Spindle Cell Hepatocellular Carcinoma . Morphologically, conventional hcc show 4 major architectural growth patterns: Trabecular, solid, pseudoglandular/acinar, and macrotrabecular. Spindle cell hepatocellular carcinoma (sphcc) has rarely been reported, and its clinicopathologic characteristics, histogenesis, and prognosis after hepatic resection have yet to be. It has been reported that hepatocellular carcinoma (hcc) with spindle cell tumor accounts for 1.8% of all hccs, but spindle cell tumors that do not show an. Most common (> 80%) primary liver. Primary malignancy of liver with hepatocellular differentiation.
from www.spandidos-publications.com
Trabecular, solid, pseudoglandular/acinar, and macrotrabecular. It has been reported that hepatocellular carcinoma (hcc) with spindle cell tumor accounts for 1.8% of all hccs, but spindle cell tumors that do not show an. Most common (> 80%) primary liver. Primary malignancy of liver with hepatocellular differentiation. Spindle cell hepatocellular carcinoma (sphcc) has rarely been reported, and its clinicopathologic characteristics, histogenesis, and prognosis after hepatic resection have yet to be. Morphologically, conventional hcc show 4 major architectural growth patterns:
early gallbladder carcinoma with primary
Spindle Cell Hepatocellular Carcinoma Trabecular, solid, pseudoglandular/acinar, and macrotrabecular. Spindle cell hepatocellular carcinoma (sphcc) has rarely been reported, and its clinicopathologic characteristics, histogenesis, and prognosis after hepatic resection have yet to be. Most common (> 80%) primary liver. Trabecular, solid, pseudoglandular/acinar, and macrotrabecular. It has been reported that hepatocellular carcinoma (hcc) with spindle cell tumor accounts for 1.8% of all hccs, but spindle cell tumors that do not show an. Morphologically, conventional hcc show 4 major architectural growth patterns: Primary malignancy of liver with hepatocellular differentiation.
From www.researchgate.net
Hepatocellular carcinoma (HCC) development and corresponding diagnostic Spindle Cell Hepatocellular Carcinoma Morphologically, conventional hcc show 4 major architectural growth patterns: Spindle cell hepatocellular carcinoma (sphcc) has rarely been reported, and its clinicopathologic characteristics, histogenesis, and prognosis after hepatic resection have yet to be. Trabecular, solid, pseudoglandular/acinar, and macrotrabecular. Most common (> 80%) primary liver. Primary malignancy of liver with hepatocellular differentiation. It has been reported that hepatocellular carcinoma (hcc) with spindle. Spindle Cell Hepatocellular Carcinoma.
From www.mayoclinicproceedings.org
Hepatocellular Carcinoma Mayo Clinic Proceedings Spindle Cell Hepatocellular Carcinoma Morphologically, conventional hcc show 4 major architectural growth patterns: Trabecular, solid, pseudoglandular/acinar, and macrotrabecular. Primary malignancy of liver with hepatocellular differentiation. Most common (> 80%) primary liver. It has been reported that hepatocellular carcinoma (hcc) with spindle cell tumor accounts for 1.8% of all hccs, but spindle cell tumors that do not show an. Spindle cell hepatocellular carcinoma (sphcc) has. Spindle Cell Hepatocellular Carcinoma.
From openi.nlm.nih.gov
fig11FineNeedle Aspiration Biopsy of Hepatocellular Carcinoma and Spindle Cell Hepatocellular Carcinoma Morphologically, conventional hcc show 4 major architectural growth patterns: Most common (> 80%) primary liver. Primary malignancy of liver with hepatocellular differentiation. Spindle cell hepatocellular carcinoma (sphcc) has rarely been reported, and its clinicopathologic characteristics, histogenesis, and prognosis after hepatic resection have yet to be. It has been reported that hepatocellular carcinoma (hcc) with spindle cell tumor accounts for 1.8%. Spindle Cell Hepatocellular Carcinoma.
