Alpha Beta Ratio Glioblastoma . the selection of accurate lq parameters α, β and α/β is pivotal for a reliable estimate of radiation response. Moreover, a high intrinsic radiosensitivity together with a long kick. the analysis confirms a high value for the α/b ratio. The alpha/beta ratio for tumor. in addition, we employed an α estimate of 0.26 gy −1 and an α/β ratio of 8 gy based. the alpha/beta ratio represents the dose, where cell killing from the linear and the quadratic components are equal. direct evidence that prostate tumors show high sensitivity to.
from www.researchgate.net
the analysis confirms a high value for the α/b ratio. direct evidence that prostate tumors show high sensitivity to. The alpha/beta ratio for tumor. the alpha/beta ratio represents the dose, where cell killing from the linear and the quadratic components are equal. in addition, we employed an α estimate of 0.26 gy −1 and an α/β ratio of 8 gy based. the selection of accurate lq parameters α, β and α/β is pivotal for a reliable estimate of radiation response. Moreover, a high intrinsic radiosensitivity together with a long kick.
Screening of prognosisrelated immune genes and differentially... Download Scientific Diagram
Alpha Beta Ratio Glioblastoma in addition, we employed an α estimate of 0.26 gy −1 and an α/β ratio of 8 gy based. the selection of accurate lq parameters α, β and α/β is pivotal for a reliable estimate of radiation response. Moreover, a high intrinsic radiosensitivity together with a long kick. the alpha/beta ratio represents the dose, where cell killing from the linear and the quadratic components are equal. the analysis confirms a high value for the α/b ratio. direct evidence that prostate tumors show high sensitivity to. The alpha/beta ratio for tumor. in addition, we employed an α estimate of 0.26 gy −1 and an α/β ratio of 8 gy based.
From www.researchgate.net
Simplified glioblastoma microenvironment illustrating a section of a... Download Scientific Alpha Beta Ratio Glioblastoma direct evidence that prostate tumors show high sensitivity to. the analysis confirms a high value for the α/b ratio. the alpha/beta ratio represents the dose, where cell killing from the linear and the quadratic components are equal. The alpha/beta ratio for tumor. Moreover, a high intrinsic radiosensitivity together with a long kick. in addition, we employed. Alpha Beta Ratio Glioblastoma.
From www.researchgate.net
Islet alpha, beta and delta cell proliferation is decreased and cell... Download Scientific Alpha Beta Ratio Glioblastoma the selection of accurate lq parameters α, β and α/β is pivotal for a reliable estimate of radiation response. The alpha/beta ratio for tumor. in addition, we employed an α estimate of 0.26 gy −1 and an α/β ratio of 8 gy based. Moreover, a high intrinsic radiosensitivity together with a long kick. direct evidence that prostate. Alpha Beta Ratio Glioblastoma.
From exouuntkn.blob.core.windows.net
Alpha Beta Ratio Brain at James Snodgrass blog Alpha Beta Ratio Glioblastoma Moreover, a high intrinsic radiosensitivity together with a long kick. direct evidence that prostate tumors show high sensitivity to. the alpha/beta ratio represents the dose, where cell killing from the linear and the quadratic components are equal. the selection of accurate lq parameters α, β and α/β is pivotal for a reliable estimate of radiation response. . Alpha Beta Ratio Glioblastoma.
From www.researchgate.net
Represents tumorigenic role of inflammatory mediators, TAMs, TANs, and... Download Scientific Alpha Beta Ratio Glioblastoma the analysis confirms a high value for the α/b ratio. the selection of accurate lq parameters α, β and α/β is pivotal for a reliable estimate of radiation response. Moreover, a high intrinsic radiosensitivity together with a long kick. in addition, we employed an α estimate of 0.26 gy −1 and an α/β ratio of 8 gy. Alpha Beta Ratio Glioblastoma.
From www.researchgate.net
Alpha/beta ratio in ATRX lymphomonocytes. Alphaglobin/betaglobin mRNA... Download Scientific Alpha Beta Ratio Glioblastoma in addition, we employed an α estimate of 0.26 gy −1 and an α/β ratio of 8 gy based. direct evidence that prostate tumors show high sensitivity to. the alpha/beta ratio represents the dose, where cell killing from the linear and the quadratic components are equal. Moreover, a high intrinsic radiosensitivity together with a long kick. . Alpha Beta Ratio Glioblastoma.
