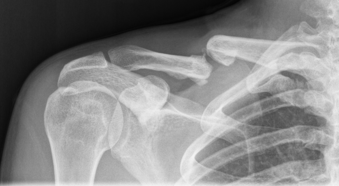
Step Ladder Deformity Clavicle . Clavicle fractures are common injuries, accounting for around 3% of all fractures. Clavicle fracture (adult) page 2 of 6 introduction a fractured clavicle (broken collarbone) is a common injury. Determine point tenderness on palpation; The anterior approach to the diaphyseal clavicle can be used for nearly any clavicular shaft fractures, for both anterior and superior plating. Midshaft clavicle fractures are common traumatic injuries caused by a direct impact to the shoulder girdle and is most commonly seen in young, active adults. Distal clavicle fractures are traumatic injuries usually caused by direct trauma to the shoulder from a fall in adults. They most commonly occur in. Assess any soft tissue swelling and ecchymosis in the area of the clavicle. The superior approach to the clavicle can be used for all lateral, medial, and diaphyseal clavicle fractures. Diagnosis is confirmed with standard shoulder.
from radiologykey.com
Assess any soft tissue swelling and ecchymosis in the area of the clavicle. Distal clavicle fractures are traumatic injuries usually caused by direct trauma to the shoulder from a fall in adults. The anterior approach to the diaphyseal clavicle can be used for nearly any clavicular shaft fractures, for both anterior and superior plating. Determine point tenderness on palpation; The superior approach to the clavicle can be used for all lateral, medial, and diaphyseal clavicle fractures. Clavicle fractures are common injuries, accounting for around 3% of all fractures. Midshaft clavicle fractures are common traumatic injuries caused by a direct impact to the shoulder girdle and is most commonly seen in young, active adults. Diagnosis is confirmed with standard shoulder. They most commonly occur in. Clavicle fracture (adult) page 2 of 6 introduction a fractured clavicle (broken collarbone) is a common injury.
In pieces Clavicle fracture Radiology Key
Step Ladder Deformity Clavicle Clavicle fractures are common injuries, accounting for around 3% of all fractures. Clavicle fracture (adult) page 2 of 6 introduction a fractured clavicle (broken collarbone) is a common injury. The anterior approach to the diaphyseal clavicle can be used for nearly any clavicular shaft fractures, for both anterior and superior plating. Assess any soft tissue swelling and ecchymosis in the area of the clavicle. Midshaft clavicle fractures are common traumatic injuries caused by a direct impact to the shoulder girdle and is most commonly seen in young, active adults. Determine point tenderness on palpation; Clavicle fractures are common injuries, accounting for around 3% of all fractures. Diagnosis is confirmed with standard shoulder. They most commonly occur in. Distal clavicle fractures are traumatic injuries usually caused by direct trauma to the shoulder from a fall in adults. The superior approach to the clavicle can be used for all lateral, medial, and diaphyseal clavicle fractures.
From mavink.com
Classification Of Clavicle Fracture Step Ladder Deformity Clavicle Clavicle fractures are common injuries, accounting for around 3% of all fractures. Diagnosis is confirmed with standard shoulder. Assess any soft tissue swelling and ecchymosis in the area of the clavicle. The anterior approach to the diaphyseal clavicle can be used for nearly any clavicular shaft fractures, for both anterior and superior plating. Distal clavicle fractures are traumatic injuries usually. Step Ladder Deformity Clavicle.
From www.orthobullets.com
Clavicle Shaft Fractures Trauma Orthobullets Step Ladder Deformity Clavicle Assess any soft tissue swelling and ecchymosis in the area of the clavicle. Clavicle fracture (adult) page 2 of 6 introduction a fractured clavicle (broken collarbone) is a common injury. Diagnosis is confirmed with standard shoulder. The superior approach to the clavicle can be used for all lateral, medial, and diaphyseal clavicle fractures. The anterior approach to the diaphyseal clavicle. Step Ladder Deformity Clavicle.
From p-ortho.com
Acromioclavicular AC Joint Dislocation Singapore Step Ladder Deformity Clavicle Clavicle fractures are common injuries, accounting for around 3% of all fractures. They most commonly occur in. Determine point tenderness on palpation; Clavicle fracture (adult) page 2 of 6 introduction a fractured clavicle (broken collarbone) is a common injury. Assess any soft tissue swelling and ecchymosis in the area of the clavicle. Distal clavicle fractures are traumatic injuries usually caused. Step Ladder Deformity Clavicle.
