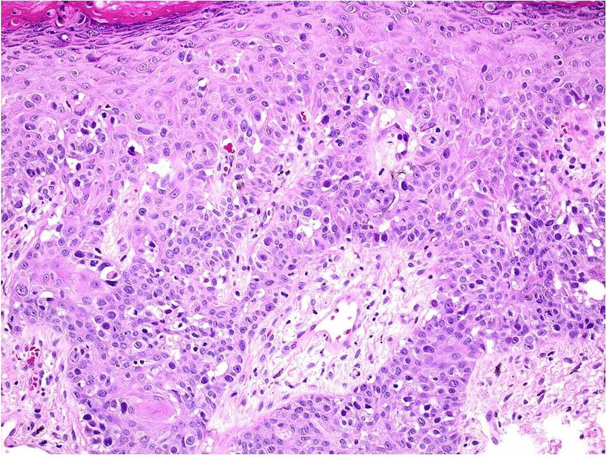
Paget's Disease Radiation Therapy . This systematic review investigates the role of radiotherapy and its best technical profile in the treatment of this disease, with great attention. Extramammary paget's disease (empd) is a relatively rare malignancy, and there are few reports related to radiation therapy. Radiotherapy was administered as postoperative adjuvant treatment in 9 articles with doses ranging between 32 and 64.8 gy in 20 to 30. Sir james paget described an intraepidermal neoplasm of the mammary areola in 1874, and it was subsequently named paget's disease (1). [1] complete surgical removal of localized disease. When invasive extramammary paget disease (empd) metastasizes to distant sites as well as in case of wide locoregional disease that precludes local therapies (i.e., imiquimod), no standard systemic treatments are available and responses to common chemotherapeutic agents are anecdotical. Extramammary paget's disease (empd) is a relatively rare malignancy, and there are few reports related to radiation therapy.
from www.cureus.com
Radiotherapy was administered as postoperative adjuvant treatment in 9 articles with doses ranging between 32 and 64.8 gy in 20 to 30. [1] complete surgical removal of localized disease. Sir james paget described an intraepidermal neoplasm of the mammary areola in 1874, and it was subsequently named paget's disease (1). When invasive extramammary paget disease (empd) metastasizes to distant sites as well as in case of wide locoregional disease that precludes local therapies (i.e., imiquimod), no standard systemic treatments are available and responses to common chemotherapeutic agents are anecdotical. Extramammary paget's disease (empd) is a relatively rare malignancy, and there are few reports related to radiation therapy. This systematic review investigates the role of radiotherapy and its best technical profile in the treatment of this disease, with great attention. Extramammary paget's disease (empd) is a relatively rare malignancy, and there are few reports related to radiation therapy.
Cureus Extensive Extramammary Paget’s Disease With Underlying
Paget's Disease Radiation Therapy Extramammary paget's disease (empd) is a relatively rare malignancy, and there are few reports related to radiation therapy. When invasive extramammary paget disease (empd) metastasizes to distant sites as well as in case of wide locoregional disease that precludes local therapies (i.e., imiquimod), no standard systemic treatments are available and responses to common chemotherapeutic agents are anecdotical. Extramammary paget's disease (empd) is a relatively rare malignancy, and there are few reports related to radiation therapy. [1] complete surgical removal of localized disease. Extramammary paget's disease (empd) is a relatively rare malignancy, and there are few reports related to radiation therapy. This systematic review investigates the role of radiotherapy and its best technical profile in the treatment of this disease, with great attention. Radiotherapy was administered as postoperative adjuvant treatment in 9 articles with doses ranging between 32 and 64.8 gy in 20 to 30. Sir james paget described an intraepidermal neoplasm of the mammary areola in 1874, and it was subsequently named paget's disease (1).
From www.ajronline.org
Imaging of Paget Disease of Bone and Its Musculoskeletal Complications Paget's Disease Radiation Therapy When invasive extramammary paget disease (empd) metastasizes to distant sites as well as in case of wide locoregional disease that precludes local therapies (i.e., imiquimod), no standard systemic treatments are available and responses to common chemotherapeutic agents are anecdotical. This systematic review investigates the role of radiotherapy and its best technical profile in the treatment of this disease, with great. Paget's Disease Radiation Therapy.
