Can A Chest X Ray Diagnose Lymphoma . The amount of radiation exposure during a ct scan varies depending on the area scanned. The etiology is unknown but potential. To look for possible signs of lymphoma coming back after treatment; Lymphoma diagnosis often begins with an exam that checks for swollen lymph nodes in the neck, underarm and groin. Lymphomas are malignancies that arise from mature lymphocytes. The best way to diagnose lymphoma is to perform a biopsy of a lymph. Patients with lymphoma often have ct scans of the neck, chest, abdomen, and pelvis to find out how many lymph nodes are involved, how large they are, and whether internal organs are affected by the disease.
from www.cureus.com
Lymphomas are malignancies that arise from mature lymphocytes. The best way to diagnose lymphoma is to perform a biopsy of a lymph. Lymphoma diagnosis often begins with an exam that checks for swollen lymph nodes in the neck, underarm and groin. The etiology is unknown but potential. To look for possible signs of lymphoma coming back after treatment; Patients with lymphoma often have ct scans of the neck, chest, abdomen, and pelvis to find out how many lymph nodes are involved, how large they are, and whether internal organs are affected by the disease. The amount of radiation exposure during a ct scan varies depending on the area scanned.
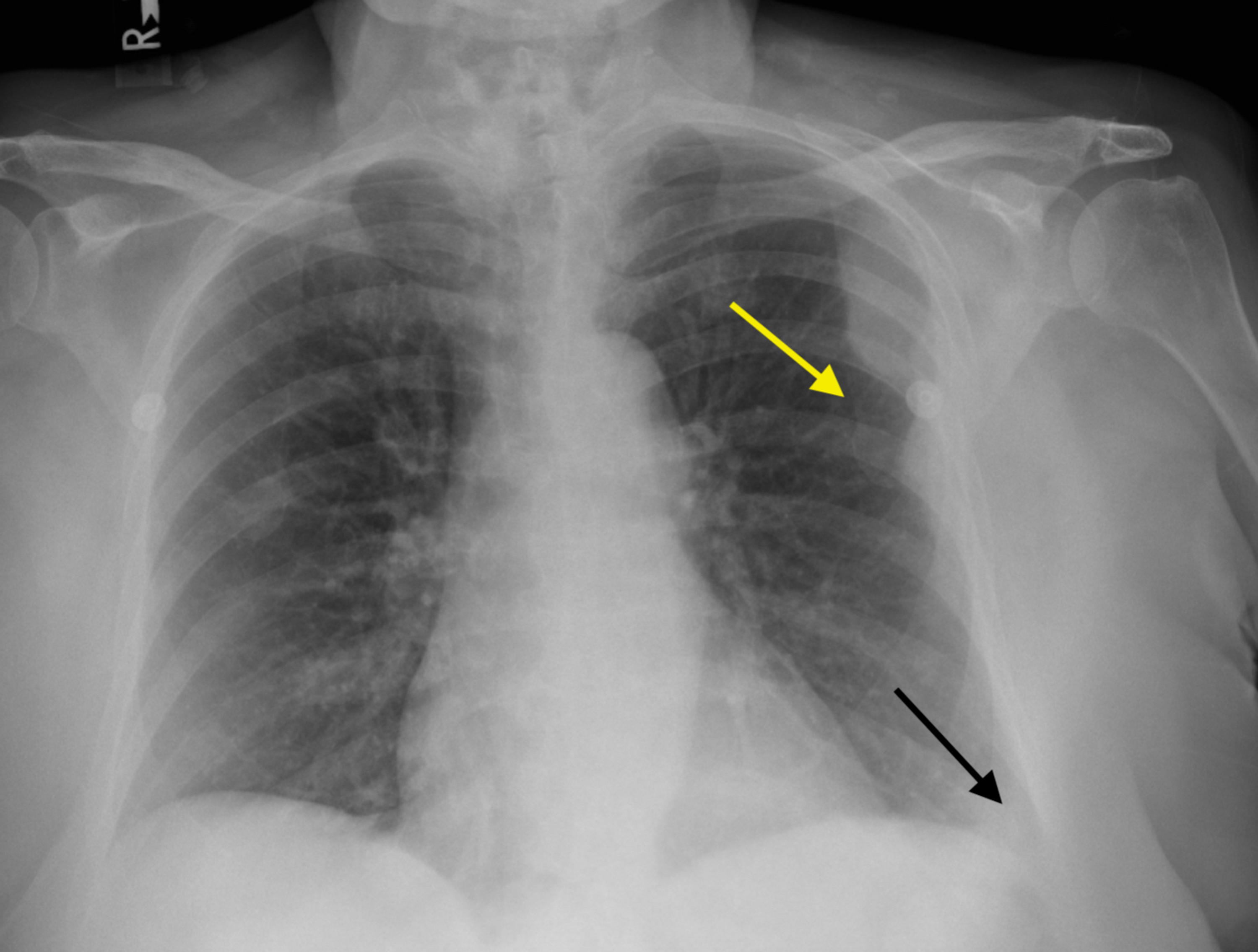
Cureus A Rare Case of Pulmonary MucosaAssociated Lymphoid Tissue
Can A Chest X Ray Diagnose Lymphoma Lymphoma diagnosis often begins with an exam that checks for swollen lymph nodes in the neck, underarm and groin. The amount of radiation exposure during a ct scan varies depending on the area scanned. Lymphoma diagnosis often begins with an exam that checks for swollen lymph nodes in the neck, underarm and groin. Patients with lymphoma often have ct scans of the neck, chest, abdomen, and pelvis to find out how many lymph nodes are involved, how large they are, and whether internal organs are affected by the disease. The etiology is unknown but potential. To look for possible signs of lymphoma coming back after treatment; Lymphomas are malignancies that arise from mature lymphocytes. The best way to diagnose lymphoma is to perform a biopsy of a lymph.
From www.slideserve.com
PPT Lymphoma All you Need to know in ONE hour PowerPoint Can A Chest X Ray Diagnose Lymphoma The etiology is unknown but potential. Lymphomas are malignancies that arise from mature lymphocytes. Lymphoma diagnosis often begins with an exam that checks for swollen lymph nodes in the neck, underarm and groin. To look for possible signs of lymphoma coming back after treatment; The amount of radiation exposure during a ct scan varies depending on the area scanned. The. Can A Chest X Ray Diagnose Lymphoma.