From www.mdpi.com
Children Free FullText Pediatric Clavicle Fractures and Congenital Step Ladder Deformity Clavicle They most commonly occur in. Diagnosis is confirmed with standard shoulder. Distal clavicle fractures are traumatic injuries usually caused by direct trauma to the shoulder from a fall in adults. The superior approach to the clavicle can be used for all lateral, medial, and diaphyseal clavicle fractures. Midshaft clavicle fractures are common traumatic injuries caused by a direct impact to. Step Ladder Deformity Clavicle.
From www.armdocs.com
Clavicle Fracture Arm Docs Step Ladder Deformity Clavicle The superior approach to the clavicle can be used for all lateral, medial, and diaphyseal clavicle fractures. Clavicle fracture (adult) page 2 of 6 introduction a fractured clavicle (broken collarbone) is a common injury. Determine point tenderness on palpation; The anterior approach to the diaphyseal clavicle can be used for nearly any clavicular shaft fractures, for both anterior and superior. Step Ladder Deformity Clavicle.
From www.chrisbaileyorthopaedics.com
Clavicle fractures Chris Bailey Orthopaedics Step Ladder Deformity Clavicle Clavicle fractures are common injuries, accounting for around 3% of all fractures. Distal clavicle fractures are traumatic injuries usually caused by direct trauma to the shoulder from a fall in adults. The superior approach to the clavicle can be used for all lateral, medial, and diaphyseal clavicle fractures. Diagnosis is confirmed with standard shoulder. Clavicle fracture (adult) page 2 of. Step Ladder Deformity Clavicle.
From mavink.com
Classification Of Clavicle Fracture Step Ladder Deformity Clavicle Clavicle fracture (adult) page 2 of 6 introduction a fractured clavicle (broken collarbone) is a common injury. The superior approach to the clavicle can be used for all lateral, medial, and diaphyseal clavicle fractures. Clavicle fractures are common injuries, accounting for around 3% of all fractures. Determine point tenderness on palpation; The anterior approach to the diaphyseal clavicle can be. Step Ladder Deformity Clavicle.
From blog.clinicalmonster.com
Clavicle Fracture County EM Step Ladder Deformity Clavicle The anterior approach to the diaphyseal clavicle can be used for nearly any clavicular shaft fractures, for both anterior and superior plating. Clavicle fracture (adult) page 2 of 6 introduction a fractured clavicle (broken collarbone) is a common injury. Clavicle fractures are common injuries, accounting for around 3% of all fractures. Assess any soft tissue swelling and ecchymosis in the. Step Ladder Deformity Clavicle.
From www.verywellhealth.com
Clavicle Fracture Treatment When Is Surgery Necessary? Step Ladder Deformity Clavicle Midshaft clavicle fractures are common traumatic injuries caused by a direct impact to the shoulder girdle and is most commonly seen in young, active adults. Clavicle fractures are common injuries, accounting for around 3% of all fractures. The anterior approach to the diaphyseal clavicle can be used for nearly any clavicular shaft fractures, for both anterior and superior plating. Clavicle. Step Ladder Deformity Clavicle.
From www.braceability.com
Clavicle Fractures Broken Collarbone Symptoms, Causes & Treatment Step Ladder Deformity Clavicle The superior approach to the clavicle can be used for all lateral, medial, and diaphyseal clavicle fractures. Clavicle fractures are common injuries, accounting for around 3% of all fractures. They most commonly occur in. Assess any soft tissue swelling and ecchymosis in the area of the clavicle. Determine point tenderness on palpation; Distal clavicle fractures are traumatic injuries usually caused. Step Ladder Deformity Clavicle.
From www.slideserve.com
PPT The shoulder complex PowerPoint Presentation, free download ID Step Ladder Deformity Clavicle The anterior approach to the diaphyseal clavicle can be used for nearly any clavicular shaft fractures, for both anterior and superior plating. Midshaft clavicle fractures are common traumatic injuries caused by a direct impact to the shoulder girdle and is most commonly seen in young, active adults. The superior approach to the clavicle can be used for all lateral, medial,. Step Ladder Deformity Clavicle.