From www.ijpsonline.com
The Tumor MicroenvironmentRelated Gene Differentiation in Glioblastoma after Treatment with a Alpha Beta Ratio Glioblastoma the analysis confirms a high value for the α/b ratio. Moreover, a high intrinsic radiosensitivity together with a long kick. The alpha/beta ratio for tumor. the selection of accurate lq parameters α, β and α/β is pivotal for a reliable estimate of radiation response. in addition, we employed an α estimate of 0.26 gy −1 and an. Alpha Beta Ratio Glioblastoma.
From www.researchgate.net
Profile of the lipoxygenase pathway metabolism in 5 glioblastoma (GBM)... Download Scientific Alpha Beta Ratio Glioblastoma the selection of accurate lq parameters α, β and α/β is pivotal for a reliable estimate of radiation response. in addition, we employed an α estimate of 0.26 gy −1 and an α/β ratio of 8 gy based. the alpha/beta ratio represents the dose, where cell killing from the linear and the quadratic components are equal. The. Alpha Beta Ratio Glioblastoma.
From www.cureus.com
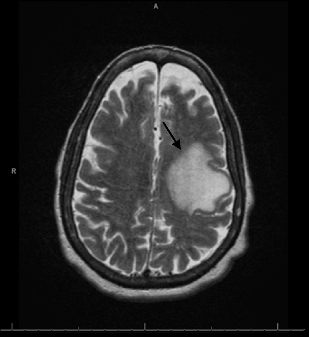
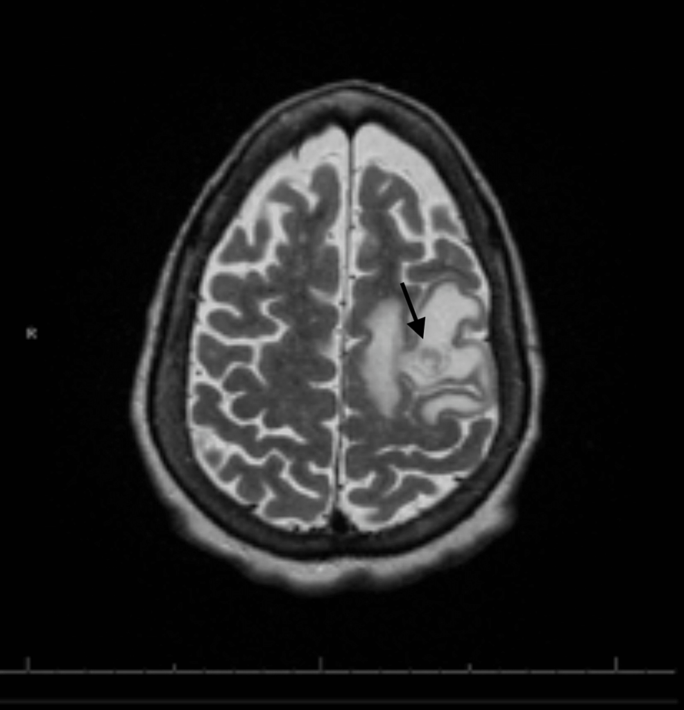
Cureus Glioblastoma Multiforme in a Patient With Alpha1Antitrypsin Deficiency Alpha Beta Ratio Glioblastoma direct evidence that prostate tumors show high sensitivity to. The alpha/beta ratio for tumor. the alpha/beta ratio represents the dose, where cell killing from the linear and the quadratic components are equal. the selection of accurate lq parameters α, β and α/β is pivotal for a reliable estimate of radiation response. in addition, we employed an. Alpha Beta Ratio Glioblastoma.
From www.researchgate.net
Alpha/beta ratio in HIGH and LOW at frontal (a), central (b), and... Download Scientific Diagram Alpha Beta Ratio Glioblastoma the analysis confirms a high value for the α/b ratio. the selection of accurate lq parameters α, β and α/β is pivotal for a reliable estimate of radiation response. Moreover, a high intrinsic radiosensitivity together with a long kick. direct evidence that prostate tumors show high sensitivity to. The alpha/beta ratio for tumor. in addition, we. Alpha Beta Ratio Glioblastoma.
