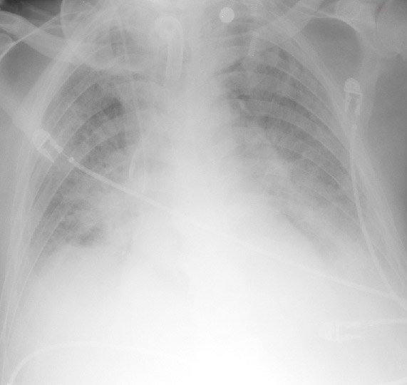
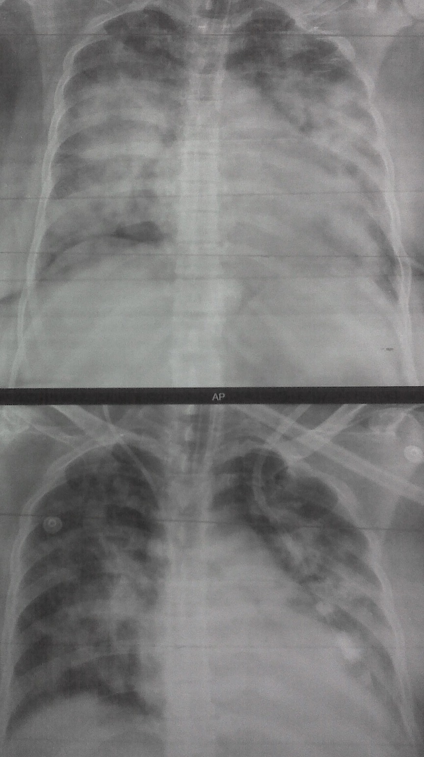
Can Pulmonary Edema Be Seen On Xray . Pulmonary edema is one of the most common entities encountered on routine chest imaging in both the inpatient and outpatient settings. Pulmonary edema is the abnormal buildup of fluid in your lungs that can cause shortness of breath and difficulty breathing. Learn how to recognize the chest radiographic signs of hydrostatic and permeability pulmonary edema, and the factors that affect their appearance and resolution. Pulmonary edema is a condition caused by too much fluid in the lungs, making it difficult to breathe. Learn about the causes, presentation, investigation and treatment of pulmonary edema, a condition of fluid accumulation in the lungs. Doctors may also order tests to confirm pulmonary edema or to rule out other conditions, including:
from sumerdoc.blogspot.com
Pulmonary edema is one of the most common entities encountered on routine chest imaging in both the inpatient and outpatient settings. Pulmonary edema is a condition caused by too much fluid in the lungs, making it difficult to breathe. Pulmonary edema is the abnormal buildup of fluid in your lungs that can cause shortness of breath and difficulty breathing. Learn how to recognize the chest radiographic signs of hydrostatic and permeability pulmonary edema, and the factors that affect their appearance and resolution. Learn about the causes, presentation, investigation and treatment of pulmonary edema, a condition of fluid accumulation in the lungs. Doctors may also order tests to confirm pulmonary edema or to rule out other conditions, including:
Pulmonary Edema CXR Sumer's Radiology Blog
Can Pulmonary Edema Be Seen On Xray Learn how to recognize the chest radiographic signs of hydrostatic and permeability pulmonary edema, and the factors that affect their appearance and resolution. Pulmonary edema is a condition caused by too much fluid in the lungs, making it difficult to breathe. Pulmonary edema is one of the most common entities encountered on routine chest imaging in both the inpatient and outpatient settings. Learn how to recognize the chest radiographic signs of hydrostatic and permeability pulmonary edema, and the factors that affect their appearance and resolution. Learn about the causes, presentation, investigation and treatment of pulmonary edema, a condition of fluid accumulation in the lungs. Pulmonary edema is the abnormal buildup of fluid in your lungs that can cause shortness of breath and difficulty breathing. Doctors may also order tests to confirm pulmonary edema or to rule out other conditions, including:
From www.researchgate.net
CT findings of the lung edema. A bilateral lung edema can be seen in Can Pulmonary Edema Be Seen On Xray Learn how to recognize the chest radiographic signs of hydrostatic and permeability pulmonary edema, and the factors that affect their appearance and resolution. Learn about the causes, presentation, investigation and treatment of pulmonary edema, a condition of fluid accumulation in the lungs. Doctors may also order tests to confirm pulmonary edema or to rule out other conditions, including: Pulmonary edema. Can Pulmonary Edema Be Seen On Xray.