From www.orthobullets.com
Distal Clavicle Physeal Fractures Pediatrics Orthobullets Step Ladder Deformity Clavicle Clavicle fracture (adult) page 2 of 6 introduction a fractured clavicle (broken collarbone) is a common injury. Diagnosis is confirmed with standard shoulder. The superior approach to the clavicle can be used for all lateral, medial, and diaphyseal clavicle fractures. Clavicle fractures are common injuries, accounting for around 3% of all fractures. Determine point tenderness on palpation; Distal clavicle fractures. Step Ladder Deformity Clavicle.
From radiologykey.com
In pieces Clavicle fracture Radiology Key Step Ladder Deformity Clavicle Clavicle fractures are common injuries, accounting for around 3% of all fractures. They most commonly occur in. The superior approach to the clavicle can be used for all lateral, medial, and diaphyseal clavicle fractures. Distal clavicle fractures are traumatic injuries usually caused by direct trauma to the shoulder from a fall in adults. Midshaft clavicle fractures are common traumatic injuries. Step Ladder Deformity Clavicle.
From www.orthobullets.com
Clavicle Fractures Midshaft Trauma Orthobullets Step Ladder Deformity Clavicle Diagnosis is confirmed with standard shoulder. The superior approach to the clavicle can be used for all lateral, medial, and diaphyseal clavicle fractures. Clavicle fracture (adult) page 2 of 6 introduction a fractured clavicle (broken collarbone) is a common injury. Determine point tenderness on palpation; Clavicle fractures are common injuries, accounting for around 3% of all fractures. Midshaft clavicle fractures. Step Ladder Deformity Clavicle.
From coreem.net
Clavicle Fractures Core EM Step Ladder Deformity Clavicle Assess any soft tissue swelling and ecchymosis in the area of the clavicle. Diagnosis is confirmed with standard shoulder. Clavicle fracture (adult) page 2 of 6 introduction a fractured clavicle (broken collarbone) is a common injury. The anterior approach to the diaphyseal clavicle can be used for nearly any clavicular shaft fractures, for both anterior and superior plating. Clavicle fractures. Step Ladder Deformity Clavicle.
From worldofmedicalsaviours.com
3 Types of Clavicle Fracture Symptoms, & Treatment WOMS Step Ladder Deformity Clavicle The superior approach to the clavicle can be used for all lateral, medial, and diaphyseal clavicle fractures. Clavicle fracture (adult) page 2 of 6 introduction a fractured clavicle (broken collarbone) is a common injury. Clavicle fractures are common injuries, accounting for around 3% of all fractures. Midshaft clavicle fractures are common traumatic injuries caused by a direct impact to the. Step Ladder Deformity Clavicle.
From worldofmedicalsaviours.com
3 Types of Clavicle Fracture Symptoms, & Treatment WOMS Step Ladder Deformity Clavicle The anterior approach to the diaphyseal clavicle can be used for nearly any clavicular shaft fractures, for both anterior and superior plating. Diagnosis is confirmed with standard shoulder. Determine point tenderness on palpation; Midshaft clavicle fractures are common traumatic injuries caused by a direct impact to the shoulder girdle and is most commonly seen in young, active adults. Assess any. Step Ladder Deformity Clavicle.
From orthopedicreviews.openmedicalpublishing.org
Return to Full Function in Patient with Nonoperative Management of a Step Ladder Deformity Clavicle Assess any soft tissue swelling and ecchymosis in the area of the clavicle. Determine point tenderness on palpation; The anterior approach to the diaphyseal clavicle can be used for nearly any clavicular shaft fractures, for both anterior and superior plating. Midshaft clavicle fractures are common traumatic injuries caused by a direct impact to the shoulder girdle and is most commonly. Step Ladder Deformity Clavicle.
From bostonshoulderinstitute.com
Clavicle (Collar Bone) Fractures Boston Shoulder Institute Step Ladder Deformity Clavicle The anterior approach to the diaphyseal clavicle can be used for nearly any clavicular shaft fractures, for both anterior and superior plating. Determine point tenderness on palpation; Assess any soft tissue swelling and ecchymosis in the area of the clavicle. The superior approach to the clavicle can be used for all lateral, medial, and diaphyseal clavicle fractures. Distal clavicle fractures. Step Ladder Deformity Clavicle.
