Endosteal And Periosteal Edema . this can be seen in osteoarthritis in bone under areas where cartilage is damaged; It’s typically the response to an injury or a condition like osteoarthritis. the continuum of findings ranges from periosteal edema (grade i), to both periosteal edema and marrow edema seen on. In rheumatoid arthritis edema may precede an erosion. bone marrow edema is a buildup of fluid in the bone marrow. thin mineralized periosteum may be difficult to perceive at mri, and radiographic or ct correlation, if available, may be helpful for.
from pubs.rsna.org
In rheumatoid arthritis edema may precede an erosion. the continuum of findings ranges from periosteal edema (grade i), to both periosteal edema and marrow edema seen on. bone marrow edema is a buildup of fluid in the bone marrow. It’s typically the response to an injury or a condition like osteoarthritis. this can be seen in osteoarthritis in bone under areas where cartilage is damaged; thin mineralized periosteum may be difficult to perceive at mri, and radiographic or ct correlation, if available, may be helpful for.
Periosteal Pathologic Conditions Imaging Findings and Pathophysiology
Endosteal And Periosteal Edema bone marrow edema is a buildup of fluid in the bone marrow. bone marrow edema is a buildup of fluid in the bone marrow. It’s typically the response to an injury or a condition like osteoarthritis. this can be seen in osteoarthritis in bone under areas where cartilage is damaged; the continuum of findings ranges from periosteal edema (grade i), to both periosteal edema and marrow edema seen on. In rheumatoid arthritis edema may precede an erosion. thin mineralized periosteum may be difficult to perceive at mri, and radiographic or ct correlation, if available, may be helpful for.
From www.researchgate.net
Blood supply of periosteum. (a) Intrinsic periosteal system located Endosteal And Periosteal Edema the continuum of findings ranges from periosteal edema (grade i), to both periosteal edema and marrow edema seen on. It’s typically the response to an injury or a condition like osteoarthritis. bone marrow edema is a buildup of fluid in the bone marrow. In rheumatoid arthritis edema may precede an erosion. this can be seen in osteoarthritis. Endosteal And Periosteal Edema.
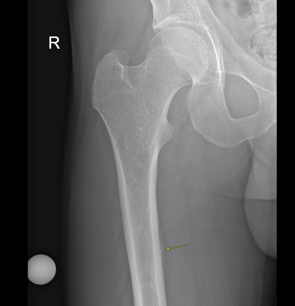
From quizturbinates.z21.web.core.windows.net
Endosteum Definition Anatomy Endosteal And Periosteal Edema bone marrow edema is a buildup of fluid in the bone marrow. the continuum of findings ranges from periosteal edema (grade i), to both periosteal edema and marrow edema seen on. It’s typically the response to an injury or a condition like osteoarthritis. thin mineralized periosteum may be difficult to perceive at mri, and radiographic or ct. Endosteal And Periosteal Edema.
From www.researchgate.net
Tibial stress fracture of the anterior cortex. (a) Conventional Endosteal And Periosteal Edema It’s typically the response to an injury or a condition like osteoarthritis. In rheumatoid arthritis edema may precede an erosion. the continuum of findings ranges from periosteal edema (grade i), to both periosteal edema and marrow edema seen on. thin mineralized periosteum may be difficult to perceive at mri, and radiographic or ct correlation, if available, may be. Endosteal And Periosteal Edema.
From www.ehealthstar.com
Periosteum Definition, Location, Anatomy, Histology and Function Endosteal And Periosteal Edema this can be seen in osteoarthritis in bone under areas where cartilage is damaged; thin mineralized periosteum may be difficult to perceive at mri, and radiographic or ct correlation, if available, may be helpful for. It’s typically the response to an injury or a condition like osteoarthritis. the continuum of findings ranges from periosteal edema (grade i),. Endosteal And Periosteal Edema.
From pubs.rsna.org
Periosteal Pathologic Conditions Imaging Findings and Pathophysiology Endosteal And Periosteal Edema bone marrow edema is a buildup of fluid in the bone marrow. In rheumatoid arthritis edema may precede an erosion. the continuum of findings ranges from periosteal edema (grade i), to both periosteal edema and marrow edema seen on. It’s typically the response to an injury or a condition like osteoarthritis. thin mineralized periosteum may be difficult. Endosteal And Periosteal Edema.
From www.researchgate.net
(A) Imagem axial STIR de ressonância magnética. revelando fratura Endosteal And Periosteal Edema thin mineralized periosteum may be difficult to perceive at mri, and radiographic or ct correlation, if available, may be helpful for. this can be seen in osteoarthritis in bone under areas where cartilage is damaged; bone marrow edema is a buildup of fluid in the bone marrow. It’s typically the response to an injury or a condition. Endosteal And Periosteal Edema.