From www.animalia-life.club
Pulmonary Edema Chest X Ray Can Pulmonary Edema Be Seen On Xray Doctors may also order tests to confirm pulmonary edema or to rule out other conditions, including: Learn about the causes, presentation, investigation and treatment of pulmonary edema, a condition of fluid accumulation in the lungs. Pulmonary edema is the abnormal buildup of fluid in your lungs that can cause shortness of breath and difficulty breathing. Pulmonary edema is a condition. Can Pulmonary Edema Be Seen On Xray.
From www.animalia-life.club
Pulmonary Edema Chest X Ray Can Pulmonary Edema Be Seen On Xray Pulmonary edema is one of the most common entities encountered on routine chest imaging in both the inpatient and outpatient settings. Doctors may also order tests to confirm pulmonary edema or to rule out other conditions, including: Learn about the causes, presentation, investigation and treatment of pulmonary edema, a condition of fluid accumulation in the lungs. Pulmonary edema is a. Can Pulmonary Edema Be Seen On Xray.
From mungfali.com
Pulmonary Edema Chest X Ray Can Pulmonary Edema Be Seen On Xray Pulmonary edema is one of the most common entities encountered on routine chest imaging in both the inpatient and outpatient settings. Doctors may also order tests to confirm pulmonary edema or to rule out other conditions, including: Pulmonary edema is the abnormal buildup of fluid in your lungs that can cause shortness of breath and difficulty breathing. Pulmonary edema is. Can Pulmonary Edema Be Seen On Xray.
From sumerdoc.blogspot.com
Pulmonary Edema CXR Sumer's Radiology Blog Can Pulmonary Edema Be Seen On Xray Pulmonary edema is one of the most common entities encountered on routine chest imaging in both the inpatient and outpatient settings. Learn how to recognize the chest radiographic signs of hydrostatic and permeability pulmonary edema, and the factors that affect their appearance and resolution. Doctors may also order tests to confirm pulmonary edema or to rule out other conditions, including:. Can Pulmonary Edema Be Seen On Xray.
From pubs.rsna.org
Clinical and Radiologic Features of Pulmonary Edema RadioGraphics Can Pulmonary Edema Be Seen On Xray Pulmonary edema is a condition caused by too much fluid in the lungs, making it difficult to breathe. Pulmonary edema is the abnormal buildup of fluid in your lungs that can cause shortness of breath and difficulty breathing. Doctors may also order tests to confirm pulmonary edema or to rule out other conditions, including: Learn how to recognize the chest. Can Pulmonary Edema Be Seen On Xray.
From www.animalia-life.club
Pulmonary Edema Chest X Ray Can Pulmonary Edema Be Seen On Xray Doctors may also order tests to confirm pulmonary edema or to rule out other conditions, including: Learn about the causes, presentation, investigation and treatment of pulmonary edema, a condition of fluid accumulation in the lungs. Pulmonary edema is a condition caused by too much fluid in the lungs, making it difficult to breathe. Pulmonary edema is one of the most. Can Pulmonary Edema Be Seen On Xray.
From www.animalia-life.club
Pulmonary Edema Chest X Ray Can Pulmonary Edema Be Seen On Xray Learn how to recognize the chest radiographic signs of hydrostatic and permeability pulmonary edema, and the factors that affect their appearance and resolution. Pulmonary edema is the abnormal buildup of fluid in your lungs that can cause shortness of breath and difficulty breathing. Learn about the causes, presentation, investigation and treatment of pulmonary edema, a condition of fluid accumulation in. Can Pulmonary Edema Be Seen On Xray.
From www.animalia-life.club
Pulmonary Edema Chest X Ray Can Pulmonary Edema Be Seen On Xray Pulmonary edema is a condition caused by too much fluid in the lungs, making it difficult to breathe. Learn how to recognize the chest radiographic signs of hydrostatic and permeability pulmonary edema, and the factors that affect their appearance and resolution. Doctors may also order tests to confirm pulmonary edema or to rule out other conditions, including: Pulmonary edema is. Can Pulmonary Edema Be Seen On Xray.
From pediatricimaging.org
Pediatric Pulmonary Edema Pediatric Radiology Reference Article Can Pulmonary Edema Be Seen On Xray Learn about the causes, presentation, investigation and treatment of pulmonary edema, a condition of fluid accumulation in the lungs. Doctors may also order tests to confirm pulmonary edema or to rule out other conditions, including: Learn how to recognize the chest radiographic signs of hydrostatic and permeability pulmonary edema, and the factors that affect their appearance and resolution. Pulmonary edema. Can Pulmonary Edema Be Seen On Xray.
