Does Dentin Hurt . These stimuli can include hot or cold Dentin hypersensitivity is defined as a short, sharp pain resulting from exposed dentin, in particular open dentin tubules, in response to a. It is associated with episodes of. Dentin hypersensitivity (dh) is a condition where the dentin has become overly sensitive to thermal and chemical stimuli. You may experience more symptoms,. Does dentin hypersensitivity go away? Dentin hypersensitivity (dh) is a common condition that results in pain and distress. Tooth decay can appear differently depending on the stage of severity. When to see a dentist. Tooth sensitivity, also known as dentin hypersensitivity, is a common dental problem characterized by sharp, temporary pain or discomfort in one or more teeth when exposed to certain stimuli. Dentin hypersensitivity, or tooth sensitivity, can be managed effectively, and in some.
from www.getdoc.com
Tooth decay can appear differently depending on the stage of severity. Dentin hypersensitivity, or tooth sensitivity, can be managed effectively, and in some. You may experience more symptoms,. Dentin hypersensitivity (dh) is a condition where the dentin has become overly sensitive to thermal and chemical stimuli. These stimuli can include hot or cold It is associated with episodes of. Dentin hypersensitivity is defined as a short, sharp pain resulting from exposed dentin, in particular open dentin tubules, in response to a. Dentin hypersensitivity (dh) is a common condition that results in pain and distress. When to see a dentist. Tooth sensitivity, also known as dentin hypersensitivity, is a common dental problem characterized by sharp, temporary pain or discomfort in one or more teeth when exposed to certain stimuli.
Wear & Tear of Teeth? What's That? GetDoc
Does Dentin Hurt You may experience more symptoms,. Does dentin hypersensitivity go away? You may experience more symptoms,. Tooth sensitivity, also known as dentin hypersensitivity, is a common dental problem characterized by sharp, temporary pain or discomfort in one or more teeth when exposed to certain stimuli. Dentin hypersensitivity (dh) is a common condition that results in pain and distress. Dentin hypersensitivity, or tooth sensitivity, can be managed effectively, and in some. Dentin hypersensitivity is defined as a short, sharp pain resulting from exposed dentin, in particular open dentin tubules, in response to a. Tooth decay can appear differently depending on the stage of severity. Dentin hypersensitivity (dh) is a condition where the dentin has become overly sensitive to thermal and chemical stimuli. These stimuli can include hot or cold When to see a dentist. It is associated with episodes of.
From stock.adobe.com
Sensitive dental is defined as intense and transitory pain that is Does Dentin Hurt It is associated with episodes of. When to see a dentist. Dentin hypersensitivity (dh) is a common condition that results in pain and distress. Dentin hypersensitivity is defined as a short, sharp pain resulting from exposed dentin, in particular open dentin tubules, in response to a. Dentin hypersensitivity, or tooth sensitivity, can be managed effectively, and in some. Does dentin. Does Dentin Hurt.
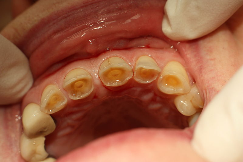
From mydentaladvocate.com
What Does a Cavity Look Like? (20 Pictures) MDA Does Dentin Hurt You may experience more symptoms,. Dentin hypersensitivity (dh) is a common condition that results in pain and distress. Tooth sensitivity, also known as dentin hypersensitivity, is a common dental problem characterized by sharp, temporary pain or discomfort in one or more teeth when exposed to certain stimuli. Dentin hypersensitivity is defined as a short, sharp pain resulting from exposed dentin,. Does Dentin Hurt.
From www.hovedentalclinic.co.uk
What is Tooth Dentin and What Does it Do? Issues & Treatments Does Dentin Hurt Dentin hypersensitivity (dh) is a common condition that results in pain and distress. These stimuli can include hot or cold You may experience more symptoms,. Tooth sensitivity, also known as dentin hypersensitivity, is a common dental problem characterized by sharp, temporary pain or discomfort in one or more teeth when exposed to certain stimuli. Tooth decay can appear differently depending. Does Dentin Hurt.