From craftconcierge.com
What Can a Chest Xray Diagnose? A Comprehensive Guide Can A Chest X Ray Diagnose Lymphoma The amount of radiation exposure during a ct scan varies depending on the area scanned. Lymphoma diagnosis often begins with an exam that checks for swollen lymph nodes in the neck, underarm and groin. To look for possible signs of lymphoma coming back after treatment; Lymphomas are malignancies that arise from mature lymphocytes. The etiology is unknown but potential. Patients. Can A Chest X Ray Diagnose Lymphoma.
From radiologycases.my
Mediastinal lymphadenopathies lung adenocarcinoma Radiology Cases Can A Chest X Ray Diagnose Lymphoma The best way to diagnose lymphoma is to perform a biopsy of a lymph. The amount of radiation exposure during a ct scan varies depending on the area scanned. To look for possible signs of lymphoma coming back after treatment; Lymphomas are malignancies that arise from mature lymphocytes. The etiology is unknown but potential. Patients with lymphoma often have ct. Can A Chest X Ray Diagnose Lymphoma.
From www.cureus.com
Cureus A Rare Case of Pulmonary MucosaAssociated Lymphoid Tissue Can A Chest X Ray Diagnose Lymphoma To look for possible signs of lymphoma coming back after treatment; Lymphoma diagnosis often begins with an exam that checks for swollen lymph nodes in the neck, underarm and groin. The etiology is unknown but potential. The best way to diagnose lymphoma is to perform a biopsy of a lymph. The amount of radiation exposure during a ct scan varies. Can A Chest X Ray Diagnose Lymphoma.
From www.researchgate.net
(PDF) Symptomatic pericardial effusion in Hodgkin's lymphoma A rare Can A Chest X Ray Diagnose Lymphoma Lymphoma diagnosis often begins with an exam that checks for swollen lymph nodes in the neck, underarm and groin. The best way to diagnose lymphoma is to perform a biopsy of a lymph. Patients with lymphoma often have ct scans of the neck, chest, abdomen, and pelvis to find out how many lymph nodes are involved, how large they are,. Can A Chest X Ray Diagnose Lymphoma.
From pubs.sciepub.com
Figure 1. Posteroanterior chest Xray of patient showing right hilar Can A Chest X Ray Diagnose Lymphoma Lymphomas are malignancies that arise from mature lymphocytes. Lymphoma diagnosis often begins with an exam that checks for swollen lymph nodes in the neck, underarm and groin. The best way to diagnose lymphoma is to perform a biopsy of a lymph. To look for possible signs of lymphoma coming back after treatment; Patients with lymphoma often have ct scans of. Can A Chest X Ray Diagnose Lymphoma.
