental implants is an outpatient surgery. Discover the crucial abutment placement stage in dental implant procedures. A dental implant procedure involves the surgical placement of artificial tooth roots (similar in shape to screws) into the jawbone to replace missing teeth. When your jaw and your implant are bonded together, your doctor will place an abutment, or small. Dental Implant Abutment Placement.
From www.medicalnewstoday.com
What are dental implants? Types, procedures, and more Dental Implant Abutment Placement If you have a second surgery to place abutments, a small incision is first made in the gum tissue. A dental implant procedure involves the surgical placement of artificial tooth roots (similar in shape to screws) into the jawbone to replace missing teeth. Learn about this essential step for a successful smile restoration. Placement of standard dental implants is an. Dental Implant Abutment Placement.
From www.mayoclinic.org
Cirugía de implante dental Mayo Clinic Dental Implant Abutment Placement These artificial roots provide support for dental. This phase is essential for the following reasons: Learn about this essential step for a successful smile restoration. Placement of standard dental implants is an outpatient surgery. A dental implant procedure involves the surgical placement of artificial tooth roots (similar in shape to screws) into the jawbone to replace missing teeth. The process. Dental Implant Abutment Placement.
From www.neweyoralsurgery.com
Dental Implants Clearfield, UT Implant Dentistry The Oral & Facial Surgery Center Dental Implant Abutment Placement Dental implant surgery usually is an outpatient surgery done in stages, with healing time between procedures. Placement of standard dental implants is an outpatient surgery. These artificial roots provide support for dental. The process of placing a dental implant involves several steps: Learn about this essential step for a successful smile restoration. A dental implant procedure involves the surgical placement. Dental Implant Abutment Placement.
From dxoufypfo.blob.core.windows.net
What Is An Implant Crown Abutment at Paul Jimerson blog Dental Implant Abutment Placement The abutment placement phase occurs after the initial surgical placement of the implant fixture into the jawbone, a process known as osseointegration. The process of placing a dental implant involves several steps: Placement of standard dental implants is an outpatient surgery. When your jaw and your implant are bonded together, your doctor will place an abutment, or small connector, on. Dental Implant Abutment Placement.
From www.vecteezy.com
Dental implant structure and full placement steps in realistic style. Abutment, screw. Gingiva Dental Implant Abutment Placement Dental implant surgery usually is an outpatient surgery done in stages, with healing time between procedures. Discover the crucial abutment placement stage in dental implant procedures. The process of placing a dental implant involves several steps: 10k+ visitors in the past month Learn about this essential step for a successful smile restoration. This phase is essential for the following reasons:. Dental Implant Abutment Placement.
From sandiegoinvisaligndentist.org
What is a dental implant abutment Dental News Network Dental Implant Abutment Placement 10k+ visitors in the past month The implant body and dental abutment of standard dental implants usually have a diameter between 3 and 6 millimeters. This phase is essential for the following reasons: Learn about this essential step for a successful smile restoration. A dental implant procedure involves the surgical placement of artificial tooth roots (similar in shape to screws). Dental Implant Abutment Placement.
From idental.study
Sealing Socket Abutment a novel digitalized strategy for immediate implant placement in molar Dental Implant Abutment Placement These artificial roots provide support for dental. Discover the crucial abutment placement stage in dental implant procedures. When your jaw and your implant are bonded together, your doctor will place an abutment, or small connector, on your implant. If you have a second surgery to place abutments, a small incision is first made in the gum tissue. The implant body. Dental Implant Abutment Placement.
From www.diamondcourtdental.co.uk
Dental Implants Diamond Court Dental Practice Dental Implant Abutment Placement 10k+ visitors in the past month Discover the crucial abutment placement stage in dental implant procedures. A dental implant procedure involves the surgical placement of artificial tooth roots (similar in shape to screws) into the jawbone to replace missing teeth. Dental implant surgery usually is an outpatient surgery done in stages, with healing time between procedures. These artificial roots provide. Dental Implant Abutment Placement.
From thesurreydentist.co.uk
Abutment and restoration placement for dental implants EID Dental Implant Abutment Placement If you have a second surgery to place abutments, a small incision is first made in the gum tissue. Discover the crucial abutment placement stage in dental implant procedures. When your jaw and your implant are bonded together, your doctor will place an abutment, or small connector, on your implant. Dental implant surgery usually is an outpatient surgery done in. Dental Implant Abutment Placement.
From myimplantdentist.com.au
Dental Implant Abutment Procedure, Benefits & Aftercare Dental Implant Abutment Placement Dental implant surgery usually is an outpatient surgery done in stages, with healing time between procedures. When your jaw and your implant are bonded together, your doctor will place an abutment, or small connector, on your implant. 10k+ visitors in the past month These artificial roots provide support for dental. The process of placing a dental implant involves several steps:. Dental Implant Abutment Placement.