From twitter.com
Jan Fritz on Twitter "RADIOGRAPHYMRI CORRELATION Femoral stress Endosteal And Periosteal Edema In rheumatoid arthritis edema may precede an erosion. this can be seen in osteoarthritis in bone under areas where cartilage is damaged; It’s typically the response to an injury or a condition like osteoarthritis. thin mineralized periosteum may be difficult to perceive at mri, and radiographic or ct correlation, if available, may be helpful for. bone marrow. Endosteal And Periosteal Edema.
From quizlet.com
Periosteum och endosteum Diagram Quizlet Endosteal And Periosteal Edema It’s typically the response to an injury or a condition like osteoarthritis. In rheumatoid arthritis edema may precede an erosion. thin mineralized periosteum may be difficult to perceive at mri, and radiographic or ct correlation, if available, may be helpful for. this can be seen in osteoarthritis in bone under areas where cartilage is damaged; bone marrow. Endosteal And Periosteal Edema.
From www.vetscraft.com
Coverings of bone Periosteum and Endosteum Endosteal And Periosteal Edema thin mineralized periosteum may be difficult to perceive at mri, and radiographic or ct correlation, if available, may be helpful for. In rheumatoid arthritis edema may precede an erosion. the continuum of findings ranges from periosteal edema (grade i), to both periosteal edema and marrow edema seen on. It’s typically the response to an injury or a condition. Endosteal And Periosteal Edema.
From www.slideserve.com
PPT Chapter 6 Part I Bones and Skeletal Tissues PowerPoint Endosteal And Periosteal Edema thin mineralized periosteum may be difficult to perceive at mri, and radiographic or ct correlation, if available, may be helpful for. In rheumatoid arthritis edema may precede an erosion. It’s typically the response to an injury or a condition like osteoarthritis. this can be seen in osteoarthritis in bone under areas where cartilage is damaged; the continuum. Endosteal And Periosteal Edema.
From twitter.com
Jan Fritz on Twitter "RADIOGRAPHYMRI CORRELATION Femoral stress Endosteal And Periosteal Edema It’s typically the response to an injury or a condition like osteoarthritis. this can be seen in osteoarthritis in bone under areas where cartilage is damaged; In rheumatoid arthritis edema may precede an erosion. bone marrow edema is a buildup of fluid in the bone marrow. thin mineralized periosteum may be difficult to perceive at mri, and. Endosteal And Periosteal Edema.
From www.reddit.com
how to get Dr to look more into periosteal edema r/MRI Endosteal And Periosteal Edema In rheumatoid arthritis edema may precede an erosion. the continuum of findings ranges from periosteal edema (grade i), to both periosteal edema and marrow edema seen on. this can be seen in osteoarthritis in bone under areas where cartilage is damaged; thin mineralized periosteum may be difficult to perceive at mri, and radiographic or ct correlation, if. Endosteal And Periosteal Edema.
From healthfixit.com
Endosteum Definition, Function, Histology, Vs Periosteum Endosteal And Periosteal Edema the continuum of findings ranges from periosteal edema (grade i), to both periosteal edema and marrow edema seen on. this can be seen in osteoarthritis in bone under areas where cartilage is damaged; bone marrow edema is a buildup of fluid in the bone marrow. It’s typically the response to an injury or a condition like osteoarthritis.. Endosteal And Periosteal Edema.
From www.researchgate.net
P2 periosteum and endosteum/marrow contribute to wound repair (dorsal Endosteal And Periosteal Edema the continuum of findings ranges from periosteal edema (grade i), to both periosteal edema and marrow edema seen on. thin mineralized periosteum may be difficult to perceive at mri, and radiographic or ct correlation, if available, may be helpful for. this can be seen in osteoarthritis in bone under areas where cartilage is damaged; In rheumatoid arthritis. Endosteal And Periosteal Edema.
From studybeglerbegs.z4.web.core.windows.net
Periosteum Function Endosteal And Periosteal Edema In rheumatoid arthritis edema may precede an erosion. It’s typically the response to an injury or a condition like osteoarthritis. this can be seen in osteoarthritis in bone under areas where cartilage is damaged; the continuum of findings ranges from periosteal edema (grade i), to both periosteal edema and marrow edema seen on. bone marrow edema is. Endosteal And Periosteal Edema.