From ar.iiarjournals.org
Definitive Radiation Therapy for Extramammary Paget's Disease Paget's Disease Radiation Therapy Extramammary paget's disease (empd) is a relatively rare malignancy, and there are few reports related to radiation therapy. Radiotherapy was administered as postoperative adjuvant treatment in 9 articles with doses ranging between 32 and 64.8 gy in 20 to 30. [1] complete surgical removal of localized disease. Sir james paget described an intraepidermal neoplasm of the mammary areola in 1874,. Paget's Disease Radiation Therapy.
From pubs.rsna.org
Paget Disease of Bone RadioGraphics Paget's Disease Radiation Therapy Radiotherapy was administered as postoperative adjuvant treatment in 9 articles with doses ranging between 32 and 64.8 gy in 20 to 30. Extramammary paget's disease (empd) is a relatively rare malignancy, and there are few reports related to radiation therapy. Sir james paget described an intraepidermal neoplasm of the mammary areola in 1874, and it was subsequently named paget's disease. Paget's Disease Radiation Therapy.
From pubs.rsna.org
Paget Disease of the Breast Mammographic, US, and MR Imaging Findings Paget's Disease Radiation Therapy Sir james paget described an intraepidermal neoplasm of the mammary areola in 1874, and it was subsequently named paget's disease (1). [1] complete surgical removal of localized disease. When invasive extramammary paget disease (empd) metastasizes to distant sites as well as in case of wide locoregional disease that precludes local therapies (i.e., imiquimod), no standard systemic treatments are available and. Paget's Disease Radiation Therapy.
From www.learningradiology.com
Learning Radiology paget, disease, paget's, pelvis Paget's Disease Radiation Therapy [1] complete surgical removal of localized disease. This systematic review investigates the role of radiotherapy and its best technical profile in the treatment of this disease, with great attention. Extramammary paget's disease (empd) is a relatively rare malignancy, and there are few reports related to radiation therapy. When invasive extramammary paget disease (empd) metastasizes to distant sites as well as. Paget's Disease Radiation Therapy.
From www.annalsofoncology.org
Radiation therapy for extramammary Paget's disease treatment Paget's Disease Radiation Therapy Extramammary paget's disease (empd) is a relatively rare malignancy, and there are few reports related to radiation therapy. When invasive extramammary paget disease (empd) metastasizes to distant sites as well as in case of wide locoregional disease that precludes local therapies (i.e., imiquimod), no standard systemic treatments are available and responses to common chemotherapeutic agents are anecdotical. [1] complete surgical. Paget's Disease Radiation Therapy.
From radiopaedia.org
Paget disease Image Paget's Disease Radiation Therapy [1] complete surgical removal of localized disease. This systematic review investigates the role of radiotherapy and its best technical profile in the treatment of this disease, with great attention. Extramammary paget's disease (empd) is a relatively rare malignancy, and there are few reports related to radiation therapy. Sir james paget described an intraepidermal neoplasm of the mammary areola in 1874,. Paget's Disease Radiation Therapy.
From www.physiotattva.com
Rehabilitation for Paget's Disease How Physiotherapy Helps Paget's Disease Radiation Therapy This systematic review investigates the role of radiotherapy and its best technical profile in the treatment of this disease, with great attention. Radiotherapy was administered as postoperative adjuvant treatment in 9 articles with doses ranging between 32 and 64.8 gy in 20 to 30. When invasive extramammary paget disease (empd) metastasizes to distant sites as well as in case of. Paget's Disease Radiation Therapy.
From www.ajronline.org
Imaging of Paget Disease of Bone and Its Musculoskeletal Complications Paget's Disease Radiation Therapy This systematic review investigates the role of radiotherapy and its best technical profile in the treatment of this disease, with great attention. Extramammary paget's disease (empd) is a relatively rare malignancy, and there are few reports related to radiation therapy. Sir james paget described an intraepidermal neoplasm of the mammary areola in 1874, and it was subsequently named paget's disease. Paget's Disease Radiation Therapy.
From ceeizfao.blob.core.windows.net
Icd 10 Possible Paget's Disease at Derek Gregory blog Paget's Disease Radiation Therapy [1] complete surgical removal of localized disease. This systematic review investigates the role of radiotherapy and its best technical profile in the treatment of this disease, with great attention. Extramammary paget's disease (empd) is a relatively rare malignancy, and there are few reports related to radiation therapy. Sir james paget described an intraepidermal neoplasm of the mammary areola in 1874,. Paget's Disease Radiation Therapy.