From casereports.bmj.com
Mediastinal lymphoma presenting with asymmetrical chest wall BMJ Case Can A Chest X Ray Diagnose Lymphoma The etiology is unknown but potential. The amount of radiation exposure during a ct scan varies depending on the area scanned. To look for possible signs of lymphoma coming back after treatment; Patients with lymphoma often have ct scans of the neck, chest, abdomen, and pelvis to find out how many lymph nodes are involved, how large they are, and. Can A Chest X Ray Diagnose Lymphoma.
From mavink.com
Lymphoma Chest X Ray Can A Chest X Ray Diagnose Lymphoma The amount of radiation exposure during a ct scan varies depending on the area scanned. The best way to diagnose lymphoma is to perform a biopsy of a lymph. The etiology is unknown but potential. Lymphomas are malignancies that arise from mature lymphocytes. Lymphoma diagnosis often begins with an exam that checks for swollen lymph nodes in the neck, underarm. Can A Chest X Ray Diagnose Lymphoma.
From www.reddit.com
16cm across from stage 4 lymphoma. Patient made full recovery. r Can A Chest X Ray Diagnose Lymphoma The best way to diagnose lymphoma is to perform a biopsy of a lymph. Lymphomas are malignancies that arise from mature lymphocytes. Lymphoma diagnosis often begins with an exam that checks for swollen lymph nodes in the neck, underarm and groin. To look for possible signs of lymphoma coming back after treatment; The etiology is unknown but potential. Patients with. Can A Chest X Ray Diagnose Lymphoma.
From lymphoma-action.org.uk
Lymphoma Action Ultrasound and Xray scans Can A Chest X Ray Diagnose Lymphoma Lymphomas are malignancies that arise from mature lymphocytes. The etiology is unknown but potential. To look for possible signs of lymphoma coming back after treatment; The best way to diagnose lymphoma is to perform a biopsy of a lymph. Lymphoma diagnosis often begins with an exam that checks for swollen lymph nodes in the neck, underarm and groin. The amount. Can A Chest X Ray Diagnose Lymphoma.
From atlas.mudr.org
Radiology case Mediastinal lymphoma, chest radiograph Can A Chest X Ray Diagnose Lymphoma Lymphoma diagnosis often begins with an exam that checks for swollen lymph nodes in the neck, underarm and groin. To look for possible signs of lymphoma coming back after treatment; The best way to diagnose lymphoma is to perform a biopsy of a lymph. The etiology is unknown but potential. Patients with lymphoma often have ct scans of the neck,. Can A Chest X Ray Diagnose Lymphoma.
From www.ctisus.com
Lymphoma on Chest Xray X Rays Case Studies CTisus CT Scanning Can A Chest X Ray Diagnose Lymphoma Lymphoma diagnosis often begins with an exam that checks for swollen lymph nodes in the neck, underarm and groin. The best way to diagnose lymphoma is to perform a biopsy of a lymph. Lymphomas are malignancies that arise from mature lymphocytes. The amount of radiation exposure during a ct scan varies depending on the area scanned. Patients with lymphoma often. Can A Chest X Ray Diagnose Lymphoma.