From www.researchgate.net
Standard periosteal (extracortical) and endosteal (intracortical Endosteal And Periosteal Edema thin mineralized periosteum may be difficult to perceive at mri, and radiographic or ct correlation, if available, may be helpful for. In rheumatoid arthritis edema may precede an erosion. the continuum of findings ranges from periosteal edema (grade i), to both periosteal edema and marrow edema seen on. It’s typically the response to an injury or a condition. Endosteal And Periosteal Edema.
From www.wisegeek.com
What is Bone Marrow Edema? (with pictures) Endosteal And Periosteal Edema It’s typically the response to an injury or a condition like osteoarthritis. In rheumatoid arthritis edema may precede an erosion. the continuum of findings ranges from periosteal edema (grade i), to both periosteal edema and marrow edema seen on. this can be seen in osteoarthritis in bone under areas where cartilage is damaged; thin mineralized periosteum may. Endosteal And Periosteal Edema.
From tagvault.org
Endosteum vs Periosteum (Explained) Endosteal And Periosteal Edema It’s typically the response to an injury or a condition like osteoarthritis. this can be seen in osteoarthritis in bone under areas where cartilage is damaged; In rheumatoid arthritis edema may precede an erosion. the continuum of findings ranges from periosteal edema (grade i), to both periosteal edema and marrow edema seen on. thin mineralized periosteum may. Endosteal And Periosteal Edema.
From www.statpearls.com
Histology, Periosteum And Endosteum Treatment & Management Point of Endosteal And Periosteal Edema bone marrow edema is a buildup of fluid in the bone marrow. In rheumatoid arthritis edema may precede an erosion. the continuum of findings ranges from periosteal edema (grade i), to both periosteal edema and marrow edema seen on. this can be seen in osteoarthritis in bone under areas where cartilage is damaged; It’s typically the response. Endosteal And Periosteal Edema.
From exoejimgk.blob.core.windows.net
Endosteal And Periosteal Regions at Karen Pacheco blog Endosteal And Periosteal Edema bone marrow edema is a buildup of fluid in the bone marrow. It’s typically the response to an injury or a condition like osteoarthritis. this can be seen in osteoarthritis in bone under areas where cartilage is damaged; thin mineralized periosteum may be difficult to perceive at mri, and radiographic or ct correlation, if available, may be. Endosteal And Periosteal Edema.
From www.slideserve.com
PPT Chapter 6 Part I Bones and Skeletal Tissues PowerPoint Endosteal And Periosteal Edema the continuum of findings ranges from periosteal edema (grade i), to both periosteal edema and marrow edema seen on. this can be seen in osteoarthritis in bone under areas where cartilage is damaged; It’s typically the response to an injury or a condition like osteoarthritis. thin mineralized periosteum may be difficult to perceive at mri, and radiographic. Endosteal And Periosteal Edema.
From www.slideserve.com
PPT BONE PowerPoint Presentation ID1872550 Endosteal And Periosteal Edema It’s typically the response to an injury or a condition like osteoarthritis. bone marrow edema is a buildup of fluid in the bone marrow. the continuum of findings ranges from periosteal edema (grade i), to both periosteal edema and marrow edema seen on. In rheumatoid arthritis edema may precede an erosion. thin mineralized periosteum may be difficult. Endosteal And Periosteal Edema.
From www.slideserve.com
PPT OSSEOUS TISSUE PowerPoint Presentation, free download ID2754334 Endosteal And Periosteal Edema the continuum of findings ranges from periosteal edema (grade i), to both periosteal edema and marrow edema seen on. It’s typically the response to an injury or a condition like osteoarthritis. In rheumatoid arthritis edema may precede an erosion. bone marrow edema is a buildup of fluid in the bone marrow. this can be seen in osteoarthritis. Endosteal And Periosteal Edema.
From www.researchgate.net
1 Coronal T2 fatsuppressed MR image in a 40yearold runner with hip Endosteal And Periosteal Edema the continuum of findings ranges from periosteal edema (grade i), to both periosteal edema and marrow edema seen on. It’s typically the response to an injury or a condition like osteoarthritis. bone marrow edema is a buildup of fluid in the bone marrow. this can be seen in osteoarthritis in bone under areas where cartilage is damaged;. Endosteal And Periosteal Edema.
From www.ehealthstar.com
Endosteum Definition, Function, Location, Structure, Pictures eHealthStar Endosteal And Periosteal Edema this can be seen in osteoarthritis in bone under areas where cartilage is damaged; It’s typically the response to an injury or a condition like osteoarthritis. thin mineralized periosteum may be difficult to perceive at mri, and radiographic or ct correlation, if available, may be helpful for. the continuum of findings ranges from periosteal edema (grade i),. Endosteal And Periosteal Edema.