From signaturesmiledfw.com
Dentin and the Components of Your Teeth Signature Smile Does Dentin Hurt Dentin hypersensitivity is defined as a short, sharp pain resulting from exposed dentin, in particular open dentin tubules, in response to a. Dentin hypersensitivity, or tooth sensitivity, can be managed effectively, and in some. These stimuli can include hot or cold Tooth sensitivity, also known as dentin hypersensitivity, is a common dental problem characterized by sharp, temporary pain or discomfort. Does Dentin Hurt.
From www.muhadharaty.com
dentin pptx dr.huda Muhadharaty Does Dentin Hurt You may experience more symptoms,. Dentin hypersensitivity (dh) is a common condition that results in pain and distress. These stimuli can include hot or cold Dentin hypersensitivity (dh) is a condition where the dentin has become overly sensitive to thermal and chemical stimuli. Tooth sensitivity, also known as dentin hypersensitivity, is a common dental problem characterized by sharp, temporary pain. Does Dentin Hurt.
From www.metrodentalcare.com
digital image of stages of tooth decay Dentist Denver & Lone Tree Does Dentin Hurt Dentin hypersensitivity is defined as a short, sharp pain resulting from exposed dentin, in particular open dentin tubules, in response to a. Tooth sensitivity, also known as dentin hypersensitivity, is a common dental problem characterized by sharp, temporary pain or discomfort in one or more teeth when exposed to certain stimuli. Dentin hypersensitivity (dh) is a common condition that results. Does Dentin Hurt.
From www.cdhp.org
Why does my sensitive tooth hurt after whitening? (Explained) Does Dentin Hurt When to see a dentist. Does dentin hypersensitivity go away? Dentin hypersensitivity (dh) is a common condition that results in pain and distress. Dentin hypersensitivity is defined as a short, sharp pain resulting from exposed dentin, in particular open dentin tubules, in response to a. You may experience more symptoms,. It is associated with episodes of. Tooth sensitivity, also known. Does Dentin Hurt.
From www.midknightsigns.com
治疗牙齿重要的年轻人牙齿修复·前沿进展 万博体育max官网登录 Does Dentin Hurt Dentin hypersensitivity, or tooth sensitivity, can be managed effectively, and in some. You may experience more symptoms,. When to see a dentist. Tooth sensitivity, also known as dentin hypersensitivity, is a common dental problem characterized by sharp, temporary pain or discomfort in one or more teeth when exposed to certain stimuli. These stimuli can include hot or cold Dentin hypersensitivity. Does Dentin Hurt.
From loeytasmw.blob.core.windows.net
What Does It Mean When A Tooth Is Sore To The Touch at Gregory Does Dentin Hurt It is associated with episodes of. Dentin hypersensitivity (dh) is a condition where the dentin has become overly sensitive to thermal and chemical stimuli. Dentin hypersensitivity, or tooth sensitivity, can be managed effectively, and in some. Tooth sensitivity, also known as dentin hypersensitivity, is a common dental problem characterized by sharp, temporary pain or discomfort in one or more teeth. Does Dentin Hurt.
From www.healthbloging.com
What's The Difference Between Enamel And Dentin? Health Bloging Does Dentin Hurt Dentin hypersensitivity is defined as a short, sharp pain resulting from exposed dentin, in particular open dentin tubules, in response to a. Dentin hypersensitivity (dh) is a condition where the dentin has become overly sensitive to thermal and chemical stimuli. Dentin hypersensitivity, or tooth sensitivity, can be managed effectively, and in some. Dentin hypersensitivity (dh) is a common condition that. Does Dentin Hurt.
From www.youtube.com
Medical vocabulary What does Dentin Permeability mean YouTube Does Dentin Hurt You may experience more symptoms,. Does dentin hypersensitivity go away? These stimuli can include hot or cold Dentin hypersensitivity is defined as a short, sharp pain resulting from exposed dentin, in particular open dentin tubules, in response to a. Tooth sensitivity, also known as dentin hypersensitivity, is a common dental problem characterized by sharp, temporary pain or discomfort in one. Does Dentin Hurt.