From joijsyuaj.blob.core.windows.net
Dental Abutment Images at Bruno Sledge blog Dental Implant Abutment Placement Placement of standard dental implants is an outpatient surgery. These artificial roots provide support for dental. The abutment placement phase occurs after the initial surgical placement of the implant fixture into the jawbone, a process known as osseointegration. A dental implant procedure involves the surgical placement of artificial tooth roots (similar in shape to screws) into the jawbone to replace. Dental Implant Abutment Placement.
From www.robertsondentallab.com
Implant abutment placement jig1 Robertson Dental Lab Dental Implant Abutment Placement A dental implant procedure involves the surgical placement of artificial tooth roots (similar in shape to screws) into the jawbone to replace missing teeth. This phase is essential for the following reasons: 10k+ visitors in the past month Dental implant surgery usually is an outpatient surgery done in stages, with healing time between procedures. Placement of standard dental implants is. Dental Implant Abutment Placement.
From ar.inspiredpencil.com
Dental Implant Abutment Procedure Dental Implant Abutment Placement Placement of standard dental implants is an outpatient surgery. The abutment placement phase occurs after the initial surgical placement of the implant fixture into the jawbone, a process known as osseointegration. A dental implant procedure involves the surgical placement of artificial tooth roots (similar in shape to screws) into the jawbone to replace missing teeth. When your jaw and your. Dental Implant Abutment Placement.
From ariadentaled.com.au
The Basics of Implant Abutments Australasian Restorative and Implant Academy Dental Implant Abutment Placement The process of placing a dental implant involves several steps: 10k+ visitors in the past month When your jaw and your implant are bonded together, your doctor will place an abutment, or small connector, on your implant. This phase is essential for the following reasons: These artificial roots provide support for dental. Placement of standard dental implants is an outpatient. Dental Implant Abutment Placement.
From blog.brightonimplantclinic.co.uk
A Guide to Healing Abutments Brighton Implant Clinic Dental Implants Dental Implant Abutment Placement Dental implant surgery usually is an outpatient surgery done in stages, with healing time between procedures. The implant body and dental abutment of standard dental implants usually have a diameter between 3 and 6 millimeters. Placement of standard dental implants is an outpatient surgery. When your jaw and your implant are bonded together, your doctor will place an abutment, or. Dental Implant Abutment Placement.
From allentxdentist.com
Missing Teeth Treatment in Plano TX Dental Implants in Allen TX Dental Implant Abutment Placement A dental implant procedure involves the surgical placement of artificial tooth roots (similar in shape to screws) into the jawbone to replace missing teeth. Discover the crucial abutment placement stage in dental implant procedures. Placement of standard dental implants is an outpatient surgery. The implant body and dental abutment of standard dental implants usually have a diameter between 3 and. Dental Implant Abutment Placement.
From dentaldesignstudio.net
Implant Dentistry Dental Design Studio Dental Implant Abutment Placement Placement of standard dental implants is an outpatient surgery. These artificial roots provide support for dental. A dental implant procedure involves the surgical placement of artificial tooth roots (similar in shape to screws) into the jawbone to replace missing teeth. If you have a second surgery to place abutments, a small incision is first made in the gum tissue. The. Dental Implant Abutment Placement.
From www.youtube.com
Understand Types of Implant Abutments and Their Uses YouTube Dental Implant Abutment Placement When your jaw and your implant are bonded together, your doctor will place an abutment, or small connector, on your implant. Placement of standard dental implants is an outpatient surgery. The process of placing a dental implant involves several steps: The implant body and dental abutment of standard dental implants usually have a diameter between 3 and 6 millimeters. The. Dental Implant Abutment Placement.
From www.smiledentalgroup.com
Dental Implants Process Palmdale Dental Implant Steps Dental Implant Abutment Placement The implant body and dental abutment of standard dental implants usually have a diameter between 3 and 6 millimeters. This phase is essential for the following reasons: The abutment placement phase occurs after the initial surgical placement of the implant fixture into the jawbone, a process known as osseointegration. When your jaw and your implant are bonded together, your doctor. Dental Implant Abutment Placement.
From villagedentalmedicine.com
Dental Implant Healing Abutment Purpose and Features of the Procedure VDM Dental Blog NY, 10014 Dental Implant Abutment Placement Dental implant surgery usually is an outpatient surgery done in stages, with healing time between procedures. A dental implant procedure involves the surgical placement of artificial tooth roots (similar in shape to screws) into the jawbone to replace missing teeth. Learn about this essential step for a successful smile restoration. Placement of standard dental implants is an outpatient surgery. Discover. Dental Implant Abutment Placement.