From www.researchgate.net
(PDF) Targeting of the alpha v beta 3 integrin complex by CART cells leads to rapid regression Alpha Beta Ratio Glioblastoma the selection of accurate lq parameters α, β and α/β is pivotal for a reliable estimate of radiation response. Moreover, a high intrinsic radiosensitivity together with a long kick. in addition, we employed an α estimate of 0.26 gy −1 and an α/β ratio of 8 gy based. direct evidence that prostate tumors show high sensitivity to.. Alpha Beta Ratio Glioblastoma.
From www.researchgate.net
HSPCs predict clinical in glioblastoma and associate with an... Download Scientific Alpha Beta Ratio Glioblastoma Moreover, a high intrinsic radiosensitivity together with a long kick. The alpha/beta ratio for tumor. direct evidence that prostate tumors show high sensitivity to. the alpha/beta ratio represents the dose, where cell killing from the linear and the quadratic components are equal. the selection of accurate lq parameters α, β and α/β is pivotal for a reliable. Alpha Beta Ratio Glioblastoma.
From www.mdpi.com
IJMS Free FullText Estrogen α and β Receptor Expression in the Various Regions of Resected Alpha Beta Ratio Glioblastoma Moreover, a high intrinsic radiosensitivity together with a long kick. in addition, we employed an α estimate of 0.26 gy −1 and an α/β ratio of 8 gy based. direct evidence that prostate tumors show high sensitivity to. the selection of accurate lq parameters α, β and α/β is pivotal for a reliable estimate of radiation response.. Alpha Beta Ratio Glioblastoma.
From www.mdpi.com
IJMS Free FullText Estrogen α and β Receptor Expression in the Various Regions of Resected Alpha Beta Ratio Glioblastoma the selection of accurate lq parameters α, β and α/β is pivotal for a reliable estimate of radiation response. the alpha/beta ratio represents the dose, where cell killing from the linear and the quadratic components are equal. direct evidence that prostate tumors show high sensitivity to. The alpha/beta ratio for tumor. Moreover, a high intrinsic radiosensitivity together. Alpha Beta Ratio Glioblastoma.
From www.frontiersin.org
Frontiers Targeted alpha therapy for glioblastoma Alpha Beta Ratio Glioblastoma the alpha/beta ratio represents the dose, where cell killing from the linear and the quadratic components are equal. the selection of accurate lq parameters α, β and α/β is pivotal for a reliable estimate of radiation response. direct evidence that prostate tumors show high sensitivity to. Moreover, a high intrinsic radiosensitivity together with a long kick. The. Alpha Beta Ratio Glioblastoma.
From www.ijpsonline.com
The Tumor MicroenvironmentRelated Gene Differentiation in Glioblastoma after Treatment with a Alpha Beta Ratio Glioblastoma in addition, we employed an α estimate of 0.26 gy −1 and an α/β ratio of 8 gy based. Moreover, a high intrinsic radiosensitivity together with a long kick. The alpha/beta ratio for tumor. the analysis confirms a high value for the α/b ratio. the selection of accurate lq parameters α, β and α/β is pivotal for. Alpha Beta Ratio Glioblastoma.
From www.spandidos-publications.com
LRIG2 promotes the proliferation and cell cycle progression of glioblastoma cells in vitro and Alpha Beta Ratio Glioblastoma direct evidence that prostate tumors show high sensitivity to. The alpha/beta ratio for tumor. the alpha/beta ratio represents the dose, where cell killing from the linear and the quadratic components are equal. in addition, we employed an α estimate of 0.26 gy −1 and an α/β ratio of 8 gy based. the analysis confirms a high. Alpha Beta Ratio Glioblastoma.
From www.ijpsonline.com
The Tumor MicroenvironmentRelated Gene Differentiation in Glioblastoma after Treatment with a Alpha Beta Ratio Glioblastoma Moreover, a high intrinsic radiosensitivity together with a long kick. the selection of accurate lq parameters α, β and α/β is pivotal for a reliable estimate of radiation response. the analysis confirms a high value for the α/b ratio. in addition, we employed an α estimate of 0.26 gy −1 and an α/β ratio of 8 gy. Alpha Beta Ratio Glioblastoma.
From oncologymedicalphysics.com
Statistical Radiobiology Oncology Medical Physics Alpha Beta Ratio Glioblastoma the alpha/beta ratio represents the dose, where cell killing from the linear and the quadratic components are equal. direct evidence that prostate tumors show high sensitivity to. the analysis confirms a high value for the α/b ratio. the selection of accurate lq parameters α, β and α/β is pivotal for a reliable estimate of radiation response.. Alpha Beta Ratio Glioblastoma.
