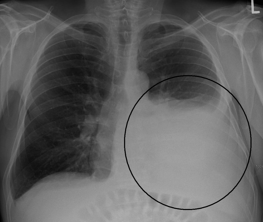
Can Pleural Effusion Go Away . It can result from pneumonia, heart failure, cancer,. If the cause is pneumonia, a doctor will likely prescribe antibiotics to treat the infection,. A thin layer of fluid is. A pleural effusion results when fluid collects between the parietal and visceral pleural surfaces of the thorax. Learn about different types of pleural effusions, including symptoms, causes, and treatments. The outlook or prognosis varies depending on what caused your pleural effusion and what other conditions you have. Pleural effusion, sometimes called water on the lung, is a buildup of fluid between the lungs and the chest cavity. Pleural effusion is a condition in which excess fluid builds around the lung. Pleural effusions are diagnosed in about 1.5 million individuals in the united states annually [1]. Among the causes, pleural infection,. If the underlying cause can be successfully treated then there is a good chance that the pleural effusion will go away for good. The best way is to treat the cause of the effusion.
from www.youtube.com
A pleural effusion results when fluid collects between the parietal and visceral pleural surfaces of the thorax. The best way is to treat the cause of the effusion. If the cause is pneumonia, a doctor will likely prescribe antibiotics to treat the infection,. A thin layer of fluid is. Pleural effusion, sometimes called water on the lung, is a buildup of fluid between the lungs and the chest cavity. If the underlying cause can be successfully treated then there is a good chance that the pleural effusion will go away for good. Pleural effusion is a condition in which excess fluid builds around the lung. It can result from pneumonia, heart failure, cancer,. Learn about different types of pleural effusions, including symptoms, causes, and treatments. The outlook or prognosis varies depending on what caused your pleural effusion and what other conditions you have.
Pleural Effusion Types, Causes, Evaluation & Management (All You Need
Can Pleural Effusion Go Away Pleural effusion is a condition in which excess fluid builds around the lung. It can result from pneumonia, heart failure, cancer,. The outlook or prognosis varies depending on what caused your pleural effusion and what other conditions you have. Among the causes, pleural infection,. A pleural effusion results when fluid collects between the parietal and visceral pleural surfaces of the thorax. Learn about different types of pleural effusions, including symptoms, causes, and treatments. If the cause is pneumonia, a doctor will likely prescribe antibiotics to treat the infection,. If the underlying cause can be successfully treated then there is a good chance that the pleural effusion will go away for good. The best way is to treat the cause of the effusion. A thin layer of fluid is. Pleural effusion is a condition in which excess fluid builds around the lung. Pleural effusion, sometimes called water on the lung, is a buildup of fluid between the lungs and the chest cavity. Pleural effusions are diagnosed in about 1.5 million individuals in the united states annually [1].
From step1.medbullets.com
Pleural Effusion Respiratory Medbullets Step 1 Can Pleural Effusion Go Away Learn about different types of pleural effusions, including symptoms, causes, and treatments. It can result from pneumonia, heart failure, cancer,. If the cause is pneumonia, a doctor will likely prescribe antibiotics to treat the infection,. Pleural effusions are diagnosed in about 1.5 million individuals in the united states annually [1]. The best way is to treat the cause of the. Can Pleural Effusion Go Away.
From www.youtube.com
Pleural Effusion Types, Causes, Evaluation & Management (All You Need Can Pleural Effusion Go Away A pleural effusion results when fluid collects between the parietal and visceral pleural surfaces of the thorax. Among the causes, pleural infection,. A thin layer of fluid is. The outlook or prognosis varies depending on what caused your pleural effusion and what other conditions you have. Pleural effusions are diagnosed in about 1.5 million individuals in the united states annually. Can Pleural Effusion Go Away.
From www.prepladder.com
Pleural Effusion (Etiology and Different Varieties) Can Pleural Effusion Go Away Among the causes, pleural infection,. A thin layer of fluid is. The outlook or prognosis varies depending on what caused your pleural effusion and what other conditions you have. If the underlying cause can be successfully treated then there is a good chance that the pleural effusion will go away for good. It can result from pneumonia, heart failure, cancer,.. Can Pleural Effusion Go Away.
From iplungclinic.com
Pleural Effusion in Singapore Interventional Pulmonology & Lung Can Pleural Effusion Go Away A pleural effusion results when fluid collects between the parietal and visceral pleural surfaces of the thorax. If the cause is pneumonia, a doctor will likely prescribe antibiotics to treat the infection,. It can result from pneumonia, heart failure, cancer,. Among the causes, pleural infection,. If the underlying cause can be successfully treated then there is a good chance that. Can Pleural Effusion Go Away.