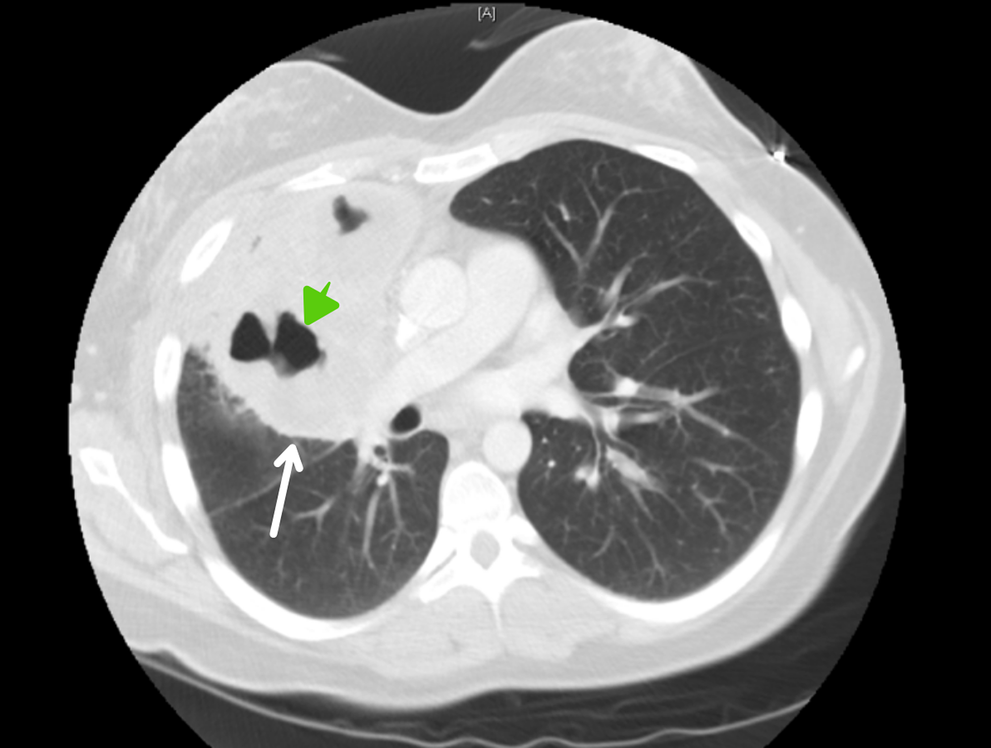
From www.cureus.com
Cureus Primary Pulmonary Hodgkin's Lymphoma A Rare Etiology of a Can A Chest X Ray Diagnose Lymphoma Patients with lymphoma often have ct scans of the neck, chest, abdomen, and pelvis to find out how many lymph nodes are involved, how large they are, and whether internal organs are affected by the disease. The best way to diagnose lymphoma is to perform a biopsy of a lymph. The etiology is unknown but potential. The amount of radiation. Can A Chest X Ray Diagnose Lymphoma.
From pubs.rsna.org
Spectrum of CT Findings in Thoracic Extranodal NonHodgkin Lymphoma Can A Chest X Ray Diagnose Lymphoma To look for possible signs of lymphoma coming back after treatment; The etiology is unknown but potential. Lymphomas are malignancies that arise from mature lymphocytes. The best way to diagnose lymphoma is to perform a biopsy of a lymph. Lymphoma diagnosis often begins with an exam that checks for swollen lymph nodes in the neck, underarm and groin. Patients with. Can A Chest X Ray Diagnose Lymphoma.
From www.cureus.com
Cureus Primary Pulmonary Hodgkin's Lymphoma A Rare Etiology of a Can A Chest X Ray Diagnose Lymphoma The best way to diagnose lymphoma is to perform a biopsy of a lymph. Lymphoma diagnosis often begins with an exam that checks for swollen lymph nodes in the neck, underarm and groin. Lymphomas are malignancies that arise from mature lymphocytes. The etiology is unknown but potential. The amount of radiation exposure during a ct scan varies depending on the. Can A Chest X Ray Diagnose Lymphoma.
From mungfali.com
Lymphoma Chest X Ray Can A Chest X Ray Diagnose Lymphoma The etiology is unknown but potential. The best way to diagnose lymphoma is to perform a biopsy of a lymph. To look for possible signs of lymphoma coming back after treatment; Lymphomas are malignancies that arise from mature lymphocytes. The amount of radiation exposure during a ct scan varies depending on the area scanned. Patients with lymphoma often have ct. Can A Chest X Ray Diagnose Lymphoma.
From ctisus.com
Lymphoma with Mediastinal, Lung Parenchymal and Renal Involvement Can A Chest X Ray Diagnose Lymphoma The etiology is unknown but potential. Lymphoma diagnosis often begins with an exam that checks for swollen lymph nodes in the neck, underarm and groin. The best way to diagnose lymphoma is to perform a biopsy of a lymph. The amount of radiation exposure during a ct scan varies depending on the area scanned. To look for possible signs of. Can A Chest X Ray Diagnose Lymphoma.
From www.annsaudimed.net
Endobronchial Hodgkin's Lymphoma Annals of Saudi Medicine Can A Chest X Ray Diagnose Lymphoma The best way to diagnose lymphoma is to perform a biopsy of a lymph. The amount of radiation exposure during a ct scan varies depending on the area scanned. Lymphomas are malignancies that arise from mature lymphocytes. The etiology is unknown but potential. Lymphoma diagnosis often begins with an exam that checks for swollen lymph nodes in the neck, underarm. Can A Chest X Ray Diagnose Lymphoma.
