What Does A Bb Gun Shot Look Like . A bb gun typically resembles a real firearm, but it is smaller in size and shoots small. — bb guns shoot round projectiles, while pellet guns shoot cylindrical projectiles. — what does a bb gun look like? It was selected for w.f. generally speaking, a bb gun cannot shoot pellets unless the bb gun is a special type designed to shoot both projectiles like this dpms full auto sbr. Being shot by a bb gun can be painful and may cause a stinging. — what does it feel like to get shot with a bb gun?
from sjtrem.biomedcentral.com
Being shot by a bb gun can be painful and may cause a stinging. generally speaking, a bb gun cannot shoot pellets unless the bb gun is a special type designed to shoot both projectiles like this dpms full auto sbr. — bb guns shoot round projectiles, while pellet guns shoot cylindrical projectiles. — what does it feel like to get shot with a bb gun? — what does a bb gun look like? A bb gun typically resembles a real firearm, but it is smaller in size and shoots small. It was selected for w.f.
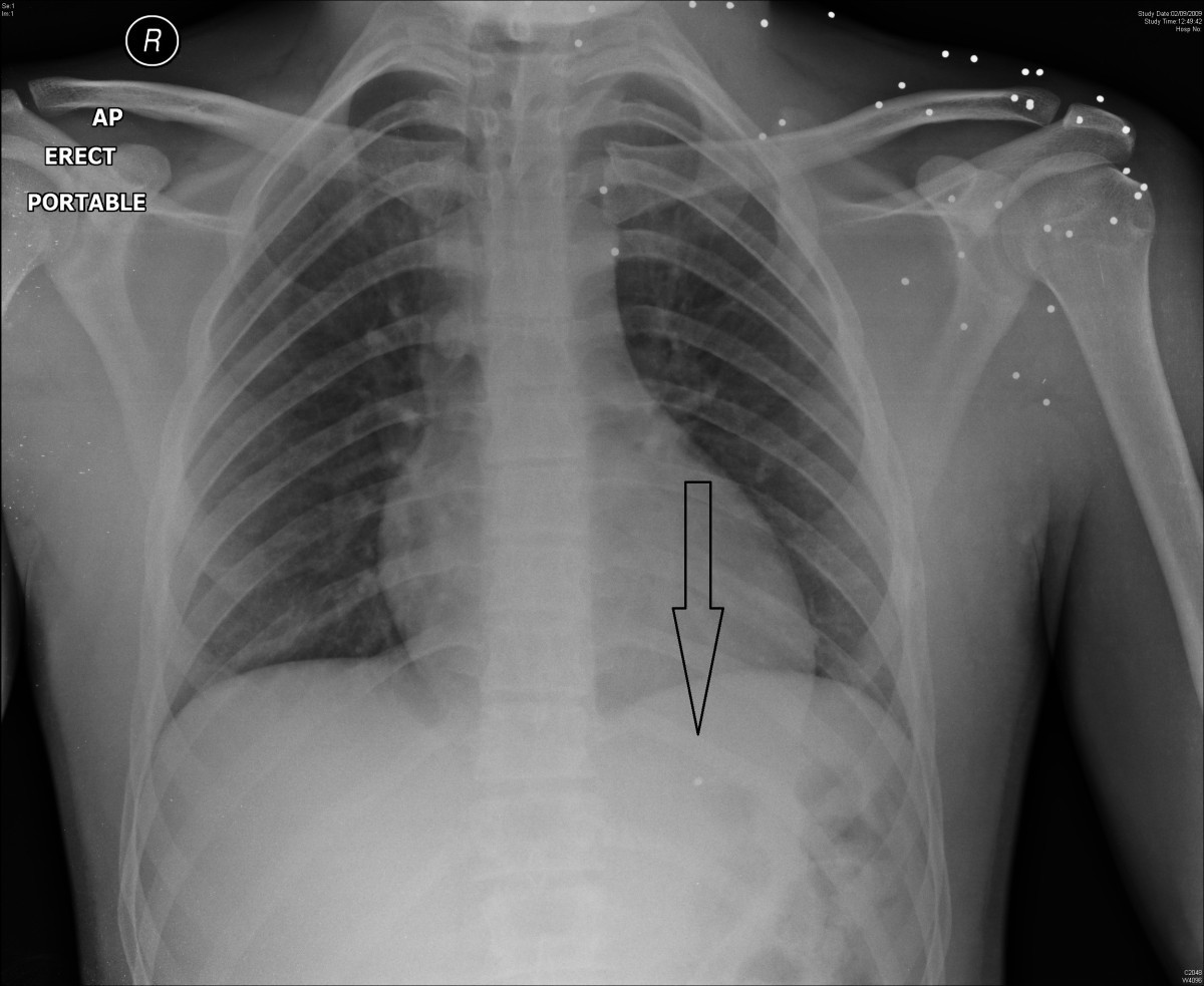
Gunshot bullet embolus with pellet migration from the left brachiocephalic vein to the right
What Does A Bb Gun Shot Look Like — what does a bb gun look like? — what does it feel like to get shot with a bb gun? generally speaking, a bb gun cannot shoot pellets unless the bb gun is a special type designed to shoot both projectiles like this dpms full auto sbr. Being shot by a bb gun can be painful and may cause a stinging. — what does a bb gun look like? — bb guns shoot round projectiles, while pellet guns shoot cylindrical projectiles. A bb gun typically resembles a real firearm, but it is smaller in size and shoots small. It was selected for w.f.
From fineartamerica.com
Boy Shooting A Bb Gun Photograph by Jim West Fine Art America What Does A Bb Gun Shot Look Like A bb gun typically resembles a real firearm, but it is smaller in size and shoots small. generally speaking, a bb gun cannot shoot pellets unless the bb gun is a special type designed to shoot both projectiles like this dpms full auto sbr. — what does it feel like to get shot with a bb gun? . What Does A Bb Gun Shot Look Like.
From www.youtube.com