From kons-wa.blogspot.com
Pulmonary Edema X Ray / Acute pulmonary edema Image Can Pulmonary Edema Be Seen On Xray Learn how to recognize the chest radiographic signs of hydrostatic and permeability pulmonary edema, and the factors that affect their appearance and resolution. Learn about the causes, presentation, investigation and treatment of pulmonary edema, a condition of fluid accumulation in the lungs. Pulmonary edema is a condition caused by too much fluid in the lungs, making it difficult to breathe.. Can Pulmonary Edema Be Seen On Xray.
From ar.inspiredpencil.com
Pulmonary Edema Chf Chest X Ray Can Pulmonary Edema Be Seen On Xray Learn about the causes, presentation, investigation and treatment of pulmonary edema, a condition of fluid accumulation in the lungs. Doctors may also order tests to confirm pulmonary edema or to rule out other conditions, including: Pulmonary edema is the abnormal buildup of fluid in your lungs that can cause shortness of breath and difficulty breathing. Pulmonary edema is a condition. Can Pulmonary Edema Be Seen On Xray.
From radiologykey.com
Pulmonary Edema and Symmetrical Bilateral Infiltrates Radiology Key Can Pulmonary Edema Be Seen On Xray Doctors may also order tests to confirm pulmonary edema or to rule out other conditions, including: Learn how to recognize the chest radiographic signs of hydrostatic and permeability pulmonary edema, and the factors that affect their appearance and resolution. Pulmonary edema is one of the most common entities encountered on routine chest imaging in both the inpatient and outpatient settings.. Can Pulmonary Edema Be Seen On Xray.
From pubs.rsna.org
Clinical and Radiologic Features of Pulmonary Edema RadioGraphics Can Pulmonary Edema Be Seen On Xray Doctors may also order tests to confirm pulmonary edema or to rule out other conditions, including: Pulmonary edema is the abnormal buildup of fluid in your lungs that can cause shortness of breath and difficulty breathing. Pulmonary edema is one of the most common entities encountered on routine chest imaging in both the inpatient and outpatient settings. Learn about the. Can Pulmonary Edema Be Seen On Xray.
From www.researchgate.net
CXR revealing CCF and interstitial pulmonary edema. Download Can Pulmonary Edema Be Seen On Xray Pulmonary edema is a condition caused by too much fluid in the lungs, making it difficult to breathe. Learn how to recognize the chest radiographic signs of hydrostatic and permeability pulmonary edema, and the factors that affect their appearance and resolution. Pulmonary edema is the abnormal buildup of fluid in your lungs that can cause shortness of breath and difficulty. Can Pulmonary Edema Be Seen On Xray.
From pubs.rsna.org
Clinical and Radiologic Features of Pulmonary Edema RadioGraphics Can Pulmonary Edema Be Seen On Xray Pulmonary edema is the abnormal buildup of fluid in your lungs that can cause shortness of breath and difficulty breathing. Pulmonary edema is a condition caused by too much fluid in the lungs, making it difficult to breathe. Learn about the causes, presentation, investigation and treatment of pulmonary edema, a condition of fluid accumulation in the lungs. Learn how to. Can Pulmonary Edema Be Seen On Xray.
From www.animalia-life.club
Pulmonary Edema Chest X Ray Can Pulmonary Edema Be Seen On Xray Doctors may also order tests to confirm pulmonary edema or to rule out other conditions, including: Pulmonary edema is the abnormal buildup of fluid in your lungs that can cause shortness of breath and difficulty breathing. Pulmonary edema is a condition caused by too much fluid in the lungs, making it difficult to breathe. Pulmonary edema is one of the. Can Pulmonary Edema Be Seen On Xray.
From www.animalia-life.club
Pulmonary Edema Chest X Ray Can Pulmonary Edema Be Seen On Xray Learn about the causes, presentation, investigation and treatment of pulmonary edema, a condition of fluid accumulation in the lungs. Learn how to recognize the chest radiographic signs of hydrostatic and permeability pulmonary edema, and the factors that affect their appearance and resolution. Pulmonary edema is the abnormal buildup of fluid in your lungs that can cause shortness of breath and. Can Pulmonary Edema Be Seen On Xray.