From healthinfo.healthengine.com.au
What Can a Chest XRay Diagnose? Healthengine Blog Can A Chest X Ray Diagnose Lymphoma Lymphoma diagnosis often begins with an exam that checks for swollen lymph nodes in the neck, underarm and groin. The amount of radiation exposure during a ct scan varies depending on the area scanned. The best way to diagnose lymphoma is to perform a biopsy of a lymph. To look for possible signs of lymphoma coming back after treatment; Patients. Can A Chest X Ray Diagnose Lymphoma.
From www.spandidos-publications.com
Significance of imaging and clinical features in the differentiation Can A Chest X Ray Diagnose Lymphoma Lymphoma diagnosis often begins with an exam that checks for swollen lymph nodes in the neck, underarm and groin. To look for possible signs of lymphoma coming back after treatment; Patients with lymphoma often have ct scans of the neck, chest, abdomen, and pelvis to find out how many lymph nodes are involved, how large they are, and whether internal. Can A Chest X Ray Diagnose Lymphoma.
From www.healio.com
NonHodgkin's Lymphoma Can A Chest X Ray Diagnose Lymphoma The amount of radiation exposure during a ct scan varies depending on the area scanned. The best way to diagnose lymphoma is to perform a biopsy of a lymph. To look for possible signs of lymphoma coming back after treatment; Lymphoma diagnosis often begins with an exam that checks for swollen lymph nodes in the neck, underarm and groin. Lymphomas. Can A Chest X Ray Diagnose Lymphoma.
From www.alamy.com
chest xray showing lymphoma cancer Stock Photo Alamy Can A Chest X Ray Diagnose Lymphoma The etiology is unknown but potential. Patients with lymphoma often have ct scans of the neck, chest, abdomen, and pelvis to find out how many lymph nodes are involved, how large they are, and whether internal organs are affected by the disease. The best way to diagnose lymphoma is to perform a biopsy of a lymph. Lymphomas are malignancies that. Can A Chest X Ray Diagnose Lymphoma.
From www.ctisus.com
Lymphoma Involves the Chest Wall Chest Case Studies CTisus CT Scanning Can A Chest X Ray Diagnose Lymphoma Lymphomas are malignancies that arise from mature lymphocytes. The best way to diagnose lymphoma is to perform a biopsy of a lymph. To look for possible signs of lymphoma coming back after treatment; The etiology is unknown but potential. Lymphoma diagnosis often begins with an exam that checks for swollen lymph nodes in the neck, underarm and groin. Patients with. Can A Chest X Ray Diagnose Lymphoma.
From file.scirp.org
Hodgkin’s Lymphoma Presenting as Chest Pain Can A Chest X Ray Diagnose Lymphoma Lymphoma diagnosis often begins with an exam that checks for swollen lymph nodes in the neck, underarm and groin. Patients with lymphoma often have ct scans of the neck, chest, abdomen, and pelvis to find out how many lymph nodes are involved, how large they are, and whether internal organs are affected by the disease. The best way to diagnose. Can A Chest X Ray Diagnose Lymphoma.
From www.ctisus.com
Lymphoma on Chest Xray X Rays Case Studies CTisus CT Scanning Can A Chest X Ray Diagnose Lymphoma To look for possible signs of lymphoma coming back after treatment; The etiology is unknown but potential. The best way to diagnose lymphoma is to perform a biopsy of a lymph. The amount of radiation exposure during a ct scan varies depending on the area scanned. Patients with lymphoma often have ct scans of the neck, chest, abdomen, and pelvis. Can A Chest X Ray Diagnose Lymphoma.
From www.pinterest.com
Mediastinal lymphoma Radiology Case Can A Chest X Ray Diagnose Lymphoma The best way to diagnose lymphoma is to perform a biopsy of a lymph. Lymphomas are malignancies that arise from mature lymphocytes. To look for possible signs of lymphoma coming back after treatment; The amount of radiation exposure during a ct scan varies depending on the area scanned. The etiology is unknown but potential. Lymphoma diagnosis often begins with an. Can A Chest X Ray Diagnose Lymphoma.