From www.researchgate.net
Radiograph at time of diagnosis. Periosteal and endosteal thickening Endosteal And Periosteal Edema It’s typically the response to an injury or a condition like osteoarthritis. the continuum of findings ranges from periosteal edema (grade i), to both periosteal edema and marrow edema seen on. bone marrow edema is a buildup of fluid in the bone marrow. In rheumatoid arthritis edema may precede an erosion. thin mineralized periosteum may be difficult. Endosteal And Periosteal Edema.
From twitter.com
Jan Fritz on Twitter "RADIOGRAPHYMRI CORRELATION Femoral stress Endosteal And Periosteal Edema bone marrow edema is a buildup of fluid in the bone marrow. this can be seen in osteoarthritis in bone under areas where cartilage is damaged; It’s typically the response to an injury or a condition like osteoarthritis. the continuum of findings ranges from periosteal edema (grade i), to both periosteal edema and marrow edema seen on.. Endosteal And Periosteal Edema.
From exoejimgk.blob.core.windows.net
Endosteal And Periosteal Regions at Karen Pacheco blog Endosteal And Periosteal Edema In rheumatoid arthritis edema may precede an erosion. this can be seen in osteoarthritis in bone under areas where cartilage is damaged; the continuum of findings ranges from periosteal edema (grade i), to both periosteal edema and marrow edema seen on. thin mineralized periosteum may be difficult to perceive at mri, and radiographic or ct correlation, if. Endosteal And Periosteal Edema.
From dxonsgxtu.blob.core.windows.net
What Is The Periosteum Bone at Ashley Arnold blog Endosteal And Periosteal Edema It’s typically the response to an injury or a condition like osteoarthritis. this can be seen in osteoarthritis in bone under areas where cartilage is damaged; In rheumatoid arthritis edema may precede an erosion. bone marrow edema is a buildup of fluid in the bone marrow. thin mineralized periosteum may be difficult to perceive at mri, and. Endosteal And Periosteal Edema.
From www.researchgate.net
(a) Separation of periosteal and endosteal CBs, and TB images from a Endosteal And Periosteal Edema the continuum of findings ranges from periosteal edema (grade i), to both periosteal edema and marrow edema seen on. It’s typically the response to an injury or a condition like osteoarthritis. thin mineralized periosteum may be difficult to perceive at mri, and radiographic or ct correlation, if available, may be helpful for. this can be seen in. Endosteal And Periosteal Edema.
From quizlet.com
The Periosteum and Endosteum Diagram Quizlet Endosteal And Periosteal Edema It’s typically the response to an injury or a condition like osteoarthritis. the continuum of findings ranges from periosteal edema (grade i), to both periosteal edema and marrow edema seen on. thin mineralized periosteum may be difficult to perceive at mri, and radiographic or ct correlation, if available, may be helpful for. bone marrow edema is a. Endosteal And Periosteal Edema.
From www.lybrate.com
Periosteum (Human Anatomy) Image, Functions, Diseases and Treatments Endosteal And Periosteal Edema It’s typically the response to an injury or a condition like osteoarthritis. this can be seen in osteoarthritis in bone under areas where cartilage is damaged; the continuum of findings ranges from periosteal edema (grade i), to both periosteal edema and marrow edema seen on. In rheumatoid arthritis edema may precede an erosion. bone marrow edema is. Endosteal And Periosteal Edema.
From exoejimgk.blob.core.windows.net
Endosteal And Periosteal Regions at Karen Pacheco blog Endosteal And Periosteal Edema It’s typically the response to an injury or a condition like osteoarthritis. bone marrow edema is a buildup of fluid in the bone marrow. thin mineralized periosteum may be difficult to perceive at mri, and radiographic or ct correlation, if available, may be helpful for. this can be seen in osteoarthritis in bone under areas where cartilage. Endosteal And Periosteal Edema.
From collegedunia.com
Periosteum Anatomy, Functions, and Damage Endosteal And Periosteal Edema this can be seen in osteoarthritis in bone under areas where cartilage is damaged; It’s typically the response to an injury or a condition like osteoarthritis. thin mineralized periosteum may be difficult to perceive at mri, and radiographic or ct correlation, if available, may be helpful for. In rheumatoid arthritis edema may precede an erosion. the continuum. Endosteal And Periosteal Edema.
From www.slideserve.com
PPT PERIODONTIUM PowerPoint Presentation, free download ID2067263 Endosteal And Periosteal Edema thin mineralized periosteum may be difficult to perceive at mri, and radiographic or ct correlation, if available, may be helpful for. It’s typically the response to an injury or a condition like osteoarthritis. the continuum of findings ranges from periosteal edema (grade i), to both periosteal edema and marrow edema seen on. this can be seen in. Endosteal And Periosteal Edema.