From mungfali.com
Pulmonary Edema Chest X Ray Can Pulmonary Edema Be Seen On Xray Learn how to recognize the chest radiographic signs of hydrostatic and permeability pulmonary edema, and the factors that affect their appearance and resolution. Pulmonary edema is a condition caused by too much fluid in the lungs, making it difficult to breathe. Doctors may also order tests to confirm pulmonary edema or to rule out other conditions, including: Pulmonary edema is. Can Pulmonary Edema Be Seen On Xray.
From www.wikidoc.org
Pulmonary edema chest x ray wikidoc Can Pulmonary Edema Be Seen On Xray Learn how to recognize the chest radiographic signs of hydrostatic and permeability pulmonary edema, and the factors that affect their appearance and resolution. Pulmonary edema is a condition caused by too much fluid in the lungs, making it difficult to breathe. Pulmonary edema is the abnormal buildup of fluid in your lungs that can cause shortness of breath and difficulty. Can Pulmonary Edema Be Seen On Xray.
From www.researchgate.net
Pulmonary edema is shown in immediate postoperative chest Xray Can Pulmonary Edema Be Seen On Xray Pulmonary edema is one of the most common entities encountered on routine chest imaging in both the inpatient and outpatient settings. Pulmonary edema is the abnormal buildup of fluid in your lungs that can cause shortness of breath and difficulty breathing. Learn about the causes, presentation, investigation and treatment of pulmonary edema, a condition of fluid accumulation in the lungs.. Can Pulmonary Edema Be Seen On Xray.
From www.ejropen.com
Pulmonary Edema A Pictorial Review of Imaging Manifestations and Can Pulmonary Edema Be Seen On Xray Doctors may also order tests to confirm pulmonary edema or to rule out other conditions, including: Pulmonary edema is a condition caused by too much fluid in the lungs, making it difficult to breathe. Learn about the causes, presentation, investigation and treatment of pulmonary edema, a condition of fluid accumulation in the lungs. Learn how to recognize the chest radiographic. Can Pulmonary Edema Be Seen On Xray.
From kons-wa.blogspot.com
Pulmonary Edema X Ray / Acute pulmonary edema Image Can Pulmonary Edema Be Seen On Xray Learn about the causes, presentation, investigation and treatment of pulmonary edema, a condition of fluid accumulation in the lungs. Pulmonary edema is a condition caused by too much fluid in the lungs, making it difficult to breathe. Pulmonary edema is the abnormal buildup of fluid in your lungs that can cause shortness of breath and difficulty breathing. Pulmonary edema is. Can Pulmonary Edema Be Seen On Xray.
From www.animalia-life.club
Pulmonary Edema Chest X Ray Can Pulmonary Edema Be Seen On Xray Pulmonary edema is the abnormal buildup of fluid in your lungs that can cause shortness of breath and difficulty breathing. Learn about the causes, presentation, investigation and treatment of pulmonary edema, a condition of fluid accumulation in the lungs. Learn how to recognize the chest radiographic signs of hydrostatic and permeability pulmonary edema, and the factors that affect their appearance. Can Pulmonary Edema Be Seen On Xray.
From www.animalia-life.club
Pulmonary Edema Chest X Ray Can Pulmonary Edema Be Seen On Xray Learn about the causes, presentation, investigation and treatment of pulmonary edema, a condition of fluid accumulation in the lungs. Pulmonary edema is the abnormal buildup of fluid in your lungs that can cause shortness of breath and difficulty breathing. Pulmonary edema is one of the most common entities encountered on routine chest imaging in both the inpatient and outpatient settings.. Can Pulmonary Edema Be Seen On Xray.
From dale-dd.blogspot.com
Pulmonary Edema X Ray / The preoperative chest Xray showing pulmonary Can Pulmonary Edema Be Seen On Xray Pulmonary edema is the abnormal buildup of fluid in your lungs that can cause shortness of breath and difficulty breathing. Doctors may also order tests to confirm pulmonary edema or to rule out other conditions, including: Pulmonary edema is one of the most common entities encountered on routine chest imaging in both the inpatient and outpatient settings. Pulmonary edema is. Can Pulmonary Edema Be Seen On Xray.