From www.cureus.com
Diffuse Large Bcell Lymphoma Presenting as a Primary Pleural Mass A Can A Chest X Ray Diagnose Lymphoma The best way to diagnose lymphoma is to perform a biopsy of a lymph. To look for possible signs of lymphoma coming back after treatment; The amount of radiation exposure during a ct scan varies depending on the area scanned. Patients with lymphoma often have ct scans of the neck, chest, abdomen, and pelvis to find out how many lymph. Can A Chest X Ray Diagnose Lymphoma.
From www.archivesofmedicine.com
Pediatric Diagnostic Challenge When Hodgkin Lymphoma Mimics Can A Chest X Ray Diagnose Lymphoma The etiology is unknown but potential. The amount of radiation exposure during a ct scan varies depending on the area scanned. Lymphoma diagnosis often begins with an exam that checks for swollen lymph nodes in the neck, underarm and groin. Patients with lymphoma often have ct scans of the neck, chest, abdomen, and pelvis to find out how many lymph. Can A Chest X Ray Diagnose Lymphoma.
From ar.inspiredpencil.com
Hodgkins Lymphoma Radiology Can A Chest X Ray Diagnose Lymphoma The best way to diagnose lymphoma is to perform a biopsy of a lymph. Lymphomas are malignancies that arise from mature lymphocytes. The etiology is unknown but potential. Lymphoma diagnosis often begins with an exam that checks for swollen lymph nodes in the neck, underarm and groin. To look for possible signs of lymphoma coming back after treatment; Patients with. Can A Chest X Ray Diagnose Lymphoma.
From www.verywell.com
Chest XRay for Diagnosis of Lung Cancer Can A Chest X Ray Diagnose Lymphoma The amount of radiation exposure during a ct scan varies depending on the area scanned. Patients with lymphoma often have ct scans of the neck, chest, abdomen, and pelvis to find out how many lymph nodes are involved, how large they are, and whether internal organs are affected by the disease. The best way to diagnose lymphoma is to perform. Can A Chest X Ray Diagnose Lymphoma.
From www.youtube.com
CT Chest Lymph Node Biopsy YouTube Can A Chest X Ray Diagnose Lymphoma Patients with lymphoma often have ct scans of the neck, chest, abdomen, and pelvis to find out how many lymph nodes are involved, how large they are, and whether internal organs are affected by the disease. To look for possible signs of lymphoma coming back after treatment; The amount of radiation exposure during a ct scan varies depending on the. Can A Chest X Ray Diagnose Lymphoma.
From www.researchgate.net
Lymphoma. Chest Xray (CXR) on a human immunodeficiency virus patient Can A Chest X Ray Diagnose Lymphoma To look for possible signs of lymphoma coming back after treatment; Lymphomas are malignancies that arise from mature lymphocytes. The best way to diagnose lymphoma is to perform a biopsy of a lymph. The etiology is unknown but potential. Patients with lymphoma often have ct scans of the neck, chest, abdomen, and pelvis to find out how many lymph nodes. Can A Chest X Ray Diagnose Lymphoma.
From www.wikidoc.org
Primary mediastinal large Bcell lymphoma x ray wikidoc Can A Chest X Ray Diagnose Lymphoma The best way to diagnose lymphoma is to perform a biopsy of a lymph. Patients with lymphoma often have ct scans of the neck, chest, abdomen, and pelvis to find out how many lymph nodes are involved, how large they are, and whether internal organs are affected by the disease. Lymphomas are malignancies that arise from mature lymphocytes. The etiology. Can A Chest X Ray Diagnose Lymphoma.
From www.ctisus.com
Lymphoma Involves the Chest Wall Chest Case Studies CTisus CT Scanning Can A Chest X Ray Diagnose Lymphoma Lymphoma diagnosis often begins with an exam that checks for swollen lymph nodes in the neck, underarm and groin. The etiology is unknown but potential. To look for possible signs of lymphoma coming back after treatment; Patients with lymphoma often have ct scans of the neck, chest, abdomen, and pelvis to find out how many lymph nodes are involved, how. Can A Chest X Ray Diagnose Lymphoma.
From www.researchgate.net
(PDF) Spontaneous remission of T lymphoblastic lymphoma Can A Chest X Ray Diagnose Lymphoma The best way to diagnose lymphoma is to perform a biopsy of a lymph. Lymphomas are malignancies that arise from mature lymphocytes. The etiology is unknown but potential. To look for possible signs of lymphoma coming back after treatment; The amount of radiation exposure during a ct scan varies depending on the area scanned. Patients with lymphoma often have ct. Can A Chest X Ray Diagnose Lymphoma.