M16 BB gun shot through the newspaper YouTube What Does A Bb Gun Shot Look Like — what does a bb gun look like? generally speaking, a bb gun cannot shoot pellets unless the bb gun is a special type designed to shoot both projectiles like this dpms full auto sbr. A bb gun typically resembles a real firearm, but it is smaller in size and shoots small. — what does it feel. What Does A Bb Gun Shot Look Like.
From www.big5sportinggoods.com
Umarex Glock 17 Gen 3 Realistic BlowBack BB Pistol Big 5 Sporting Goods What Does A Bb Gun Shot Look Like — what does a bb gun look like? generally speaking, a bb gun cannot shoot pellets unless the bb gun is a special type designed to shoot both projectiles like this dpms full auto sbr. Being shot by a bb gun can be painful and may cause a stinging. — bb guns shoot round projectiles, while pellet. What Does A Bb Gun Shot Look Like.
From www.youtube.com
BB Gun Shot My Back Windshield Out YouTube What Does A Bb Gun Shot Look Like generally speaking, a bb gun cannot shoot pellets unless the bb gun is a special type designed to shoot both projectiles like this dpms full auto sbr. — what does it feel like to get shot with a bb gun? It was selected for w.f. Being shot by a bb gun can be painful and may cause a. What Does A Bb Gun Shot Look Like.
From www.youtube.com
.22 Cal. Air Rifle Pellet SHOTGUN ROUND "The Swarm" YouTube What Does A Bb Gun Shot Look Like — what does a bb gun look like? generally speaking, a bb gun cannot shoot pellets unless the bb gun is a special type designed to shoot both projectiles like this dpms full auto sbr. A bb gun typically resembles a real firearm, but it is smaller in size and shoots small. — bb guns shoot round. What Does A Bb Gun Shot Look Like.
From www.defconairsoft.co.uk
TriShot M56DL Pump Action Shotgun BB Gun » DEFCON AIRSOFT What Does A Bb Gun Shot Look Like generally speaking, a bb gun cannot shoot pellets unless the bb gun is a special type designed to shoot both projectiles like this dpms full auto sbr. — what does it feel like to get shot with a bb gun? — what does a bb gun look like? Being shot by a bb gun can be painful. What Does A Bb Gun Shot Look Like.
From www.youtube.com
Pellet Gun vs BB Gun YouTube What Does A Bb Gun Shot Look Like It was selected for w.f. Being shot by a bb gun can be painful and may cause a stinging. A bb gun typically resembles a real firearm, but it is smaller in size and shoots small. — what does a bb gun look like? — what does it feel like to get shot with a bb gun? . What Does A Bb Gun Shot Look Like.