From www.redjournal.org
Role of Radiotherapy as Curative Treatment of Extramammary Paget’s Paget's Disease Radiation Therapy Extramammary paget's disease (empd) is a relatively rare malignancy, and there are few reports related to radiation therapy. This systematic review investigates the role of radiotherapy and its best technical profile in the treatment of this disease, with great attention. [1] complete surgical removal of localized disease. Radiotherapy was administered as postoperative adjuvant treatment in 9 articles with doses ranging. Paget's Disease Radiation Therapy.
From www.youtube.com
What is Paget’s Disease of Bone and how does bisphosphonate treatment Paget's Disease Radiation Therapy [1] complete surgical removal of localized disease. This systematic review investigates the role of radiotherapy and its best technical profile in the treatment of this disease, with great attention. Extramammary paget's disease (empd) is a relatively rare malignancy, and there are few reports related to radiation therapy. Sir james paget described an intraepidermal neoplasm of the mammary areola in 1874,. Paget's Disease Radiation Therapy.
From www.oncologynurseadvisor.com
Understanding Radiotherapy Defining the Roles of Dosimetry, Medical Paget's Disease Radiation Therapy This systematic review investigates the role of radiotherapy and its best technical profile in the treatment of this disease, with great attention. Extramammary paget's disease (empd) is a relatively rare malignancy, and there are few reports related to radiation therapy. When invasive extramammary paget disease (empd) metastasizes to distant sites as well as in case of wide locoregional disease that. Paget's Disease Radiation Therapy.
From www.researchgate.net
The Role of Radiation Therapy for the Extramammary Paget's Disease of Paget's Disease Radiation Therapy This systematic review investigates the role of radiotherapy and its best technical profile in the treatment of this disease, with great attention. [1] complete surgical removal of localized disease. Radiotherapy was administered as postoperative adjuvant treatment in 9 articles with doses ranging between 32 and 64.8 gy in 20 to 30. Extramammary paget's disease (empd) is a relatively rare malignancy,. Paget's Disease Radiation Therapy.
From es.sifsof.com
Ecografía para la enfermedad ósea de Paget SIFSOF Paget's Disease Radiation Therapy [1] complete surgical removal of localized disease. Extramammary paget's disease (empd) is a relatively rare malignancy, and there are few reports related to radiation therapy. Extramammary paget's disease (empd) is a relatively rare malignancy, and there are few reports related to radiation therapy. Radiotherapy was administered as postoperative adjuvant treatment in 9 articles with doses ranging between 32 and 64.8. Paget's Disease Radiation Therapy.
From ceeizfao.blob.core.windows.net
Icd 10 Possible Paget's Disease at Derek Gregory blog Paget's Disease Radiation Therapy [1] complete surgical removal of localized disease. Extramammary paget's disease (empd) is a relatively rare malignancy, and there are few reports related to radiation therapy. Extramammary paget's disease (empd) is a relatively rare malignancy, and there are few reports related to radiation therapy. This systematic review investigates the role of radiotherapy and its best technical profile in the treatment of. Paget's Disease Radiation Therapy.
From www.pinterest.com
Paget disease Radiology Case Pagets disease Paget's Disease Radiation Therapy This systematic review investigates the role of radiotherapy and its best technical profile in the treatment of this disease, with great attention. Sir james paget described an intraepidermal neoplasm of the mammary areola in 1874, and it was subsequently named paget's disease (1). Radiotherapy was administered as postoperative adjuvant treatment in 9 articles with doses ranging between 32 and 64.8. Paget's Disease Radiation Therapy.
From www.researchgate.net
(PDF) Radiation Therapy for Extramammary Paget Disease Treatment Paget's Disease Radiation Therapy Extramammary paget's disease (empd) is a relatively rare malignancy, and there are few reports related to radiation therapy. Radiotherapy was administered as postoperative adjuvant treatment in 9 articles with doses ranging between 32 and 64.8 gy in 20 to 30. Sir james paget described an intraepidermal neoplasm of the mammary areola in 1874, and it was subsequently named paget's disease. Paget's Disease Radiation Therapy.