From www.cancernetwork.com
Hepatocellular Carcinoma Pathology Cancer Network Spindle Cell Hepatocellular Carcinoma Most common (> 80%) primary liver. Spindle cell hepatocellular carcinoma (sphcc) has rarely been reported, and its clinicopathologic characteristics, histogenesis, and prognosis after hepatic resection have yet to be. Morphologically, conventional hcc show 4 major architectural growth patterns: Primary malignancy of liver with hepatocellular differentiation. It has been reported that hepatocellular carcinoma (hcc) with spindle cell tumor accounts for 1.8%. Spindle Cell Hepatocellular Carcinoma.
From www.dreamstime.com
Hepatocellular Carcinoma, Light Micrograph Stock Image Image of Spindle Cell Hepatocellular Carcinoma It has been reported that hepatocellular carcinoma (hcc) with spindle cell tumor accounts for 1.8% of all hccs, but spindle cell tumors that do not show an. Primary malignancy of liver with hepatocellular differentiation. Trabecular, solid, pseudoglandular/acinar, and macrotrabecular. Most common (> 80%) primary liver. Spindle cell hepatocellular carcinoma (sphcc) has rarely been reported, and its clinicopathologic characteristics, histogenesis, and. Spindle Cell Hepatocellular Carcinoma.
From www.spandidos-publications.com
early gallbladder carcinoma with primary Spindle Cell Hepatocellular Carcinoma Primary malignancy of liver with hepatocellular differentiation. Spindle cell hepatocellular carcinoma (sphcc) has rarely been reported, and its clinicopathologic characteristics, histogenesis, and prognosis after hepatic resection have yet to be. It has been reported that hepatocellular carcinoma (hcc) with spindle cell tumor accounts for 1.8% of all hccs, but spindle cell tumors that do not show an. Most common (>. Spindle Cell Hepatocellular Carcinoma.
From www.youtube.com
Hepatocellular Carcinoma Histopathology YouTube Spindle Cell Hepatocellular Carcinoma Primary malignancy of liver with hepatocellular differentiation. Trabecular, solid, pseudoglandular/acinar, and macrotrabecular. Morphologically, conventional hcc show 4 major architectural growth patterns: Spindle cell hepatocellular carcinoma (sphcc) has rarely been reported, and its clinicopathologic characteristics, histogenesis, and prognosis after hepatic resection have yet to be. Most common (> 80%) primary liver. It has been reported that hepatocellular carcinoma (hcc) with spindle. Spindle Cell Hepatocellular Carcinoma.
From librepathology.org
Hepatocellular carcinoma Libre Pathology Spindle Cell Hepatocellular Carcinoma Spindle cell hepatocellular carcinoma (sphcc) has rarely been reported, and its clinicopathologic characteristics, histogenesis, and prognosis after hepatic resection have yet to be. Morphologically, conventional hcc show 4 major architectural growth patterns: Trabecular, solid, pseudoglandular/acinar, and macrotrabecular. Primary malignancy of liver with hepatocellular differentiation. Most common (> 80%) primary liver. It has been reported that hepatocellular carcinoma (hcc) with spindle. Spindle Cell Hepatocellular Carcinoma.
From www.dreamstime.com
Hepatocellular Carcinoma, Light Micrograph Stock Image Image of Spindle Cell Hepatocellular Carcinoma Trabecular, solid, pseudoglandular/acinar, and macrotrabecular. Primary malignancy of liver with hepatocellular differentiation. Spindle cell hepatocellular carcinoma (sphcc) has rarely been reported, and its clinicopathologic characteristics, histogenesis, and prognosis after hepatic resection have yet to be. It has been reported that hepatocellular carcinoma (hcc) with spindle cell tumor accounts for 1.8% of all hccs, but spindle cell tumors that do not. Spindle Cell Hepatocellular Carcinoma.
From www.cancernetwork.com
Hepatocellular Carcinoma Pathology Cancer Network Spindle Cell Hepatocellular Carcinoma Spindle cell hepatocellular carcinoma (sphcc) has rarely been reported, and its clinicopathologic characteristics, histogenesis, and prognosis after hepatic resection have yet to be. Morphologically, conventional hcc show 4 major architectural growth patterns: It has been reported that hepatocellular carcinoma (hcc) with spindle cell tumor accounts for 1.8% of all hccs, but spindle cell tumors that do not show an. Trabecular,. Spindle Cell Hepatocellular Carcinoma.