From www.pyramydair.com
P1 FullAuto BLowback CO2 BB Pistol from Crosman Includes Laser What Does A Bb Gun Shot Look Like It was selected for w.f. Being shot by a bb gun can be painful and may cause a stinging. generally speaking, a bb gun cannot shoot pellets unless the bb gun is a special type designed to shoot both projectiles like this dpms full auto sbr. — what does it feel like to get shot with a bb. What Does A Bb Gun Shot Look Like.
From www.youtube.com
8 yr old son shot by friend w/ bb gun his reaction funny! YouTube What Does A Bb Gun Shot Look Like — what does it feel like to get shot with a bb gun? A bb gun typically resembles a real firearm, but it is smaller in size and shoots small. generally speaking, a bb gun cannot shoot pellets unless the bb gun is a special type designed to shoot both projectiles like this dpms full auto sbr. . What Does A Bb Gun Shot Look Like.
From airgunpelletdb.com
Crosman Premier Super Match .177 (4.5mm) Airgun Pellet Database What Does A Bb Gun Shot Look Like — bb guns shoot round projectiles, while pellet guns shoot cylindrical projectiles. — what does a bb gun look like? A bb gun typically resembles a real firearm, but it is smaller in size and shoots small. — what does it feel like to get shot with a bb gun? Being shot by a bb gun can. What Does A Bb Gun Shot Look Like.
From dxondfamf.blob.core.windows.net
Bb Gun Pistol Crosman at Stanley Mosby blog What Does A Bb Gun Shot Look Like — what does a bb gun look like? — bb guns shoot round projectiles, while pellet guns shoot cylindrical projectiles. A bb gun typically resembles a real firearm, but it is smaller in size and shoots small. generally speaking, a bb gun cannot shoot pellets unless the bb gun is a special type designed to shoot both. What Does A Bb Gun Shot Look Like.
From www.wxyz.com
10yearold girl shot with a BB gun playing at the park What Does A Bb Gun Shot Look Like — bb guns shoot round projectiles, while pellet guns shoot cylindrical projectiles. — what does a bb gun look like? Being shot by a bb gun can be painful and may cause a stinging. generally speaking, a bb gun cannot shoot pellets unless the bb gun is a special type designed to shoot both projectiles like this. What Does A Bb Gun Shot Look Like.
From gunnewsdaily.com
10 Best Pellet Guns For Hunting in 2023 Guide) Gun News Daily What Does A Bb Gun Shot Look Like Being shot by a bb gun can be painful and may cause a stinging. generally speaking, a bb gun cannot shoot pellets unless the bb gun is a special type designed to shoot both projectiles like this dpms full auto sbr. — what does it feel like to get shot with a bb gun? A bb gun typically. What Does A Bb Gun Shot Look Like.
From bmxracingthailand.com
How Much Do Airsoft Guns Hurt? Update What Does A Bb Gun Shot Look Like It was selected for w.f. generally speaking, a bb gun cannot shoot pellets unless the bb gun is a special type designed to shoot both projectiles like this dpms full auto sbr. Being shot by a bb gun can be painful and may cause a stinging. — what does a bb gun look like? — what does. What Does A Bb Gun Shot Look Like.
From www.youtube.com
How a BB Gun Works YouTube What Does A Bb Gun Shot Look Like — what does it feel like to get shot with a bb gun? A bb gun typically resembles a real firearm, but it is smaller in size and shoots small. — bb guns shoot round projectiles, while pellet guns shoot cylindrical projectiles. Being shot by a bb gun can be painful and may cause a stinging. generally. What Does A Bb Gun Shot Look Like.
From www.washingtonpost.com
Teen with realistic BB gun shot by Baltimore police officer The Washington Post What Does A Bb Gun Shot Look Like — bb guns shoot round projectiles, while pellet guns shoot cylindrical projectiles. — what does a bb gun look like? Being shot by a bb gun can be painful and may cause a stinging. — what does it feel like to get shot with a bb gun? It was selected for w.f. generally speaking, a bb. What Does A Bb Gun Shot Look Like.