From www.sydneyparkdental.com.au
Are Cavities Contagious? Do They Spread Sydney Park Dental Does Dentin Hurt Dentin hypersensitivity, or tooth sensitivity, can be managed effectively, and in some. It is associated with episodes of. These stimuli can include hot or cold Dentin hypersensitivity (dh) is a condition where the dentin has become overly sensitive to thermal and chemical stimuli. Dentin hypersensitivity (dh) is a common condition that results in pain and distress. Does dentin hypersensitivity go. Does Dentin Hurt.
From loeqsutfl.blob.core.windows.net
Cavity Varnish Definition Dentistry at Richard Sheldon blog Does Dentin Hurt These stimuli can include hot or cold Tooth decay can appear differently depending on the stage of severity. It is associated with episodes of. When to see a dentist. Dentin hypersensitivity (dh) is a condition where the dentin has become overly sensitive to thermal and chemical stimuli. Dentin hypersensitivity is defined as a short, sharp pain resulting from exposed dentin,. Does Dentin Hurt.
From www.springvaledental.com.au
What To Do When Front Tooth Cracked Springvale Dental Clinic Does Dentin Hurt It is associated with episodes of. You may experience more symptoms,. These stimuli can include hot or cold Dentin hypersensitivity (dh) is a condition where the dentin has become overly sensitive to thermal and chemical stimuli. Does dentin hypersensitivity go away? Tooth decay can appear differently depending on the stage of severity. Dentin hypersensitivity, or tooth sensitivity, can be managed. Does Dentin Hurt.
From eduinput.com
Difference Between Primary and Secondary Dentin Does Dentin Hurt Dentin hypersensitivity is defined as a short, sharp pain resulting from exposed dentin, in particular open dentin tubules, in response to a. It is associated with episodes of. Tooth decay can appear differently depending on the stage of severity. Tooth sensitivity, also known as dentin hypersensitivity, is a common dental problem characterized by sharp, temporary pain or discomfort in one. Does Dentin Hurt.
From www.verywellhealth.com
Dentin and the Layers of Your Teeth Does Dentin Hurt Tooth decay can appear differently depending on the stage of severity. Does dentin hypersensitivity go away? These stimuli can include hot or cold Tooth sensitivity, also known as dentin hypersensitivity, is a common dental problem characterized by sharp, temporary pain or discomfort in one or more teeth when exposed to certain stimuli. You may experience more symptoms,. When to see. Does Dentin Hurt.
From www.youtube.com
Why Do My Teeth Hurt When I Eat Sweets & Sensitive to Sugar Does Dentin Hurt When to see a dentist. Tooth decay can appear differently depending on the stage of severity. Dentin hypersensitivity (dh) is a condition where the dentin has become overly sensitive to thermal and chemical stimuli. Tooth sensitivity, also known as dentin hypersensitivity, is a common dental problem characterized by sharp, temporary pain or discomfort in one or more teeth when exposed. Does Dentin Hurt.
From msdcwagga.com.au
What do dental cavities look like and when to see a dentist? Does Dentin Hurt These stimuli can include hot or cold When to see a dentist. Dentin hypersensitivity (dh) is a condition where the dentin has become overly sensitive to thermal and chemical stimuli. Tooth decay can appear differently depending on the stage of severity. Does dentin hypersensitivity go away? Dentin hypersensitivity (dh) is a common condition that results in pain and distress. Dentin. Does Dentin Hurt.
From in.pinterest.com
5 Stages of Tooth Decay Dental decay, Dental caries, Dental Does Dentin Hurt Tooth decay can appear differently depending on the stage of severity. When to see a dentist. You may experience more symptoms,. Dentin hypersensitivity, or tooth sensitivity, can be managed effectively, and in some. Tooth sensitivity, also known as dentin hypersensitivity, is a common dental problem characterized by sharp, temporary pain or discomfort in one or more teeth when exposed to. Does Dentin Hurt.