From community.bulksupplements.com
Paget's Disease Symptoms, Causes & Treatment Paget's Disease Radiation Therapy [1] complete surgical removal of localized disease. Extramammary paget's disease (empd) is a relatively rare malignancy, and there are few reports related to radiation therapy. Sir james paget described an intraepidermal neoplasm of the mammary areola in 1874, and it was subsequently named paget's disease (1). Extramammary paget's disease (empd) is a relatively rare malignancy, and there are few reports. Paget's Disease Radiation Therapy.
From www.cureus.com
Extensive Extramammary Paget’s Disease With Underlying Perianal Paget's Disease Radiation Therapy This systematic review investigates the role of radiotherapy and its best technical profile in the treatment of this disease, with great attention. Radiotherapy was administered as postoperative adjuvant treatment in 9 articles with doses ranging between 32 and 64.8 gy in 20 to 30. [1] complete surgical removal of localized disease. Sir james paget described an intraepidermal neoplasm of the. Paget's Disease Radiation Therapy.
From www.nirujahealthtech.com
Paget's disease Signs & Symptoms Paget's Disease Radiation Therapy When invasive extramammary paget disease (empd) metastasizes to distant sites as well as in case of wide locoregional disease that precludes local therapies (i.e., imiquimod), no standard systemic treatments are available and responses to common chemotherapeutic agents are anecdotical. [1] complete surgical removal of localized disease. Radiotherapy was administered as postoperative adjuvant treatment in 9 articles with doses ranging between. Paget's Disease Radiation Therapy.
From www.cureus.com
Cureus Extensive Extramammary Paget’s Disease With Underlying Paget's Disease Radiation Therapy Sir james paget described an intraepidermal neoplasm of the mammary areola in 1874, and it was subsequently named paget's disease (1). This systematic review investigates the role of radiotherapy and its best technical profile in the treatment of this disease, with great attention. Extramammary paget's disease (empd) is a relatively rare malignancy, and there are few reports related to radiation. Paget's Disease Radiation Therapy.
From onlinelibrary.wiley.com
Postoperative radiation therapy improves prognoses in extramammary Paget's Disease Radiation Therapy [1] complete surgical removal of localized disease. When invasive extramammary paget disease (empd) metastasizes to distant sites as well as in case of wide locoregional disease that precludes local therapies (i.e., imiquimod), no standard systemic treatments are available and responses to common chemotherapeutic agents are anecdotical. This systematic review investigates the role of radiotherapy and its best technical profile in. Paget's Disease Radiation Therapy.
From www.pinterest.es
Bladeofgrass sign. Vshaped lucency (white arrow) in metaphysis of Paget's Disease Radiation Therapy [1] complete surgical removal of localized disease. When invasive extramammary paget disease (empd) metastasizes to distant sites as well as in case of wide locoregional disease that precludes local therapies (i.e., imiquimod), no standard systemic treatments are available and responses to common chemotherapeutic agents are anecdotical. Extramammary paget's disease (empd) is a relatively rare malignancy, and there are few reports. Paget's Disease Radiation Therapy.
From onlinelibrary.wiley.com
Postoperative radiation therapy for extramammary Paget's disease Hata Paget's Disease Radiation Therapy Extramammary paget's disease (empd) is a relatively rare malignancy, and there are few reports related to radiation therapy. Extramammary paget's disease (empd) is a relatively rare malignancy, and there are few reports related to radiation therapy. Radiotherapy was administered as postoperative adjuvant treatment in 9 articles with doses ranging between 32 and 64.8 gy in 20 to 30. This systematic. Paget's Disease Radiation Therapy.
From www.redjournal.org
Role of Radiotherapy as Curative Treatment of Extramammary Paget’s Paget's Disease Radiation Therapy Sir james paget described an intraepidermal neoplasm of the mammary areola in 1874, and it was subsequently named paget's disease (1). Extramammary paget's disease (empd) is a relatively rare malignancy, and there are few reports related to radiation therapy. This systematic review investigates the role of radiotherapy and its best technical profile in the treatment of this disease, with great. Paget's Disease Radiation Therapy.