From airgunwire.com
The World's Most Accurate BB Gun Airgun Wire What Does A Bb Gun Shot Look Like — bb guns shoot round projectiles, while pellet guns shoot cylindrical projectiles. — what does it feel like to get shot with a bb gun? Being shot by a bb gun can be painful and may cause a stinging. — what does a bb gun look like? generally speaking, a bb gun cannot shoot pellets unless. What Does A Bb Gun Shot Look Like.
From sjtrem.biomedcentral.com
Gunshot bullet embolus with pellet migration from the left brachiocephalic vein to the right What Does A Bb Gun Shot Look Like Being shot by a bb gun can be painful and may cause a stinging. It was selected for w.f. — what does it feel like to get shot with a bb gun? A bb gun typically resembles a real firearm, but it is smaller in size and shoots small. — bb guns shoot round projectiles, while pellet guns. What Does A Bb Gun Shot Look Like.
From www.youtube.com
Shot by a bbgun the marks YouTube What Does A Bb Gun Shot Look Like — what does a bb gun look like? generally speaking, a bb gun cannot shoot pellets unless the bb gun is a special type designed to shoot both projectiles like this dpms full auto sbr. Being shot by a bb gun can be painful and may cause a stinging. — bb guns shoot round projectiles, while pellet. What Does A Bb Gun Shot Look Like.
From www.youtube.com
Rocks vs bullets A look at window damage YouTube What Does A Bb Gun Shot Look Like A bb gun typically resembles a real firearm, but it is smaller in size and shoots small. Being shot by a bb gun can be painful and may cause a stinging. generally speaking, a bb gun cannot shoot pellets unless the bb gun is a special type designed to shoot both projectiles like this dpms full auto sbr. It. What Does A Bb Gun Shot Look Like.
From www.youtube.com
Man with BB gun shot by Kingman Police Department officer YouTube What Does A Bb Gun Shot Look Like Being shot by a bb gun can be painful and may cause a stinging. generally speaking, a bb gun cannot shoot pellets unless the bb gun is a special type designed to shoot both projectiles like this dpms full auto sbr. — bb guns shoot round projectiles, while pellet guns shoot cylindrical projectiles. It was selected for w.f.. What Does A Bb Gun Shot Look Like.
From hardairmagazine.com
We Help You Find The Best Full Auto BB Gun Hard Air Magazine What Does A Bb Gun Shot Look Like generally speaking, a bb gun cannot shoot pellets unless the bb gun is a special type designed to shoot both projectiles like this dpms full auto sbr. — what does it feel like to get shot with a bb gun? A bb gun typically resembles a real firearm, but it is smaller in size and shoots small. . What Does A Bb Gun Shot Look Like.
From thecitizen.com
BB gun shots fired near Lake Peachtree The Citizen What Does A Bb Gun Shot Look Like — bb guns shoot round projectiles, while pellet guns shoot cylindrical projectiles. generally speaking, a bb gun cannot shoot pellets unless the bb gun is a special type designed to shoot both projectiles like this dpms full auto sbr. — what does it feel like to get shot with a bb gun? It was selected for w.f.. What Does A Bb Gun Shot Look Like.
From www.youtube.com
New airsoft gun BB bullets gun no.P729S YouTube What Does A Bb Gun Shot Look Like — what does a bb gun look like? — what does it feel like to get shot with a bb gun? A bb gun typically resembles a real firearm, but it is smaller in size and shoots small. It was selected for w.f. generally speaking, a bb gun cannot shoot pellets unless the bb gun is a. What Does A Bb Gun Shot Look Like.
From www.youtube.com
Getting Shot With A BB Gun (REALLY PAINFUL) YouTube What Does A Bb Gun Shot Look Like — what does a bb gun look like? A bb gun typically resembles a real firearm, but it is smaller in size and shoots small. It was selected for w.f. Being shot by a bb gun can be painful and may cause a stinging. — what does it feel like to get shot with a bb gun? . What Does A Bb Gun Shot Look Like.