From www.animalia-life.club
Pulmonary Edema Chest X Ray Can Pulmonary Edema Be Seen On Xray Pulmonary edema is the abnormal buildup of fluid in your lungs that can cause shortness of breath and difficulty breathing. Pulmonary edema is one of the most common entities encountered on routine chest imaging in both the inpatient and outpatient settings. Learn about the causes, presentation, investigation and treatment of pulmonary edema, a condition of fluid accumulation in the lungs.. Can Pulmonary Edema Be Seen On Xray.
From www.semanticscholar.org
Unilateral Pulmonary Edema Seen in Patient with Massive Pleural Can Pulmonary Edema Be Seen On Xray Pulmonary edema is the abnormal buildup of fluid in your lungs that can cause shortness of breath and difficulty breathing. Learn about the causes, presentation, investigation and treatment of pulmonary edema, a condition of fluid accumulation in the lungs. Pulmonary edema is a condition caused by too much fluid in the lungs, making it difficult to breathe. Learn how to. Can Pulmonary Edema Be Seen On Xray.
From www.animalia-life.club
Pulmonary Edema Chest X Ray Can Pulmonary Edema Be Seen On Xray Learn about the causes, presentation, investigation and treatment of pulmonary edema, a condition of fluid accumulation in the lungs. Pulmonary edema is a condition caused by too much fluid in the lungs, making it difficult to breathe. Learn how to recognize the chest radiographic signs of hydrostatic and permeability pulmonary edema, and the factors that affect their appearance and resolution.. Can Pulmonary Edema Be Seen On Xray.
From www.researchgate.net
Postoperative chest Xray. Mild diffuse pulmonary edema of both lung Can Pulmonary Edema Be Seen On Xray Pulmonary edema is a condition caused by too much fluid in the lungs, making it difficult to breathe. Pulmonary edema is the abnormal buildup of fluid in your lungs that can cause shortness of breath and difficulty breathing. Pulmonary edema is one of the most common entities encountered on routine chest imaging in both the inpatient and outpatient settings. Learn. Can Pulmonary Edema Be Seen On Xray.
From dale-dd.blogspot.com
Pulmonary Edema X Ray / The preoperative chest Xray showing pulmonary Can Pulmonary Edema Be Seen On Xray Learn about the causes, presentation, investigation and treatment of pulmonary edema, a condition of fluid accumulation in the lungs. Pulmonary edema is a condition caused by too much fluid in the lungs, making it difficult to breathe. Learn how to recognize the chest radiographic signs of hydrostatic and permeability pulmonary edema, and the factors that affect their appearance and resolution.. Can Pulmonary Edema Be Seen On Xray.
From www.animalia-life.club
Pulmonary Edema Chest X Ray Can Pulmonary Edema Be Seen On Xray Learn about the causes, presentation, investigation and treatment of pulmonary edema, a condition of fluid accumulation in the lungs. Pulmonary edema is the abnormal buildup of fluid in your lungs that can cause shortness of breath and difficulty breathing. Doctors may also order tests to confirm pulmonary edema or to rule out other conditions, including: Pulmonary edema is a condition. Can Pulmonary Edema Be Seen On Xray.
From www.wikidoc.org
Pulmonary edema chest x ray wikidoc Can Pulmonary Edema Be Seen On Xray Doctors may also order tests to confirm pulmonary edema or to rule out other conditions, including: Pulmonary edema is one of the most common entities encountered on routine chest imaging in both the inpatient and outpatient settings. Pulmonary edema is a condition caused by too much fluid in the lungs, making it difficult to breathe. Learn how to recognize the. Can Pulmonary Edema Be Seen On Xray.
From pubs.rsna.org
Clinical and Radiologic Features of Pulmonary Edema RadioGraphics Can Pulmonary Edema Be Seen On Xray Learn about the causes, presentation, investigation and treatment of pulmonary edema, a condition of fluid accumulation in the lungs. Doctors may also order tests to confirm pulmonary edema or to rule out other conditions, including: Pulmonary edema is one of the most common entities encountered on routine chest imaging in both the inpatient and outpatient settings. Pulmonary edema is a. Can Pulmonary Edema Be Seen On Xray.
From mungfali.com
Lung Ultrasound Pulmonary Edema Can Pulmonary Edema Be Seen On Xray Learn how to recognize the chest radiographic signs of hydrostatic and permeability pulmonary edema, and the factors that affect their appearance and resolution. Pulmonary edema is a condition caused by too much fluid in the lungs, making it difficult to breathe. Doctors may also order tests to confirm pulmonary edema or to rule out other conditions, including: Pulmonary edema is. Can Pulmonary Edema Be Seen On Xray.