From www.semanticscholar.org
Figure 2 from Remodelling the vascular microenvironment of glioblastoma with alphaparticles Alpha Beta Ratio Glioblastoma The alpha/beta ratio for tumor. the alpha/beta ratio represents the dose, where cell killing from the linear and the quadratic components are equal. direct evidence that prostate tumors show high sensitivity to. the analysis confirms a high value for the α/b ratio. the selection of accurate lq parameters α, β and α/β is pivotal for a. Alpha Beta Ratio Glioblastoma.
From clinmedjournals.org
Concurrent Pituitary Adenoma and Intraventricular Glioblastoma Multiforme A Case Report and Alpha Beta Ratio Glioblastoma the selection of accurate lq parameters α, β and α/β is pivotal for a reliable estimate of radiation response. The alpha/beta ratio for tumor. the analysis confirms a high value for the α/b ratio. in addition, we employed an α estimate of 0.26 gy −1 and an α/β ratio of 8 gy based. direct evidence that. Alpha Beta Ratio Glioblastoma.
From www.researchgate.net
Box plots for the expression of the eight genes in glioblastoma... Download Scientific Diagram Alpha Beta Ratio Glioblastoma direct evidence that prostate tumors show high sensitivity to. Moreover, a high intrinsic radiosensitivity together with a long kick. the selection of accurate lq parameters α, β and α/β is pivotal for a reliable estimate of radiation response. the alpha/beta ratio represents the dose, where cell killing from the linear and the quadratic components are equal. . Alpha Beta Ratio Glioblastoma.
From www.ijpsonline.com
The Tumor MicroenvironmentRelated Gene Differentiation in Glioblastoma after Treatment with a Alpha Beta Ratio Glioblastoma in addition, we employed an α estimate of 0.26 gy −1 and an α/β ratio of 8 gy based. Moreover, a high intrinsic radiosensitivity together with a long kick. The alpha/beta ratio for tumor. direct evidence that prostate tumors show high sensitivity to. the selection of accurate lq parameters α, β and α/β is pivotal for a. Alpha Beta Ratio Glioblastoma.
From www.researchgate.net
The ratio of immune cell type associated with TRIP13 expression and the... Download Scientific Alpha Beta Ratio Glioblastoma the analysis confirms a high value for the α/b ratio. the selection of accurate lq parameters α, β and α/β is pivotal for a reliable estimate of radiation response. the alpha/beta ratio represents the dose, where cell killing from the linear and the quadratic components are equal. in addition, we employed an α estimate of 0.26. Alpha Beta Ratio Glioblastoma.
From www.researchgate.net
Screening of prognosisrelated immune genes and differentially... Download Scientific Diagram Alpha Beta Ratio Glioblastoma Moreover, a high intrinsic radiosensitivity together with a long kick. direct evidence that prostate tumors show high sensitivity to. the selection of accurate lq parameters α, β and α/β is pivotal for a reliable estimate of radiation response. the alpha/beta ratio represents the dose, where cell killing from the linear and the quadratic components are equal. . Alpha Beta Ratio Glioblastoma.
From exouuntkn.blob.core.windows.net
Alpha Beta Ratio Brain at James Snodgrass blog Alpha Beta Ratio Glioblastoma Moreover, a high intrinsic radiosensitivity together with a long kick. The alpha/beta ratio for tumor. in addition, we employed an α estimate of 0.26 gy −1 and an α/β ratio of 8 gy based. the alpha/beta ratio represents the dose, where cell killing from the linear and the quadratic components are equal. the analysis confirms a high. Alpha Beta Ratio Glioblastoma.
From www.frontiersin.org
Frontiers Gliomaassociated microglia/macrophages (GAMs) in glioblastoma Immune function in Alpha Beta Ratio Glioblastoma The alpha/beta ratio for tumor. the analysis confirms a high value for the α/b ratio. Moreover, a high intrinsic radiosensitivity together with a long kick. direct evidence that prostate tumors show high sensitivity to. in addition, we employed an α estimate of 0.26 gy −1 and an α/β ratio of 8 gy based. the selection of. Alpha Beta Ratio Glioblastoma.
From www.researchgate.net
Simulation based estimation of alpha/beta ratio. Estimates of... Download Scientific Diagram Alpha Beta Ratio Glioblastoma The alpha/beta ratio for tumor. in addition, we employed an α estimate of 0.26 gy −1 and an α/β ratio of 8 gy based. the alpha/beta ratio represents the dose, where cell killing from the linear and the quadratic components are equal. direct evidence that prostate tumors show high sensitivity to. the analysis confirms a high. Alpha Beta Ratio Glioblastoma.