From www.sportsmansguide.com
Walther® Colt® 1911 .177 caliber Pellet Gun 147555, Air & BB Pistols at Sportsman's Guide What Does A Bb Gun Shot Look Like It was selected for w.f. — what does a bb gun look like? A bb gun typically resembles a real firearm, but it is smaller in size and shoots small. — bb guns shoot round projectiles, while pellet guns shoot cylindrical projectiles. Being shot by a bb gun can be painful and may cause a stinging. —. What Does A Bb Gun Shot Look Like.
From www.huffingtonpost.com
The 97 Percent Solution to Gun Violence in America HuffPost What Does A Bb Gun Shot Look Like It was selected for w.f. generally speaking, a bb gun cannot shoot pellets unless the bb gun is a special type designed to shoot both projectiles like this dpms full auto sbr. Being shot by a bb gun can be painful and may cause a stinging. — what does a bb gun look like? A bb gun typically. What Does A Bb Gun Shot Look Like.
From www.wbir.com
Morristown boy who was shot above the eye with a BB gun released from the hospital, parents say What Does A Bb Gun Shot Look Like — what does it feel like to get shot with a bb gun? Being shot by a bb gun can be painful and may cause a stinging. It was selected for w.f. — what does a bb gun look like? A bb gun typically resembles a real firearm, but it is smaller in size and shoots small. . What Does A Bb Gun Shot Look Like.
From www.defconairsoft.co.uk
TriShot M56DL Pump Action Shotgun BB Gun » DEFCON AIRSOFT What Does A Bb Gun Shot Look Like A bb gun typically resembles a real firearm, but it is smaller in size and shoots small. — what does it feel like to get shot with a bb gun? — bb guns shoot round projectiles, while pellet guns shoot cylindrical projectiles. — what does a bb gun look like? It was selected for w.f. generally. What Does A Bb Gun Shot Look Like.
From www.youtube.com
Deadly BB gun shot How to take a man down... YouTube What Does A Bb Gun Shot Look Like — what does it feel like to get shot with a bb gun? generally speaking, a bb gun cannot shoot pellets unless the bb gun is a special type designed to shoot both projectiles like this dpms full auto sbr. — what does a bb gun look like? — bb guns shoot round projectiles, while pellet. What Does A Bb Gun Shot Look Like.
From www.owntheyard.com
Can You Shoot a Pellet Gun in Your Backyard Legally? What to Know 2024 What Does A Bb Gun Shot Look Like A bb gun typically resembles a real firearm, but it is smaller in size and shoots small. generally speaking, a bb gun cannot shoot pellets unless the bb gun is a special type designed to shoot both projectiles like this dpms full auto sbr. — what does a bb gun look like? — bb guns shoot round. What Does A Bb Gun Shot Look Like.
From gunnewsdaily.com
10 Best Pellet Guns For Hunting in 2019 Guide) What Does A Bb Gun Shot Look Like — bb guns shoot round projectiles, while pellet guns shoot cylindrical projectiles. Being shot by a bb gun can be painful and may cause a stinging. — what does it feel like to get shot with a bb gun? generally speaking, a bb gun cannot shoot pellets unless the bb gun is a special type designed to. What Does A Bb Gun Shot Look Like.
From www.youtube.com
The BB gun trick shot YouTube What Does A Bb Gun Shot Look Like generally speaking, a bb gun cannot shoot pellets unless the bb gun is a special type designed to shoot both projectiles like this dpms full auto sbr. — what does a bb gun look like? It was selected for w.f. Being shot by a bb gun can be painful and may cause a stinging. — what does. What Does A Bb Gun Shot Look Like.
From www.justbbguns.co.uk
0581A Pump BB Shotgun Just BB Guns What Does A Bb Gun Shot Look Like A bb gun typically resembles a real firearm, but it is smaller in size and shoots small. Being shot by a bb gun can be painful and may cause a stinging. — what does it feel like to get shot with a bb gun? — what does a bb gun look like? It was selected for w.f. . What Does A Bb Gun Shot Look Like.
From www.youtube.com
Child shot in neck with BB gun YouTube What Does A Bb Gun Shot Look Like generally speaking, a bb gun cannot shoot pellets unless the bb gun is a special type designed to shoot both projectiles like this dpms full auto sbr. — what does it feel like to get shot with a bb gun? — what does a bb gun look like? — bb guns shoot round projectiles, while pellet. What Does A Bb Gun Shot Look Like.