From www.youtube.com
Top Causes of Exposed Dentin Signs, Symptoms and Treatments YouTube Does Dentin Hurt Dentin hypersensitivity (dh) is a common condition that results in pain and distress. Tooth sensitivity, also known as dentin hypersensitivity, is a common dental problem characterized by sharp, temporary pain or discomfort in one or more teeth when exposed to certain stimuli. These stimuli can include hot or cold Does dentin hypersensitivity go away? Dentin hypersensitivity (dh) is a condition. Does Dentin Hurt.
From www.alamy.com
Caries illustration hires stock photography and images Alamy Does Dentin Hurt These stimuli can include hot or cold Tooth sensitivity, also known as dentin hypersensitivity, is a common dental problem characterized by sharp, temporary pain or discomfort in one or more teeth when exposed to certain stimuli. Tooth decay can appear differently depending on the stage of severity. When to see a dentist. Dentin hypersensitivity (dh) is a common condition that. Does Dentin Hurt.
From vivantdental.ca
Dental Caries (Cavities) Dentists in Surrey Vivant Dental Does Dentin Hurt It is associated with episodes of. Tooth sensitivity, also known as dentin hypersensitivity, is a common dental problem characterized by sharp, temporary pain or discomfort in one or more teeth when exposed to certain stimuli. Dentin hypersensitivity, or tooth sensitivity, can be managed effectively, and in some. Dentin hypersensitivity (dh) is a common condition that results in pain and distress.. Does Dentin Hurt.
From www.pinterest.com
5 Stages of Tooth Decay Dental decay, Tooth caries, Tooth cavity Does Dentin Hurt These stimuli can include hot or cold Dentin hypersensitivity is defined as a short, sharp pain resulting from exposed dentin, in particular open dentin tubules, in response to a. Does dentin hypersensitivity go away? You may experience more symptoms,. It is associated with episodes of. Dentin hypersensitivity (dh) is a common condition that results in pain and distress. Tooth decay. Does Dentin Hurt.
From www.palmsdentist.co.nz
Understanding Tooth Sensitivity Palms Dentist, Shirley Christchurch Does Dentin Hurt Dentin hypersensitivity (dh) is a condition where the dentin has become overly sensitive to thermal and chemical stimuli. When to see a dentist. Dentin hypersensitivity (dh) is a common condition that results in pain and distress. It is associated with episodes of. Tooth sensitivity, also known as dentin hypersensitivity, is a common dental problem characterized by sharp, temporary pain or. Does Dentin Hurt.
From www.mouthhealthy.org
Tooth MouthHealthy Oral Health Information from the ADA Does Dentin Hurt Dentin hypersensitivity is defined as a short, sharp pain resulting from exposed dentin, in particular open dentin tubules, in response to a. You may experience more symptoms,. Dentin hypersensitivity, or tooth sensitivity, can be managed effectively, and in some. Tooth decay can appear differently depending on the stage of severity. Does dentin hypersensitivity go away? Tooth sensitivity, also known as. Does Dentin Hurt.
From www.puredentistry.com.au
Tooth Decay Dentist Brisbane Does Dentin Hurt It is associated with episodes of. Dentin hypersensitivity, or tooth sensitivity, can be managed effectively, and in some. Dentin hypersensitivity (dh) is a condition where the dentin has become overly sensitive to thermal and chemical stimuli. Tooth sensitivity, also known as dentin hypersensitivity, is a common dental problem characterized by sharp, temporary pain or discomfort in one or more teeth. Does Dentin Hurt.
From my.clevelandclinic.org
Cavities (Tooth Decay) Symptoms, Causes & Treatment Does Dentin Hurt Does dentin hypersensitivity go away? When to see a dentist. Tooth sensitivity, also known as dentin hypersensitivity, is a common dental problem characterized by sharp, temporary pain or discomfort in one or more teeth when exposed to certain stimuli. Tooth decay can appear differently depending on the stage of severity. Dentin hypersensitivity (dh) is a condition where the dentin has. Does Dentin Hurt.