From www.researchgate.net
Surgery management's algorithm of Paget disease. Download Paget's Disease Radiation Therapy Extramammary paget's disease (empd) is a relatively rare malignancy, and there are few reports related to radiation therapy. This systematic review investigates the role of radiotherapy and its best technical profile in the treatment of this disease, with great attention. Extramammary paget's disease (empd) is a relatively rare malignancy, and there are few reports related to radiation therapy. When invasive. Paget's Disease Radiation Therapy.
From www.thelancet.com
Pathogenesis and management of Paget's disease of bone The Lancet Paget's Disease Radiation Therapy This systematic review investigates the role of radiotherapy and its best technical profile in the treatment of this disease, with great attention. Extramammary paget's disease (empd) is a relatively rare malignancy, and there are few reports related to radiation therapy. Sir james paget described an intraepidermal neoplasm of the mammary areola in 1874, and it was subsequently named paget's disease. Paget's Disease Radiation Therapy.
From joiktriah.blob.core.windows.net
Paget's Disease Of Bone Uptodate at David Richardson blog Paget's Disease Radiation Therapy When invasive extramammary paget disease (empd) metastasizes to distant sites as well as in case of wide locoregional disease that precludes local therapies (i.e., imiquimod), no standard systemic treatments are available and responses to common chemotherapeutic agents are anecdotical. Extramammary paget's disease (empd) is a relatively rare malignancy, and there are few reports related to radiation therapy. Extramammary paget's disease. Paget's Disease Radiation Therapy.
From radiologykey.com
Paget’s Disease Radiology Key Paget's Disease Radiation Therapy Extramammary paget's disease (empd) is a relatively rare malignancy, and there are few reports related to radiation therapy. This systematic review investigates the role of radiotherapy and its best technical profile in the treatment of this disease, with great attention. Radiotherapy was administered as postoperative adjuvant treatment in 9 articles with doses ranging between 32 and 64.8 gy in 20. Paget's Disease Radiation Therapy.
From www.scribd.com
Management of Paget Disease of The Breast With Radiotherapy PDF Paget's Disease Radiation Therapy Extramammary paget's disease (empd) is a relatively rare malignancy, and there are few reports related to radiation therapy. Sir james paget described an intraepidermal neoplasm of the mammary areola in 1874, and it was subsequently named paget's disease (1). Extramammary paget's disease (empd) is a relatively rare malignancy, and there are few reports related to radiation therapy. This systematic review. Paget's Disease Radiation Therapy.
From www.cureus.com
Cureus Extensive Extramammary Paget’s Disease With Underlying Paget's Disease Radiation Therapy Radiotherapy was administered as postoperative adjuvant treatment in 9 articles with doses ranging between 32 and 64.8 gy in 20 to 30. Extramammary paget's disease (empd) is a relatively rare malignancy, and there are few reports related to radiation therapy. When invasive extramammary paget disease (empd) metastasizes to distant sites as well as in case of wide locoregional disease that. Paget's Disease Radiation Therapy.
From www.annalsofoncology.org
Radiation therapy for extramammary Paget's disease treatment Paget's Disease Radiation Therapy [1] complete surgical removal of localized disease. Extramammary paget's disease (empd) is a relatively rare malignancy, and there are few reports related to radiation therapy. This systematic review investigates the role of radiotherapy and its best technical profile in the treatment of this disease, with great attention. Sir james paget described an intraepidermal neoplasm of the mammary areola in 1874,. Paget's Disease Radiation Therapy.
From ar.iiarjournals.org
Definitive Radiation Therapy for Extramammary Paget's Disease Paget's Disease Radiation Therapy This systematic review investigates the role of radiotherapy and its best technical profile in the treatment of this disease, with great attention. Extramammary paget's disease (empd) is a relatively rare malignancy, and there are few reports related to radiation therapy. Extramammary paget's disease (empd) is a relatively rare malignancy, and there are few reports related to radiation therapy. Sir james. Paget's Disease Radiation Therapy.
From mavink.com
Stages Of Paget's Disease Paget's Disease Radiation Therapy When invasive extramammary paget disease (empd) metastasizes to distant sites as well as in case of wide locoregional disease that precludes local therapies (i.e., imiquimod), no standard systemic treatments are available and responses to common chemotherapeutic agents are anecdotical. Extramammary paget's disease (empd) is a relatively rare malignancy, and there are few reports related to radiation therapy. Radiotherapy was administered. Paget's Disease Radiation Therapy.