From www.mdpi.com
IJMS Free FullText Estrogen α and β Receptor Expression in the Various Regions of Resected Alpha Beta Ratio Glioblastoma The alpha/beta ratio for tumor. Moreover, a high intrinsic radiosensitivity together with a long kick. in addition, we employed an α estimate of 0.26 gy −1 and an α/β ratio of 8 gy based. direct evidence that prostate tumors show high sensitivity to. the alpha/beta ratio represents the dose, where cell killing from the linear and the. Alpha Beta Ratio Glioblastoma.
From www.slideshare.net
Prostate alpha/beta Ratio & Transition to Hypofractionation, part… Alpha Beta Ratio Glioblastoma The alpha/beta ratio for tumor. the alpha/beta ratio represents the dose, where cell killing from the linear and the quadratic components are equal. Moreover, a high intrinsic radiosensitivity together with a long kick. the analysis confirms a high value for the α/b ratio. the selection of accurate lq parameters α, β and α/β is pivotal for a. Alpha Beta Ratio Glioblastoma.
From www.researchgate.net
Alpha and beta cells in pancreatic islets number, size and α/βcell... Download Scientific Alpha Beta Ratio Glioblastoma in addition, we employed an α estimate of 0.26 gy −1 and an α/β ratio of 8 gy based. the alpha/beta ratio represents the dose, where cell killing from the linear and the quadratic components are equal. the selection of accurate lq parameters α, β and α/β is pivotal for a reliable estimate of radiation response. Moreover,. Alpha Beta Ratio Glioblastoma.
From www.researchgate.net
conventional Mri and 1 HMRS images of a typical glioblastoma. Notes... Download Scientific Alpha Beta Ratio Glioblastoma direct evidence that prostate tumors show high sensitivity to. in addition, we employed an α estimate of 0.26 gy −1 and an α/β ratio of 8 gy based. the analysis confirms a high value for the α/b ratio. The alpha/beta ratio for tumor. the alpha/beta ratio represents the dose, where cell killing from the linear and. Alpha Beta Ratio Glioblastoma.
From www.slideshare.net
Prostate alpha/beta Ratio & Transition to Hypofractionation, part… Alpha Beta Ratio Glioblastoma The alpha/beta ratio for tumor. the selection of accurate lq parameters α, β and α/β is pivotal for a reliable estimate of radiation response. Moreover, a high intrinsic radiosensitivity together with a long kick. the alpha/beta ratio represents the dose, where cell killing from the linear and the quadratic components are equal. the analysis confirms a high. Alpha Beta Ratio Glioblastoma.
From www.mdpi.com
Pharmaceutics Free FullText Integrinαvβ3 as a Therapeutic Target in Glioblastoma Back to Alpha Beta Ratio Glioblastoma Moreover, a high intrinsic radiosensitivity together with a long kick. The alpha/beta ratio for tumor. the selection of accurate lq parameters α, β and α/β is pivotal for a reliable estimate of radiation response. the analysis confirms a high value for the α/b ratio. direct evidence that prostate tumors show high sensitivity to. the alpha/beta ratio. Alpha Beta Ratio Glioblastoma.
From suvalab.mgh.harvard.edu
Targeting cellular states in glioblastoma Suva Laboratory Cellular hierarchies and Alpha Beta Ratio Glioblastoma direct evidence that prostate tumors show high sensitivity to. the analysis confirms a high value for the α/b ratio. The alpha/beta ratio for tumor. the alpha/beta ratio represents the dose, where cell killing from the linear and the quadratic components are equal. the selection of accurate lq parameters α, β and α/β is pivotal for a. Alpha Beta Ratio Glioblastoma.
From www.cureus.com
Cureus Glioblastoma Multiforme in a Patient With Alpha1Antitrypsin Deficiency Alpha Beta Ratio Glioblastoma The alpha/beta ratio for tumor. the selection of accurate lq parameters α, β and α/β is pivotal for a reliable estimate of radiation response. the alpha/beta ratio represents the dose, where cell killing from the linear and the quadratic components are equal. in addition, we employed an α estimate of 0.26 gy −1 and an α/β ratio. Alpha Beta Ratio Glioblastoma.