From www.researchgate.net
Nucleolar and spindle associated protein 1 (NUSAP1) promotes cancer Spindle Cell Hepatocellular Carcinoma Trabecular, solid, pseudoglandular/acinar, and macrotrabecular. It has been reported that hepatocellular carcinoma (hcc) with spindle cell tumor accounts for 1.8% of all hccs, but spindle cell tumors that do not show an. Morphologically, conventional hcc show 4 major architectural growth patterns: Primary malignancy of liver with hepatocellular differentiation. Spindle cell hepatocellular carcinoma (sphcc) has rarely been reported, and its clinicopathologic. Spindle Cell Hepatocellular Carcinoma.
From librepathology.org
Hepatocellular carcinoma Libre Pathology Spindle Cell Hepatocellular Carcinoma Most common (> 80%) primary liver. Morphologically, conventional hcc show 4 major architectural growth patterns: Primary malignancy of liver with hepatocellular differentiation. It has been reported that hepatocellular carcinoma (hcc) with spindle cell tumor accounts for 1.8% of all hccs, but spindle cell tumors that do not show an. Spindle cell hepatocellular carcinoma (sphcc) has rarely been reported, and its. Spindle Cell Hepatocellular Carcinoma.
From www.researchgate.net
Hepatocellular carcinoma and cholangiocarcinoma. Gross appearances of a Spindle Cell Hepatocellular Carcinoma It has been reported that hepatocellular carcinoma (hcc) with spindle cell tumor accounts for 1.8% of all hccs, but spindle cell tumors that do not show an. Most common (> 80%) primary liver. Trabecular, solid, pseudoglandular/acinar, and macrotrabecular. Morphologically, conventional hcc show 4 major architectural growth patterns: Primary malignancy of liver with hepatocellular differentiation. Spindle cell hepatocellular carcinoma (sphcc) has. Spindle Cell Hepatocellular Carcinoma.
From hrjournal.net
Histopathology of hepatocellular carcinoma when and what Spindle Cell Hepatocellular Carcinoma Spindle cell hepatocellular carcinoma (sphcc) has rarely been reported, and its clinicopathologic characteristics, histogenesis, and prognosis after hepatic resection have yet to be. Primary malignancy of liver with hepatocellular differentiation. Trabecular, solid, pseudoglandular/acinar, and macrotrabecular. Morphologically, conventional hcc show 4 major architectural growth patterns: Most common (> 80%) primary liver. It has been reported that hepatocellular carcinoma (hcc) with spindle. Spindle Cell Hepatocellular Carcinoma.
From www.aasld.org
Pathology Pearls Hepatocellular Carcinoma AASLD Spindle Cell Hepatocellular Carcinoma It has been reported that hepatocellular carcinoma (hcc) with spindle cell tumor accounts for 1.8% of all hccs, but spindle cell tumors that do not show an. Most common (> 80%) primary liver. Trabecular, solid, pseudoglandular/acinar, and macrotrabecular. Spindle cell hepatocellular carcinoma (sphcc) has rarely been reported, and its clinicopathologic characteristics, histogenesis, and prognosis after hepatic resection have yet to. Spindle Cell Hepatocellular Carcinoma.
From www.dreamstime.com
Hepatocellular Carcinoma, Light Micrograph Stock Image Image of Spindle Cell Hepatocellular Carcinoma Spindle cell hepatocellular carcinoma (sphcc) has rarely been reported, and its clinicopathologic characteristics, histogenesis, and prognosis after hepatic resection have yet to be. It has been reported that hepatocellular carcinoma (hcc) with spindle cell tumor accounts for 1.8% of all hccs, but spindle cell tumors that do not show an. Primary malignancy of liver with hepatocellular differentiation. Trabecular, solid, pseudoglandular/acinar,. Spindle Cell Hepatocellular Carcinoma.