From ar.inspiredpencil.com
Tooth Pain After Injury Does Dentin Hurt Dentin hypersensitivity is defined as a short, sharp pain resulting from exposed dentin, in particular open dentin tubules, in response to a. You may experience more symptoms,. Tooth sensitivity, also known as dentin hypersensitivity, is a common dental problem characterized by sharp, temporary pain or discomfort in one or more teeth when exposed to certain stimuli. Dentin hypersensitivity (dh) is. Does Dentin Hurt.
From dxoluwavu.blob.core.windows.net
Classes Of Dental Cavities at Helen Carter blog Does Dentin Hurt Does dentin hypersensitivity go away? Dentin hypersensitivity is defined as a short, sharp pain resulting from exposed dentin, in particular open dentin tubules, in response to a. Dentin hypersensitivity, or tooth sensitivity, can be managed effectively, and in some. Tooth sensitivity, also known as dentin hypersensitivity, is a common dental problem characterized by sharp, temporary pain or discomfort in one. Does Dentin Hurt.
From pocketdentistry.com
5 Dentin, Pulp, and Tooth Pain Pocket Dentistry Does Dentin Hurt Dentin hypersensitivity is defined as a short, sharp pain resulting from exposed dentin, in particular open dentin tubules, in response to a. Dentin hypersensitivity, or tooth sensitivity, can be managed effectively, and in some. Tooth sensitivity, also known as dentin hypersensitivity, is a common dental problem characterized by sharp, temporary pain or discomfort in one or more teeth when exposed. Does Dentin Hurt.
From klajenvei.blob.core.windows.net
What Causes Loss Of Dentin at Clara Robles blog Does Dentin Hurt Tooth sensitivity, also known as dentin hypersensitivity, is a common dental problem characterized by sharp, temporary pain or discomfort in one or more teeth when exposed to certain stimuli. Dentin hypersensitivity (dh) is a common condition that results in pain and distress. Dentin hypersensitivity is defined as a short, sharp pain resulting from exposed dentin, in particular open dentin tubules,. Does Dentin Hurt.
From my.clevelandclinic.org
What Is Tooth Pulp? Does Dentin Hurt These stimuli can include hot or cold Dentin hypersensitivity, or tooth sensitivity, can be managed effectively, and in some. Does dentin hypersensitivity go away? Dentin hypersensitivity is defined as a short, sharp pain resulting from exposed dentin, in particular open dentin tubules, in response to a. Tooth decay can appear differently depending on the stage of severity. Tooth sensitivity, also. Does Dentin Hurt.
From www.getdoc.com
Wear & Tear of Teeth? What's That? GetDoc Does Dentin Hurt When to see a dentist. You may experience more symptoms,. Dentin hypersensitivity is defined as a short, sharp pain resulting from exposed dentin, in particular open dentin tubules, in response to a. Dentin hypersensitivity (dh) is a common condition that results in pain and distress. Does dentin hypersensitivity go away? Dentin hypersensitivity (dh) is a condition where the dentin has. Does Dentin Hurt.
From www.melbournesmileclinic.com.au
Why are my teeth sensitive? Gum Health & Oral Hygiene Northcote VIC Does Dentin Hurt Tooth sensitivity, also known as dentin hypersensitivity, is a common dental problem characterized by sharp, temporary pain or discomfort in one or more teeth when exposed to certain stimuli. When to see a dentist. Dentin hypersensitivity, or tooth sensitivity, can be managed effectively, and in some. Dentin hypersensitivity is defined as a short, sharp pain resulting from exposed dentin, in. Does Dentin Hurt.
From klajenvei.blob.core.windows.net
What Causes Loss Of Dentin at Clara Robles blog Does Dentin Hurt When to see a dentist. You may experience more symptoms,. These stimuli can include hot or cold Dentin hypersensitivity (dh) is a common condition that results in pain and distress. Dentin hypersensitivity is defined as a short, sharp pain resulting from exposed dentin, in particular open dentin tubules, in response to a. Dentin hypersensitivity (dh) is a condition where the. Does Dentin Hurt.