From www.rch.org.au
Clinical Practice Guidelines Clavicle fractures Emergency Department Step Ladder Deformity Clavicle Midshaft clavicle fractures are common traumatic injuries caused by a direct impact to the shoulder girdle and is most commonly seen in young, active adults. Assess any soft tissue swelling and ecchymosis in the area of the clavicle. Determine point tenderness on palpation; The superior approach to the clavicle can be used for all lateral, medial, and diaphyseal clavicle fractures.. Step Ladder Deformity Clavicle.
From www.drdavidduckworth.com.au
Clavicle Fractures Dr David Duckworth Step Ladder Deformity Clavicle The anterior approach to the diaphyseal clavicle can be used for nearly any clavicular shaft fractures, for both anterior and superior plating. Determine point tenderness on palpation; Clavicle fracture (adult) page 2 of 6 introduction a fractured clavicle (broken collarbone) is a common injury. They most commonly occur in. Diagnosis is confirmed with standard shoulder. The superior approach to the. Step Ladder Deformity Clavicle.
From www.dubaisportsorthopaedics.com
The most common symptoms of a clavicle fracture are Dubai Sports Step Ladder Deformity Clavicle The superior approach to the clavicle can be used for all lateral, medial, and diaphyseal clavicle fractures. Distal clavicle fractures are traumatic injuries usually caused by direct trauma to the shoulder from a fall in adults. Assess any soft tissue swelling and ecchymosis in the area of the clavicle. Midshaft clavicle fractures are common traumatic injuries caused by a direct. Step Ladder Deformity Clavicle.
From www.cureus.com
Cureus Traumatic Floating Clavicle Is This a Rare Injury? Step Ladder Deformity Clavicle Diagnosis is confirmed with standard shoulder. Clavicle fractures are common injuries, accounting for around 3% of all fractures. Determine point tenderness on palpation; The superior approach to the clavicle can be used for all lateral, medial, and diaphyseal clavicle fractures. Assess any soft tissue swelling and ecchymosis in the area of the clavicle. The anterior approach to the diaphyseal clavicle. Step Ladder Deformity Clavicle.
From ar.inspiredpencil.com
Proximal Clavicle Fracture Step Ladder Deformity Clavicle Clavicle fractures are common injuries, accounting for around 3% of all fractures. Clavicle fracture (adult) page 2 of 6 introduction a fractured clavicle (broken collarbone) is a common injury. Distal clavicle fractures are traumatic injuries usually caused by direct trauma to the shoulder from a fall in adults. Diagnosis is confirmed with standard shoulder. The superior approach to the clavicle. Step Ladder Deformity Clavicle.
From orthoinfo.aaos.org
Clavicle Fracture (Broken Collarbone) OrthoInfo AAOS Step Ladder Deformity Clavicle The superior approach to the clavicle can be used for all lateral, medial, and diaphyseal clavicle fractures. Clavicle fracture (adult) page 2 of 6 introduction a fractured clavicle (broken collarbone) is a common injury. Midshaft clavicle fractures are common traumatic injuries caused by a direct impact to the shoulder girdle and is most commonly seen in young, active adults. They. Step Ladder Deformity Clavicle.
From www.rehabmypatient.com
Clavicle Fracture Rehab My Patient Step Ladder Deformity Clavicle Midshaft clavicle fractures are common traumatic injuries caused by a direct impact to the shoulder girdle and is most commonly seen in young, active adults. The anterior approach to the diaphyseal clavicle can be used for nearly any clavicular shaft fractures, for both anterior and superior plating. Assess any soft tissue swelling and ecchymosis in the area of the clavicle.. Step Ladder Deformity Clavicle.
From bostonshoulderinstitute.com
Clavicle (Collar Bone) Fractures Boston Shoulder Institute Step Ladder Deformity Clavicle Assess any soft tissue swelling and ecchymosis in the area of the clavicle. Diagnosis is confirmed with standard shoulder. Distal clavicle fractures are traumatic injuries usually caused by direct trauma to the shoulder from a fall in adults. The anterior approach to the diaphyseal clavicle can be used for nearly any clavicular shaft fractures, for both anterior and superior plating.. Step Ladder Deformity Clavicle.