From ar.inspiredpencil.com
Pleural Effusion Pathophysiology Can Pleural Effusion Go Away Among the causes, pleural infection,. The outlook or prognosis varies depending on what caused your pleural effusion and what other conditions you have. Pleural effusions are diagnosed in about 1.5 million individuals in the united states annually [1]. If the underlying cause can be successfully treated then there is a good chance that the pleural effusion will go away for. Can Pleural Effusion Go Away.
From atlas.mudr.org
Radiology case Pleural effusion Can Pleural Effusion Go Away The outlook or prognosis varies depending on what caused your pleural effusion and what other conditions you have. Pleural effusion, sometimes called water on the lung, is a buildup of fluid between the lungs and the chest cavity. Pleural effusions are diagnosed in about 1.5 million individuals in the united states annually [1]. Among the causes, pleural infection,. A thin. Can Pleural Effusion Go Away.
From www.youtube.com
Can Pleural Effusion Clear Up On Its Own In Urdu Kya Phephron Se Pani Can Pleural Effusion Go Away Pleural effusion is a condition in which excess fluid builds around the lung. If the underlying cause can be successfully treated then there is a good chance that the pleural effusion will go away for good. Pleural effusions are diagnosed in about 1.5 million individuals in the united states annually [1]. Among the causes, pleural infection,. A pleural effusion results. Can Pleural Effusion Go Away.
From exouyldhc.blob.core.windows.net
Can Pleural Effusion Cause Edema at Kyle Porter blog Can Pleural Effusion Go Away Learn about different types of pleural effusions, including symptoms, causes, and treatments. The outlook or prognosis varies depending on what caused your pleural effusion and what other conditions you have. A pleural effusion results when fluid collects between the parietal and visceral pleural surfaces of the thorax. Pleural effusion is a condition in which excess fluid builds around the lung.. Can Pleural Effusion Go Away.
From www.rxslides.com
Download Pleural Effusion PowerPoint Template RxSlides Can Pleural Effusion Go Away Pleural effusions are diagnosed in about 1.5 million individuals in the united states annually [1]. Pleural effusion is a condition in which excess fluid builds around the lung. If the underlying cause can be successfully treated then there is a good chance that the pleural effusion will go away for good. It can result from pneumonia, heart failure, cancer,. The. Can Pleural Effusion Go Away.
From www.slideserve.com
PPT Pleura and Lung PowerPoint Presentation ID2308086 Can Pleural Effusion Go Away Among the causes, pleural infection,. A thin layer of fluid is. If the cause is pneumonia, a doctor will likely prescribe antibiotics to treat the infection,. Pleural effusion, sometimes called water on the lung, is a buildup of fluid between the lungs and the chest cavity. Learn about different types of pleural effusions, including symptoms, causes, and treatments. A pleural. Can Pleural Effusion Go Away.
From www.universalhospitalsurat.com
Pleural Effusion Universal Hospital Can Pleural Effusion Go Away If the underlying cause can be successfully treated then there is a good chance that the pleural effusion will go away for good. Among the causes, pleural infection,. Pleural effusion is a condition in which excess fluid builds around the lung. The best way is to treat the cause of the effusion. Learn about different types of pleural effusions, including. Can Pleural Effusion Go Away.
From www.ankitparakh.com
Pleural effusion or Fluid inside the chest in children causes Can Pleural Effusion Go Away The outlook or prognosis varies depending on what caused your pleural effusion and what other conditions you have. Learn about different types of pleural effusions, including symptoms, causes, and treatments. If the underlying cause can be successfully treated then there is a good chance that the pleural effusion will go away for good. A pleural effusion results when fluid collects. Can Pleural Effusion Go Away.
From en.wikipedia.org
Pleural effusion Wikipedia Can Pleural Effusion Go Away A thin layer of fluid is. The outlook or prognosis varies depending on what caused your pleural effusion and what other conditions you have. The best way is to treat the cause of the effusion. Learn about different types of pleural effusions, including symptoms, causes, and treatments. Pleural effusion, sometimes called water on the lung, is a buildup of fluid. Can Pleural Effusion Go Away.
From www.pedilung.com
pleuraleffusion Pediatric Pulmonologists Can Pleural Effusion Go Away Pleural effusion is a condition in which excess fluid builds around the lung. If the underlying cause can be successfully treated then there is a good chance that the pleural effusion will go away for good. A pleural effusion results when fluid collects between the parietal and visceral pleural surfaces of the thorax. A thin layer of fluid is. Among. Can Pleural Effusion Go Away.
From mindthebleep.com
Pleural effusion Mind The Bleep Can Pleural Effusion Go Away It can result from pneumonia, heart failure, cancer,. Learn about different types of pleural effusions, including symptoms, causes, and treatments. The best way is to treat the cause of the effusion. Pleural effusions are diagnosed in about 1.5 million individuals in the united states annually [1]. A pleural effusion results when fluid collects between the parietal and visceral pleural surfaces. Can Pleural Effusion Go Away.