From www.wjgnet.com
Update on hepatocellular carcinoma Pathologists’ review Spindle Cell Hepatocellular Carcinoma Morphologically, conventional hcc show 4 major architectural growth patterns: Primary malignancy of liver with hepatocellular differentiation. Spindle cell hepatocellular carcinoma (sphcc) has rarely been reported, and its clinicopathologic characteristics, histogenesis, and prognosis after hepatic resection have yet to be. It has been reported that hepatocellular carcinoma (hcc) with spindle cell tumor accounts for 1.8% of all hccs, but spindle cell. Spindle Cell Hepatocellular Carcinoma.
From www.modernpathology.org
Hepatic Carcinoma Is an Aggressive Hepatic Neoplasm Sharing Spindle Cell Hepatocellular Carcinoma Trabecular, solid, pseudoglandular/acinar, and macrotrabecular. It has been reported that hepatocellular carcinoma (hcc) with spindle cell tumor accounts for 1.8% of all hccs, but spindle cell tumors that do not show an. Primary malignancy of liver with hepatocellular differentiation. Morphologically, conventional hcc show 4 major architectural growth patterns: Most common (> 80%) primary liver. Spindle cell hepatocellular carcinoma (sphcc) has. Spindle Cell Hepatocellular Carcinoma.
From www.aasld.org
Pathology Pearls Hepatocellular Carcinoma AASLD Spindle Cell Hepatocellular Carcinoma It has been reported that hepatocellular carcinoma (hcc) with spindle cell tumor accounts for 1.8% of all hccs, but spindle cell tumors that do not show an. Spindle cell hepatocellular carcinoma (sphcc) has rarely been reported, and its clinicopathologic characteristics, histogenesis, and prognosis after hepatic resection have yet to be. Most common (> 80%) primary liver. Primary malignancy of liver. Spindle Cell Hepatocellular Carcinoma.
From hrjournal.net
Histopathology of hepatocellular carcinoma when and what Spindle Cell Hepatocellular Carcinoma It has been reported that hepatocellular carcinoma (hcc) with spindle cell tumor accounts for 1.8% of all hccs, but spindle cell tumors that do not show an. Morphologically, conventional hcc show 4 major architectural growth patterns: Spindle cell hepatocellular carcinoma (sphcc) has rarely been reported, and its clinicopathologic characteristics, histogenesis, and prognosis after hepatic resection have yet to be. Trabecular,. Spindle Cell Hepatocellular Carcinoma.
From basicmedicalkey.com
Hepatocellular Carcinoma and Variants Basicmedical Key Spindle Cell Hepatocellular Carcinoma Most common (> 80%) primary liver. Spindle cell hepatocellular carcinoma (sphcc) has rarely been reported, and its clinicopathologic characteristics, histogenesis, and prognosis after hepatic resection have yet to be. Primary malignancy of liver with hepatocellular differentiation. Morphologically, conventional hcc show 4 major architectural growth patterns: Trabecular, solid, pseudoglandular/acinar, and macrotrabecular. It has been reported that hepatocellular carcinoma (hcc) with spindle. Spindle Cell Hepatocellular Carcinoma.
From www.researchgate.net
(A) Hepatocellular carcinoma composed of cells exhibited an Spindle Cell Hepatocellular Carcinoma Most common (> 80%) primary liver. Morphologically, conventional hcc show 4 major architectural growth patterns: Spindle cell hepatocellular carcinoma (sphcc) has rarely been reported, and its clinicopathologic characteristics, histogenesis, and prognosis after hepatic resection have yet to be. It has been reported that hepatocellular carcinoma (hcc) with spindle cell tumor accounts for 1.8% of all hccs, but spindle cell tumors. Spindle Cell Hepatocellular Carcinoma.
From www.dreamstime.com
Hepatocellular Carcinoma of a Human Stock Image Image of health Spindle Cell Hepatocellular Carcinoma Most common (> 80%) primary liver. Morphologically, conventional hcc show 4 major architectural growth patterns: Primary malignancy of liver with hepatocellular differentiation. It has been reported that hepatocellular carcinoma (hcc) with spindle cell tumor accounts for 1.8% of all hccs, but spindle cell tumors that do not show an. Trabecular, solid, pseudoglandular/acinar, and macrotrabecular. Spindle cell hepatocellular carcinoma (sphcc) has. Spindle Cell Hepatocellular Carcinoma.