From www.jem-journal.com
Posterior Displacement of a Proximal Epiphyseal Clavicle Fracture Step Ladder Deformity Clavicle Clavicle fracture (adult) page 2 of 6 introduction a fractured clavicle (broken collarbone) is a common injury. Distal clavicle fractures are traumatic injuries usually caused by direct trauma to the shoulder from a fall in adults. Diagnosis is confirmed with standard shoulder. Assess any soft tissue swelling and ecchymosis in the area of the clavicle. The anterior approach to the. Step Ladder Deformity Clavicle.
From dontforgetthebubbles.com
Clavicle fractures Step Ladder Deformity Clavicle Diagnosis is confirmed with standard shoulder. Determine point tenderness on palpation; Assess any soft tissue swelling and ecchymosis in the area of the clavicle. They most commonly occur in. The superior approach to the clavicle can be used for all lateral, medial, and diaphyseal clavicle fractures. Midshaft clavicle fractures are common traumatic injuries caused by a direct impact to the. Step Ladder Deformity Clavicle.
From orthopaedicprinciples.com
Clavicle fractures in Children — Step Ladder Deformity Clavicle Clavicle fractures are common injuries, accounting for around 3% of all fractures. Diagnosis is confirmed with standard shoulder. Distal clavicle fractures are traumatic injuries usually caused by direct trauma to the shoulder from a fall in adults. Clavicle fracture (adult) page 2 of 6 introduction a fractured clavicle (broken collarbone) is a common injury. The superior approach to the clavicle. Step Ladder Deformity Clavicle.
From chicagoshoulderdoc.com
Clavicle Fractures Gregory Nicholson MD Gregory Nicholson MD Step Ladder Deformity Clavicle The superior approach to the clavicle can be used for all lateral, medial, and diaphyseal clavicle fractures. Clavicle fracture (adult) page 2 of 6 introduction a fractured clavicle (broken collarbone) is a common injury. Assess any soft tissue swelling and ecchymosis in the area of the clavicle. Diagnosis is confirmed with standard shoulder. The anterior approach to the diaphyseal clavicle. Step Ladder Deformity Clavicle.
From worldofmedicalsaviours.com
3 Types of Clavicle Fracture Symptoms, & Treatment WOMS Step Ladder Deformity Clavicle Assess any soft tissue swelling and ecchymosis in the area of the clavicle. The anterior approach to the diaphyseal clavicle can be used for nearly any clavicular shaft fractures, for both anterior and superior plating. Diagnosis is confirmed with standard shoulder. Clavicle fracture (adult) page 2 of 6 introduction a fractured clavicle (broken collarbone) is a common injury. The superior. Step Ladder Deformity Clavicle.
From www.researchgate.net
An displaced midshaft clavicle fracture and ipsilateral distal end Step Ladder Deformity Clavicle The superior approach to the clavicle can be used for all lateral, medial, and diaphyseal clavicle fractures. Determine point tenderness on palpation; Assess any soft tissue swelling and ecchymosis in the area of the clavicle. The anterior approach to the diaphyseal clavicle can be used for nearly any clavicular shaft fractures, for both anterior and superior plating. Midshaft clavicle fractures. Step Ladder Deformity Clavicle.
From musculoskeletalkey.com
9. Lateral Third Clavicle Fractures Musculoskeletal Key Step Ladder Deformity Clavicle Midshaft clavicle fractures are common traumatic injuries caused by a direct impact to the shoulder girdle and is most commonly seen in young, active adults. Clavicle fractures are common injuries, accounting for around 3% of all fractures. The superior approach to the clavicle can be used for all lateral, medial, and diaphyseal clavicle fractures. Clavicle fracture (adult) page 2 of. Step Ladder Deformity Clavicle.
From www.1888goodwin.com
The Facts About Clavicle Fractures in Newborns Scott Goodwin Law Step Ladder Deformity Clavicle Assess any soft tissue swelling and ecchymosis in the area of the clavicle. Diagnosis is confirmed with standard shoulder. Determine point tenderness on palpation; Clavicle fractures are common injuries, accounting for around 3% of all fractures. The superior approach to the clavicle can be used for all lateral, medial, and diaphyseal clavicle fractures. Midshaft clavicle fractures are common traumatic injuries. Step Ladder Deformity Clavicle.