From www.osmosis.org
Pleural effusion Clinical sciences Osmosis Video Library Can Pleural Effusion Go Away The outlook or prognosis varies depending on what caused your pleural effusion and what other conditions you have. Pleural effusion, sometimes called water on the lung, is a buildup of fluid between the lungs and the chest cavity. Pleural effusions are diagnosed in about 1.5 million individuals in the united states annually [1]. Pleural effusion is a condition in which. Can Pleural Effusion Go Away.
From californiapulmonaryassociates.com
Pleural Effusion Symptoms, Causes, Types, And Treatments California Can Pleural Effusion Go Away It can result from pneumonia, heart failure, cancer,. A pleural effusion results when fluid collects between the parietal and visceral pleural surfaces of the thorax. If the underlying cause can be successfully treated then there is a good chance that the pleural effusion will go away for good. Pleural effusion, sometimes called water on the lung, is a buildup of. Can Pleural Effusion Go Away.
From www.nursesnotehelp.com
Pleural Effusion Cause, Management,ICD Nurses note help Can Pleural Effusion Go Away If the underlying cause can be successfully treated then there is a good chance that the pleural effusion will go away for good. The best way is to treat the cause of the effusion. It can result from pneumonia, heart failure, cancer,. The outlook or prognosis varies depending on what caused your pleural effusion and what other conditions you have.. Can Pleural Effusion Go Away.
From iplungclinic.com
Pleural Effusion in Singapore Interventional Pulmonology & Lung Can Pleural Effusion Go Away It can result from pneumonia, heart failure, cancer,. A thin layer of fluid is. Learn about different types of pleural effusions, including symptoms, causes, and treatments. A pleural effusion results when fluid collects between the parietal and visceral pleural surfaces of the thorax. Among the causes, pleural infection,. Pleural effusion is a condition in which excess fluid builds around the. Can Pleural Effusion Go Away.
From slidesgo.com
Pleural Effusion Causes and Symptoms Google Slides Can Pleural Effusion Go Away A pleural effusion results when fluid collects between the parietal and visceral pleural surfaces of the thorax. It can result from pneumonia, heart failure, cancer,. Pleural effusions are diagnosed in about 1.5 million individuals in the united states annually [1]. Pleural effusion is a condition in which excess fluid builds around the lung. If the underlying cause can be successfully. Can Pleural Effusion Go Away.
From slidesgo.com
Pleural Effusion Causes and Symptoms Google Slides Can Pleural Effusion Go Away Pleural effusions are diagnosed in about 1.5 million individuals in the united states annually [1]. A pleural effusion results when fluid collects between the parietal and visceral pleural surfaces of the thorax. Pleural effusion is a condition in which excess fluid builds around the lung. If the cause is pneumonia, a doctor will likely prescribe antibiotics to treat the infection,.. Can Pleural Effusion Go Away.
From www.lecturio.com
Pleural Effusion Concise Medical Knowledge Can Pleural Effusion Go Away Pleural effusion is a condition in which excess fluid builds around the lung. It can result from pneumonia, heart failure, cancer,. If the underlying cause can be successfully treated then there is a good chance that the pleural effusion will go away for good. Pleural effusion, sometimes called water on the lung, is a buildup of fluid between the lungs. Can Pleural Effusion Go Away.
From slidesgo.com
Malignant Pleural Effusion Case Report Google Slides & PPT Can Pleural Effusion Go Away Pleural effusion, sometimes called water on the lung, is a buildup of fluid between the lungs and the chest cavity. Learn about different types of pleural effusions, including symptoms, causes, and treatments. It can result from pneumonia, heart failure, cancer,. The best way is to treat the cause of the effusion. A pleural effusion results when fluid collects between the. Can Pleural Effusion Go Away.
From drkalpeshpanchal.com
Wet, Wacky Lungs What is Pleural Effusion? Can Pleural Effusion Go Away The best way is to treat the cause of the effusion. If the underlying cause can be successfully treated then there is a good chance that the pleural effusion will go away for good. A thin layer of fluid is. Among the causes, pleural infection,. A pleural effusion results when fluid collects between the parietal and visceral pleural surfaces of. Can Pleural Effusion Go Away.
From www.mdpi.com
Life Free FullText A Strange Case of Traumatic Pleural Effusion Can Pleural Effusion Go Away Learn about different types of pleural effusions, including symptoms, causes, and treatments. Pleural effusion, sometimes called water on the lung, is a buildup of fluid between the lungs and the chest cavity. The best way is to treat the cause of the effusion. Among the causes, pleural infection,. If the underlying cause can be successfully treated then there is a. Can Pleural Effusion Go Away.