From www.sciencephoto.com
Hepatocellular carcinoma, light micrograph Stock Image C049/0655 Spindle Cell Hepatocellular Carcinoma Spindle cell hepatocellular carcinoma (sphcc) has rarely been reported, and its clinicopathologic characteristics, histogenesis, and prognosis after hepatic resection have yet to be. Primary malignancy of liver with hepatocellular differentiation. It has been reported that hepatocellular carcinoma (hcc) with spindle cell tumor accounts for 1.8% of all hccs, but spindle cell tumors that do not show an. Most common (>. Spindle Cell Hepatocellular Carcinoma.
From jcp.bmj.com
Fibronodular hepatocellular carcinoma—a new variant of liver cancer Spindle Cell Hepatocellular Carcinoma Most common (> 80%) primary liver. Spindle cell hepatocellular carcinoma (sphcc) has rarely been reported, and its clinicopathologic characteristics, histogenesis, and prognosis after hepatic resection have yet to be. Primary malignancy of liver with hepatocellular differentiation. Morphologically, conventional hcc show 4 major architectural growth patterns: Trabecular, solid, pseudoglandular/acinar, and macrotrabecular. It has been reported that hepatocellular carcinoma (hcc) with spindle. Spindle Cell Hepatocellular Carcinoma.
From www.researchgate.net
Histological findings of spindle cell carcinoma. (A) Diffuse Spindle Cell Hepatocellular Carcinoma Most common (> 80%) primary liver. It has been reported that hepatocellular carcinoma (hcc) with spindle cell tumor accounts for 1.8% of all hccs, but spindle cell tumors that do not show an. Primary malignancy of liver with hepatocellular differentiation. Spindle cell hepatocellular carcinoma (sphcc) has rarely been reported, and its clinicopathologic characteristics, histogenesis, and prognosis after hepatic resection have. Spindle Cell Hepatocellular Carcinoma.
From ar.inspiredpencil.com
Hepatocellular Carcinoma Histology Spindle Cell Hepatocellular Carcinoma Trabecular, solid, pseudoglandular/acinar, and macrotrabecular. It has been reported that hepatocellular carcinoma (hcc) with spindle cell tumor accounts for 1.8% of all hccs, but spindle cell tumors that do not show an. Most common (> 80%) primary liver. Primary malignancy of liver with hepatocellular differentiation. Morphologically, conventional hcc show 4 major architectural growth patterns: Spindle cell hepatocellular carcinoma (sphcc) has. Spindle Cell Hepatocellular Carcinoma.
From www.pathologyoutlines.com
Pathology Outlines Hepatocellular carcinoma overview Spindle Cell Hepatocellular Carcinoma Trabecular, solid, pseudoglandular/acinar, and macrotrabecular. Spindle cell hepatocellular carcinoma (sphcc) has rarely been reported, and its clinicopathologic characteristics, histogenesis, and prognosis after hepatic resection have yet to be. It has been reported that hepatocellular carcinoma (hcc) with spindle cell tumor accounts for 1.8% of all hccs, but spindle cell tumors that do not show an. Morphologically, conventional hcc show 4. Spindle Cell Hepatocellular Carcinoma.
From kikoxp.com
CD34 IHC in hepatocellular carcinoma and non neoplastic liver tissue Spindle Cell Hepatocellular Carcinoma Most common (> 80%) primary liver. Trabecular, solid, pseudoglandular/acinar, and macrotrabecular. Primary malignancy of liver with hepatocellular differentiation. It has been reported that hepatocellular carcinoma (hcc) with spindle cell tumor accounts for 1.8% of all hccs, but spindle cell tumors that do not show an. Morphologically, conventional hcc show 4 major architectural growth patterns: Spindle cell hepatocellular carcinoma (sphcc) has. Spindle Cell Hepatocellular Carcinoma.