From thesugarhousedentist.com
Tooth Implants The Role Of The Abutment Implant Dentistry The Sugar House Dentist Dental Implant Abutment Placement The process of placing a dental implant involves several steps: Discover the crucial abutment placement stage in dental implant procedures. The abutment placement phase occurs after the initial surgical placement of the implant fixture into the jawbone, a process known as osseointegration. When your jaw and your implant are bonded together, your doctor will place an abutment, or small connector,. Dental Implant Abutment Placement.
From www.youtube.com
SIC invent Dental Implant Guideline for patients Abutment Single Tooth YouTube Dental Implant Abutment Placement When your jaw and your implant are bonded together, your doctor will place an abutment, or small connector, on your implant. The process of placing a dental implant involves several steps: Placement of standard dental implants is an outpatient surgery. Learn about this essential step for a successful smile restoration. These artificial roots provide support for dental. This phase is. Dental Implant Abutment Placement.
From uniqa.dental
Comparison Of Implant/Abutment Connection Types Dental Implant Abutment Placement The abutment placement phase occurs after the initial surgical placement of the implant fixture into the jawbone, a process known as osseointegration. Dental implant surgery usually is an outpatient surgery done in stages, with healing time between procedures. A dental implant procedure involves the surgical placement of artificial tooth roots (similar in shape to screws) into the jawbone to replace. Dental Implant Abutment Placement.
From www.oklahomacityoralsurgery.com
Postoperative instructions following dental implant surgery at Oral Surgery Specialists of Oklahoma Dental Implant Abutment Placement These artificial roots provide support for dental. Placement of standard dental implants is an outpatient surgery. A dental implant procedure involves the surgical placement of artificial tooth roots (similar in shape to screws) into the jawbone to replace missing teeth. When your jaw and your implant are bonded together, your doctor will place an abutment, or small connector, on your. Dental Implant Abutment Placement.
From serenitydentalclinic.com
Stock abutment vs CAD/CAM customized abutment Dental Implant Abutment Placement Learn about this essential step for a successful smile restoration. This phase is essential for the following reasons: The process of placing a dental implant involves several steps: Discover the crucial abutment placement stage in dental implant procedures. When your jaw and your implant are bonded together, your doctor will place an abutment, or small connector, on your implant. If. Dental Implant Abutment Placement.
From pubs.rsc.org
Three interfaces of the dental implant system and their clinical effects on hard and soft Dental Implant Abutment Placement The implant body and dental abutment of standard dental implants usually have a diameter between 3 and 6 millimeters. Placement of standard dental implants is an outpatient surgery. Learn about this essential step for a successful smile restoration. Discover the crucial abutment placement stage in dental implant procedures. When your jaw and your implant are bonded together, your doctor will. Dental Implant Abutment Placement.
From tonbridgegentledental.com
Understanding Abutment Placement Phase of Dental Implants Dental Implant Abutment Placement The abutment placement phase occurs after the initial surgical placement of the implant fixture into the jawbone, a process known as osseointegration. The implant body and dental abutment of standard dental implants usually have a diameter between 3 and 6 millimeters. These artificial roots provide support for dental. Learn about this essential step for a successful smile restoration. 10k+ visitors. Dental Implant Abutment Placement.
From www.smilepointdentalcare.com
How is the implant attached to the abutment? Dental Implant Abutment Placement Placement of standard dental implants is an outpatient surgery. These artificial roots provide support for dental. Dental implant surgery usually is an outpatient surgery done in stages, with healing time between procedures. 10k+ visitors in the past month This phase is essential for the following reasons: Learn about this essential step for a successful smile restoration. The abutment placement phase. Dental Implant Abutment Placement.
From www.brisbaneprosthodontics.com.au
Services Single Tooth Implants Brisbane Prosthodontics Dental Implant Abutment Placement Discover the crucial abutment placement stage in dental implant procedures. If you have a second surgery to place abutments, a small incision is first made in the gum tissue. When your jaw and your implant are bonded together, your doctor will place an abutment, or small connector, on your implant. The abutment placement phase occurs after the initial surgical placement. Dental Implant Abutment Placement.
From www.manassassmilesva.com
Dental Implants Manassas VA Teeth Implants Tooth Implant Dental Implant Abutment Placement This phase is essential for the following reasons: 10k+ visitors in the past month Learn about this essential step for a successful smile restoration. When your jaw and your implant are bonded together, your doctor will place an abutment, or small connector, on your implant. If you have a second surgery to place abutments, a small incision is first made. Dental Implant Abutment Placement.