From signalduo.com
Top 9 what makes pleurisy flare up 2022 Can Pleural Effusion Go Away A pleural effusion results when fluid collects between the parietal and visceral pleural surfaces of the thorax. If the cause is pneumonia, a doctor will likely prescribe antibiotics to treat the infection,. Pleural effusion, sometimes called water on the lung, is a buildup of fluid between the lungs and the chest cavity. Learn about different types of pleural effusions, including. Can Pleural Effusion Go Away.
From www.macmillan.org.uk
Pleural effusion Macmillan Cancer Support Can Pleural Effusion Go Away If the cause is pneumonia, a doctor will likely prescribe antibiotics to treat the infection,. The best way is to treat the cause of the effusion. The outlook or prognosis varies depending on what caused your pleural effusion and what other conditions you have. Among the causes, pleural infection,. If the underlying cause can be successfully treated then there is. Can Pleural Effusion Go Away.
From jpabs.org
Pleural effusion antibiotic treatment Can Pleural Effusion Go Away If the underlying cause can be successfully treated then there is a good chance that the pleural effusion will go away for good. Among the causes, pleural infection,. A thin layer of fluid is. A pleural effusion results when fluid collects between the parietal and visceral pleural surfaces of the thorax. It can result from pneumonia, heart failure, cancer,. Pleural. Can Pleural Effusion Go Away.
From www.youtube.com
Pleural Effusions Causes, Diagnosis, Symptoms, Treatment YouTube Can Pleural Effusion Go Away If the cause is pneumonia, a doctor will likely prescribe antibiotics to treat the infection,. Pleural effusion, sometimes called water on the lung, is a buildup of fluid between the lungs and the chest cavity. If the underlying cause can be successfully treated then there is a good chance that the pleural effusion will go away for good. It can. Can Pleural Effusion Go Away.
From zerotofinals.com
Pleural Effusion Zero To Finals Can Pleural Effusion Go Away A thin layer of fluid is. If the underlying cause can be successfully treated then there is a good chance that the pleural effusion will go away for good. The outlook or prognosis varies depending on what caused your pleural effusion and what other conditions you have. Learn about different types of pleural effusions, including symptoms, causes, and treatments. The. Can Pleural Effusion Go Away.
From slidesgo.com
Pleural Effusion Causes and Symptoms Google Slides Can Pleural Effusion Go Away It can result from pneumonia, heart failure, cancer,. Pleural effusions are diagnosed in about 1.5 million individuals in the united states annually [1]. Pleural effusion, sometimes called water on the lung, is a buildup of fluid between the lungs and the chest cavity. Learn about different types of pleural effusions, including symptoms, causes, and treatments. The outlook or prognosis varies. Can Pleural Effusion Go Away.
From idiazzaidi.blogspot.com
EDDYCOOL STORY MASSIVE PLEURAL EFFUSION VS LUNG COLLAPSE Can Pleural Effusion Go Away Pleural effusions are diagnosed in about 1.5 million individuals in the united states annually [1]. Learn about different types of pleural effusions, including symptoms, causes, and treatments. A pleural effusion results when fluid collects between the parietal and visceral pleural surfaces of the thorax. The outlook or prognosis varies depending on what caused your pleural effusion and what other conditions. Can Pleural Effusion Go Away.
From medigac.com
What is Pleural effusion Causes, Pathology, Treatment MediGac Can Pleural Effusion Go Away Among the causes, pleural infection,. Pleural effusions are diagnosed in about 1.5 million individuals in the united states annually [1]. It can result from pneumonia, heart failure, cancer,. Pleural effusion, sometimes called water on the lung, is a buildup of fluid between the lungs and the chest cavity. If the underlying cause can be successfully treated then there is a. Can Pleural Effusion Go Away.
From mindthebleep.com
Pleural effusion Mind The Bleep Can Pleural Effusion Go Away A thin layer of fluid is. If the underlying cause can be successfully treated then there is a good chance that the pleural effusion will go away for good. Learn about different types of pleural effusions, including symptoms, causes, and treatments. If the cause is pneumonia, a doctor will likely prescribe antibiotics to treat the infection,. Pleural effusion is a. Can Pleural Effusion Go Away.
From www.drdhirajjain.in
Best Lung Specialist for Pleural Effusions and Empyema Mumbai Can Pleural Effusion Go Away A thin layer of fluid is. Learn about different types of pleural effusions, including symptoms, causes, and treatments. Pleural effusion, sometimes called water on the lung, is a buildup of fluid between the lungs and the chest cavity. Among the causes, pleural infection,. The outlook or prognosis varies depending on what caused your pleural effusion and what other conditions you. Can Pleural Effusion Go Away.