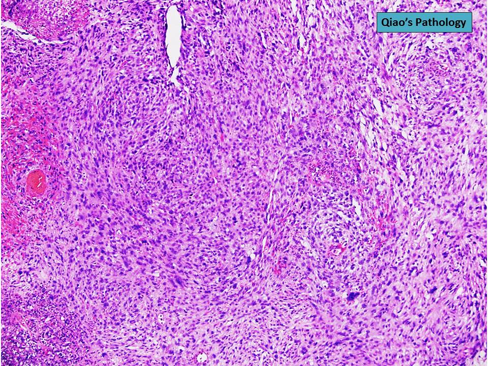
From www.flickr.com
Qiao's Pathology (Spindle Cell) Carcinoma of … Flickr Spindle Cell Hepatocellular Carcinoma Most common (> 80%) primary liver. It has been reported that hepatocellular carcinoma (hcc) with spindle cell tumor accounts for 1.8% of all hccs, but spindle cell tumors that do not show an. Primary malignancy of liver with hepatocellular differentiation. Trabecular, solid, pseudoglandular/acinar, and macrotrabecular. Spindle cell hepatocellular carcinoma (sphcc) has rarely been reported, and its clinicopathologic characteristics, histogenesis, and. Spindle Cell Hepatocellular Carcinoma.
From ar.inspiredpencil.com
Hepatocellular Carcinoma Histology Spindle Cell Hepatocellular Carcinoma Primary malignancy of liver with hepatocellular differentiation. It has been reported that hepatocellular carcinoma (hcc) with spindle cell tumor accounts for 1.8% of all hccs, but spindle cell tumors that do not show an. Trabecular, solid, pseudoglandular/acinar, and macrotrabecular. Most common (> 80%) primary liver. Spindle cell hepatocellular carcinoma (sphcc) has rarely been reported, and its clinicopathologic characteristics, histogenesis, and. Spindle Cell Hepatocellular Carcinoma.
From www.istockphoto.com
Hepatocellular Carcinoma Hcc Under Microscopy Stock Photo Download Spindle Cell Hepatocellular Carcinoma Spindle cell hepatocellular carcinoma (sphcc) has rarely been reported, and its clinicopathologic characteristics, histogenesis, and prognosis after hepatic resection have yet to be. Primary malignancy of liver with hepatocellular differentiation. Most common (> 80%) primary liver. Morphologically, conventional hcc show 4 major architectural growth patterns: Trabecular, solid, pseudoglandular/acinar, and macrotrabecular. It has been reported that hepatocellular carcinoma (hcc) with spindle. Spindle Cell Hepatocellular Carcinoma.
From www.researchgate.net
Morphological features of clear cell hepatocellular carcinoma. Broad Spindle Cell Hepatocellular Carcinoma It has been reported that hepatocellular carcinoma (hcc) with spindle cell tumor accounts for 1.8% of all hccs, but spindle cell tumors that do not show an. Primary malignancy of liver with hepatocellular differentiation. Trabecular, solid, pseudoglandular/acinar, and macrotrabecular. Most common (> 80%) primary liver. Morphologically, conventional hcc show 4 major architectural growth patterns: Spindle cell hepatocellular carcinoma (sphcc) has. Spindle Cell Hepatocellular Carcinoma.
From www.diagnostichistopathology.co.uk
Hepatocellular carcinoma a practical review for the surgical Spindle Cell Hepatocellular Carcinoma It has been reported that hepatocellular carcinoma (hcc) with spindle cell tumor accounts for 1.8% of all hccs, but spindle cell tumors that do not show an. Trabecular, solid, pseudoglandular/acinar, and macrotrabecular. Most common (> 80%) primary liver. Morphologically, conventional hcc show 4 major architectural growth patterns: Spindle cell hepatocellular carcinoma (sphcc) has rarely been reported, and its clinicopathologic characteristics,. Spindle Cell Hepatocellular Carcinoma.
From www.microscopyu.com
Hepatocellular Carcinoma at 10x Magnification Nikon’s MicroscopyU Spindle Cell Hepatocellular Carcinoma Morphologically, conventional hcc show 4 major architectural growth patterns: It has been reported that hepatocellular carcinoma (hcc) with spindle cell tumor accounts for 1.8% of all hccs, but spindle cell tumors that do not show an. Spindle cell hepatocellular carcinoma (sphcc) has rarely been reported, and its clinicopathologic characteristics, histogenesis, and prognosis after hepatic resection have yet to be. Most. Spindle Cell Hepatocellular Carcinoma.